The Complete Mitochondrial Genome and Phylogenetic Analysis of Rhagastis binoculata (Matsumura, 1909) (Lepidoptera: Sphingidae)
Abstract
1. Introduction
2. Materials and Methods
2.1. Sample Information, Collections, and DNA Extraction
2.2. Genomic Sequencing and Data Analysis
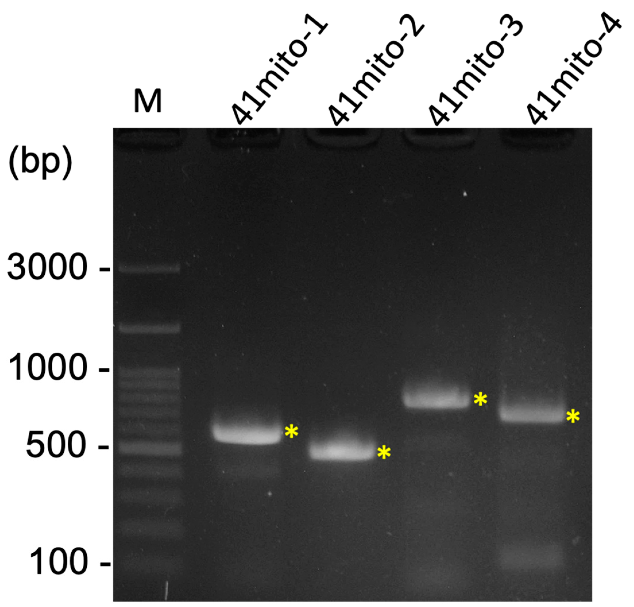
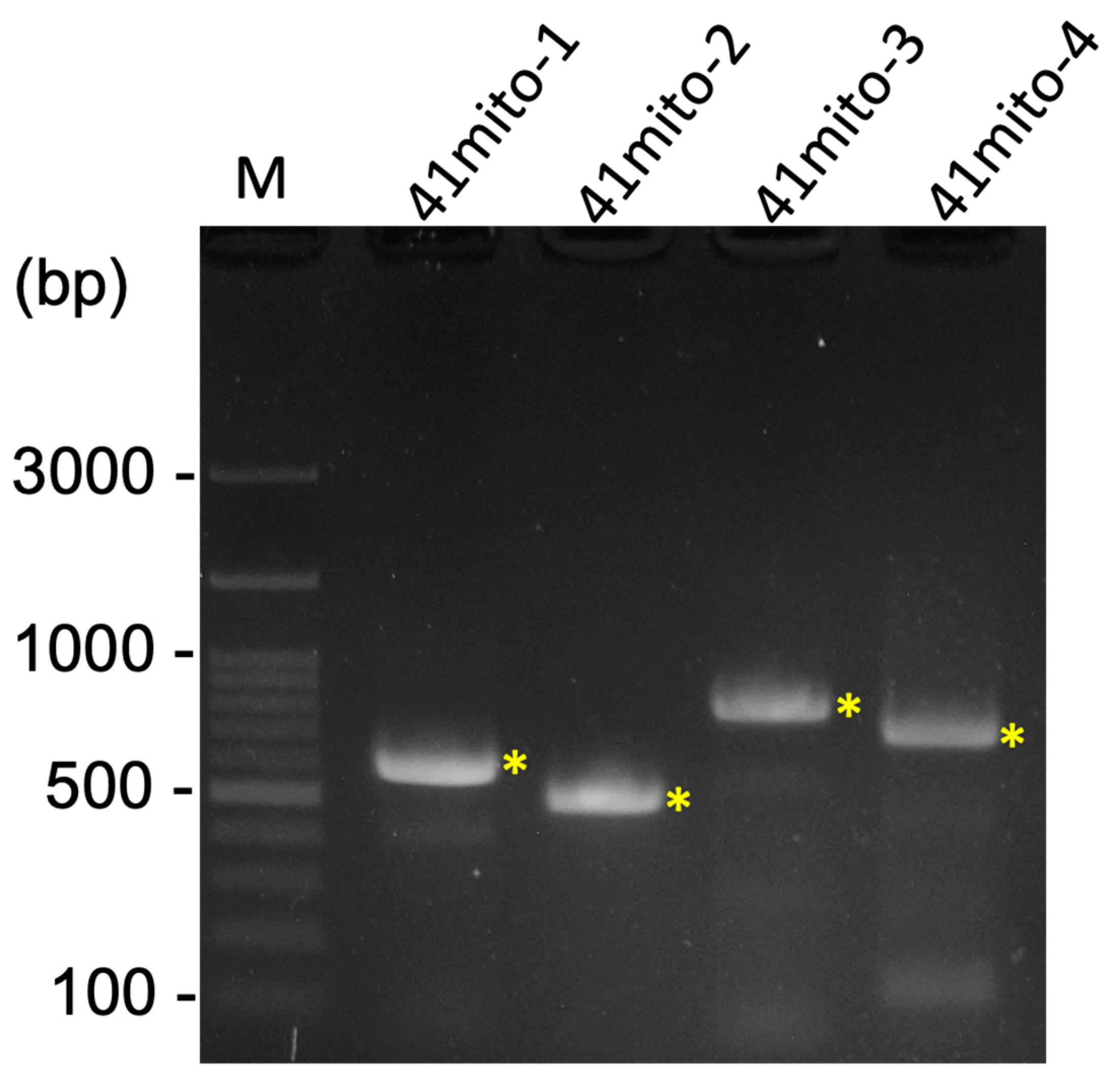
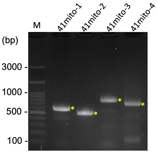
2.3. Species-Level Confirmation of Mitogenome
2.4. Phylogenetic Analyses
3. Results
3.1. Sequencing Summary, Mitogenome Assembly, and Annotation
3.2. Protein-Coding Genes
3.3. Transfer RNA and Ribosomal RNA Genes
3.4. Phylogenetic Analysis
4. Discussion
Supplementary Materials
Author Contributions
Funding
Institutional Review Board Statement
Informed Consent Statement
Data Availability Statement
Acknowledgments
Conflicts of Interest
References
- van Nieukerken, E.J.; Kitching, I.J.; Kristensen, N.P.; Lees, D.C.; Minet, J.; Mitter, C.; Mutanen, M.; Regier, J.C.; Simonsen, T.J.; Wahlberg, N.; et al. Order Lepidoptera Linnaeus; 1758. Zhang, Z.-Q. Animal biodiversity: An outline of higher-level classification and survey of taxonomic richness. Zootaxa 2011, 3148, 212–221. Available online: https://mapress.com/zt/article/view/zootaxa.3148.1.41 (accessed on 3 September 2024). [CrossRef]
- Regier, J.C.; Zwick, A.; Cummings, M.P.; Kawahara, A.Y.; Cho, S.; Weller, S.; Roe, A.; Baixeras, J.; Brown, J.W.; Parr, C.; et al. Toward reconstructing the evolution of advanced moths and butterflies (Lepidoptera: Ditrysia): An initial molecular study. BMC Evol. Biol. 2009, 9, 280. [Google Scholar] [CrossRef] [PubMed]
- Sun, Y.; Huang, H.; Liu, Y.D.; Liu, S.S.; Xia, J.; Zhang, K.; Geng, J. Organization and phylogenetic relationships of the mitochondrial genomes of and other lepidopteran insects. Sci. Rep. 2021, 11, 2957. [Google Scholar] [CrossRef]
- Sun, Y.-X.; Wang, L.; Wei, G.-Q.; Qian, C.; Dai, L.-S.; Sun, Y.; Abbas, M.N.; Zhu, B.-J.; Liu, C.-L. Characterization of the complete mitochondrial genome of Leucoma salicis (Lepidoptera: Lymantriidae) and comparison with other lepidopteran insects. Sci. Rep. 2016, 6, 39153. [Google Scholar] [CrossRef]
- Wei, Z.-X.; Sun, G.; Shiu, J.-Y.; Fang, Y.; Shi, Q.-H. The complete mitochondrial genome sequence of Dodona eugenes (Lepidoptera: Riodinidae). Mitochondrial DNA Part B 2021, 6, 816–818. [Google Scholar] [CrossRef] [PubMed]
- Singh, D.; Kabiraj, D.; Sharma, P.; Chetia, H.; Mosahari, P.V.; Neog, K.; Bora, U. The mitochondrial genome of Muga silkworm (Antheraea assamensis) and its comparative analysis with other lepidopteran insects. PLoS ONE 2017, 12, e0188077. [Google Scholar] [CrossRef]
- Chen, D.B.; Zhang, R.S.; Jin, X.D.; Yang, J.; Li, P.; Liu, Y.Q. First complete mitochondrial genome of Rhodinia species (Lepidoptera: Saturniidae): Genome description and phylogenetic implication. Bull. Èntomol. Res. 2022, 112, 243–252. [Google Scholar] [CrossRef]
- Liu, X.M.; Qi, M.J.; Xu, H.Z.; Wu, Z.P.; Hu, L.Z.; Yang, M.S.; Li, H.H. Nine Mitochondrial Genomes of the Pyraloidea and Their Phylogenetic Implications (Lepidoptera). Insects 2021, 12, 1039. [Google Scholar] [CrossRef]
- Xu, C.; Pan, Z.-Q.; Nie, L.; Hao, J.-S. The complete mitochdrial genome of Issoria eugenia (Lepidoptera: Nymphalidae: Heliconiinae). Mitochondrial DNA Part B 2019, 4, 1662–1663. [Google Scholar] [CrossRef]
- Sun, Y.; Chen, C.; Gao, J.; Abbas, M.N.; Kausar, S.; Qian, C.; Wang, L.; Wei, G.; Zhu, B.-J.; Liu, C.-L. Comparative mitochondrial genome analysis of Daphnis nerii and other lepidopteran insects reveals conserved mitochondrial genome organization and phylogenetic relationships. PLoS ONE 2017, 12, e0178773. [Google Scholar] [CrossRef]
- Huang, Y.-X.; Xing, Z.-P.; Zhang, H.; Xu, Z.-B.; Tao, L.-L.; Hu, H.-Y.; Kitching, I.J.; Wang, X. Characterization of the complete mitochondrial genome of eight diurnal hawkmoths (Lepidoptera: Sphingidae): New insights into the origin and evolution of diurnalism in sphingids. Insects 2022, 13, 887. [Google Scholar] [CrossRef] [PubMed]
- Rhagastis binoculata Matsumura, 1909. The Digital Museum of Nature & Culture. Available online: http://catalog.digitalarchives.tw/item/00/11/46/41.html (accessed on 28 September 2023).
- Jiang, Z.-H.; Wang, J.-X.; Xu, Z.-B.; Kitching, I.J.; Huang, C.-L.; Hu, S.-J.; Xiao, Y.-L. Revision of the Genus Rhagastis Rothschild & Jordan, 1903 (Lepidoptera: Sphingidae) from China, Based on Morphological and Phylogenetic Analyses. Insects 2024, 15, 359. [Google Scholar] [CrossRef] [PubMed]
- Chao, J.-T.; Fan, Y.-B.; Warneke, A. Larger Moths (Lepidoptera: Bombycoidea and Sphingoidea) of the Fushan Experimental Forest, Northern Taiwan. Taiwan J. For. Sci. 1999, 14, 469–478. [Google Scholar]
- Jehle, J.A.; Blissard, G.; Bonning, B.; Cory, J.; Herniou, E.; Rohrmann, G.; Theilmann, D.; Thiem, S.; Vlak, J. On the classification and nomenclature of baculoviruses: A proposal for revision. Arch. Virol. 2006, 151, 1257–1266. [Google Scholar] [CrossRef] [PubMed]
- Wu, C.-Y.; Huang, C.-W.; Nai, Y.-S.; Chu, P.-Y.; Wang, C.-H.; Ding, S.-T. A newly designed EGFP-2A peptide monocistronic baculoviral vector for concatenating the expression of recombinant proteins in insect cells. Processes 2019, 7, 291. [Google Scholar] [CrossRef]
- Cao, C.; Wu, X.; Zhao, N.; Yao, H.; Lu, X.; Tan, Y. Development of a rapid and efficient BmNPV baculovirus expression system for application in mulberry silkworm, Bombyx mori. Curr. Sci. 2006, 91, 1692–1697. [Google Scholar]
- Song, J.; Wang, X.; Hou, D.; Huang, H.; Liu, X.; Deng, F.; Wang, H.; Arif, B.M.; Hu, Z.; Wang, M. The host specificities of baculovirus per os infectivity factors. PLoS ONE 2016, 11, e0159862. [Google Scholar] [CrossRef]
- Martin, M. Cutadapt removes adapter sequences from high-throughput sequencing reads. EMBnet. J. 2011, 17, 10–12. [Google Scholar] [CrossRef]
- Schmieder, R.; Edwards, R. Quality control and preprocessing of metagenomic datasets. Bioinformatics 2011, 27, 863–864. [Google Scholar] [CrossRef]
- Patel, R.K.; Jain, M. NGS QC Toolkit: A toolkit for quality control of next generation sequencing data. PLoS ONE 2012, 7, e30619. [Google Scholar] [CrossRef]
- Li, D.H.; Liu, C.M.; Luo, R.B.; Sadakane, K.; Lam, T.W. MEGAHIT: An ultra-fast single-node solution for large and complex metagenomics assembly via succinct de Bruijn graph. Bioinformatics 2015, 31, 1674–1676. [Google Scholar] [CrossRef]
- Bernt, M.; Donath, A.; Juhling, F.; Externbrink, F.; Florentz, C.; Fritzsch, G.; Putz, J.; Middendorf, M.; Stadler, P.F. MITOS: Improved de novo metazoan mitochondrial genome annotation. Mol. Phylogenetics Evol. 2013, 69, 313–319. [Google Scholar] [CrossRef] [PubMed]
- Cameron, S.L. Insect mitochondrial genomics: Implications for evolution and phylogeny. Annu. Rev. Entomol. 2014, 59, 95–117. [Google Scholar] [CrossRef] [PubMed]
- Zhu, X.-S.; Wang, X.; Meng, Y.-F.; Huang, Y.-X. Complete mitochondrial characteristics and phylogenetic analysis of Deilephila elpenor (Linnaeus, 1758) (Lepidoptera: Sphingidae). Mitochondrial DNA Part B 2023, 8, 952–955. [Google Scholar] [CrossRef]
- Li, J.; Zhang, Y.; Hu, K.; Zhao, Y.; Lin, R.; Li, Y.; Huang, Z.; Zhang, X.; Geng, X.; Ding, J. Mitochondrial genome characteristics of two Sphingidae insects (Psilogramma increta and Macroglossum stellatarum) and implications for their phylogeny. Int. J. Biol. Macromol. 2018, 113, 592–600. [Google Scholar] [CrossRef] [PubMed]
- Wang, X.; Zhang, H.; Kitching, I.; Xu, Z.-B.; Huang, Y.-X. First mitogenome of subfamily Langiinae (Lepidoptera: Sphingidae) with its phylogenetic implications. Gene 2021, 789, 145667. [Google Scholar] [CrossRef]
- Wang, X.; Zhang, H.; Qu, W.-Y.; Huang, Y.-X. The complete mitochondrial genome sequence of the hawk moth, Theretra oldenlandiae (Lepidoptera: Sphingidae). Mitochondrial DNA Part B 2020, 5, 978–979. [Google Scholar] [CrossRef]
- Lu, Q.; Yao, H.; Zhang, J.; Xu, H.; Jiang, C. The complete mitogenome sequence of the hawk moth, Theretra latreillii subsp. lucasii (Lepidoptera: Sphingidae) from Zhejiang Province, China. Mitochondrial DNA Part B 2021, 6, 1880–1882. [Google Scholar] [CrossRef]
- Camacho, C.; Coulouris, G.; Avagyan, V.; Ma, N.; Papadopoulos, J.; Bealer, K.; Madden, T.L. BLAST+: Architecture and applications. BMC Bioinform. 2009, 10, 421. [Google Scholar] [CrossRef]
- Edgar, R.C. Muscle5: High-accuracy alignment ensembles enable unbiased assessments of sequence homology and phylogeny. Nat. Commun. 2022, 13, 6968. [Google Scholar] [CrossRef]
- Kalyaanamoorthy, S.; Minh, B.Q.; Wong, T.K.; Von Haeseler, A.; Jermiin, L.S. ModelFinder: Fast model selection for accurate phylogenetic estimates. Nat. Methods 2017, 14, 587–589. [Google Scholar] [CrossRef]
- Darriba, D.; Posada, D.; Kozlov, A.M.; Stamatakis, A.; Morel, B.; Flouri, T. ModelTest-NG: A new and scalable tool for the selection of DNA and protein evolutionary models. Mol. Biol. Evol. 2020, 37, 291–294. [Google Scholar] [CrossRef] [PubMed]
- Minh, B.Q.; Schmidt, H.A.; Chernomor, O.; Schrempf, D.; Woodhams, M.D.; Von Haeseler, A.; Lanfear, R. IQ-TREE 2: New models and efficient methods for phylogenetic inference in the genomic era. Mol. Biol. Evol. 2020, 37, 1530–1534. [Google Scholar] [CrossRef] [PubMed]
- Dereeper, A.; Audic, S.; Claverie, J.-M.; Blanc, G. BLAST-EXPLORER helps you building datasets for phylogenetic analysis. BMC Evol. Biol. 2010, 10, 8. [Google Scholar] [CrossRef] [PubMed]
- Dereeper, A.; Guignon, V.; Blanc, G.; Audic, S.; Buffet, S.; Chevenet, F.; Dufayard, J.-F.; Guindon, S.; Lefort, V.; Lescot, M. Phylogeny. fr: Robust phylogenetic analysis for the non-specialist. Nucleic Acids Res. 2008, 36, W465–W469. [Google Scholar] [CrossRef]
- Huelsenbeck, J.P.; Ronquist, F. MRBAYES: Bayesian inference of phylogenetic trees. Bioinformatics 2001, 17, 754–755. [Google Scholar] [CrossRef]
- Chen, Q.; Chen, L.; Liao, C.-Q.; Wang, X.; Wang, M.; Huang, G.-H. Comparative mitochondrial genome analysis and phylogenetic relationship among lepidopteran species. Gene 2022, 830, 146516. [Google Scholar] [CrossRef]
- Liu, D.; Basso, A.; Babbucci, M.; Patarnello, T.; Negrisolo, E. Macrostructural Evolution of the Mitogenome of Butterflies (Lepidoptera, Papilionoidea). Insects 2022, 13, 358. [Google Scholar] [CrossRef]
- Cao, Y.-Q.; Ma, C.; Chen, J.-Y.; Yang, D.-R. The complete mitochondrial genomes of two ghost moths, Thitarodes renzhiensis and Thitarodes yunnanensis: The ancestral gene arrangement in Lepidoptera. BMC Genom. 2012, 13, 276. [Google Scholar] [CrossRef] [PubMed]
- Jia, C.; Zhang, X.; Xu, S.; Yang, T.; Yanagimoto, T.; Gao, T. Comparative analysis of the complete mitochondrial genomes of three rockfishes (Scorpaeniformes, Sebastiscus) and insights into the phylogenetic relationships of Sebastidae. Biosci. Rep. 2020, 40, BSR20203379. [Google Scholar] [CrossRef]
- Li, J.; Zhao, Y.; Lin, R.; Zhang, Y.; Hu, K.; Li, Y.; Huang, Z.; Peng, S.; Ding, J.; Geng, X. Mitochondrial genome characteristics of Somena scintillans (Lepidoptera: Erebidae) and comparation with other Noctuoidea insects. Genomics 2019, 111, 1239–1248. [Google Scholar] [CrossRef] [PubMed]
- Yang, L.; Dai, J.; Gao, Q.; Yuan, G.; Liu, J.; Sun, Y.; Sun, Y.; Wang, L.; Qian, C.; Zhu, B. Characterization of the complete mitochondrial genome of Orthaga olivacea Warre (Lepidoptera Pyralidae) and comparison with other Lepidopteran insects. PLoS ONE 2020, 15, e0227831. [Google Scholar] [CrossRef] [PubMed]
- Liu, Q.-N.; Chai, X.-Y.; Bian, D.-D.; Zhou, C.-L.; Tang, B.-P. The complete mitochondrial genome of Plodia interpunctella (Lepidoptera: Pyralidae) and comparison with other Pyraloidea insects. Genome 2016, 59, 37–49. [Google Scholar] [CrossRef]
- Li, Q.; Wang, X.; Chen, X.; Han, B. Complete mitochondrial genome of the tea looper caterpillar, Ectropis obliqua (Lepidoptera: Geometridae) with a phylogenetic analysis of Geometridae. Int. J. Biol. Macromol. 2018, 114, 491–496. [Google Scholar] [CrossRef] [PubMed]
- Anderson, S.; Bankier, A.T.; Barrell, B.G.; de Bruijn, M.H.; Coulson, A.R.; Drouin, J.; Eperon, I.C.; Nierlich, D.P.; Roe, B.A.; Sanger, F. Sequence and organization of the human mitochondrial genome. Nature 1981, 290, 457–465. [Google Scholar] [CrossRef]
- Boore, J.L. Animal mitochondrial genomes. Nucleic Acids Res. 1999, 27, 1767–1780. [Google Scholar] [CrossRef]
- Dong, W.-W.; Dong, S.-Y.; Jiang, G.-F.; Huang, G.-H. Characterization of the complete mitochondrial genome of tea tussock moth, Euproctis pseudoconspersa (Lepidoptera: Lymantriidae) and its phylogenetic implications. Gene 2016, 577, 37–46. [Google Scholar] [CrossRef] [PubMed]
- Lu, H.-F.; Su, T.-J.; Luo, A.-R.; Zhu, C.-D.; Wu, C.-S. Characterization of the complete mitochondrion genome of diurnal moth Amata emma (Butler)(Lepidoptera: Erebidae) and its phylogenetic implications. PLoS ONE 2013, 8, e72410. [Google Scholar] [CrossRef]
- Taylor, M.; McKechnie, S.W.; Pierce, N.; Kreitman, M. The lepidopteran mitochondrial control region: Structure and evolution. Mol. Biol. Evol. 1993, 10, 1259–1272. [Google Scholar]






| Gene | Position | Strand | Length (bp) | Overlapping (bp) | Start Codon | Stop Codon | Anti-Codon | |
|---|---|---|---|---|---|---|---|---|
| Start | Stop | |||||||
| trnM | 1 | 68 | F | 68 | - | - | - | AUG |
| trnI | 69 | 133 | F | 65 | 3 | - | - | AUC |
| trnQ | 131 | 199 | R | 69 | 3 | - | - | CAA |
| ND2 | 252 | 1265 | F | 1014 | - | ATC | TAA | - |
| trnW | 1268 | 1334 | F | 67 | 8 | - | - | UGA |
| trnC | 1327 | 1390 | R | 64 | 8 | - | - | UGC |
| trnY | 1391 | 1454 | R | 64 | - | - | - | UAC |
| COX1 | 1458 | 2988 | F | 1531 | - | CGA | T | - |
| trnL2 | 2989 | 3055 | F | 67 | - | - | - | UUA |
| COX2 | 3056 | 3737 | F | 682 | - | ATG | T | - |
| trnK | 3738 | 3808 | F | 71 | 1 | - | - | AAG |
| trnD | 3808 | 3873 | F | 66 | 1 | - | - | GAC |
| ATP8 | 3874 | 4035 | F | 162 | 7 | ATT | TAA | - |
| ATP6 | 4029 | 4703 | F | 675 | 7 | ATG | TAA | - |
| COX3 | 4707 | 5498 | F | 792 | - | ATG | TAA | - |
| trnG | 5501 | 5566 | F | 66 | - | - | - | GGA |
| ND3 | 5567 | 5920 | F | 354 | 2 | ATT | TAG | - |
| trnA | 5919 | 5984 | F | 66 | 2 | - | - | GCA |
| trnR | 5985 | 6049 | F | 65 | - | - | - | CGA |
| trnN | 6050 | 6116 | F | 67 | - | - | - | GUU |
| trnS1 | 6117 | 6183 | F | 67 | - | - | - | AGC |
| trnE | 6201 | 6267 | F | 67 | - | - | - | GAA |
| trnF | 6268 | 6331 | R | 64 | - | - | - | UUC |
| ND5 | 6332 | 8069 | R | 1738 | - | ATT | T | - |
| trnH | 8070 | 8135 | R | 66 | - | - | - | CAC |
| ND4 | 8141 | 9472 | R | 1332 | - | ATG | TAA | - |
| ND4L | 9474 | 9764 | R | 291 | 11 | ATG | TAA | - |
| trnT | 9774 | 9839 | F | 66 | 11,1 | - | - | ACA |
| trnP | 9839 | 9903 | R | 65 | 1 | - | - | CCA |
| ND6 | 9912 | 10,442 | F | 531 | 1 | ATG | TAA | - |
| CYTB | 10,442 | 11,590 | F | 1149 | 1 | ATG | TAA | - |
| trnS2 | 11,597 | 11,660 | F | 64 | - | - | - | UCA |
| ND1 | 11,681 | 12,616 | R | 936 | - | ATG | TAG | - |
| trnL1 | 12,618 | 12,684 | R | 67 | - | - | - | CUA |
| rrn16 | 12,685 | 14,034 | R | 1350 | - | - | - | - |
| trnV | 14,036 | 14,100 | R | 65 | - | - | - | GUA |
| rrn12 | 14,101 | 14,878 | R | 778 | - | - | - | - |
| D_Loop | 14,879 | 15,303 | - | 425 | - | - | - | - |
Disclaimer/Publisher’s Note: The statements, opinions and data contained in all publications are solely those of the individual author(s) and contributor(s) and not of MDPI and/or the editor(s). MDPI and/or the editor(s) disclaim responsibility for any injury to people or property resulting from any ideas, methods, instructions or products referred to in the content. |
© 2024 by the authors. Licensee MDPI, Basel, Switzerland. This article is an open access article distributed under the terms and conditions of the Creative Commons Attribution (CC BY) license (https://creativecommons.org/licenses/by/4.0/).
Share and Cite
Kuo, Y.-Y.; Chang, J.-C.; Li, Y.-H.; Huang, Y.-F.; Wu, T.-Y.; Nai, Y.-S. The Complete Mitochondrial Genome and Phylogenetic Analysis of Rhagastis binoculata (Matsumura, 1909) (Lepidoptera: Sphingidae). Genes 2024, 15, 1171. https://doi.org/10.3390/genes15091171
Kuo Y-Y, Chang J-C, Li Y-H, Huang Y-F, Wu T-Y, Nai Y-S. The Complete Mitochondrial Genome and Phylogenetic Analysis of Rhagastis binoculata (Matsumura, 1909) (Lepidoptera: Sphingidae). Genes. 2024; 15(9):1171. https://doi.org/10.3390/genes15091171
Chicago/Turabian StyleKuo, Yu-Yun, Ju-Chun Chang, Yi-Hsuan Li, Yu-Feng Huang, Tzong-Yuan Wu, and Yu-Shin Nai. 2024. "The Complete Mitochondrial Genome and Phylogenetic Analysis of Rhagastis binoculata (Matsumura, 1909) (Lepidoptera: Sphingidae)" Genes 15, no. 9: 1171. https://doi.org/10.3390/genes15091171
APA StyleKuo, Y.-Y., Chang, J.-C., Li, Y.-H., Huang, Y.-F., Wu, T.-Y., & Nai, Y.-S. (2024). The Complete Mitochondrial Genome and Phylogenetic Analysis of Rhagastis binoculata (Matsumura, 1909) (Lepidoptera: Sphingidae). Genes, 15(9), 1171. https://doi.org/10.3390/genes15091171

