Acute Renal Vein Thrombosis Following COVID-19 in a Lupus Patient: A Case Report and Review of the Literature
Abstract
1. Introduction
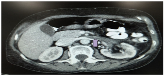
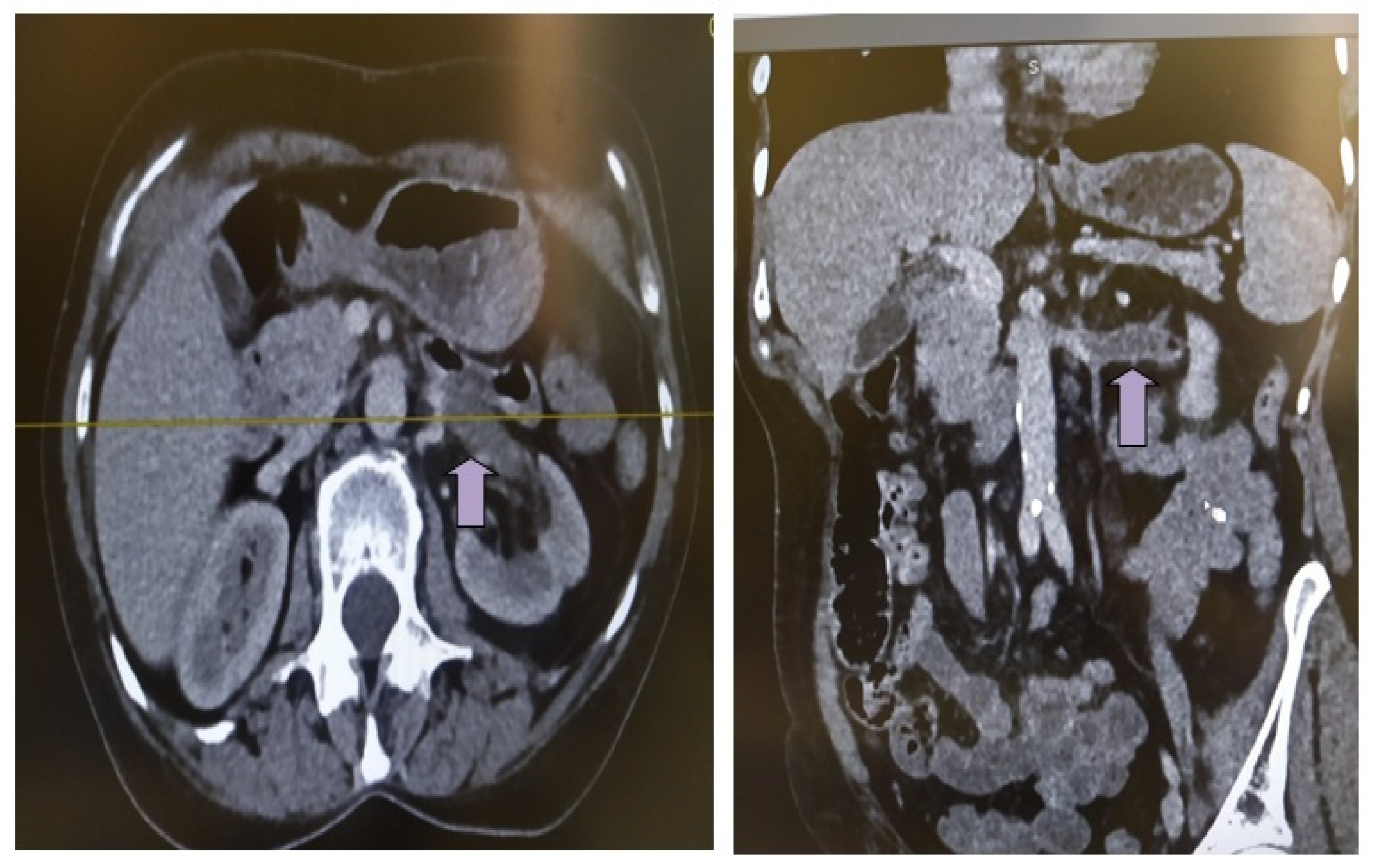
2. Case Description
3. Methods
4. Results
5. Discussion
Author Contributions
Funding
Institutional Review Board Statement
Informed Consent Statement
Data Availability Statement
Conflicts of Interest
References
- Kichloo, A.; Dettloff, K.; Aljadah, M.; Albosta, M.; Jamal, S.; Singh, J.; Wani, F.; Kumar, A.; Vallabhaneni, S.; Khan, M.Z. COVID-19 and Hypercoagulability: A Review. Clin. Appl. Thromb. Hemost. 2020, 26, 1076029620962853. [Google Scholar] [CrossRef] [PubMed]
- Lowenstein, C.J.; Solomon, S.D. Severe COVID-19 Is a Microvascular Disease. Circulation 2020, 142, 1609–1611. [Google Scholar] [CrossRef] [PubMed]
- Levey, A.S.; Stevens, L.A.; Schmid, C.H.; Zhang, Y.L.; Castro, A.F., 3rd; Feldman, H.I. CKD-EPI (Chronic Kidney Disease Epidemiology Collaboration). A new equation to estimate glomerular filtration rate. Ann. Intern. Med. 2009, 150, 604–612. [Google Scholar] [CrossRef] [PubMed]
- Kudose, S.; Batal, I.; Santoriello, D.; Xu, K.; Barasch, J.; Peleg, Y.; Canetta, P.; Ratner, L.E.; Marasa, M.; Gharavi, A.G.; et al. Kidney Biopsy Findings in Patients with COVID-19. J. Am. Soc. Nephrol. 2020, 31, 1959–1968. [Google Scholar] [CrossRef]
- Satturwar, S.; Fowkes, M.; Farver, C.; Wilson, A.M.; Eccher, A.; Girolami, I.; Pujadas, E.; Bryce, C.; Salem, F.; El Jamal, S.M.; et al. Postmortem Findings Associated With SARS-CoV-2: Systematic Review and Meta-analysis. Am. J. Surg. Pathol. 2021, 45, 587–603. [Google Scholar] [CrossRef]
- Basara Akin, I.; Altay, C.; ErenKutsoylu, O.; Secil, M. Possible radiologic renal signs of COVID-19. Abdom. Radiol. 2021, 46, 692–695. [Google Scholar] [CrossRef]
- Takamatsu, C.; Devis, P.; Tolouian, R. COVID-19 and renal infarct: To be or not to be on anticoagulation. Clin. Nephrol. Case Stud. 2021, 9, 117–122. [Google Scholar] [CrossRef]
- Xu, J.J.; Samaha, D.; Mondhe, S.; Massicotte-Azarniouch, D.; Knoll, G.; Ruzicka, M. Renal infarct in a COVID-19-positive kidney-pancreas transplant recipient. Am. J. Transpl. 2020, 20, 3221–3224. [Google Scholar] [CrossRef]
- Añazco, P.H.; Balta, F.M.; Córdova-Cueva, L. Bilateral renal infarction in a patient with severe COVID-19 infection. J. Bras. Nefrol. 2021, 43, 127–131. [Google Scholar] [CrossRef]
- Singh, T.; Chaudhari, R.; Gupta, A. Renal artery thrombosis and mucormycosis in a COVID-19 patient. Indian J. Urol. 2021, 37, 267–269. [Google Scholar] [CrossRef]
- El Shamy, O.; Munoz-Casablanca, N.; Coca, S.; Sharma, S.; Lookstein, R.; Uribarri, J. Bilateral Renal Artery Thrombosis in a Patient With COVID-19. Kidney Med. 2021, 3, 116–119. [Google Scholar] [CrossRef] [PubMed]
- Acharya, S.; Anwar, S.; Siddiqui, F.S.; Shabih, S.; Manchandani, U.; Dalezman, S. Renal artery thrombosis in COVID-19. IDCases 2020, 22, e00968. [Google Scholar] [CrossRef] [PubMed]
- Ren, L.; Liu, Q.; Wang, R.; Chen, R.; Ao, Q.; Wang, X.; Zhang, J.; Deng, F.; Feng, Y.; Wang, G.; et al. Clinicopathologic Features of COVID-19: A Case Report and Value of Forensic Autopsy in Studying SARS-CoV-2 Infection. Am. J. Forensic. Med. Pathol. 2021, 42, 164–169. [Google Scholar] [CrossRef] [PubMed]
- Daniel, E.; Sekulic, M.; Kudose, S.; Kubin, C.; Ye, X.; Shayan, K.; Patel, A.; Cohen, D.J.; Ratner, L.E.; Santoriello, D.; et al. Kidney allograft biopsy findings after COVID-19. Am. J. Transpl. 2021, 21, 4032–4042. [Google Scholar] [CrossRef] [PubMed]
- Mukherjee, A.; Ghosh, R.; Furment, M.M. Case Report: COVID-19 Associated Renal Infarction and Ascending Aortic Thrombosis. Am. J. Trop. Med. Hyg. 2020, 103, 1989–1992. [Google Scholar] [CrossRef] [PubMed]
- Bonello, E.C.; Casha, R.; Xerri, T.; Bonello, J.; Fsadni, C.; Azzopardi, C.M. Multiorgan thrombosis as a complication of COVID-19 pneumonia. BMJ Case Rep. 2021, 14, e243953. [Google Scholar] [CrossRef] [PubMed]
- Ammous, A.; Ghaffar, M.A.; El-Charabaty, E.; El-Sayegh, S. Renal infarction in COVID-19 patient. J. Nephrol. 2021, 34, 267–268. [Google Scholar] [CrossRef] [PubMed]
- Belfort, D.S.P.; Marcondes-Braga, F.G.; Mangini, S.; Cafezeiro, C.R.F.; Furlan, D.A.G.; Bacal, F. Aortic and Renal Artery Thrombosis as the First Clinical Manifestation of COVID-19 in a Heart Transplant Recipient. Arq. Bras. Cardiol. 2021, 117, 1045–1047. [Google Scholar] [CrossRef]
- Post, A.; den Deurwaarder, E.S.G.; Bakker, S.J.L.; de Haas, R.J.; van Meurs, M.; Gansevoort, R.T.; Berger, S.P. Kidney Infarction in Patients With COVID-19. Am. J. Kidney Dis. 2020, 76, 431–435. [Google Scholar] [CrossRef]
- Mantica, G.; De Rose, A.F. Renal infarction in a COVID-19 patient. Pan Afr. Med. J. 2020, 37, 182. [Google Scholar] [CrossRef]
- Tascón, G.C.; Chiriboga, D.E.S.; Ramos, R.L.; Díaz, D.D.; Ruiz, C.R.; Procaccini, F.L.; Aguilera, E.T.; Navarro, J.A.M.; Gómez, B.M.; Rivas, N.M.; et al. Infarto renal enpaciente con COVID-19 [Renal infaction in a patient with COVID-19]. Nefrologia 2021, 41, 84–87. (in Spanish). [Google Scholar] [CrossRef]
- Mavraganis, G.; Ioannou, S.; Kallianos, A.; Rentziou, G.; Trakada, G. A COVID-19 Patient with Simultaneous Renal Infarct, Splenic Infarct and Aortic Thrombosis during the Severe Disease. Healthcare 2022, 10, 150. [Google Scholar] [CrossRef] [PubMed]
- Jana, K.; Janga, K.C.; Greenberg, S.; Kumar, K. Bilateral renal infarction with COVID-19 pneumonia: A case report. Oxf. Med. Case Rep. 2021, 2021, omab121. [Google Scholar] [CrossRef] [PubMed]
- Varner, K.B.; Cox, E.J. COVID-19 as the cause of thrombosis: Recognising COVID-19 infection in apparently asymptomatic patients. BMJ Case Rep. 2021, 14, e241027. [Google Scholar] [CrossRef] [PubMed]
- Ramteke, V.V.; Tayade, A.; Belekar, V.; Barokar, R.; Rathi, V. Bilateral Renal Infarcts in a Patient with COVID-19 Pneumonia. Indian J. Nephrol. 2021, 31, 414–415. [Google Scholar] [CrossRef]
- Tantisattamo, E.; Dafoe, D.C.; Ferrey, A.J.; Ichii, H.; Lee, R.A.; Zuckerman, J.E.; Sisk, A.E.J.; Farzaneh, T.; Guccione, J.; Kabutey, N.-K.; et al. Kidney allograft infarction associated with transplant renal artery stenosis in a COVID-19 kidney transplant recipient. Clin. Nephrol. Case Stud. 2021, 9, 93–104. [Google Scholar] [CrossRef]
- Dimosiari, A.; Patoulias, D.; Michailidis, T.; Dimitroulas, T. How Should Concurrent Arterial and Venous Thrombosis Associated With SARS-CoV-2 Infection Be Managed? Eur. J. Case Rep. Intern. Med. 2022, 9, 003366. [Google Scholar] [CrossRef]
- Sethi, S.; Mehta, S.; Mahajan, R. Coronavirus Disease 2019 Infection Presenting with Renal Infarction: A Rare Case Report. Saudi J. Kidney Dis. Transpl. 2021, 32, 865–868. [Google Scholar]
- Ramanathan, M.; Chueng, T.; Fernandez, E.; Gonzales-Zamora, J. Concomitant renal and splenic infarction as a complication of COVID-19: A case report and literature review. Infez. Med. 2020, 28, 611–615. [Google Scholar]
- Huang, H.; Lin, C.; Chen, Y.; Wu, X.; Lin, M.; Chen, S.; Li, K. Renal artery thrombosis in SARS-CoV-2 infection: A case report. BMC Nephrol. 2022, 23, 175. [Google Scholar] [CrossRef]
- Varma, P.P.; Kute, V.B.; Bajpai, G. Renal graft artery thrombosis following COVID-19 infection. Nephrology 2021, 26, 932–933. [Google Scholar] [CrossRef] [PubMed]
- Berrichi, S.; Bouayed, Z.; Berrajaa, S.; Mezzeoui, S.E.; Moujahid, A.; Nasri, S.; Bkiyar, H.; Skiker, I.; Housni, B. Acute limb ischemia with concomitant splenic and renal infarcts: Thromboembolic events revealing COVID-19. Ann. Med. Surg. 2021, 68, 102646. [Google Scholar] [CrossRef]
- Jentzsch, M.S.; Hsueh, L.; Pallapati, K.J.; Mayans, K. Abdominal Pain Due to Renal Infarction: An Unexpected Presentation of COVID-19. Rhode Isl. Med. J. 2021, 104, 16–19. [Google Scholar]
- Farias, L.A.B.G.; Cruz, E.A.; Silva, A.M.H.P.D.; Almeida, T.Í.F. Renal infarction in a patient with Coronavirus Disease 2019: Another rare thrombotic event. Rev. Soc. Bras. Med. Trop. 2021, 54, e0038–e2021. [Google Scholar] [CrossRef] [PubMed]
- Mocerino, R.; Kumar, N. Acute Abdominal Pain in a COVID-19 Patient. Kidney360 2020, 1, 584–585. [Google Scholar] [CrossRef]
- Veterano, C.; Antunes, I.; Coelho, A.; Silva, I.; Almeida, R.; Pinto, P.S. Endovascular Treatment of Renal Artery Thrombosis in Living-Donor Kidney Transplant Recipient with Severe COVID-19 Disease. J. Endovasc. Ther. 2022, 29, 966–970. [Google Scholar] [CrossRef]
- Al-Mashdali, A.F.; Alwarqi, A.F.; Elawad, S.M. Simultaneous renal infarction and splenic infarction as a possible initial manifestation of COVID-19: A case report. Clin. Case Rep. 2021, 9, e04819. [Google Scholar] [CrossRef]
- Kenizou, D.; Perrin, C.; Harzallah, I.; Bresson, D.; Allimant, P.; Calcaianu, M.; Lawson, B.; Morisset, B.; Zuily, S.; Jacquemin, L.; et al. Multiple Arterial Thrombosis in a 78-Year-Old Patient: Catastrophic Thrombotic Syndrome in COVID-19. CJC Open 2021, 3, 198–200. [Google Scholar] [CrossRef]
- Imoto, W.; Kaga, S.; Noda, T.; Oshima, K.; Mizobata, Y.; Kakeya, H. Coronavirus disease with multiple infarctions. QJM 2020, 113, 907–908. [Google Scholar] [CrossRef]
- Fluss, G.; Cranwell, V.; Rao, A.; Lee, J.S.; Elshafey, R.; Wallack, M.; Finlay, D. COVID-19 Delta variant resulting in multi system thromboembolic disease. Ann. Vasc. Surg Brief. Rep. Innov. 2022, 2, 100101. [Google Scholar] [CrossRef]
- Horiguchi, T.; Tsukamoto, T.; Toyama, Y.; Sasaki, T.; Nakamura, T.; Sakurai, A.; Kuriyama, N.; Komatsu, S.; Shigeyasu, Y.; Ina, T.; et al. Fatal disseminated mucormycosis associated with COVID-19. Respirol. Case Rep. 2022, 10, e0912. [Google Scholar] [CrossRef]
- Kurien, A.A.; Srinivasaprasad, N.D.; Valavan, K.T. Renal infarction due to COVID-19-associated renal mucormycosis. Kidney Int. 2022, 101, 655. [Google Scholar] [CrossRef] [PubMed]
- Belfiore, M.P.; Russo, G.M.; Gallo, L.; Atripaldi, U.; Tamburrini, S.; Caliendo, V.; Impieri, L.; Del Canto, M.T.; Ciani, G.; Parrella, P.; et al. Secondary Complications in COVID-19 Patients: A Case Series. Tomography 2022, 8, 1836–1850. [Google Scholar] [CrossRef]
- Al Mousa, S.S.; Ashraf, A.; Abdelrahman, A.M. Don’t overlook flank pain in apparently asymptomatic COVID-19 cases: A case report and literature review. Saudi Med. J. 2022, 43, 307–312. [Google Scholar] [CrossRef] [PubMed]
- Vasquez Espinosa, W.A.; Santos Argueta, A.; Hurtado Tandazo, V.A.; Vasquez Espinosa, C.F. A Case Report of a Young Female With Renal Infarction Secondary to Breakthrough COVID Infection. Cureus 2022, 14, e25527. [Google Scholar] [CrossRef] [PubMed]
- Jain, A.; Bector, G.; Jain, D.; Makkar, V.; Mehta, S. Renal Artery Thrombosis with Renal Infarction Secondary to COVID-19 Infection: A Rare Presentation. Indian J. Nephrol. 2022, 32, 191–192. [Google Scholar] [PubMed]
- Murray, N.P.; Fuentealba, C.; Reyes, E.; Salazar, A. Renal infarction associated with asymptomatic COVID-19 infection. Hematol. Transfus. Cell Ther. 2021, 43, 353–356. [Google Scholar] [CrossRef]
- Brem, F.L.; Tayef, T.A.A.; Rasras, H.; Mahi, O.E.; Ouafi, N.E.; Zakaria, B. Concomitant renal and splenic infarctions in a COVID-19-patient with a catastrophic thrombotic syndrome. Radiol. Case Rep. 2022, 17, 4030–4033. [Google Scholar] [CrossRef]
- Philipponnet, C.; Aniort, J.; Chabrot, P.; Souweine, B.; Heng, A.-E. Renal artery thrombosis induced by COVID-19. Clin. Kidney J. 2020, 13, 713. [Google Scholar] [CrossRef]
- Mancini, M.; Randazzo, G.; Piazza, G.; Moro, F.D. Arterial Thrombotic Complications in COVID-19: A Case of Renal Infarction. Biomedicines 2022, 10, 2354. [Google Scholar] [CrossRef]
- Asleson, L.; Zalabani, M.; Selim, M. A Case of Renal Vein Thrombosis Associated With COVID-19 Treated with Rivaroxaban. Cureus 2022, 14, e29491. [Google Scholar] [CrossRef]
- Mirfakhraee, H.; Larijani, S.S.; Zandieh, Z.; Tizmaghaze, A.; Olamaeian, F.; Tayebi, A.; Niksolat, M. Renal vein thrombosis in a recent COVID-19 patient; a case report. J. Ren. Inj. Prev. 2022, 12, e319972022. [Google Scholar] [CrossRef]
- Kincaid, K.J.; Simpkins, A.N. Failure of Anticoagulation to Prevent Stroke in Context of Lupus-Associated Anti-Phospholipid Syndrome and Mild COVID-19. J. Stroke Cerebrovasc. Dis. 2021, 30, 105817. [Google Scholar] [CrossRef]
- Yarkan Tuğsal, H.; İzdeş, S.; Küçükşahin, O. 20-Year-old female with fever, cough, and dyspnea: Acute lupus pneumonitis during the pandemic of coronavirus disease 2019 (COVID-19). Lupus 2021, 30, 1856–1862. [Google Scholar] [CrossRef] [PubMed]
- Aguirre-Alastuey, M.E.; Suárez-Díaz, S.; Rodríguez-Jerez, F.; Coto-Hernández, R.; Caminal-Montero, L. Venous thrombosis in a systemic lupus erythematosuspatient with antiphospholipid antibodies coinciding with mild COVID-19. Lupus 2021, 30, 172–174. [Google Scholar] [CrossRef]
- Nespola, M.; Sirignano, P.; Fermani, N.; Battocchio, C.; Tosti, F.; Pranteda, C.; Taurino, M. Treatment-Resistant Acute Upper Limb Ischemia in a Patient with Systemic Lupus Erythematous and Concomitant SARS-CoV-2 Infection: A Case Report. Ann. Vasc. Surg. 2021, 76, 289–292. [Google Scholar] [CrossRef]
- Plotz, B.; Castillo, R.; Melamed, J.; Nuovo, G.; Magro, C.; Rosenthal, P.; Belmont, H.M. Focal small bowelthrombotic microvascular injury in COVID-19 mediated by the lectin complement pathway masquerading as lupus enteritis. Rheumatology 2020, 60, e61–e63. [Google Scholar] [CrossRef]
- Mantovani Cardoso, E.; Hundal, J.; Feterman, D.; Magaldi, J. Con-comitant new diagnosis of systemic lupus erythematosus andCOVID-19 with possible antiphospholipid syndrome. Just a coincidence? A case report and review of intertwining pathophysiology. Clin. Rheumatol. 2020, 39, 2811–2815. [Google Scholar] [CrossRef] [PubMed]
- Kollias, A.; Kyriakoulis, K.G.; Lagou, S.; Kontopantelis, E.; Stergiou, G.S.; Syrigos, K. Venous thromboembolism in COVID-19: A systematic review and meta-analysis. Vasc. Med. 2021, 26, 415–425. [Google Scholar] [CrossRef] [PubMed]
- Sauerberg, N.; Khan, Y.S. Renal Artery Thrombosis. 2022 May 3. In StatPearls [Internet]; StatPearls Publishing: Treasure Island, FL, USA, 2022. [Google Scholar]
- Oh, Y.K.; Yang, C.W.; Kim, Y.-L.; Kang, S.-W.; Park, C.W.; Kim, Y.S.; Lee, E.Y.; Han, B.G.; Lee, S.H.; Kim, S.-H.; et al. Clinical Characteristics and Outcomes of Renal Infarction. Am. J. Kidney Dis. 2016, 67, 243–250. [Google Scholar] [CrossRef] [PubMed]
- Asghar, M.; Ahmed, K.; Shah, S.S.; Siddique, M.K.; Dasgupta, P.; Khan, M.S. Renal vein thrombosis. Eur. J. Vasc. Endovasc Surg. 2007, 34, 217–223. [Google Scholar] [CrossRef] [PubMed]
- D’Cruz, D.P. Renal manifestations of the antiphospholipid syndrome. Lupus 2005, 14, 45–48. [Google Scholar] [CrossRef] [PubMed]
- Llach, F.; Papper, S.; Massry, S.G. The clinical spectrum of renal vein thrombosis: Acute and chronic. Am. J. Med. 1980, 69, 819–827. [Google Scholar] [CrossRef] [PubMed]
- Kelddal, S.; Hvas, A.M.; Grove, E.L.; Birn, H. Safety and effectiveness of direct oral anticoagulants in patients with nephrotic syndrome: A report of 21 cases. BMC Nephrol. 2022, 23, 305. [Google Scholar] [CrossRef]
- Rodríguez, Y.; Novelli, L.; Rojas, M.; De Santis, M.; Acosta-Ampudia, Y.; Monsalve, D.M.; Ramírez-Santana, C.; Costanzo, A.; Ridgway, W.M.; Ansari, A.A.; et al. Autoinflammatory and autoimmune conditions at the crossroad of COVID-19. J. Autoimmun. 2020, 114, 102506. [Google Scholar] [CrossRef]
- Zhong, J.; Shen, G.; Yang, H.; Huang, A.; Chen, X.; Dong, L.; Wu, B.; Su, L.; Hou, X.; Song, S.; et al. COVID-19 in patients with rheumatic disease in Hubei province, China: A multicentre retrospective observational study. Lancet Rheumatol. 2020, 2, e557–e564. [Google Scholar] [CrossRef]
- Reyes Gil, M.; Barouqa, M.; Szymanski, J.; Gonzalez-Lugo, J.D.; Rahman, S.; Billett, H.H. Assessment of Lupus Anticoagulant Positivity in Patients with Coronavirus Disease 2019 (COVID-19). JAMA Netw. Open. 2020, 3, e2017539. [Google Scholar] [CrossRef]
- Sakthiswary, R.; Chuah, H.Y.; Chiang, K.S.; Liew, Y.S.; Muhammad Aizat, N.A. COVID-19 in systemic lupus erythematosus: A pooled analysis and systematic review of case reports and series. Lupus 2021, 30, 1946–1954. [Google Scholar] [CrossRef]


| Before COVID-19 (2 Months Prior) | After COVID-19 (20 Days Prior) | Upon Presentation | Follow-Up (3 Months After) | |
|---|---|---|---|---|
| WBC (103/μL) | 9.700 | 9900 | 10.100 | 6.500 |
| Neut (103/μL) | 8.383 | |||
| Hgb(gr/dL) | 13 | 13.5 | 12 | 13.5 |
| PLT (103/μL) | 200.000 | 234.000 | 152.000 | 248.000 |
| CRP (mg/dL) | 4 | 9 | 85 | 5 |
| Serum Urea (mg/dL) | 61 | 72 | 56 | 270 |
| Serum Creat (mg/dL) | 1.1 | 1.2 | 1 | 1.1 |
| eGFR (mL/min/1.73 m2) | 52 | 47 | 58 | 52 |
| Na+ (mmol/L) | 143 | 143 | 138 | 142 |
| K+ (mmol/L) | 4.1 | 4.2 | 4.4 | 4.4 |
| Ca2+ (mg/dL) | 9.2 | 9.2 | 8.8 | 9.3 |
| alb (g/dL) | 3.3 | 3.4 | 3.5 | 3.6 |
| Urine | RBC 2–3/hpf | RBC 1–2/hpf | RBC 10–20/hpf, | RBC 2–3/hpf |
| WBC 0–2/hpf | WBC 1–2/hpf | WBC 0–2/hpf | WBC 1–2/hpf | |
| Proteinuria (mg/24 h) | 650 | NA | 850 | 900 |
| Author- Continent | S | Infarction Type (A/V) | Native/ Allograft | Gender -Age | SLE | CKD | AF | Unilateral /Bilateral |
|---|---|---|---|---|---|---|---|---|
| Kudose et al [4], USA | 1 | A | Na | M50 | N | N | N | U |
| Satturwar et al. [5], USA | 4 | A | Na | M52,M53, F48, F49 | N | N | N | 1B 3U |
| Akin et al. [6], AS | 1 | A | Na | M48 | N | N | N | U |
| Takamatsu et al. [7], USA | 1 | A | Na | M71 | N | N | N | B |
| Xu et al. [8], USA | 1 | A | Allo | M46 | N | Y | N | U |
| Añazco et al [9], SA | 1 | A | Na | F41 | N | N | N | B |
| Singh et al. [10], AS | 1 | A | Na | M32 | N | N | N | U |
| El Shamy et al. [11], USA | 1 | A | Na | F60 | N | N | Y | B |
| Acharya et al. [12], USA | 1 | A | Na | F77 | N | N | N | U |
| Ren et al. [13], AS | 1 | A | Na | F53 | N | N | N | U |
| Daniel et al [14], USA | 1 | A | Allo | M29 | N | Y | N | U |
| Mukherjee et al. [15], US | 1 | A | Na | M71 | N | N | N | U |
| Bonello et al. [16], EU | 1 | A | Na | M47 | N | N | N | B |
| Ammous et al. [17], USA | 1 | A | Na | M62 | N | N | N | U |
| Belfort et al. [18], USA | 1 | A | Na | M28 | N | N | N | U |
| Post et al. [19], EU | 2 | A A | Allo Na | M62 M58 | N N | Y N | N N | U U |
| Mantica et al. [20], EU | 1 | A | Na | F67 | N | N | N | U |
| Tascón et al. [21], EU | 1 | A | Na | M56 | N | N | N | U |
| Mavraganis et al. [22], EU | 1 | A | Na | M64 | N | N | N | U |
| Jana et al. [23], USA | 1 | A | Na | M37 | N | N | N | B |
| Varmer et al. [24], USA | 1 | A | Na | M46 | N | N | N | U |
| Rametke et al. [25], AS | 1 | A | Na | M66 | N | N | N | B |
| Tantisattamo et al. [26], USA | 1 | A | Allo | F33 | N | N | N | U |
| Dimosiari et al. [27], EU | 1 | A | Na | M75 | N | N | N | B |
| Sethi et al. [28], AS | 1 | A | Na | M62 | N | N | N | U |
| Ramanthan et al. [29], USA | 1 | A | Na | M54 | N | N | N | U |
| Huang et al. [30], AS | 1 | A | Na | M62 | N | N | N | U |
| Varma et al. [31], AS | 1 | A | Allo | M47 | N | N | N | U |
| Berrichi et al. [32], AFR | 1 | A | Na | M45 | N | N | N | B |
| Jentzsch et al. [33], USA | 1 | A | Na | F28 | N | N | N | U |
| Farias et al. [34], SA | 1 | A | Na | M37 | N | N | N | U |
| Mocerino et al. [35], USA | 1 | A | Na | F69 | N | N | N | U |
| Veterano et al. [36], EU | 1 | A | Allo | F56 | N | Y | N | U |
| Al-Mashdali et al. [37], AS | 1 | A | Na | M43 | N | N | N | U |
| Kenizou et al. [38], EU | 1 | A | Na | M78 | N | N | N | U |
| Imoto et al. [39], AS | 1 | A | Na | M64 | N | N | N | B |
| Fluss et al. [40], USA | 1 | A | Na | M60 | N | N | N | U |
| Horiguchi et al. [41], AS | 1 | A | Na | M58 | N | N | N | U |
| Kurien et al. [42], AS | 1 | A | Na | M32 | N | N | N | B |
| Belfiore et al. [43], EU | 1 | A | Na | F76 | N | N | N | B |
| Al Mousa et al. [44], AS | 1 | A | Na | M31 | N | N | N | U |
| Espinosa et al. [45], USA | 1 | A | Na | F21 | N | N | N | U |
| Jain et al. [46], AS | 1 | A | Na | M62 | N | N | N | U |
| Murray et al. [47], SA | 1 | A | Na | M25 | N | N | N | U |
| Brem et al. [48], AFR | 1 | A | Na | M59 | N | N | N | U |
| Philipponnet et al. [49], EU | 1 | A | Na | M52 | N | Y | N | U |
| Mancini et al. [50], EU | 1 | A | Na | M43 | N | N | N | U |
| Asleson et al. [51], USA | 1 | V | Na | F44 | N | N | N | U |
| Mirfakhraee et al. [52], AS | 1 | V | Na | M74 | N | N | N | U |
| Author- Continent | S | Gender -Age | SLE Duration | Prior History of APS | System Involvement | Immunological Factors | SLE Medications | Type of Coagulopathy |
|---|---|---|---|---|---|---|---|---|
| Kincaid et al. [53], USA | 1 | F43 | 10 years | Y | Neuropsychiatric | NA | HCQ, MMF, Oral CS, Warfarin | Acute ischemic cerebral stroke |
| Tuğsal et al. [54], AS | 1 | F20 | New-onset | N | Respiratory, pleural effusions, pericardial effusion | Positive ANA, anti-ds DNA | NA | Spleen infarct |
| Aguirre-Alastuey et al. [55], EU | 1 | F22 | 2 years | N | Arthritis, thrombocytopenia | Positive ANA, anti-ds DNA, aPL | HCQ MTX Oral CS aspirine | DVT, PE, Secondary APS |
| Nespola et al. [56], EU | 1 | F47 | NA | N | NA | Positive LA | Oral CS | Acute treatment-resistant recuurent upper limb ischemia |
| Plotz et al. [57], USA | 1 | F27 | 4 years | N | Haematological, Cutaneous, arthritis | Positive ANA, anti-ds DNA, anti-Ro, anti-La, Low c3,c4 | NA | Smallintestinalmicrovascularthrombosis |
| Mantovani et al. [58], USA | 1 | F18 | New-onset | N | Haematological, renal, respiratory, pleural effusions, pericardial effusion, and tamponade | NA | NA | DVT, Secondary APS |
Disclaimer/Publisher’s Note: The statements, opinions and data contained in all publications are solely those of the individual author(s) and contributor(s) and not of MDPI and/or the editor(s). MDPI and/or the editor(s) disclaim responsibility for any injury to people or property resulting from any ideas, methods, instructions or products referred to in the content. |
© 2023 by the authors. Licensee MDPI, Basel, Switzerland. This article is an open access article distributed under the terms and conditions of the Creative Commons Attribution (CC BY) license (https://creativecommons.org/licenses/by/4.0/).
Share and Cite
Petrou, D.; Sardeli, A.; Vlachoyiannopoulos, P.; Moschovaki-Zeiger, O.; Lionaki, S. Acute Renal Vein Thrombosis Following COVID-19 in a Lupus Patient: A Case Report and Review of the Literature. Life 2023, 13, 1252. https://doi.org/10.3390/life13061252
Petrou D, Sardeli A, Vlachoyiannopoulos P, Moschovaki-Zeiger O, Lionaki S. Acute Renal Vein Thrombosis Following COVID-19 in a Lupus Patient: A Case Report and Review of the Literature. Life. 2023; 13(6):1252. https://doi.org/10.3390/life13061252
Chicago/Turabian StylePetrou, Dimitra, Aggeliki Sardeli, Panayiotis Vlachoyiannopoulos, Ornella Moschovaki-Zeiger, and Sophia Lionaki. 2023. "Acute Renal Vein Thrombosis Following COVID-19 in a Lupus Patient: A Case Report and Review of the Literature" Life 13, no. 6: 1252. https://doi.org/10.3390/life13061252
APA StylePetrou, D., Sardeli, A., Vlachoyiannopoulos, P., Moschovaki-Zeiger, O., & Lionaki, S. (2023). Acute Renal Vein Thrombosis Following COVID-19 in a Lupus Patient: A Case Report and Review of the Literature. Life, 13(6), 1252. https://doi.org/10.3390/life13061252

