The Contribution of the Corpus Callosum to the Symmetrical Representation of Taste in the Human Brain: An fMRI Study of Callosotomized Patients
Abstract
1. Introduction
2. Methods
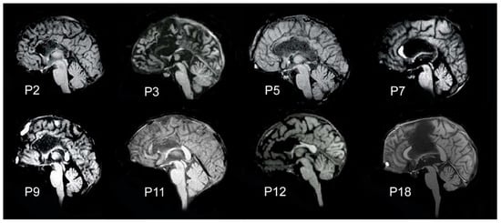
2.1. Participants
2.2. Imaging Protocols
2.3. Gustatory Stimulation
2.4. Data Analysis
3. Results
3.1. Functional MRI Results
3.2. DTI Results
4. Discussion
Author Contributions
Funding
Informed Consent Statement
Data Availability Statement
Acknowledgments
Conflicts of Interest
References
- Pritchard, T.C. Gustatory system. In The Human Nervous System, 3rd ed.; Mai, J.K., Paxinos, G., Eds.; Elsevier: Oxford, UK, 2012; pp. 1187–1218. [Google Scholar]
- Rolls, E.T. Taste, olfactory, and food reward value processing in the brain. Prog. Neurobiol. 2015, 127–128, 64–90. [Google Scholar] [CrossRef] [PubMed]
- Disbrow, E.A.; Hinkley, L.B.; Roberts, T.P. Ipsilateral representation of oral structures in human anterior parietal somatosensory cortex and integration of inputs across the midline. J. Comp. Neurol. 2003, 467, 487–495. [Google Scholar] [CrossRef] [PubMed]
- Tamura, Y.; Shibukawa, Y.; Shintani, M.; Kaneko, Y.; Ichinohe, T. Oral structure representation in human somatosensory cortex. Neuroimage 2008, 43, 128–135. [Google Scholar] [CrossRef] [PubMed]
- Sakamoto, K.; Nakata, H.; Yumoto, M.; Kakigi, R. Somatosensory processing of the tongue in humans. Front. Physiol. 2010, 1, 136. [Google Scholar] [CrossRef] [PubMed]
- Boling, W.; Reutens, D.C.; Olivier, A. Functional topography of the low postcentral area. J. Neurosurg. 2002, 97, 388–395. [Google Scholar] [CrossRef] [PubMed]
- Maezawa, H.; Mima, T.; Yazawa, S.; Matsuhashi, M.; Shiraishi, H.; Hirai, Y.; Funahashi, M. Contralateral dominance of corticomuscular coherence for both sides of the tongue during human tongue protrusion: An MEG study. Neuroimage 2014, 101, 245–255. [Google Scholar] [CrossRef] [PubMed]
- Frey, S.; Petrides, M. Re-examination of the human taste region: A positron emission tomography study. Eur. J. Neurosci. 1999, 11, 2985–2988. [Google Scholar] [CrossRef]
- Small, D.M.; Zald, D.H.; Jones-Gotman, M.; Zatorre, R.J.; Pardo, J.V.; Frey, S.; Petrides, M. Human cortical gustatory areas: A review of functional neuroimaging data. Neuroreport 1999, 10, 7–14. [Google Scholar] [CrossRef][Green Version]
- Nakamura, Y.; Goto, T.K.; Tokumori, K.; Yoshiura, T.; Kobayashi, K.; Nakamura, Y.; Honda, H.; Ninomiya, Y.; Yoshiura, K. Localization of brain activation by umami taste in humans. Brain Res. 2011, 1406, 18–29. [Google Scholar] [CrossRef]
- Nakamura, Y.; Tokumori, K.; Tanabe, H.C.; Yoshiura, T.; Kobayashi, K.; Nakamura, Y.; Honda, H.; Yoshiura, K.; Goto, T.K. Localization of the primary taste cortex by contrasting passive and attentive conditions. Exp. Brain Res. 2013, 227, 185–197. [Google Scholar] [CrossRef]
- Iannilli, E.; Noennig, N.; Hummel, T.; Schoenfeld, A.M. Spatio-temporal correlates of taste processing in the human primary gustatory cortex. Neuroscience 2014, 273, 92–99. [Google Scholar] [CrossRef] [PubMed]
- Pardo, J.V.; Wood, T.D.; Costello, P.A.; Pardo, P.J.; Lee, J.T. PET study of the localization and laterality of lingual somatosensory processing in humans. Neurosci. Lett. 1997, 234, 23–26. [Google Scholar] [CrossRef] [PubMed]
- Aglioti, S.; Tassinari, G.; Corballis, M.C.; Berlucchi, G. Incomplete gustatory lateralization as shown by analysis of taste discrimination after callosotomy. J. Cogn. Neurosci. 2000, 12, 238–245. [Google Scholar] [CrossRef] [PubMed]
- Aglioti, S.M.; Tassinari, G.; Fabri, M.; Del Pesce, M.; Quattrini, A.; Manzoni, T.; Berlucchi, G. Taste laterality in the split brain. Eur. J. Neurosci. 2001, 13, 195–200. [Google Scholar] [CrossRef] [PubMed]
- Onoda, K.; Kobayakawa, T.; Ikeda, M.; Saito, S.; Kida, A. Laterality of human primary gustatory cortex studied by MEG. Chem. Senses 2005, 30, 657–666. [Google Scholar] [CrossRef] [PubMed]
- Onoda, K.; Ikeda, M.; Sekine, H.; Ogawa, H. Clinical study of central taste disorders and discussion of the central gustatory pathway. J. Neurol. 2012, 259, 261–266. [Google Scholar] [CrossRef] [PubMed]
- Stevenson, R.J.; Miller, L.A.; McGrillen, K. The lateralization of gustatory function and the flow of information from tongue to cortex. Neuropsychologia 2013, 51, 1408–1416. [Google Scholar] [CrossRef] [PubMed]
- Berlucchi, G.; Moro, V.; Guerrini, C.; Aglioti, S.M. Dissociation between taste and tactile extinction on the tongue after right brain damage. Neuropsychologia 2004, 42, 1007–1016. [Google Scholar] [CrossRef]
- Iannilli, E.; Singh, P.B.; Schuster, B.; Gerber, J.; Hummel, T. Taste laterality studied by means of umami and salt stimuli: An fMRI study. Neuroimage 2012, 60, 426–435. [Google Scholar] [CrossRef]
- Lee, B.; Hwang, S.; Rison, R.; Chang, G. Central pathway of taste: Clinical and MRI study. Eur. Neurol. 1998, 39, 200–203. [Google Scholar] [CrossRef]
- Pritchard, T.C.; Macaluso, D.A.; Eslinger, P.J. Taste perception in patients with insular cortex lesions. Behav. Neurosci. 1999, 113, 663–671. [Google Scholar] [CrossRef]
- Iannilli, E.; Gudziol, V. Gustatory pathway in humans: A review of models of taste perception and their potential lateralization. J. Neurosci. Res. 2018, 97, 230–240. [Google Scholar] [CrossRef] [PubMed]
- Mascioli, G.; Berlucchi, G.; Pierpaoli, C.; Salvolini, U.; Barbaresi, P.; Fabri, M.; Polonara, G. Functional MRI cortical activations from unilateral tactile-taste stimulations of the tongue. Physiol. Behav. 2015, 151, 221–229. [Google Scholar] [CrossRef] [PubMed]
- Landis, B.N.; Welge-Luessen, A.; Brämerson, A.; Bende, M.; Mueller, C.A.; Nordin, S.; Hummel, T. “Taste strips”—A rapid, lateralized, gustatory bedside identification test based on impregnated filter papers. J. Neurol. 2009, 256, 242–248. [Google Scholar] [CrossRef] [PubMed]
- Faurion, A.; Kobayakawa, T.; Cerf-Ducastel, B. Functional magnetic resonance imaging study of taste. In The Senses; Firesten, S., Beauchamp, G.K., Eds.; Olfaction and Taste; Elsevier: Oxford, UK, 2008; Volume 4, pp. 271–279. [Google Scholar]
- Veldhuizen, M.G.; Albrecht, J.; Zelano, C.; Boesveldt, S.; Breslin, P.; Lundström, J.N. Identification of human gustatory cortex by activation likelihood estimation. Hum. Brain Mapp. 2011, 32, 2256–2266. [Google Scholar] [CrossRef] [PubMed]
- Small, D.M. Taste representation in the human insula. Brain Struct. Funct. 2010, 214, 551–561. [Google Scholar] [CrossRef] [PubMed]
- Penfield, W.; Boldrey, E. Somatic motor and sensory representation in the cerebral cortex of man as studied by electrical stimulation. Brain 1937, 60, 389–443. [Google Scholar] [CrossRef]
- Picard, C.; Olivier, A. Sensory cortical tongue representation in man. J. Neurosurg. 1983, 59, 781–789. [Google Scholar] [CrossRef] [PubMed]
- Polonara, G.; Fabri, M.; Mascioli, G.; Tassinari, G.; Berlucchi, G.; Manzoni, T.; Salvolini, U. The cortical representation of taste in the human brain: An f MRI study. In Proceedings of the European Congress of Radiology (ECR), Vienna, Austria, 3–7 March 2006. [Google Scholar]
- Polonara, G.; Mascioli, G.; Paggi, A.; Tassinari, G.; Berlucchi, G.; Salvolini, U.; Manzoni, T.; Fabri, M. The cortical representation of taste in the human brain: An fMRI study on callosotomized patients. In Proceedings of the 12th International Conference on Human Brain Mapping (HBMO), Florence, Italy, 11–15 June 2006. [Google Scholar]
- Fabri, M.; Polonara, G. Functional topography of the corpus callosum as revealed by fMRI and behavioural studies of control subjects and patients with callosal resection. Neuropsychologia 2023, 183, 108533. [Google Scholar] [CrossRef]
- Quattrini, A.; Papo, I.; Paggi, A.; Ortensi, A.; Rychlicki, F.; Fronzoni, M.; Recchioni, M.A.; Marchioro, R.; Pauri, G.L.; Bonaparte, A.; et al. Anterior callosotomy in drug-resistant epilepsy. Adv. Epileptol. 1989, 17, 42–45. [Google Scholar]
- Pizzini, F.B.; Polonara, G.; Mascioli, G.; Beltramello, A.; Moroni, R.; Paggi, A.; Salvolini, U.; Tassinari, G.; Fabri, M. Diffusion tensor tracking of callosal fibers several years alter callosotomy. Brain Res. 2010, 1312, 10–17. [Google Scholar] [CrossRef]
- Oldfield, R.C. The assessment and analysis of handedness: The Edinburg inventory. Neuropsychologia 1971, 9, 97–113. [Google Scholar] [CrossRef] [PubMed]
- Kim, S.-G.; Urgubil, K. Functional magnetic resonance imaging of the human brain. J. Neurosci. Methods 1997, 15, 3821–3839. [Google Scholar] [CrossRef] [PubMed]
- Talairach, J.; Turnoux, P. Co-Planar Stereotaxic Atlas of the Human Brain; Thieme Medical Publishers: New York, NY, USA, 1988; pp. 1–122. [Google Scholar]
- Mai, J.K.; Assheuer, J.; Paxinos, G. Atlas of the Human Brain; Academic Press: San Diego, CA, USA, 1997; pp. 1–328. [Google Scholar]
- Fabri, M.; Polonara, G. Functional topography of human corpus callosum: An FMRI mapping study. Neural Plast. 2013, 2013, 251308. [Google Scholar] [CrossRef] [PubMed]
- Polonara, G.; Mascioli, G.; Foschi, N.; Salvolini, U.; Pierpaoli, C.; Manzoni, T.; Fabri, M.; Barbaresi, P. Further evidence for the topography and connectivity of the corpus callosum: An fMRI study of patients with partial callosal resection. J. Neuroimaging 2015, 25, 465–473. [Google Scholar] [CrossRef] [PubMed]
- Vincis, R.; Fontanini, A. Central taste anatomy and physiology. Handb. Clin. Neurol. 2019, 164, 187–204. [Google Scholar] [PubMed]
- Pritchard, T.C.; Hamilton, R.B.; Norgren, R. Projections of the Parabrachial Nucleus in the Old World Monkey. Exp. Neurol. 2000, 165, 101–117. [Google Scholar] [CrossRef]
- Simon, S.A.; de Araujo, I.E.; Gutierrez, R.; Nicolelis, M.A. The neural mechanisms of gustation: A distributed processing code. Nat. Rev. Neurosci. 2006, 7, 890–901. [Google Scholar] [CrossRef]
- Herbert, H.; Moga, M.M.; Saper, C.B. Connections of the parabrachial nucleus with the nucleus of the solitary tract and the medullary reticular formation in the rat. J. Comp. Neurol. 1990, 293, 540–580. [Google Scholar] [CrossRef]
- Williams, J.B.; Murphy, D.M.; Reynolds, K.E.; Welch, S.J.; King, M.S. Demonstration of a bilateral projection from the rostral nucleus of the solitary tract to the medial parabrachial nucleus in rat. Brain Res. 1996, 737, 231–237. [Google Scholar] [CrossRef]
- Tokita, K.; Inoue, T.; Boughter, J.D., Jr. Afferent connections of the parabrachial nucleus in C57BL/6J mice. Neuroscience 2009, 161, 475–488. [Google Scholar] [CrossRef] [PubMed]
- Beckstead, R.M.; Morse, J.; Norgren, R. The nucleus of the solitary tract in the monkey: Projections to thalamus and other brainstem nuclei. J. Comp. Neurol. 1980, 90, 259–282. [Google Scholar] [CrossRef] [PubMed]
- Pritchard, T.C.; Hamilton, R.B.; Morse, J.; Norgren, R. Projections of thalamic gustatory and lingual areas in the monkey, Macaca fascicularis. J. Comp. Neurol. 1986, 244, 213–228. [Google Scholar] [CrossRef] [PubMed]
- Pritchard, T.C.; Hamilton, R.B.; Norgren, R. Neural coding of gustatory information in the thalamus of Macaca mulatta. J. Neurophysiol. 1989, 61, 1–14. [Google Scholar] [CrossRef] [PubMed]
- Reilly, S.; Pritchard, T.C. The effect of thalamic lesions on primate taste preference. Exp. Neurol. 1995, 135, 56–66. [Google Scholar] [CrossRef] [PubMed]
- Blomquist, A.J.; Benjamin, R.M.; Emmers, R. Thalamic localization of afferents from the tongue in squirrel monkey (Saimiri sciureus). J. Comp. Neurol. 1962, 118, 77–88. [Google Scholar] [CrossRef] [PubMed]
- Emmers, R. Localization of thalamic projection of afferents from the tongue in the cat. Anat. Rec. 1962, 148, 67–74. [Google Scholar] [CrossRef]
- Menani, J.V.; De Luca, L.A., Jr.; Johnson, A.K. Role of the lateral parabrachial nucleus in the control of sodium appetite. Am. J. Physiol.-Regul. Integr. Comp. Physiol. 2014, 306, R201–R210. [Google Scholar] [CrossRef]
- Benarroch, E.E. Parabrachial nuclear complex: Multiple functions and potential clinical implications. Neurology 2016, 86, 676–683. [Google Scholar] [CrossRef]
- Edwards, G.L.; Johnson, A.K. Enhanced drinking after excitotoxic lesions of the parabrachial nucleus in the rat. Am. J. Physiol. Regul. Integr. Comp. Physiol. 1991, 261, R1039–R1044. [Google Scholar] [CrossRef]
- Menani, J.V.; Thunhorst, R.L.; Johnson, A.K. Lateral parabrachial nucleus and serotonergic mechanisms in the control of salt appetite in rats. Am. J. Physiol. Regul. Integr. Comp. Physiol. 1996, 270, R162–R168. [Google Scholar] [CrossRef] [PubMed]
- Geerling, J.C.; Loewy, A.D. Sodium depletion activates the aldosterone sensitive neurons in the NTS independently of thirst. Am. J. Physiol. Regul. Integr. Comp. Physiol. 2007, 292, R1338–R1348. [Google Scholar] [CrossRef] [PubMed][Green Version]
- Higgs, S.; Cooper, S.J. Hyperphagia induced by direct administration of midazolam into the parabrachial nucleus of the rat. Eur. J. Pharmacol. 1996, 313, 1–9. [Google Scholar] [CrossRef] [PubMed]
- Wu, Q.; Boyle, M.P.; Palmiter, R.D. Loss of GABAergic signaling by AgRP neurons to the parabrachial nucleus leads to starvation. Cell 2009, 137, 1225–1234. [Google Scholar] [CrossRef] [PubMed]
- Geerling, J.C.; Shin, J.W.; Chimenti, P.C.; Loewy, A.D. Paraventricular hypothalamic nucleus: Axonal projections to the brainstem. J. Comp. Neurol. 2010, 518, 1460–1499. [Google Scholar] [CrossRef] [PubMed]
- Li, M.M.; Madara, J.C.; Steger, J.S.; Krashes, M.J.; Balthasar, N.; Campbell, J.N.; Resch, J.M.; Conley, N.J.; Garfield, A.S.; Lowell, B.B. The paraventricular hypothalamus regulates satiety and prevents obesity via two genetically distinct circuits. Neuron 2019, 102, 653–667. [Google Scholar] [CrossRef]
- Grady, F.; Peltekian, L.; Iverson, G.; Geerling, J.C. Direct parabrachial–cortical connectivity. Cereb. Cortex 2020, 30, 4811–4833. [Google Scholar] [CrossRef]
- Calamante, F. The seven deadly sins of measuring brain structural connectivity using diffusion MRI streamlines fibre-tracking. Diagnostics 2019, 9, 115. [Google Scholar] [CrossRef]
- Dell’Acqua, F.; Tournier, J.D. Modelling white matter with spherical deconvolution: How and why? NMR Biomed. 2019, 32, e3945. [Google Scholar] [CrossRef]
- Jeurissen, B.; Descoteaux, M.; Mori, S.; Leemans, A. Diffusion MRI fiber tractography of the brain. NMR Biomed. 2019, 32, e3785. [Google Scholar] [CrossRef]






| Patient | Gender | Age | I.Q. | Oldfield Score | Callosal Resection | Years from Surgery | DTI | Stimulus Side | Stimulation Protocol |
|---|---|---|---|---|---|---|---|---|---|
| P2 | M | 51 | 81 | 10 (right) | total | 21 | yes | L, R | p2 |
| P3 | M | 30 | 83 | 21 (right) | total | 11 | yes | L, R | p2 |
| P5 | F | 27 | 70 | 10 (right) | total | 10 | yes | L, R | p1 |
| P7 | M | 48 | 88 | 10 (right) | partial posterior | 7 | yes | L, R | p2 |
| P9 | M | 35 | 70 | 46 (left) | partial anterior | 16 | yes | L, R | p1 |
| P11 | M | 36 | 70 | 10 (right) | partial anterior | 15 | yes | L, R | p2 |
| P12 | F | 32 | 70 | 12 (right) | partial anterior | 17 | yes | L, R | p2 |
| P18 | M | 26 | na | 10 (right) | partial central | 2 | yes | R | p2 |
| Left hemitongue Stimulation | Right Hemitongue Stimulation | |||||||||||||||||||
|---|---|---|---|---|---|---|---|---|---|---|---|---|---|---|---|---|---|---|---|---|
| Patients | Ipsilateral AIFO | Contralateral AIFO | Ipsilateral AIFO | Contralateral AIFO | ||||||||||||||||
| x | y | z | Voxel | % | x | y | z | Voxel | % | x | y | z | Voxel | % | x | y | z | Voxel | % | |
| P2 | −28 | 16 | 13 | 351 | 0.95 | 37 | 11 | 12 | 37 | 0.57 | 41 | 11 | 1 | 362 | 1.35 | −39 | 11 | 4 | 453 | 0.70 |
| P3 | −34 | 8 | 15 | 511 | 0.30 | 33 | 17 | 18 | 403 | 0.44 | 37 | 16 | 7 | 182 | 0.33 | −28 | 12 | 7 | 391 | 1.09 |
| P5 | −30 | 16 | −1 | 841 | 5.23 | 42 | 16 | −1 | 769 | 1.98 | 36 | 13 | 9 | 696 | 0.35 | −32 | 11 | 9 | 827 | 0.66 |
| P7 | −39 | 17 | 7 | 91 | 0.51 | 42 | 16 | 9 | 89 | 0.89 | 34 | 15 | 7 | 457 | 0.84 | −31 | 22 | 7 | 90 | 0.62 |
| P9 | −38 | 18 | 9 | 362 | 0.65 | 29 | 20 | 11 | 147 | 0.48 | 41 | 17 | 11 | 210 | 0.39 | −36 | 19 | 11 | 439 | 0.34 |
| P11 | −35 | 11 | 17 | 70 | 1.12 | 30 | 12 | 17 | 128 | 0.47 | 40 | 4 | 3 | 148 | 0.24 | −35 | 4 | 3 | 197 | 0.93 |
| P12 | −37 | 16 | 362 | 100 | 1.42 | 29 | 20 | 11 | 111 | 1.31 | 31 | 23 | 12 | 335 | 1.69 | −32 | 21 | 12 | 318 | 2.2 |
| P18 | 31 | 20 | 13 | 181 | 0.57 | −28 | 9 | 12 | 51 | 0.3 | ||||||||||
| Median | −35 | 16 | 13 | 351 | 0.95 | 33 | 16 | 11 | 128 | 0.57 | 37 | 16 | 8 | 273 | 0.48 | −32 | 12 | 8 | 355 | 0.68 |
| 25th percentile | −38 | 14 | 8 | 96 | 0.58 | 30 | 14 | 10 | 100 | 0.48 | 33 | 13 | 6 | 182 | 0.35 | −35 | 11 | 6 | 170 | 0.55 |
| 75th percentile | −32 | 17 | 16 | 437 | 1.27 | 40 | 19 | 15 | 275 | 1.10 | 40 | 18 | 11 | 386 | 0.97 | −30 | 20 | 11 | 443 | 0.97 |
| Mean | −34 | 15 | 9 | 332 | 1.45 | 35 | 16 | 11 | 241 | 0.88 | 36 | 15 | 8 | 321 | 0.72 | −33 | 14 | 8 | 346 | 0.86 |
| SD | 4 | 4 | 6 | 281 | 1.71 | 6 | 4 | 6 | 261 | 0.58 | 4 | 6 | 4 | 186 | 0.53 | 4 | 6 | 3 | 248 | 0.60 |
| Left Hemitongue Stimulation | Right Hemitongue Stimulation | |||||||||||||||||||
|---|---|---|---|---|---|---|---|---|---|---|---|---|---|---|---|---|---|---|---|---|
| Patients | Ipsilateral SI | Contralateral SI | Ipsilateral SI | Contralateral SI | ||||||||||||||||
| x | y | z | Voxel | % | x | y | z | Voxel | % | x | y | z | Voxel | % | x | y | z | Voxel | % | |
| P2 | −50 | −15 | 23 | 156 | 1.5 | 55 | −16 | 30 | 385 | 0.99 | 56 | −10 | 34 | 63 | 11.92 | −46 | −10 | 38 | 134 | 0.98 |
| P3 | −48 | −28 | 31 | 149 | 0.56 | 52 | −30 | 31 | 542 | 0.3 | 47 | −10 | 30 | 248 | 0.25 | −42 | −15 | 30 | 282 | 0.3 |
| P5 | ||||||||||||||||||||
| P7 | −48 | −25 | 33 | 95 | 0.33 | 46 | −28 | 40 | 516 | 0.18 | 51 | −27 | 40 | 176 | 0.25 | −58 | −19 | 40 | 637 | 1.03 |
| P9 | 56 | −10 | 28 | 255 | 0.58 | |||||||||||||||
| P11 | −53 | −23 | 30 | 231 | 0.95 | 49 | −32 | 28 | 267 | 0.76 | 46 | −27 | 37 | 132 | 0.33 | −51 | −23 | 37 | 595 | 0.41 |
| P12 | 50 | −11 | 33 | 43 | 0.55 | 45 | −29 | 32 | 441 | 0.39 | −52 | −13 | 23 | 861 | 0.69 | |||||
| P18 | −55 | −23 | 38 | 400 | 0.4 | |||||||||||||||
| Median | −49 | −24 | 31 | 153 | 0.76 | 51 | −22 | 31 | 326 | 0.57 | 47 | −27 | 34 | 176 | 0.33 | −52 | −17 | 38 | 498 | 0.55 |
| 25th percentile | −51 | −26 | 28 | 136 | 0.50 | 49 | −30 | 29 | 258 | 0.36 | 46 | −27 | 32 | 132 | 0.25 | −54 | −22 | 32 | 312 | 0.40 |
| 75th percentile | −48 | −21 | 32 | 175 | 1.09 | 54 | −12 | 33 | 483 | 0.72 | 51 | −10 | 37 | 248 | 0.39 | −47 | −14 | 38 | 627 | 0.91 |
| Mean | −50 | −23 | 29 | 158 | 0.84 | 51 | −20 | 31 | 335 | 0.56 | 49 | −21 | 35 | 212 | 2.63 | −51 | −17 | 35 | 485 | 0.64 |
| SD | 2 | 6 | 4 | 56 | 0.51 | 4 | 12 | 5 | 187 | 0.30 | 5 | 10 | 4 | 145 | 5.19 | 6 | 5 | 7 | 263.9 | 0.32 |
| A | Left Hemitongue Stimulation | Right Hemitongue Stimulation | ||||||||||||||||||
|---|---|---|---|---|---|---|---|---|---|---|---|---|---|---|---|---|---|---|---|---|
| Ipsilateral AIFO | Contralateral AIFO | Ipsilateral AIFO | Contralateral AIFO | |||||||||||||||||
| x | y | z | Voxel | % | x | y | z | Voxel | % | x | y | z | Voxel | % | x | y | z | Voxel | % | |
| Patients | ||||||||||||||||||||
| Median | −35 | 16 | 13 | 351 | 0.95 | 33 | 16 | 11 | 128 | 0.57 | 37 | 16 | 8 | 273 | 0.48 | −32 | 12 | 8 | 355 | 0.68 |
| 25th percentile | −38 | 14 | 8 | 96 | 0.58 | 30 | 14 | 10 | 100 | 0.48 | 33 | 13 | 6 | 182 | 0.35 | −35 | 11 | 6 | 170 | 0.55 |
| 75th percentile | −32 | 17 | 16 | 437 | 1.27 | 40 | 19 | 15 | 275 | 1.10 | 40 | 18 | 11 | 386 | 0.97 | −30 | 20 | 11 | 443 | 0.97 |
| Controls | ||||||||||||||||||||
| Median | −45 | 14 | 4 | 251 | 2 | 37 | 12 | 4 | 135 | 1.00 | 38 | 16 | 4 | 165 | 1 | −39 | 16 | 4 | 147 | 2.00 |
| 25th percentile | −46 | 7 | 0 | 139 | 1 | 35 | 6 | 1 | 104 | 0.90 | 35 | 14 | 1 | 60 | 1 | −48 | 15 | 1 | 90 | 1.00 |
| 75th percentile | −40 | 21 | 4 | 940 | 2 | 45 | 16 | 4 | 432 | 2.00 | 45 | 20 | 8 | 294 | 4 | −36 | 19 | 7 | 362 | 4.30 |
| Wilcoxon non-paired data | 0.001 | 0.68 | 0.56 | 0.92 | 0.07 | 0.17 | 0.26 | 0.009 | 0.84 | 0.01 | 0.26 | 0.84 | 0.16 | 0.32 | 0.02 | 0.02 | 0.21 | 0.04 | 0.44 | 0.01 |
| Kruskal–Wallis test | 0.13 | 0.33 | 0.92 | 0.62 | ||||||||||||||||
| B | Left Hemitongue Stimulation | Right Hemitongue Stimulation | ||||||||||||||||||
| Ipsilateral SI | Contralateral SI | Ipsilateral SI | Contralateral SI | |||||||||||||||||
| x | y | z | Voxel | % | x | y | z | Voxel | % | x | y | z | Voxel | % | x | y | z | Voxel | % | |
| Patients | ||||||||||||||||||||
| Median | −49 | −24 | 31 | 153 | 0.76 | 51 | −22 | 31 | 326 | 0.57 | 47 | −27 | 34 | 176 | 0.33 | −52 | −17 | 38 | 498 | 0.55 |
| 25th percentile | −51 | −26 | 28 | 136 | 0.50 | 49 | −30 | 29 | 258 | 0.36 | 46 | −27 | 32 | 132 | 0.25 | −54 | −22 | 32 | 312 | 0.40 |
| 75th percentile | −48 | −21 | 32 | 175 | 1.09 | 54 | −12 | 33 | 483 | 0.72 | 51 | −10 | 37 | 248 | 0.39 | −47 | −14 | 38 | 627 | 0.91 |
| Controls | ||||||||||||||||||||
| Median | −55 | −18.5 | 25.5 | 478,5 | 0.8 | 51.5 | −16.5 | 25.5 | 510 | 0.7 | 54 | −18 | 23 | 340 | 0.6 | −55 | −19 | 29 | 568 | 0.9 |
| 25th percentile | −57 | −21.5 | 24 | 300 | 0.7 | 48 | −20 | 22 | 400.5 | 0.6 | 52 | −18.5 | 21.5 | 159.5 | 0.5 | −57 | −20 | 26 | 180 | 0.8 |
| 75th percentile | −52 | −16.5 | 26.5 | 723.5 | 1.4 | 54.5 | −11.5 | 29 | 767 | 0.9 | 55.5 | −15.5 | 27 | 382 | 1 | −50 | −18 | 31 | 614 | 1.2 |
| Wilcoxon non-paired data | 0.12 | 0.24 | 0.11 | 0.07 | 0.57 | 0.94 | 0.39 | 0.09 | 0.14 | 0.30 | 0.22 | 0.43 | 0.01 | 0.64 | 0.32 | 0.46 | 0.55 | 0.14 | 0.66 | 0.13 |
| Kruskal–Wallis test | 0.67 | 0.89 | 0.91 | 0.54 | ||||||||||||||||
Disclaimer/Publisher’s Note: The statements, opinions and data contained in all publications are solely those of the individual author(s) and contributor(s) and not of MDPI and/or the editor(s). MDPI and/or the editor(s) disclaim responsibility for any injury to people or property resulting from any ideas, methods, instructions or products referred to in the content. |
© 2023 by the authors. Licensee MDPI, Basel, Switzerland. This article is an open access article distributed under the terms and conditions of the Creative Commons Attribution (CC BY) license (https://creativecommons.org/licenses/by/4.0/).
Share and Cite
Polonara, G.; Mascioli, G.; Salvolini, U.; Paggi, A.; Manzoni, T.; Fabri, M. The Contribution of the Corpus Callosum to the Symmetrical Representation of Taste in the Human Brain: An fMRI Study of Callosotomized Patients. Symmetry 2023, 15, 2188. https://doi.org/10.3390/sym15122188
Polonara G, Mascioli G, Salvolini U, Paggi A, Manzoni T, Fabri M. The Contribution of the Corpus Callosum to the Symmetrical Representation of Taste in the Human Brain: An fMRI Study of Callosotomized Patients. Symmetry. 2023; 15(12):2188. https://doi.org/10.3390/sym15122188
Chicago/Turabian StylePolonara, Gabriele, Giulia Mascioli, Ugo Salvolini, Aldo Paggi, Tullio Manzoni, and Mara Fabri. 2023. "The Contribution of the Corpus Callosum to the Symmetrical Representation of Taste in the Human Brain: An fMRI Study of Callosotomized Patients" Symmetry 15, no. 12: 2188. https://doi.org/10.3390/sym15122188
APA StylePolonara, G., Mascioli, G., Salvolini, U., Paggi, A., Manzoni, T., & Fabri, M. (2023). The Contribution of the Corpus Callosum to the Symmetrical Representation of Taste in the Human Brain: An fMRI Study of Callosotomized Patients. Symmetry, 15(12), 2188. https://doi.org/10.3390/sym15122188

