Immune Cell Reaction Associated with Coenurus cerebralis Infection in Sheep with Particular Reference to ELISA as a Diagnostic Tool
Abstract
Simple Summary
Abstract
1. Introduction
2. Material and Methods
2.1. Animals
2.2. Sampling
2.3. Parasitological Examination
2.4. Histopathological Examination
2.5. Hematological Examination
2.6. Serological Study (Indirect ELISA)
2.6.1. Antigen Preparation
2.6.2. Indirect ELISA
2.7. Estimation of TNF-α and IFN-γ
2.7.1. RNA Isolation
2.7.2. qRT-PCR Procedures
2.8. Statistical Analysis
3. Results
3.1. Parasitological Examination
3.2. Clinical and Postmortem (PM) Findings
3.3. Postmortem Examination of Collected Cysts
3.4. Pathological Examination
3.4.1. Gross Pathology
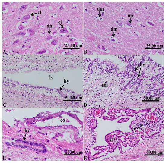
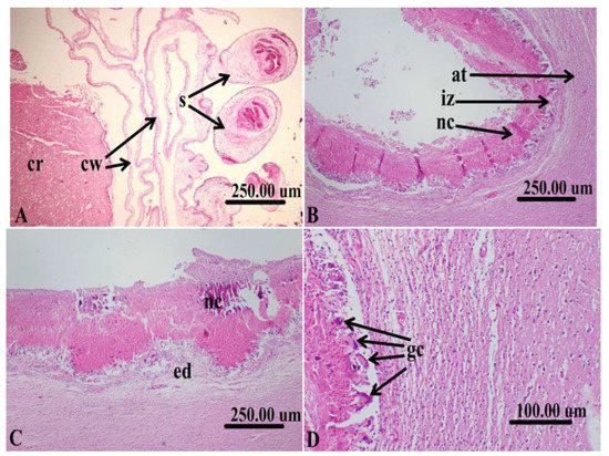
3.4.2. Histopathological Findings
3.5. Immunological Evaluation of Cell Mediated Immune Response
3.6. Hematological Parameters
3.7. Immunological Parameters (Indirect ELISA)
4. Discussion
5. Conclusions
Author Contributions
Funding
Institutional Review Board Statement
Informed Consent Statement
Data Availability Statement
Acknowledgments
Conflicts of Interest
References
- Farjani Kish, G.; Khodakaram-Tafti, A.; Hajimohammadi, A.; Ahmadi, N. Clinical and morphopathological characteristics of an enzootic occurrence of acute coenurosis (Coenurus cerebralis) in a sheep herd. J. Parasit. Dis. 2015, 39, 280–283. [Google Scholar] [CrossRef] [PubMed][Green Version]
- Sharma, D.; Chauhan, P. Coenurosis status in Afro-Asian region: A review. Small Rumin. Res. 2006, 64, 197–202. [Google Scholar] [CrossRef]
- Aitken, I. Diseases of Sheep, 4th ed.; John Wiley & Sons: New York, NY, USA, 2007. [Google Scholar]
- Rahsan, Y.; Nihat, Y.; Bestami, Y.; Adnan, A.; Nuran, A. Histopathological, immunohistochemical, and parasitological studies on pathogenesis of in sheep. J. Vet. Res. 2018, 62, 35–41. [Google Scholar] [CrossRef] [PubMed]
- Amer, S.; ElKhatam, A.; Fukuda, Y.; Bakr, L.I.; Zidan, S.; Elsify, A.; Mohamed, M.A.; Tada, C.; Nakai, Y. Prevalence and Identity of Taenia multiceps cysts “Coenurus cerebralis” in Sheep in Egypt. Acta Trop. 2017, 176, 270–276. [Google Scholar] [CrossRef] [PubMed]
- El-beskawy, M.; El-Adl, M.; Hamed, M.; Ali, M.; Al-Araby, M. Myelin basic protein is down-regulated in sheep affected with ovine coenurosis. Alex. J. Vet. Sci. 2016, 51, 198. [Google Scholar]
- Achenef, M.; Markos, T.; Feseha, G.; Hibret, A.; Tembely, S. Coenurus cerebralis infection in Ethiopian highland sheep: Incidence and observations on pathogenesis and clinical signs. Trop. Anim. Health Prod. 1999, 31, 15–24. [Google Scholar] [CrossRef]
- Bussell, K.; Kinder, A.; Scott, P. Posterior paralysis in a lamb caused by a Coeneurus cerebralis cyst in the lumbar spinal cord. Vet. Rec. 1997, 140, 560. [Google Scholar] [CrossRef]
- Abbas, I.; Elbeskawy, M. Molecular and phylogenetic status of Coenurus cerebralis infecting sheep from Dakahlia province, Egypt. J. Adv. Parasitol. 2016, 3, 117–124. [Google Scholar] [CrossRef]
- Anwar, S.; Mahdy, E.; El-Nesr, K.A.; El-Dakhly, K.M.; Shalaby, A.; Yanai, T. Monitoring of parasitic cysts in the brains of a flock of sheep in Egypt. Rev. Bras. Parasitol. Vet. 2013, 22, 323–330. [Google Scholar] [CrossRef]
- Desouky, E.A.; Badawy, A.I.; Refaat, R.A. Survey on coenurosis in sheep and goats in Egypt. Vet. Ital. 2011, 47, 333–340. [Google Scholar]
- Haridy, M.; Sakai, H.; El-Nahass, E.-S.; El-Morsey, A.; Anwar, S.; Yanai, T. Coenurus cerebralis cysts in the left lateral cerebral ventricle of a ewe. J. Vet. Med. Sci. 2013, 75, 1643–1646. [Google Scholar] [CrossRef] [PubMed]
- Amer, S.; ElKhatam, A.; Fukuda, Y.; Bakr, L.I.; Zidan, S.; Elsify, A.; Mohamed, M.A.; Tada, C.; Nakai, Y. Clinical, pathological, and molecular data concerning Coenurus cerebralis in sheep in Egypt. Data Br. 2018, 16, 1–9. [Google Scholar] [CrossRef] [PubMed]
- Mbassa, G.; Poulsen, J. The comparative haematology of cross-bred and indigenous East African goats of Tanzania and breeds reared in Denmark. Vet. Res. Commun. 1992, 16, 221–229. [Google Scholar] [CrossRef] [PubMed]
- Huang, X.; Chen, L.; Yang, Y.; Gu, X.; Wang, Y.; Lai, W.; Peng, X.; Yang, G. Expression, tissue localization and serodiagnostic potential of Taenia multiceps acidic ribosomal protein P2. Parasit. Vectors 2015, 8, 1–9. [Google Scholar] [CrossRef]
- An, X.; Yang, G.; Wang, Y.; Mu, J.; Yang, A.; Gu, X.; Yang, Y.; Wei, L.; Wen, J.; Wang, S. Prokaryotic expression of Tm7 gene of Taenia multiceps and Establishment of Indirect ELISA Using the Expressed Protein. Chin. J. An. Vet. Sci. 2011, 9, 99–105. [Google Scholar]
- Doganay, A.; Oge, H. Serodiagnosis of coenurosis by ELISA in experimentally infected lambs. Turkiye Parazitol. Derg. 1999. [Google Scholar]
- Mousa, W.; A El-Massry, A. Some biological and serological studies on hydatidosis in experimentally infected rabbits. Assiut Vet. Med. J. 1999, 41, 33–42. [Google Scholar]
- Yao, X.; Yuan, S.; Zhou, W.; Feng, Y.; Yang, J. Study on the application of Dot-ELISA for diagnosing coenurus. Jilin Anim. Husb. Vet. Med. 2001, 12, 3–5. [Google Scholar]
- Dueger, E.L.; Verastegui, M.; Gilman, R.H. Evaluation of the enzyme-linked immunoelectrotransfer blot (EITB) for ovine hydatidosis relative to age and cyst characteristics in naturally infected sheep. Vet. Parasitol. 2003, 114, 285–293. [Google Scholar] [CrossRef]
- Dubey, J.; Schares, G. Neosporosis in animals—The last five years. Vet. Parasitol. 2011, 180, 90–108. [Google Scholar] [CrossRef]
- Attia, M.M.; El-Gameel, S.M.; Ismael, E. Evaluation of tumor necrosis factor-alpha (TNF-α); gamma interferon (IFN-γ) genes and oxidative stress in sheep: Immunological responses induced by Oestrus ovis (Diptera: Oestridae) infestation. J. Parasit. Dis. 2020, 44, 332–337. [Google Scholar] [CrossRef] [PubMed]
- Constable, P.D.; Hinchcliff, K.W.; Done, S.H.; Grünberg, W. Veterinary Medicine: A Textbook of the Diseases of Cattle, Horses, Sheep, Pigs and Goats; Elsevier Health Sciences: Amsterdam, The Netherlands, 2016. [Google Scholar]
- Harris, H. Veterinary Pathology, Oxford; Unipress: New York, NY, USA, 1998. [Google Scholar]
- Attia, M.M.; Soliman, S.M.; Mahmoud, M.A.; Salem, M.A. Oxidative stress markers, immune-regulating cytokines, and the pathological evaluation of sheep co-infected with Oestrus ovis and Coenurus cerebralis. Microb. Pathog. 2022, 169, 105613. [Google Scholar] [CrossRef] [PubMed]
- Varcasia, A.; Tamponi, C.; Ahmed, F.; Cappai, M.G.; Porcu, F.; Mehmood, N.; Dessì, G.; Scala, A. Taenia multiceps coenurosis: A review. Parasit. Vectors 2022, 15, 1–18. [Google Scholar] [CrossRef] [PubMed]
- Soulsby, E. Helminths, Protozoa and Arthropods of Domesticated Animal, 7th ed.; Bailliere Tindall: London, UK, 1986. [Google Scholar]
- Bancroft, J.D.; Gamble, M. Theory and Practice of Histological Techniques; Elsevier Health Sciences: Amsterdam, The Netherlands, 2008. [Google Scholar]
- Polizopoulou, Z. Haematological tests in sheep health management. Small Rumin. Res. 2010, 92, 88–91. [Google Scholar] [CrossRef]
- Maddison, S.E.; Slemenda, S.B.; Schantz, P.M.; Fried, J.A.; Wilson, M.; Tsang, V. A specific diagnostic antigen of Echinococcus granulosus with an apparent molecular weight of 8 kDA. Am. J. Trop. Med. Hyg. 1989, 40, 377–383. [Google Scholar] [CrossRef]
- Ahmad, G.; Nizami, W.; Saifullah, M. Analysis of potential antigens of protoscoleces isolated from pulmonary and hepatic hydatid cysts of Bubalus bubalis. Comp. Immunol. Microbiol. Infect. Dis. 2001, 24, 91–101. [Google Scholar] [CrossRef]
- Harlow, E.; Lane, D.D. Antibodies: A Laboratory Manual; Cold Spring Harbor Laboratory: Cold Spring Harbor, NY, USA, 1988; Volume 139, p. 238. [Google Scholar]
- Attia, M.M.; Soliman, S.M.; Saleh, N.M. Advanced and Rapid Serodiagnosis of Oestrosis (Oestrus ovis; Diptera: Oestridae) in Sheep Using Indirect and Dot-ELISA. Jordan J. Biol. Sci. 2019, 12, 275–281. [Google Scholar]
- Romero, J.; Arias, M.; Suárez, J.; Paz-Silva, A.; Francisco, I.; Alonso, F.; Cortiñas, F.; Dacal, V.; Romasanta, A.; Morrondo, P. Application of the analysis of serum antibodies (immunoglobulins M and G) to estimate the seroprevalence of ovine oestrosis and to evaluate the effect of chemotherapy. J. Med. Entomol. 2010, 47, 477–481. [Google Scholar] [CrossRef]
- Jeyathilakan, N.; Basith, S.A.; John, L.; Chandran, N.D.J.; Raj, G.D.; Churchill, R.R. Evaluation of native 8 kDa antigen based three immunoassays for diagnosis of cystic echinococcosis in sheep. Small Rumin. Res. 2014, 116, 199–205. [Google Scholar] [CrossRef]
- Altman, D.G. Practical statistics for medical research; CRC Press: Boca Raton, FL, USA, 1990. [Google Scholar]
- Landis, J.R.; Koch, G.G. The measurement of observer agreement for categorical data. Biometrics 1977, 33, 159–174. [Google Scholar] [CrossRef] [PubMed]
- Abera, S.; Wubit, T.; Nejash, A. Cerebral coenurosis in small ruminants: A review. J. Anim. Sci. Adv. 2016, 6, 1595–1608. [Google Scholar]
- Scala, A.; Varcasia, A. Updates on morphobiology, epidemiology and molecular characterization of coenurosis in sheep. Parassitologia 2006, 48, 61–63. [Google Scholar] [PubMed]
- Miran, M.B.; Nzalawahe, J.; Kassuku, A.A.; Swai, E.S. Prevalence of coenurosis in sheep and goats at three slaughter slabs in Ngorongoro District, Tanzania. Trop. Anim. Health Prod. 2015, 47, 1591–1597. [Google Scholar] [CrossRef] [PubMed]
- Scala, A.; Cancedda, G.M.; Varcasia, A.; Ligios, C.; Garippa, G.; Genchi, C. A survey of Taenia multiceps coenurosis in Sardinian sheep. Vet. Parasitol. 2007, 143, 294–298. [Google Scholar] [CrossRef] [PubMed]
- Tavassoli, M.; Malekifard, F.; Soleimanzadeh, A.; Tajik, H. Prevalence of Coenurus cerebralis in sheep in Northwest of Iran. Vet. Res. Forum. 2011, 2, 274–276. [Google Scholar]
- Gicik, Y.; Kara, M.; Arslan, M.O. Prevalence of Coenurus cerebralis in sheep in Kars Province, Turkey. Bull. Vet. Inst. Pulawy. 2007, 51, 379. [Google Scholar]
- Abo-Shehada, M.N.; Jebreen, E.; Arab, B.; Mukbel, R.; Torgerson, P.R. Prevalence of Taenia multiceps in sheep in northern Jordan. Prev. Vet. Med. 2002, 55, 201–207. [Google Scholar] [CrossRef]
- Edwards, G.; Herbert, I. Observations on the course of Taenia multiceps infections in sheep: Clinical signs and post-mortem findings. Br. Vet. J. 1982, 138, 489–500. [Google Scholar] [CrossRef]
- Gazioglu, A.; Simsek, S.; Kizil, O.; Ceribasi, A.O.; Kesik, H.K.; Ahmed, H. Clinical, pathological and molecular evaluations and CT scan screening of coenurosis (Coenurus cerebralis) in sheep and calves. Rev. Bras. Parasitol. Vet. 2017, 26, 03–09. [Google Scholar] [CrossRef]
- Rostami, S.; Beech, R.N.; Salavati, R.; Baneshi, M.R.; Kamyabi, H.; Harandi, M.F. Morphometric analysis of larval rostellar hooks in Taenia multiceps of sheep in Iran and its association with mitochondrial gene variability. Iran. J. Parasitol. 2013, 8, 579. [Google Scholar] [PubMed]
- Shivasharanappa, N.; Sharma, N.; Sharma, D.K.; Pawaiya, R.S.; Vamadevan, B.; Mishra, A.K.; Paul, S. Neuropathological lesions of clinical and sub clinical Coenurosis (Coenurus cerebralis) in organized goat farms in India. Acta Parasitol. 2017, 62, 482–487. [Google Scholar] [CrossRef] [PubMed]
- Vasileiou, N.; Fthenakis, G.; Papadopoulos, E. Dissemination of parasites by animal movements in small ruminant farms. Vet. Parasitol. 2015, 213, 56–60. [Google Scholar] [CrossRef] [PubMed]
- Al-Riyami, S.; Ioannidou, E.; Koehler, A.V.; Hussain, M.H.; Al-Rawahi, A.H.; Giadinis, N.D.; Lafi, S.Q.; Papadopoulos, E.; Jabbar, A. Genetic characterisation of Taenia multiceps cysts from ruminants in Greece. Infect. Genet. Evol. 2016, 38, 110–116. [Google Scholar] [CrossRef]
- Mozaffari, A.A.; Shojaeepour, S.; Ghahremani Ghareh Cheshmeh, S. High mortality rate due to false gid in a sheep herd. Int. Sch. Res. Notices 2013, 2013, 650358. [Google Scholar] [CrossRef] [PubMed]
- Saleh, M.A. Circulating oxidative stress status in desert sheep naturally infected with Fasciola hepatica. Vet. Parasitol. 2008, 154, 262–269. [Google Scholar] [CrossRef] [PubMed]
- Saleh, M.A.; Al-Salahy, M.B.; Sanousi, S.A. Oxidative stress in blood of camels (Camelus dromedaries) naturally infected with Trypanosoma evansi. Vet. Parasitol. 2009, 162, 192–199. [Google Scholar] [CrossRef]
- Heidarpour, M.; Mohri, M.; Borji, H.; Moghdass, E. Oxidant/antioxidant status in cattle with liver cystic echinococcosis. Vet. Parasitol. 2013, 195, 131–135. [Google Scholar] [CrossRef]
- Gatti, A.; Alvarez, A.R.; Araya, D.; Mancini, S.; Herrero, E.; Santillan, G.; Larrieu, E. Ovine echinococcosis: I. Immunological diagnosis by enzyme immunoassay. Vet. Parasitol. 2007, 143, 112–121. [Google Scholar] [CrossRef]
- Rajaii, M. Comparison of ELISA and IHA Diagnostic tests in the detection of human Hydatidosis in Tabriz. Int. Med. J. 2005, 4, 14–16. [Google Scholar]
- Innes, E.A.; Wright, S.; Bartley, P.; Maley, S.; Macaldowie, C.; Esteban-Redondo, I.; Buxton, D. The host–parasite relationship in bovine neosporosis. Vet. Immunol. Immunopathol. 2005, 108, 29–36. [Google Scholar] [CrossRef] [PubMed]
- Miller, C.M.; Boulter, N.R.; Ikin, R.J.; Smith, N.C. The immunobiology of the innate response to Toxoplasma gondii. Int. J. Parasitol. 2009, 39, 23–39. [Google Scholar] [CrossRef] [PubMed]
- Baszler, T.V.; Long, M.T.; McElwain, T.F.; Mathison, B.A. Interferon-γ and interleukin-12 mediate protection to acute Neospora caninum infection in BALB/c mice. Int. J. Parasitol. 1999, 29, 1635–1646. [Google Scholar] [CrossRef]



| Gene | Sequence (5′-3′) | Accession Number | Reference |
|---|---|---|---|
| INF-γ | F-CAGAGCCAAATTGTCTCCTTC R-ATCCACCGGAATTTGAATCAG | NM_001009803 | Puech et al., 2015 |
| TNFα | F-CCAGAGGGAAGAGCAGTCC R-GGCTACAACGTGGGCTACC | NM_001024860 | Puech et al., 2015 |
| β-Actin | F-TGGGCATGGAATCCTG R-GGCGCGATGATCTTGAT | NM_001009784 | Puech et al., 2015 |
| Parameters (Normal/Reference Range) | Mean ± SE | p-Value | |
|---|---|---|---|
| Control | Infected | ||
| Blood parameters | |||
| Total erythrocyte count (9.5–15.0 × 106/c.mm) | 11.57 ± 0.88 a | 8.23 ± 0.50 b | 0.030 |
| Hemoglobin concentration (9–15 g/dl) | 10.57 ± 0.09 a | 8.50 ± 0.29 b | 0.002 |
| Platelet count (800–1100 × 103/c.mm) | 850 × 103 ± 28.9 × 103 a | 366.7 × 103 ± 66.7 × 103 b | 0.003 |
| Packed cell volume (Hematocrit) (27–45%) | 28.33 ± 0.88 | 29.42 ± 1.99 | 0.645 |
| Total leukocyte count (4000–8000/c.mm) | 4933.33 ± 233.33 b | 54,680.00 ± 2915.94 a | 0.003 |
| Basophils (0–3%) | 0.0 | 0.67 ± 0.67 | 0.423 |
| Eosinophils (0–10%) | 1.67 ± 0.33 b | 15.00 ± 1.53 a | 0.001 |
| Staff (0%) | 0.0 b | 4.33 ± 0.88 a | 0.039 |
| Segmented (10–50%) | 14.00 ± 2.08 a | 5.00 ± 0.58 b | 0.014 |
| Lymphocytes (40–55%) | 45.00 ± 2.89 b | 78.33 ± 0.88 a | <0.0001 |
| Monocytes (0–6%) | 4.00 ± 0.58 b | 17.33 ± 1.45 a | 0.001 |
| MCV (28–40 fl) | 33.33 ± 2.60 | 33.33 ± 0.33 | 1.000 |
| MCH (8–12 pg) | 8.53 ± 0.19 b | 10.03 ± 0.15 a | 0.003 |
| MCHC (31–34 g%) | 32.67 ± 0.33 a | 30.13 ± 0.19 b | 0.003 |
| Gene expression analysis | |||
| IFN-γ | 5.33 ± 0.88 b | 29.00 ± 2.08 a | <0.0001 |
| TNF-α | 5.50 ± 0.50 b | 23.67 ± 6.51 a | 0.009 |
| Items | Fluid | Scolex |
|---|---|---|
| Sensitivity | 100% | 100% |
| Specificity | 46.2% | 38.5% |
| Type I error (false positive) | 53.9% | 61.5% |
| Type II error (false negative) | 0.0 | 0.0 |
| Apparent prevalence | 80.0% | 83.3% |
| PPV | 70.8% | 68.0% |
| NPV | 100% | 100% |
| Accuracy | 76.7% | 73.3% |
| LR+ | 1.9 | 1.6 |
| LR− | 0.0 | 0.0 |
| Diagnostic Test | Kappa Value (κ) | Agreement | p-Value |
|---|---|---|---|
| Fluid vs. PM | 0.49 | Moderate | 0.002 * |
| Scolex vs. PM | 0.42 | Moderate | 0.005 * |
| Fluid vs. Scolex | 0.89 | Almost perfect | <0.0001 * |
Publisher’s Note: MDPI stays neutral with regard to jurisdictional claims in published maps and institutional affiliations. |
© 2022 by the authors. Licensee MDPI, Basel, Switzerland. This article is an open access article distributed under the terms and conditions of the Creative Commons Attribution (CC BY) license (https://creativecommons.org/licenses/by/4.0/).
Share and Cite
Soliman, S.M.; Aljahdali, N.H.; Majrashi, K.A.; El-Gameel, S.M.; Ismael, E.; Salem, H.M.; Mahmoud, M.A.; Albaqami, N.M.; Mahjoub, H.A.; El-Saadony, M.T.; et al. Immune Cell Reaction Associated with Coenurus cerebralis Infection in Sheep with Particular Reference to ELISA as a Diagnostic Tool. Life 2022, 12, 1515. https://doi.org/10.3390/life12101515
Soliman SM, Aljahdali NH, Majrashi KA, El-Gameel SM, Ismael E, Salem HM, Mahmoud MA, Albaqami NM, Mahjoub HA, El-Saadony MT, et al. Immune Cell Reaction Associated with Coenurus cerebralis Infection in Sheep with Particular Reference to ELISA as a Diagnostic Tool. Life. 2022; 12(10):1515. https://doi.org/10.3390/life12101515
Chicago/Turabian StyleSoliman, Soliman M., Nesreen H. Aljahdali, Kamlah Ali Majrashi, Sohila M. El-Gameel, Elshaimaa Ismael, Heba M. Salem, Mahmoud A. Mahmoud, Najah M. Albaqami, Haifaa A. Mahjoub, Mohamed T. El-Saadony, and et al. 2022. "Immune Cell Reaction Associated with Coenurus cerebralis Infection in Sheep with Particular Reference to ELISA as a Diagnostic Tool" Life 12, no. 10: 1515. https://doi.org/10.3390/life12101515
APA StyleSoliman, S. M., Aljahdali, N. H., Majrashi, K. A., El-Gameel, S. M., Ismael, E., Salem, H. M., Mahmoud, M. A., Albaqami, N. M., Mahjoub, H. A., El-Saadony, M. T., & Attia, M. M. (2022). Immune Cell Reaction Associated with Coenurus cerebralis Infection in Sheep with Particular Reference to ELISA as a Diagnostic Tool. Life, 12(10), 1515. https://doi.org/10.3390/life12101515

