Sign in to use this feature.

Years

Between: -

Subjects

remove_circle_outline
remove_circle_outline
remove_circle_outline
remove_circle_outline
remove_circle_outline
remove_circle_outline
remove_circle_outline
remove_circle_outline
remove_circle_outline

Journals

remove_circle_outline
remove_circle_outline
remove_circle_outline
remove_circle_outline
remove_circle_outline
remove_circle_outline
remove_circle_outline
remove_circle_outline
remove_circle_outline
remove_circle_outline
remove_circle_outline
remove_circle_outline
remove_circle_outline
remove_circle_outline
remove_circle_outline
remove_circle_outline
remove_circle_outline
remove_circle_outline
remove_circle_outline
remove_circle_outline
remove_circle_outline
remove_circle_outline
remove_circle_outline
remove_circle_outline
remove_circle_outline
remove_circle_outline
remove_circle_outline
remove_circle_outline
remove_circle_outline
remove_circle_outline
remove_circle_outline
remove_circle_outline
remove_circle_outline

Article Types

Countries / Regions

remove_circle_outline
remove_circle_outline
remove_circle_outline
remove_circle_outline
remove_circle_outline
remove_circle_outline
remove_circle_outline
remove_circle_outline

Search Results (4,010)

Search Parameters:
Keywords = hemodynamic

Order results
Result details
Results per page
Select all
Export citation of selected articles as:
20 pages, 677 KB  
Review
Heart Failure Therapies and Renal Effects: A Critical Reevaluation of Clinical Data
by Edoardo Gronda, Massimo Iacoviello, Alberto Palazzuoli, Stefano Carugo, Arduino Arduini, Domenico Gabrielli and Luigi Tavazzi
J. CardioRenal Med. 2026, 2(1), 5; https://doi.org/10.3390/jcrm2010005 - 18 Mar 2026
Abstract
Background: Recent advancements in heart failure (HF) therapy have significantly enhanced the management of patients across all phenotypes of left ventricular ejection fraction. However, these multidrug regimens frequently induce alterations in renal function by influencing intrarenal hemodynamics, thereby modifying glomerular capillary pressure. This [...] Read more.
Background: Recent advancements in heart failure (HF) therapy have significantly enhanced the management of patients across all phenotypes of left ventricular ejection fraction. However, these multidrug regimens frequently induce alterations in renal function by influencing intrarenal hemodynamics, thereby modifying glomerular capillary pressure. This phenomenon could result in a mild to moderate decline in estimated glomerular filtration rate (eGFR), often classified as “worsening kidney function.” This nomenclature stems from consistent observations of eGFR reductions recorded during HF treatment in clinical trials. This narrative review aims to elucidate why the observed eGFR declines in clinical practice may represent either loss of functioning glomeruli or pharmacologically mediated reductions in intraglomerular pressure that ultimately safeguards long-term renal and cardiovascular outcomes. Methods: By a comprehensive re-examination of data from HF clinical trials conducted with various classes of medications, all affecting eGFR, we sought to provide evidence that the decline in eGFR is associated with the activation of specific mechanisms that collectively contribute to a reduction in glomerular filtration pressure, a prominent factor in maladaptive neurohormonal responses. Results: From the investigation of angiotensin-converting enzyme inhibitors to the more recent non-steroidal mineralocorticoid receptor antagonist, the renal effects of these therapeutic regimens correlate with improvements in patient outcomes. The data consistently indicate that an early decline in eGFR, when coupled with an enhancement in HF outcomes, is associated with a more gradual decline in eGFR during long-term follow-up. Conclusions: Clinicians should recognize early declines in eGFR as indicators of favorable intraglomerular hemodynamic adjustments that mitigate maladaptive neurohormonal responses and contribute to improved long-term outcomes in patients with HF. Full article
Show Figures

Figure 1

18 pages, 4776 KB  
Article
A Comprehensive Study of Xenon Anesthesia in Patients with Locally Advanced Gastric Cancer: A Single-Center Study
by Natalia Yunusova, Vladimir Faltin, Dmitry Svarovsky, Olga Cheremisina, Elena E. Sereda, Alexandra Augustinovich, Evgeny Usynin, Marina Stakheyeva, Gelena Kakurina, Marina Vusik, Natalia Popova, Viktoria Velikaya and Sergey Afanasiev
Med. Sci. 2026, 14(1), 146; https://doi.org/10.3390/medsci14010146 - 18 Mar 2026
Abstract
Objective: The objective of this study was to choose the optimal anesthesia method for gastric cancer patients undergoing surgery with lymph node dissection. Materials and Methods: The study included 53 patients with stage T1-4aN0-3M0 gastric cancer, who underwent radical surgery with xenon and [...] Read more.
Objective: The objective of this study was to choose the optimal anesthesia method for gastric cancer patients undergoing surgery with lymph node dissection. Materials and Methods: The study included 53 patients with stage T1-4aN0-3M0 gastric cancer, who underwent radical surgery with xenon and dexmedetomidine (DMM) anesthesia in combination with epidural analgesia (main group, 27 patients) or with sevorflurane anesthesia in combination with epidural analgesia (comparison group, 26 patients). All patients underwent monitoring of hemodynamic parameters, blood coagulation system, thromboelastometry, and inflammation and metabolic parameters (interleukins, hormones and glucose levels), with an assessment of complications according to the Clavien-Dindo classification and the intensity of postoperative pain. Results: Awakening and extubation times, narcotic analgesic consumption, and Numeric Rating Scale pain scores were lower in the xenon + DMM group than in the sevoflurane group (p < 0.05). The overall number of patients experiencing complications did not differ significantly between anesthesia types; however, significant differences were found in the total number of complications (p = 0.003), the number of complications according to Clavien-Dindo I (p = 0.043) and II (p = 0.019), and the incidence of postoperative nausea and vomiting (p = 0.042). Conclusions: The BIS monitoring data obtained showed a sufficient level of anesthesia depth during surgery in both groups; however, post-anesthesia depression persisted longer in patients in sevoflurane group. Mathematical models for predicting Clavien-Dindo IIIb-V complications and severe postoperative pain syndrome are characterized by high sensitivity and specificity. They include simple clinical and laboratory parameters as well as type of anesthesia as predictors. The limitations of predictive models are also discussed in the article. Full article
Show Figures

Figure 1

20 pages, 1020 KB  
Review
The Brain–Atrial Fibrillation–Recent Rehabilitation Axis: A Modern Approach
by Aleksandra Maria Piotrowska, Kamil Salwa, Karol Kazirod-Wolski and Janusz Sielski
Healthcare 2026, 14(6), 765; https://doi.org/10.3390/healthcare14060765 - 18 Mar 2026
Abstract
Atrial fibrillation (AF) is the most common sustained cardiac arrhythmia and a major contributor to ischemic stroke, heart failure, hospitalization, and mortality. AF-related strokes account for approximately 20–30% of all ischemic strokes and are typically associated with more severe neurological deficits and poorer [...] Read more.
Atrial fibrillation (AF) is the most common sustained cardiac arrhythmia and a major contributor to ischemic stroke, heart failure, hospitalization, and mortality. AF-related strokes account for approximately 20–30% of all ischemic strokes and are typically associated with more severe neurological deficits and poorer long-term outcomes. As the prevalence of AF continues to rise with population aging, optimizing both stroke prevention and post-stroke management has become increasingly important. This narrative review summarizes current evidence on AF in the context of ischemic stroke, with particular emphasis on anticoagulation, acute stroke management, and early neurorehabilitation. Special attention is given to the unique challenges of AF-associated stroke, including hemodynamic instability, recurrent embolic risk, bleeding risk during anticoagulation, and the need for individualized rehabilitation strategies. We also discuss interdisciplinary care models, including the Hemodynamic Gating Matrix and the Heart–Brain Team approach, as potential frameworks for integrating cardiovascular and neurological management during recovery. AF-related stroke requires coordinated care across cardiology, neurology, and rehabilitation medicine. A physiology-guided and interdisciplinary approach may improve functional recovery while maintaining cardiovascular safety in this high-risk population. Full article
Show Figures

Figure 1

17 pages, 556 KB  
Article
Intraoperative High-Volume Diuresis During Off-Pump Coronary Artery Bypass Grafting: Risk Factors and Clinical Impact
by Yuxi Hou, Fangyi Luo, Shuwen Li, Fei Cai and Jun Ma
J. Clin. Med. 2026, 15(6), 2331; https://doi.org/10.3390/jcm15062331 - 18 Mar 2026
Abstract
Background: Intraoperative high-volume diuresis is a common but under-recognized phenomenon during off-pump coronary artery bypass grafting (OPCABG). Its clinical correlates and implications for perioperative management remain incompletely characterized. Methods: This single-center retrospective cohort study included 1274 adults undergoing elective OPCABG between January and [...] Read more.
Background: Intraoperative high-volume diuresis is a common but under-recognized phenomenon during off-pump coronary artery bypass grafting (OPCABG). Its clinical correlates and implications for perioperative management remain incompletely characterized. Methods: This single-center retrospective cohort study included 1274 adults undergoing elective OPCABG between January and August 2025. High-volume diuresis was defined as urine output ≥ 5 mL·kg−1·h−1. Multivariable logistic regression was used to identify factors independently associated with intraoperative high-volume diuresis. Model discrimination was assessed using the area under the receiver operating characteristic curve (AUC). Results: High-volume diuresis occurred in 39.6% of patients. Older age, hypertension and greater intraoperative fluid infusion were independently associated with high-volume diuresis, whereas preoperative diuretic and greater cumulative exposure to systolic blood pressure < 100 mmHg were inversely associated with diuresis. The multivariable model demonstrated acceptable discrimination (AUC = 0.756). Postoperative outcomes, including acute kidney injury, duration of mechanical ventilation, intensive care unit stay, and hospital length of stay, did not differ between groups. Conclusions: Intraoperative high-volume diuresis during OPCABG reflects complex physiological and hemodynamic responses and can be anticipated based on preoperative and intraoperative factors. These findings support a more individualized interpretation of urine output and perioperative management strategies in OPCABG. Full article
Show Figures

Figure 1

22 pages, 1068 KB  
Review
Prosthetic Heart Valves and Particle Image Velocimetry—A Review
by Ruihang Zhang, Mashrur Muntasir Nuhash, A B M Nazmus Salehin Nahid and Chayton D. Borman
Prosthesis 2026, 8(3), 32; https://doi.org/10.3390/prosthesis8030032 - 18 Mar 2026
Abstract
Heart valve prostheses play a key role in regulating the normal cardiac function for patients with valvular diseases, yet even slight alterations in their flow dynamics can result in serious physiological consequences. This paper provides an overview of in vitro studies using Particle [...] Read more.
Heart valve prostheses play a key role in regulating the normal cardiac function for patients with valvular diseases, yet even slight alterations in their flow dynamics can result in serious physiological consequences. This paper provides an overview of in vitro studies using Particle Image Velocimetry (PIV) to investigate the hemodynamics of heart valve prostheses. We first trace the historical evolution of prosthetic valve designs and highlight key milestones in their development. Key experimental considerations for PIV apparatus design are summarized. Subsequently, we review major in vitro PIV studies that have enhanced understanding of prosthetic valve hemodynamics, including flow patterns, turbulence characteristics, and flow–structure interactions. Finally, we outline current challenges and propose future research recommendations, highlighting the potential of integrating advanced PIV methods with high-fidelity imaging for improved assessment of prosthetic valve performances. Overall, the study of heart valve prostheses remains inherently complex due to the multiscale nature of hemodynamic phenomena. Recent advances in experimental fluid mechanics, particularly PIV, have significantly enhanced the ability to visualize and quantify the hemodynamics of prosthetic valves, providing valuable insights for optimizing design and improving the durability of next-generation valve prostheses. Full article
Show Figures

Figure 1

17 pages, 506 KB  
Article
Inflammation and Thrombophilia Markers in Supra-Aortic Takayasu Arteritis-Associated Stroke: A Digital Subtraction Angiography-Based Case Control Study
by Ebru Marzioglu Ozdemir and Gokhan Ozdemir
J. Clin. Med. 2026, 15(6), 2308; https://doi.org/10.3390/jcm15062308 - 18 Mar 2026
Abstract
Background/Objectives: Takayasu arteritis is an important non-atherosclerotic cause of ischemic stroke in young adults. However, the relative contribution of systemic inflammation, inherited thrombophilia, and supra-aortic hemodynamic impairment to cerebrovascular events in these patients remains insufficiently defined. This study aimed to evaluate the [...] Read more.
Background/Objectives: Takayasu arteritis is an important non-atherosclerotic cause of ischemic stroke in young adults. However, the relative contribution of systemic inflammation, inherited thrombophilia, and supra-aortic hemodynamic impairment to cerebrovascular events in these patients remains insufficiently defined. This study aimed to evaluate the relative impact of systemic inflammatory activity, hereditary and acquired thrombophilia markers, and supra-aortic vascular involvement on cerebrovascular ischemic events in patients with digital subtraction angiography (DSA) confirmed supra-aortic Takayasu arteritis. Methods: A retrospective cross-sectional analysis was conducted in consecutively evaluated patients with non-atherosclerotic inflammatory stenosis or occlusion of the carotid, subclavian, or vertebral arteries confirmed by digital subtraction angiography. Age- and sex-matched hospital-based individuals without autoimmune, thrombotic, or cerebrovascular diseases served as controls. Laboratory assessments including erythrocyte sedimentation rate, lipoprotein(a), homocysteine, antinuclear antibody, rheumatoid factor, antiphospholipid antibodies, and a hereditary thrombophilia panel were obtained 4–6 weeks after clinical presentation during a stable clinical phase. Results: Among 46 patients with Takayasu arteritis, 21 patients presented with ischemic stroke. The stroke-positive subgroup demonstrated higher inflammatory activity and a slightly greater prevalence of supra-aortic occlusive lesions, particularly involving the common carotid, internal carotid, and subclavian arteries. Although lipoprotein(a) levels showed statistical differences between groups, mean values remained within reference ranges and were not clinically elevated. The distribution of hereditary thrombophilia variants and the prevalence of elevated homocysteine levels did not differ significantly between groups. Clinical outcomes were favorable overall, with no mortality and functional independence achieved in the majority of stroke-positive patients. Conclusions: These findings suggest that systemic inflammation and supra-aortic hemodynamic impairment may play a more prominent role than inherited thrombophilia in the development of cerebrovascular ischemic events in patients with Takayasu arteritis. Selective rather than routine thrombophilia testing may therefore be appropriate in selected clinical contexts, while careful control of inflammatory activity and continuous vascular monitoring remain essential components of management. Full article
(This article belongs to the Section Clinical Neurology)
Show Figures

Figure 1

21 pages, 3280 KB  
Review
Infective Endocarditis in Perceval Sutureless Valves: Incidence, Diagnostic Challenges, and Management: An Expert Opinion Review
by Pau Rello, Lluís Admella Severiano, Arwa Mehmood Wahid, Javier Iglesias-Varea, Joan Roig-Sanchis, Remedios Ríos Barrera, Cristina Kirkegaard-Biosca, Carlota María Vigil-Escalera López, Nuria Vallejo-Camazón, María Nazarena Pizzi, Albert Roque and Nuria Fernández-Hidalgo
Diagnostics 2026, 16(6), 891; https://doi.org/10.3390/diagnostics16060891 - 17 Mar 2026
Abstract
Sutureless aortic bioprostheses have become an established alternative for surgical aortic valve replacement, particularly in elderly and high-risk patients. The Perceval (Livanova) valve, the most widely studied sutureless device, offers favorable hemodynamic performance and reduced operative times but introduces specific challenges when prosthetic [...] Read more.
Sutureless aortic bioprostheses have become an established alternative for surgical aortic valve replacement, particularly in elderly and high-risk patients. The Perceval (Livanova) valve, the most widely studied sutureless device, offers favorable hemodynamic performance and reduced operative times but introduces specific challenges when prosthetic valve endocarditis (PVE) occurs. Although the incidence of Perceval PVE is low and comparable to that of conventional bioprostheses, this complication is associated with substantial morbidity and mortality. Diagnosis is often complex due to acoustic shadowing on echocardiography, making multimodality imaging with transesophageal echocardiography, cardiac computed tomography, and [18F]-FDG PET/CT essential. Microbiological profiles resemble those of other biological prostheses, but perivalvular extension and early mechanical instability are frequent. Management follows general PVE principles but often requires early surgical intervention because of the valve’s reliance on radial fixation. This review summarizes current evidence on epidemiology, microbiology, diagnostic strategies, treatment, and prognosis of endocarditis involving the Perceval valve, and identifies areas for future research. Full article
(This article belongs to the Special Issue Infective Endocarditis in Cardiac Prosthesis and Devices)
Show Figures

Figure 1

20 pages, 1625 KB  
Article
The Biological Cost of Every Heartbeat: Imaging-Derived Cardiovascular Vulnerability in Infective Endocarditis
by Corina-Ioana Anton, Rareș Constantin Ranetti and Adrian Streinu-Cercel
Int. J. Mol. Sci. 2026, 27(6), 2733; https://doi.org/10.3390/ijms27062733 - 17 Mar 2026
Abstract
Biological cardiovascular vulnerability is defined as an imaging-derived construct integrating myocardial functional impairment, coronary microvascular dysfunction, and modeled hemodynamic burden, including global longitudinal strain, coronary flow reserve, and derived vascular indices. To evaluate whether advanced echocardiographic and coronary Doppler imaging parameters identify biological [...] Read more.
Biological cardiovascular vulnerability is defined as an imaging-derived construct integrating myocardial functional impairment, coronary microvascular dysfunction, and modeled hemodynamic burden, including global longitudinal strain, coronary flow reserve, and derived vascular indices. To evaluate whether advanced echocardiographic and coronary Doppler imaging parameters identify biological cardiovascular vulnerability associated with the severity and complications of infective endocarditis beyond conventional structural findings. In this retrospective single-center cohort study, we analyzed consecutive patients with definite infective endocarditis who underwent advanced echocardiographic and coronary Doppler imaging. Comprehensive transthoracic and transesophageal echocardiography assessed vegetation characteristics, left ventricular function, global longitudinal strain (GLS), diastolic indices, right ventricular function, and pulmonary artery systolic pressure. Coronary microvascular function was evaluated noninvasively using transthoracic Doppler-derived coronary flow reserve (CFR) of the left anterior descending artery. Associations with disease severity and perivalvular complications were evaluated using multivariable regression analysis. Reduced coronary flow reserve was independently associated with the composite severe infective endocarditis phenotype, as defined by perivalvular complications, severe valvular dysfunction, or endocarditis team-guided urgent surgical indication. Coronary flow reserve correlated inversely with vegetation size (r = −0.39; p = 0.002) and regurgitation severity (r = −0.36; p = 0.004). Notably, the inverse association between coronary flow reserve and vegetation size showed substantial interindividual variability, particularly among patients with similar vegetation dimensions, suggesting heterogeneity in microvascular vulnerability beyond structural lesion burden. Despite relatively preserved mean arterial pressure across age groups, advanced imaging revealed progressive increases in systemic vascular resistance, declining wall shear stress, impaired microvascular flow, and reduced myocardial reserve. Imaging-derived cardiovascular vulnerability profiles frequently diverged from chronological age, highlighting heterogeneity in cardiovascular reserve despite apparently stable conventional hemodynamic parameters. Advanced echocardiographic and coronary Doppler imaging characterize a spectrum of biological cardiovascular vulnerability that is associated with clinically adjudicated severity in infective endocarditis, rather than serving as independent prognostic predictors. Full article
(This article belongs to the Special Issue Cardiovascular Research: From Molecular Mechanisms to Novel Therapies)
Show Figures

Figure 1

23 pages, 20132 KB  
Article
Utility of Computational Modeling in Reassessing the Threshold for Intervention and Progression into Type A Aortic Dissection
by Mohammad Al-Rawi, Eric T. A. Lim, Manar Khashram and William J. Yoon
Biomedicines 2026, 14(3), 696; https://doi.org/10.3390/biomedicines14030696 - 17 Mar 2026
Abstract
Background: Assessing aortic dissection (AD) in its early stages is crucial for cardiovascular surgeons to improve patient outcomes and avoid complications associated with surgical intervention for type A aortic dissection. Initial evaluations rely on patient referrals for computed tomography (CT) scans, which involve [...] Read more.
Background: Assessing aortic dissection (AD) in its early stages is crucial for cardiovascular surgeons to improve patient outcomes and avoid complications associated with surgical intervention for type A aortic dissection. Initial evaluations rely on patient referrals for computed tomography (CT) scans, which involve measuring the maximum aortic diameter. Objective: This study aimed to improve current diagnostic thresholds for type A aortic dissection by using computational fluid dynamics (CFD) modeling to correlate hemodynamic factors related to the wall shear stress with maximum aortic diameter growth rate, offering insights into predicting AD progression and reassessing current diameter-based diagnostic criteria. Methods: The pre- and post-AD scan data, with an average duration of three and a half years for the 15 patients, were converted into 3D geometries. These geometries were analyzed using the transitional-turbulent CFD model. Wall shear stress (WSS), its derivatives, and the pressure gradient from the pre-AD CT scans were compared across 15 patients, grouped according to the aortic diameter growth per year. Results: For patients in group 1 (nine patients with normal diagnosis), pre-AD time-average wall shear stress (TAWSS) was mostly 2–4 Pa, above physiologic levels. Post-AD, values dropped below 1.5 Pa (stagnant, thrombus-prone), with oscillatory shear index (OSI) elevated (0.24–0.32). In group 2 (n = 6, abnormal diagnosis), post-AD TAWSS was <3 Pa (thrombosis risk), with OSI 0.1–0.31 near tear sites. These findings confirm a dual-risk profile: low TAWSS promotes thrombosis, while high TAWSS drives dissection progression. Conclusions: WSS parameters, such as TAWSS and OSI, can be utilized to assess the development of a dilated ascending aorta, especially for extreme maximum aortic diameter. Pre-AD analysis for some patients revealed a strong negative correlation, indicating that high shear stress in the true lumen (TL) results in a drop in diastolic pressure post-AD at the upward-going section of the aorta. Full article
(This article belongs to the Section Biomedical Engineering and Materials)
Show Figures

Figure 1

15 pages, 1228 KB  
Case Report
Isolated Blunt Pancreatic Head Injury with Evolving Acute Peripancreatic Fluid Collection in a Child Successfully Managed Conservatively
by Dumitru Marius Dănilă, Cristina-Mihaela Popescu, Irina Profir, Ada Ștefănescu and Gabriela Gurău
Pediatr. Rep. 2026, 18(2), 42; https://doi.org/10.3390/pediatric18020042 - 17 Mar 2026
Abstract
Background: Pancreatic trauma (PT) in children is rare and associated with significant morbidity. The optimal form of management—operative versus non-operative—remains controversial, particularly in the presence of acute post-traumatic peripancreatic fluid collection, which may later evolve into pancreatic pseudocysts. Isolated pancreatic injuries without [...] Read more.
Background: Pancreatic trauma (PT) in children is rare and associated with significant morbidity. The optimal form of management—operative versus non-operative—remains controversial, particularly in the presence of acute post-traumatic peripancreatic fluid collection, which may later evolve into pancreatic pseudocysts. Isolated pancreatic injuries without associated organ damage are uncommon and pose diagnostic and therapeutic challenges. Case Presentation: We report a 5-year-old boy who sustained an isolated grade IB blunt pancreatic head contusion following blunt abdominal trauma after falling onto a wooden fence. He presented with epigastric pain, repeated emesis, and an abdominal wall bruise. Initial ultrasound (US) findings were subtle; however, serial imaging and contrast-enhanced computed tomography (CECT) revealed focal contusion of the pancreatic head/uncinate process with a small peripancreatic fluid collection. Pancreatic enzymes were markedly elevated, with peak serum lipase reaching approximately 6579 U/L. The child remained hemodynamically stable and was managed conservatively with bowel rest, intravenous fluids, octreotide, proton-pump inhibition, pancreatic enzyme replacement therapy (PERT), and antibiotics. Serial US demonstrated the dynamic evolution of an acute peripancreatic fluid collection (APFC) (~2 cm), which remained stable without complications. Clinical and biochemical parameters gradually improved, and no invasive intervention was required. The patient was discharged on hospital day 16 with planned outpatient imaging follow-up. Conclusions: This case demonstrates that isolated pediatric pancreatic contusions complicated by small, evolving peripancreatic fluid collections can be safely managed non-operatively in hemodynamically stable patients. Serial ultrasound plays a key role in monitoring lesion evolution and guiding management decisions. In accordance with current pediatric trauma guidelines, careful observation with structured follow-up may prevent unnecessary invasive interventions while achieving excellent clinical outcomes. Full article
Show Figures

Figure 1

20 pages, 974 KB  
Review
Acute Kidney Injury in Acute Heart Failure Revisited: Marker of Cardiorenal Disease Severity Rather Than Isolated Renal Injury
by Georgios Aletras, Maria Bachlitzanaki, Maria Stratinaki, Ioannis Petrakis, Yannis Pantazis, Emmanuel Foukarakis, Michalis Hamilos and Kostas Stylianou
Life 2026, 16(3), 486; https://doi.org/10.3390/life16030486 - 17 Mar 2026
Abstract
Background: Renal function deterioration during hospitalization for acute heart failure (AHF) is common and is traditionally classified as acute kidney injury (AKI) or worsening renal function (WRF) based on changes in serum creatinine (Cr). However, Cr-based definitions may inadequately reflect the complex [...] Read more.
Background: Renal function deterioration during hospitalization for acute heart failure (AHF) is common and is traditionally classified as acute kidney injury (AKI) or worsening renal function (WRF) based on changes in serum creatinine (Cr). However, Cr-based definitions may inadequately reflect the complex cardiorenal interactions occurring in AHF. Purpose: This narrative review summarizes and compares definitions of AKI and WRF used in AHF, evaluates their prognostic significance, and explores whether renal function deterioration should be interpreted as a marker of cardiorenal disease severity rather than isolated kidney injury. Methods: A narrative review of randomized trials, observational studies, post hoc analyses, and meta-analyses was conducted, focusing on Cr-based and nephrology-derived AKI definitions (RIFLE, AKIN, KDIGO), timing and baseline selection, congestion status, and the role of biomarkers and imaging in clinical interpretation. Results: The most widely used definition of WRF is an absolute increase in serum Cr ≥ 0.3 mg/dL. Multiple studies demonstrate that such changes frequently occur during effective decongestion and are not independently associated with adverse outcomes in the absence of residual congestion. In contrast, persistent congestion, impaired diuretic response, reduced renal reserve, and advanced cardiorenal comorbidity consistently predict worse prognosis. Nephrology-derived AKI definitions identify higher-risk patients but incompletely account for the hemodynamic and therapeutic context of AHF. Conclusions: In AHF, AKI and WRF often act as markers of underlying cardiorenal disease severity rather than direct indicators of irreversible kidney injury. Interpretation of renal function deterioration should be contextual, integrating congestion status, perfusion, renal reserve, and dynamic response to therapy. Achieving effective and complete decongestion remains the primary therapeutic objective in AHF, even in the presence of transient Cr increases. Full article
(This article belongs to the Special Issue Cardiorenal Disease: Pathogenesis, Diagnosis, and Treatments)
Show Figures

Figure 1

17 pages, 306 KB  
Review
SGLT2 Inhibitors After Myocardial Infarction: Evidence, Mechanisms and Gaps in Knowledge
by Angela Buonpane, Marco Ciardetti, Giancarlo Trimarchi, Giancarla Scalone, Michele Alessandro Coceani, Luigi Emilio Pastormerlo, Federica Marchi, Umberto Paradossi, Sergio Berti, Claudio Passino and Alberto Ranieri De Caterina
J. Clin. Med. 2026, 15(6), 2260; https://doi.org/10.3390/jcm15062260 - 16 Mar 2026
Abstract
Sodium–glucose cotransporter 2 inhibitors (SGLT2is) have revolutionized the treatment of heart failure and are now established as disease-modifying therapies across the spectrum of left ventricular ejection fraction. More recently, these agents have been evaluated in the early post-acute myocardial infarction (AMI) setting, raising [...] Read more.
Sodium–glucose cotransporter 2 inhibitors (SGLT2is) have revolutionized the treatment of heart failure and are now established as disease-modifying therapies across the spectrum of left ventricular ejection fraction. More recently, these agents have been evaluated in the early post-acute myocardial infarction (AMI) setting, raising interest in their potential role beyond heart failure prevention. Evidence from post-AMI randomized trials and contemporary meta-analyses consistently shows neutral effects on ischemic coronary outcomes, despite favorable effects on heart failure-related endpoints, ventricular remodeling, and cardiometabolic parameters. At the same time, data from experimental and translational research provide a biological framework in which SGLT2i exert anti-atherogenic effects through multiple complementary mechanisms, including improvement of cardiometabolic risk factors, attenuation of vascular and systemic inflammation, modulation of endothelial function, regulation of vascular smooth muscle cell behavior, macrophage inflammatory polarization, inhibition of inflammasome signaling, and modulation of the perivascular adipose tissue–vascular interface. Taken together, the available evidence highlights a dissociation between clinical trial outcomes in the early post-AMI phase and the underlying vascular biology associated with SGLT2 inhibition. While the dominant early clinical effects of SGLT2i appear to relate to hemodynamic and heart failure-preventive mechanisms, their potential impact on atherosclerotic disease may be more gradual and context-dependent. This review summarizes current clinical and mechanistic evidence supporting this interpretation and discusses the implications for understanding the role of SGLT2i in patients after AMI. Full article
Show Figures

Graphical abstract

8 pages, 1669 KB  
Case Report
Selection of Recipient Vessels in Double-Barrel STA-MCA Bypass Surgery with the Assistance of Intraoperative ICG Fluorescence: A Case Report and Review of the Literature
by Stefanie Bauer, Timo Kahles, Michael Diepers, Gerrit A. Schubert, Lukas Andereggen and Serge Marbacher
Brain Sci. 2026, 16(3), 316; https://doi.org/10.3390/brainsci16030316 - 16 Mar 2026
Abstract
Background/Objectives: Selection of the optimal recipient artery in superficial temporal artery to middle cerebral artery (STA–MCA) extracranial–intracranial bypass surgery is essential to ensure adequate cerebral perfusion. Various pre- and intraoperative tools for target vessel selection have been proposed. Indocyanine green fluorescence video angiography [...] Read more.
Background/Objectives: Selection of the optimal recipient artery in superficial temporal artery to middle cerebral artery (STA–MCA) extracranial–intracranial bypass surgery is essential to ensure adequate cerebral perfusion. Various pre- and intraoperative tools for target vessel selection have been proposed. Indocyanine green fluorescence video angiography (ICG-VA) enables real-time visualization of cerebral hemodynamics, facilitating recipient vessel selection and anastomotic evaluation. Here, we review the literature and present the use of qualitative ICG-VA to support intraoperative decision-making during double-barrel (DB) STA–MCA bypass surgery. Case description: We report the case of a 68-year-old patient with bilateral steno-occlusive cerebrovascular disease, who developed progressive hemodynamic compromise of the left hemisphere after prior right-sided STA-MCA bypass. Preoperative imaging demonstrated impaired perfusion and posterior-to-anterior leptomeningeal collateralization from the posterior cerebral artery. During the left-sided DB bypass surgery, intravenous ICG-VA was used to assess relative cortical perfusion. Two superficial M4 branches with the most pronounced perfusion delay were selected as recipients based on the ICG-VA and anatomical criteria. Postoperative angiography confirmed graft patency. At short-term follow-up, the patient remained neurologically stable, with complete regression of preoperative symptoms. Conclusions: This case illustrates the application of qualitative ICG-VA for perfusion-oriented recipient vessel selection in DB STA-MCA bypass for steno-occlusive disease. Real-time perfusion assessment may complement conventional anatomical criteria for recipient vessel selection in flow-augmentation procedures. Further studies incorporating quantitative hemodynamic analysis are warranted. Full article
Show Figures

Figure 1

15 pages, 1314 KB  
Article
Clinical Benefit of Percutaneous Treatment of Fontan Pathway Obstructions
by Anastasia Schleiger, Julia Moosmann, Damian Schaffner, Marie Schafstedde, Jan Brühning, Paul Spiesecke, Hans Peter Müller, Stanislav Ovroutski, Felix Berger and Peter Kramer
J. Clin. Med. 2026, 15(6), 2240; https://doi.org/10.3390/jcm15062240 - 16 Mar 2026
Abstract
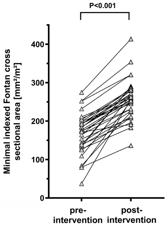
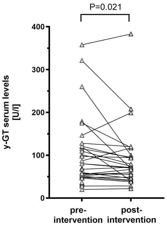
Background/Objectives: Fontan pathway obstructions are a common complication during long-term follow-up after Fontan surgery. The clinical or hemodynamic benefit of percutaneous treatment of Fontan stenoses is poorly understood. In this study we analyzed the feasibility and clinical effects of percutaneous treatment of Fontan [...] Read more.
Background/Objectives: Fontan pathway obstructions are a common complication during long-term follow-up after Fontan surgery. The clinical or hemodynamic benefit of percutaneous treatment of Fontan stenoses is poorly understood. In this study we analyzed the feasibility and clinical effects of percutaneous treatment of Fontan pathway obstructions. Methods: From April 2019 to December 2024 35 Fontan patients received percutaneous treatment of Fontan pathway obstructions by stent implantation. Indications for treatment included clinical signs of lower venous congestion or PLE and/or a moderate-to-severe morphologic pathway stenosis independent of clinical sequelae. Median follow-up time after the intervention was 1.5 years [IQR 0.7; 2.2]. Results: Median patient age was 20.3 years [IQR 16.3; 26.8]. Interventional success was defined as a significant increase in median indexed Fontan conduit cross sectional area and was achieved in all patients by expanding from 98.4 mm2/m2 [IQR 80.7; 115.5] to 145.1 mm2/m2 [IQR 134.8; 167.0, p < 0.001]. In symptomatic patients, a significant clinical improvement was detected 6 months after the intervention including an amelioration of physical capacity assessed by NYHA classification (p = 0.039) and cardiopulmonary exercise testing (VO2peak; p = 0.025). Global assessment of Fontan-associated liver disease (FALD) showed improvement during follow-up (p = 0.035). No peri- or postprocedural complications occurred. Conclusions: Percutaneous treatment of Fontan pathway obstruction has a high interventional success rate with a significant increase in indexed cross-sectional area. During follow-up, improvement of patients’ clinical condition and global signs of FALD were observed. The impact of percutaneous Fontan pathway obstruction relief on reversing or delaying the progression of FALD requires further investigation. Full article
(This article belongs to the Special Issue Management of Congenital Heart Disease (CHD))
Show Figures

Figure 1

18 pages, 675 KB  
Article
Prognostic Value of Non-Invasively Determined Right Ventricular–Arterial Coupling Surrogate Parameters in Patients with Dilated Cardiomyopathy
by Maria Iovănescu, Diana-Ruxandra Hădăreanu, Despina Toader, Oana Munteanu-Mirea and Ionuț Donoiu
J. Clin. Med. 2026, 15(6), 2239; https://doi.org/10.3390/jcm15062239 - 16 Mar 2026
Abstract
Background/Objectives: Right ventricular dysfunction is frequent in patients with dilated cardiomyopathy (DCM) and contributes significantly to prognosis. This study evaluated the prognostic value of echocardiography-determined surrogate parameters of right ventricular–arterial (RV–PA) coupling in patients with DCM. Methods: A total of 88 [...] Read more.
Background/Objectives: Right ventricular dysfunction is frequent in patients with dilated cardiomyopathy (DCM) and contributes significantly to prognosis. This study evaluated the prognostic value of echocardiography-determined surrogate parameters of right ventricular–arterial (RV–PA) coupling in patients with DCM. Methods: A total of 88 patients admitted between January 2019 to September 2023 were retrospectively and prospectively assessed and followed for a mean of 14 months. The primary endpoint was rehospitalization for decompensated heart failure (HF); the secondary endpoint was all-cause mortality. The parameters studied included TAPSE/PASP, RVFAC/PASP, RVFWLS/PASP, and RVEF/PASP. Results: In univariate analysis, all indices were associated with rehospitalization, but multivariate analysis retained only RVFWLS/PASP and RVEF/PASP as independent predictors. Optimal cut-offs were identified as 1.2 for RVEF/PASP (sensitivity 72%, specificity 80%) and 0.46 for RVFWLS/PASP (sensitivity 72%, specificity 76%). None of the parameters correlated significantly with all-cause mortality. Conclusions: These findings highlight the prognostic utility of non-invasively derived RV–PA coupling indices for rehospitalization risk stratification in DCM. Full article
Show Figures

Figure 1

Back to TopTop