Is There Any Improvement in Image Quality in Obese Patients When Using a New X-ray Tube and Deep Learning Image Reconstruction in Coronary Computed Tomography Angiography?
Abstract
:1. Introduction
2. Materials and Methods
2.1. Patient Population
2.2. Image Acquisition
2.3. Image Reconstruction
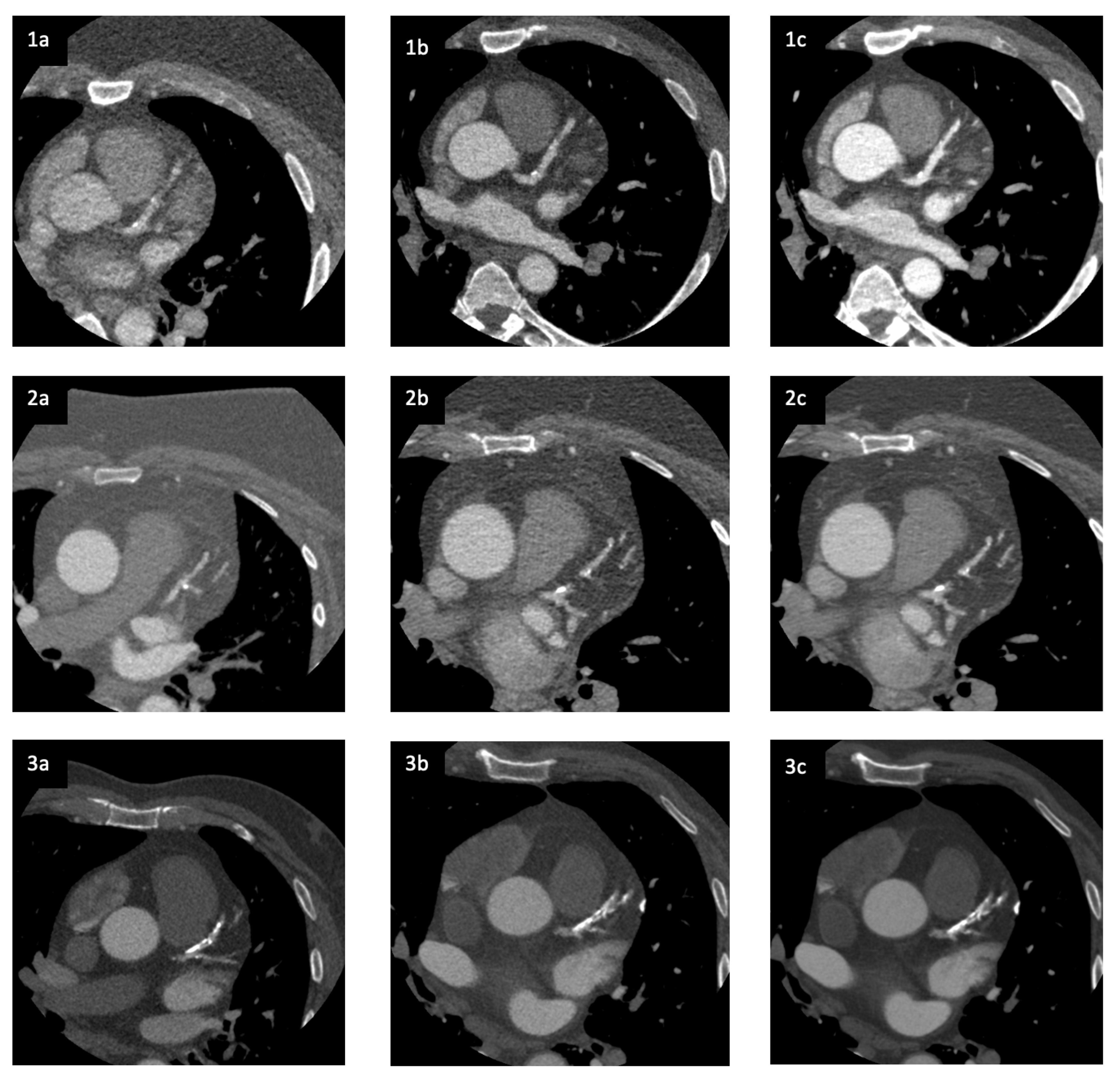
2.4. Subjective Image Quality Assessment
2.5. Objective Image Quality Assessment
2.6. Radiation Dose
2.7. Statistical Analyses
3. Results
3.1. Patient Characteristics and Scan Parameters
3.2. Image Quality and Diagnostic Accuracy
3.3. Noise
3.4. Intra- and Interreader Agreement
3.5. Radiation Dose
4. Discussion
5. Conclusions
Author Contributions
Funding
Institutional Review Board Statement
Informed Consent Statement
Data Availability Statement
Acknowledgments
Conflicts of Interest
Abbreviations
| CAD | coronary artery disease |
| ICA | invasive coronary angiography |
| CCTA | coronary computed tomography angiography |
| WHO | World Health Organization |
| DLIR | deep learning image reconstruction |
| BMI | body mass index |
| HR | heart rate |
| BPM | beats per minute |
| PCI | percutaneous coronary intervention |
| CABG | coronary artery bypass grafting |
| BP | blood pressure |
| AMI | acute myocardial infarction |
| ATCM | automatic tube current modulation |
| ASiR-V | adaptive statistical iterative reconstruction–veo |
| ROI | region of interest |
| HU | Hounsfield unit |
| SD | Standard deviation |
| CTDI | computed tomography dose index |
| CAC | coronary artery calcium |
| OR | odds ratio |
| LAD | left anterior descending (artery) |
| RCA | right coronary artery |
| CX | circumflex (artery) |
| DLP | dose length product |
References
- World Health Organisation. The Top 10 Causes of Death 2020. Available online: https://www.who.int/news-room/fact-sheets/detail/the-top-10-causes-of-death (accessed on 8 December 2020).
- Segev, O.L.; Gaspar, T.; Halon, D.A.; Peled, N.; Domachevsky, L.; Lewis, B.S.; Rubinshtein, R. Image quality in obese patients undergoing 256-row computed tomography coronary angiography. Int. J. Cardiovasc. Imaging 2012, 28, 633–639. [Google Scholar] [CrossRef] [PubMed]
- Zimmerman, S.L.; Kral, B.G.; Fishman, E.K. Diagnostic quality of dual-source coronary CT examinations performed without heart rate control: Importance of obesity and heart rate on image quality. J. Comput. Assist. Tomogr. 2014, 38, 949–955. [Google Scholar] [CrossRef] [PubMed]
- Montalescot, G.; Sechtem, U.; Achenbach, S.; Andreotti, F.; Arden, C.; Budaj, A.; Bugiardini, R.; Crea, F.; Cuisset, T.; Di Mario, C. 2013 ESC guidelines on the management of stable coronary artery disease: The Task Force on the management of stable coronary artery disease of the European Society of Cardiology. Eur. Heart J. 2013, 34, 2949–3003. [Google Scholar] [PubMed]
- Ghekiere, O.; Salgado, R.; Buls, N.; Leiner, T.; Mancini, I.; Vanhoenacker, P.; Dendale, P.; Nchimi, A. Image quality in coronary CT angiography: Challenges and technical solutions. Br. J. Radiol. 2017, 90, 20160567. [Google Scholar] [CrossRef] [PubMed]
- Lee, A.M.; Engel, L.C.; Hui, G.C.; Liew, G.; Ferencik, M.; Sidhu, M.S.; Hoffmann, U.; Ghoshhajra, B.B. Coronary computed tomography angiography at 140 kV versus 120 kV: Assessment of image quality and radiation exposure in overweight and moderately obese patients. Acta Radiol. 2014, 55, 554–562. [Google Scholar] [CrossRef] [PubMed]
- World Health Organisation. Obesity and Overweight 2020. Available online: https://www.who.int/news-room/fact-sheets/detail/obesity-and-overweight (accessed on 10 December 2020).
- Lu, Y.; Hajifathalian, K.; Ezzati, M.; Woodward, M.; Rimm, E.B.; Danaei, G. Metabolic mediators of the effects of body-mass index, overweight, and obesity on coronary heart disease and stroke: A pooled analysis of 97 prospective cohorts with 1.8 million participants. Lancet 2014, 383, 970–983. [Google Scholar] [PubMed]
- Seeram, E. Computed Tomography: Physical Principles, Clinical Applications, and Quality Control, 4th ed.; Elsevier Inc.: Amsterdam, The Netherlands, 2016. [Google Scholar]
- Thibault, J.; Utschig, M. Revolution Apex with QuantixTM 160 [White Paper]. 2020. Available online: https://www.gehealthcare.co.uk/products/computed-tomography/revolution-apex (accessed on 30 November 2020).
- Benz, D.C.; Benetos, G.; Rampidis, G.; von Felten, E.; Bakula, A.; Sustar, A.; Kudura, K.; Messerli, M.; Fuchs, T.A.; Gebhard, C.; et al. Validation of deep-learning image reconstruction for coronary computed tomography angiography: Impact on noise, image quality and diagnostic accuracy. J. Cardiovasc. Comput. Tomogr. 2020, 14, 444–451. [Google Scholar] [CrossRef] [PubMed]
- Solomon, J.; Lyu, P.; Marin, D.; Samei, E. Noise and spatial resolution properties of a commercially available deep learning-based CT reconstruction algorithm. Med. Phys. 2020, 47, 3961–3971. [Google Scholar] [CrossRef] [PubMed]
- Hsieh, J.; Liu, E.; Nett, B.; Tang, J.; Thibault, J.; Sahney, S. A New Era of Image Reconstruction: TrueFidelityTM Technical White Paper on Deep Learning Image Reconstruction [White Paper]. 2020. Available online: https://www.gehealthcare.com/-/jssmedia/040dd213fa89463287155151fdb01922.pdf (accessed on 2 December 2020).
- Zhang, Z.; Seeram, E. The use of artificial intelligence in computed tomography image reconstruction—A literature review. J. Med. Imaging Radiat. Sci. 2020, 51, 671–677. [Google Scholar] [CrossRef] [PubMed]
- Arndt, C.; Güttler, F.; Heinrich, A.; Bürckenmeyer, F.; Diamantis, I.; Teichgräber, U. Deep Learning CT Image Reconstruction in Clinical Practice. Fortschr. Röntgenstr. 2021, 193, 252–261. [Google Scholar] [CrossRef] [PubMed]
- Seppelt, D.; Kolb, C.; Kühn, J.P.; Speiser, U.; Radosa, C.G.; Hoberück, S.; Hoffmann, R.T.; Platzek, I. Comparison of sequential and high-pitch-spiral coronary CT-angiography: Image quality and radiation exposure. Int. J. Cardiovasc. Imaging 2019, 35, 1379–1386. [Google Scholar] [CrossRef] [PubMed]
- Håkansson, M.; Svensson, S.; Zachrisson, S.; Svalkvist, A.; Båth, M.; Månsson, L.G. VIEWDEX: An efficient and easy-to-use software for observer performance studies. Radiat. Prot. Dosim. 2010, 139, 42–51. [Google Scholar] [CrossRef] [PubMed]
- Sookpeng, S.; Martin, C.J.; Butdee, C. The investigation of dose and image quality of chest computed tomography using different combinations of noise index and adaptive statistic iterative reconstruction level. Indian J. Radiol. Imaging 2019, 29, 53–60. [Google Scholar] [CrossRef] [PubMed]



| Quality Criteria | |
|---|---|
| 1 | Sharp/clear delineation of the aortic wall |
| 2 | Visually sharp delineation of the vessel wall of LAD |
| 3 | Visually sharp delineation of the vessel wall of RCA |
| 4 | Visually sharp delineation of the vessel wall of CX |
| 5 | Visualization of the myocardial septum between the right and left ventricle |
| 6 | Homogeneity in the left/right ventricle |
| Likert Score | |
| 1 | High noise level, poor vessel definition |
| 2 | Considerable image noise, partially limited vessel wall delineation |
| 3 | Little image noise and good delineation of vessel borders |
| 4 | Good image quality, very little mage noise, and clear delineation of vessel walls |
| 5 | Excellent delineation of vessel walls, high attenuation in the vessel |
| Characteristic | Revolution CT 18 December–19 July | Revolution Apex 20 October–20 November (p-Value) |
|---|---|---|
| Age [years], mean ± SD [range] | 59 ± 11 [39–77] | 60 ± 11 [41–79] |
| Sex [male/female], n [%] | ||
| Male | 26 [51] | 26 [51] |
| Female | 25 [49] | 25 [49] |
| BMI [kg/m2] | ||
| BMI, mean ± SD [range] | 37 ± 5 [30–50] | 37 ± 5 [27–49] |
| Obese [BMI 30–34.9], n [%] | 21 [41] | 20 [39] |
| Very obese [BMI ≥ 35], n [%] | 30 [59] | 31 [61] |
| Cardiac risk factors, n [%] | ||
| Smoking [active or previous/non-smokers] | 33/18 [65/35] | - |
| Diabetes mellitus | 11 [22] | 12 [24] |
| Family history of CAD | 25 [49] | - |
| Indication of CCTA, n [%] | ||
| Typical/atypical angina | 17 [33] | - |
| Unspecified chest pain | 27 [53] | - |
| Dyspnea | 4 [8] | - |
| Other/unknown | 3 [6] | - |
| Medications, n [%] | ||
| Treatment with anti-hypertensive drugs | 28 [55] | 30 [59] |
| Treatment with lipid-lowering drugs | 16 [31] | 18 [35] |
| Coronary artery calcium score [CAC], mean ± SD | 199 ± 497 | 239 ± 524 |
| Heart rate during CT acquisition, mean ± SD | 57 ± 7 | 58 ± 7 |
| Tube current [mA], mean ± SD | 619 ± 80 | 828 ± 138 (<0.001) |
| Dose length product [DLP] [mGy*cm], mean ± SD | 158 ± 96 | 187 ± 101 (0.022) |
| Image Quality Criteria | CT Scanner and Reconstruction Method | Odds Ratio [95% CI] | p-Value |
|---|---|---|---|
| 1. Sharp/clear delineation of the aortic wall | Revolution CT ASiR-V [ref.] | ||
| Revolution Apex ASiR-V | 1.86 [0.66–5.21] | 0.24 | |
| Revolution Apex DLIR | 1.51 [0.71–3.24] | 0.29 | |
| 2. Visually sharp delineation of the vessel wall of LAD | Revolution CT ASiR-V [ref.] | ||
| Revolution Apex ASiR-V | 0.76 [0.31–1.85] | 0.55 | |
| Revolution Apex DLIR | 3.30 [1.64–6.54] | 0.001 | |
| 3. Visually sharp delineation of the vessel wall of RCA | Revolution CT ASiR-V [ref.] | ||
| Revolution Apex ASiR-V | 1.05 [0.44–2.46] | 0.92 | |
| Revolution Apex DLIR | 1.76 [0.85–3.64] | 0.13 | |
| 4. Visually sharp delineation of the vessel wall of CX | Revolution CT ASiR-V [ref.] | ||
| Revolution Apex ASiR-V | 1.96 [0.78–4.96] | 0.15 | |
| Revolution Apex DLIR | 1.31 [0.63–2.72] | 0.48 | |
| 5. Visualization of the myocardial septum between the right and left ventricle | Revolution CT ASiR-V [ref.] | ||
| Revolution Apex ASiR-V | 0.66 [0.20–2.14] | 0.49 | |
| Revolution Apex DLIR | 4.82 [1.60–14.56] | 0.005 | |
| 6. Homogeneity in the left/right ventricle | Revolution CT ASiR-V [ref.] | ||
| Revolution Apex ASiR-V | 0.66 [0.20–2.14] | 0.49 | |
| Revolution Apex DLIR | 3.26 [1.34–7.91] | 0.009 | |
| 7. Overall image quality | Revolution CT ASiR-V [ref.] | ||
| Revolution Apex ASiR-V | 0.999 [0.80–1.25] | 0.995 | |
| Revolution Apex DLIR | 1.23 [1.04–1.46] | 0.017 |
| ROI | CT Scanner and Reconstruction Method | β-Coefficient | 95% CI | p-Value |
|---|---|---|---|---|
| Aorta | Revolution CT ASiR-V | 0.986 | −0.996–2.644 | 0.371 |
| Revolution Apex DLIR | 0.658 | 0.454–0.863 | <0.001 | |
| Myocardium | Revolution CT ASiR-V | 0.913 | −3.562–1.002 | 0.269 |
| Revolution Apex DLIR | 0.329 | 0.068–0.590 | 0.015 |
| ROI | CT Scanner and Reconstruction Method | Mean HU | Mean Noise (±SD), (p-Value) | SNR (±SD), (p-Value) |
|---|---|---|---|---|
| Aorta | Revolution CT ASiR-V | 423.3 | 39.5 (±4.6) | 11.1 (±2.1) |
| Revolution Apex ASiR-V | 478.0 | 40.3 (±5.0) | 10.8 (±2.6) | |
| Revolution Apex DLIR | 478.5 | 21.7 (±4.6), (<0.0001) | 21.4 (±6.1), (0.001) | |
| Myocardium | Revolution CT ASiR-V | 70.5 | 36.6 (±4.7) | 2.0 (±0.6) |
| Revolution Apex ASiR-V | 78.6 | 37.9 (±6.9) | 2.0 (±0.4) | |
| Revolution Apex DLIR | 78.7 | 23.3 (±4.9), (<0.0001) | 3.3 (±1.0), (0.001) |
Publisher’s Note: MDPI stays neutral with regard to jurisdictional claims in published maps and institutional affiliations. |
© 2022 by the authors. Licensee MDPI, Basel, Switzerland. This article is an open access article distributed under the terms and conditions of the Creative Commons Attribution (CC BY) license (https://creativecommons.org/licenses/by/4.0/).
Share and Cite
Pfeffer, A.-S.B.; Mørup, S.D.; Andersen, T.R.; Mohamed, R.A.; Lambrechtsen, J. Is There Any Improvement in Image Quality in Obese Patients When Using a New X-ray Tube and Deep Learning Image Reconstruction in Coronary Computed Tomography Angiography? Life 2022, 12, 1428. https://doi.org/10.3390/life12091428
Pfeffer A-SB, Mørup SD, Andersen TR, Mohamed RA, Lambrechtsen J. Is There Any Improvement in Image Quality in Obese Patients When Using a New X-ray Tube and Deep Learning Image Reconstruction in Coronary Computed Tomography Angiography? Life. 2022; 12(9):1428. https://doi.org/10.3390/life12091428
Chicago/Turabian StylePfeffer, Anne-Sofie Brunebjerg, Svea Deppe Mørup, Thomas Rueskov Andersen, Roda Abdulkadir Mohamed, and Jess Lambrechtsen. 2022. "Is There Any Improvement in Image Quality in Obese Patients When Using a New X-ray Tube and Deep Learning Image Reconstruction in Coronary Computed Tomography Angiography?" Life 12, no. 9: 1428. https://doi.org/10.3390/life12091428
APA StylePfeffer, A.-S. B., Mørup, S. D., Andersen, T. R., Mohamed, R. A., & Lambrechtsen, J. (2022). Is There Any Improvement in Image Quality in Obese Patients When Using a New X-ray Tube and Deep Learning Image Reconstruction in Coronary Computed Tomography Angiography? Life, 12(9), 1428. https://doi.org/10.3390/life12091428

