Relapse of Monoclonal Gammopathy of Renal Significance after mRNA COVID-19 Vaccination: A Case Report
Abstract
1. Introduction
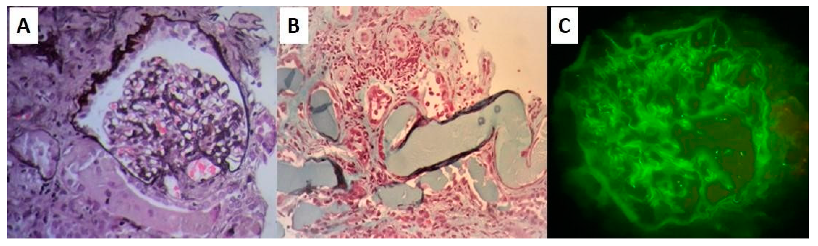
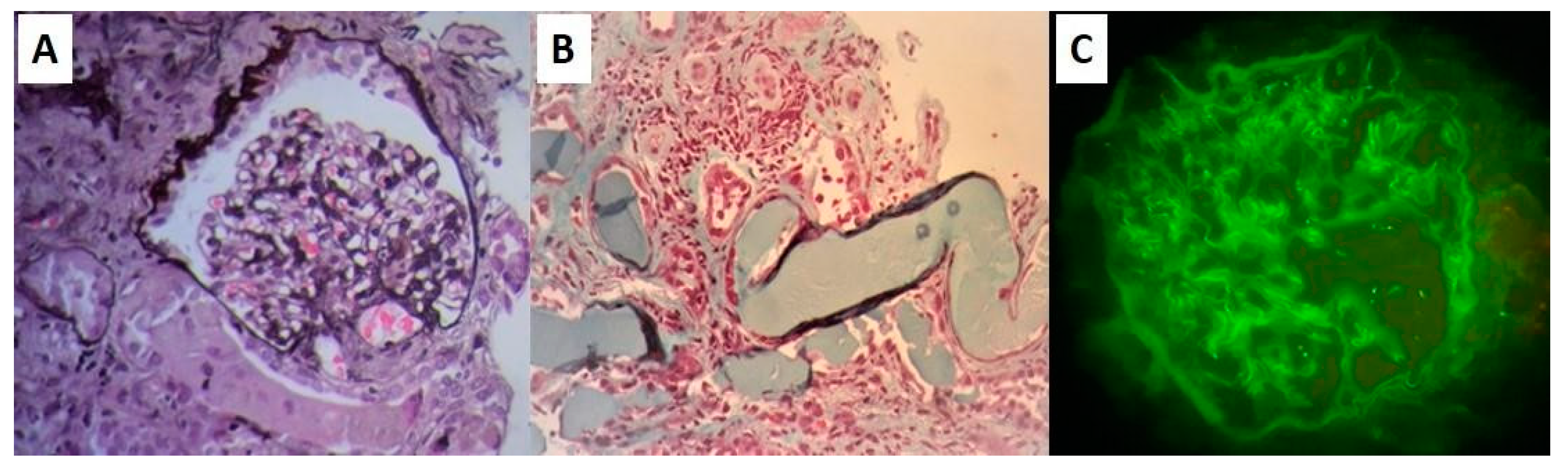
2. Case Report
- Intravenous cyclo-phosphamide 500 mg on the first day of each treatment cycle.
- Intravenous bortezomib 1.3 mg/m2 on days 1, 4, 8 and 11, followed by a 10-day hiatus.
- Oral dexamethasone 20 mg, on days 1, 2, 4, 5, 8, 9, 11, 12.
3. Discussion
- Monoclonal proteins can act as autoantibodies directed against complement components.
- Light chain (AL), heavy chain (AH), and heavy and light chain (AHL) amyloidosis. Extracellular deposition of amyloid in glomeruli, tubules, and/or vessels is characteristic of renal amyloidosis. In most cases, the M-protein-related amyloidosis is derived from fragments of monoclonal light chains (LCs), which are more often of the lambda (λ) than kappa (κ) isotype 26, and rarely from fragments of intact immunoglobulin (Ig) or heavy chains only. Amyloid is the only MGRS lesion that is Congo red-positive [8].
4. Conclusions
Author Contributions
Funding
Institutional Review Board Statement
Informed Consent Statement
Conflicts of Interest
References
- Leung, N.; Bridoux, F.; Hutchison, C.A.; Nasr, S.H.; Cockwell, P.; Fermand, J.-P.; Dispenzieri, A.; Song, K.W.; Kyle, R.A. Monoclonal Gammopathy of Renal Significance: When MGUS Is No Longer Undetermined or Insignificant. Blood 2012, 120, 4292–4295. [Google Scholar] [CrossRef]
- Bridoux, F.; Leung, N.; Hutchison, C.A.; Touchard, G.; Sethi, S.; Fermand, J.-P.; Picken, M.M.; Herrera, G.A.; Kastritis, E.; Merlini, G.; et al. Diagnosis of Monoclonal Gammopathy of Renal Significance. Kidney Int. 2015, 87, 698–711. [Google Scholar] [CrossRef]
- Leung, N.; Bridoux, F.; Batuman, V.; Chaidos, A.; Cockwell, P.; D’Agati, V.D.; Dispenzieri, A.; Fervenza, F.C.; Fermand, J.-P.; Gibbs, S.; et al. The Evaluation of Monoclonal Gammopathy of Renal Significance: A Consensus Report of the International Kidney and Monoclonal Gammopathy Research Group. Nat. Rev. Nephrol. 2019, 15, 45–59. [Google Scholar] [CrossRef] [PubMed]
- Stai, S.; Lioulios, G.; Christodoulou, M.; Kasimatis, E.; Fylaktou, A.; Stangou, M. COVID-19 Infection and Response to Vaccination in Chronic Kidney Disease and Renal Transplantation: A Brief Presentation. Life 2022, 12, 1358. [Google Scholar] [CrossRef] [PubMed]
- Orenstein, W.A.; Ahmed, R. Simply Put: Vaccination Saves Lives. Proc. Natl. Acad. Sci. USA 2017, 114, 4031–4033. [Google Scholar] [CrossRef]
- Laczkó, D.; Hogan, M.J.; Toulmin, S.A.; Hicks, P.; Lederer, K.; Gaudette, B.T.; Castaño, D.; Amanat, F.; Muramatsu, H.; Oguin, T.H.; et al. A Single Immunization with Nucleoside-Modified MRNA Vaccines Elicits Strong Cellular and Humoral Immune Responses against SARS-CoV-2 in Mice. Immunity 2020, 53, 724–732.e7. [Google Scholar] [CrossRef] [PubMed]
- Lederer, K.; Castaño, D.; Gómez, A.D.; Oguin, T.H.; Wang, S.; Manzoni, T.B.; Muramatsu, H.; Hogan, M.J.; Amanat, F.; Cherubin, P.; et al. SARS-CoV-2 MRNA Vaccines Foster Potent Antigen-Specific Germinal Center Responses Associated with Neutralizing Antibody Generation. Immunity 2020, 53, 1281–1295.e5. [Google Scholar] [CrossRef]
- Amaador, K.; Peeters, H.; Minnema, M.C.; Nguyen, T.Q.; Dendooven, A.; Vos, J.M.I.; Croockewit, A.J. Monoclonal Gammopathy of Renal Significance (MGRS): Histopathologic Classification, Diagnostic Workup, and Therapeutic Options. Neth. J. Med. 2019, 77, 12. [Google Scholar]
- Bhutani, G.; Nasr, S.H.; Said, S.M.; Sethi, S.; Fervenza, F.C.; Morice, W.G.; Kurtin, P.J.; Buadi, F.K.; Dingli, D.; Dispenzieri, A.; et al. Hematologic Characteristics of Proliferative Glomerulonephritides With Nonorganized Monoclonal Immunoglobulin Deposits. Mayo Clin. Proc. 2015, 90, 587–596. [Google Scholar] [CrossRef]
- Katzmann, J.A.; Kyle, R.A.; Benson, J.; Larson, D.R.; Snyder, M.R.; Lust, J.A.; Rajkumar, S.V.; Dispenzieri, A. Screening Panels for Detection of Monoclonal Gammopathies. Clin. Chem. 2009, 55, 1517–1522. [Google Scholar] [CrossRef]
- Palladini, G.; Russo, P.; Bosoni, T.; Verga, L.; Sarais, G.; Lavatelli, F.; Nuvolone, M.; Obici, L.; Casarini, S.; Donadei, S.; et al. Identification of Amyloidogenic Light Chains Requires the Combination of Serum-Free Light Chain Assay with Immunofixation of Serum and Urine. Clin. Chem. 2009, 55, 499–504. [Google Scholar] [CrossRef]
- Anderson, K.C. Multiple Myeloma Clinical Practice Guidelines in Oncology. J. Natl. Compr. Canc. Netw. 2004, 7, 908–942. [Google Scholar] [CrossRef] [PubMed]
- Sánchez-Ramón, S.; Dhalla, F.; Chapel, H. Challenges in the Role of Gammaglobulin Replacement Therapy and Vaccination Strategies for Hematological Malignancy. Front. Immunol. 2016, 7, 317. [Google Scholar] [CrossRef]
- Campo, E.; Jaffe, E.S.; Cook, J.R.; Quintanilla-Martinez, L.; Swerdlow, S.H.; Anderson, K.C.; Brousset, P.; Cerroni, L.; de Leval, L.; Dirnhofer, S.; et al. The International Consensus Classification of Mature Lymphoid Neoplasms: A Report from the Clinical Advisory Committee. Blood 2022, 140, 1229–1253. [Google Scholar] [CrossRef]
- Alaggio, R.; Amador, C.; Anagnostopoulos, I.; Attygalle, A.D.; de Oliveira Araujo, I.B.; Berti, E.; Bhagat, G.; Borges, A.M.; Boyer, D.; Calaminici, M.; et al. The 5th Edition of the World Health Organization Classification of Haematolymphoid Tumours: Lymphoid Neoplasms. Leukemia 2022, 36, 1720–1748. [Google Scholar] [CrossRef]
- Castaneda-Avila, M.A.; Ulbricht, C.M.; Epstein, M.M. Risk Factors for Monoclonal Gammopathy of Undetermined Significance: A Systematic Review. Ann. Hematol. 2021, 100, 855–863. [Google Scholar] [CrossRef]
- Kasagi, T.; Nobata, H.; Suzuki, K.; Miura, N.; Banno, S.; Takami, A.; Yamashita, T.; Ando, Y.; Imai, H. Light Chain Deposition Disease Diagnosed with Laser Micro-Dissection, Liquid Chromatography, and Tandem Mass Spectrometry of Nodular Glomerular Lesions. Intern. Med. 2017, 56, 61–66. [Google Scholar] [CrossRef] [PubMed]
- Nasr, S.H.; Valeri, A.M.; Cornell, L.D.; Fidler, M.E.; Sethi, S.; D’Agati, V.D.; Leung, N. Renal Monoclonal Immunoglobulin Deposition Disease: A Report of 64 Patients from a Single Institution. Clin. J. Am. Soc. Nephrol. 2012, 7, 231–239. [Google Scholar] [CrossRef] [PubMed]
- Leung, N. Diagnosis and Treatment of Monoclonal Gammopathy of Renal Significance. UpToDate. 2022, p. 29. Available online: https://www.uptodate.com/contents/diagnosis-and-treatment-of-monoclonal-gammopathy-of-renal-significance (accessed on 6 March 2023).
- Sanada, S.; Ookawara, S.; Karube, H.; Shindo, T.; Goto, T.; Nakamichi, T.; Saito, M.; Matsubara, M.; Suzuki, M. Marked Recovery of Severe Renal Lesions in POEMS Syndrome With High-Dose Melphalan Therapy Supported by Autologous Blood Stem Cell Transplantation. Am. J. Kidney Dis. 2006, 47, 672–679. [Google Scholar] [CrossRef]
- Meri, S.; Koistinen, V.; Miettinen, A.; Törnroth, T.; Seppälä, I.J. Activation of the Alternative Pathway of Complement by Monoclonal Lambda Light Chains in Membranoproliferative Glomerulonephritis. J. Exp. Med. 1992, 175, 939–950. [Google Scholar] [CrossRef]
- Jokiranta, T.S.; Solomon, A.; Pangburn, M.K.; Zipfel, P.F.; Meri, S. Nephritogenic Lambda Light Chain Dimer: A Unique Human Miniautoantibody against Complement Factor, H. J. Immunol. 1999, 163, 4590–4596. [Google Scholar] [CrossRef] [PubMed]
- Chauvet, S.; Roumenina, L.T.; Aucouturier, P.; Marinozzi, M.-C.; Dragon-Durey, M.-A.; Karras, A.; Delmas, Y.; Le Quintrec, M.; Guerrot, D.; Jourde-Chiche, N.; et al. Both Monoclonal and Polyclonal Immunoglobulin Contingents Mediate Complement Activation in Monoclonal Gammopathy Associated-C3 Glomerulopathy. Front. Immunol. 2018, 9, 2260. [Google Scholar] [CrossRef]
- Debiec, H.; Hanoy, M.; Francois, A.; Guerrot, D.; Ferlicot, S.; Johanet, C.; Aucouturier, P.; Godin, M.; Ronco, P. Recurrent Membranous Nephropathy in an Allograft Caused by IgG3κ Targeting the PLA2 Receptor. J. Am. Soc. Nephrol. 2012, 23, 1949–1954. [Google Scholar] [CrossRef] [PubMed]
- Rocha, A.B.; Larsen, C.P. Membranous Glomerulopathy With Light Chain–Restricted Deposits: A Clinicopathological Analysis of 28 Cases. Kidney Int. Rep. 2017, 2, 1141–1148. [Google Scholar] [CrossRef]
- Cohen, C.; Royer, B.; Javaugue, V.; Szalat, R.; Karoui, E.K.; Caulier, A.; Knebelmann, B.; Jaccard, A.; Chevret, S.; Touchard, G.; et al. Bortezomib Produces High Hematological Response Rates with Prolonged Renal Survival in Monoclonal Immunoglobulin Deposition Disease. Kidney Int. 2015, 88, 1135–1143. [Google Scholar] [CrossRef] [PubMed]
- Czarnecki, P.G.; Lager, D.J.; Leung, N.; Dispenzieri, A.; Cosio, F.G.; Fervenza, F.C. Long-Term Outcome of Kidney Transplantation in Patients with Fibrillary Glomerulonephritis or Monoclonal Gammopathy with Fibrillary Deposits. Kidney Int. 2009, 75, 420–427. [Google Scholar] [CrossRef]
- Herrmann, S.M.S.; Gertz, M.A.; Stegall, M.D.; Dispenzieri, A.; Cosio, F.C.; Kumar, S.; Lacy, M.Q.; Dean, P.G.; Prieto, M.; Zeldenrust, S.R.; et al. Long-Term Outcomes of Patients with Light Chain Amyloidosis (AL) after Renal Transplantation with or without Stem Cell Transplantation. Nephrol. Dial. Transplant. 2011, 26, 2032–2036. [Google Scholar] [CrossRef]
- Sayed, R.H.; Wechalekar, A.D.; Gilbertson, J.A.; Bass, P.; Mahmood, S.; Sachchithanantham, S.; Fontana, M.; Patel, K.; Whelan, C.J.; Lachmann, H.J.; et al. Natural History and Outcome of Light Chain Deposition Disease. Blood 2015, 126, 2805–2810. [Google Scholar] [CrossRef]
- Vitiello, L.; Gatta, L.; Ilari, S.; Bonassi, S.; Cristina, M.; Ciatti, F.; Fini, M.; Proietti, S.; Russo, P.; Tomino, C.; et al. Long Lasting Cellular Immune Response Induced by MRNA Vaccination: Implication for Prevention Strategies. Front. Immunol. 2022, 13, 9. [Google Scholar] [CrossRef]



Disclaimer/Publisher’s Note: The statements, opinions and data contained in all publications are solely those of the individual author(s) and contributor(s) and not of MDPI and/or the editor(s). MDPI and/or the editor(s) disclaim responsibility for any injury to people or property resulting from any ideas, methods, instructions or products referred to in the content. |
© 2023 by the authors. Licensee MDPI, Basel, Switzerland. This article is an open access article distributed under the terms and conditions of the Creative Commons Attribution (CC BY) license (https://creativecommons.org/licenses/by/4.0/).
Share and Cite
Tsaftaridis, N.; Potoupni, V.; Koraka, L.; Iatridi, F.; Lioulios, G.; Christodoulou, M.; Moysidou, E.; Stai, S.; Fylaktou, A.; Papagianni, A.; et al. Relapse of Monoclonal Gammopathy of Renal Significance after mRNA COVID-19 Vaccination: A Case Report. Life 2023, 13, 734. https://doi.org/10.3390/life13030734
Tsaftaridis N, Potoupni V, Koraka L, Iatridi F, Lioulios G, Christodoulou M, Moysidou E, Stai S, Fylaktou A, Papagianni A, et al. Relapse of Monoclonal Gammopathy of Renal Significance after mRNA COVID-19 Vaccination: A Case Report. Life. 2023; 13(3):734. https://doi.org/10.3390/life13030734
Chicago/Turabian StyleTsaftaridis, Nikolaos, Victoria Potoupni, Lydia Koraka, Fotini Iatridi, Georgios Lioulios, Michalis Christodoulou, Eleni Moysidou, Stamatia Stai, Asimina Fylaktou, Aikaterini Papagianni, and et al. 2023. "Relapse of Monoclonal Gammopathy of Renal Significance after mRNA COVID-19 Vaccination: A Case Report" Life 13, no. 3: 734. https://doi.org/10.3390/life13030734
APA StyleTsaftaridis, N., Potoupni, V., Koraka, L., Iatridi, F., Lioulios, G., Christodoulou, M., Moysidou, E., Stai, S., Fylaktou, A., Papagianni, A., & Stangou, M. (2023). Relapse of Monoclonal Gammopathy of Renal Significance after mRNA COVID-19 Vaccination: A Case Report. Life, 13(3), 734. https://doi.org/10.3390/life13030734

