Transbronchial Cryobiopsy Compared to Forceps Biopsy for Diagnosis of Acute Cellular Rejection in Lung Transplants: Analysis of 63 Consecutive Procedures
Abstract
:1. Introduction
2. Methods
2.1. Patient Selection
2.2. Bronchoscopy and Periinterventional Care
2.3. Outcomes
2.4. Statistical Analysis
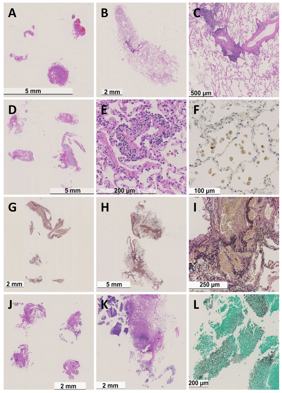
3. Results
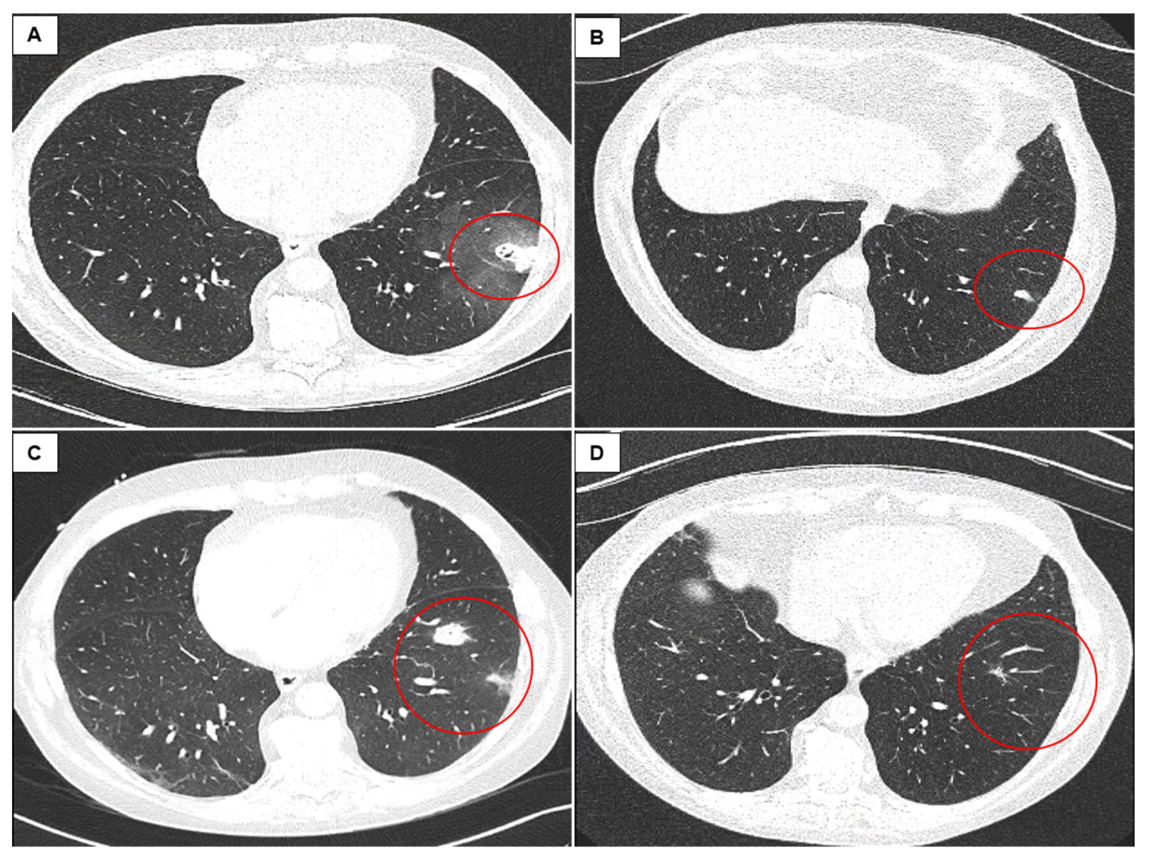
4. Discussion
5. Conclusions
Supplementary Materials
Author Contributions
Funding
Institutional Review Board Statement
Informed Consent Statement
Data Availability Statement
Acknowledgments
Conflicts of Interest
References
- Chambers, D.C.; Cherikh, W.S.; Harhay, M.O.; Hayes, D.; Hsich, E.; Khush, K.K.; Meiser, B.; Potena, L.; Rossano, J.W.; Toll, A.E.; et al. The International Thoracic Organ Transplant Registry of the International Society for Heart and Lung Transplantation: Thirty-sixth adult lung and heart-lung transplantation Report-2019; Focus theme: Donor and recipient size match. J. Heart Lung Transplant. 2019, 38, 1042–1055. [Google Scholar] [CrossRef] [PubMed]
- Verleden, G.M.; Glanville, A.R.; Lease, E.D.; Fisher, A.J.; Calabrese, F.; Corris, P.A.; Ensor, C.R.; Gottlieb, J.; Hachem, R.R.; Lama, V.; et al. Chronic lung allograft dysfunction: Definition, diagnostic criteria, and approaches to treatment-A consensus report from the Pulmonary Council of the ISHLT. J. Heart Lung Transplant. 2019, 38, 493–503. [Google Scholar] [CrossRef] [PubMed] [Green Version]
- Greer, M.; Werlein, C.; Jonigk, D. Surveillance for acute cellular rejection after lung transplantation. Ann. Transl. Med. 2020, 8, 410. [Google Scholar] [CrossRef] [PubMed]
- Kaes, J.; Van Der Borght, E.; Vanstapel, A.; Van Herck, A.; Sacreas, A.; Heigl, T.; Vanaudenaerde, B.M.; Godinas, L.; Van Raemdonck, D.E.; Ceulemans, L.J.; et al. Peripheral Blood Eosinophilia Is Associated with Poor Outcome Post-Lung Transplantation. Cells 2020, 9, 2516. [Google Scholar] [CrossRef] [PubMed]
- Speck, N.E.; Schuurmans, M.M.; Murer, C.; Benden, C.; Huber, L.C. Diagnostic value of plasma and bronchoalveolar lavage samples in acute lung allograft rejection: Differential cytology. Respir. Res. 2016, 17, 74. [Google Scholar] [CrossRef] [PubMed] [Green Version]
- Speck, N.E.; Schuurmans, M.M.; Benden, C.; Robinson, C.A.; Huber, L.C. Plasma and bronchoalveolar lavage samples in acute lung allograft rejection: The potential role of cytokines as diagnostic markers. Respir. Res. 2017, 18, 151. [Google Scholar] [CrossRef] [Green Version]
- Weigt, S.S.; Wang, X.; Palchevskiy, V.; Li, X.; Patel, N.; Ross, D.J.; Reynolds, J.; Shah, P.D.; Danziger-Isakov, L.A.; Sweet, S.C.; et al. Usefulness of gene expression profiling of bronchoalveolar lavage cells in acute lung allograft rejection. J. Hearth Lung Transplant. 2019, 38, 845–855. [Google Scholar] [CrossRef] [Green Version]
- Koutsokera, A. Rethinking bronchoalveolar lavage in acute cellular rejection: How golden is the standard of transbronchial biopsies? J. Heart Lung Transplant. 2019, 38, 856–857. [Google Scholar] [CrossRef] [Green Version]
- Stewart, S.; Fishbein, M.C.; Snell, G.I.; Berry, G.J.; Boehler, A.; Burke, M.M.; Glanville, A.; Gould, F.K.; Magro, C.; Marboe, C.C.; et al. Revision of the 1996 Working Formulation for the Standardization of Nomenclature in the Diagnosis of Lung Rejection. J. Heart Lung Transplant. 2007, 26, 1229–1242. [Google Scholar] [CrossRef]
- Pourabdollah, M.; Shamaei, M.; Karimi, S.; Karimi, M.; Kiani, A.; Jabbari, H.R. Transbronchial lung biopsy: The pathologist’s point of view. Clin. Respir. J. 2016, 10, 211–216. [Google Scholar] [CrossRef]
- Hetzel, J.; Hetzel, M.; Hasel, C.; Moeller, P.; Babiak, A. Old Meets Modern: The Use of Traditional Cryoprobes in the Age of Molecular Biology. Respiration 2008, 76, 193–197. [Google Scholar] [CrossRef] [PubMed]
- Gorenstein, A.; Neel, H.B.; Sanderson, D.R., 3rd. Transbronchoscopic cryosurgery of respiratory structures: Experimental and clinical studies. Ann. Otol. Rhinol. Laryngol. 1976, 85, 670–678. [Google Scholar] [CrossRef] [PubMed]
- Hetzel, J.; Linzenbold, W.; Boesmueller, H.; Enderle, M.; Poletti, V. Evaluation of Efficacy of a New Cryoprobe for Transbronchial Cryobiopsy: A Randomized, Controlled in vivo Animal Study. Respiration 2020, 99, 248–256. [Google Scholar] [CrossRef] [PubMed]
- Ravaglia, C.; Wells, A.U.; Tomassetti, S.; Gurioli, C.; Gurioli, C.; Dubini, A.; Cavazza, A.; Colby, T.V.; Piciucchi, S.; Puglisi, S.; et al. Diagnostic yield and risk/benefit analysis of trans-bronchial lung cryobiopsy in diffuse parenchymal lung diseases: A large cohort of 699 patients. BMC Pulm. Med. 2019, 19, 16. [Google Scholar] [CrossRef] [Green Version]
- Raghu, G.; Remy-Jardin, M.; Myers, J.L.; Richeldi, L.; Ryerson, C.J.; Lederer, D.J.; Behr, J.; Cottin, V.; Danoff, S.K.; Morell, F.; et al. Diagnosis of Idiopathic Pulmonary Fibrosis. An Official ATS/ERS/JRS/ALAT Clinical Practice Guideline. Am. J. Respir. Crit. Care Med. 2018, 198, e44–e68. [Google Scholar] [CrossRef] [PubMed]
- Hetzel, J.; Maldonado, F.; Ravaglia, C.; Wells, A.U.; Colby, T.V.; Tomassetti, S.; Ryu, J.H.; Fruchter, O.; Piciucchi, S.; Dubini, A.; et al. Transbronchial Cryobiopsies for the Diagnosis of Diffuse Parenchymal Lung Diseases: Expert Statement from the Cryobiopsy Working Group on Safety and Utility and a Call for Standardization of the Procedure. Respiration 2018, 95, 188–200. [Google Scholar] [CrossRef] [PubMed]
- Fruchter, O.; Fridel, L.; Rosengarten, O.; Rahman, N.A.-E.; Kramer, M.R. Transbronchial Cryobiopsy in Immunocompromised Patients with Pulmonary Infiltrates: A Pilot Study. Lung 2013, 191, 619–624. [Google Scholar] [CrossRef] [PubMed]
- Hetzel, J.; Eberhardt, R.; Herth, F.J.F.; Petermann, C.; Reichle, G.; Freitag, L.; Dobbertin, I.; Franke, K.J.; Stanzel, F.; Beyer, T.; et al. Cryobiopsy increases the diagnostic yield of endobronchial biopsy: A multicentre trial. Eur. Respir. J. 2011, 39, 685–690. [Google Scholar] [CrossRef] [PubMed] [Green Version]
- Schumann, C.; Hetzel, J.; Babiak, A.J.; Merk, T.; Wibmer, T.; Möller, P.; Lepper, P.M.; Hetzel, M. Cryoprobe biopsy increases the diagnostic yield in endobronchial tumor lesions. J. Thorac. Cardiovasc. Surg. 2010, 140, 417–421. [Google Scholar] [CrossRef] [Green Version]
- Babiak, A.; Hetzel, J.; Krishna, G.; Fritz, P.; Moeller, P.; Balli, T.; Hetzel, M. Transbronchial Cryobiopsy: A New Tool for Lung Biopsies. Respiration 2009, 78, 203–208. [Google Scholar] [CrossRef]
- Mohamed, S.; Mendogni, P.; Tosi, D.; Carrinola, R.; Palleschi, A.; Righi, I.; Vaira, V.; Ferrero, S.; Daffrè, E.; Bonitta, G.; et al. Transbronchial Cryobiopsies in Lung Allograft Recipients for Surveillance Purposes: Initial Results. Transplant. Proc. 2020, 52, 1601–1604. [Google Scholar] [CrossRef] [PubMed]
- Gershman, E.; Ridman, E.; Fridel, L.; Shtraichman, O.; Pertzov, B.; Rosengarten, D.; Rahman, N.A.; Shitenberg, D.; Kramer, M.R. Efficacy and safety of trans-bronchial cryo in comparison with forceps biopsy in lung allograft recipients: Analysis of 402 procedures. Clin. Transplant. 2018, 32, e13221. [Google Scholar] [CrossRef] [PubMed]
- Roden, A.C.; Kern, R.M.; Aubry, M.C.; Jenkins, S.M.; Yi, E.S.; Scott, J.P.; Maldonado, F. Transbronchial Cryobiopsies in the Evaluation of Lung Allografts: Do the Benefits Outweigh the Risks? Arch Pathol. Lab. Med. 2016, 140, 303–311. [Google Scholar] [CrossRef] [PubMed] [Green Version]
- Gershman, E.; Fruchter, O.; Benjamin, F.; Nader, A.R.; Rosengarten, D.; Rusanov, V.; Fridel, L.; Kramer, M.R. Safety of Cryo-Transbronchial Biopsy in Diffuse Lung Diseases: Analysis of Three Hundred Cases. Respiration 2015, 90, 40–46. [Google Scholar] [CrossRef]
- Yarmus, L.; Akulian, J.; Gilbert, C.; Illei, P.; Shah, P.; Merlo, C.; Orens, J.; Feller-Kopman, D. Cryoprobe transbronchial lung biopsy in patients after lung transplantation: A pilot safety study. Chest 2013, 143, 621–626. [Google Scholar] [CrossRef]
- Fruchter, O.; Fridel, L.; Rosengarten, O.; Raviv, Y.; Rosanov, V.; Kramer, M.R. Transbronchial cryo-biopsy in lung transplantation patients: First report. Respirology 2013, 18, 669–673. [Google Scholar] [CrossRef]
- Montero, M.A.; De Gracia, J.; Amigo, M.C.; Mugnier, J.; Álvarez, A.; Berastegui, C.; Villalón, C.O.; Culebras, M. The role of transbronchial cryobiopsy in lung transplantation. Histopathology 2018, 73, 593–600. [Google Scholar] [CrossRef]
- Folch, E.E.; Mahajan, A.K.; Oberg, C.L.; Maldonado, F.; Toloza, E.; Krimsky, W.S.; Oh, S.; Bowling, M.R.; Benzaquen, S.; Kinsey, C.M.; et al. Standardized Definitions of Bleeding After Transbronchial Lung Biopsy: A Delphi Consensus Statement From the Nashville Working Group. Chest 2020, 158, 393–400. [Google Scholar] [CrossRef]
- Takizawa, D.B.; de Castro, C.C.; Paiva, M.A.; Campos, S.V.; Carraro, R.M.; Costa, A.N.; Nascimento, E.C.D.; Samano, M.N.; Teixeira, R.H.D.O.B. Surveillance Bronchoscopy in Lung Transplantation Recipients: A Single Center Experience Analysis. Transplant. Proc. 2020, 52, 1380–1383. [Google Scholar] [CrossRef]
- Valentine, V.G.; Taylor, D.E.; Dhillon, G.S.; Knower, M.T.; McFadden, P.; Fuchs, D.M.; Kantrow, S.P. Success of lung transplantation without surveillance bronchoscopy. J. Hearth Lung Transplant. 2002, 21, 319–326. [Google Scholar] [CrossRef]
- Khush, K.K.; Potena, L.; Cherikh, W.S.; Chambers, D.C.; Harhay, M.O.; Hayes, D.; Hsich, E.; Sadavarte, A.; Singh, T.P.; Zuckermann, A.; et al. The International Thoracic Organ Transplant Registry of the International Society for Heart and Lung Transplantation: 37th adult heart transplantation report-2020; focus on deceased donor characteristics. J. Heart Lung Transplant. 2020, 39, 1003–1015. [Google Scholar] [CrossRef] [PubMed]
- Loor, K.; Pallisa, E.; Culebras, M.; Deu, M.; Álvarez, A.; Sansano, I.; Berastegui, C.; Clofent, D.; Polverino, E.; de Gracia, J. New opacities in lung allograft after transbronchial cryobiopsy. Respir. Med. 2020, 170, 106043. [Google Scholar] [CrossRef] [PubMed]



| Total (N = 63) | |
|---|---|
| Female sex | 28 (44.4) |
| Age | 56.4 ± 8.83 |
| Surveillance bronchoscopy | 46 (73) |
| Days from LTx to bronchoscopy | 211 (IQR 129–389) |
| Pulmonary diseases n | |
| COPD | 40 (63.5) |
| CF | 5 (7.9) |
| Non-CF | 3 (4.8) |
| Vaskulitis | 2 (3.2) |
| IPF | 2 (3.2) |
| NSIP | 5 (7.9) |
| EAA | 5 (7.9) |
| COP | 1 (1.6) |
| Biopsy side right/left | 31/32 (49.2/50.8) |
| Side of LTX bilateral/unilateral | 59/4 (93.7/6.3) |
| Previous anticoagulation drug treatment | 17 (27) |
| Platelet aggregation inhibitor treatment | 7 (11.1) |
| FEV1 (liters and percent predicted) | 2.5 ± 0.9; 81.9 ± 21.1 |
| Diffusion capacity, percent predicted | 71.9 ± 22.7 |
| Thrombocytes count, µl | 277.3 ± 100.8 |
| INR | 1.0 ± 0.1 |
| CB | FB | |
|---|---|---|
| Diagnostic yield for diagnosis of ACR % | 28.6 | 4.8 |
| Grade of ACR | ||
| A0 | 45 (71.4) | 60 (95.2) |
| A1 | 9 (14.3) | 1 (1.6) |
| A2 | 8 (12.7) | 2 (3.2) |
| A3 | 1 (1.6) | 0 |
| A4 | 0 | 0 |
| Diagnostic yield of chronic rejection C1 % | 3.2 | 3.2 |
| Quality of TBB | ||
| Diagnostic | 60 (95.2) | 6 (9.5) |
| Non-diagnostic | 3 (4.8) | 57 (90.5) |
| Specimen | ||
| Size mm | 10.1 ± 7.1 | 2.3 ± 1.8 |
| Number | 1.8 ± 0.6 | 3.2 ± 1.2 |
| CMV Infection | 1 (1.6) | 0 |
| Aspergillus infection | 1 (1.6) | 0 |
| Bleeding Grade | ||
| 0 | 4 (6.3) | |
| 1 | 35 (55.6) | |
| 2 | 23 (36.5) | |
| 3 | 1 (1.6) | |
| 4 | 0 | |
| Pneumothorax (%) | 4 (6.3%) | |
| Pathologists | |||
|---|---|---|---|
| P1 | P2 | P3 | |
| Forceps biopsy | |||
| A0 | 60 (95.2) | 57 (90.5) | 55 (87.3) |
| A1 | 1 (1.6) | 5 (7.9) | 4 (7.9) |
| A2 | 2 (3.2) | 1 (1.6) | 3 (4.8) |
| Crybiopsy | |||
| A0 | 45 (71.4) | 42 (66.7) | 45 (71.4) |
| A1 | 9 (14.3) | 14 (22.2) | 12 (19) |
| A2 | 8 (12.7) | 6 (9.5) | 5 (7.9) |
| A3 | 1 (1.6) | 1 (1.6) | 1 (1.6) |
| Forceps Biopsy | Cryobiopsy | |
|---|---|---|
| All 3 P | 0.54 | 0.54 |
| P1 vs P2 | 0.54 | 0.54 |
| P1 vs P3 | 0.43 | 0.58 |
| P2 vs P3 | 0.69 | 0.67 |
| Complications after Cryobiopsy in Lung Transplants | |||
|---|---|---|---|
| Author, Year | Bleeding | Pneumothorax | No. of Procedures |
| Fruchter, 2013 [23] | 1 (3) | 0 (0) | 40 |
| Yarmus, 2013 [22] | 12 (57) | 1 (5) | 21 |
| Roden, 2016 [20] | 5 (19) | 1 (4) | 27 |
| Gershman, 2018 [19] | 5 (3) | 9 (5) | 201 |
| Loor, 2019 [29] | 24 (8) | 25 (8) | 321 |
| Mohamed, 2020 [18] | 6 (8) | 1(1) | 75 |
| Montero, 2018 [24] | 9 (23) | 5 (13) | 40 |
Publisher’s Note: MDPI stays neutral with regard to jurisdictional claims in published maps and institutional affiliations. |
© 2022 by the authors. Licensee MDPI, Basel, Switzerland. This article is an open access article distributed under the terms and conditions of the Creative Commons Attribution (CC BY) license (https://creativecommons.org/licenses/by/4.0/).
Share and Cite
Steinack, C.; Gaspert, A.; Gautschi, F.; Hage, R.; Vrugt, B.; Soltermann, A.; Schuurmans, M.M.; Franzen, D. Transbronchial Cryobiopsy Compared to Forceps Biopsy for Diagnosis of Acute Cellular Rejection in Lung Transplants: Analysis of 63 Consecutive Procedures. Life 2022, 12, 898. https://doi.org/10.3390/life12060898
Steinack C, Gaspert A, Gautschi F, Hage R, Vrugt B, Soltermann A, Schuurmans MM, Franzen D. Transbronchial Cryobiopsy Compared to Forceps Biopsy for Diagnosis of Acute Cellular Rejection in Lung Transplants: Analysis of 63 Consecutive Procedures. Life. 2022; 12(6):898. https://doi.org/10.3390/life12060898
Chicago/Turabian StyleSteinack, Carolin, Ariana Gaspert, Fiorenza Gautschi, René Hage, Bart Vrugt, Alex Soltermann, Macé Matthew Schuurmans, and Daniel Franzen. 2022. "Transbronchial Cryobiopsy Compared to Forceps Biopsy for Diagnosis of Acute Cellular Rejection in Lung Transplants: Analysis of 63 Consecutive Procedures" Life 12, no. 6: 898. https://doi.org/10.3390/life12060898
APA StyleSteinack, C., Gaspert, A., Gautschi, F., Hage, R., Vrugt, B., Soltermann, A., Schuurmans, M. M., & Franzen, D. (2022). Transbronchial Cryobiopsy Compared to Forceps Biopsy for Diagnosis of Acute Cellular Rejection in Lung Transplants: Analysis of 63 Consecutive Procedures. Life, 12(6), 898. https://doi.org/10.3390/life12060898

