Prostate MRI for Improving Personalized Risk Prediction of Incontinence and Surgical Planning: The Role of Membranous Urethral Length Measurements and the Use of 3D Models
Abstract
1. Introduction
2. Materials and Methods
3. Anatomical Parameters to Predict Urinary Continence after Radical Prostatectomy
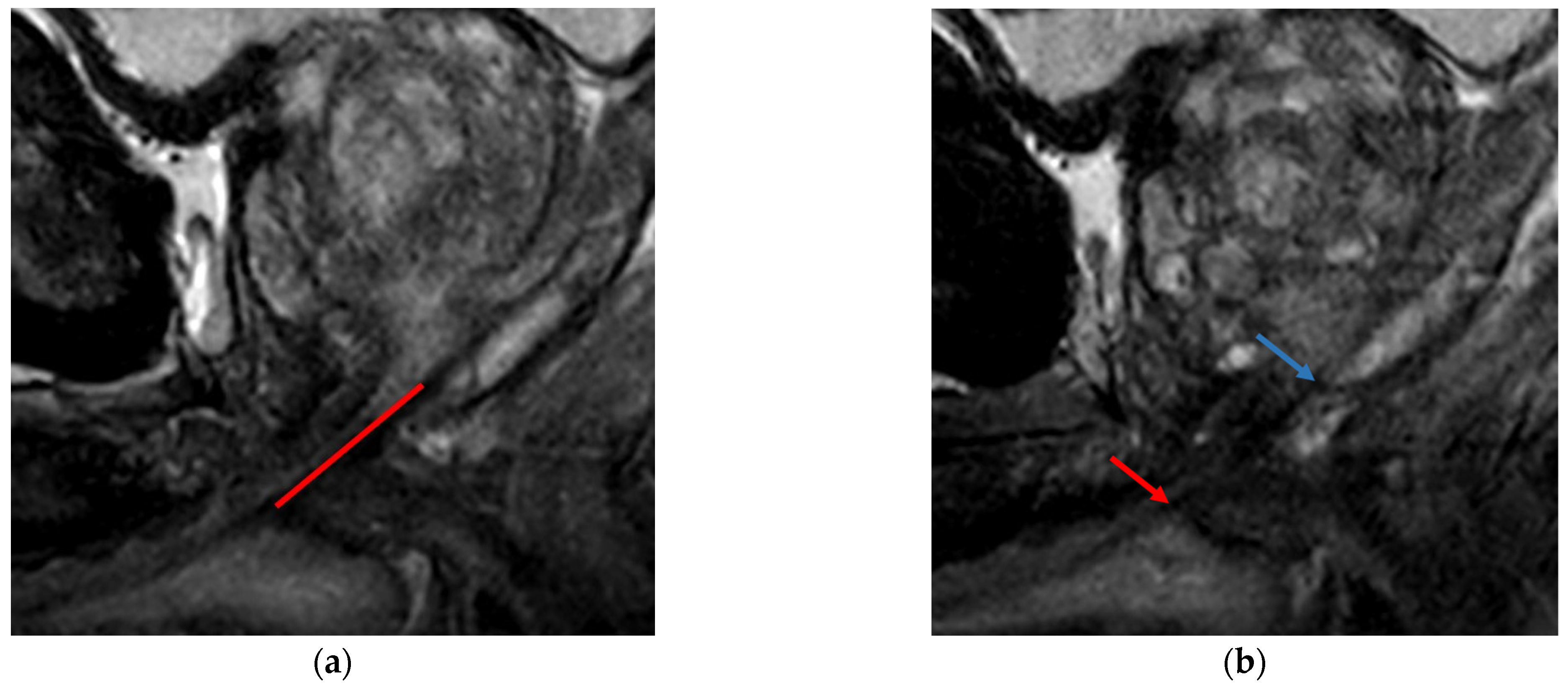
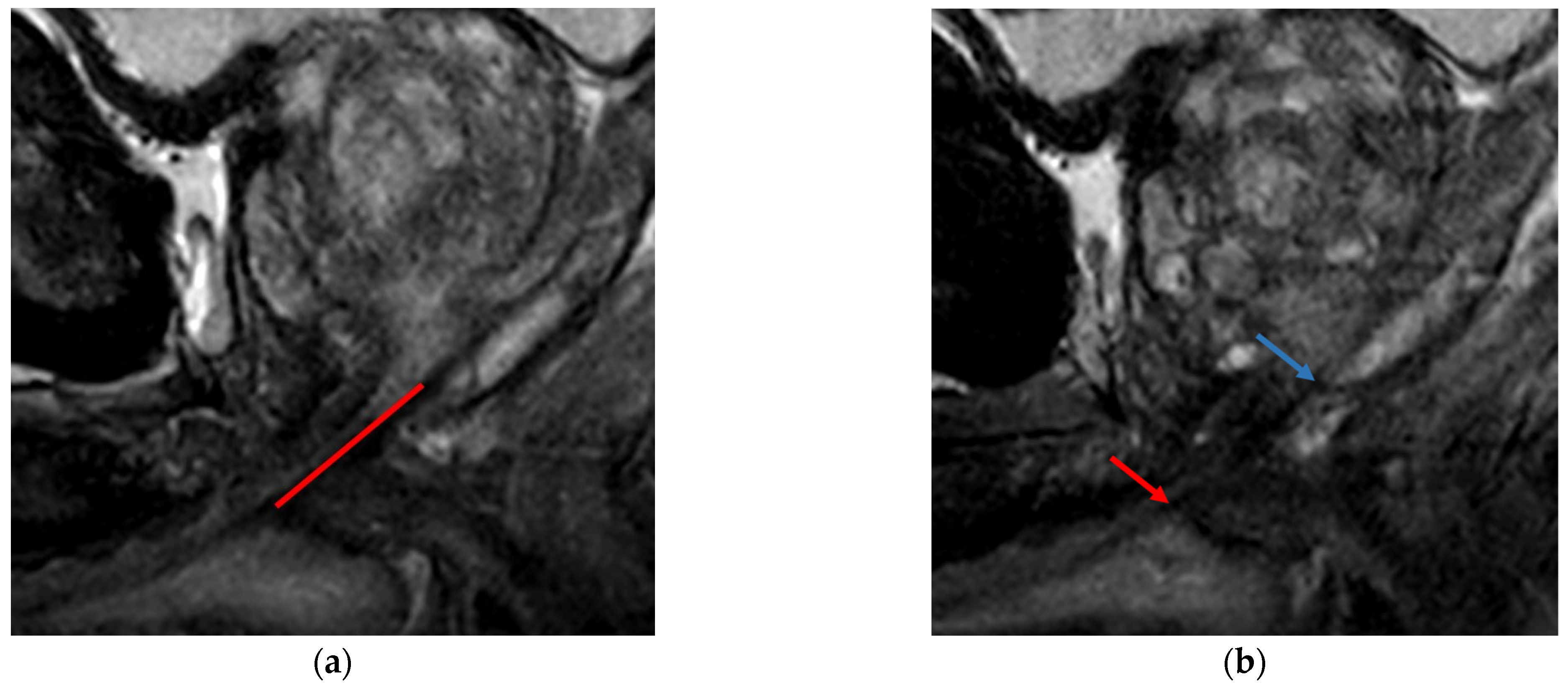
3.1. Membranous Urethral Length
3.1.1. Membranous Urethral Length Predictive Power
3.1.2. Membranous Urethral Length Observer Agreement
3.2. Other Anatomical Parameters
4. Use of 3D Prostate MRI for Radical Prostatectomy Procedural Training and Planning
4.1. Three-Dimensional Models
4.1.1. 3D Virtual Models and Augmented Reality
4.1.2. 3D-Printed Models
4.2. Specific Topics within 3D Model Literature
4.2.1. Patient Engagement
4.2.2. Training
4.2.3. Surgical Margins
4.2.4. Nerve Sparing Planning
4.2.5. Extracapsular Extension Prediction
5. Discussion
6. Future Directions
7. Conclusions
Author Contributions
Funding
Institutional Review Board Statement
Informed Consent Statement
Data Availability Statement
Conflicts of Interest
Appendix A
| Database Searched | Records | Records after Duplicates Removed |
|---|---|---|
| Embase.com (1971-) | 1350 | 1311 |
| Medline ALL Ovid (1946-) | 431 | 78 |
| Web of Science Core Collection (1975-) | 395 | 60 |
| Cochrane CENTRAL register of trials (1992-) | 11 | 23 |
| Google scholar | 100 | 45 |
| Total | 2307 | 1505 |
Appendix A.1. Embase.com (1971-)
Appendix A.2. Medline ALL Ovid (1946-)
Appendix A.3. Web of Science Core Collection (1975-)
Appendix A.4. Cochrane CENTRAL Register of Trials (1992-)
Appendix A.5. Google Scholar
References
- Kasivisvanathan, V.; Rannikko, A.S.; Borghi, M.; Panebianco, V.; Mynderse, L.A.; Vaarala, M.H.; Briganti, A.; Budäus, L.; Hellawell, G.; Hindley, R.G.; et al. MRI-Targeted or Standard Biopsy for Prostate-Cancer Diagnosis. N. Engl. J. Med. 2018, 378, 1767–1777. [Google Scholar] [CrossRef] [PubMed]
- Hagens, M.J.; Noordzij, M.A.; Mazel, J.W.; Jager, A.; Boellaard, T.N.; Tielbeek, J.A.; Henebiens, M.; Schoots, I.G.; van Leeuwen, P.J.; van der Poel, H.G.; et al. An Magnetic Resonance Imaging–directed Targeted-plus-perilesional Biopsy Approach for Prostate Cancer Diagnosis: “Less Is More”. Eur. Urol. Open Sci. 2022, 43, 68–73. [Google Scholar] [CrossRef] [PubMed]
- Zhang, F.; Liu, C.L.; Chen, Q.; Shao, S.C.; Chen, S.Q. Accuracy of multiparametric magnetic resonance imaging for detecting extracapsular extension in prostate cancer: A systematic review and meta-analysis. Br. J. Radiol. 2019, 92, 20190480. [Google Scholar] [CrossRef]
- van Dijk-de Haan, M.C.; Boellaard, T.N.; Tissier, R.; Heijmink, S.; van Leeuwen, P.J.; van der Poel, H.G.; Schoots, I.G. Value of Different Magnetic Resonance Imaging-based Measurements of Anatomical Structures on Preoperative Prostate Imaging in Predicting Urinary Continence After Radical Prostatectomy in Men with Prostate Cancer: A Systematic Review and Meta-analysis. Eur. Urol. Focus. 2022, 8, 1211–1225. [Google Scholar] [CrossRef]
- Wang, S.; Frisbie, J.; Keepers, Z.; Bolten, Z.; Hevaganinge, A.; Boctor, E.; Leonard, S.; Tokuda, J.; Krieger, A.; Siddiqui, M.M. The Use of Three-dimensional Visualization Techniques for Prostate Procedures: A Systematic Review. Eur. Urol. Focus 2020, 7, 1274–1286. [Google Scholar] [CrossRef]
- Coles-Black, J.; Ong, S.; Teh, J.; Kearns, P.; Ischia, J.; Bolton, D.; Lawrentschuk, N. 3D printed patient-specific prostate cancer models to guide nerve-sparing robot-assisted radical prostatectomy: A systematic review. J. Robot. Surg. 2022, 17, 1–10. [Google Scholar] [CrossRef]
- Zhang, L.; Wu, B.; Zha, Z.; Zhao, H.; Jiang, Y.; Yuan, J. Positive surgical margin is associated with biochemical recurrence risk following radical prostatectomy: A meta-analysis from high-quality retrospective cohort studies. World J. Surg. Oncol. 2018, 16, 124. [Google Scholar] [CrossRef] [PubMed]
- Chen, R.C.; Basak, R.; Meyer, A.-M.; Kuo, T.-M.; Carpenter, W.R.; Agans, R.P.; Broughman, J.R.; Reeve, B.B.; Nielsen, M.E.; Usinger, D.S.; et al. Association Between Choice of Radical Prostatectomy, External Beam Radiotherapy, Brachytherapy, or Active Surveillance and Patient-Reported Quality of Life Among Men With Localized Prostate Cancer. JAMA 2017, 317, 1141–1150. [Google Scholar] [CrossRef]
- Tillier, C.N.; Vromans, R.D.; Boekhout, A.H.; Veerman, H.; Wollersheim, B.M.; van Muilekom, H.A.M.; Boellaard, T.N.; van Leeuwen, P.J.; van de Poll-Franse, L.V.; van der Poel, H.G. Individual risk prediction of urinary incontinence after prostatectomy and impact on treatment choice in patients with localized prostate cancer. Neurourol. Urodynamics 2021, 40, 1550–1558. [Google Scholar] [CrossRef]
- Del Giudice, F.; Huang, J.; Li, S.; Sorensen, S.; Enemchukwu, E.; Maggi, M.; Salciccia, S.; Ferro, M.; Crocetto, F.; Pandolfo, S.D.; et al. Contemporary trends in the surgical management of urinary incontinence after radical prostatectomy in the United States. Prostate Cancer Prostatic Dis. 2022. [Google Scholar] [CrossRef]
- van Stam, M.A.; Aaronson, N.K.; Bosch, J.; Kieffer, J.M.; van der Voort van Zyp, J.R.N.; Tillier, C.N.; Horenblas, S.; van der Poel, H.G. Patient-reported Outcomes Following Treatment of Localised Prostate Cancer and Their Association with Regret About Treatment Choices. Eur. Urol. Oncol. 2020, 3, 21–31. [Google Scholar] [CrossRef]
- Lardas, M.; Grivas, N.; Debray, T.P.A.; Zattoni, F.; Berridge, C.; Cumberbatch, M.; Van den Broeck, T.; Briers, E.; De Santis, M.; Farolfi, A.; et al. Patient- and Tumour-related Prognostic Factors for Urinary Incontinence After Radical Prostatectomy for Nonmetastatic Prostate Cancer: A Systematic Review and Meta-analysis. Eur. Urol. Focus. 2022, 8, 674–689. [Google Scholar] [CrossRef] [PubMed]
- Grivas, N.; Van Der Roest, R.; Schouten, D.; Cavicchioli, F.; Tillier, C.; Bex, A.; Schoots, I.; Artibani, W.; Heijmink, S.; Van Der Poel, H. Quantitative assessment of fascia preservation improves the prediction of membranous urethral length and inner levator distance on continence outcome after robot-assisted radical prostatectomy. Neurourol. Urodynamics 2018, 37, 417–425. [Google Scholar] [CrossRef]
- Koraitim, M.M. The Male Urethral Sphincter Complex Revisited: An Anatomical Concept and its Physiological Correlate. J. Urol. 2008, 179, 1683–1689. [Google Scholar] [CrossRef] [PubMed]
- MMungovan, S.F.; Sandhu, J.S.; Akin, O.; Smart, N.A.; Graham, P.L.; Patel, M.I. Preoperative Membranous Urethral Length Measurement and Continence Recovery Following Radical Prostatectomy: A Systematic Review and Meta-analysis. Eur. Urol. 2017, 71, 368–378. [Google Scholar] [CrossRef] [PubMed]
- Hagens, M.; Veerman, H.; Vis, A.; Boellaard, T.; Heijmink, S.; De Haan, M.; Rynja, S.; Tielbeek, J.; Kerssemakers, S.; Welting, S.; et al. The membranous urethral length: A continence predictor on MRI with high interobserver variability. Eur. Urol. Open Sci. 2022, 45, S4–S5. [Google Scholar] [CrossRef]
- Greenberg, S.A.; Cowan, J.E.; Lonergan, P.E.; Washington, S.L., 3rd; Nguyen, H.G.; Zagoria, R.J.; Carroll, P.R. The effect of preoperative membranous urethral length on likelihood of postoperative urinary incontinence after robot-assisted radical prostatectomy. Prostate Cancer Prostatic Dis. 2022, 25, 344–350. [Google Scholar] [CrossRef]
- Lamberg, H.; Shankar, P.R.; Singh, K.; Caoili, E.M.; George, A.K.; Hackett, C.; Johnson, A.; Davenport, M.S. Preoperative Prostate MRI Predictors of Urinary Continence Following Radical Prostatectomy. Radiology 2022, 303, 99–109. [Google Scholar] [CrossRef]
- Kim, L.H.; Patel, A.; Kinsella, N.; Sharabiani, M.T.; Ap Dafydd, D.; Cahill, D. Association Between Preoperative Magnetic Resonance Imaging–based Urethral Parameters and Continence Recovery Following Robot-assisted Radical Prostatectomy. Eur. Urol. Focus 2019, 6, 1013–1020. [Google Scholar] [CrossRef]
- Fukui, S.; Kagebayashi, Y.; Iemura, Y.; Matsumura, Y.; Samma, S. Preoperative MRI Parameters Predict Urinary Continence after Robot-Assisted Laparoscopic Prostatectomy in Prostatic Cancer Patients. Diagnostics 2019, 9, 102. [Google Scholar] [CrossRef]
- Kohjimoto, Y.; Yamashita, S.; Kikkawa, K.; Iba, A.; Matsumura, N.; Hara, I. The association of length of the resected membranous urethra with urinary incontinence after radical prostatectomy. Urol. J. 2020, 17, 146–151. [Google Scholar]
- Veerman, H.; Hagens, M.J.; Hoeks, C.M.; van der Poel, H.G.; van Leeuwen, P.J.; Vis, A.N.; Heijmink, S.W.T.J.P.; Schoots, I.G.; de Haan, M.C.; Boellaard, T.N. A standardized method to measure the membranous urethral length (MUL) on MRI of the prostate with high inter- and intra-observer agreement. Eur. Radiol. 2022. [Google Scholar] [CrossRef]
- Mungovan, S.F.; Luiting, H.B.; Graham, P.L.; Sandhu, J.S.; Akin, O.; Chan, L.; Patel, M.I. The measurement of membranous urethral length using transperineal ultrasound prior to radical prostatectomy. Scand. J. Urol. 2018, 52, 263–268. [Google Scholar] [CrossRef]
- Piotr, K.; Rafał, M.; Marcin, K.; Karol, D.; Monika, K.; Jakub, B.; Bartosz, Z.; Tadeusz, D.; Maciej, S. Transperineal ultrasound as a reliable tool in the assessment of membranous urethra length in radical prostatectomy patients. Sci. Rep. 2021, 11, 1759. [Google Scholar] [CrossRef]
- Lee, S.E.; Byun, S.-S.; Lee, H.J.; Song, S.H.; Chang, I.H.; Kim, Y.J.; Gill, M.C.; Hong, S.K. Impact of variations in prostatic apex shape on early recovery of urinary continence after radical retropubic prostatectomy. Urology 2006, 68, 137–141. [Google Scholar] [CrossRef]
- Vis, A.N.; Bergh, R.C.N.V.D.; van der Poel, H.G.; Mottrie, A.; Stricker, P.D.; Graefen, M.; Patel, V.; Rocco, B.; Lissenberg-Witte, B.; van Leeuwen, P.J. Selection of patients for nerve sparing surgery in robot-assisted radical prostatectomy. BJUI Compass 2021, 3, 6–18. [Google Scholar] [CrossRef]
- Schiavina, R.; Bianchi, L.; Borghesi, M.; Dababneh, H.; Chessa, F.; Pultrone, C.V.; Angiolini, A.; Gaudiano, C.; Porreca, A.; Fiorentino, M.; et al. MRI Displays the Prostatic Cancer Anatomy and Improves the Bundles Management Before Robot-Assisted Radical Prostatectomy. J. Endourol. 2018, 32, 315–321. [Google Scholar] [CrossRef] [PubMed]
- Panebianco, V.; Salciccia, S.; Cattarino, S.; Minisola, F.; Gentilucci, A.; Alfarone, A.; Ricciuti, G.P.; Marcantonio, A.; Lisi, D.; Gentile, V.; et al. Use of multiparametric MR with neurovascular bundle evaluation to optimize the oncological and functional management of patients considered for nerve-sparing radical prostatectomy. J. Sex Med. 2012, 9, 2157–2166. [Google Scholar] [CrossRef] [PubMed]
- Grivas, N.; van der Roest, R.C.; de Korne, C.M.; KleinJan, G.H.; Sikorska, K.; Schoots, I.G.; Tillier, C.; van der Broek, B.; Jalink, K.; Heijmink, S.W.T.J.P.; et al. The value of periprostatic fascia thickness and fascia preservation as prognostic factors of erectile function after nerve-sparing robot-assisted radical prostatectomy. World J. Urol. 2018, 37, 309–315. [Google Scholar] [CrossRef]
- Jäderling, F.; Akre, O.; Aly, M.; Björklund, J.; Olsson, M.; Adding, C.; Öberg, M.; Blomqvist, L.; Nyberg, T.; Wiklund, P.; et al. Preoperative staging using magnetic resonance imaging and risk of positive surgical margins after prostate-cancer surgery. Prostate Cancer Prostatic Dis. 2019, 22, 391–398. [Google Scholar] [CrossRef] [PubMed]
- Li, Y.; Fu, Y.; Li, W.; Xu, L.; Zhang, Q.; Gao, J.; Li, D.; Li, X.; Qiu, X.; Guo, H. Tumour location determined by preoperative MRI is an independent predictor for positive surgical margin status after Retzius-sparing robot-assisted radical prostatectomy. BJU Int. 2020, 126, 152–158. [Google Scholar] [CrossRef] [PubMed]
- Veerman, H.; Boellaard, T.N.; van Leeuwen, P.J.; Vis, A.N.; Bekers, E.; Hoeks, C.; Schoots, I.G.; van der Poel, H.G. The detection rate of apical tumour involvement on preoperative MRI and its impact on clinical outcomes in patients with localized prostate cancer. J. Robot. Surg. 2021, 16, 1047–1056. [Google Scholar] [CrossRef] [PubMed]
- Nunez Bragayrac, L.A.; Hussein, A.A.; Attwood, K.; Pop, E.; James, G.; Osei, J.; Murekeysoni, C.; Kauffman, E.C. Feasibility and continence outcomes of extended prostatic urethral preservation during robot-assisted radical prostatectomy. Prostate Cancer Prostatic Dis. 2020, 23, 286–294. [Google Scholar] [CrossRef]
- Mendez, G.; Foster, B.R.; Li, X.; Shannon, J.; Garzotto, M.; Amling, C.L.; Coakley, F.V. Endorectal MR imaging of prostate cancer: Evaluation of tumor capsular contact length as a sign of extracapsular extension. Clin. Imaging 2018, 50, 280–285. [Google Scholar] [CrossRef]
- Rosenkrantz, A.B.; Shanbhogue, A.K.; Wang, A.; Kong, M.X.; Babb, J.S.; Taneja, S.S. Length of capsular contact for diagnosing extraprostatic extension on prostate MRI: Assessment at an optimal threshold. J. Magn. Reason. Imaging 2016, 43, 990–997. [Google Scholar] [CrossRef]
- Miyamoto, S.; Goto, K.; Honda, Y.; Terada, H.; Fujii, S.; Ueno, T.; Fukuoka, K.; Sekino, Y.; Kitano, H.; Ikeda, K.; et al. Tumor contact length of prostate cancer determined by a three-dimensional method on multiparametric magnetic resonance imaging predicts extraprostatic extension and biochemical recurrence. Int. J. Urol. 2021, 28, 1012–1018. [Google Scholar] [CrossRef] [PubMed]
- Kim, T.-H.; Woo, S.; Han, S.; Suh, C.H.; Ghafoor, S.; Hricak, H.; Vargas, H.A. The Diagnostic Performance of the Length of Tumor Capsular Contact on MRI for Detecting Prostate Cancer Extraprostatic Extension: A Systematic Review and Meta-Analysis. Korean J. Radiol. 2020, 21, 684–694. [Google Scholar] [CrossRef]
- Saba, P.; Melnyk, R.; Holler, T.; Oppenheimer, D.; Schuler, N.; Tabayoyong, W.; Bloom, J.; Bandari, J.; Frye, T.; Joseph, J.; et al. Comparison of Multi-Parametric MRI of the Prostate to 3D Prostate Computer Aided Designs and 3D-Printed Prostate Models for Pre-Operative Planning of Radical Prostatectomies: A Pilot Study. Urology 2021, 158, 150–155. [Google Scholar] [CrossRef]
- Turkbey, B.; Mani, H.; Aras, O.; Rastinehad, A.R.; Shah, V.; Bernardo, M.; Pohida, T.; Daar, D.; Benjamin, C.; McKinney, Y.L.; et al. Correlation of Magnetic Resonance Imaging Tumor Volume with Histopathology. J. Urol. 2012, 188, 1157–1163. [Google Scholar] [CrossRef]
- Turkbey, B.; Fotin, S.V.; Huang, R.J.; Yin, Y.; Daar, D.; Aras, O.; Bernardo, M.; Garvey, B.E.; Weaver, J.; Haldankar, H.; et al. Fully Automated Prostate Segmentation on MRI: Comparison With Manual Segmentation Methods and Specimen Volumes. Am. J. Roentgenol. 2013, 201, W720–W729. [Google Scholar] [CrossRef]
- Darr, C.; Finis, F.; Wiesenfarth, M.; Giganti, F.; Tschirdewahn, S.; Krafft, U.; Kesch, C.; Bonekamp, D.; Forsting, M.; Wetter, A.; et al. Three-dimensional Magnetic Resonance Imaging-based Printed Models of Prostate Anatomy and Targeted Biopsy-proven Index Tumor to Facilitate Patient-tailored Radical Prostatectomy-A Feasibility Study. Eur. Urol. Oncol. 2022, 5, 357–361. [Google Scholar] [CrossRef]
- Van Houdt, P.J.; Ghobadi, G.; Schoots, I.G.; Heijmink, S.; de Jong, J.; van der Poel, H.G.; Pos, F.J.; Rylander, S.; Bentzen, L.; Haustermans, K.; et al. Histopathological Features of MRI-Invisible Regions of Prostate Cancer Lesions. J. Magn. Reason. Imaging 2020, 51, 1235–1246. [Google Scholar] [CrossRef] [PubMed]
- Ukimura, O.; Aron, M.; Nakamoto, M.; Shoji, S.; Abreu, A.L.D.C.; Matsugasumi, T.; Berger, A.; Desai, M.; Gill, I.S. Three-Dimensional Surgical Navigation Model with TilePro Display During Robot-Assisted Radical Prostatectomy. J. Endourol. 2014, 28, 625–630. [Google Scholar] [CrossRef]
- Samei, G.; Tsang, K.; Kesch, C.; Lobo, J.; Hor, S.; Mohareri, O.; Chang, S.; Goldenberg, S.L.; Black, P.C.; Salcudean, S. A partial augmented reality system with live ultrasound and registered preoperative MRI for guiding robot-assisted radical prostatectomy. Med. Image Anal. 2020, 60, 101588. [Google Scholar] [CrossRef] [PubMed]
- Porpiglia, F.; Fiori, C.; Checcucci, E.; Amparore, D.; Bertolo, R. Augmented Reality Robot-assisted Radical Prostatectomy: Preliminary Experience. Urology 2018, 115, 184. [Google Scholar] [CrossRef]
- Porpiglia, F.; Bertolo, R.; Amparore, D.; Checcucci, E.; Artibani, W.; Dasgupta, P.; Montorsi, F.; Tewari, A.; Fiori, C. Esut Augmented reality during robot-assisted radical prostatectomy: Expert robotic surgeons’ on-the-spot insights after live surgery. Minerva Urol. Nephrol. 2018, 70, 226–229. [Google Scholar] [CrossRef]
- Porpiglia, F.; Checcucci, E.; Amparore, D.; Manfredi, M.; Massa, F.; Piazzolla, P.; Manfrin, D.; Piana, A.; Tota, D.; Bollito, E.; et al. Three-dimensional Elastic Augmented-reality Robot-assisted Radical Prostatectomy Using Hyperaccuracy Three-dimensional Reconstruction Technology: A Step Further in the Identification of Capsular Involvement. Eur. Urol. 2019, 76, 505–514. [Google Scholar] [CrossRef] [PubMed]
- Shin, T.; Ukimura, O.; Gill, I.S. Three-dimensional Printed Model of Prostate Anatomy and Targeted Biopsy-proven Index Tumor to Facilitate Nerve-sparing Prostatectomy. Eur. Urol. 2016, 69, 377–379. [Google Scholar] [CrossRef]
- Jomoto, W.; Tanooka, M.; Doi, H.; Kikuchi, K.; Mitsuie, C.; Yamada, Y.; Suzuki, T.; Yamano, T.; Ishikura, R.; Kotoura, N.; et al. Development of a Three-dimensional Surgical Navigation System with Magnetic Resonance Angiography and a Three-dimensional Printer for Robot-assisted Radical Prostatectomy. Cureus 2018, 10, e2018. [Google Scholar] [CrossRef] [PubMed]
- Chandak, P.; Byrne, N.; Lynch, H.; Allen, C.; Rottenberg, G.; Chandra, A.; Raison, N.; Ahmed, H.; Kasivisvanathan, V.; Elhage, O.; et al. Three-dimensional printing in robot-assisted radical prostatectomy–An Idea, Development, Exploration, Assessment, Long-term follow-up (IDEAL) Phase 2a study. BJU Int. 2018, 122, 360–361. [Google Scholar] [CrossRef]
- Porpiglia, F.; The ESUT Research Group; Bertolo, R.; Checcucci, E.; Amparore, D.; Autorino, R.; Dasgupta, P.; Wiklund, P.; Tewari, A.; Liatsikos, E.; et al. Development and validation of 3D printed virtual models for robot-assisted radical prostatectomy and partial nephrectomy: Urologists’ and patients’ perception. World J. Urol. 2017, 36, 201–207. [Google Scholar] [CrossRef] [PubMed]
- Wake, N.; Rosenkrantz, A.B.; Huang, R.; Park, K.U.; Wysock, J.S.; Taneja, S.S.; Huang, W.C.; Sodickson, D.K.; Chandarana, H. Patient-specific 3D printed and augmented reality kidney and prostate cancer models: Impact on patient education. 3D Print. Med. 2019, 5, 4. [Google Scholar] [CrossRef]
- Witthaus, M.W.; Farooq, S.; Melnyk, R.; Campbell, T.; Saba, P.; Mathews, E.; Ezzat, B.; Ertefaie, A.; Frye, T.P.; Wu, G.; et al. Incorporation and validation of clinically relevant performance metrics of simulation (CRPMS) into a novel full-immersion simulation platform for nerve-sparing robot-assisted radical prostatectomy (NS-RARP) utilizing three-dimensional printing and hydrogel casting technology. BJU Int. 2020, 125, 322–332. [Google Scholar]
- Porpiglia, F.; Checcucci, E.; Amparore, D.; Autorino, R.; Piana, A.; Bellin, A.; Piazzolla, P.; Massa, F.; Bollito, E.; Gned, D.; et al. Augmented-reality robot-assisted radical prostatectomy using hyper-accuracy three-dimensional reconstruction (HA3D) technology: A radiological and pathological study. BJU Int. 2019, 123, 834–845. [Google Scholar] [CrossRef]
- Checcucci, E.; Pecoraro, A.; Amparore, D.; De Cillis, S.; Granato, S.; Volpi, G.; Sica, M.; Verri, P.; Piana, A.; Piazzolla, P.; et al. The impact of 3D models on positive surgical margins after robot-assisted radical prostatectomy. World J. Urol. 2022, 40, 2221–2229. [Google Scholar] [CrossRef]
- Bianchi, L.; Chessa, F.; Angiolini, A.; Cercenelli, L.; Lodi, S.; Bortolani, B.; Molinaroli, E.; Casablanca, C.; Droghetti, M.; Gaudiano, C.; et al. The Use of Augmented Reality to Guide the Intraoperative Frozen Section During Robot-assisted Radical Prostatectomy. Eur Urol. 2021, 80, 480–488. [Google Scholar] [CrossRef]
- Shirk, J.D.; Reiter, R.; Wallen, E.M.; Pak, R.; Ahlering, T.; Badani, K.K.; Porter, J.R. Effect of 3-Dimensional, Virtual Reality Models for Surgical Planning of Robotic Prostatectomy on Trifecta Outcomes: A Randomized Clinical Trial. J. Urol. 2022, 208, 618–625. [Google Scholar] [CrossRef] [PubMed]
- Veerman, H.; Boellaard, T.N.; van der Eijk, J.A.; Sluijter, J.H.; Roeleveld, T.A.; van der Sluis, T.M.; Nieuwenhuijzen, A.J.; Wit, E.; van Alphen, H.J.A.; van Veen, R.L.P.; et al. Development and clinical applicability of MRI-based 3D prostate models in the planning of nerve-sparing robot-assisted radical prostatectomy. J. Robot Surg. 2022. [Google Scholar] [CrossRef]
- van der Poel, H.G.; de Blok, W.; Joshi, N.; van Muilekom, E. Preservation of lateral prostatic fascia is associated with urine continence after robotic-assisted prostatectomy. Eur Urol. 2009, 55, 892–900. [Google Scholar] [CrossRef] [PubMed]
- Schiavina, R.; Bianchi, L.; Lodi, S.; Cercenelli, L.; Chessa, F.; Bortolani, B.; Gaudiano, C.; Casablanca, C.; Droghetti, M.; Porreca, A.; et al. Real-time Augmented Reality Three-dimensional Guided Robotic Radical Prostatectomy: Preliminary Experience and Evaluation of the Impact on Surgical Planning. Eur. Urol. Focus 2020, 7, 1260–1267. [Google Scholar] [CrossRef]
- Veerman, H.; Hoeks, C.M.A.; Sluijter, J.H.; van der Eijk, J.A.; Boellaard, T.N.; Roeleveld, T.A.; van der Sluis, T.M.; Nieuwenhuijzen, J.A.; Wit, E.; Rijkhorst, E.-J.; et al. 3D-Reconstructed Contact Surface Area and Tumour Volume on Magnetic Resonance Imaging Improve the Prediction of Extraprostatic Extension of Prostate Cancer. J. Digit. Imaging 2022. [Google Scholar] [CrossRef] [PubMed]



| Prostate Related | Urethra Related | Musculoskeletal |
|---|---|---|
| apical protrusion (overlapping membranous urethra) | thicker urethra wall thickness | larger inner or outer levator distance |
| greater prostate length/depth | severe urethral fibrosis | thinner levator ani muscle thickness |
| >5 mm intravesical prostatic protrusion | smaller membranous urethra volume | lower levator ani muscle perfusion ratio |
| larger angle between the MUL and the prostate axis | shorter pelvic diaphragm length | |
| shorter minimal residual MUL | small dorsal vascular complex |
Disclaimer/Publisher’s Note: The statements, opinions and data contained in all publications are solely those of the individual author(s) and contributor(s) and not of MDPI and/or the editor(s). MDPI and/or the editor(s) disclaim responsibility for any injury to people or property resulting from any ideas, methods, instructions or products referred to in the content. |
© 2023 by the authors. Licensee MDPI, Basel, Switzerland. This article is an open access article distributed under the terms and conditions of the Creative Commons Attribution (CC BY) license (https://creativecommons.org/licenses/by/4.0/).
Share and Cite
Boellaard, T.N.; Hagens, M.J.; Veerman, H.; Yakar, D.; Mertens, L.S.; Heijmink, S.W.T.P.J.; van der Poel, H.G.; van Leeuwen, P.J.; Schoots, I.G.; van Dijk-de Haan, M.C. Prostate MRI for Improving Personalized Risk Prediction of Incontinence and Surgical Planning: The Role of Membranous Urethral Length Measurements and the Use of 3D Models. Life 2023, 13, 830. https://doi.org/10.3390/life13030830
Boellaard TN, Hagens MJ, Veerman H, Yakar D, Mertens LS, Heijmink SWTPJ, van der Poel HG, van Leeuwen PJ, Schoots IG, van Dijk-de Haan MC. Prostate MRI for Improving Personalized Risk Prediction of Incontinence and Surgical Planning: The Role of Membranous Urethral Length Measurements and the Use of 3D Models. Life. 2023; 13(3):830. https://doi.org/10.3390/life13030830
Chicago/Turabian StyleBoellaard, Thierry N., Marinus J. Hagens, Hans Veerman, Derya Yakar, Laura S. Mertens, Stijn W. T. P. J. Heijmink, Henk G. van der Poel, Pim J. van Leeuwen, Ivo G. Schoots, and Margriet C. van Dijk-de Haan. 2023. "Prostate MRI for Improving Personalized Risk Prediction of Incontinence and Surgical Planning: The Role of Membranous Urethral Length Measurements and the Use of 3D Models" Life 13, no. 3: 830. https://doi.org/10.3390/life13030830
APA StyleBoellaard, T. N., Hagens, M. J., Veerman, H., Yakar, D., Mertens, L. S., Heijmink, S. W. T. P. J., van der Poel, H. G., van Leeuwen, P. J., Schoots, I. G., & van Dijk-de Haan, M. C. (2023). Prostate MRI for Improving Personalized Risk Prediction of Incontinence and Surgical Planning: The Role of Membranous Urethral Length Measurements and the Use of 3D Models. Life, 13(3), 830. https://doi.org/10.3390/life13030830

