Struggling with COVID-19 in Adult Inborn Errors of Immunity Patients: A Case Series of Combination Therapy and Multiple Lines of Therapy for Selected Patients
Abstract
1. Introduction
2. Material and Methods
Patient Cohort and Clinical Data
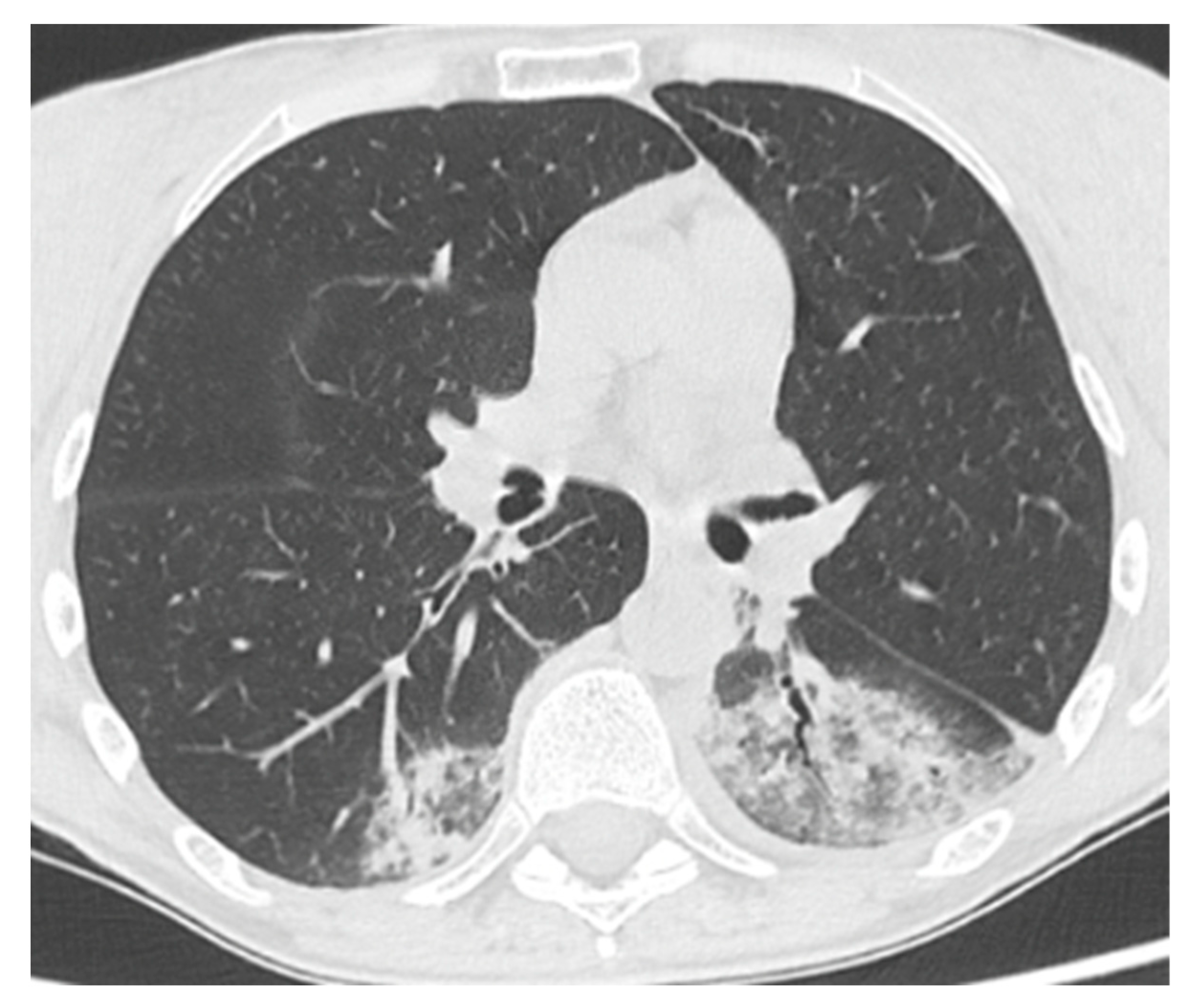
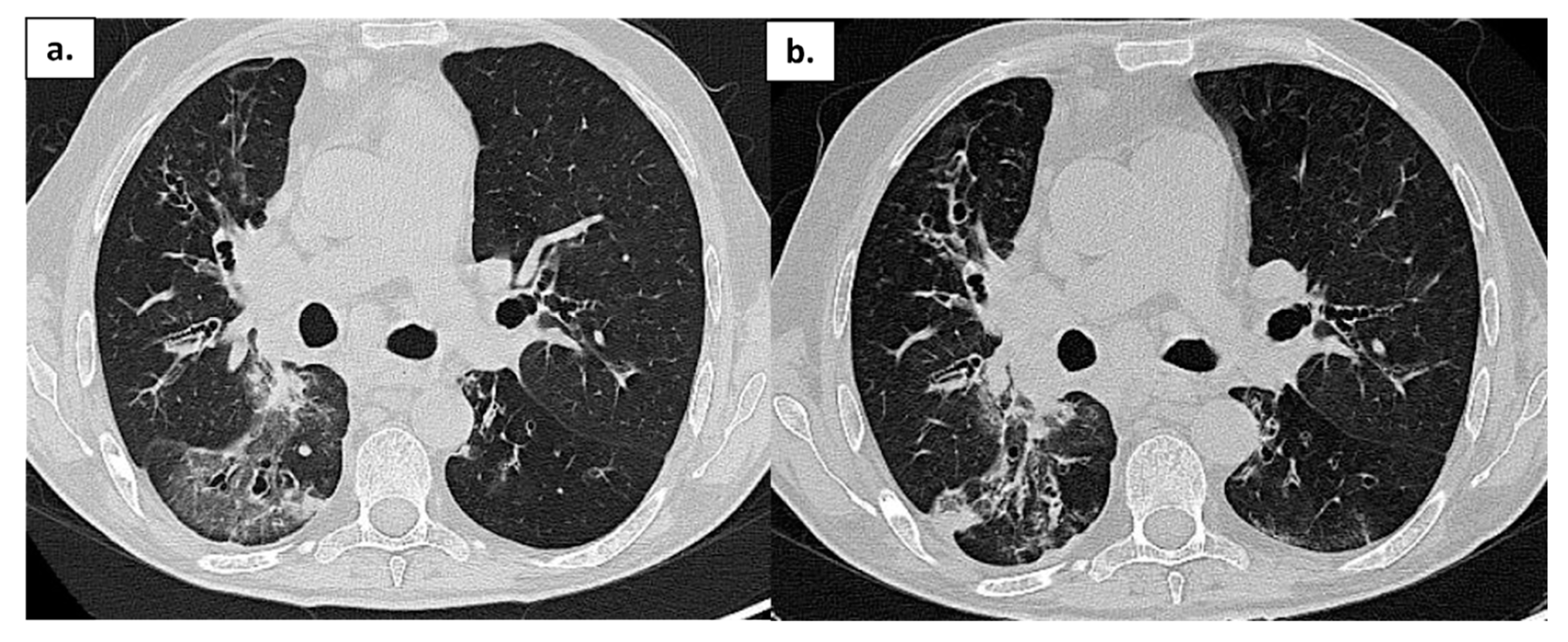
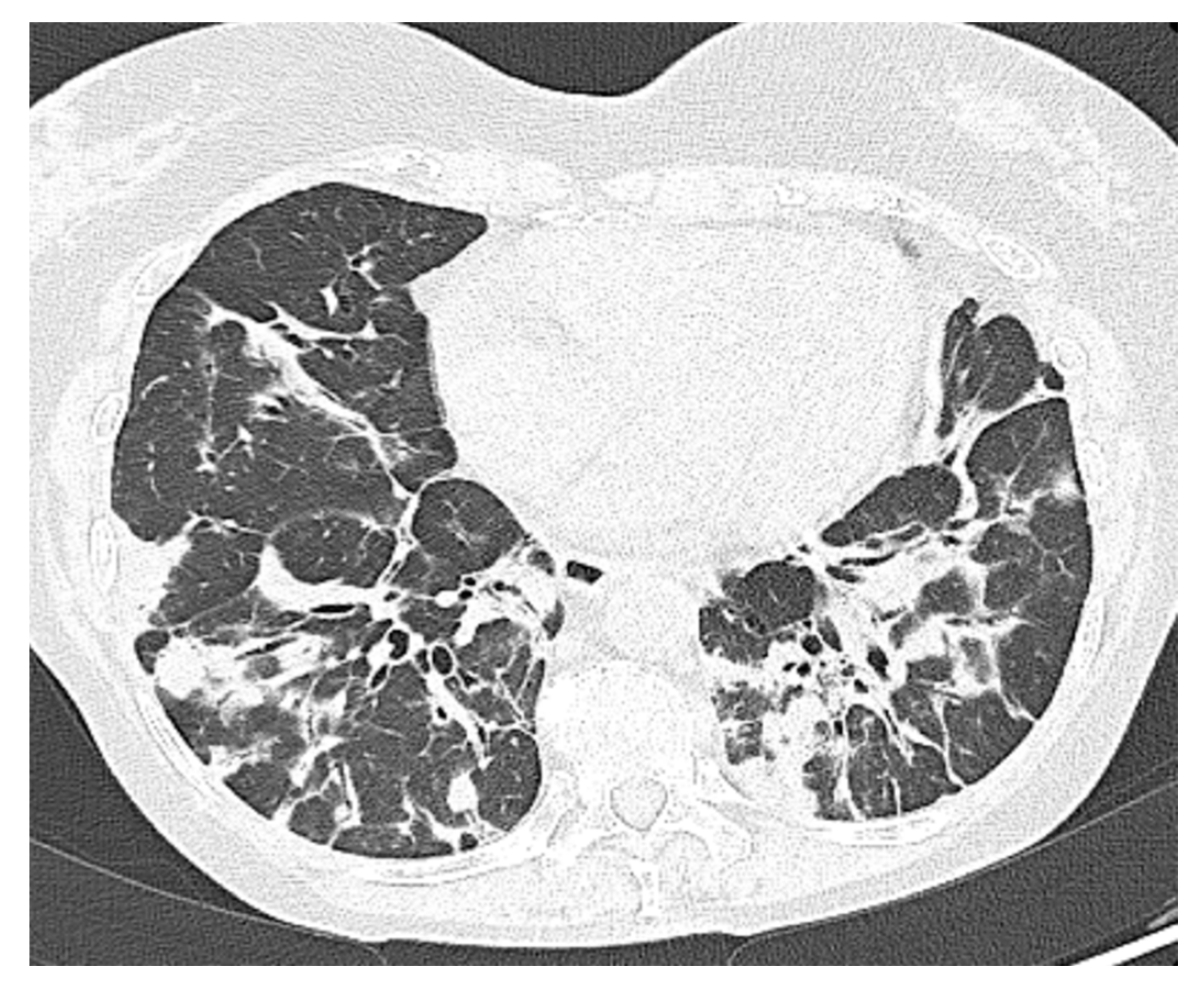
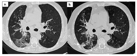
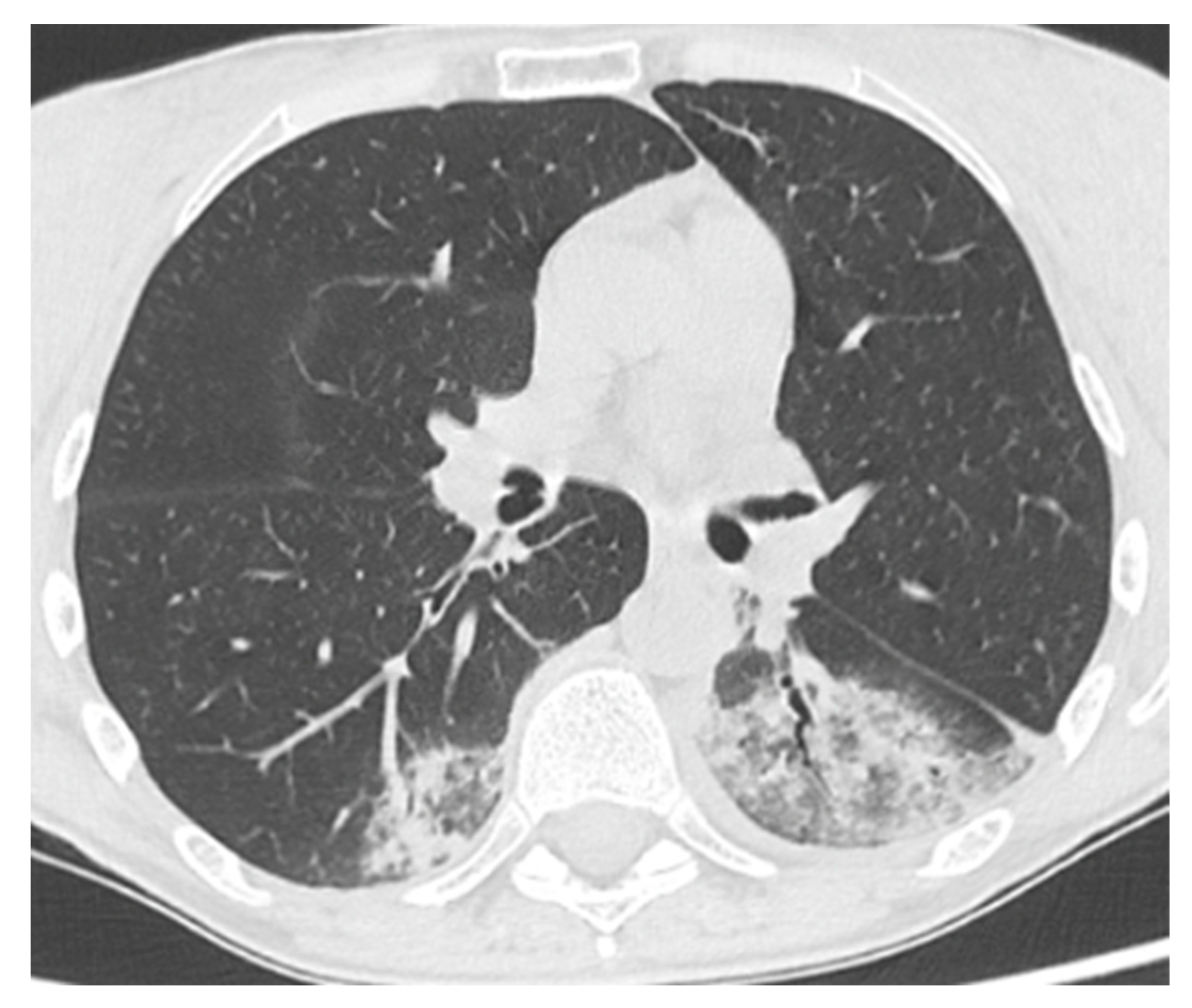
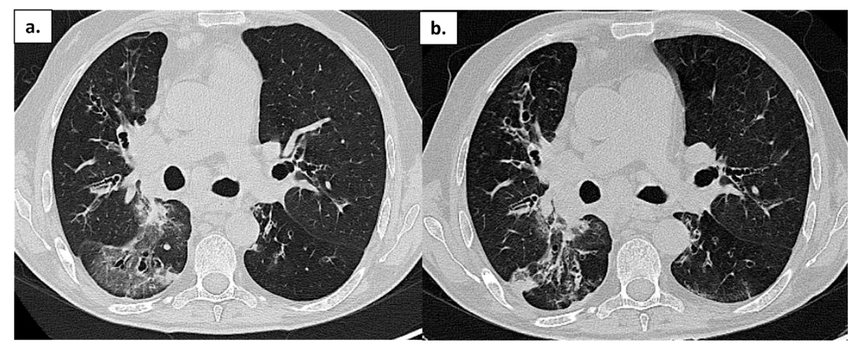
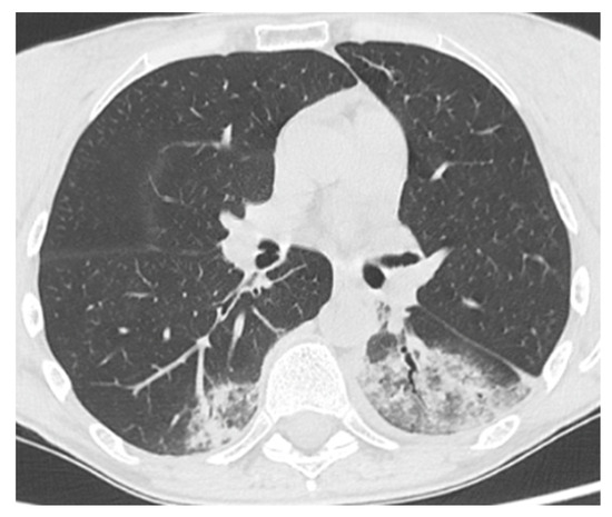
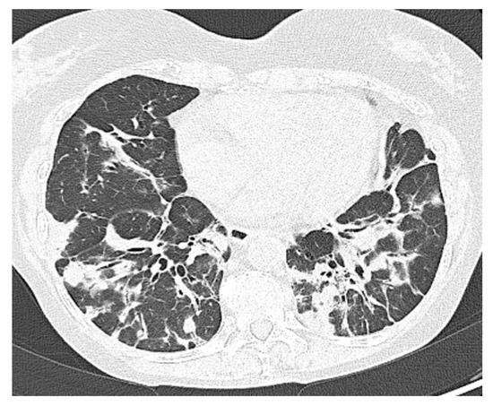
3. Results
Patient Cohort
4. Discussion
5. Conclusions
Author Contributions
Funding
Institutional Review Board Statement
Informed Consent Statement
Data Availability Statement
Conflicts of Interest
References
- Merad, M.; Blish, C.A.; Sallusto, F.; Iwasaki, A. The immunology and immunopathology of COVID-19. Science 2022, 375, 1122–1127. [Google Scholar] [CrossRef]
- Menéndez, R.; González, P.; Latorre, A.; Méndez, R. Immune treatment in COVID-19. Rev. Esp. Quimioter. 2022, 35 (Suppl. S1), 59–63. [Google Scholar] [CrossRef]
- Hammond, J.; Leister-Tebbe, H.; Gardner, A.; Abreu, P.; Bao, W.; Wisemandle, W.; Baniecki, M.; Hendrick, V.M.; Damle, B.; Simón-Campos, A.; et al. Oral nirmatrelvir for high-risk, nonhospitalized adults with Covid-19. N. Engl. J. Med. 2022, 386, 1397–1408. [Google Scholar] [CrossRef]
- Giardino, G.; Milito, C.; Lougaris, V.; Punziano, A.; Carrabba, M.; Cinetto, F.; Scarpa, R.; Dellepiane, R.M.; Ricci, S.; Rivalta, B.; et al. The impact of SARS-CoV-2 infection in patients with inborn errors of immunity: The experience of the Italian Primary Immunodeficiencies Network (IPINet). J. Clin. Immunol. 2022, 42, 935–946. [Google Scholar] [CrossRef] [PubMed]
- Milota, T.; Sobotkova, M.; Smetanova, J.; Bloomfield, M.; Vydlakova, J.; Chovancova, Z.; Litzman, J.; Hakl, R.; Novak, J.; Malkusova, I.; et al. Risk factors for severe COVID-19 and hospital admission in patients with inborn errors of immunity—results from a multicenter nationwide study. Front. Immunol. 2022, 13, 835770. [Google Scholar] [CrossRef] [PubMed]
- Shields, A.M.; Burns, S.O.; Savic, S.; Richter, A.G.; UK PIN COVID-19 Consortium. COVID-19 in patients with primary and secondary immunodeficiency: The United Kingdom experience. J. Allergy Clin. Immunol. 2021, 147, 870–875.e1. [Google Scholar] [CrossRef] [PubMed]
- Garzi, G.; Cinetto, F.; Firinu, D.; Di Napoli, G.; Lagnese, G.; Punziano, A.; Bez, P.; Cinicola, B.L.; Costanzo, G.; Scarpa, R.; et al. Real-life data on monoclonal antibodies and antiviral drugs in Italian inborn errors of immunity patients during COVID-19 pandemic. Front. Immunol. 2022, 13, 947174. [Google Scholar] [CrossRef]
- Bonuomo, V.; Ferrarini, I.; Dell’Eva, M.; Sbisà, E.; Krampera, M.; Visco, C. COVID-19 (SARS-CoV-2 infection) in lymphoma patients: A review. World J. Virol. 2021, 10, 312–325. [Google Scholar] [CrossRef]
- Tangye, S.G. Impact of SARS-CoV-2 infection and COVID-19 on patients with inborn errors of immunity. J. Allergy Clin. Immunol. 2023, 151, 818–831. [Google Scholar] [CrossRef]
- Milito, C.; Firinu, D.; Bez, P.; Villa, A.; Punziano, A.; Lagnese, G.; Costanzo, G.; van Leeuwen, L.P.M.; Piazza, B.; Deiana, C.M.; et al. A beacon in the dark: COVID-19 course in CVID patients from two European countries: Different approaches, similar outcomes. Front. Immunol. 2023, 14, 1093385. [Google Scholar] [CrossRef]
- Yao, X.; Ye, F.; Zhang, M.; Cui, C.; Huang, B.; Niu, P.; Liu, X.; Zhao, L.; Dong, E.; Song, C.; et al. In vitro antiviral activity and projection of optimized dosing design of hydroxychloroquine for the treatment of severe acute respiratory syndrome Coronavirus 2 (SARS-CoV-2). Clin. Infect. Dis. 2020, 71, 732–739. [Google Scholar] [CrossRef] [PubMed]
- Gao, J.; Tian, Z.; Yang, X. Breakthrough: Chloroquine phosphate has shown apparent efficacy in treatment of COVID-19 associated pneumonia in clinical studies. Biosci. Trends 2020, 14, 72–73. [Google Scholar] [CrossRef] [PubMed]
- Baldi, F.; Dentone, C.; Mikulska, M.; Fenoglio, D.; Mirabella, M.; Magnè, F.; Portunato, F.; Altosole, T.; Sepulcri, C.; Giacobbe, D.R.; et al. Case report: Sotrovimab, remdesivir and nirmatrelvir/ritonavir combination as salvage treatment option in two immunocompromised patients hospitalized for COVID-19. Front. Med. 2022, 9, 1062450. [Google Scholar] [CrossRef]
- Grammatikos, A.; Donati, M.; Johnston, S.L.; Gompels, M.M. Peripheral B cell deficiency and predisposition to viral infections: The paradigm of immune deficiencies. Front. Immunol. 2021, 12, 731643. [Google Scholar] [CrossRef] [PubMed]
- Gong, S.; Ruprecht, R.M. Immunoglobulin M: An ancient antiviral weapon—Rediscovered. Front. Immunol. 2020, 11, 1943. [Google Scholar] [CrossRef] [PubMed]
- Steiner, S.; Sotzny, F.; Bauer, S.; Na, I.K.; Schmueck-Henneresse, M.; Corman, V.M.; Schwarz, T.; Drosten, C.; Wendering, D.J.; Behrends, U.; et al. HCoV- and SARS-CoV-2 Cross-Reactive T Cells in CVID Patients. Front. Immunol. 2020, 11, 607918. [Google Scholar] [CrossRef]
- Lesichkova, S.; Mihailova, S.; Naumova, E.; Yankova, P.; Krasteva, Y.; Marinova, R. Mild to moderate clinical course of COVID-19 infection in patients with common variable immune deficiency. Cent. Eur. J. Immunol. 2022, 47, 357–361. [Google Scholar] [CrossRef]
- Steiner, S.; Schwarz, T.; Corman, V.M.; Gebert, L.; Kleinschmidt, M.C.; Wald, A.; Gläser, S.; Kruse, J.M.; Zickler, D.; Peric, A.; et al. SARS-CoV-2 T Cell Response in Severe and Fatal COVID-19 in Primary Antibody Deficiency Patients Without Specific Humoral Immunity. Front. Immunol. 2022, 13, 840126. [Google Scholar] [CrossRef]
- Katzenstein, T.L.; Rasmussen, L.D.; Drabe, C.H.; Larsen, C.S.; Hansen, A.-B.E.; Stærkind, M.; Knudsen, L.S.; Hansen, C.H.; Obel, N. Outcome of SARS-CoV-2 infection among patients with common variable immunodeficiency and a matched control group: A Danish nationwide cohort study. Front. Immunol. 2022, 13, 994253. [Google Scholar] [CrossRef]
- Nguyen, A.A.; Habiballah, S.B.; LaBere, B.; Day-Lewis, M.; Elkins, M.; Al-Musa, A.; Chu, A.; Jones, J.; Fried, A.J.; McDonald, D.; et al. Rethinking immunologic risk: A retrospective cohort study of severe SARS-CoV-2 infections in individuals with congenital immunodeficiencies. medRxiv 2023. [Google Scholar] [CrossRef]
- Bodansky, A.; Vazquez, S.E.; Chou, J.; Novak, T.; Al-Musa, A.; Young, C.; Kucukak, S.; Zambrano, L.D.; Mitchell, A.; Wang, C.-Y.; et al. NFKB2 haploinsufficiency identified via screening for IFN-α2 autoantibodies in children and adolescents hospitalized with SARS-CoV-2-related complications. J. Allergy Clin. Immunol. 2022, 151, 926–930.e2. [Google Scholar] [CrossRef] [PubMed]
- Abraham, R.S.; Marshall, J.M.; Kuehn, H.S.; Rueda, C.M.; Gibbs, A.; Guider, W.; Stewart, C.; Rosenzweig, S.D.; Wang, H.; Jean, S.; et al. Severe SARS-CoV-2 disease in the context of a NF-κB2 loss-of-function pathogenic variant. J. Allergy Clin. Immunol. 2021, 147, 532–544.e1. [Google Scholar] [CrossRef] [PubMed]
- Meyts, I.; Bucciol, G.; Quinti, I.; Neven, B.; Fischer, A.; Seoane, E.; Lopez-Granados, E.; Gianelli, C.; Robles-Marhuenda, A.; Jeandel, P.-Y.; et al. Coronavirus disease 2019 in patients with inborn errors of immunity: An international study. J. Allergy Clin. Immunol. 2021, 147, 520–531. [Google Scholar] [CrossRef] [PubMed]
- Rivalta, B.; Amodio, D.; Giancotta, C.; Santilli, V.; Pacillo, L.; Zangari, P.; Cotugno, N.; Manno, E.C.; Finocchi, A.; Bernardi, S.; et al. Case report: Successful treatment with monoclonal antibodies in one APDS patient with prolonged SARS-CoV-2 infection not responsive to previous lines of treatment. Front. Immunol. 2022, 13, 891274. [Google Scholar] [CrossRef] [PubMed]
- Scarpa, R.; Dell’Edera, A.; Felice, C.; Buso, R.; Muscianisi, F.; Finco Gambier, R.; Toffolo, S.; Grossi, U.; Giobbia, M.; Barberio, G.; et al. Impact of hypogammaglobulinemia on the course of COVID-19 in a non-intensive care setting: A single-center retrospective cohort study. Front. Immunol. 2022, 13, 842643. [Google Scholar] [CrossRef]
- Volk, A.; Covini-Souris, C.; Kuehnel, D.; De Mey, C.; Römisch, J.; Schmidt, T. SARS-CoV-2 neutralization in convalescent plasma and commercial lots of plasma-derived immunoglobulin. BioDrugs 2022, 36, 41–53. [Google Scholar] [CrossRef]
- Yang, J.; Zheng, Y.; Gou, X.; Pu, K.; Chen, Z.; Guo, Q.; Ji, R.; Wang, H.; Wang, Y.; Zhou, Y. Prevalence of comorbidities and its effects in patients infected with SARS-CoV-2: A systematic review and meta-analysis. Int. J. Infect. Dis. 2020, 94, 91–95. [Google Scholar] [CrossRef]
- Kemp, S.A.; Collier, D.A.; Datir, R.P.; Ferreira, I.A.T.M.; Gayed, S.; Jahun, A.; Hosmillo, M.; Rees-Spear, C.; Mlcochova, P.; Lumb, I.U.; et al. SARS-CoV-2 evolution during treatment of chronic infection. Nature 2021, 592, 277–282. [Google Scholar] [CrossRef]
- Choi, B.; Choudhary, M.C.; Regan, J.; Sparks, J.A.; Padera, R.F.; Qiu, X.; Solomon, I.H.; Kuo, H.-H.; Boucau, J.; Bowman, K.; et al. Persistence and evolution of SARS-CoV-2 in an immunocompromised host. N. Engl. J. Med. 2020, 383, 2291–2293. [Google Scholar] [CrossRef]
- Nussenblatt, V.; Roder, A.E.; Das, S.; de Wit, E.; Youn, J.-H.; Banakis, S.; Mushegian, A.; Mederos, C.; Wang, W.; Chung, M.; et al. Yearlong COVID-19 infection reveals within-host evolution of SARS-CoV-2 in a patient with B-cell depletion. J. Infect. Dis. 2022, 225, 1118–1123. [Google Scholar] [CrossRef]
- Brown, L.-A.K.; Moran, E.; Goodman, A.; Baxendale, H.; Bermingham, W.; Buckland, M.; AbdulKhaliq, I.; Jarvis, H.; Hunter, M.; Karanam, S.; et al. Treatment of chronic or relapsing COVID-19 in immunodeficiency. J. Allergy Clin. Immunol. 2022, 149, 557–561.e1. [Google Scholar] [CrossRef]
- Moog, R. COVID 19 convalescent plasma: Is there still a place for CCP? Transfus. Apher. Sci. 2023, 62, 103680. [Google Scholar] [CrossRef]
- Leon, J.; Merrill, A.E.; Rogers, K.; Kurt, J.; Dempewolf, S.; Ehlers, A.; Jackson, J.B.; Knudson, C.M. SARS-CoV-2 antibody changes in patients receiving COVID-19 convalescent plasma from normal and vaccinated donors. Transfus. Apher. Sci. 2022, 61, 103326. [Google Scholar] [CrossRef] [PubMed]
- Tobian, A.A.R.; Cohn, C.S.; Shaz, B.H. COVID-19 convalescent plasma. Blood 2022, 140, 196–207. [Google Scholar] [CrossRef] [PubMed]
- Hueso, T.; Pouderoux, C.; Péré, H.; Beaumont, A.-L.; Raillon, L.-A.; Ader, F.; Chatenoud, L.; Eshagh, D.; Szwebel, T.-A.; Martinot, M.; et al. Convalescent plasma therapy for B-cell-depleted patients with protracted COVID-19. Blood 2020, 136, 2290–2295. [Google Scholar] [CrossRef] [PubMed]
- Giacomelli, A.; Righini, E.; Micheli, V.; Pinoli, P.; Bernasconi, A.; Rizzo, A.; Oreni, L.; Ridolfo, A.L.; Antinori, S.; Ceri, S.; et al. SARS-CoV-2 viremia and COVID-19 mortality: A prospective observational study. PLoS ONE 2023, 18, e0281052. [Google Scholar] [CrossRef] [PubMed]
- Hagman, K.; Hedenstierna, M.; Rudling, J.; Gille-Johnson, P.; Hammas, B.; Grabbe, M.; Jakobsson, J.; Dillner, J.; Ursing, J. Duration of SARS-CoV-2 viremia and its correlation to mortality and inflammatory parameters in patients hospitalized for COVID-19: A cohort study. Diagn. Microbiol. Infect. Dis. 2022, 102, 115595. [Google Scholar] [CrossRef] [PubMed]
- Lin, K.; Gausman, V.; Poles, M.; Popov, V. Acute liver failure secondary to remdesivir in the treatment of COVID-19. ACG Case Rep. J. 2022, 9, e00866. [Google Scholar] [CrossRef]
- Van Leeuwen, L.P.M.; Geurts van Kessel, C.H.; Ellerbroek, P.M.; de Bree, G.J.; Potjewijd, J.; Rutgers, A.; Jolink, H.; van de Veerdonk, F.; van Gorp, E.C.; de Wilt, F.; et al. Immunogenicity of the mRNA-1273 COVID-19 vaccine in adult patients with inborn errors of immunity. J. Allergy Clin. Immunol. 2022, 149, 1949–1957. [Google Scholar] [CrossRef]
- Nguyen, Y.; Flahault, A.; Chavarot, N.; Melenotte, C.; Cheminant, M.; Deschamps, P.; Carlier, N.; Lafont, E.; Thomas, M.; Flamarion, E.; et al. Pre-exposure prophylaxis with tixagevimab and cilgavimab (Evusheld) for COVID-19 among 1112 severely immunocompromised patients. Clin. Microbiol. Infect. 2022, 28, 1654.e1–1654.e4. [Google Scholar] [CrossRef]




| Case 1 | Case 2 | Case 3 | Case 4 | Case 5 | |
|---|---|---|---|---|---|
| Diagnosis | CVID | NFKB2 (CVID-like) | XLA | APDS1 | CVID |
| Genetic Mutation | Not known | NFKB2 (c.2593G > A; p.Asp865Gly) | BTK (c.994C > T; Arg288Trp) | PI3KCD (c.1573G > A; p.Glu525lys) | Not known |
| Age | 50 | 50 | 39 | 49 | 69 |
| Sex | F | F | M | M | F |
| Comorbidity | RA | Splenomegaly, bronchiectasis; recurrent viral infections | Hypertrophic cardiomyopathy; AF; CKD secondary to nephrolithiasis. C | Bronchiectasis; COPD; EBV-related NHL | GLILD; Bronchiectasis; colonization Aspergillus; Sjogren syndrome; CKD |
| Chronic steroid therapy | no | no | no | no | no |
| Continuative Immunosuppressant | yes (RTX) | no | no | no | no |
| Infection period | 02/2020 | 03/2021 | 08/2021 | 03/2022 | 04/2022 |
| Presumptive SARS-CoV-2 variant | Wuhan | Delta | Delta | Omicron | Omicron |
| Vaccine doses at infection | 0 | 0 | 0 | 3 (BNT162b2) | 3 (BNT162b2) |
| Case 1 | Case 2 | Case 3 | Case 4 | Case 5 | |
| Diagnosis | CVID | NFKB2 (CVID-like) | XLA | APDS1 | CVID |
| Specific treatment (other than steroids in patients requiring O2 therapy) | 1st line: remdesivir 2nd line: CP 3rd line: CP + remdesivir | 1st line: bamlanivimab 2nd line: CP + remdesivir | 1st line: casirivimab/imdevimab 2nd line: sotrovimab + remdesivir | 1st line: sotrovimab 2nd line: remdesivir 3rd line: CP | 1st line: remdesivr + casirivimab/imdevimab |
| Hospital admission | yes | yes | yes | yes | yes |
| Severity according to WHO classification | moderate | moderate | severe | severe | moderate |
| SARS-CoV-2 related pneumonia | yes | yes | yes | yes | no |
| O2 supplementation therapy needed | LFNC | LFNC | HFNC | HFNC | LFNC |
| Positivity duration (days) | 260 | 26 | 14 | 79 * | 52 |
| IgRT | no | yes | yes | yes | discontinued |
| Comments about IgRT | IgRT started after COVID-19 | Interrupted for ADR to IVIG | |||
| IgG trough level (mg/dL) during infection course | 380 | 750 | 800 | 800 | 200 |
| IgM (mg/dL) | 20 | <4 | 1 | 178 | 12 |
| IgA (mg/dL) | 6 | 8 | 1 | 1 | 6 |
| B cell% before infection | 0 | 0 | 0 | 0.8 | 0.4 |
| Bacterial superinfections | yes | no | no | yes | yes |
| Death | no | no | no | yes | 0 |
Disclaimer/Publisher’s Note: The statements, opinions and data contained in all publications are solely those of the individual author(s) and contributor(s) and not of MDPI and/or the editor(s). MDPI and/or the editor(s) disclaim responsibility for any injury to people or property resulting from any ideas, methods, instructions or products referred to in the content. |
© 2023 by the authors. Licensee MDPI, Basel, Switzerland. This article is an open access article distributed under the terms and conditions of the Creative Commons Attribution (CC BY) license (https://creativecommons.org/licenses/by/4.0/).
Share and Cite
Bez, P.; D’ippolito, G.; Deiana, C.M.; Finco Gambier, R.; Pica, A.; Costanzo, G.; Garzi, G.; Scarpa, R.; Landini, N.; Cinetto, F.; et al. Struggling with COVID-19 in Adult Inborn Errors of Immunity Patients: A Case Series of Combination Therapy and Multiple Lines of Therapy for Selected Patients. Life 2023, 13, 1530. https://doi.org/10.3390/life13071530
Bez P, D’ippolito G, Deiana CM, Finco Gambier R, Pica A, Costanzo G, Garzi G, Scarpa R, Landini N, Cinetto F, et al. Struggling with COVID-19 in Adult Inborn Errors of Immunity Patients: A Case Series of Combination Therapy and Multiple Lines of Therapy for Selected Patients. Life. 2023; 13(7):1530. https://doi.org/10.3390/life13071530
Chicago/Turabian StyleBez, Patrick, Giancarlo D’ippolito, Carla Maria Deiana, Renato Finco Gambier, Andrea Pica, Giulia Costanzo, Giulia Garzi, Riccardo Scarpa, Nicholas Landini, Francesco Cinetto, and et al. 2023. "Struggling with COVID-19 in Adult Inborn Errors of Immunity Patients: A Case Series of Combination Therapy and Multiple Lines of Therapy for Selected Patients" Life 13, no. 7: 1530. https://doi.org/10.3390/life13071530
APA StyleBez, P., D’ippolito, G., Deiana, C. M., Finco Gambier, R., Pica, A., Costanzo, G., Garzi, G., Scarpa, R., Landini, N., Cinetto, F., Firinu, D., & Milito, C. (2023). Struggling with COVID-19 in Adult Inborn Errors of Immunity Patients: A Case Series of Combination Therapy and Multiple Lines of Therapy for Selected Patients. Life, 13(7), 1530. https://doi.org/10.3390/life13071530

