Abstract
The accumulation of body fat due to an imbalance between calorie intake and energy expenditure is called obesity. Metabolic syndrome increases the risk of heart disease, type 2 diabetes, and stroke. The purpose of this study was to determine the effect of Jatropha tanjorensis (J.T.) and Fraxinus micrantha (F.M.) leaf extracts on high-fat diet-induced obesity in rats. Normal control, high-fat diet (HFD) control, orlistat standard, and test groups were created using male Albino Wistar rats (n = 6 per group) weighing 190 ± 15 g. Except for the control group, all regimens were administered orally and continued for 6 weeks while on HFD. Evaluation criteria included body weight, food intake, blood glucose, lipid profile, oxidative stress, and liver histology. High-Performance Thin Layer Chromatography (HPTLC) analysis was performed using a solvent system (7:3 hexane: ethyl acetate for sitosterol solution and Jatropha tanjorensis extracts and 6:4 hexane: ethyl acetate: 1 drop of acetic acid for esculetin and Fraxinus micrantha extracts). There were no deaths during the 14 days before the acute toxicity test, indicating that aqueous and ethanolic extracts of both J.T. and F.M. did not produce acute toxicity at any dose (5, 50, 300, and 2000 mg/kg). The ethanolic and aqueous extracts of J.T. and F.M. leaves at 200 and 400 mg/kg/orally showed a reduction in weight gain, feed intake, and significant decreases in serum glucose and lipid profile. As compared to inducer HFD animals, co-treatment of aqueous and ethanolic extract of both J.T. and F.M. and orlistat increased the levels of antioxidant enzymes and decreased lipid peroxidation. The liver’s histological findings showed that the sample had some degree of protection. These results indicate that ethanolic samples of J.T. have antidiabetic potential in diabetic rats fed an HFD. The strong antioxidant potential and restoration of serum lipid levels may be related to this. Co-treatment of samples JTE, JTAQ, FME, FMAQ and orlistat resulted in an increase in antioxidant enzymes and reduction in lipid peroxidation as compared to inducer HFD animals. We report, for the first time, on using these leaves to combat obesity.
1. Introduction
With more than 312 million clinically obese people worldwide, obesity is one of the most serious public health problems of the 21st century [1]. One of the hallmarks of obesity is the accumulation of fat in adipose tissue and other internal organs [2,3,4]. Many chronic diseases can be caused by obesity, including type 2 diabetes, heart disease, hyperlipidemia, atherosclerosis, certain cancers, and osteoarthritis [5]. Obesity, along with high social and health costs, increases morbidity and mortality worldwide. As a result, several attempts are being made to find anti-obesity drugs worldwide [6,7,8].
Consumers are drawn to naturally derived anti-obesity products due to the widespread belief that anything natural should be more effective and safer than traditional treatments. Sibutramine, orlistat, and rimonabant in particular have been associated with numerous serious side effects, including gastrointestinal problems and serious cardiovascular side effects [9]. Therefore, the current search for new anti-obesity drugs derived from natural sources due to their favorable pharmacological profile and low side effects has become the current strategy [10]. In wet forest areas of West Africa, Jatropha tanjorensis J. L. Ellis & Saroja (Euphorbiaceae) are typical weeds found in crops, shrub shoots, roadsides, and disturbed areas [11]. As a hybrid, it is a perennial herb with an intermediate phenotype between Jatropha curcas and Jatropha gossypifolia [12,13]. Catholic Vegetable, Jatropha, Hospital Too Far, and Jana Ifaya are just some of the common names [14,15]. In veterinary medicine, as well as in traditional and folk medicine, all parts of the plant, including the seeds, leaves, and bark, are used regardless of whether they are used fresh or in decoction form. According to early research, the antioxidant minerals phosphorus, selenium, zinc, and vitamins C and E are found in abundance in the Jatropha tanjorensis plant [16]. Phytochemical analysis of Jatropha tanjorensis leaves has revealed the presence of biologically active constituents such as alkaloids, flavonoids, tannins, cardiac glycosides, anthraquinones, and saponins [17,18]. The leaves of the plant have been widely used in tonics and soups originally from Nigeria and are known to increase blood volume. An infusion of Jatropha tanjorensis leaves is taken orally in southwestern Nigeria to treat symptoms of diabetes. The antidiabetic activities of the J.T. ethanolic extracts (JTE), namely JTE chloroform, JTE ethylacetate, JTE aqueous, have been evaluated [19]. The antibacterial and anti-inflammatory effects of leaf extracts in hexane, chloroform, and methanol are different [20].
The leaves and stems of Jatropha curcas and Jatropha tanjorensis have been studied from morphological and anatomical points of view [18,21]. Acute and subacute toxicity and microscopic examination of Jatropha tanjorensis leaves have been described [22], as well as the antibacterial activity of aqueous leaf extracts [23]. A versatile temperate deciduous tree species of the Himalayas of outstanding medicinal potential and ethnobotanical importance is Fraxinus micrantha, Lingelsh (also known by its native name Angu, English name Ash and surname Oleaceae). Fraxinus micrantha is one of the ashes found in Asia, mainly in India and Nepal. It can be found in the Indian states of Himachal Pradesh and Uttar Pradesh [24].
Since ancient times, Fraxinus micrantha has been researched for both its medicinal and economic benefits. The inner bark infusion is used locally by Dharchula, Himalayan residents to cure liver enlargement, jaundice, and other liver ailments [25]. Due to the presence of numerous glycosides, including fraxin, and an active diuretic agent called coumarin glycoside, Fraxinus species have been employed in folk medicine for their purgative and diuretic effects. Additionally, the leaves and the bark are used to cure cystitis, rheumatoid arthritis, constipation, and itchy scalps [26]. The discovery of the secoiridoid glucosides, which are significant metabolites in the genus of the family Oleaceae, has led to an increase in interest in the phytochemistry of Fraxinus in recent years [27].
Because of their similarity to human obesity and associated metabolic effects, the animal model of diet-induced obesity is one of the most widely used and reliable models for obesity research. The result is increased food intake, weight gain, body fat accumulation, impaired lipid profile, lack of antioxidant stability, and increased insulin resistance parameters [28,29]. Therefore, this study aimed to evaluate the effects of alcoholic and aqueous extracts of Jatropha tanjorensis and Fraxinus micrantha leaves on high-fat diet-induced obesity in rats.
2. Materials and Methods
2.1. Plant Material
Fresh leaves of Jatropha tanjorensis were collected from near Coimbatore, India, while the leaves of Fraxinus micrantha were collected in May from Nainital, Kumaun, Himalayas, India. Both drugs were identified from Vital Herbs, Uttam Nagar, Delhi. The leaves were dried at a constant weight in the air at room temperature, and then the leaves were crushed.
2.2. Chemical Reagents
All chemicals used in this study were obtained from the Hi Media Laboratories Pvt. Ltd. (Mumbai, India), Sigma-Aldrich Chemical Co. (Milwaukee, WI, USA), SD Fine-Chem. Ltd. (Mumbai, India), and SRL Pvt. Ltd. Chlorpheniramine maleate and clonidine were obtained from Unichem, Ltd. (Alchem, Mumbai). Only analytical grade compounds were used in the study.
2.3. Extract
2.3.1. Ethanol Extract
A total of 150 gm of powdered leaves of F.M. and 50 gm of dry powder leaves of J.T. were placed in a Soxhlet device with a thimble. An organic solvent was used for extraction, i.e., ethanol, for 8–10 h and the temperature of the mantle heater was adjusted to 40–60 °C. After the extraction process, the sample extract was filtered and concentrated to dryness. Extracts were collected in sealed containers [30]. Yields of all extracts were calculated.
2.3.2. Water Extract
Coarse powder of leaves (150 g of J.T. and 50 g of F.M.) was boiled in distilled water for 15 min. After leaving this at room temperature for 15 min, it was filtered through a muslin cloth. The resulting solution was boiled again to obtain a thick concentrated extract. After drying, the extract was collected in a sealed container [31]. Extraction yields of all extracts were calculated.
2.4. High-Performance Thin Layer Chromatography (HPTLC)
HPTLC was performed on silica gel 60 F254 100 × 100 mm plates (Merck) with hexane: ethyl acetate (7:3 v/v) as mobile phase for the standard (β-sitosterol) solution (2–10 µL) and J.T. (0.2–0.3 µL); and hexane: ethyl acetate: 1 drop of acetic acid (6:4 v/v) as mobile phase for the standard (esculetin) solution (1–4 µL) and F.M. (1–3 µL). These were applied to the plate as 8 mm bands. Application of the sample was performed with CAMAG-Linomat 5 Automated spray on a band applicator equipped with a 100 µL syringe and operated with the settings: band length 8 mm, application rate 150 nL/s, application volume 0.20 µL, distance between track 14.4 mm, distance from the plate side edge 15.0 mm and solvent front position 70 mm. CAMAG TLC visualizes 2 and was used densitometrically to scan the bands. The scanner operating parameters were set to mode absorption/reflection at an optimized wavelength of 254, 366 nm, and in the visible range. Integration parameters were set to gauss (legacy) with sensitivity 0.1, separation 1, and threshold 0.1.
2.5. HFD-Induced Obesity
Albino Wistar rats weighing 190 ± 15 g obtained from the breeding farm of the Pinnacle Biomedical Research Institute (PBRI), Bhopal, were selected. They were then divided into groups of 6 with controlled temperature and humidity (25 ± 2 °C, 55–65%). Rats were provided regular rodent chow and unlimited water. Adult male Wistar rats were acclimated to laboratory conditions for 2 weeks.
All studies were conducted indoors without background noise. Each study set used a different group of rats (n = 6). The Institutional Animal Ethics Committee (IAEC) of the Pinnacle Biomedical Research Institute (PBRI) approved animal studies by Bhopal, India (Reg. No. 1824/PO/ERe/S/15/CPCSEA). The protocol approval reference number is PBRI/IAEC/10-09-22/012. A normal control group (NC) of 6 rats was randomly divided and fed a typical diet. Afterwards, animals in different experimental groups were given sufficient food and water along with a high-fat diet for 6 weeks. The high-fat content was obtained by mixing coconut oil with vanaspati Indian ghee in a ratio of 3:1 (v/v). Rats were fed daily at a dose of 3 mL per kg of body weight.
2.6. Acute Toxicity Studies
J.T. and F.M.’s acute toxicity investigation was completed according to the Organisation for Economic Cooperation and Development (OECD) guidelines [32]. Four treatment groups with dosages of 5 mg/kg, 50 mg/kg, 300 mg/kg, and 2000 mg/kg body weight were included in the test groups. Using an appropriate intubation canula or a specifically developed oral needle, the test drug was gavaged in a single dose. Before dosing, animals were fasted for three hours (only food was withheld for 3 h but not water). The animals were closely monitored for behavioral changes, mortality, and appearance starting in the first four hours, then occasionally over the next twenty-four hours, and finally daily for a period of two weeks up to fourteen days [33].
2.7. Experimental Design
Wistar rats were divided into control and preventive groups with at least six animals each.
Group I: normal control; rats were administered saline/vehicle.
Group II: HFD Control; animals were fed a standard granulated diet with an HFD of 3 mL daily for 6 weeks.
Group III: Standard Medication Treatment; animals were fed a standard granular diet with 3 mL of HFD daily for 6 weeks. After 3 weeks of the study, 30 mg/kg/day of orlistat was administered after 3 weeks of HFD, and this continued for the remaining 3 weeks; this was regarded as the standard group.
Group IV: Animals were fed a standard granular diet with an HFD of 3 mL daily for 6 weeks. After 3 weeks of the study, HFD was fed for 3 weeks, then JTAQ 200 mg/kg/day was administered and continued until the remaining 3 weeks; this was considered a treatment group.
Group V: Animals were fed a standard granulated diet with an HFD of 3 mL daily for 6 weeks. After 3 weeks of the study, HFD was fed for 3 weeks, then JTAQ 400 mg/kg/day was administered and continued until the remaining 3 weeks; this was considered a treatment group.
Group VI: Animals were fed a standard granular diet with 3 mL of HFD daily for 6 weeks. After 3 weeks of the study, 200 mg/kg/day of JTE was administered after 3 weeks of HFD and continued for the remaining 3 weeks; this was considered a treatment group.
Group VII: Animals were fed a standard granulated diet with an HFD of 3 mL daily for 6 weeks. After 3 weeks of study, 400 mg/kg/day of JTE was administered after 3 weeks of HFD and continued for the remaining 3 weeks; this was considered a treatment group.
Group VIII: Animals were fed a standard granulated diet with an HFD of 3 mL daily for 6 weeks.
After 3 weeks of the study, 200 mg/kg/day of FMAQ was administered after 3 weeks of high-fat diet food, and continued until the remaining 3 weeks; this was considered a treatment group.
Group IX: Animals were fed a standard granulated diet with an HFD of 3 mL daily for 6 weeks. After 3 weeks of the study, HFD was fed for 3 weeks, and FMAQ 400 mg/kg/day was administered, and continued until the remaining 3 weeks; this was considered a treatment group.
Group X: Animals were fed a standard granulated diet with an HFD of 3 mL daily for 6 weeks. After 3 weeks of the study, HFD was fed for 3 weeks, and FME 200 mg/kg/day was administered, and continued until the remaining 3 weeks; this was considered a treatment group.
Group XI: Animals were fed a standard granular diet containing 3 mL of an HFD for 6 weeks. After 3 weeks of the study, HFD was fed for 3 weeks, then PME 400 mg/kg/day was administered and continued until the remaining 3 weeks; this was considered a treatment group.
2.8. Study Parameters
Body weight, blood glucose, lipid profile, oxidative stress, and liver histology were investigated as variables. After animals were sacrificed at the end of the study, blood parameters and oxidative stress markers were examined. Then, the liver was washed thoroughly with ice-cold saline and Tris-HCl buffer (0.1 M, pH 7.4) for antioxidant assay. Total cholesterol (TC) and triglyceride (TG) levels were assessed using a commercial assay kit (SPAN Diagnostics Ltd., Surat, India) according to the manufacturer’s instructions. High-density lipoprotein (HDL) levels were measured using the HDL test kit (Reckon Diagnostics Pvt. Ltd.,. Baroda, India). The Friedewald equation was used to calculate the concentration of LDL [34].
2.8.1. LDL Level
Serum LDL level (mg/dl) = total cholesterol − (HDL level + VLDL level)
2.8.2. Oxidation Markers
Superoxide Dismutase (SOD)
The red formazan dye reduction process produces superoxide radicals, which are detected by the superoxide dismutase assay kit using a tetrazolium salt. One unit (U) of SOD activity is the amount of enzyme required to demonstrate 50% superoxide radical dismutation. In a nutshell, 0.1 mL of sample was introduced together with 1.2 mL of buffer containing 0.052 M sodium pyrophosphate, 186 µM phenazine methosulphate, 300 µM nitroblutetrazolium, and 0.2 µM NADH, with 90 s of incubation time at 30 °C. Glacial acetic acid, 0.1 mL, was added and then we added 4.0 mL of n-butanol and stirred. After 10 min of standing time, the butanol layer and centrifuge were separated. At 560 nm, the reduction was measured, and the percentage of SOD inhibition in comparison to the control was calculated. Unit U/mg tissue was used to determine and express one unit of SOD [35].
Malondialdehyde (MDA)
Through the measurement of thiobarbituric acid reactive material, liver peroxidation was discovered (TBARS). In a nutshell, 0.2 mL of an aliquot had 0.2 mL 8.1% SDS, 1.5 mL 20% acetic acid, and 1.5 mL 8% TBA added to it (made up to a volume of 4 mL with distilled water). Using a glass ball as the condenser, this was heated in a water bath for 60 min, then cooled and made up to a volume of 5 mL. Then, 5 mL of butanol: pyridine was added (15:1). The mixture was centrifuged at 3000 rpm for 10 min after being vortexed for 2 min. Then we removed the top layer of the mixture, and then used a UV-Vis Spectrophotometer to measure the pink product’s absorbance at 532 and 600 nm wavelengths (Systronic-2202). The difference in absorbance was measured and contrasted with that of standard solutions of varying concentrations of malonaldehyde tetramethyl acetal. Nmol MDAm/g tissue was used to express MDA activity [36].
Reduced Glutathione (GSH)
Through a linked reaction with GR, the glutathione peroxidase test kit indirectly assesses GPx activity. Glutathione becomes oxidized when hydroperoxide is reduced by GPx; this oxidized glutathione is then recycled to its reduced state by GR and NADPH. The absorbance falls as NADPH is converted to NADP+ through oxidation. A total of 10% by weight of tissue homogenate in a pH 7.4 phosphate buffer solution, 1.5 mL of 20% TCA and 1.5 mL of 1 mM EDTA were combined with 0.2 mL of homogenate and left to sit for 15 min. Then it received 10 min of centrifuging at 2000 rpm. The supernatant (400 L) was collected, and the supernatant was transferred to a fresh tube containing 1.8 mL of Elman’s reagent (0.1 mM 5,5′-dithiol bis-2-nitrobenzoic acid produced in 0.3 M phosphate buffer, pH 7 with 1% sodium citrate solution; keep at 0–4 °C in the dark). Distilled water was used to maintain volumes of up to 2 mL. At 412 nm, the absorbance was measured [37].
2.8.3. Histopathology
Liver samples were immersed in a 10% formalin solution for histological analysis. These tissues were prepared, dehydrated with different concentrations of alcohol, washed with toluene, and immersed in molten paraffin wax for specified times. Freshly melted paraffin wax was used to pour the treated fabric and then the wax was allowed to harden. To demonstrate the general structure of the tissue, sections were produced at 3 μm thickness, dried on a hot plate for 15 min, and then stained with hematoxylin and 1% eosin aqueous solution. Stained glass slides were dehydrated in alcohol of varying strength, then purified in xylene and embedded in Canadian balsam. Sections were examined up close using a ×10 objective.
2.9. Statistical Analysis
Data are presented as mean standard deviation (n = 6). Results were statistically tested using a one-way analysis of variance (ANOVA) followed by Bonferroni’s t-test. When comparing the two groups, the significance level was p < 0.05.
3. Results
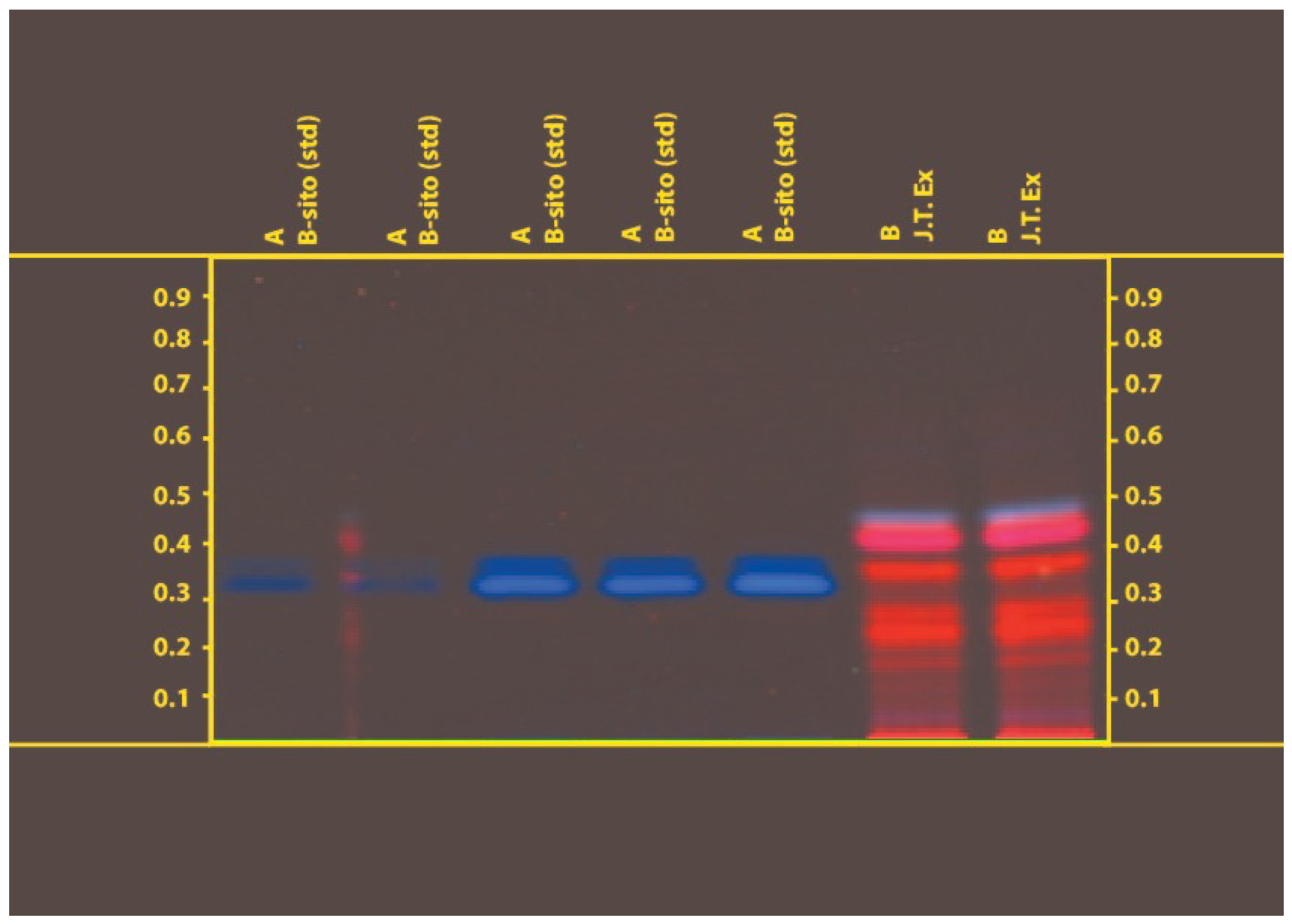
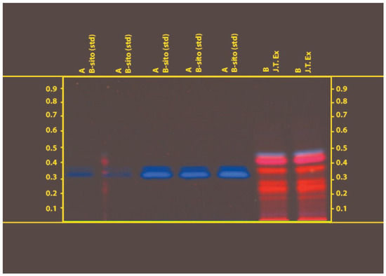
To achieve the real yield of extraction, the crude extracts produced after each successive Soxhlet extraction and decoction technique were concentrated in a water bath by entirely evaporating the solvents. The percentage yields of the resultant extracts were determined to be 2.20 and 0.83% for J.T. and 10.0 and 12.6% for F.M. in various solvents such as ethanol and water. At 254 and 366 nm, the J.T. ethanolic extract HPTLC chromatogram data were examined. Six spots were seen in the extract, and their Rf values were 0.45, 0.38, 0.28, 0.22, 0.19, and 0.01. Figure 1 and Figure 2 show that the standard (-sitosterol) Rf value was 0.33. Analysis of the F.M. extract HPTLC chromatogram results was carried out at 254 and 366 nm. The chromatogram showed nine spots for the extract at 0.8, 0.76, 0.65, 0.55, 0.40, 0.24, 0.08, 0.04, and 0.06 and one spot for the standard at 0.08 (esculetin). The outcomes demonstrated that esculetin was present in the F.M. extract (Figure 3 and Figure 4). No deaths occurred throughout the 2 weeks of the acute toxicity research, proving that the administration of Sample-JT and FM did not, at any dose, produce toxicity (5, 50, 300 and 2000 mg/kg). None of the treatment groups experienced any discernible weight loss throughout the 14-day observation period. The rats showed no indication of any abnormalities. Test samples JT and FM did not significantly alter the parameters tested (5, 50, 300, and 2000) such as urine, convulsions, tremors, changes in skin color, etc.
Figure 1.
Chromatogram obtained from separation of J.T extract and visualized under UV light of wavelength 254 nm.
Figure 2.
Chromatogram obtained from the separation of J.T extract and visualized under UV light of wavelength 366 nm.
Figure 3.
Chromatogram obtained from the separation of F.M extract and visualized under UV light of wavelength 254 nm.
Figure 4.
Chromatogram obtained from the separation of F.M extract and visualized under UV light of wavelength 366 nm.
Therefore, based on the most recent findings from an acute toxicity study, the final doses chosen for further research were 1/10th and 1/5th of 2000 mg/kg bw. At the beginning of the trial, the mean body weights of the seven experimental groups were comparable. The initial body weights (i.e., initial body weights) of the healthy control rats in Group I were normal, and they continued to be so for the next six weeks of the trial. After the trial, HFD-treated rats (Group II) showed a significantly higher body weight than the healthy control group (Group I) (p < 0.05). After receiving treatment with test samples JTAQ, JTE, FMAQ, and FME for six weeks, the changes in body weight to normal body weight were significantly (p < 0.05) maintained. However, compared to the HFD control group, therapy with the common medicine orlistat (30 mg/kg, p.o.) once daily for six weeks dramatically reduced body weight and feed intake. When compared to the HFD control group, once-daily treatment for six weeks with JTAQ, JTE, FMAQ, and FME significantly reduced body weight and feed intake (Table 1 and Table 2).
Table 1.
Food intake in normal control, inducer, standard, and test samples JTAQ, JTE, FMAQ, and FME (200 and 400 mg/kg) treated groups.
Table 2.
Variations in body weight in normal control, inducer, standard, and test samples JTAQ, JTE, FMAQ, and FME (200 and 400 mg/kg).
Throughout the trial, the serum glucose levels of the HFD control group significantly increased. The HFD control group (Group II) demonstrated increased blood glucose, indicative of impaired glucose tolerance, whereas HFD animals receiving treatment with orlistat, JTE, and FME (Group III) demonstrated decreased blood glucose levels in comparison to the HFD-treated group, except JTAQ, FMAQ treated animals, which displayed less effective outcomes (Table 3). When compared to normal control rats, the HFD inducer group (Group II) showed a two-fold rise in the level of TGs (Group I). When compared to the HFD inducer group (Group II), the serum TG concentrations of the rats in Group IV-XI treated for 6 weeks with JTAQ, JTE, FMAQ, and FME decreased, respectively (p < 0.05). As compared to the HFD inducer group (Group II), TC levels were also affected in Group IV-XI treated rats (JTAQ, JTE, FMAQ, and FME) and decreased dose-dependently (p < 0.05). Additionally, JTE and FME treatment for six weeks in HFD rats (Groups VII and XI) resulted in significant (p < 0.05) reductions in LDL (44.53 ± 6.396 and 58.06 ± 7.510, respectively), in comparison to the HFD inducer group (99.65 ± 3.879) (Group II). When compared to control rats, the HFD inducer group (Group II) showed a drop (15.69 ± 0.667) in HDL (Group I). Contrarily, administration of JTAQ, JTE, FMAQ, and FME at 200 and 400 mg/kg raised HDL levels in HFD rats (Table 4). As compared to the normal control group, there was a significant drop in reduced glutathione (GSH), superoxide dismutase (SOD), and an increase in malondialdehyde (MDA) in the HFD control group. When compared to the HFD control group, the once-daily oral dose of orlistat for six weeks combined with HFD significantly enhanced the levels of GSH and SOD with a decrease in MDA. Additionally, compared to the HFD control group and comparable to standard medication (orlistat) treatment, the once-daily treatment with JTAQ, JTE, FMAQ, and FME (200 and 400 mg/kg, p.o.) for six weeks dramatically reduced the levels of GSH and SOD with a drop in MDA. Distribution of the test sample JTAQ, JTE, FMAQ, and FME inactivity demonstrates that JTAQ, JTE, FMAQ, and FME at 200 and 400 mg/kg had free radical scavenging activity, which may operate favorably against pathological changes brought on by the presence of O2– and OH– (Table 5). Histology of the liver sections from normal control animals showed normal hepatic cells with well-preserved cytoplasm, a prominent nucleus and nucleolus, and a well-brought-out central vein. The liver sections of Group 2 animals showed hepatic cells with severe toxicity, degeneration, edema and necrosis of hepatocytes with hemorrhage (h) and destruction of hepatic sinusoids. Induced rats treated with JTAQ, JTE, FMAQ, and FME had livers that were intensely affected by fatty changes, sinusoidal feathery degeneration and necrosis, congestion in the central vein with fibrous tissue proliferation, ballooning, and severe hepatocyte degeneration, whereas rats treated with JTE had livers that more closely resembled normal hepatic structure (Figure 5).
Table 3.
Variations in blood glucose level after 0, 3, and 6 weeks of the treatment period.
Table 4.
Variations in lipid profile in normal control, inducer, standard and test samples JTAQ, JTE, FMAQ, and FME (200 and 400 mg/kg).
Table 5.
Variations in oxidative markers (SOD, LPO and GSH).
Figure 5.
(A) Group I: Normal control (vehicle-treated), (B) Group II: HFD induced, (C) Group III: Standard orlistat treated, (D) Group IV: JTAQ 200 mg/kg, (E) Group V: JTAQ 400 mg/kg, (F) Group VI: JTE 200 mg/kg, (G) Group VII: JTE 400 mg/kg, (H) Group VIII: FMAQ 200 mg/kg, (I) Group IX: FMAQ 400 mg/kg, (J) Group X: FME 200 mg/kg, (K) Group XI: FME 400 mg/kg.
The present study reveals that co-treatment of samples JTE, JTAQ, FME, FMAQ and orlistat resulted in an increase in the antioxidant enzymes and reduction in lipid peroxidation as compared to inducer HFD animals. The fact that the extracts were seen to significantly lower serum total lipids, total cholesterol, and LDL cholesterol suggests that it can be used in hyperlipidemia. As compared to other extracts, the ethanolic extract of Jatropha tanjorensis (JTE) leaves exhibits a promising role in the control of high-fat-induced obesity and explains the traditional use of Jatropha tanjorensis leaves to treat cardiac diseases [38]. In future research, we are planning to conduct GC-MS analysis, isolation and purification of various active ingredients present in the plants responsible for various kinds of pharmacological activities.
4. Conclusions
Significant progress has been made in the literature linking crude extracts and bioactive scaffolds from edible and medicinal plants to obesity. Up to this point, there have been many reports on the anti-obesity properties of various extracts and constituents of Jatropha tanjorensis and Fraxinus micrantha. In this work, we investigated the anti-obesity effect of ethanolic and aqueous extracts of Jatropha tanjorensis and Fraxinus micrantha leaves as we continue to focus on the anti-obesity potential of these plants. The present study claims that, compared to other extracts, the ethanolic extract of Jatropha tanjorensis (JTE) leaves exhibits a promising role in the control of high-fat-induced obesity. The present study provides scientific evidence and support for the traditional use of Jatropha tanjorensis leaf extract for the treatment of obesity.
Author Contributions
Conceptualization, S.S. and T.V.; methodology, S.S., T.V. and M.R.H.; formal analysis, S.S., T.V. and M.R.H.; investigation, S.S., T.V.; resources, S.S., T.V.; data curation, S.S., T.V.; writing—original draft preparation, S.S., T.V.; writing—review and editing, A.A., S.Z.A. and F.A.N. and O.A.K.; funding acquisition, O.A.K., S.Z.A. and F.A.N.; supervision, T.V. All authors have read and agreed to the published version of the manuscript.
Funding
This research was funded by Princess Nourah bint Abdulrahman University Researchers Supporting Project number (PNURSP2023R165), Princess Nourah bint Abdulrahman University, Riyadh, Saudi Arabia.
Institutional Review Board Statement
The Institutional Animal Ethics Committee (IAEC) of the Pinnacle Biomedical Research Institute (PBRI) approved animal studies by Bhopal (Reg. No. 1824/PO/ERe/S/15/CPCSEA). The protocol approval reference number is PBRI/IAEC/10-09-22/012.
Informed Consent Statement
Not applicable.
Data Availability Statement
Not applicable.
Acknowledgments
The authors extend their appreciation to Princess Nourah bint Abdulrahman University Researchers Supporting Project number (PNURSP2023R165), Princess Nourah bint Abdulrahman University, Riyadh, Saudi Arabia. Thankful also to Researchers Supporting Project number (RSPD2023R732), King Saud University, Riyadh, Saudi Arabia.
Conflicts of Interest
The authors declare no conflict of interest.
References
- Murray-Davis, B.; Darling, E.K.; Berger, H.; Melamed, N.; Li, J.; Guarna, G.; Syed, M.; Barrett, J.; Geary, M.; Mawjee, K.; et al. Midwives Perceptions of Managing Pregnancies Complicated by Obesity: A Mixed Methods Study. Midwifery 2022, 105, 103225. [Google Scholar] [CrossRef] [PubMed]
- Davanzo, G.G.; Castro, G.; Monteiro, L.D.B.; Castelucci, B.G.; Jaccomo, V.H.; da Silva, F.C.; Marques, A.M.; Francelin, C.; de Campos, B.B.; de Aguiar, C.F.; et al. Obesity Increases Blood-Brain Barrier Permeability and Aggravates the Mouse Model of Multiple Sclerosis. Mult. Scler. Relat. Disord. 2023, 72, 104605. [Google Scholar] [CrossRef] [PubMed]
- Bays, H.E.; Bindlish, S.; Clayton, T.L. Obesity, Diabetes Mellitus, and Cardiometabolic Risk: An Obesity Medicine Association (OMA) Clinical Practice Statement (CPS) 2023. Obes. Pillars 2023, 5, 100056. [Google Scholar] [CrossRef]
- Ahima, R.S. Obesity Epidemic in Need of Answers. Gastroenterology 2006, 131, 991. [Google Scholar] [CrossRef]
- Jin, X.; Qiu, T.; Li, L.; Yu, R.; Chen, X.; Li, C.; Proud, C.G.; Jiang, T. Pathophysiology of Obesity and Its Associated Diseases. Acta Pharm. Sin. B, 2023; in press. [Google Scholar] [CrossRef]
- Malandrino, N.; Bhat, S.Z.; Alfaraidhy, M.; Grewal, R.S.; Kalyani, R.R. Obesity and Aging. Endocrinol. Metab. Clin. N. Am. 2023, 52, 317–339. [Google Scholar] [CrossRef]
- Wilson, R.; Aminian, A. Obesity-Associated Cancer Risk Reduction after Metabolic Surgery: Insights from the SPLENDID Study and the Path Forward. Surg. Obes. Relat. Dis. 2023; in press. [Google Scholar] [CrossRef]
- Lee, S.H.T.; Ng, J.J.; MTL Choong, A. The Effect of Obesity on Outcomes after Arteriovenous Fistulae Creation: A Systematic Review. Ann. Vasc. Surg. 2023, 92, 304–312. [Google Scholar] [CrossRef]
- Padwal, R.S.; Majumdar, S.R. Drug Treatments for Obesity: Orlistat, Sibutramine, and Rimonabant. Lancet 2007, 369, 71–77. [Google Scholar] [CrossRef]
- Agarwal, A.; Remedies, N. Review Article: Herbal Approach for Obesity Management Review Article: Herbal Approach for Obesity Management. Am. J. Plant Sci. 2012, 3, 1003–1014. [Google Scholar] [CrossRef]
- Idu, M.; Igbafe, G.; Erhabor, J.O. Anti-Anaemic Activity of Jatropha tanjorensis Ellis & Saroja in Rabbits. J. Med. Plants Stud. 2014, 2, 64–72. [Google Scholar]
- Prabakaran, A.J.; Sujatha, M. Jatropha tanjorensis Ellis & Saroja, a Natural Interspecific Hybrid Occurring in Tamil Nadu, India. Genet. Resour. Crop Evol. 1999, 46, 213–218. [Google Scholar] [CrossRef]
- Omoregie, E.S.; Osagie, A.U. Phytochemical Screening and Anti-Anaemic Effect of Jatropha tanjorensis Leaf in Protein Malnourished Rats. Plant Arch. 2007, 7, 509–516. [Google Scholar]
- Omoregie, E.S.; Osagie, A.U. Effect of Jatropha tanjorensis Leaves Supplement on The Activities of Some Antioxidant Enzymes, Vitamins and Lipid Peroxida-Tion in Rats. J. Food Biochem. 2011, 35, 409–424. [Google Scholar] [CrossRef]
- Oyewole, O.I.; Oladipupo, O.T.; Atoyebi, B.V. Assessment of Renal and Hepatic Functions in Rats Administered Methanolic Leaf Extract of Jatropha tanjorensis Scholars Research Library. Ann. Biol. Res. 2016, 3, 837–841. [Google Scholar]
- Omobuwajo, O.R.; Alade, G.O.; Akanmu, M.A.; Obuotor, E.; Osasan, S.A. Microscopic and Toxicity Studies on the Leaves of Jatropha tanjorensis. Afr. J. Pharm. Pharmacol. 2011, 5, 12–17. [Google Scholar]
- Mishra, S.B.; Mukerjee, A.; Vijayakumar, M.; Ehhq, K.D.V.; Iru, V.; Qxpehu, H.E.D.; Wd, R.I. Pharmacognostical and Phytochemical Evaluation of Leaves Extract of Jatropha curcas Linn. Pharmacogn. J. 2010, 2, 9–14. [Google Scholar] [CrossRef]
- Byrappa, M.; Doss, J.; Ananthi, J.; Sathish, P. Fitoterapia Antimicrobial Activity of Bioactive Compounds and Leaf Extracts in Jatropha tanjorensis. Fitoterapia 2012, 83, 1153–1159. [Google Scholar] [CrossRef]
- Adebajo, A.C.; Olayiwola, G.; Omobuwajo, O.R. The Antidiabetic Potential Of Jatropha tanjorensis Leaves. Niger. J. Nat. Prod. Med. 2004, 8, 55–58. [Google Scholar] [CrossRef]
- Viswanathan, M.B.; Jeyaananthi, J. Antimicrobial and Antiinflammatory Activities of Various Extracts of the Leaves of Jatropha Tanjorenesis. Biosci. Biotechnol. Res. Asia 2009, 6, 297–300. [Google Scholar]
- Abdelgadir, H.A.; Van Staden, J. Ethnobotany, Ethnopharmacology and Toxicity of Jatropha curcas L. (Euphorbiaceae): A Review. S. Afr. J. Bot. 2013, 88, 204–218. [Google Scholar] [CrossRef]
- Danborno, A.M.; Tarfa, F.; Toryila, J.E.; Awheela, E.U.; Shekarau, V.T. The Effects of Jatropha tanjorensis Aqueous Leaf Extract on Haematological Parameters in Wistar Rats. J. Afr. Assoc. Physiol. Sci. 2019, 7, 133–137. [Google Scholar]
- Ntak, O.; Ekpo, E.; State, A.I.; State, C.R. Nutritional Studies and Antimicrobial Activities of Jatropha tanjorensis Leaves Extracts against Escherichia Coli Isolates. Int. J. Innov. Sci. Res. Technol. 2019, 4, 945–955. [Google Scholar]
- Sharma, J.; Gairola, S.; Gaur, R.D.; Painuli, R.M. The Treatment of Jaundice with Medicinal Plants in Indigenous Communities of the Sub-Himalayan Region of Uttarakhand, India. J. Ethnopharmacol. 2012, 143, 262–291. [Google Scholar] [CrossRef] [PubMed]
- Garbyal, S.S.; Grover, A.; Aggarwal, K.K.; Babu, C.R. Traditional Phytomedicinal Knowledge of Bhotias of Dharchula in Pithoragarh. Indian J. Tradit. Knowl. 2007, 4, 199–207. [Google Scholar]
- Sarfraz, I.; Rasul, A.; Jabeen, F.; Younis, T.; Zahoor, M.K.; Arshad, M.; Ali, M. Fraxinus: A Plant with Versatile Pharmacological and Biological Activities. Evid.-Based Complement. Altern. Med. 2017, 2017, 4269868. [Google Scholar] [CrossRef] [PubMed]
- Kostova, I.; Iossifova, T. Chemical Components of Fraxinus Species. Fitoterapia 2007, 78, 85–106. [Google Scholar] [CrossRef]
- Buettner, R.; Schölmerich, J.; Bollheimer, L.C. High-Fat Diets: Modeling the Metabolic Disorders of Human Obesity in Rodents. Obesity 2007, 15, 798–808. [Google Scholar] [CrossRef] [PubMed]
- Hariri, N.; Thibault, L. High-Fat Diet-Induced Obesity in Animal Models. Nutr. Res. Rev. 2010, 23, 270–299. [Google Scholar] [CrossRef]
- Alara, O.R.; Abdurahman, N.H.; Ukaegbu, C.I.; Kabbashi, N.A. Extraction and Characterization of Bioactive Compounds in Vernonia Amygdalina Leaf Ethanolic Extract Comparing Soxhlet and Microwave-Assisted Extraction Techniques. J. Taibah Univ. Sci. 2019, 13, 414–422. [Google Scholar] [CrossRef]
- Martins, N.; Barros, L.; Santos-Buelga, C.; Silva, S.; Henriques, M.; Ferreira, I.C.F.R. Decoction, Infusion and Hydroalcoholic Extract of Cultivated Thyme: Antioxidant and Antibacterial Activities, and Phenolic Characterisation. Food Chem. 2015, 167, 131–137. [Google Scholar] [CrossRef]
- Alhalmi, A.; Amin, S.; Khan, Z.; Beg, S.; Al Kamaly, O.; Saleh, A.; Kohli, K. Nanostructured Lipid Carrier-Based Codelivery of Raloxifene and Naringin: Formulation, Optimization, In Vitro, Ex Vivo, In Vivo Assessment, and Acute Toxicity Studies. Pharmaceutics 2022, 14, 1771. [Google Scholar] [CrossRef]
- Jonsson, M.; Jestoi, M.; Nathanail, A.V.; Kokkonen, U.-M.; Anttila, M.; Koivisto, P.; Karhunen, P.; Peltonen, K. Application of OECD Guideline 423 in Assessing the Acute Oral Toxicity of Moniliformin. Food Chem. Toxicol. Int. J. Publ. Br. Ind. Biol. Res. Assoc. 2013, 53, 27–32. [Google Scholar] [CrossRef]
- Friedewald, W.T.; Levy, R.I.; Fredrickson, D.S. Estimation of the Concentration of Low-Density Lipoprotein Cholesterol in Plasma, without Use of the Preparative Ultracentrifuge. Clin. Chem. 1972, 18, 499–502. [Google Scholar] [CrossRef]
- Zaidun, N.H.; Thent, Z.C.; Latiff, A.A. Combating Oxidative Stress Disorders with Citrus Flavonoid: Naringenin. Life Sci. 2018, 208, 111–122. [Google Scholar] [CrossRef]
- Treml, J.; Šmejkal, K. Flavonoids as Potent Scavengers of Hydroxyl Radicals. Compr. Rev. Food Sci. Food Saf. 2016, 15, 720–738. [Google Scholar] [CrossRef] [PubMed]
- Jaishree, V.; Badami, S.; Krishnamurthy, P.T. Antioxidant and Hepatoprotective Effect of the Ethyl Acetate Extract of EnicostemmaAxillare (Lam). Raynal against CCL4-Induced Liver Injury in Rats. Indian J. Exp. Biol. 2010, 48, 896–904. [Google Scholar] [PubMed]
- Amaechi, D.; Yisa, B.N.; Ekpe, I.P.; Nwawuba, P.I.; Rabbi, A. Phytochemical Screening, Anti-obesity and Hepatoprotective Activities of Ethanol Leaf Extract of Jatropha tanjorensis in Wistar Rats. Asian J. Appl. Chem. Res. 2022, 12, 20–26. [Google Scholar] [CrossRef]
Disclaimer/Publisher’s Note: The statements, opinions and data contained in all publications are solely those of the individual author(s) and contributor(s) and not of MDPI and/or the editor(s). MDPI and/or the editor(s) disclaim responsibility for any injury to people or property resulting from any ideas, methods, instructions or products referred to in the content. |
© 2023 by the authors. Licensee MDPI, Basel, Switzerland. This article is an open access article distributed under the terms and conditions of the Creative Commons Attribution (CC BY) license (https://creativecommons.org/licenses/by/4.0/).




