Symptomatic Vascular Compression of Brainstem May Be Managed Conservatively
Abstract
1. Introduction
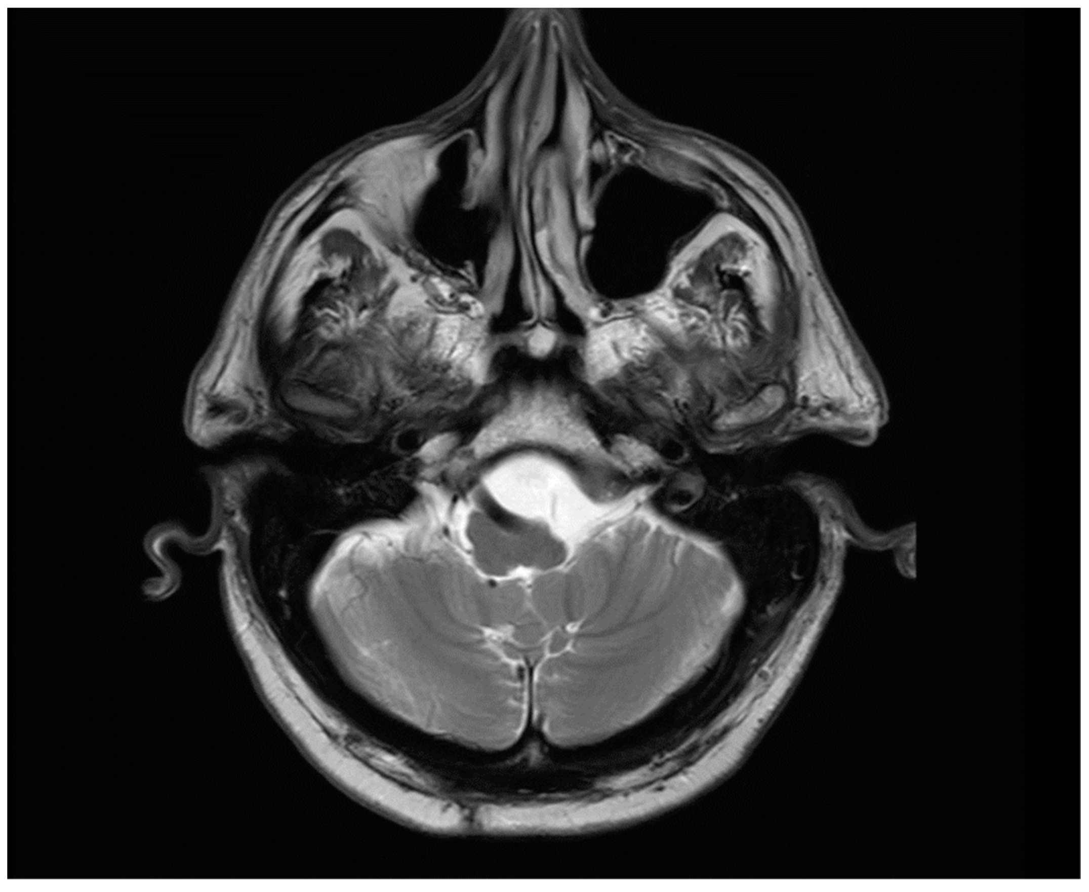
2. Presentation
3. Discussion
4. Conclusions
Author Contributions
Funding
Institutional Review Board Statement
Informed Consent Statement
Data Availability Statement
Conflicts of Interest
References
- Hänggi, D.; Steiger, H.J. Symptomatic vertebral artery conflicts to the medulla oblongata and microsurgical treatment options: Review of the literature. Neurosurg. Rev. 2009, 32, 143–149. [Google Scholar] [CrossRef] [PubMed]
- El-Ghandour, N.M. Microvascular Decompression in the Treatment of Trigeminal Neuralgia Caused by Vertebrobasilar Ectasia. Neurosurgery 2010, 67, 330–337. [Google Scholar] [CrossRef] [PubMed]
- Passero, S.; Rossi, S.; Giannini, F.; Nuti, D. Brain-stem compression in vertebrobasilar dolichoectasia. A multimodal electro-physiological study. Clin. Neurophysiol. 2001, 112, 1531–1539. [Google Scholar] [CrossRef]
- Jamjoom, A.B.; Rawlinson, J.N.; Coakham, H.B. Multiple neurological lesions due to vertebrobasilar dolichoectasia. Br. J. Neurosurg. 1990, 4, 147–154. [Google Scholar] [CrossRef]
- Yang, X.-S.; Li, S.-T.; Zhong, J.; Zhu, J.; Du, Q.; Zhou, Q.-M.; Jiao, W.; Guan, H.-X. Microvascular decompression on patients with trigeminal neuralgia caused by ectatic verte-brobasilar artery complex: Technique notes. Acta Neurochir. 2012, 154, 793–797, discussion 97. [Google Scholar] [CrossRef] [PubMed]
- Niwa, Y.; Shiotani, M.; Karasawa, H.; Ohseto, K.; Naganuma, Y. Trigeminal neuralgia caused by tortuous vertebrobasilar system--the clinical and imaging features. Rinsho Shinkeigaku 1997, 37, 191–197. [Google Scholar]
- Giray, S.; Pelit, A.; Kizilkilic, O.; Karatas, M. Isolated abducens nerve palsy caused by contralateral vertebral artery dolichoecta-sia. Neurol. India 2005, 53, 246–247. [Google Scholar] [CrossRef]
- Gorton, L.; Ashour, A.M.; Lebovitz, J.; Di Cosola, A.; Abdulrauf, S.I. Intractable vomiting caused by vertebral artery compressing the medulla: A case report. J. Craniovertebr. Junction Spine 2015, 6, 89–91. [Google Scholar]
- Passero, S.G.; Rossi, S. Natural history of vertebrobasilar dolichoectasia. Neurology 2007, 70, 66–72. [Google Scholar] [CrossRef]
- Flemming, K.D.; Josephs, K.; Wijdicks, E.F.M. Enlarging vertebrobasilar dolichoectasia with subarachnoid hemorrhage heralded by recurrent ischemia. Case illustration. J. Neurosurg. 2000, 92, 504. [Google Scholar] [CrossRef] [PubMed]
- Pereira-Filho, A.D.A.; Faria, M.D.B.; Bleil, C.; Kraemer, J.L. Brainstem compression syndrome caused by vertebrobasilar dolichoectasia: Microvascular repositioning technique. Arq. Neuro-Psiquiatria 2008, 66, 408–411. [Google Scholar] [CrossRef] [PubMed][Green Version]
- Gizewski, E.R.; Spitthöver, R.M.; Wiedemayer, H.; Wanke, I.; Philipp, T.; Forsting, M. Recurrent Neurovascular Hypertension: MR Findings Before and After Surgical Treatments. Am. J. Neuroradiol. 2001, 22, 1168–1170. [Google Scholar] [PubMed]
- Mahrous, M.M.; Busaad, I.A. Vertebral artery compression of medulla oblongata causing isolated symptom of dizziness: Two case reports. Egypt. J. Otolaryngol. 2020, 36, 9. [Google Scholar] [CrossRef]
- Savitz, S.I.; Ronthal, M.; Caplan, L.R. Vertebral artery compression of the medulla. Arch. Neurol. 2006, 63, 234–241. [Google Scholar] [CrossRef] [PubMed]
- Hegedüs, K. Ectasia of the basilar artery with special reference to possible pathogenesis. Surg. Neurol. 1985, 24, 463–469. [Google Scholar] [CrossRef]
- Nakatomi, H.; Segawa, H.; Kurata, A.; Shiokawa, Y.; Nagata, K.; Kamiyama, H.; Ueki, K.; Kirino, T. Clinicopathological study of intracranial fusiform and dolichoectatic aneurysms: Insight on the mechanism of growth. Stroke 2000, 31, 896–900. [Google Scholar] [CrossRef] [PubMed]
- Pico, F.; Labreuche, J.; Touboul, P.J.; Amarenco, P. Intracranial arterial dolichoectasia and its relation with atherosclerosis and stroke subtype. Neurology 2003, 61, 1736–1742. [Google Scholar] [CrossRef] [PubMed]
- Gupta, D.; George, U.B.; Pandian, J.D. Vertebrobasilar dolichoectasia and a tale of two brothers. Neurol. India 2010, 58, 810–812. [Google Scholar] [CrossRef] [PubMed]
- Schievink, W.I.; Torres, V.E.; Wiebers, D.O.; Huston, J., 3rd. Intracranial arterial dolichoectasia in autosomal dominant polycystic kidney disease. J. Am. Soc. Nephrol. 1997, 8, 1298–1303. [Google Scholar] [CrossRef]
- Laforêt, P.; Petiot, P.; Nicolino, M.; Orlikowski, D.; Caillaud, C.; Pellegrini, N.; Froissart, R.; Petitjean, T.; Maire, I.; Chabriat, H.; et al. Dilative arteriopathy and basilar artery dolichoectasia complicating late-onset Pompe disease. Neurology 2008, 70, 2063–2066. [Google Scholar] [CrossRef] [PubMed]
- Garzuly, F.; Maródi, L.; Erdös, M.; Grubits, J.; Varga, Z.; Gelpi, E.; Rohonyi, B.; Mazlo, M.; Molnár, A.; Budka, H. Megadolichobasilar anomaly with thrombosis in a family with Fabry’s disease and a novel mutation in the alpha-galactosidase A gene. Brain 2005, 128, 2078–2083. [Google Scholar] [CrossRef] [PubMed]
- Mizutani, T.; Aruga, T. “Dolichoectatic” intracranial vertebrobasilar dissecting aneurysm. Neurosurgery 1992, 31, 765. [Google Scholar]
- Anson, J.A.; Lawton, M.T.; Spetzler, R.F. Characteristics and surgical treatment of dolichoectatic and fusiform aneurysms. J. Neurosurg. 1996, 84, 185–193. [Google Scholar] [CrossRef] [PubMed]
- Kawahara, I.; Morofuji, Y.; Takahata, H.; Toda, K.; Tsutsumi, K.; Baba, H.; Yonekura, M. Dolichoectasic anterior cerebral artery and hemodynamics. J. Stroke Cerebrovasc. Dis. 2012, 21, 907.e5–907.e8. [Google Scholar]
- Ubogu, E.E.; Zaidat, O.O. Vertebrobasilar dolichoectasia diagnosed by magnetic resonance angiography and risk of stroke and death: A cohort study. J Neurol. Neurosurg. Psychiatry 2004, 75, 22–26. [Google Scholar] [PubMed]
- Yuan, Y.J.; Xu, K.; Luo, Q.; Yu, J.L. Research progress on vertebrobasilar dolichoectasia. Int. J. Med. Sci. 2014, 11, 1039–1048. [Google Scholar] [CrossRef] [PubMed]
- Shepard, N.T.; Telian, S.A. Programmatic vestibular rehabilitation. Otolaryngol. Head Neck Surg. 1995, 112, 173–182. [Google Scholar] [CrossRef]
- Ikeda, K.; Nakamura, Y.; Hirayama, T.; Sekine, T.; Nagata, R.; Kano, O.; Kawabe, K.; Kiyozuka, T.; Tamura, M.; Iwasaki, Y. Cardiovascular risk and neuroradiological profiles in asymptomatic vertebro-basilar dolichoectasia. Cerebrovasc. Dis. 2010, 30, 23–28. [Google Scholar] [CrossRef]
- Dziewasa, R.; Freund, M.; Ludemann, P.; Müller, M.; Ritter, M.; Dröste, D.W.; Stögbauer, F. Treatment options in vertebrobasilar dolichoectasia—Case report and review of the literature. Eur. Neurol. 2003, 49, 245–247. [Google Scholar] [CrossRef] [PubMed]
- Lou, M.; Caplan, L.R. Vertebrobasilar dilatative arteriopathy (dolichoectasia). Ann. N. Y. Acad. Sci. 2009, 1184, 121–133. [Google Scholar] [CrossRef]
- Tsutsumi, S.; Nonaka, S.; Ono, H.; Ishii, H. Vertebral artery compression of the medulla oblongata: A benign radiological find-ing? Surg. Neurol. Int. 2022, 13, 36. [Google Scholar] [CrossRef] [PubMed]
- Li, Q.; Xie, P.; Yang, W.-S.; Yan, B.; Davis, S.; Caplan, L.R. Vertebral Artery Compression Syndrome. Front. Neurol. 2019, 10, 1075. [Google Scholar] [CrossRef] [PubMed]

Publisher’s Note: MDPI stays neutral with regard to jurisdictional claims in published maps and institutional affiliations. |
© 2022 by the authors. Licensee MDPI, Basel, Switzerland. This article is an open access article distributed under the terms and conditions of the Creative Commons Attribution (CC BY) license (https://creativecommons.org/licenses/by/4.0/).
Share and Cite
Ghannam, M.; Berns, M.; Salari, A.; Moore, L.; Brown, K. Symptomatic Vascular Compression of Brainstem May Be Managed Conservatively. Life 2022, 12, 1179. https://doi.org/10.3390/life12081179
Ghannam M, Berns M, Salari A, Moore L, Brown K. Symptomatic Vascular Compression of Brainstem May Be Managed Conservatively. Life. 2022; 12(8):1179. https://doi.org/10.3390/life12081179
Chicago/Turabian StyleGhannam, Malik, Meaghen Berns, Apameh Salari, Lisa Moore, and Kevin Brown. 2022. "Symptomatic Vascular Compression of Brainstem May Be Managed Conservatively" Life 12, no. 8: 1179. https://doi.org/10.3390/life12081179
APA StyleGhannam, M., Berns, M., Salari, A., Moore, L., & Brown, K. (2022). Symptomatic Vascular Compression of Brainstem May Be Managed Conservatively. Life, 12(8), 1179. https://doi.org/10.3390/life12081179
