The Effect of Synonymous Single-Nucleotide Polymorphisms on an Atypical Cystic Fibrosis Clinical Presentation
Abstract
1. Introduction
1.1. Case Presentation
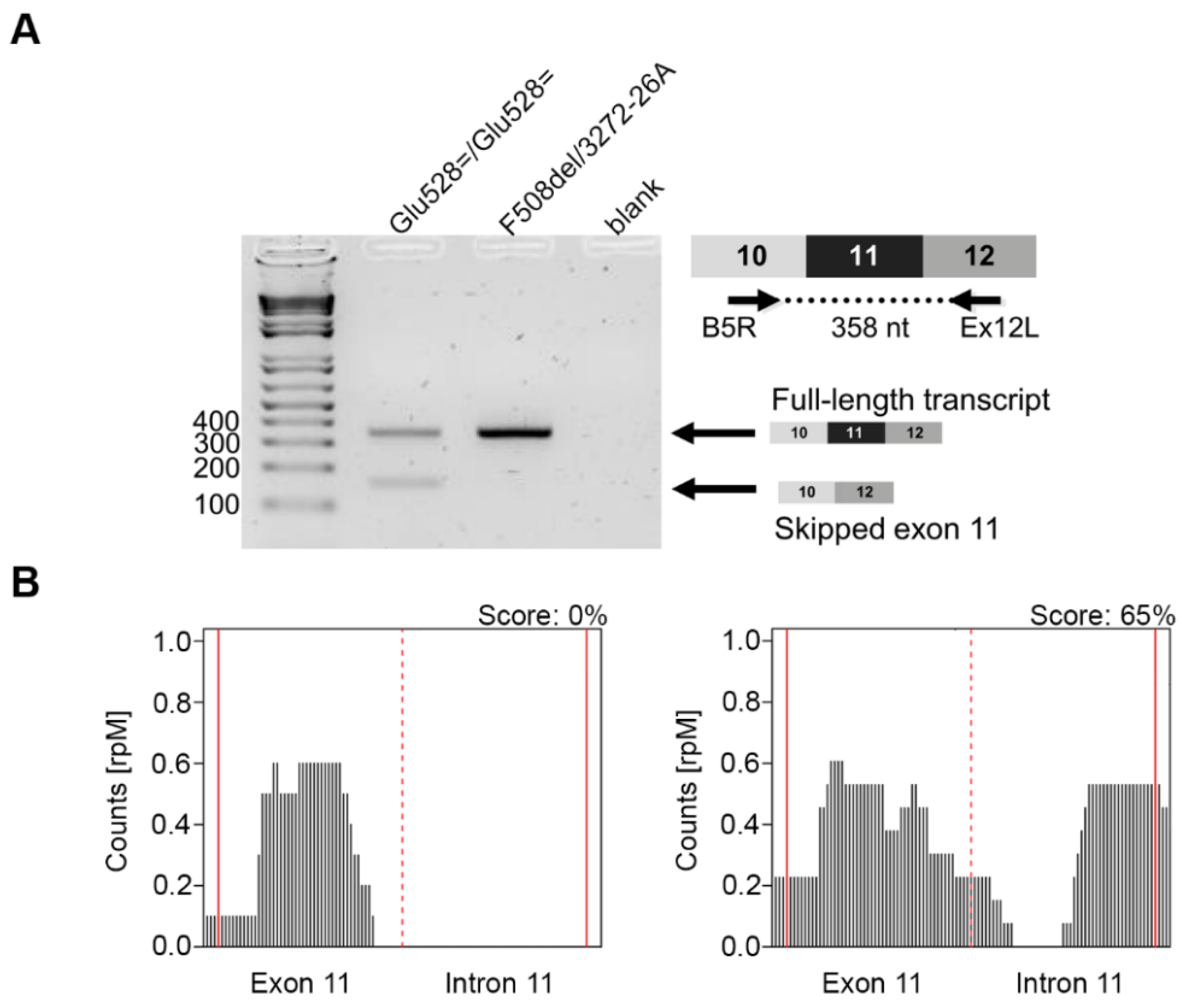
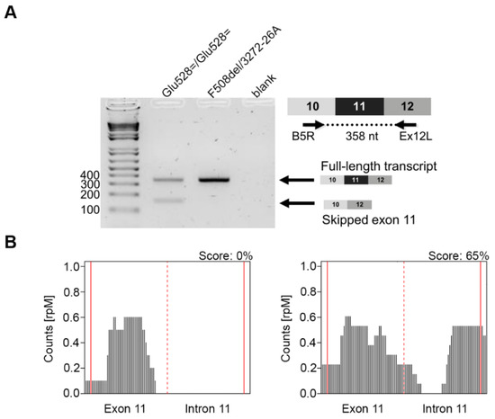
1.2. Molecular Analysis of the Effect of the c.1584G>A sSNP
1.3. Transcriptome-Wide Effect of the c.1584G>A sSNP
2. Discussion
3. Materials and Methods
3.1. Sequencing of the Complete CFTR Locus
3.2. Organoid Culture
3.3. RT–PCR
3.4. Organoid RNA-Sequencing
3.5. Cell Culture and Transfection
3.6. Antibodies and Immunoblotting
3.7. Exon-Skipping Prediction
Author Contributions
Funding
Institutional Review Board Statement
Informed Consent Statement
Data Availability Statement
Acknowledgments
Conflicts of Interest
References
- Steward, R.E.; MacArthur, M.W.; Laskowski, R.A.; Thornton, J.M. Molecular basis of inherited diseases: A structural perspective. Trends Genet. 2003, 19, 505–513. [Google Scholar] [CrossRef]
- Sauna, Z.E.; Kimchi-Sarfaty, C. Understanding the contribution of synonymous mutations to human disease. Nat. Rev. Genet. 2011, 12, 683–691. [Google Scholar] [CrossRef] [PubMed]
- Buhr, F.; Jha, S.; Thommen, M.; Mittelstaet, J.; Kutz, F.; Schwalbe, H.; Rodnina, M.V.; Komar, A.A. Synonymous Codons Direct Cotranslational Folding toward Different Protein Conformations. Mol. Cell 2016, 61, 341–351. [Google Scholar] [CrossRef] [PubMed]
- Bartoszewski, R.; Króliczewski, J.; Piotrowski, A.; Jasiecka, A.J.; Bartoszewska, S.; Vecchio-Pagan, B.; Fu, L.; Sobolewska, A.; Matalon, S.; Cutting, G.R.; et al. Codon bias and the folding dynamics of the cystic fibrosis transmembrane conductance regulator. Cell. Mol. Biol. Lett. 2016, 21, 1–13. [Google Scholar] [CrossRef]
- Kirchner, S.; Cai, Z.; Rauscher, R.; Kastelic, N.; Anding, M.; Czech, A.; Kleizen, B.; Ostedgaard, L.S.; Braakman, I.; Sheppard, D.N.; et al. Alteration of protein function by a silent polymorphism linked to tRNA abundance. PLoS Biol. 2017, 15. [Google Scholar] [CrossRef]
- Czech, A.; Fedyunin, I.; Zhang, G.; Ignatova, Z. Silent mutations in sight: Co-variations in tRNA abundance as a key to unravel consequences of silent mutations. Mol. Biosyst. 2010, 6, 1767. [Google Scholar] [CrossRef]
- Kimchi-Sarfaty, C.; Oh, J.M.; Kim, I.-W.; Sauna, Z.E.; Calcagno, A.M.; Ambudkar, S.V.; Gottesman, M.M. A “Silent” Polymorphism in the MDR1 Gene Changes Substrate Specificty. Science 2007, 315, 525–529. [Google Scholar] [CrossRef]
- Wang, Y.; Qiu, C.; Cui, Q. A large-scale analysis of the relationship of synonymous SNPs changing microRNA regulation with functionality and disease. Int. J. Mol. Sci. 2015, 16, 23545–23555. [Google Scholar] [CrossRef]
- Moszyńska, A.; Gebert, M.; Collawn, J.F.; Bartoszewski, R. SNPs in microRNA target sites and their potential role in human disease. Open Biol. 2017, 7. [Google Scholar] [CrossRef]
- Pagani, F.; Raponi, M.; Baralle, F.E.; Allende, J.E. Synonymous mutations in CFTR exon 12 affect splicing and are not neutral in evolution. Proc. Natl. Acad. Sci. USA 2005, 102, 6368–6372. [Google Scholar] [CrossRef]
- Guillermit, H.; Fanent, P.; Ferec, C. A 3′ splice site consensus sequence mutation in the cystic fibrosis gene. Hum. Genet. 1990, 85, 450–453. [Google Scholar] [CrossRef] [PubMed]
- Kerem, B.S.; Zielenski, J.; Markiewicz, D.; Bozon, D.; Gazit, E.; Yahav, J.; Kennedy, D.; Riordan, J.R.; Collins, F.S.; Kommens, J.M.; et al. Identification of mutations in regions corresponding to the two putative nucleotide (ATP)-binding folds of the cystic fibrosis gene. Proc. Natl. Acad. Sci. USA 1990, 87, 8447–8451. [Google Scholar] [CrossRef] [PubMed]
- Karczewski, K.J.; Francioli, L.C.; Tiao, G.; Cummings, B.B.; Alföldi, J.; Wang, Q.; Collins, R.L.; Laricchia, K.M.; Ganna, A.; Birnbaum, D.P.; et al. The mutational constraint spectrum quantified from variation in 141,456 humans. Nature 2020, 581, 434–443. [Google Scholar] [CrossRef] [PubMed]
- Cuppens, H.; Marynen, P.; De Boeck, C.; Cassiman, J.J. Detection of 98.5% of the mutations in 200 Belgian cystic fibrosis alleles by reverse dot-blot and sequencing of the complete coding region and exon/intron junctions of the CFTR gene. Genomics 1993, 18, 693–697. [Google Scholar] [CrossRef]
- Casals, T.; Aparisi, L.; Martínez-Costa, C.; Giménez, J.; Ramos, M.D.; Mora, J.; Diaz, J.; Boadas, J.; Estivill, X.; Farré, A. Different CFTR Mutational Spectrum in Alcoholic and Idiopathic Chronic Pancreatitis? Pancreas 2004, 28, 374–379. [Google Scholar] [CrossRef]
- Ockenga, J.; Stuhrmann, M.; Ballmann, M.; Teich, N.; Keim, V.; Dörk, T.; Manns, M.P. Mutations of the cystic fibrosis gene, but not cationic trypsinogen gene, are associated with recurrent or chronic idiopathic pancreatitis. Am. J. Gastroenterol. 2000, 95, 2061–2067. [Google Scholar] [CrossRef]
- Bergougnoux, A.; Viart, V.; Miro, J.; Bommart, S.; Molinari, N.; des Georges, M.; Claustres, M.; Chiron, R.; Taulan-Cadars, M. Should diffuse bronchiectasis still be considered a CFTR-related disorder? J. Cyst. Fibros. 2015, 14, 646–653. [Google Scholar] [CrossRef]
- Bampi, G.B.; Rauscher, R.; Kirchner, S.; Oliver, K.; Bijvelds, M.J.C.; Santos, L.A.; Wagner, J.; Frizzell, R.A.; de Jonge, H.; Sorscher, E.J.; et al. Global assessment of the integrated stress response in CF patient-derived airway and intestinal tissues. J. Cyst. Fibros. 2020, 19, 1021–1026. [Google Scholar] [CrossRef]
- Dörk, T.; Dworniczak, B.; Aulehla-Scholz, C.; Wieczorek, D.; Böhm, I.; Mayerova, A.; Seydewitz, H.H.; Nieschlag, E.; Meschede, D.; Horst, J.; et al. Distinct spectrum of CFTR gene mutations in congenital absence of vas deferens. Hum. Genet. 1997, 100, 365–377. [Google Scholar] [CrossRef]
- Chillón, M.; Dörk, T.; Casals, T.; Gimenez, J.; Fonknechten, N.; Will, K.; Ramos, D.; Nunes, V.; Estivill, X. A Novel Donor Splice Site in Intron 11 of the CFTR Gene, Created by Mutation 1811 + 1.6kbA-G, Produces a New Exon: High Frequency in Spanish Cystic Fibrosis Chromosomes and Association with Severe Phenotype. Am. J. Hum. Genet. 1995, 56, 623–629. [Google Scholar] [CrossRef]
- Beck, S.; Penque, D.; Garcia, S.; Gomes, A.; Farinha, C.; Mata, L.; Gulbenkian, S.; Gil-Ferreira, K.; Duarte, Â.; Pacheco, P. Cystic fibrosis patients with the 3272-26A→G mutation have mild disease, leaky alternative mRNA splicing, and CFTR protein at the cell membrane. Hum. Mutat. 1999, 14, 133–144. [Google Scholar] [CrossRef]
- Ramalho, A.S.; Beck, S.; Meyer, M.; Penque, D.; Cutting, G.R.; Amaral, M.D. Five percent of normal cystic fibrosis transmembrane conductance regulator mRNA ameliorates the severity of pulmonary disease in cystic fibrosis. Am. J. Respir. Cell Mol. Biol. 2002, 27, 619–627. [Google Scholar] [CrossRef] [PubMed]
- Rauscher, R.; Bampi, G.B.; Ferrer, M.G.; Santos, L.A.; Joshi, D.; Mark, D.; Strug, L.J.; Rommens, J.M.; Ballmann, M.; Sorscher, E.J.; et al. Positive epistasis between disease-causing missense mutations and silent polymorphism with effect on mRNA translation velocity. Proc. Natl. Acad. Sci. USA 2020, in press. [Google Scholar]
- Ramalho, A.; Fürstová, E.; Vonk, A.; Ferrante, M.; Verfaillie, C.; Dupont, L.; Boon, M.; Proesmans, M.; Beekman, J.M.; Sarouk, I.; et al. Correction of CFTR function in intestinal organoids to guide treatment of Cystic Fibrosis. Eur. Respir. J. 2020. [Google Scholar] [CrossRef]
- Hebsgaard, S.M.; Korning, P.G.; Tolstrup, N.; Engelbrecht, J.; Rouzé, P.; Brunak, S. Splice Site Prediction in Arabidopsis Thaliana Pre-mRNA by Combining Local and Global Sequence Information. Nucleic Acids Res. 1996, 24, 3439–3452. [Google Scholar] [CrossRef]
- Reese, M.G.; Eeckman, F.H.; Kulp, D.; Haussler, D. Improved splice site detection in Genie. J. Comput. Biol. 1997, 4, 311–323. [Google Scholar] [CrossRef]
- HBond Score Web Interface. Available online: https://www2.hhu.de/rna/html/hbond_score.php (accessed on 23 July 2020).
- Yeo, G.; Burge, C.B. Maximum entropy modeling of short sequence motifs with applications to RNA splicing signals. J. Comput. Biol. 2004, 11, 377–394. [Google Scholar] [CrossRef]
- Wang, M.; Marín, A. Characterization and prediction of alternative splice sites. Gene 2006, 366, 219–227. [Google Scholar] [CrossRef]
- Jaganathan, K.; Kyriazopoulou Panagiotopoulou, S.; McRae, J.F.; Darbandi, S.F.; Knowles, D.; Li, Y.I.; Kosmicki, J.A.; Arbelaez, J.; Cui, W.; Schwartz, G.B.; et al. Predicting Splicing from Primary Sequence with Deep Learning. Cell 2019, 176, 535–548. [Google Scholar] [CrossRef]


| Variant | Algorithm | ||||
|---|---|---|---|---|---|
| NatGene2 a | NNSplice a | Hbond b | MaxEntScan | ASSP | |
| wt | 0.93 | 1 | 17.3 | 10.06 | 12.19 |
| c.1584G>A | 0.89 | 0.95 | 12.6 | 6.42 | 9.53 |
Publisher’s Note: MDPI stays neutral with regard to jurisdictional claims in published maps and institutional affiliations. |
© 2020 by the authors. Licensee MDPI, Basel, Switzerland. This article is an open access article distributed under the terms and conditions of the Creative Commons Attribution (CC BY) license (http://creativecommons.org/licenses/by/4.0/).
Share and Cite
Bampi, G.B.; Ramalho, A.S.; Santos, L.A.; Wagner, J.; Dupont, L.; Cuppens, H.; De Boeck, K.; Ignatova, Z. The Effect of Synonymous Single-Nucleotide Polymorphisms on an Atypical Cystic Fibrosis Clinical Presentation. Life 2021, 11, 14. https://doi.org/10.3390/life11010014
Bampi GB, Ramalho AS, Santos LA, Wagner J, Dupont L, Cuppens H, De Boeck K, Ignatova Z. The Effect of Synonymous Single-Nucleotide Polymorphisms on an Atypical Cystic Fibrosis Clinical Presentation. Life. 2021; 11(1):14. https://doi.org/10.3390/life11010014
Chicago/Turabian StyleBampi, Giovana B., Anabela S. Ramalho, Leonardo A. Santos, Johannes Wagner, Lieven Dupont, Harry Cuppens, Kris De Boeck, and Zoya Ignatova. 2021. "The Effect of Synonymous Single-Nucleotide Polymorphisms on an Atypical Cystic Fibrosis Clinical Presentation" Life 11, no. 1: 14. https://doi.org/10.3390/life11010014
APA StyleBampi, G. B., Ramalho, A. S., Santos, L. A., Wagner, J., Dupont, L., Cuppens, H., De Boeck, K., & Ignatova, Z. (2021). The Effect of Synonymous Single-Nucleotide Polymorphisms on an Atypical Cystic Fibrosis Clinical Presentation. Life, 11(1), 14. https://doi.org/10.3390/life11010014

