Sex and Age-Dependent Olfactory Memory Dysfunction in ADHD Model Mice
Abstract
1. Introduction
2. Materials and Methods
2.1. Animal
2.2. Primary Neural Stem Cell Culture
2.3. Differentiation of Neural Stem Cells
2.4. Immunocytochemistry
2.5. Immunohistochemistry
Cryocut
2.6. 3,3′-Diaminobenzidine (DAB) Staining
2.7. Olfactory Memory Test
2.8. Statistics
3. Results
3.1. Impaired Olfactory Memory in GIT1+/− Mice
3.2. Contribution of Migrating Immature Neurons on RMS to Olfactory Neuronal Population
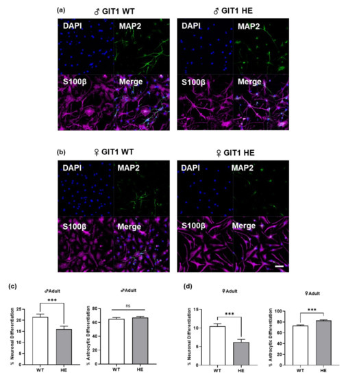
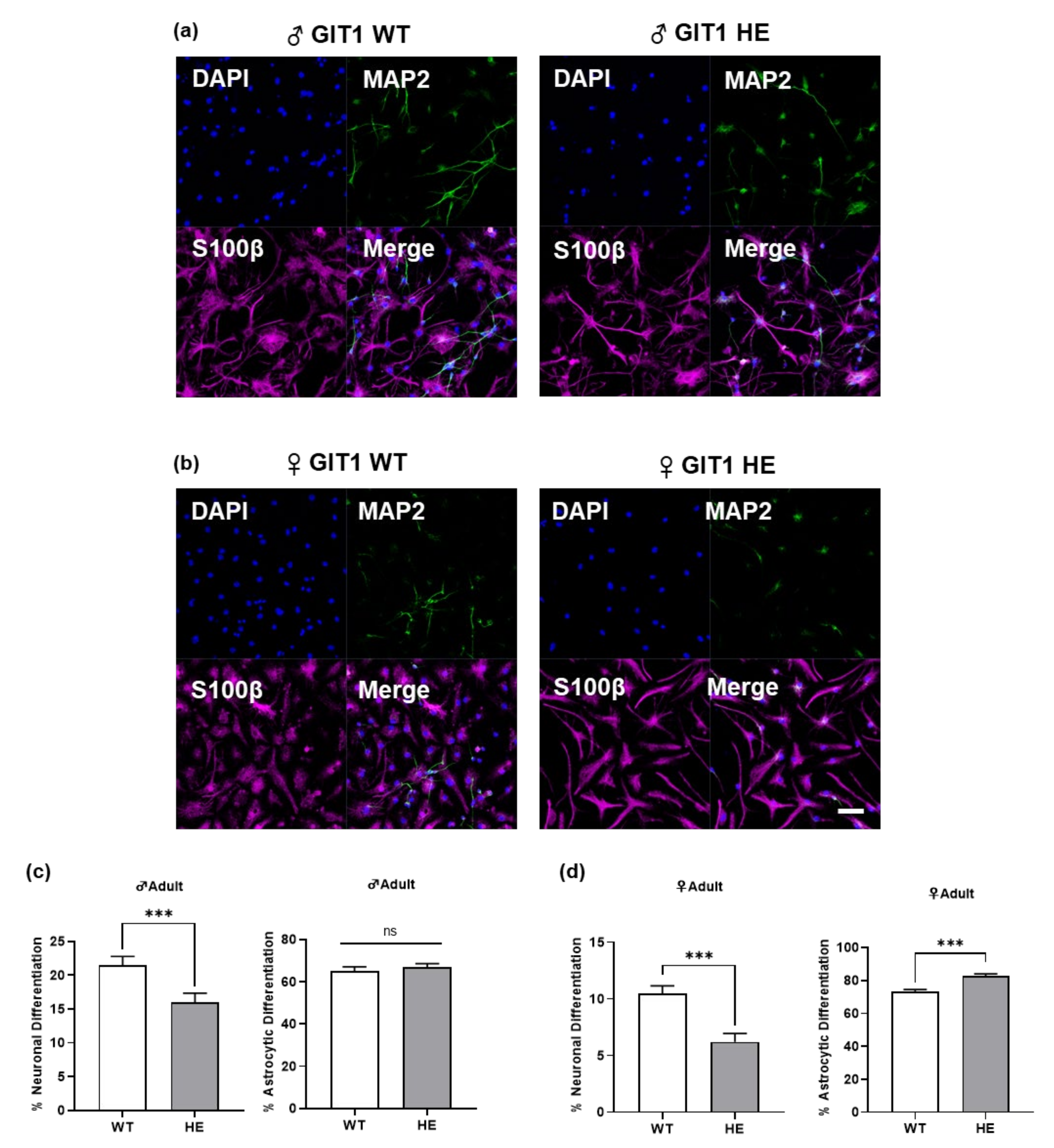
3.3. Decreased Neuronal Differentiation of GIT1+/− Neural Stem Cells
4. Discussion
5. Conclusions
Author Contributions
Funding
Institutional Review Board Statement
Informed Consent Statement
Data Availability Statement
Conflicts of Interest
Abbreviations
References
- Kessler, R.C.; Adler, L.; Barkley, R.; Biederman, J.; Conners, C.K.; Demler, O.; Faraone, S.V.; Greenhill, L.L.; Howes, M.J.; Secnik, K.; et al. The Prevalence and Correlates of Adult ADHD in the United States: Results from the National Comorbidity Survey Replication. Am. J. Psychiatry 2006, 163, 716–723. [Google Scholar] [CrossRef] [PubMed]
- Ramtekkar, U.P.; Reiersen, A.M.; Todorov, A.A.; Todd, R.D. Sex and Age Differences in Attention-Deficit/Hyperactivity Disorder Symptoms and Diagnoses: Implications for DSM-V and ICD-11. J. Am. Acad. Child Adolesc. Psychiatry 2010, 49, 217–228. [Google Scholar] [CrossRef] [PubMed]
- APA. Diagnostic and Statistical Manual of DSM-5 TM, 5th ed.; Schultz, S.K., Kuhl, E.A., Eds.; American Psychiatric Publishing: Washington, DC, USA, 2013. [Google Scholar]
- Rucklidge, J.J. Gender Differences in Attention-Deficit/Hyperactivity Disorder. Psychiatr. Clin. North Am. 2010, 33, 357–373. [Google Scholar] [CrossRef]
- Yilmaz, Y.; Ince, E.; Ugurlu, H.; Bas, A.; Tatli, B.; Balcioglu, I. Clinical Assessment and Implication of Olfactory Dysfunction in Neuropsychiatric Disorders of Childhood and Adulthood: A Review of Literature. J. Neurobehav. Sci. 2015, 2, 7. [Google Scholar] [CrossRef]
- Lim, D.A.; Alvarez-Buylla, A. The Adult Ventricular–Subventricular Zone (V-SVZ) and Olfactory Bulb (OB) Neurogenesis. Cold Spring Harb. Perspect. Biol. 2016, 8, a018820. [Google Scholar] [CrossRef]
- Bagley, J.; LaRocca, G.; Jimenez, D.A.; Urban, N.N. Adult Neurogenesis and Specific Replacement of Interneuron Subtypes in the Mouse Main Olfactory Bulb. BMC Neurosci. 2007, 8, 92. [Google Scholar] [CrossRef] [PubMed]
- Kosaka, K.; Kosaka, T. Chemical Properties of Type 1 and Type 2 Periglomerular Cells in the Mouse Olfactory Bulb Are Different from Those in the Rat Olfactory Bulb. Brain Res. 2007, 1167, 42–55. [Google Scholar] [CrossRef]
- Parrish-Aungst, S.; Shipley, M.T.; Erdelyi, F.; Szabo, G.; Puche, A.C. Quantitative Analysis of Neuronal Diversity in the Mouse Olfactory Bulb. J. Comp. Neurol. 2007, 501, 825–836. [Google Scholar] [CrossRef] [PubMed]
- Mori, K.; Kishi, K.; Ojima, H. Distribution of Dendrites of Mitral, Displaced Mitral, Tufted, and Granule Cells in the Rabbit Olfactory Bulb. J. Comp. Neurol. 1983, 219, 339–355. [Google Scholar] [CrossRef]
- Orona, E.; Scott, J.W.; Rainer, E.C. Different Granule Cell Populations Innervate Superficial and Deep Regions of the External Plexiform Layer in Rat Olfactory Bulb. J. Comp. Neurol. 1983, 217, 227–237. [Google Scholar] [CrossRef]
- Lledo, P.-M.; Saghatelyan, A.; Lemasson, M. Inhibitory Interneurons in the Olfactory Bulb: From Development to Function. Neuroscience 2004, 10, 292–303. [Google Scholar] [CrossRef]
- Labarrera, C.; London, M.; Angelo, K. Tonic Inhibition Sets the State of Excitability in Olfactory Bulb Granule Cells. J. Physiol. 2013, 591, 1841–1850. [Google Scholar] [CrossRef] [PubMed]
- Gheusi, G.; Cremer, H.; McLean, H.; Chazal, G.; Vincent, J.-D.; Lledo, P.-M. Importance of Newly Generated Neurons in the Adult Olfactory Bulb for Odor Discrimination. Proc. Natl. Acad. Sci. USA 2000, 97, 1823–1828. [Google Scholar] [CrossRef] [PubMed]
- De Filippis, L.; Binda, E. Concise Review: Self-Renewal in the Central Nervous System: Neural Stem Cells from Embryo to Adult. Stem Cells Transl. Med. 2012, 1, 298–308. [Google Scholar] [CrossRef] [PubMed]
- Doetsch, F.; Alvarez-Buylla, A. Network of Tangential Pathways for Neuronal Migration in Adult Mammalian Brain (Subventricular Zonesubependymal Layerneurogenesis). Proc. Natl. Acad. Sci. USA 1996, 93, 14895–14900. [Google Scholar] [CrossRef] [PubMed]
- Lois, C.; García-Verdugo, J.-M.; Alvarez-Buylla, A. Chain Migration of Neuronal Precursors. Science 1996, 271, 978–981. [Google Scholar] [CrossRef]
- Altman, J. Autoradiographic and Histological Studies of Postnatal Neurogenesis IV. Cell Proliferation and Migration in the Anterior Forebrain, with Special Reference to Persisting Neurogenesis in the Olfactory Bulb. J. Comp. Neurol. 1969, 137, 433–457. [Google Scholar] [CrossRef] [PubMed]
- Lois, C.; Alvarez-Buylla, A. Long-Distance Neuronal Migration in the Adult Mammalian Brain. Science 1994, 264, 1145–1148. [Google Scholar] [CrossRef] [PubMed]
- Kornack, D.R.; Rakic, P. The Generation, Migration, and Differentiation of Olfactory Neurons in the Adult Primate Brain. Proc. Natl. Acad. Sci. USA 2001, 98, 4752–4757. [Google Scholar] [CrossRef] [PubMed]
- Pencea, V.; Bingaman, K.D.; Freedman, L.J.; Luskin, M.B. Neurogenesis in the Subventricular Zone and Rostral Migratory Stream of the Neonatal and Adult Primate Forebrain. Exp. Neurol. 2001, 172, 1–16. [Google Scholar] [CrossRef]
- Defteralı, Ç.; Moreno-Estellés, M.; Crespo, C.; Díaz-Guerra, E.; Díaz-Moreno, M.; Vergaño-Vera, E.; Nieto-Estévez, V.; Hurtado-Chong, A.; Consiglio, A.; Mira, H.; et al. Neural Stem Cells in the Adult Olfactory Bulb Core Generate Mature Neurons in Vivo. Stem Cells 2021, 39, 1253–1269. [Google Scholar] [CrossRef]
- Zigova, T.; Pencea, V.; Wiegand, S.J.; Luskin, M.B. Intraventricular Administration of BDNF Increases the Number of Newly Generated Neurons in the Adult Olfactory Bulb. Mol. Cell. Neurosci. 1998, 11, 234–245. [Google Scholar] [CrossRef]
- Gómez-Gaviro, M.V.; Scott, C.E.; Sesay, A.K.; Matheu, A.; Booth, S.; Galichet, C.; Lovell-Badge, R. Betacellulin Promotes Cell Proliferation in the Neural Stem Cell Niche and Stimulates Neurogenesis. Proc. Natl. Acad. Sci. USA 2012, 109, 1317–1322. [Google Scholar] [CrossRef]
- Machold, R.; Hayashi, S.; Rutlin, M.; Muzumdar, M.D.; Nery, S.; Corbin, J.G.; Dudek, H.; Mcmahon, A.P. Sonic Hedgehog Is Required for Progenitor Cell Maintenance in Telencephalic Stem Cell Niches; Wallace: Essex, UK, 2003; Volume 39. [Google Scholar]
- Adachi, K.; Mirzadeh, Z.; Sakaguchi, M.; Yamashita, T.; Nikolcheva, T.; Gotoh, Y.; Peltz, G.; Gong, L.; Kawase, T.; Alvarez-Buylla, A.; et al. β-Catenin Signaling Promotes Proliferation of Progenitor Cells in the Adult Mouse Subventricular Zone. Stem Cells 2007, 25, 2827–2836. [Google Scholar] [CrossRef]
- Bragado Alonso, S.; Reinert, J.K.; Marichal, N.; Massalini, S.; Berninger, B.; Kuner, T.; Calegari, F. An Increase in Neural Stem Cells and Olfactory Bulb Adult Neurogenesis Improves Discrimination of Highly Similar Odorants. EMBO J. 2019, 38, e98791. [Google Scholar] [CrossRef] [PubMed]
- Mishra, S.K.; Hidau, M. Intranasal Insulin Enhances Intracerebroventricular Streptozotocin–Induced Decrease in Olfactory Discriminative Learning via Upregulation of Subventricular Zone–Olfactory Bulb Neurogenesis in the Rat Model. Mol. Neurobiol. 2021, 58, 1248–1259. [Google Scholar] [CrossRef] [PubMed]
- Mastrodonato, A.; Barbati, S.A.; Leone, L.; Colussi, C.; Gironi, K.; Rinaudo, M.; Piacentini, R.; Denny, C.A.; Grassi, C. Olfactory Memory Is Enhanced in Mice Exposed to Extremely Low-Frequency Electromagnetic Fields via Wnt/β-Catenin Dependent Modulation of Subventricular Zone Neurogenesis. Sci. Rep. 2018, 8, 262. [Google Scholar] [CrossRef]
- Nigg, J.T. What Causes ADHD? The Guilford Press: New York, NY, USA, 2006. [Google Scholar]
- Nikolas, M.A.; Burt, S.A. Genetic and Environmental Influences on ADHD Symptom Dimensions of Inattention and Hyperactivity: A Meta-Analysis. J. Abnorm. Psychol. 2010, 119, 1–17. [Google Scholar] [CrossRef] [PubMed]
- Reiersen, A.M.; Constantino, J.N.; Grimmer, M.; Martin, N.G.; Todd, R.D. Evidence for Shared Genetic Influences on Self-Reported ADHD and Autistic Symptoms in Young Adult Australian Twins. Twin Res. Hum. Genet. 2008, 11, 579–585. [Google Scholar] [CrossRef]
- Won, H.; Mah, W.; Kim, E.; Kim, J.W.; Hahm, E.K.; Kim, M.H.; Cho, S.; Kim, J.; Jang, H.; Cho, S.C.; et al. GIT1 Is Associated with ADHD in Humans and ADHD-like Behaviors in Mice. Nat. Med. 2011, 17, 566–572. [Google Scholar] [CrossRef]
- Premont, R.T.; Claing, A.; Vitale, N.; Freeman, J.L.R.; Pitcher, J.A.; Patton, W.A.; Moss, J.; Vaughan, M.; Lefkowitz, R.J. β 2 -Adrenergic Receptor Regulation by GIT1, a G Protein-Coupled Receptor Kinase-Associated ADP Ribosylation Factor GTPase-Activating Protein. Proc. Natl. Acad. Sci. USA 1998, 95, 14082–14087. [Google Scholar] [CrossRef] [PubMed]
- Claing, A.; Perry, S.J.; Achiriloaie, M.; Walker, J.K.L.; Albanesi, J.P.; Lefkowitz, R.J.; Premont, R.T. Multiple Endocytic Pathways of G Protein-Coupled Receptors Delineated by GIT1 Sensitivity. Proc. Natl. Acad. Sci. USA 2000, 97, 1119–1124. [Google Scholar] [CrossRef]
- Hoefen, R.J.; Berk, B.C. The Multifunctional GIT Family of Proteins. J. Cell Sci. 2006, 119, 1469–1475. [Google Scholar] [CrossRef]
- Za, L.; Albertinazzi, C.; Paris, S.; Gagliani, M.; Tacchetti, C.; de Curtis, I. ΒPIX Controls Cell Motility and Neurite Extension by Regulating the Distribution of GIT1. J. Cell Sci. 2006, 119, 2654–2666. [Google Scholar] [CrossRef] [PubMed]
- Menon, P.; Deane, R.; Sagare, A.; Lane, S.M.; Zarcone, T.J.; O’Dell, M.R.; Yan, C.; Zlokovic, B.V.; Berk, B.C. Impaired Spine Formation and Learning in GPCR Kinase 2 Interacting Protein-1 (GIT1) Knockout Mice. Brain Res. 2010, 1317, 218–226. [Google Scholar] [CrossRef] [PubMed]
- Zhang, H.; Webb, D.J.; Asmussen, H.; Niu, S.; Horwitz, A.F. A GIT1/PIX/Rac/PAK Signaling Module Regulates Spine Morphogenesis and Synapse Formation through MLC. J. Neurosci. 2005, 25, 3379–3388. [Google Scholar] [CrossRef] [PubMed]
- Segura, I.; Essmann, C.L.; Weinges, S.; Acker-Palmer, A. Grb4 and GIT1 Transduce EphrinB Reverse Signals Modulating Spine Morphogenesis and Synapse Formation. Nat. Neurosci. 2007, 10, 301–310. [Google Scholar] [CrossRef]
- Zhang, H.; Webb, D.J.; Asmussen, H.; Horwitz, A.F. Synapse Formation Is Regulated by the Signaling Adaptor GIT1. J. Cell Biol. 2003, 161, 131–142. [Google Scholar] [CrossRef]
- Ko, J.; Kim, S.; Valtschanoff, J.G.; Shin, H.; Lee, J.-R.; Sheng, M.; Premont, R.T.; Weinberg, R.J.; Kim, E. Interaction between Liprin-and GIT1 Is Required for AMPA Receptor Targeting. J. Neurosci. 2003, 23, 1667–1677. [Google Scholar] [CrossRef] [PubMed]
- Lim, S.Y.; Mah, W. Abnormal Astrocytosis in the Basal Ganglia Pathway of Git1−/− Mice. Mol. Cells 2015, 38, 540–547. [Google Scholar] [CrossRef]
- Walker, T.L.; Kempermann, G. One Mouse, Two Cultures: Isolation and Culture of Adult Neural Stem Cells from the Two Neurogenic Zones of Individual Mice. J. Vis. Exp. 2014, 84, e51225. [Google Scholar] [CrossRef]
- Akhondzadeh, S.; Tavakolian, R.; Davari-Ashtiani, R.; Arabgol, F.; Amini, H. Selegiline in the Treatment of Attention Deficit Hyperactivity Disorder in Children: A Double Blind and Randomized Trial. Prog. Neuropsychopharmacol. Biol. Psychiatry 2003, 27, 841–845. [Google Scholar] [CrossRef] [PubMed]
- Crow, A.J.D.; Janssen, J.M.; Vickers, K.L.; Parish-Morris, J.; Moberg, P.J.; Roalf, D.R. Olfactory Dysfunction in Neurodevelopmental Disorders: A Meta-Analytic Review of Autism Spectrum Disorders, Attention Deficit/Hyperactivity Disorder and Obsessive–Compulsive Disorder. J. Autism. Dev. Disord. 2020, 50, 2685–2697. [Google Scholar] [CrossRef]
- Lorenzen, A.; Scholz-Hehn, D.; Wiesner, C.D.; Wolff, S.; Bergmann, T.O.; van Eimeren, T.; Lentfer, L.; Baving, L.; Prehn-Kristensen, A. Chemosensory Processing in Children with Attention-Deficit/Hyperactivity Disorder. J. Psychiatr. Res. 2016, 76, 121–127. [Google Scholar] [CrossRef] [PubMed]
- Munz, M.; Wiesner, C.D.; Vollersen-Krekiehn, M.; Baving, L.; Prehn-Kristensen, A. Sleep Fosters Odor Recognition in Children with Attention Deficit Hyperactivity Disorder but Not in Typically Developing Children. Brain Sci. 2022, 12, 1182. [Google Scholar] [CrossRef]
- Allen, W.E.; Chen, M.Z.; Pichamoorthy, N.; Tien, R.H.; Pachitariu, M.; Luo, L.; Deisseroth, K. Thirst Regulates Motivated Behavior through Modulation of Brainwide Neural Population Dynamics. Science 2019, 364, eaav3932. [Google Scholar] [CrossRef]
- Chen, J.L.; Andermann, M.L.; Keck, T.; Xu, N.L.; Ziv, Y. Imaging Neuronal Populations in Behaving Rodents: Paradigms for Studying Neural Circuits Underlying Behavior in the Mammalian Cortex. J. Neurosci. 2013, 33, 17631–17640. [Google Scholar] [CrossRef]
- Falcone, C.; Mevises, N.Y.; Hong, T.; Dufour, B.; Chen, X.; Noctor, S.C.; Martínez Cerdeño, V. Neuronal and Glial Cell Number Is Altered in a Cortical Layer-Specific Manner in Autism. Autism 2021, 25, 2238–2253. [Google Scholar] [CrossRef]
- Kim, Y.S.; Woo, J.; Lee, C.J.; Yoon, B.E. Decreased Glial GABA and Tonic Inhibition in Cerebellum of Mouse Model for Attention-Deficit/ Hyperactivity Disorder (ADHD). Exp. Neurobiol. 2017, 26, 206–212. [Google Scholar] [CrossRef]



Disclaimer/Publisher’s Note: The statements, opinions and data contained in all publications are solely those of the individual author(s) and contributor(s) and not of MDPI and/or the editor(s). MDPI and/or the editor(s) disclaim responsibility for any injury to people or property resulting from any ideas, methods, instructions or products referred to in the content. |
© 2023 by the authors. Licensee MDPI, Basel, Switzerland. This article is an open access article distributed under the terms and conditions of the Creative Commons Attribution (CC BY) license (https://creativecommons.org/licenses/by/4.0/).
Share and Cite
Sim, J.-S.; Lee, W.-S.; Yoon, B.-E. Sex and Age-Dependent Olfactory Memory Dysfunction in ADHD Model Mice. Life 2023, 13, 686. https://doi.org/10.3390/life13030686
Sim J-S, Lee W-S, Yoon B-E. Sex and Age-Dependent Olfactory Memory Dysfunction in ADHD Model Mice. Life. 2023; 13(3):686. https://doi.org/10.3390/life13030686
Chicago/Turabian StyleSim, Jae-Sang, Won-Seok Lee, and Bo-Eun Yoon. 2023. "Sex and Age-Dependent Olfactory Memory Dysfunction in ADHD Model Mice" Life 13, no. 3: 686. https://doi.org/10.3390/life13030686
APA StyleSim, J.-S., Lee, W.-S., & Yoon, B.-E. (2023). Sex and Age-Dependent Olfactory Memory Dysfunction in ADHD Model Mice. Life, 13(3), 686. https://doi.org/10.3390/life13030686

