The Relationship between LRP6 and Wnt/β-Catenin Pathway in Colorectal and Esophageal Cancer
Abstract
1. Introduction
2. Materials and Methods
2.1. Cell Lines and Culture
2.2. Clinical Tissue Samples
2.3. siRNA Transfection
2.4. Immunohistochemical Staining
2.5. Western Blot Analysis
2.6. RNA Isolation and qRT-PCR
2.7. TOPFLASH Assay
2.8. Statistical Analysis
3. Results
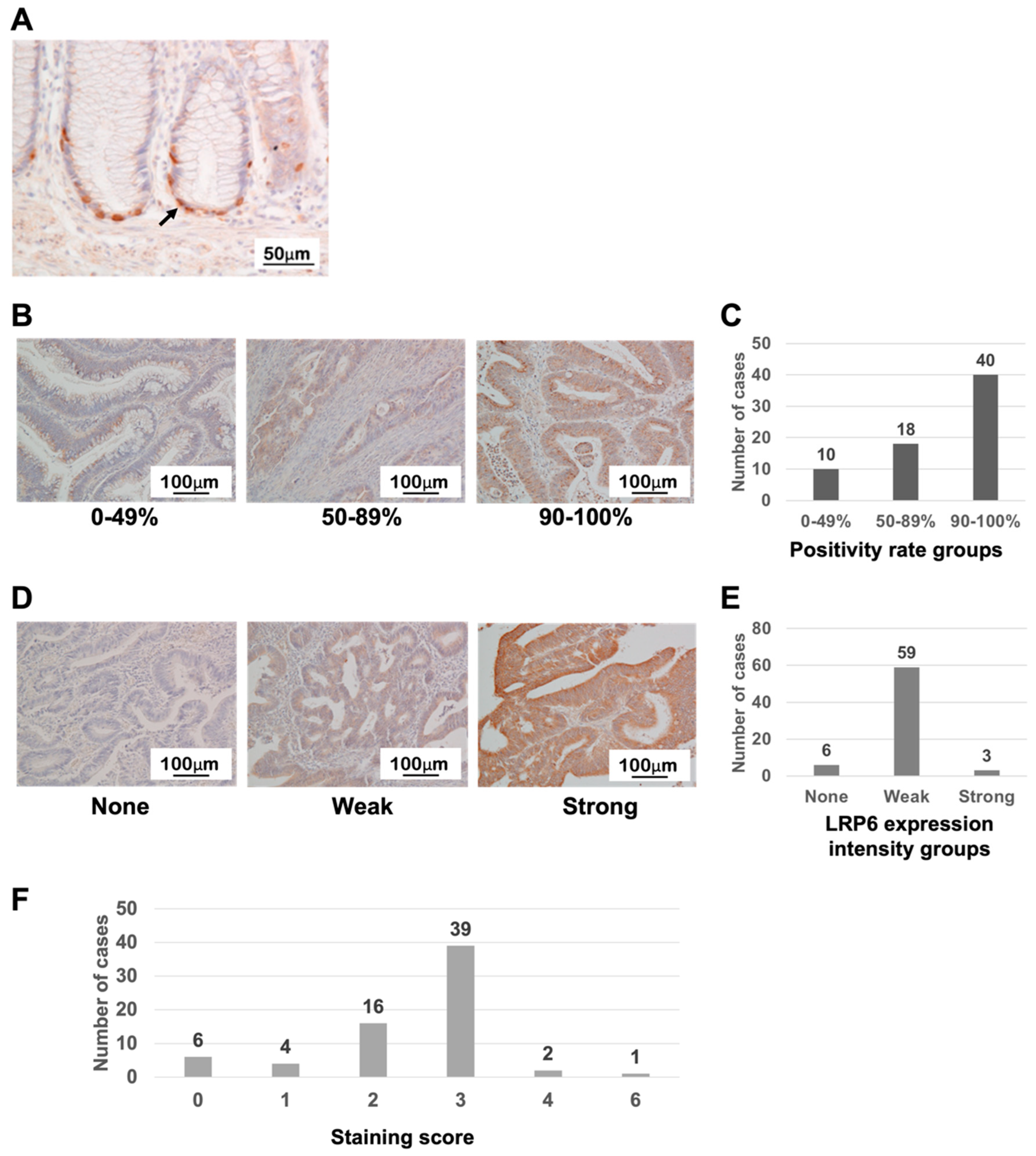
3.1. Immunohistochemistry for LRP6 and β-Catenin in CRC
3.2. Immunohistochemistry for LRP6 and β-Catenin in ESCC
3.3. Influence of LRP6 on Wnt/β-Catenin Signaling Activity
3.4. Relationship between the Expression of LRP6 or β-Catenin Protein and Prognosis in CRC or ESCC
4. Discussion
4.1. The Function of LRP6 May Differ Depending on Genetic Abnormalities in the Wnt/β-Catenin Pathway
4.2. The Expression of LRP6 and β-Catenin in CRC and ESCC
4.3. Clinical Significance of LRP6 Expression in CRC and ESCC
4.4. The Potential of LRP6 as a Therapeutic Target
5. Conclusions
Supplementary Materials
Author Contributions
Funding
Institutional Review Board Statement
Informed Consent Statement
Data Availability Statement
Acknowledgments
Conflicts of Interest
References
- van der Flier, L.G.; Clevers, H. Stem cells, self-renewal, and differentiation in the intestinal epithelium. Annu. Rev. Physiol. 2009, 71, 241–260. [Google Scholar] [CrossRef]
- Jacobs, I.J.; Ku, W.Y.; Que, J. Genetic and cellular mechanisms regulating anterior foregut and esophageal development. Dev. Biol. 2012, 369, 54–64. [Google Scholar] [CrossRef]
- Klaus, A.; Birchmeier, W. Wnt signalling and its impact on development and cancer. Nat. Rev. Cancer 2008, 8, 387–398. [Google Scholar] [CrossRef]
- Valenta, T.; Hausmann, G.; Basler, K. The many faces and functions of β-catenin. EMBO J. 2012, 31, 2714–2736. [Google Scholar] [CrossRef] [PubMed]
- MacDonald, B.T.; Tamai, K.; He, X. Wnt/beta-catenin signaling: Components, mechanisms, and diseases. Dev. Cell. 2009, 17, 9–26. [Google Scholar] [CrossRef] [PubMed]
- Park, H.B.; Kim, J.W.; Baek, K.H. Regulation of Wnt Signaling through Ubiquitination and Deubiquitination in Cancers. Int. J. Mol. Sci. 2020, 21, 3904. [Google Scholar] [CrossRef] [PubMed]
- Zeng, X.; Huang, H.; Tamai, K.; Zhang, X.; Harada, Y.; Yokota, C.; Almeida, K.; Wang, J.; Doble, B.; Woodgett, J.; et al. Initiation of Wnt signaling: Control of Wnt coreceptor Lrp6 phosphorylation/activation via frizzled, dishevelled and axin functions. Development 2008, 135, 367–375. [Google Scholar] [CrossRef] [PubMed]
- Lecarpentier, Y.; Schussler, O.; Hébert, J.L.; Vallée, A. Multiple Targets of the Canonical WNT/β-Catenin Signaling in Cancers. Front. Oncol. 2019, 9, 1248. [Google Scholar] [CrossRef] [PubMed]
- Zucman-Rossi, J.; Benhamouche, S.; Godard, C.; Boyault, S.; Grimber, G.; Balabaud, C.; Cunha, A.S.; Bioulac-Sage, P.; Perret, C. Differential effects of inactivated Axin1 and activated beta-catenin mutations in human hepatocellular carcinomas. Oncogene 2007, 26, 774–780. [Google Scholar] [CrossRef] [PubMed]
- McConechy, M.K.; Ding, J.; Senz, J.; Yang, W.; Melnyk, N.; Tone, A.A.; Prentice, L.M.; Wiegand, K.C.; McAlpine, J.N.; Shah, S.P.; et al. Ovarian and endometrial endometrioid carcinomas have distinct CTNNB1 and PTEN mutation profiles. Mod. Pathol. 2014, 27, 128–134. [Google Scholar] [CrossRef]
- Kim, S.; Jeong, S. Mutation Hotspots in the β-Catenin Gene: Lessons from the Human Cancer Genome Databases. Mol. Cells 2019, 42, 8–16. [Google Scholar] [CrossRef] [PubMed]
- Rowan, A.J.; Lamlum, H.; Ilyas, M.; Wheeler, J.; Straub, J.; Papadopoulou, A.; Bicknell, D.; Bodmer, W.F.; Tomlinson, I.P. APC mutations in sporadic colorectal tumors: A mutational “hotspot” and interdependence of the “two hits”. Proc. Natl. Acad. Sci. USA 2000, 97, 3352–3357. [Google Scholar] [CrossRef] [PubMed]
- Li-Chang, H.H.; Kasaian, K.; Ng, Y.; Lum, A.; Kong, E.; Lim, H.; Jones, S.J.; Huntsman, D.G.; Schaeffer, D.F.; Yip, S. Retrospective review using targeted deep sequencing reveals mutational differences between gastroesophageal junction and gastric carcinomas. BMC Cancer 2015, 15, 32. [Google Scholar] [CrossRef] [PubMed]
- Rismani, E.; Fazeli, M.S.; Mahmoodzadeh, H.; Movassagh, A.; Azami, S.; Karimipoor, M.; Teimoori-Toolabi, L. Pattern of LRP6 gene expression in tumoral tissues of colorectal cancer. Cancer Biomark. 2017, 19, 151–159. [Google Scholar] [CrossRef] [PubMed]
- Tung, E.K.; Wong, B.Y.; Yau, T.O.; Ng, I.O. Upregulation of the Wnt co-receptor LRP6 promotes hepatocarcinogenesis and enhances cell invasion. PLoS ONE 2012, 7, e36565. [Google Scholar] [CrossRef]
- Liu, C.C.; Prior, J.; Piwnica-Worms, D.; Bu, G. LRP6 overexpression defines a class of breast cancer subtype and is a target for therapy. Proc. Natl. Acad. Sci. USA 2010, 107, 5136–5141. [Google Scholar] [CrossRef]
- Garg, B.; Giri, B.; Majumder, K.; Dudeja, V.; Banerjee, S.; Saluja, A. Modulation of post-translational modifications in β-catenin and LRP6 inhibits Wnt signaling pathway in pancreatic cancer. Cancer Lett. 2017, 388, 64–72. [Google Scholar] [CrossRef]
- Lemieux, E.; Agnol, S.; Eaudry, K.; Arrier, J.; Rivard, N. Oncogenic KRAS signalling promotes the Wnt/β-catenin pathway through LRP6 in colorectal cancer. Oncogene 2015, 34, 4914–4927. [Google Scholar] [CrossRef]
- Yao, Q.; An, Y.; Hou, W.; Cao, Y.N.; Yao, M.F.; Ma, N.N.; Hou, L.; Zhang, H.; Liu, H.J.; Zhang, B. LRP6 promotes invasion and metastasis of colorectal cancer through cytoskeleton dynamics. Oncotarget 2017, 8, 109632–109645. [Google Scholar] [CrossRef]
- de Voer, R.M.; Hahn, M.M.; Weren, R.D.; Mensenkamp, A.R.; Gilissen, C.; van Zelst-Stams, W.A.; Spruijt, L.; Kets, C.M.; Zhang, J.; Venselaar, H.; et al. Identification of Novel Candidate Genes for Early-Onset Colorectal Cancer Susceptibility. PLoS Genet. 2016, 12, e1005880. [Google Scholar] [CrossRef]
- Fenderico, N.; van Scherpenzeel, R.C.; Goldflam, M.; Proverbio, D.; Jordens, I.; Kralj, T.; Stryeck, S.; Bass, T.Z.; Hermans, G.; Ullman, C.; et al. Anti-LRP5/6 VHHs promote differentiation of Wnt-hypersensitive intestinal stem cells. Nat. Commun. 2019, 10, 365. [Google Scholar] [CrossRef] [PubMed]
- Arensman, M.D.; Nguyen, P.; Kershaw, K.M.; Lay, A.R.; Ostertag-Hill, C.A.; Sherman, M.H.; Downes, M.; Liddle, C.; Evans, R.M.; Dawson, D.W. Calcipotriol Targets LRP6 to Inhibit Wnt Signaling in Pancreatic Cancer. Mol. Cancer Res. 2015, 13, 1509–1519. [Google Scholar] [CrossRef] [PubMed]
- Ninomiya, I.; Endo, Y.; Fushida, S.; Sasagawa, T.; Miyashita, T.; Fujimura, T.; Nishimura, G.; Tani, T.; Hashimoto, T.; Yagi, M.; et al. Alteration of beta-catenin expression in esophageal squamous-cell carcinoma. Int. J. Cancer 2000, 85, 757–761. [Google Scholar] [CrossRef]
- Bugter, J.M.; Fenderico, N.; Maurice, M.M. Mutations and mechanisms of WNT pathway tumour suppressors in cancer. Nat. Rev. Cancer 2021, 21, 5–21. [Google Scholar] [CrossRef] [PubMed]
- Brown, A.M. Wnt signaling in breast cancer: Have we come full circle? Breast. Cancer Res. 2001, 3, 351–355. [Google Scholar] [CrossRef]
- Gerdes, B.; Ramaswamy, A.; Simon, B.; Pietsch, T.; Bastian, D.; Kersting, M.; Moll, R.; Bartsch, D. Analysis of beta-catenin gene mutations in pancreatic tumors. Digestion 1999, 60, 544–548. [Google Scholar] [CrossRef]
- Raisch, J.; Côté-Biron, A.; Rivard, N. A Role for the WNT Co-Receptor LRP6 in Pathogenesis and Therapy of Epithelial Cancers. Cancers 2019, 11, 1162. [Google Scholar] [CrossRef]
- Shih, I.M.; Yu, J.; He, T.C.; Vogelstein, B.; Kinzler, K.W. The b-catenin binding domain of adenomatous polyposis coli is sufficient for tumor suppression. Cancer Res. 2000, 60, 1671–1676. [Google Scholar]
- Raisch, J.; Côté-Biron, A.; Langlois, M.J.; Leblanc, C.; Rivard, N. Unveiling the Roles of Low-Density Lipoprotein Receptor-Related Protein 6 in Intestinal Homeostasis, Regeneration and Oncogenesis. Cells 2021, 10, 1792. [Google Scholar] [CrossRef]
- Chen, M.; He, X. APC Deficiency Leads to β-Catenin Stabilization and Signaling Independent of LRP5/6. Dev. Cell 2019, 49, 825–826. [Google Scholar] [CrossRef]
- Saito-Diaz, K.; Benchabane, H.; Tiwari, A.; Tian, A.; Li, B.; Thompson, J.J.; Hyde, A.S.; Sawyer, L.M.; Jodoin, J.N.; Santos, E.; et al. APC Inhibits Ligand-Independent Wnt Signaling by the Clathrin Endocytic Pathway. Dev. Cell 2018, 44, 566–581. [Google Scholar] [CrossRef]
- Cabel, C.R.; Alizadeh, E.; Robbins, D.J.; Ahmed, Y.; Lee, E.; Thorne, C.A. Single-Cell Analyses Confirm the Critical Role of LRP6 for Wnt Signaling in APC-Deficient Cells. Dev. Cell 2019, 49, 827–828. [Google Scholar] [CrossRef]
- Guan, H.; Liu, J.; Lv, P.; Zhou, L.; Zhang, J.; Cao, W. MicroRNA-590 inhibits migration, invasion and epithelial-to-mesenchymal transition of esophageal squamous cell carcinoma by targeting low-density lipoprotein receptor-related protein 6. Oncol. Rep. 2020, 44, 1385–1392. [Google Scholar] [CrossRef]
- Farin, H.F.; Jordens, I.; Mosa, M.H.; Basak, O.; Korving, J.; Tauriello, D.V.; de Punder, K.; Angers, S.; Peters, P.J.; Maurice, M.M.; et al. Visualization of a short-range Wnt gradient in the intestinal stem-cell niche. Nature 2016, 530, 340–343. [Google Scholar] [CrossRef]
- Ingravallo, G.; Dall’Olmo, L.; Segat, D.; Fassan, M.; Mescoli, C.; Dazzo, E.; Castoro, C.; Polimeno, L.; Rizzetto, C.; Baroni, M.D.; et al. CDX2 hox gene product in a rat model of esophageal cancer. J. Exp. Clin. Cancer Res. 2009, 28, 108. [Google Scholar] [CrossRef]
- Zhang, Y.; Shu, C.; Maimaiti, Y.; Wang, S.; Lu, C.; Zhou, J. LRP6 as a biomarker of poor prognosis of breast cancer. Gland Surg. 2021, 10, 2414–2427. [Google Scholar] [CrossRef]
- Jia, Q.; Bu, Y.; Wang, Z.; Chen, B.; Zhang, Q.; Yu, S.; Liu, Q. Maintenance of stemness is associated with the interation of LRP6 and heparin-binding protein CCN2 autocrined by hepatocellular carcinoma. J. Exp. Clin. Cancer Res. 2017, 36, 117. [Google Scholar] [CrossRef] [PubMed]
- Yuan, Y.; Xie, X.; Jiang, Y.; Wei, Z.; Wang, P.; Chen, F.; Li, X.; Sun, C.; Zhao, H.; Zeng, X.; et al. LRP6 is identified as a potential prognostic marker for oral squamous cell carcinoma via MALDI-IMS. Cell Death Dis. 2017, 8, e3035. [Google Scholar] [CrossRef] [PubMed]
- Yu, F.; Yu, C.; Li, F.; Zuo, Y.; Wang, Y.; Yao, L.; Wu, C.; Wang, C.; Ye, L. Wnt/β-catenin signaling in cancers and targeted therapies. Signal Transduct. Target. Ther. 2021, 6, 307. [Google Scholar] [CrossRef] [PubMed]
- Wang, Z.; Zhao, T.; Zhang, S.; Wang, J.; Chen, Y.; Zhao, H.; Yang, Y.; Shi, S.; Chen, Q.; Liu, K. The Wnt signaling pathway in tumorigenesis, pharmacological targets, and drug development for cancer therapy. Biomark. Res. 2021, 9, 68. [Google Scholar] [CrossRef] [PubMed]
- Säfholm, A.; Tuomela, J.; Rosenkvist, J.; Dejmek, J.; Härkönen, P.; Andersson, T. The Wnt-5a-derived hexapeptide Foxy-5 inhibits breast cancer metastasis in vivo by targeting cell motility. Clin. Cancer Res. 2008, 14, 6556–6563. [Google Scholar] [CrossRef] [PubMed]
- Gurney, A.; Axelrod, F.; Bond, C.J.; Cain, J.; Chartier, C.; Donigan, L.; Fischer, M.; Chaudhari, A.; Ji, M.; Kapoun, A.M.; et al. Wnt pathway inhibition via the targeting of Frizzled receptors results in decreased growth and tumorigenicity of human tumors. Proc. Natl. Acad. Sci. USA 2012, 109, 11717–11722. [Google Scholar] [CrossRef] [PubMed]
- Lepourcelet, M.; Chen, Y.N.; France, D.S.; Wang, H.; Crews, P.; Petersen, F.; Bruseo, C.; Wood, A.W.; Shivdasani, R.A. Small-molecule antagonists of the oncogenic Tcf/beta-catenin protein complex. Cancer Cell 2004, 5, 91–102. [Google Scholar] [CrossRef]
- Emami, K.H.; Nguyen, C.; Ma, H.; Kim, D.H.; Jeong, K.W.; Eguchi, M.; Moon, R.T.; Teo, J.L.; Kim, H.Y.; Moon, S.H.; et al. A small molecule inhibitor of beta-catenin/CREB-binding protein transcription. Proc. Natl. Acad. Sci. USA 2004, 101, 12682–12687. [Google Scholar] [CrossRef] [PubMed]
- Lu, W.; Lin, C.; Roberts, M.J.; Waud, W.R.; Piazza, G.A.; Li, Y. Niclosamide suppresses cancer cell growth by inducing Wnt co-receptor LRP6 degradation and inhibiting the Wnt/β-catenin pathway. PLoS ONE 2011, 6, e29290. [Google Scholar] [CrossRef]
- Lu, W.; Li, Y. Salinomycin suppresses LRP6 expression and inhibits both Wnt/β-catenin and mTORC1 signaling in breast and prostate cancer cells. J. Cell. Biochem. 2014, 115, 1799–1807. [Google Scholar] [CrossRef]
- Lu, W.; Lin, C.; Li, Y. Rottlerin induces Wnt co-receptor LRP6 degradation and suppresses both Wnt/β-catenin and mTORC1 signaling in prostate and breast cancer cells. Cell Signal. 2014, 26, 1303–1309. [Google Scholar] [CrossRef]
- Bryja, V.; Andersson, E.R.; Schambony, A.; Esner, M.; Bryjová, L.; Biris, K.K.; Hall, A.C.; Kraft, B.; Cajanek, L.; Yamaguchi, T.P.; et al. The extracellular domain of Lrp5/6 inhibits noncanonical Wnt signaling in vivo. Mol. Biol. Cell 2009, 20, 924–936. [Google Scholar] [CrossRef]
- Acebron, S.P.; Niehrs, C. β-Catenin-Independent Roles of Wnt/LRP6 Signaling. Trends Cell Biol. 2016, 26, 956–967. [Google Scholar] [CrossRef]
- Wan, M.; Li, J.; Herbst, K.; Zhang, J.; Yu, B.; Wu, X.; Qiu, T.; Lei, W.; Lindvall, C.; Williams, B.O.; et al. LRP6 mediates cAMP generation by G protein-coupled receptors through regulating the membrane targeting of Gα(s). Sci. Signal. 2011, 4, ra15. [Google Scholar] [CrossRef]
- Azzolin, L.; Panciera, T.; Soligo, S.; Enzo, E.; Bicciato, S.; Dupont, S.; Bresolin, S.; Frasson, C.; Basso, G.; Guzzardo, V.; et al. YAP/TAZ incorporation in the β-catenin destruction complex orchestrates the Wnt response. Cell 2014, 158, 157–170. [Google Scholar] [CrossRef] [PubMed]
- Nishioka, M.; Ueno, K.; Hazama, S.; Okada, T.; Sakai, K.; Suehiro, Y.; Okayama, N.; Hirata, H.; Oka, M.; Imai, K.; et al. Possible involvement of Wnt11 in colorectal cancer progression. Mol. Carcinog. 2013, 52, 207–217. [Google Scholar] [CrossRef]
- Zeng, Z.; Ma, C.; Chen, K.; Jiang, M.; Vasu, R.; Liu, R.; Zhao, Y.; Zhang, H. Roles of G Protein-Coupled Receptors (GPCRs) in Gastrointestinal Cancers: Focus on Sphingosine 1-Shosphate Receptors, Angiotensin II Receptors, and Estrogen-Related GPCRs. Cells 2021, 10, 2988. [Google Scholar] [CrossRef] [PubMed]
- Cho, S.Y.; Gwak, J.W.; Shin, Y.C.; Moon, D.; Ahn, J.; Sol, H.W.; Kim, S.; Kim, G.; Shin, H.M.; Lee, K.H.; et al. Expression of Hippo pathway genes and their clinical significance in colon adenocarcinoma. Oncol. Lett. 2017, 13, 4055–4076. [Google Scholar] [CrossRef] [PubMed]
- Damase, T.R.; Sukhovershin, R.; Boada, C.; Taraballi, F.; Pettigrew, R.I.; Cooke, J.P. The Limitless Future of RNA Therapeutics. Front. Bioeng. Biotechnol. 2021, 9, 628137. [Google Scholar] [CrossRef]
- Hata, T.; Mokutani, Y.; Takahashi, H.; Inoue, A.; Munakata, K.; Nagata, K.; Haraguchi, N.; Nishimura, J.; Hata, T.; Matsuda, C.; et al. Identification of microRNA-487b as a negative regulator of liver metastasis by regulation of KRAS in colorectal cancer. Int. J. Oncol. 2017, 50, 487–496. [Google Scholar] [CrossRef]
- Wu, X.; Yokoyama, Y.; Takahashi, H.; Kouda, S.; Yamamoto, H.; Wang, J.; Morimoto, Y.; Minami, K.; Hata, T.; Shamma, A.; et al. Improved In Vivo Delivery of Small RNA Based on the Calcium Phosphate Method. J. Pers. Med. 2021, 11, 1160. [Google Scholar] [CrossRef]




| Characteristic | LRP6 High (n = 29) | LRP6 Low (n = 29) | p Value | |
| Age | Average ± SD | 64.6 ± 11.72 | 66.1 ± 9.52 | 0.591 |
| Sex | Male | 17 | 20 | 0.412 |
| Female | 12 | 9 | ||
| Lymphatic invasion | Positive | 17 | 9 | 0.035 |
| Negative | 12 | 20 | ||
| Venous invasion | Positive | 6 | 2 | 0.253 |
| Negative | 23 | 27 | ||
| Lymph node metastasis | Positive | 6 | 3 | 0.253 |
| Negative | 23 | 26 | ||
| Distant metastasis | Positive | 3 | 1 | 0.612 |
| Negative | 26 | 28 | ||
| Degree of differentiation * | Well/Mod | 28 | 28 | 1.000 |
| Poor/Muc | 1 | 1 | ||
| Tumor location | Colon | 14 | 12 | 0.598 |
| Rectum | 15 | 17 | ||
| Depth of invasion ** | ~mp | 23 | 22 | 0.753 |
| ss~ | 6 | 7 | ||
| Characteristic | β-Catenin High (n = 24) | β-Catenin Low (n = 34) | p Value | |
| Age | Average ± SD | 63.2 ± 9.16 | 66.9 ± 11.41 | 0.192 |
| Sex | Male | 14 | 23 | 0.467 |
| Female | 10 | 11 | ||
| Lymphatic invasion | Positive | 12 | 14 | 0.506 |
| Negative | 12 | 20 | ||
| Venous invasion | Positive | 5 | 3 | 0.255 |
| Negative | 19 | 31 | ||
| Lymph node metastasis | Positive | 4 | 5 | 1.000 |
| Negative | 20 | 29 | ||
| Distant metastasis | Positive | 3 | 1 | 0.297 |
| Negative | 21 | 33 | ||
| Degree of differentiation * | Well/Mod | 23 | 33 | 1.000 |
| Poor/Muc | 1 | 1 | ||
| Tumor location | Colon | 10 | 16 | 0.684 |
| Rectum | 14 | 18 | ||
| Depth of invasion ** | ~mp | 18 | 27 | 0.692 |
| ss~ | 6 | 7 |
| Characteristic | LRP6 High (n = 49) | LRP6 Low (n = 19) | p Value | |
| Age | Average ± SD | 70.0 ± 8.54 | 69.6 ± 8.73 | 0.8675 |
| Sex | Male | 43 | 13 | 0.0606 |
| Female | 6 | 6 | ||
| T stage | T1, T2 | 30 | 15 | 0.2537 |
| T3, T4 | 19 | 4 | ||
| Lymphatic invasion | Positive | 34 | 9 | 0.1803 |
| Negative | 14 | 8 | ||
| Venous invasion | Positive | 9 | 5 | 0.2949 |
| Negative | 39 | 11 | ||
| Lymph node metastasis | Positive | 30 | 9 | 0.300 |
| Negative | 19 | 10 | ||
| Distant metastasis | Positive | 2 | 0 | 1.000 |
| Negative | 47 | 18 | ||
| Degree of differentiation * | Well/Mod | 38 | 17 | 0.3251 |
| Poor | 11 | 2 | ||
| Tumor size (max length) | mm, Average ± SD | 47.1 ± 25.86 | 40.5 ± 25.98 | 0.4187 |
| Characteristic | β-Catenin High (n = 26) | β-Catenin Low (n = 42) | p Value | |
| Age | Average ± SD | 70.7 ± 7.95 | 69.4 ± 8.92 | 0.537 |
| Sex | Male | 20 | 36 | 0.355 |
| Female | 6 | 6 | ||
| T stage | T1, T2 | 16 | 29 | 0.524 |
| T3, T4 | 10 | 13 | ||
| Lymphatic invasion | Positive | 18 | 25 | 0.249 |
| Negative | 6 | 16 | ||
| Venous invasion | Positive | 7 | 7 | 0.215 |
| Negative | 16 | 34 | ||
| Lymph node metastasis | Positive | 16 | 23 | 0.583 |
| Negative | 10 | 19 | ||
| Distant metastasis | Positive | 1 | 1 | 1.000 |
| Negative | 24 | 41 | ||
| Degree of differentiation * | Well/Mod | 19 | 36 | 0.198 |
| Poor | 7 | 6 | ||
| Tumor size (max length) | mm, Average ± SD | 51.5 ± 16.52 | 41.9 ± 29.43 | 0.133 |
Disclaimer/Publisher’s Note: The statements, opinions and data contained in all publications are solely those of the individual author(s) and contributor(s) and not of MDPI and/or the editor(s). MDPI and/or the editor(s) disclaim responsibility for any injury to people or property resulting from any ideas, methods, instructions or products referred to in the content. |
© 2023 by the authors. Licensee MDPI, Basel, Switzerland. This article is an open access article distributed under the terms and conditions of the Creative Commons Attribution (CC BY) license (https://creativecommons.org/licenses/by/4.0/).
Share and Cite
Shishido, A.; Miyo, M.; Oishi, K.; Nishiyama, N.; Wu, M.; Yamamoto, H.; Kouda, S.; Wu, X.; Shibata, S.; Yokoyama, Y.; et al. The Relationship between LRP6 and Wnt/β-Catenin Pathway in Colorectal and Esophageal Cancer. Life 2023, 13, 615. https://doi.org/10.3390/life13030615
Shishido A, Miyo M, Oishi K, Nishiyama N, Wu M, Yamamoto H, Kouda S, Wu X, Shibata S, Yokoyama Y, et al. The Relationship between LRP6 and Wnt/β-Catenin Pathway in Colorectal and Esophageal Cancer. Life. 2023; 13(3):615. https://doi.org/10.3390/life13030615
Chicago/Turabian StyleShishido, Akemi, Masaaki Miyo, Kazuki Oishi, Natsumi Nishiyama, Meiqiao Wu, Hiroyuki Yamamoto, Shihori Kouda, Xin Wu, Satoshi Shibata, Yuhki Yokoyama, and et al. 2023. "The Relationship between LRP6 and Wnt/β-Catenin Pathway in Colorectal and Esophageal Cancer" Life 13, no. 3: 615. https://doi.org/10.3390/life13030615
APA StyleShishido, A., Miyo, M., Oishi, K., Nishiyama, N., Wu, M., Yamamoto, H., Kouda, S., Wu, X., Shibata, S., Yokoyama, Y., & Yamamoto, H. (2023). The Relationship between LRP6 and Wnt/β-Catenin Pathway in Colorectal and Esophageal Cancer. Life, 13(3), 615. https://doi.org/10.3390/life13030615

