Safety and Feasibility of Analgosedation for Electrochemotherapy of Liver Lesions
Abstract
1. Introduction
2. Materials and Methods
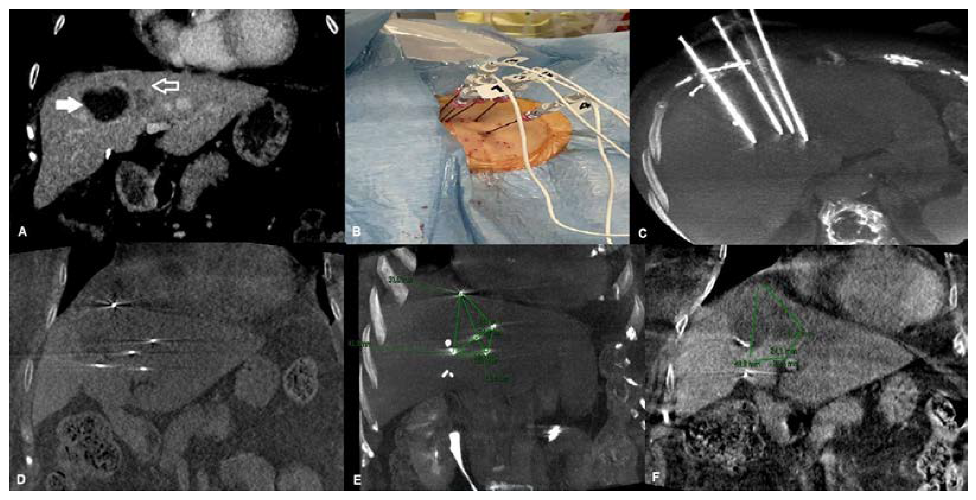
2.1. Procedural Steps
2.2. Analgosedation Protocol
2.3. Post-Procedural Follow-Up
2.4. Statistical Analysis
3. Results
4. Discussion
5. Conclusions
Author Contributions
Funding
Institutional Review Board Statement
Informed Consent Statement
Data Availability Statement
Conflicts of Interest
References
- Iezzi, R.; Bilhim, T.; Crocetti, L.; Peynircioglu, B.; Goldberg, S.; Bilbao, J.I.; Sami, A.; Akhan, O.; Scalise, P.; Giuliante, F.; et al. “Primum Non Nocere” in Interventional Oncology for Liver Cancer: How to Reduce the Risk for Complications? Life 2020, 10, 180. [Google Scholar] [CrossRef]
- Helmberger, T. The evolution of interventional oncology in the 21st century. Br. J. Radiol. 2020, 93, 20200112. [Google Scholar] [CrossRef] [PubMed]
- Inchingolo, R.; Posa, A.; Mariappan, M.; Spiliopoulos, S. Locoregional treatments for hepatocellular carcinoma: Current evidence and future directions. World J. Gastroenterol. 2019, 25, 4614–4628. [Google Scholar] [CrossRef] [PubMed]
- Hui, T.C.; Kwan, J.; Pua, U. Advanced Techniques in the Percutaneous Ablation of Liver Tumours. Diagnostics 2021, 11, 585. [Google Scholar] [CrossRef] [PubMed]
- Probst, U.; Fuhrmann, I.; Beyer, L.; Wiggermann, P. Electrochemotherapy as a New Modality in Interventional Oncology: A Review. Technol. Cancer Res. Treat. 2018, 17, 1533033818785329. [Google Scholar] [CrossRef]
- Bonferoni, M.C.; Rassu, G.; Gavini, E.; Sorrenti, M.; Catenacci, L.; Torre, M.L.; Perteghella, S.; Ansaloni, L.; Maestri, M.; Giunchedi, P. Electrochemotherapy of Deep-Seated Tumors: State of Art and Perspectives as Possible “EPR Effect Enhancer” to Improve Cancer Nanomedicine Efficacy. Cancers 2021, 13, 4437. [Google Scholar] [CrossRef]
- Tozon, N.; Lampreht Tratar, U.; Znidar, K.; Sersa, G.; Teissie, J.; Cemazar, M. Operating Procedures of the Electrochemotherapy for Treatment of Tumor in Dogs and Cats. J. Vis. Exp. 2016, 116, 54760. [Google Scholar] [CrossRef]
- Esmaeili, N.; Friebe, M. Electrochemotherapy: A Review of Current Status, Alternative IGP Approaches, and Future Perspectives. J. Healthc. Eng. 2019, 2019, 2784516. [Google Scholar] [CrossRef]
- Ritter, A.; Bruners, P.; Isfort, P.; Barabasch, A.; Pfeffer, J.; Schmitz, J.; Pedersoli, F.; Baumann, M. Electroporation of the Liver: More Than 2 Concurrently Active, Curved Electrodes Allow New Concepts for Irreversible Electroporation and Electrochemotherapy. Technol. Cancer Res. Treat. 2018, 17, 1533033818809994. [Google Scholar] [CrossRef]
- Condello, M.; D’Avack, G.; Spugnini, E.P.; Meschini, S. Electrochemotherapy: An Alternative Strategy for Improving Therapy in Drug-Resistant SOLID Tumors. Cancers 2022, 14, 4341. [Google Scholar] [CrossRef]
- Trotovšek, B.; Djokić, M.; Čemažar, M.; Serša, G. New era of electrochemotherapy in treatment of liver tumors in conjunction with immunotherapies. World J. Gastroenterol. 2021, 27, 8216–8226. [Google Scholar] [CrossRef] [PubMed]
- Spallek, H.; Bischoff, P.; Zhou, W.; de Terlizzi, F.; Jakob, F.; Kovàcs, A. Percutaneous electrochemotherapy in primary and secondary liver malignancies-local tumor control and impact on overall survival. Radiol. Oncol. 2022, 56, 102–110. [Google Scholar] [CrossRef]
- Quaglino, P.; Matthiessen, L.W.; Curatolo, P.; Muir, T.; Bertino, G.; Kunte, C.; Odili, J.; Rotunno, R.; Humphreys, A.C.; Letulé, V.; et al. Predicting patients at risk for pain associated with electrochemotherapy. Acta Oncol. 2015, 54, 298–306. [Google Scholar] [CrossRef]
- Pfefferle, V.; Häfner, H.M.; Saur, A.; Kofler, K.; Kofler, L. Electrochemotherapy in analgosedation for patients with reduced ability to receive general anesthesia. J. Dtsch. Dermatol. Ges. 2022, 20, 1384–1386. [Google Scholar] [CrossRef]
- Chernyak, V.; Fowler, K.J.; Kamaya, A.; Kielar, A.Z.; Elsayes, K.M.; Bashir, M.R.; Kono, Y.; Do, R.K.; Mitchell, D.G.; Singal, A.G.; et al. Liver Imaging Reporting and Data System (LI-RADS) Version 2018: Imaging of Hepatocellular Carcinoma in At-Risk Patients. Radiology 2018, 289, 816–830. [Google Scholar] [CrossRef]
- Mir, L.M.; Gehl, J.; Sersa, G.; Collins, C.G.; Garbay, J.R.; Billard, V.; Geertsen, P.F.; Rudolf, Z.; O’Sullivan, G.C.; Marty, M. Standard operating procedures of the electrochemotherapy: Instructions for the use of bleomycin or cisplatin administered either systemically or locally and electric pulses delivered by the CliniporatorTM by means of invasive or non-invasive electrodes. Eur. J. Cancer Suppl. 2006, 4, 14–25. [Google Scholar] [CrossRef]
- Althoff, F.C.; Agnihotri, A.; Grabitz, S.D.; Santer, P.; Nabel, S.; Tran, T.; Berzin, T.M.; Sundar, E.; Xu, X.; Sawhney, M.S.; et al. Outcomes after endoscopic retrograde cholangiopancreatography with general anaesthesia versus sedation. Br. J. Anaesth. 2021, 126, 191–200. [Google Scholar] [CrossRef] [PubMed]
- Sbaraglia, F.; Sammartino, M. Propofol-remifentanil and spontaneous breathing, a magnificent pair. Minerva Anestesiol. 2016, 82, 1129–1131. [Google Scholar] [PubMed]
- Olsen, F.; Suyderhoud, J.P.; Khanna, A.K. Respiratory monitoring of nonintubated patients in nonoperating room settings: Old and new technologies. Curr. Opin. Anaesthesiol. 2022, 35, 521–527. [Google Scholar] [CrossRef]
- Filippiadis, D.K.; Binkert, C.; Pellerin, O.; Hoffmann, R.T.; Krajina, A.; Pereira, P.L. Cirse Quality Assurance Document and Standards for Classification of Complications: The Cirse Classification System. Cardiovasc. Interv. Radiol. 2017, 40, 1141–1146. [Google Scholar] [CrossRef]
- National Institutes of Health, National Cancer Institute, U.S Department of Health and Human Services. 2017 Common Terminology Criteria for Adverse Events (CTCAE) Version 5.0. Available online: https://ctep.cancer.gov/protocolDevelopment/electronic_applications/docs/CTCAE_v5_Quick_Reference_8.5x11.pdf (accessed on 2 October 2022).
- Skervin, A.; Levy, B. Management of common surgical complications. Surgery 2020, 38, 128–132. [Google Scholar] [CrossRef]
- Kovács, A.; Bischoff, P.; Haddad, H.; Zhou, W.; Temming, S.; Schäfer, A.; Spallek, H.; Kaupe, L.; Kovács, G.; Pinkawa, M. Long-Term Comparative Study on the Local Tumour Control of Different Ablation Technologies in Primary and Secondary Liver Malignancies. J. Pers Med. 2022, 12, 430. [Google Scholar] [CrossRef]
- Lu, D.S.; Yu, N.C.; Raman, S.S.; Limanond, P.; Lassman, C.; Murray, K.; Tong, M.J.; Amado, R.G.; Busuttil, R.W. Radiofrequency ablation of hepatocellular carcinoma: Treatment success as defined by histologic examination of the explanted liver. Radiology 2005, 234, 954–960. [Google Scholar] [CrossRef] [PubMed]
- Livraghi, T.; Solbiati, L.; Meloni, M.F.; Gazelle, G.S.; Halpern, E.F.; Goldberg, S.N. Treatment of focal liver tumors with percutaneous radio-frequency ablation: Complications encountered in a multicenter study. Radiology 2003, 226, 441–451. [Google Scholar] [CrossRef]
- Ebara, M.; Okabe, S.; Kita, K.; Sugiura, N.; Fukuda, H.; Yoshikawa, M.; Kondo, F.; Saisho, H. Percutaneous ethanol injection for small hepatocellular carcinoma: Therapeutic efficacy based on 20-year observation. J. Hepatol. 2005, 43, 458–464. [Google Scholar] [CrossRef] [PubMed]
- Cindric, H.; Gasljevic, G.; Edhemovic, I.; Brecelj, E.; Zmuc, J.; Cemazar, M.; Seliskar, A.; Miklavcic, D.; Kos, B. Numerical mesoscale tissue model of electrochemotherapy in liver based on histological findings. Sci. Rep. 2022, 12, 6476. [Google Scholar] [CrossRef]
- Djokic, M.; Dezman, R.; Cemazar, M.; Stabuc, M.; Petric, M.; Smid, L.M.; Jansa, R.; Plesnik, B.; Bosnjak, M.; Tratar, U.L.; et al. Percutaneous image guided electrochemotherapy of hepatocellular carcinoma: Technological advancement. Radiol. Oncol. 2020, 54, 347–352. [Google Scholar] [CrossRef] [PubMed]
- Luerken, L.; Doppler, M.; Brunner, S.M.; Schlitt, H.J.; Uller, W. Stereotactic Percutaneous Electrochemotherapy as Primary Approach for Unresectable Large HCC at the Hepatic Hilum. Cardiovasc Intervent Radiol. 2021, 44, 1462–1466. [Google Scholar] [CrossRef]
- Fuhrmann, I.; Probst, U.; Wiggermann, P.; Beyer, L. Navigation Systems for Treatment Planning and Execution of Percutaneous Irreversible Electroporation. Technol. Cancer Res. Treat. 2018, 17, 1533033818791792. [Google Scholar] [CrossRef]
- Miklavcic, D.; Davalos, R.V. Electrochemotherapy (ECT) and irreversible electroporation (IRE) -advanced techniques for treating deep-seated tumors based on electroporation. Biomed. Eng. Online 2015, 14, I1. [Google Scholar] [CrossRef]
- Jarm, T.; Krmac, T.; Magjarevic, R.; Kos, B.; Cindric, H.; Miklavcic, D. Investigation of safety for electrochemotherapy and irreversible electroporation ablation therapies in patients with cardiac pacemakers. Biomed. Eng. Online 2020, 19, 85. [Google Scholar] [CrossRef] [PubMed]
- Neilson, G.A.; Lennox, P.H. Sedation and anesthesia for interventional oncology. Semin. Roentgenol. 2007, 42, 150–163. [Google Scholar] [CrossRef] [PubMed]

Disclaimer/Publisher’s Note: The statements, opinions and data contained in all publications are solely those of the individual author(s) and contributor(s) and not of MDPI and/or the editor(s). MDPI and/or the editor(s) disclaim responsibility for any injury to people or property resulting from any ideas, methods, instructions or products referred to in the content. |
© 2023 by the authors. Licensee MDPI, Basel, Switzerland. This article is an open access article distributed under the terms and conditions of the Creative Commons Attribution (CC BY) license (https://creativecommons.org/licenses/by/4.0/).
Share and Cite
Iezzi, R.; Posa, A.; Caputo, C.T.; De Leoni, D.; Sbaraglia, F.; Rossi, M.; Tortora, G.; Tagliaferri, L.; Valentini, V.; Colosimo, C. Safety and Feasibility of Analgosedation for Electrochemotherapy of Liver Lesions. Life 2023, 13, 631. https://doi.org/10.3390/life13030631
Iezzi R, Posa A, Caputo CT, De Leoni D, Sbaraglia F, Rossi M, Tortora G, Tagliaferri L, Valentini V, Colosimo C. Safety and Feasibility of Analgosedation for Electrochemotherapy of Liver Lesions. Life. 2023; 13(3):631. https://doi.org/10.3390/life13030631
Chicago/Turabian StyleIezzi, Roberto, Alessandro Posa, Cosimo Tommaso Caputo, Davide De Leoni, Fabio Sbaraglia, Marco Rossi, Giampaolo Tortora, Luca Tagliaferri, Vincenzo Valentini, and Cesare Colosimo. 2023. "Safety and Feasibility of Analgosedation for Electrochemotherapy of Liver Lesions" Life 13, no. 3: 631. https://doi.org/10.3390/life13030631
APA StyleIezzi, R., Posa, A., Caputo, C. T., De Leoni, D., Sbaraglia, F., Rossi, M., Tortora, G., Tagliaferri, L., Valentini, V., & Colosimo, C. (2023). Safety and Feasibility of Analgosedation for Electrochemotherapy of Liver Lesions. Life, 13(3), 631. https://doi.org/10.3390/life13030631

