Penetrating Offenders in Hemifacial Spasm: Surgical Tactics and Prognosis
Abstract
:1. Introduction
2. Materials and Methods
2.1. Patient Cohort
2.2. Operative Technique and Intraoperative Monitoring
2.3. Assessment of Postoperative Outcomes
3. Results
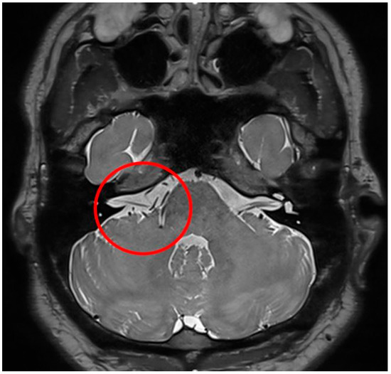
Illustrative Case
4. Discussion
5. Conclusions
Author Contributions
Funding
Institutional Review Board Statement
Informed Consent Statement
Data Availability Statement
Conflicts of Interest
References
- Gardner, W.J. Cross talk—The paradoxical transmission of a nerve impulse. Arch. Neurol. 1966, 14, 149–156. [Google Scholar] [CrossRef] [PubMed]
- Nielsen, V.K. Pathophysiology of hemifacial spasm: I. Ephaptic transmission and ectopic excitation. Neurology 1984, 34, 418–426. [Google Scholar] [CrossRef] [PubMed]
- Miller, L.E.; Miller, V.M. Safety and effectiveness of microvascular decompression for treatment of hemifacial spasm: A systematic review. Br. J. Neurosurg. 2012, 26, 438–444. [Google Scholar] [CrossRef] [PubMed]
- Bigder, M.G.; Kaufmann, A.M. Failed microvascular decompression surgery for hemifacial spasm due to persistent neurovascular compression: An analysis of reoperations. J. Neurosurg. 2016, 124, 90–95. [Google Scholar] [CrossRef] [PubMed]
- Sindou, M.; Mercier, P. Microvascular decompression for hemifacial spasm: Outcome on spasm and complications. A review. Neurochirurgie 2018, 64, 106–116. [Google Scholar] [CrossRef]
- McLaughlin, M.R.; Jannetta, P.J.; Clyde, B.L.; Subach, B.R.; Comey, C.H.; Resnick, D.K. Microvascular decompression of cranial nerves: Lessons learned after 4400 operations. J. Neurosurg. 1999, 90, 1–8. [Google Scholar] [CrossRef]
- Sindou, M.P. Microvascular decompression for primary hemifacial spasm. Importance of intraoperative neurophysiological monitoring. Acta Neurochir. 2005, 147, 1019–1026, discussion 1026. [Google Scholar] [CrossRef]
- Kalkanis, S.N.; Eskandar, E.N.; Carter, B.S.; Barker, F.G., 2nd. Microvascular decompression surgery in the United States, 1996 to 2000: Mortality rates, morbidity rates, and the effects of hospital and surgeon volumes. Neurosurgery 2003, 52, 1251–1261, discussion 1261–1252. [Google Scholar] [CrossRef]
- Barker, F.G., 2nd; Jannetta, P.J.; Bissonette, D.J.; Shields, P.T.; Larkins, M.V.; Jho, H.D. Microvascular decompression for hemifacial spasm. J. Neurosurg. 1995, 82, 201–210. [Google Scholar] [CrossRef]
- Lee, S.; Park, S.K.; Joo, B.E.; Lee, J.A.; Park, K. Vascular Complications in Microvascular Decompression: A Survey of 4000 Operations. World Neurosurg. 2019, 130, e577–e582. [Google Scholar] [CrossRef]
- Lee, S.; Joo, K.M.; Park, K. Challenging Microvascular Decompression Surgery for Hemifacial Spasm. World Neurosurg. 2021, 151, e94–e99. [Google Scholar] [CrossRef] [PubMed]
- Park, J.S.; Kong, D.S.; Lee, J.A.; Park, K. Hemifacial spasm: Neurovascular compressive patterns and surgical significance. Acta Neurochir. 2008, 150, 235–241, discussion 241. [Google Scholar] [CrossRef] [PubMed]
- Park, J.S.; Kong, D.S.; Lee, J.A.; Park, K. Chronologic analysis of symptomatic change following microvascular decompression for hemifacial spasm: Value for predicting midterm outcome. Neurosurg. Rev. 2008, 31, 413–418, discussion 418–419. [Google Scholar] [CrossRef]
- Lee, J.A.; Jo, K.W.; Kong, D.S.; Park, K. Using the new clinical grading scale for quantification of the severity of hemifacial spasm: Correlations with a quality of life scale. Stereotact. Funct. Neurosurg. 2012, 90, 16–19. [Google Scholar] [CrossRef] [PubMed]
- Oh, C.H.; Shim, Y.S.; Park, H.; Kim, E.Y. A case of hemifacial spasm caused by an artery passing through the facial nerve. J Korean Neurosurg. Soc. 2015, 57, 221–224. [Google Scholar] [CrossRef]
- Tan, E.K.; Jankovic, J. Psychogenic hemifacial spasm. J. Neuropsychiatry Clin. Neurosci. 2001, 13, 380–384. [Google Scholar] [CrossRef]
- Wang, A.; Jankovic, J. Hemifacial spasm: Clinical findings and treatment. Muscle Nerve 1998, 21, 1740–1747. [Google Scholar] [CrossRef]
- Eide, J.; Isaac, A.; Maddalozzo, J. Facial Nerve Duplication and First Branchial Cleft Cysts: An Association in an Uncommon Pathology. Otolaryngol. Head Neck Surg. 2019, 161, 904–905. [Google Scholar] [CrossRef]
- Hinson, D.; Poteet, P.; Bower, C. Duplicated facial nerve trunk with a first branchial cleft cyst. Laryngoscope 2014, 124, 662–664. [Google Scholar] [CrossRef]
- Jakkani, R.K.; Ki, R.; Karnawat, A.; Vittal, R.; Kumar, A.D. Congenital duplication of mastoid segment of facial nerve: A rare case report. Indian J. Radiol. Imaging 2013, 23, 35–37. [Google Scholar] [CrossRef]
- Mercier, P.; Bernard, F. Surgical anatomy for hemifacial spasm. Neurochirurgie 2018, 64, 124–132. [Google Scholar] [CrossRef] [PubMed]
- Giotta Lucifero, A.; Baldoncini, M.; Bruno, N.; Tartaglia, N.; Ambrosi, A.; Marseglia, G.L.; Galzio, R.; Campero, A.; Hernesniemi, J.; Luzzi, S. Microsurgical Neurovascular Anatomy of the Brain: The Posterior Circulation (Part II). Acta Biomed. 2021, 92, e2021413. [Google Scholar] [CrossRef]
- Sataloff, R.T. Embryology of the facial nerve and its clinical applications. Laryngoscope 1990, 100, 969–984. [Google Scholar] [CrossRef] [PubMed]
- Osbor, A.G. Diagnostic Cerebral Angiography, 2nd ed.; LWW: Philadelphia, PA, USA, 1999. [Google Scholar]
- Diamond, M.; Wartmann, C.T.; Tubbs, R.S.; Shoja, M.M.; Cohen-Gadol, A.A.; Loukas, M. Peripheral facial nerve communications and their clinical implications. Clin. Anat. 2011, 24, 10–18. [Google Scholar] [CrossRef]
- Kim, M.; Park, S.K.; Lee, S.; Lee, J.A.; Park, K. Lateral spread response of different facial muscles during microvascular decompression in hemifacial spasm. Clin. Neurophysiol. 2021, 132, 2503–2509. [Google Scholar] [CrossRef] [PubMed]
- Ouattara, D.; Vacher, C.; de Vasconcellos, J.J.; Kassanyou, S.; Gnanazan, G.; N’Guessan, B. Anatomical study of the variations in innervation of the orbicularis oculi by the facial nerve. Surg. Radiol. Anat. 2004, 26, 51–53. [Google Scholar] [CrossRef]
- Raslan, A.; Volk, G.F.; Moller, M.; Stark, V.; Eckhardt, N.; Guntinas-Lichius, O. High variability of facial muscle innervation by facial nerve branches: A prospective electrostimulation study. Laryngoscope 2017, 127, 1288–1295. [Google Scholar] [CrossRef]
- Kwak, H.H.; Park, H.D.; Youn, K.H.; Hu, K.S.; Koh, K.S.; Han, S.H.; Kim, H.J. Branching patterns of the facial nerve and its communication with the auriculotemporal nerve. Surg. Radiol. Anat. 2004, 26, 494–500. [Google Scholar] [CrossRef]
- Odobescu, A.; Williams, H.B.; Gilardino, M.S. Description of a communication between the facial and zygomaticotemporal nerves. J. Plast. Reconstr. Aesthet. Surg. 2012, 65, 1188–1192. [Google Scholar] [CrossRef]
- Tohma, A.; Mine, K.; Tamatsu, Y.; Shimada, K. Communication between the buccal nerve (V) and facial nerve (VII) in the human face. Ann. Anat. 2004, 186, 173–178. [Google Scholar] [CrossRef]
- Ozdogmus, O.; Sezen, O.; Kubilay, U.; Saka, E.; Duman, U.; San, T.; Cavdar, S. Connections between the facial, vestibular and cochlear nerve bundles within the internal auditory canal. J. Anat. 2004, 205, 65–75. [Google Scholar] [CrossRef] [PubMed]
- Salame, K.; Ouaknine, G.E.; Arensburg, B.; Rochkind, S. Microsurgical anatomy of the facial nerve trunk. Clin. Anat. 2002, 15, 93–99. [Google Scholar] [CrossRef] [PubMed]
- Yang, H.M.; Kim, H.J.; Hu, K.S. Anatomic and histological study of great auricular nerve and its clinical implication. J. Plast. Reconstr. Aesthet. Surg. 2015, 68, 230–236. [Google Scholar] [CrossRef] [PubMed]
- Zhong, J.; Zhu, J.; Sun, H.; Dou, N.N.; Wang, Y.N.; Ying, T.T.; Xia, L.; Liu, M.X.; Tao, B.B.; Li, S.T. Microvascular decompression surgery: Surgical principles and technical nuances based on 4000 cases. Neurol. Res. 2014, 36, 882–893. [Google Scholar] [CrossRef] [PubMed]
- Clifton, W.E.; Grewal, S.; Lundy, L.; Cheshire, W.P.; Tubbs, R.S.; Wharen, R.E. Clinical implications of nervus intermedius variants in patients with geniculate neuralgia: Let anatomy be the guide. Clin. Anat. 2020, 33, 1056–1061. [Google Scholar] [CrossRef]
- Tubbs, R.S.; Steck, D.T.; Mortazavi, M.M.; Cohen-Gadol, A.A. The nervus intermedius: A review of its anatomy, function, pathology, and role in neurosurgery. World Neurosurg. 2013, 79, 763–767. [Google Scholar] [CrossRef]
- Rhoton, A.L., Jr.; Kobayashi, S.; Hollinshead, W.H. Nervus intermedius. J. Neurosurg. 1968, 29, 609–618. [Google Scholar] [CrossRef]
- Rowed, D.W. Chronic cluster headache managed by nervus intermedius section. Headache 1990, 30, 401–406. [Google Scholar] [CrossRef]
- Smith, J.J.; Breathnach, C.S. Functions of the seventh cranial nerve. Ear Nose Throat J. 1990, 69, 688–691. [Google Scholar]
- Burmeister, H.P.; Baltzer, P.A.; Dietzel, M.; Krumbein, I.; Bitter, T.; Schrott-Fischer, A.; Guntinas-Lichius, O.; Kaiser, W.A. Identification of the nervus intermedius using 3T MR imaging. Am. J. Neuroradiol. 2011, 32, 460–464. [Google Scholar] [CrossRef]
- Headache Classification Committee of the International Headache Society. Classification and diagnostic criteria for headache disorders, cranial neuralgias and facial pain. Headache Classification Committee of the International Headache Society. Cephalalgia 1988, 8 (Suppl. S7), 1–96. [Google Scholar]
- Lovely, T.J.; Jannetta, P.J. Surgical management of geniculate neuralgia. Am. J. Otol. 1997, 18, 512–517. [Google Scholar] [PubMed]




| Clinical Characteristics | |
|---|---|
| Median age at MVD (range (years)) | 53 (17–75) |
| Sex (male:female) | 1395: 3360 |
| Operation side (left:right) | 2441: 2314 |
| Median duration of symptom (in months) | 48 |
| Average length of hospital stays, in days (range) | 7.4 (3–185) |
| Penetrating offender type (%) | 8 (0.2%) |
| Offending vessel, n (%) | |
| AICA | 2635 (55.4%) |
| PICA | 1011 (21.3%) |
| AICA-PICA common trunk | 14 (0.3%) |
| VA | 50 (1.1%) |
| AICA + PICA | 275 (5.8%) |
| AICA + VA | 469 (9.9%) |
| PICA + VA | 162 (3.4%) |
| AICA + vein | 21 (0.4%) |
| PICA + vein | 5 (0.1%) |
| AICA + PICA + VA | 61 (1.3%) |
| Vein only | 44 (0.9%) |
| Other vessels | 5 (0.1%) |
| Cannot be confirmed | 3 (0.0%) |
| No. | Sex | Age | Laterality | Preoperative Spasm Grade | Preoperative Treatment | Symptom Duration (Month) | Medical History |
|---|---|---|---|---|---|---|---|
| 1 | M | 55 | R | N/A | None | 120 | HTN |
| 2 | M | 67 | R | IV | Medication, Oriental Medicine | 84 | HTN |
| 3 | F | 49 | L | II | BTX injection, Oriental Medicine | 48 | DM |
| 4 | F | 44 | L | III | BTX injection | 18 | None |
| 5 | F | 39 | L | III | Medication | 78 | None |
| 6 | M | 23 | R | II | None | 46 | None |
| 7 | F | 36 | R | III | Medication, BTX injection | 61 | None |
| 8 | M | 34 | R | II | Medication, BTX injection | 28 | None |
| No. | Offender | LSR Disappearance | Intraoperative BAEP Change | Postoperative Spasm (%) | Postoperative Facial Palsy | Surgical Findings | |||
|---|---|---|---|---|---|---|---|---|---|
| ~5D | ~1M | ~1Y | ~2Y | ||||||
| 1 | AICA | Disappeared after decompression | No change | 0 | 0 | 0 | 0 | H-B II | N/A |
| 2 | AICA | Disappeared after decompression | No change | 0 | 0 | N/A | N/A | None | N/A |
| 3 | AICA | Disappeared after decompression | No change | 0 | 0 | 0 | 0 | None | N/A |
| 4 | AICA | Disappeared after decompression | 50% decreased, delay to 2.0 ms, full recovery | 0 | 10 | 10 | 0 | None | Only the medial side was decompressed because the lateral side was difficult to decompress; LSR disappearance after decompression |
| 5 | PICA | Disappeared after decompression | All but wave I disappeared, recover to 80% | 10 | 20 | 0 | 0 | None | 90% nerve fascicle on the medial side of the PICA, and 10% on the lateral side, with adhesion; therefore, a minor portion was resected after detachment. Weak response from the orbicularis oris when stimulated before resection. |
| 6 | AICA | Decline amplitude, but not disappeared | 50% decreased, delay to 1.6 ms, full recovery | 0 | 0 | 0 | N/A | None | On the lateral side, the AICA circled between CNs 7 and 8, penetrated the facial nerve medially, and exited laterally. |
| 7 | AICA | Disappeared after decompression | No change | 0 | 0 | 10 | 0 | None | The facial nerve was split, and the AICA passed through the center; a small piece of Teflon felt was placed inside the split to decompress the nerve. |
| 8 | Branch of AICA | Disappeared after decompression | No change | 0 | 0 | N/A | N/A | None | LSR disappeared when decompressing the penetrating vessel. |
| Factor | Univariate (p-Values) | Multivariate (p-Values) |
|---|---|---|
| Sex (female) | 0.213 | 0.258 |
| Age | 0.038 | 0.052 |
| Lesion side (Right) | 0.439 | 0.435 |
| Symptom duration | 1.000 | 0.621 |
| Hospital days | 0.808 | 0.694 |
Disclaimer/Publisher’s Note: The statements, opinions and data contained in all publications are solely those of the individual author(s) and contributor(s) and not of MDPI and/or the editor(s). MDPI and/or the editor(s) disclaim responsibility for any injury to people or property resulting from any ideas, methods, instructions or products referred to in the content. |
© 2023 by the authors. Licensee MDPI, Basel, Switzerland. This article is an open access article distributed under the terms and conditions of the Creative Commons Attribution (CC BY) license (https://creativecommons.org/licenses/by/4.0/).
Share and Cite
Lee, H.-S.; Park, K. Penetrating Offenders in Hemifacial Spasm: Surgical Tactics and Prognosis. Life 2023, 13, 2021. https://doi.org/10.3390/life13102021
Lee H-S, Park K. Penetrating Offenders in Hemifacial Spasm: Surgical Tactics and Prognosis. Life. 2023; 13(10):2021. https://doi.org/10.3390/life13102021
Chicago/Turabian StyleLee, Hyun-Seok, and Kwan Park. 2023. "Penetrating Offenders in Hemifacial Spasm: Surgical Tactics and Prognosis" Life 13, no. 10: 2021. https://doi.org/10.3390/life13102021
APA StyleLee, H.-S., & Park, K. (2023). Penetrating Offenders in Hemifacial Spasm: Surgical Tactics and Prognosis. Life, 13(10), 2021. https://doi.org/10.3390/life13102021

