Evaluation of Hemodynamic Changes in Retrobulbar Blood Vessels Using Color Doppler Imaging in Diabetic Patients
Abstract
1. Introduction
2. Materials and Methods
2.1. Study Subjects
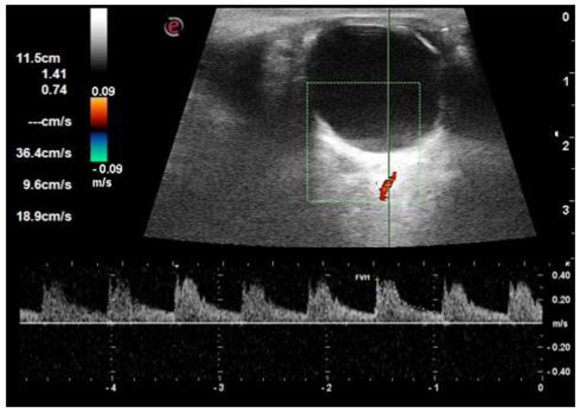
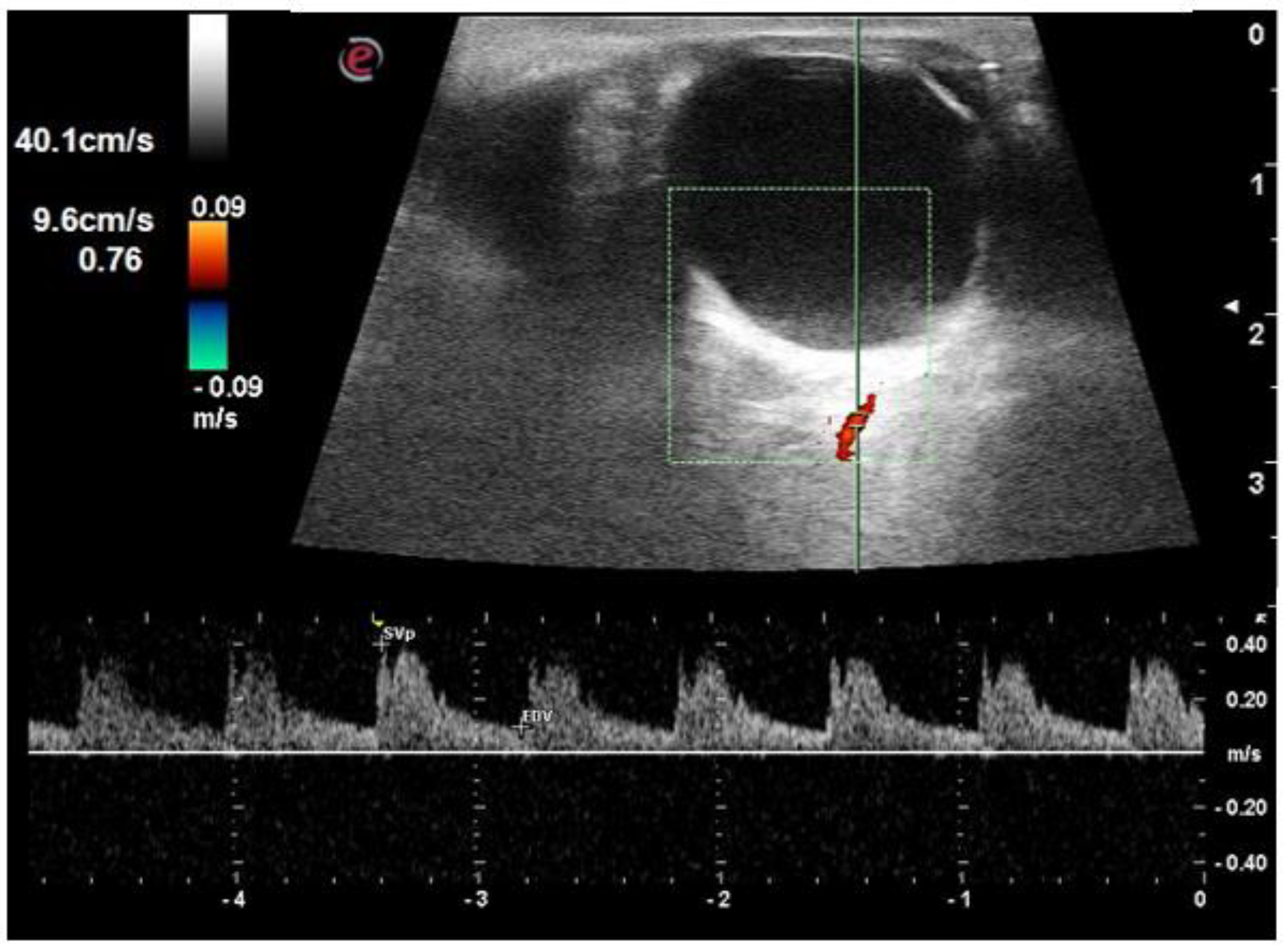
2.2. Study Protocol
2.3. Statistical Analysis
3. Results
4. Discussion
5. Conclusions
Author Contributions
Funding
Institutional Review Board Statement
Informed Consent Statement
Data Availability Statement
Conflicts of Interest
References
- Jeganathan, V.S.E.; Wang, J.J.; Wong, T.Y. Ocular associations of diabetes other than diabetic retinopathy. Diabetes Care 2008, 31, 1905–1912. [Google Scholar] [CrossRef] [PubMed]
- Shrestha, R.K. Ocular manifestations in diabetes, a hospital based prospective study. Nepal. Med. Coll. J. 2011, 13, 254–256. [Google Scholar] [PubMed]
- Kathiara, A.; Patel, R.; Ahir, H. A study on ocular manifestations of diabetes mellitus. J. Res. Med. Dent. Sci. 2015, 3, 143. [Google Scholar] [CrossRef]
- Thapa, R.; Bajimaya, S.; Pradhan, E.; Sharma, S.; Kshetri, B.B.; Paudyal, G. Agreement on grading retinal findings of patients with diabetes using fundus photographs by allied medical personnel when compared to an ophthalmologist at a diabetic retinopathy screening program in nepal. Clin. Ophthalmol. 2020, 14, 2731–2737. [Google Scholar] [CrossRef] [PubMed]
- Steinmetz, J.D.; Bourne, R.R.A.; Briant, P.S.; Flaxman, S.R.; Taylor, H.R.B.; Jonas, J.B.; Abdoli, A.A.; Abrha, W.A.; Abualhasan, A.; Abu-Gharbieh, E.G.; et al. Causes of blindness and vision impairment in 2020 and trends over 30 years, and prevalence of avoidable blindness in relation to VISION 2020: The right to sight: An analysis for the global burden of disease study. Lancet Glob. Health 2021, 9, e144–e160. [Google Scholar] [CrossRef]
- Harris, M.I.; Klein, R.; Welborn, T.A.; Knuiman, M.W. Onset of NIDDM occurs at least 4–7 yr before clinical diagnosis. Diabetes Care 1992, 15, 815–819. [Google Scholar] [CrossRef]
- Güven, D.; Ozdemir, H.; Hasanreisoglu, B. Hemodynamic alterations in diabetic retinopathy. Ophthalmology 1996, 103, 1245–1249. [Google Scholar] [CrossRef]
- Goebel, W.; Lieb, W.E.; Ho, A.; Sergott, R.C.; Farhoumand, R.; Grehn, F. Color Doppler imaging: A new technique to assess orbital blood flow in patients with diabetic retinopathy. Investig. Ophthalmol. Vis. Sci. 1995, 36, 864–870. [Google Scholar]
- Tamaki, Y.; Nagahara, M.; Yamashita, H.; Kikuchi, M. Blood velocity in the ophthalmic artery determined by color Doppler imaging in normal subjects and diabetics. Jpn. J. Ophthalmol. 1993, 37, 385–392. [Google Scholar]
- Gil Hernández, M.A.; Abreu Reyes, P.; Quintero, M.; Ayala, E. Doppler ultrasound in type I diabetes: Preliminary results. Arch. Soc. Esp. Oftalmol. 2001, 76, 175–180. [Google Scholar]
- MacKinnon, J.R.; McKillop, G.; O’Brien, C.; Swa, K.; Butt, Z.; Nelson, P. Colour Doppler imaging of the ocular circulation in diabetic retinopathy. Acta Ophthalmol. Scand. 2000, 78, 386–389. [Google Scholar] [CrossRef] [PubMed]
- Dimitrova, G.; Kato, S.; Tamaki, Y.; Yamashita, H.; Nagahara, M.; Sakurai, M.; Kitano, S.; Fukushima, H. Choroidal circulation in diabetic patients. Eye 2001, 15, 602–607. [Google Scholar] [CrossRef] [PubMed]
- Sullu, Y.; Hamidova, R.; Beden, U.; Yakupov, K.; Canbaz, S.; Danaci, M. Effects of pars plana vitrectomy on retrobulbar haemodynamics in diabetic retinopathy. Clin. Experiment. Ophthalmol. 2005, 33, 246–251. [Google Scholar] [CrossRef] [PubMed]
- Gracner, T. Ocular blood flow velocity determined by color Doppler imaging in diabetic retinopathy. Ophthalmologica 2004, 218, 237–242. [Google Scholar] [CrossRef] [PubMed]
- Arai, T.; Numata, K.; Tanaka, K.; Kiba, T.; Kawasaki, S.; Saito, T.; Satoh, S.; Sekihara, H. Ocular arterial flow hemodynamics in patients with diabetes mellitus. J. Ultrasound Med. 1998, 17, 675–681. [Google Scholar] [CrossRef][Green Version]
- Basturk, T.; Albayrak, R.; Ulas, T.; Akcay, M.; Unsal, A.; Toksoy, M.; Koc, Y. Evaluation of resistive index by color Doppler imaging of orbital arteries in type II diabetes mellitus patients with microalbuminuria. Ren. Fail. 2012, 34, 708–712. [Google Scholar] [CrossRef][Green Version]
- Baydar, S.; Adapinar, B.; Kebapci, N.; Bal, C.; Topbas, S. Colour Doppler ultrasound evaluation of orbital vessels in diabetic retinopathy. Australas. Radiol. 2007, 51, 230–235. [Google Scholar] [CrossRef]
- Kannan, R. India is Home to 77 Million Diabetics, Second Highest in the World. The Hindu, 15 November 2019; 2–7. [Google Scholar]
- Kohner, E.M.; Patel, V.; Rassam, S.M. Role of blood flow and impaired autoregulation in the pathogenesis of diabetic retinopathy. Diabetes 1995, 44, 603–607. [Google Scholar] [CrossRef]
- Schmetterer, L.; Wolzt, M. Ocular blood flow and associated functional deviations in diabetic retinopathy. Diabetologia 1999, 42, 387–405. [Google Scholar] [CrossRef]
- Hansen, N.B.; Stonestreet, B.S.; Rosenkrantz, T.S.; Oh, W. Validity of Doppler measurements of anterior cerebral artery blood flow velocity: Correlation with brain blood flow in piglets. Pediatrics 1983, 72, 526–531. [Google Scholar] [CrossRef]
- Taylor, G.A.; Short, B.L.; Walker, L.K.; Traystman, R.J. Intracranial blood flow: Quantification with duplex Doppler and color Doppler flow US. Radiology 1990, 176, 231–236. [Google Scholar] [CrossRef]
- Nagaoka, T.; Kitaya, N.; Sugawara, R.; Yokota, H.; Mori, F.; Hikichi, T.; Fujio, N.; Yoshida, A. Alteration of choroidal circulation in the foveal region in patients with type 2 diabetes. Br. J. Ophthalmol. 2004, 88, 1060–1063. [Google Scholar] [CrossRef] [PubMed]
- Kim, M.; Ha, M.J.; Choi, S.Y.; Park, Y.H. Choroidal Vascularity Index in Type-2 Diabetes Analyzed by Swept-Source Optical Coherence Tomography. Sci. Rep. 2018, 8, 70. [Google Scholar] [CrossRef] [PubMed]
- Divya, K.; Kanagaraju, V.; Devanand, B.; Jeevamala, C.; Raghuram, A.; Sundar, D. Evaluation of retrobulbar circulation in type 2 diabetic patients using color Doppler imaging. Indian J. Ophthalmol. 2020, 68, 1108–1114. [Google Scholar] [CrossRef] [PubMed]








| Characteristics | Control (n = 50) | Group I (n = 25) | Group II (n = 25) | p-Value |
|---|---|---|---|---|
| Age (years) | 50.7 ± 6.1 | 50.8 ± 4.3 | 53.1 ± 4.7 | 0.177 |
| Duration of diabetes (years) | 6.2 ± 2.5 | 8.4 ± 2.3 | 0.002 | |
| HbA1c (%) | 5.4 ± 0.3 | 8.4 ± 1.2 | 9.9 ± 1.6 | 0.001 |
| PSV of ophthalmic artery (cm/s) | 31.9 ± 2.6 | 32.7 ± 3.0 | 33.8 ± 3.8 | 0.550 |
| EDV of ophthalmic artery (cm/s) | 8.7 ± 0.9 | 8.8 ± 1.6 | 8.3 ± 1.3 | 0.240 |
| RI of ophthalmic artery | 0.72 ± 0.02 | 0.73 ± 0.03 | 0.75 ± 0.03 | <0.001 |
| PSV of central retinal artery (cm/s) | 16.1 ± 1.9 | 15.8 ± 3.1 | 14.2 ± 2.7 | 0.010 |
| EDV of central retinal artery (cm/s) | 5.1 ± 0.7 | 4.8 ± 1.1 | 3.9 ± 1.0 | <0.001 |
| RI of central retinal artery | 0.68 ± 0.03 | 0.69 ± 0.03 | 0.72 ± 0.04 | <0.001 |
| PSV short posterior ciliary arteries (cm/s) | 19.1 ± 2.5 | 18.0 ± 4.2 | 16.7 ± 4.9 | 0.030 |
| EDV short posterior ciliary arteries (cm/s) | 5.9 ± 0.7 | 5.1 ± 1.3 | 4.3 ± 1.0 | <0.001 |
| RI short posterior ciliary arteries | 0.69 ± 0.03 | 0.71 ± 0.03 | 0.73 ± 0.5 | <0.001 |
Publisher’s Note: MDPI stays neutral with regard to jurisdictional claims in published maps and institutional affiliations. |
© 2022 by the authors. Licensee MDPI, Basel, Switzerland. This article is an open access article distributed under the terms and conditions of the Creative Commons Attribution (CC BY) license (https://creativecommons.org/licenses/by/4.0/).
Share and Cite
Madhpuriya, G.; Gokhale, S.; Agrawal, A.; Nigam, P.; Wan, Y.-L. Evaluation of Hemodynamic Changes in Retrobulbar Blood Vessels Using Color Doppler Imaging in Diabetic Patients. Life 2022, 12, 629. https://doi.org/10.3390/life12050629
Madhpuriya G, Gokhale S, Agrawal A, Nigam P, Wan Y-L. Evaluation of Hemodynamic Changes in Retrobulbar Blood Vessels Using Color Doppler Imaging in Diabetic Patients. Life. 2022; 12(5):629. https://doi.org/10.3390/life12050629
Chicago/Turabian StyleMadhpuriya, Gulshan, Sudheer Gokhale, Alka Agrawal, Prakhar Nigam, and Yung-Liang Wan. 2022. "Evaluation of Hemodynamic Changes in Retrobulbar Blood Vessels Using Color Doppler Imaging in Diabetic Patients" Life 12, no. 5: 629. https://doi.org/10.3390/life12050629
APA StyleMadhpuriya, G., Gokhale, S., Agrawal, A., Nigam, P., & Wan, Y.-L. (2022). Evaluation of Hemodynamic Changes in Retrobulbar Blood Vessels Using Color Doppler Imaging in Diabetic Patients. Life, 12(5), 629. https://doi.org/10.3390/life12050629

