Efficacy of Convalescent Plasma to Treat Long-Standing COVID-19 in Patients with B-Cell Depletion
Abstract
1. Introduction
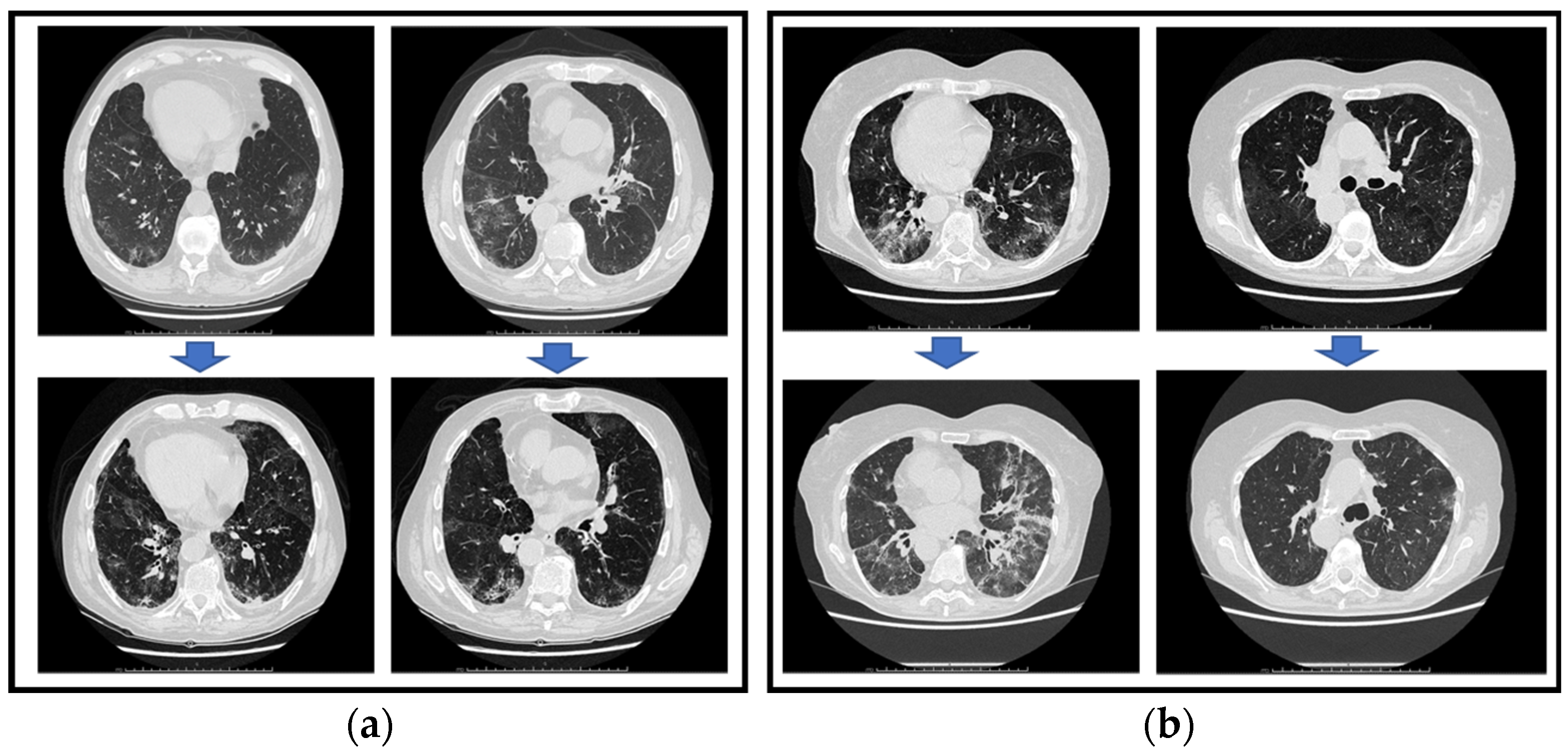
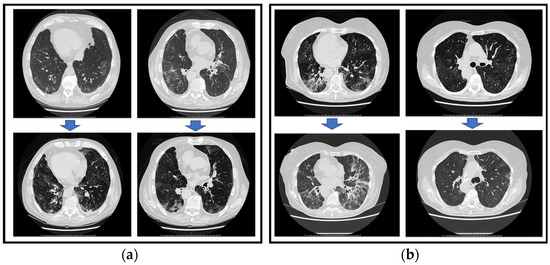
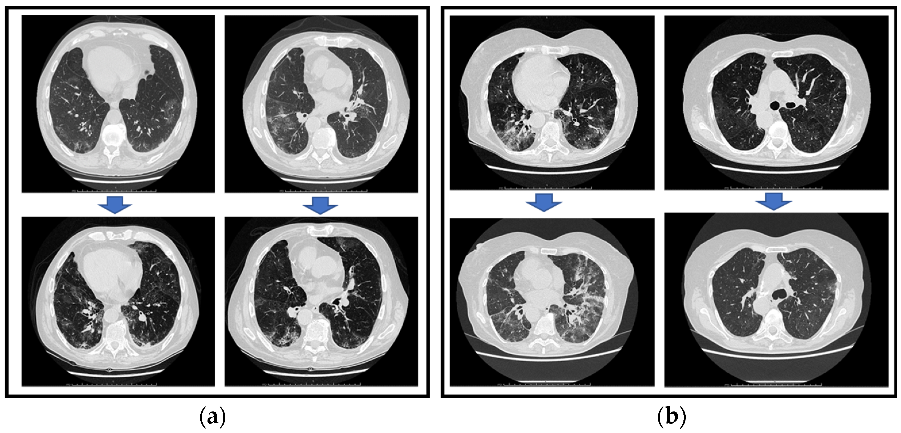
2. Detailed Case Descriptions
3. Discussion
4. Conclusions
Funding
Institutional Review Board Statement
Informed Consent Statement
Data Availability Statement
Acknowledgments
Conflicts of Interest
References
- WHO Coronavirus (COVID-19) Dashboard. Available online: https://covid19.who.int (accessed on 14 March 2023).
- Therapeutics and COVID-19: Living Guideline, 13 January 2023. Available online: https://www.who.int/publications-detail-redirect/WHO-2019-nCoV-therapeutics-2023.1 (accessed on 15 January 2023).
- Investigational COVID-19 Convalescent Plasma; Guidance for Industry; Food and Drug Administration: Silver Spring, MD, USA, 2020.
- Marano, G.; Vaglio, S.; Pupella, S.; Facco, G.; Catalano, L.; Liumbruno, G.M.; Grazzini, G. Convalescent Plasma: New Evidence for an Old Therapeutic Tool? Blood Transfus. 2016, 14, 152. [Google Scholar] [CrossRef] [PubMed]
- Menichetti, F.; Popoli, P.; Puopolo, M.; Spila Alegiani, S.; Tiseo, G.; Bartoloni, A.; De Socio, G.V.; Luchi, S.; Blanc, P.; Puoti, M.; et al. Effect of High-Titer Convalescent Plasma on Progression to Severe Respiratory Failure or Death in Hospitalized Patients With COVID-19 Pneumonia: A Randomized Clinical Trial. JAMA Netw. Open 2021, 4, e2136246. [Google Scholar] [CrossRef] [PubMed]
- Bégin, P.; Callum, J.; Jamula, E.; Cook, R.; Heddle, N.M.; Tinmouth, A.; Zeller, M.P.; Beaudoin-Bussières, G.; Amorim, L.; Bazin, R.; et al. Convalescent Plasma for Hospitalized Patients with COVID-19: An Open-Label, Randomized Controlled Trial. Nat. Med. 2021, 27, 2012–2024. [Google Scholar] [CrossRef] [PubMed]
- Heustess, A.M.; Allard, M.A.; Thompson, D.K.; Fasinu, P.S. Clinical Management of COVID-19: A Review of Pharmacological Treatment Options. Pharmaceuticals 2021, 14, 520. [Google Scholar] [CrossRef] [PubMed]
- Li, L.; Zhang, W.; Hu, Y.; Tong, X.; Zheng, S.; Yang, J.; Kong, Y.; Ren, L.; Wei, Q.; Mei, H.; et al. Effect of Convalescent Plasma Therapy on Time to Clinical Improvement in Patients With Severe and Life-Threatening COVID-19: A Randomized Clinical Trial. JAMA 2020, 324, 460–470. [Google Scholar] [CrossRef] [PubMed]
- Avendaño-Solá, C.; Ramos-Martínez, A.; Muñez-Rubio, E.; Ruiz-Antorán, B.; Malo de Molina, R.; Torres, F.; Fernández-Cruz, A.; Calderón-Parra, J.; Payares-Herrera, C.; Díaz de Santiago, A.; et al. A Multicenter Randomized Open-Label Clinical Trial for Convalescent Plasma in Patients Hospitalized with COVID-19 Pneumonia. J. Clin. Investig. 2021, 131, e152740. [Google Scholar] [CrossRef] [PubMed]
- Focosi, D.; Franchini, M.; Pirofski, L.; Burnouf, T.; Paneth, N.; Joyner, M.J.; Casadevall, A. COVID-19 Convalescent Plasma and Clinical Trials: Understanding Conflicting Outcomes. Clin. Microbiol. Rev. 2022, 35, e00200-21. [Google Scholar] [CrossRef]
- Duan, K.; Liu, B.; Li, C.; Zhang, H.; Yu, T.; Qu, J.; Zhou, M.; Chen, L.; Meng, S.; Hu, Y.; et al. Effectiveness of Convalescent Plasma Therapy in Severe COVID-19 Patients. Proc. Natl. Acad. Sci. USA 2020, 117, 9490–9496. [Google Scholar] [CrossRef]
- Zhang, B.; Liu, S.; Tan, T.; Huang, W.; Dong, Y.; Chen, L.; Chen, Q.; Zhang, L.; Zhong, Q.; Zhang, X.; et al. Treatment With Convalescent Plasma for Critically Ill Patients With Severe Acute Respiratory Syndrome Coronavirus 2 Infection. Chest 2020, 158, e9–e13. [Google Scholar] [CrossRef]
- Psaltopoulou, T.; Sergentanis, T.N.; Pappa, V.; Politou, M.; Terpos, E.; Tsiodras, S.; Pavlakis, G.N.; Dimopoulos, M.A. The Emerging Role of Convalescent Plasma in the Treatment of COVID-19. HemaSphere 2020, 4, e409. [Google Scholar] [CrossRef]
- Shen, C.; Wang, Z.; Zhao, F.; Yang, Y.; Li, J.; Yuan, J.; Wang, F.; Li, D.; Yang, M.; Xing, L.; et al. Treatment of 5 Critically Ill Patients With COVID-19 With Convalescent Plasma. JAMA 2020, 323, 1582–1589. [Google Scholar] [CrossRef] [PubMed]
- Figlerowicz, M.; Mania, A.; Lubarski, K.; Lewandowska, Z.; Służewski, W.; Derwich, K.; Wachowiak, J.; Mazur-Melewska, K. First Case of Convalescent Plasma Transfusion in a Child with COVID-19-Associated Severe Aplastic Anemia. Transfus. Apher. Sci. 2020, 59, 102866. [Google Scholar] [CrossRef] [PubMed]
- Thompson, M.A.; Henderson, J.P.; Shah, P.K.; Rubinstein, S.M.; Joyner, M.J.; Choueiri, T.K.; Flora, D.B.; Griffiths, E.A.; Gulati, A.P.; Hwang, C.; et al. Association of Convalescent Plasma Therapy with Survival in Patients with Hematologic Cancers and COVID-19. JAMA Oncol. 2021, 7, 1167–1175. [Google Scholar] [CrossRef] [PubMed]
- Senefeld, J.W.; Klassen, S.A.; Ford, S.K.; Senese, K.A.; Wiggins, C.C.; Bostrom, B.C.; Thompson, M.A.; Baker, S.E.; Nicholson, W.T.; Johnson, P.W.; et al. Use of Convalescent Plasma in COVID-19 Patients with Immunosuppression. Transfusion 2021, 61, 2503–2511. [Google Scholar] [CrossRef] [PubMed]
- Focosi, D.; Franchini, M. COVID-19 Neutralizing Antibody-Based Therapies in Humoral Immune Deficiencies: A Narrative Review. Transfus. Apher. Sci. 2021, 60, 103071. [Google Scholar] [CrossRef] [PubMed]
- Furlan, A.; Forner, G.; Cipriani, L.; Vian, E.; Rigoli, R.; Gherlinzoni, F.; Scotton, P. COVID-19 in B Cell-Depleted Patients After Rituximab: A Diagnostic and Therapeutic Challenge. Front. Immunol. 2021, 12, 763412. [Google Scholar] [CrossRef] [PubMed]
- Grubovic Rastvorceva, R.M.; Useini, S.; Stevanovic, M.; Demiri, I.; Petkovic, E.; Franchini, M.; Focosi, D. Efficacy and Safety of COVID-19 Convalescent Plasma in Hospitalized Patients—An Open-Label Phase II Clinical Trial. Life 2022, 12, 1565. [Google Scholar] [CrossRef]
- Ferrari, S.; Caprioli, C.; Weber, A.; Rambaldi, A.; Lussana, F. Convalescent Hyperimmune Plasma for Chemo-Immunotherapy Induced Immunodeficiency in COVID-19 Patients with Hematological Malignancies. Leuk. Lymphoma 2021, 62, 1490–1496. [Google Scholar] [CrossRef]
- Cesaro, S.; Ljungman, P.; Mikulska, M.; Hirsch, H.H.; von Lilienfeld-Toal, M.; Cordonnier, C.; Meylan, S.; Mehra, V.; Styczynski, J.; Marchesi, F.; et al. Recommendations for the Management of COVID-19 in Patients with Haematological Malignancies or Haematopoietic Cell Transplantation, from the 2021 European Conference on Infections in Leukaemia (ECIL 9). Leukemia 2022, 36, 1467–1480. [Google Scholar] [CrossRef]
- Estcourt, L.J.; Cohn, C.S.; Pagano, M.B.; Iannizzi, C.; Kreuzberger, N.; Skoetz, N.; Allen, E.S.; Bloch, E.M.; Beaudoin, G.; Casadevall, A.; et al. Clinical Practice Guidelines From the Association for the Advancement of Blood and Biotherapies (AABB): COVID-19 Convalescent Plasma. Ann. Intern. Med. 2022, 175, 1310–1321. [Google Scholar] [CrossRef]
- Mehta, P.; Porter, J.C.; Chambers, R.C.; Isenberg, D.A.; Reddy, V. B-Cell Depletion with Rituximab in the COVID-19 Pandemic: Where Do We Stand? Lancet Rheumatol. 2020, 2, e589–e590. [Google Scholar] [CrossRef] [PubMed]
- Rojas, M.; Rodríguez, Y.; Monsalve, D.M.; Acosta-Ampudia, Y.; Camacho, B.; Gallo, J.E.; Rojas-Villarraga, A.; Ramírez-Santana, C.; Díaz-Coronado, J.C.; Manrique, R.; et al. Convalescent Plasma in Covid-19: Possible Mechanisms of Action. Autoimmun. Rev. 2020, 19, 102554. [Google Scholar] [CrossRef] [PubMed]
- Wright, Z.; Bersabe, A.; Eden, R.; Bradley, J.; Cap, A. Successful Use of COVID-19 Convalescent Plasma in a Patient Recently Treated for Follicular Lymphoma. Clin. Lymphoma Myeloma Leuk. 2021, 21, 66–68. [Google Scholar] [CrossRef]
- Oliva, A.; Cancelli, F.; Brogi, A.; Curtolo, A.; Savelloni, G.; Siccardi, G.; Marcelli, G.; Mazzuti, L.; Ricci, P.; Turriziani, O.; et al. Convalescent Plasma for Haematological Patients with SARS-CoV-2 Pneumonia and Severe Depletion of B-Cell Lymphocytes Following Anti-CD20 Therapy: A Single-Centre Experience and Review of the Literature. New Microbiol. 2022, 45, 62–72. [Google Scholar] [PubMed]
- Erber, J.; Wiessner, J.R.; Huberle, C.; Schneider, J.; Mijočević, H.; von Bomhard, D.; Luppa, P.; Schmid, R.M.; Rasch, S.; Lahmer, T. Convalescent Plasma Therapy in B-Cell-Depleted and B-Cell Sufficient Patients with Life-Threatening COVID-19—A Case Series. Transfus. Apher. Sci. 2021, 60, 103278. [Google Scholar] [CrossRef]
- Jeyaraman, P.; Agrawal, N.; Bhargava, R.; Bansal, D.; Ahmed, R.; Bhurani, D.; Bansal, S.; Rastogi, N.; Borah, P.; Naithani, R. Convalescent Plasma Therapy for Severe Covid-19 in Patients with Hematological Malignancies. Transfus. Apher. Sci. 2021, 60, 103075. [Google Scholar] [CrossRef] [PubMed]
- Hueso, T.; Pouderoux, C.; Péré, H.; Beaumont, A.-L.; Raillon, L.-A.; Ader, F.; Chatenoud, L.; Eshagh, D.; Szwebel, T.-A.; Martinot, M.; et al. Convalescent Plasma Therapy for B-Cell–Depleted Patients with Protracted COVID-19. Blood 2020, 136, 2290–2295. [Google Scholar] [CrossRef]
- Belcari, G.; Conti, A.; Mazzoni, A.; Lanza, M.; Mazzetti, P.; Focosi, D. Clinical and Virological Response to Convalescent Plasma in a Chronic Lymphocytic Leukemia Patient with COVID-19 Pneumonia. Life 2022, 12, 1098. [Google Scholar] [CrossRef]
- Ribeiro, L.C.; Benites, B.D.; Ulaf, R.G.; Nunes, T.A.; Costa-Lima, C.; Addas-Carvalho, M.; Proenca-Modena, J.L.; Granja, F.; da Costa, V.A.; Duarte, A.d.S.S.; et al. Rapid Clinical Recovery of a SARS-CoV-2 Infected Common Variable Immunodeficiency Patient Following the Infusion of COVID-19 Convalescent Plasma. Allergy Asthma Clin. Immunol. 2021, 17, 14. [Google Scholar] [CrossRef]
- Ormazabal Vélez, I.; Induráin Bermejo, J.; Espinoza Pérez, J.; Imaz Aguayo, L.; Delgado Ruiz, M.; García-Erce, J.A. Two Patients with Rituximab Associated Low Gammaglobulin Levels and Relapsed Covid-19 Infections Treated with Convalescent Plasma. Transfus. Apher. Sci. 2021, 60, 103104. [Google Scholar] [CrossRef]
- US Food and Drug Administration. Announces Evusheld Is not Currently Authorized for Emergency Use in the U.S.; FDA: Silver Spring, MD, USA, 2023. [Google Scholar]
- Commissioner, O. Of the Coronavirus (COVID-19) Update: FDA Limits Use of Certain Monoclonal Antibodies to Treat COVID-19 Due to the Omicron Variant. Available online: https://www.fda.gov/news-events/press-announcements/coronavirus-covid-19-update-fda-limits-use-certain-monoclonal-antibodies-treat-covid-19-due-omicron (accessed on 20 April 2023).
- Bloch, E.M.; Focosi, D.; Shoham, S.; Senefeld, J.; Baden, L.R.; Tiberghien, P.; Sullivan, D.; Cohn, C.; Henderson, J.P.; So-Osman, C.; et al. Guidance on the Use of Convalescent Plasma to Treat T Immunocompromised Patients with COVID-19. Clin. Infect. Dis. 2023, ciad066. [Google Scholar] [CrossRef] [PubMed]
- Leon, J.; Merrill, A.E.; Rogers, K.; Kurt, J.; Dempewolf, S.; Ehlers, A.; Jackson, J.B.; Knudson, C.M. SARS-CoV-2 Antibody Changes in Patients Receiving COVID-19 Convalescent Plasma from Normal and Vaccinated Donors. Transfus. Apher. Sci. 2022, 61, 103326. [Google Scholar] [CrossRef] [PubMed]
- Focosi, D.; Senefeld, J.W.; Joyner, M.J.; Sullivan, D.; Casadevall, A.; Bloch, E.M.; Franchini, M. Lower Anti-Spike Levels in B-Cell-Depleted Patients after Convalescent Plasma Transfusion Suggest the Need for Repeated Doses. Br. J. Haematol. 2023, 200, e22–e24. [Google Scholar] [CrossRef] [PubMed]

| Before CP | After 1° CP | After 2° CP | After 3° CP | Last NPS | |
|---|---|---|---|---|---|
| Patient 1 | 16 | 24 | 26 | 38 | Neg |
| Patient 2 | 25 | 28 | 38 | / | Neg |
Disclaimer/Publisher’s Note: The statements, opinions and data contained in all publications are solely those of the individual author(s) and contributor(s) and not of MDPI and/or the editor(s). MDPI and/or the editor(s) disclaim responsibility for any injury to people or property resulting from any ideas, methods, instructions or products referred to in the content. |
© 2023 by the authors. Licensee MDPI, Basel, Switzerland. This article is an open access article distributed under the terms and conditions of the Creative Commons Attribution (CC BY) license (https://creativecommons.org/licenses/by/4.0/).
Share and Cite
Tomisti, L.; Angelotti, F.; Lenzi, M.; Amadori, F.; Sarteschi, G.; Porcu, A.; Capria, A.-L.; Bertacca, G.; Lombardi, S.; Bianchini, G.; et al. Efficacy of Convalescent Plasma to Treat Long-Standing COVID-19 in Patients with B-Cell Depletion. Life 2023, 13, 1266. https://doi.org/10.3390/life13061266
Tomisti L, Angelotti F, Lenzi M, Amadori F, Sarteschi G, Porcu A, Capria A-L, Bertacca G, Lombardi S, Bianchini G, et al. Efficacy of Convalescent Plasma to Treat Long-Standing COVID-19 in Patients with B-Cell Depletion. Life. 2023; 13(6):1266. https://doi.org/10.3390/life13061266
Chicago/Turabian StyleTomisti, Luca, Francesca Angelotti, Mirco Lenzi, Francesco Amadori, Giovanni Sarteschi, Anna Porcu, Anna-Lisa Capria, Gloria Bertacca, Stefania Lombardi, Guido Bianchini, and et al. 2023. "Efficacy of Convalescent Plasma to Treat Long-Standing COVID-19 in Patients with B-Cell Depletion" Life 13, no. 6: 1266. https://doi.org/10.3390/life13061266
APA StyleTomisti, L., Angelotti, F., Lenzi, M., Amadori, F., Sarteschi, G., Porcu, A., Capria, A.-L., Bertacca, G., Lombardi, S., Bianchini, G., Vincenti, A., & Cesta, N. (2023). Efficacy of Convalescent Plasma to Treat Long-Standing COVID-19 in Patients with B-Cell Depletion. Life, 13(6), 1266. https://doi.org/10.3390/life13061266

