The Successful Management of Primary Amenorrhea in Woodhouse–Sakati Syndrome: A Case Report and a Literature Review
Abstract
1. Introduction
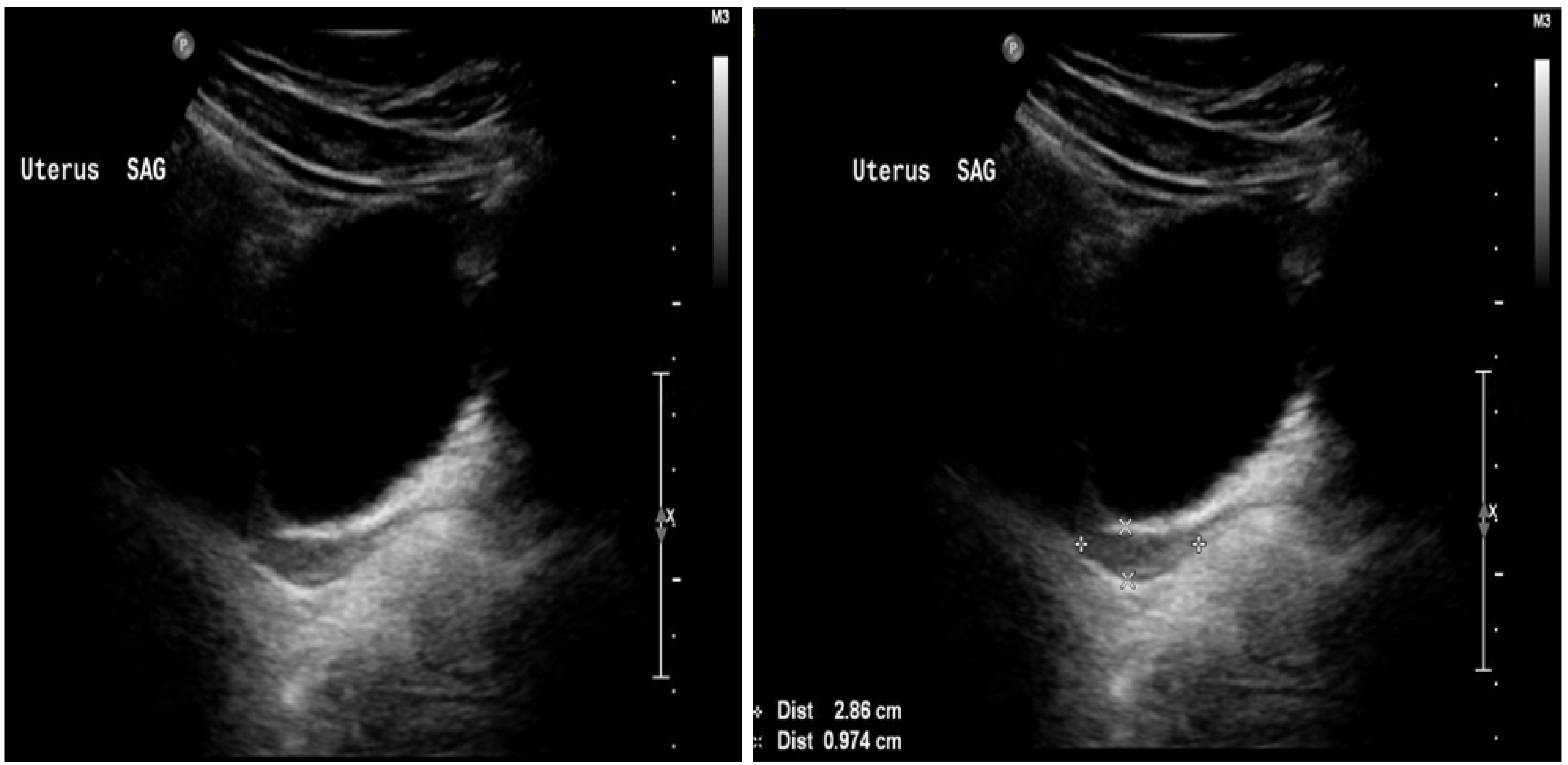
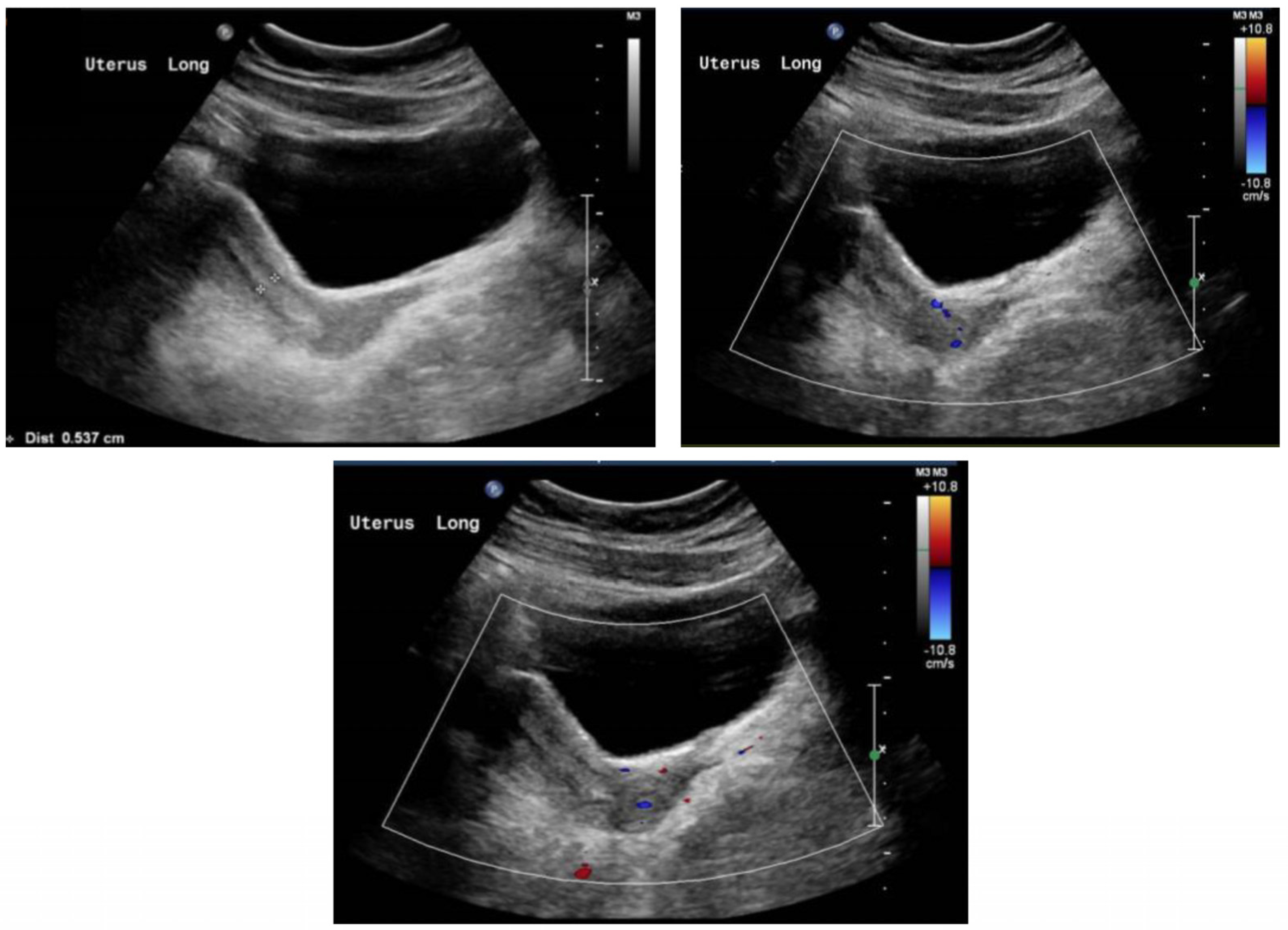
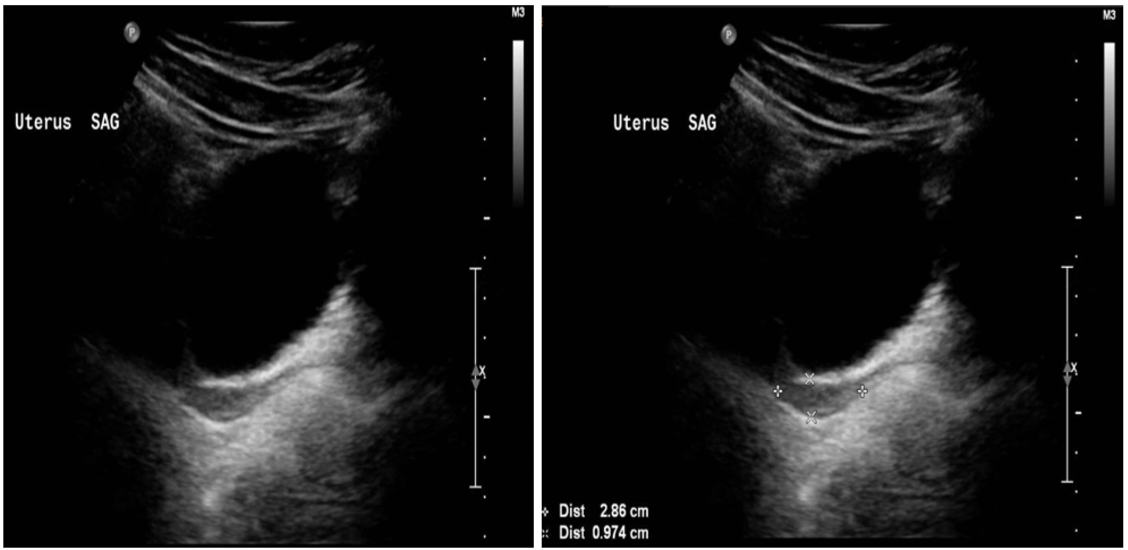
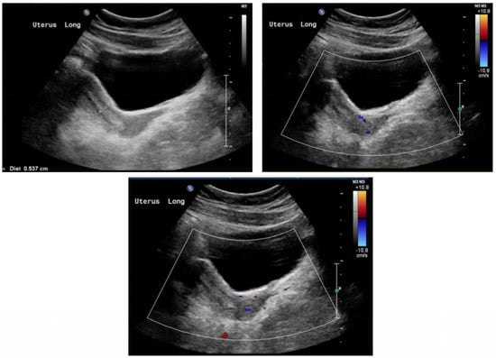
2. Case Report
3. Discussion
4. Conclusions
Author Contributions
Funding
Institutional Review Board Statement
Informed Consent Statement
Data Availability Statement
Acknowledgments
Conflicts of Interest
References
- Woodhouse, N.J.Y.; Sakati, N.A. A Syndrome of Hypogonadism, Alopecia, Diabetes Mellitus, Mental Retardation, Deafness, and ECG Abnormalities. J. Med. Genet. 1983, 20, 216–219. [Google Scholar] [CrossRef] [PubMed]
- Sendur, S.N.; Oguz, S.; Utine, G.E.; Dagdelen, S.; Oguz, K.K.; Erbas, T.; Alikasifoglu, M. A Case of Woodhouse-Sakati Syndrome with Pituitary Iron Deposition, Cardiac and Intestinal Anomalies, with a Novel Mutation in DCAF17. Eur. J. Med. Genet. 2019, 62, 103687. [Google Scholar] [CrossRef]
- Ali, R.; Al-Dewik, N.; Mohammed, S.; Elfituri, M.; Agouba, S.; Musa, S.; Mahmoud, L.; Almulla, M.; El-Akouri, K.; Mohd, H.; et al. Expanding on the Phenotypic Spectrum of Woodhouse-Sakati Syndrome Due to Founder Pathogenic Variant in DCAF17: Report of 58 Additional Patients from Qatar and Literature Review. Am. J. Med. Genet. A 2022, 188, 116–129. [Google Scholar] [CrossRef] [PubMed]
- Bohlega, S.; Abusrair, A.H.; Al-Ajlan, F.S.; Alharbi, N.; Al-Semari, A.; Bohlega, B.; Abualsaud, D.; Alkuraya, F. Patterns of Neurological Manifestations in Woodhouse-Sakati Syndrome. Park. Relat. Disord. 2019, 69, 99–103. [Google Scholar] [CrossRef]
- Bastaki, L.; Al-Wadaani, A.; Gouda, S.; Al-Aboud, H.; Elshafey, A. Woodhouse–Sakati Syndrome in Six Kuwaiti Families. Middle East J. Med. Genet. 2013, 2, 39–44. [Google Scholar] [CrossRef]
- Alazami, A.M.; Schneider, S.A.; Bonneau, D.; Pasquier, L.; Carecchio, M.; Kojovic, M.; Steindl, K.; De Kerdanet, M.; Nezarati, M.M.; Bhatia, K.P.; et al. C2orf37 Mutational Spectrum in Woodhouse–Sakati Syndrome Patients. Clin. Genet. 2010, 78, 585–590. [Google Scholar] [CrossRef]
- Agopiantz, M.; Corbonnois, P.; Sorlin, A.; Bonnet, C.; Klein, M.; Hubert, N.; Pascal-Vigneron, V.; Jonveaux, P.; Cuny, T.; Leheup, B.; et al. Endocrine Disorders in Woodhouse-Sakati Syndrome: A Systematic Review of the Literature. J. Endocrinol. Investig. 2014, 37, 1–7. [Google Scholar] [CrossRef]
- Medica, I.; Sepcić, J.; Peterlin, B. Woodhouse-Sakati Syndrome: Case Report and Symptoms Review. Genet. Couns. 2007, 18, 227–231. [Google Scholar]
- Bohlega, S.A.; Abusrair, A. Woodhouse-Sakati Syndrome Synonym: Hypogonadism, Alopecia, Diabetes Mellitus, Intellectual Disability, and Extrapyramidal Syndrome. 2016. Available online: https://www.ncbi.nlm.nih.gov/books/NBK378974/ (accessed on 1 September 2023).
- Aljaffer, M.A.; Almadani, A.H.; AlMutlaq, M.; Alhammad, A.; Alyahya, A.S. Woodhouse-Sakati Syndrome Presenting With Psychotic Features After Starting Trihexyphenidyl: A Case Report. Cureus 2022, 14, e27576. [Google Scholar] [CrossRef]
- Viswanathan, V.; Eugster, E.A. Etiology and Treatment of Hypogonadism in Adolescents. Endocrinol. Metab. Clin. N. Am. 2009, 38, 719–738. [Google Scholar] [CrossRef][Green Version]
- Azhari, H.; Elamin, E.; Elderdery, A.Y.; Mohammed, R.R.; Omer, H.E.; Iman, A.M.; Tabein, E.M.; Ramadan, O.; Shaban, M. Pregnancy and Commonly Usage Hematological Medications in Sudan. Int. J. Health Sci. 2022, 6, 9044–9055. [Google Scholar] [CrossRef]
- Gaspari, L.; Paris, F.; Kalfa, N.; Sultan, C. Primary Amenorrhea in Adolescents: Approach to Diagnosis and Management. Endocrines 2023, 4, 536–547. [Google Scholar] [CrossRef]
- Ciarleglio, L.J.; Bennett, R.L.; Williamson, J.; Mandell, J.B.; Marks, J.H. Genetic Counseling throughout the Life Cycle. J. Clin. Investig. 2003, 112, 1280–1286. [Google Scholar] [CrossRef] [PubMed]
- Kohil, A.; Abdallah, A.M.; Hussain, K.; Al-Shafai, M. Genetic Epidemiology of Woodhouse-Sakati Syndrome in the Greater Middle East Region and beyond: A Systematic Review. Orphanet J. Rare Dis. 2023, 18, 22. [Google Scholar] [CrossRef] [PubMed]
- Alhuzaim, O.N.; Ahmad, M.M.; Sherbeeni, S.M.; Almotawa, F.; Ali, A.S.; Alhejaily, A.-M.G. Three Siblings With Woodhouse-Sakati Syndrome: A Case Report of A New Saudi Family. Cureus 2022, 14, e32225. [Google Scholar] [CrossRef]
- Alasiri, T.A.; Alasiri, T.A.; Alshehri, A.A.; Alzahrani, A.S. Woodhouse-Sakati Syndrome With Psychosis and Basal Ganglia Calcification: A Case Report. J. Med. Cases 2018, 9, 73–75. [Google Scholar] [CrossRef][Green Version]
- Louro, P.; Durães, J.; Oliveira, D.; Paiva, S.; Ramos, L.; Macário, M.C. Woodhouse–Sakati Syndrome: First Report of a Portuguese Case. Am. J. Med. Genet. A 2019, 179, 2237–2240. [Google Scholar] [CrossRef]
- Alharbi, M.S. Woodhouse-Sakati Syndrome (WSS). Saudi Med. J. 2021, 42, 1237–1242. [Google Scholar] [CrossRef]
- Hdiji, O.; Turki, E.; Bouzidi, N.; Bouchhima, I.; Damak, M.; Bohlega, S.; Mhiri, C. Woodhouse-Sakati Syndrome: Report of the First Tunisian Family with the C2orf37 Gene Mutation. J. Mov. Disord. 2016, 9, 120. [Google Scholar] [CrossRef]
- Alzahrani, A.M.; Alsuwailem, L.O.; Alghoraiby, R.M.; Albadr, F.B.; Alaseri, Y.M. Radiological Findings of Woodhouse-Sakati Syndrome: Cases Reported From Saudi Arabia. Cureus 2022, 14, e28540. [Google Scholar] [CrossRef]
- Alazami, A.M.; Al-Saif, A.; Al-Semari, A.; Bohlega, S.; Zlitni, S.; Alzahrani, F.; Bavi, P.; Kaya, N.; Colak, D.; Khalak, H.; et al. Mutations in C2orf37, Encoding a Nucleolar Protein, Cause Hypogonadism, Alopecia, Diabetes Mellitus, Mental Retardation, and Extrapyramidal Syndrome. Am. J. Hum. Genet. 2008, 83, 684–691. [Google Scholar] [CrossRef] [PubMed]
- Rajput, R.; Jain, D.; Yadav, L.; Yadav, T. Primary Amenorrhea in a Young Female—Complete Androgen Insensitivity Syndrome: A Rare Cause. IJCP Group Publ. 2016, 27, 445. [Google Scholar]
- Mikhael, S.; Punjala-Patel, A.; Gavrilova-Jordan, L. Hypothalamic-Pituitary-Ovarian Axis Disorders Impacting Female Fertility. Biomedicines 2019, 7, 5. [Google Scholar] [CrossRef] [PubMed]
- Sheppard, S.E.; Quintero-Rivera, F.; Syndrome, W.-S.; Adam, M.P.; Mirzaa, G.M.; Pagon, R.A. Wiedemann-Steiner Syndrome. 2022. Available online: https://www.ncbi.nlm.nih.gov/books/NBK580718/ (accessed on 1 September 2023).
- Kucińska-Chahwan, A.; Geremek, M.; Roszkowski, T.; Bijok, J.; Massalska, D.; Ciebiera, M.; Correia, H.; Pereira-Caetano, I.; Barreta, A.; Obersztyn, E.; et al. Implementation of Exome Sequencing in Prenatal Diagnosis and Impact on Genetic Counseling: The Polish Experience. Genes 2022, 13, 724. [Google Scholar] [CrossRef] [PubMed]
- Pandey, A.; Tripathi, P.; Pandey, R.; Srivatava, R.; Goswami, S. Alternative Therapies Useful in the Management of Diabetes: A Systematic Review. J. Pharm. Bioallied Sci. 2011, 3, 504. [Google Scholar] [CrossRef]
- Zhou, M.; Shi, N.; Zheng, J.; Chen, Y.; Wang, S.; Xiao, K.; Cui, Z.; Qiu, K.; Zhu, F.; Li, H. Case Report: A Chinese Family of Woodhouse-Sakati Syndrome With Diabetes Mellitus, With a Novel Biallelic Deletion Mutation of the DCAF17 Gene. Front. Endocrinol. 2021, 12, 770871. [Google Scholar] [CrossRef]


| Clinical Features | Current Report | Alasiri et al. [17] | Louro et al. [18] | Alharbi, [19] |
|---|---|---|---|---|
| Alopecia | + | + | + | + |
| Primary amenorrhea | + | + | + | + |
| Absence of secondary sexual characteristics | + | + | + | + |
| Diabetes mellites | - | + | + | + |
| Sensorineural hearing loss | - | + | + | ? |
| Extrapyramidal symptoms | - | ? | + | + |
| Intellectual disability | + | + | + | + |
| Hypothyroidism | - | + | + | + |
| Triangular face | + | ? | + | + |
| Pituitary hypoplasia | - | ? | ? | + |
| Breast hypoplasia | + | + | ? | + |
| Hypergonadotropic hypogonadism | + | + | + | + |
| White matter disease | - | ? | + | + |
| Urogenital anomalies | - | - | - | + |
| Bilateral keratoconus | - | - | ? | + |
| At the Age of 15 Years | At the Age of 19 Years | Reference Value | |
|---|---|---|---|
| Hemoglobin A1C | 6.8 | - | 4.4–6.4% |
| Insulin level | 72.9 | - | 3.2–16.3 uIU/mL |
| Thyroid Profile | |||
| Free T4 | 13.50 | 9.90 | 7.50–21.10 pmol/L |
| Thyroid Stimulating Hormone (TSH) | 3.266 | 1.87 | 0.38–5.33 uIU/mL |
| Hormonal Profile | |||
| Follicle Stimulating Hormone (FSH) | 48.5 | 17.69 | Mid-Follicular Phase 3.85–8.78 mIU/mL Mid-Cycle Peak 4.54–22.51 mIU/mL Mid-Luteal Phase 1.79–5.12 mIU/mL |
| Luteinizing Hormone (LH) | 17.96 | 10.3 | Mid-Follicular Phase 2.12–10.89 mIU/mL Mid-Cycle Peak 19.18–103.03 mIU/mL Mid-Luteal Phase 1.20–12.86 mIU/mL |
| Prolactin | - | 139 | 71.06–568.5 uIU/ml |
| Testosterone Total | - | 1.07 | 0.35–2.60 nmol/L |
Disclaimer/Publisher’s Note: The statements, opinions and data contained in all publications are solely those of the individual author(s) and contributor(s) and not of MDPI and/or the editor(s). MDPI and/or the editor(s) disclaim responsibility for any injury to people or property resulting from any ideas, methods, instructions or products referred to in the content. |
© 2023 by the authors. Licensee MDPI, Basel, Switzerland. This article is an open access article distributed under the terms and conditions of the Creative Commons Attribution (CC BY) license (https://creativecommons.org/licenses/by/4.0/).
Share and Cite
Bakhsh, H.; Alqntash, N.; Almajed, E. The Successful Management of Primary Amenorrhea in Woodhouse–Sakati Syndrome: A Case Report and a Literature Review. Life 2023, 13, 2022. https://doi.org/10.3390/life13102022
Bakhsh H, Alqntash N, Almajed E. The Successful Management of Primary Amenorrhea in Woodhouse–Sakati Syndrome: A Case Report and a Literature Review. Life. 2023; 13(10):2022. https://doi.org/10.3390/life13102022
Chicago/Turabian StyleBakhsh, Hanadi, Norah Alqntash, and Ebtesam Almajed. 2023. "The Successful Management of Primary Amenorrhea in Woodhouse–Sakati Syndrome: A Case Report and a Literature Review" Life 13, no. 10: 2022. https://doi.org/10.3390/life13102022
APA StyleBakhsh, H., Alqntash, N., & Almajed, E. (2023). The Successful Management of Primary Amenorrhea in Woodhouse–Sakati Syndrome: A Case Report and a Literature Review. Life, 13(10), 2022. https://doi.org/10.3390/life13102022

