Cornulin as a Key Diagnostic and Prognostic Biomarker in Cancers of the Squamous Epithelium
Abstract
1. Cornulin: Protein Structure and Biological Functions
2. Cornulin’s Expression in Different Types of Cancer
2.1. Cervical Cancer
2.2. Head and Neck Cancer
2.3. Esophageal Cancer
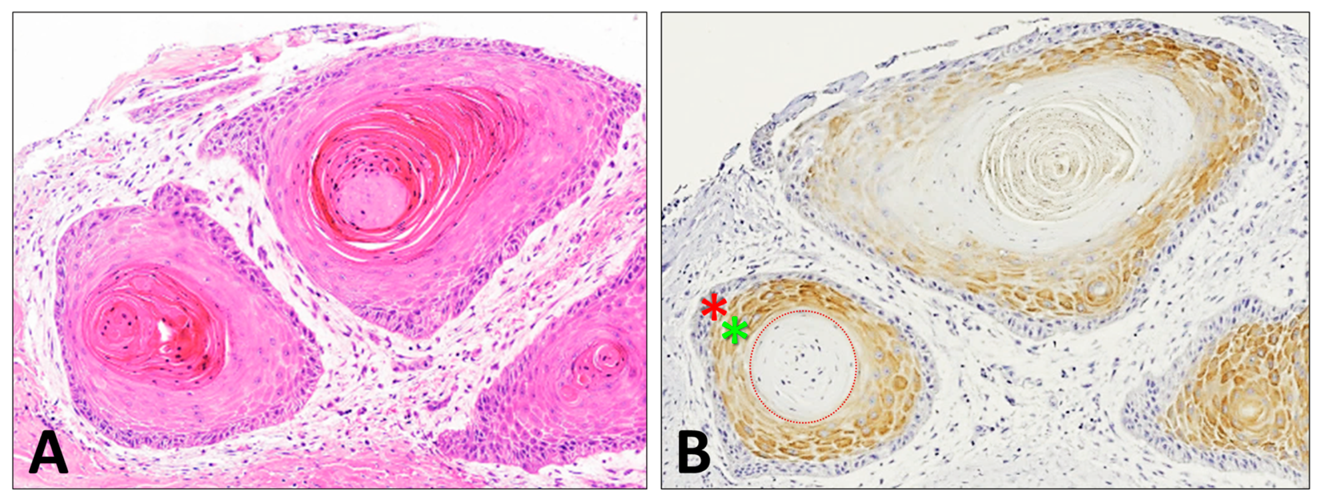
2.4. Skin Cancer
3. Conclusions
4. Future Perspectives
Funding
Acknowledgments
Conflicts of Interest
References
- South, A.P.; Ives, J.H.; James, C.H.; Nizetic, D.; Cabral, A.; Mirza, G.; Marenholz, I.; Mischke, D.; Backendorf, C.; Ragoussis, J. Human epidermal differentiation complex in a single 2.5 mbp long continuum of overlapping DNA cloned in bacteria integrating physical and transcript maps. J. Investig. Dermatol. 1999, 112, 910–918. [Google Scholar] [CrossRef]
- Henry, J.; Toulza, E.; Hsu, C.Y.; Pellerin, L.; Balica, S.; Mazereeuw-Hautier, J.; Paul, C.; Serre, G.; Jonca, N.; Simon, M. Update on the epidermal differentiation complex. Front. Biosci. 2012, 17, 1517–1532. [Google Scholar] [CrossRef]
- Little, T.J.; Nelson, L.; Hupp, T. Adaptive evolution of a stress response protein. PLoS ONE 2007, 2, e1003. [Google Scholar] [CrossRef]
- Howell, J.Y.; Hadian, Y.; Ramsey, M.L. Squamous Cell Skin Cancer. In StatPearls [Internet]; StatPearls Publishing: Treasure Island, FL, USA, 2024. Available online: https://www.ncbi.nlm.nih.gov/books/NBK441939/ (accessed on 15 July 2024).
- Arnouk, H.; Merkley, M.A.; Podolsky, R.H.; Stöppler, H.; Santos, C.; Álvarez, M.; Mariategui, J.; Ferris, D.; Lee, J.R.; Dynan, W.S. Characterization of molecular markers indicative of cervical cancer progression. PROTEOMICS—Clin. Appl. 2009, 3, 516–527. [Google Scholar] [CrossRef]
- Schaaij-Visser, T.B.M.; Graveland, A.P.; Gauci, S.; Braakhuis, B.J.M.; Buijze, M.; Heck, A.J.R.; Kuik, D.J.; Bloemena, E.; Leemans, C.R.; Slijper, M.; et al. Differential proteomics identifies protein biomarkers that predict local relapse of head and neck squamous cell carcinomas. Clin. Cancer Res. 2009, 15, 7666–7675. [Google Scholar] [CrossRef]
- Salahshourifar, I.; Vincent-Chong, V.K.; Chang, H.-Y.; Ser, H.L.; Ramanathan, A.; Kallarakkal, T.G.; Rahman, Z.A.; Ismail, S.M.; Prepageran, N.; Mustafa, W.M.; et al. Downregulation of CRNN Gene and genomic instability at 1q21.3 in oral squamous cell carcinoma. Clin. Oral. Investig. 2015, 19, 2273–2283. [Google Scholar] [CrossRef]
- Kerdjoudj, M.; Arnouk, H. Characterization of Cornulin as a Molecular Biomarker for the Progression of Oral Squamous Cell Carcinoma. Cureus 2022, 14, e32210. [Google Scholar] [CrossRef]
- Pawar, H.; Maharudraiah, J.; Kashyap, M.K.; Sharma, J.; Srikanth, S.M.; Choudhary, R.; Chavan, S.; Sathe, G.; Manju, H.C.; Kumar, K.V.V.; et al. Downregulation of Cornulin in Esophageal Squamous Cell Carcinoma. Acta Histochem. 2013, 115, 89–99. [Google Scholar] [CrossRef]
- Karumuri, R.; Shah, D.; Arnouk, H. Cornulin as a Potential Novel Biomarker for Cutaneous Squamous Cell Carcinoma. Cureus 2022, 14, e31694. [Google Scholar] [CrossRef] [PubMed]
- Chen, K.; Li, Y.; Dai, Y.; Li, J.; Qin, Y.; Zhu, Y.; Zeng, T.; Ban, X.; Fu, L.; Guan, X.Y. Characterization of tumor suppressive function of cornulin in esophageal squamous cell carcinoma. PLoS ONE 2013, 8, e68838. [Google Scholar] [CrossRef]
- Nelson, L.; Anderson, S.; Archibald, A.L.; Rhind, S.; Lu, Z.H.; Condie, A.; McIntyre, N.; Thompson, J.; Nenutil, R.; Vojtesek, B.; et al. An animal model to evaluate the function and regulation of the adaptively evolving stress protein SEP53 in oesophageal bile damage responses. Cell Stress. Chaperones 2008, 13, 375–385. [Google Scholar] [CrossRef]
- Cantor, S.B.; Atkinson, N.; Cardenas-Turanzas, M.; Benedet, J.L.; Follen, M.; MacAulay, C. Natural history of cervical intraepithelial neoplasia. Acta Cytol. 2005, 49, 405–415. [Google Scholar] [CrossRef]
- Bray, F.; Loos, A.H.; McCarron, P.; Weiderpass, E.; Arbyn, M.; Møller, H.; Hakama, M.; Parkin, D.M. Trends in cervical squamous cell carcinoma incidence in 13 European countries: Changing risk and the effects of screening. Cancer Epidemiol. Biomark. Prev. 2005, 14, 677–686. [Google Scholar] [CrossRef]
- Nanda, K.; McCrory, D.C.; Myers, E.R.; Bastian, L.A.; Hasselblad, V.; Hickey, J.D.; Matchar, D.B. Accuracy of the Papanicolaou test in screening for and follow-up of cervical cytologic abnormalities. Ann. Intern. Med. 2000, 132, 810. [Google Scholar] [CrossRef]
- Kumarasamy, G.; Ismail, M.N.; Tuan Sharif, S.E.; Desire, C.; Mittal, P.; Hoffmann, P.; Kaur, G. Protein profiling in human papillomavirus-associated cervical carcinogenesis: Cornulin as a biomarker for disease progression. Curr. Issues Mol. Biol. 2023, 45, 3603–3627. [Google Scholar] [CrossRef]
- Balasubramaniam, S.D.; Balakrishnan, V.; Oon, C.E.; Kaur, G. Gene expression profiling of HPV-associated cervical carcinogenesis in formalin-fixed paraffin-embedded (FFPE) tissues using the nanostring NCOUNTERTM platform. Gene 2022, 825, 146385. [Google Scholar] [CrossRef]
- Muñoz, N.; Bosch, F.X.; de Sanjosé, S.; Herrero, R.; Castellsagué, X.; Shah, K.V.; Snijders, P.J.F.; Meijer, C.J.L.M. Epidemiologic classification of human papillomavirus types associated with cervical cancer. N. Engl. J. Med. 2003, 348, 518–527. [Google Scholar] [CrossRef]
- Kryston, T.B.; Georgiev, A.B.; Pissis, P.; Georgakilas, A.G. Role of oxidative stress and DNA damage in human carcinogenesis. Mutat. Res. 2011, 711, 193–201. [Google Scholar] [CrossRef]
- De Marco, F.; Bucaj, E.; Foppoli, C.; Fiorini, A.; Blarzino, C.; Filipi, K.; Giorgi, A.; Schininà, M.E.; Di Domenico, F.; Coccia, R.; et al. Oxidative stress in HPV-driven viral carcinogenesis: Redox proteomics analysis of HPV-16 dysplastic and neoplastic tissues. PLoS ONE 2012, 7, e34366. [Google Scholar] [CrossRef] [PubMed]
- Liu, L.; Huang, L.; Deng, L.; Li, F.; Vannucci, J.; Tang, S.; Wang, Y. Bioinformatics identification of characteristic genes of cervical cancer via an artificial neural network. Chin. Clin. Oncol. 2024, 13, 4. [Google Scholar] [CrossRef]
- Watters, C.; Brar, S.; Pepper, T. Cancer of the Oral Mucosa. In StatPearls [Internet]; StatPearls Publishing: Treasure Island, FL, USA, 2024. Available online: https://www.ncbi.nlm.nih.gov/books/NBK565867 (accessed on 15 July 2024).
- Ram, H.; Sarkar, J.; Kumar, H.; Konwar, R.; Bhatt, M.L.; Mohammad, S. Oral cancer: Risk factors and molecular pathogenesis. J. Maxillofac. Oral. Surg. 2011, 10, 132–137. [Google Scholar] [CrossRef]
- Silverman, S., Jr.; Kerr, A.R.; Epstein, J.B. Oral and pharyngeal cancer control and early detection. J. Cancer Educ. Off. J. Am. Assoc. Cancer Educ. 2010, 25, 279–281. [Google Scholar] [CrossRef]
- Neville, B.W.; Day, T.A. Oral cancer and precancerous lesions. CAA Cancer J. Clin. 2002, 52, 195–215. [Google Scholar] [CrossRef]
- Almangush, A.; Mäkitie, A.A.; Triantafyllou, A.; de Bree, R.; Strojan, P.; Rinaldo, A.; Hernandez-Prera, J.C.; Suárez, C.; Kowalski, L.P.; Ferlito, A.; et al. Staging and grading of oral squamous cell carcinoma: An update. Oral. Oncol. 2020, 107, 104799. [Google Scholar] [CrossRef]
- Greenberg, J.S.; Fowler, R.; Gomez, J.; Mo, V.; Roberts, D.; El Naggar, A.K.; Myers, J.N. Extent of extracapsular spread: A critical prognosticator in oral tongue cancer. Cancer 2003, 97, 1464–1470. [Google Scholar] [CrossRef]
- Xiao, H.; Langerman, A.; Zhang, Y.; Khalid, O.; Hu, S.; Cao, C.X.; Lingen, M.W.; Wong, D.T.W. Quantitative proteomic analysis of microdissected oral epithelium for cancer biomarker discovery. Oral. Oncol. 2015, 51, 1011–1019. [Google Scholar] [CrossRef]
- Santosh, N.; McNamara, K.K.; Beck, F.M.; Kalmar, J.R. Expression of cornulin in oral premalignant lesions. Oral Surg. Oral Med. Oral Pathol. Oral Radiol. 2019, 127, 526–534. [Google Scholar] [CrossRef]
- Saleem, S.; Aleem, I.; Atiq, A.; Tariq, S.; Babar, A.; Bakar, M.A.; Syed, M.; Maruf, M.; Mahmood, M.T.; Zeshan, M.; et al. Expression of cornulin in tongue squamous cell carcinoma. Ecancermedicalscience 2021, 15, 1197. [Google Scholar] [CrossRef]
- Hong, F.; Wan, X.; Bai, Y. Identification of Down-Expressed CRNN Associated with Cancer Progression and Poor Prognosis in Laryngeal Squamous Cell Carcinoma. Front. Biosci. 2024, 29, 125. [Google Scholar] [CrossRef] [PubMed]
- Leemans, C.R.; Tiwari, R.; Nauta, J.J.; van der Waal, I.; Snow, G.B. Recurrence at the primary site in head and neck cancer and the significance of neck lymph node metastases as a prognostic factor. Cancer 1993, 73, 187–190. [Google Scholar] [CrossRef]
- Leemans, C.R.; Tiwari, R.; Nauta, J.J.; van der Waal, I.; Snow, G.B. Regional lymph node involvement and its significance in the development of distant metastases in head and neck carcinoma. Cancer 1993, 71, 452–456. [Google Scholar] [CrossRef]
- Tabor, M.P.; Brakenhoff, R.H.; van Houten, V.M.; Kummer, J.A.; Snel, M.H.; Snijders, P.J.; Snow, G.B.; Leemans, C.R.; Braakhuis, B.J. Persistence of genetically altered fields in head and neck cancer patients: Biological and clinical implications. Clin. Cancer Res. 2001, 7, 1523–1532. [Google Scholar]
- van Houten, V.M.; Leemans, C.R.; Kummer, J.A.; Dijkstra, J.; Kuik, D.J.; van den Brekel, M.W.; Snow, G.B.; Brakenhoff, R.H. Molecular diagnosis of surgical margins and local recurrence in head and neck cancer patients: A prospective study. Clin. Cancer Res. 2004, 10, 3614–3620. [Google Scholar] [CrossRef]
- Govindaraj, P.K.; Kallarakkal, T.G.; Mohd Zain, R.; Tilakaratne, W.M.; Lew, H.L. Expression of Ki-67, Cornulin and ISG15 in non-involved mucosal surgical margins as predictive markers for relapse in oral squamous cell carcinoma (OSCC). PLoS ONE 2021, 16, e0261575. [Google Scholar] [CrossRef]
- Wu, C.C.; Chu, H.W.; Hsu, C.W.; Chang, K.P.; Liu, H.P. Saliva proteome profiling reveals potential salivary biomarkers for detection of oral cavity squamous cell carcinoma. Proteomics 2015, 15, 3394–3404. [Google Scholar] [CrossRef]
- Chu, H.W.; Chang, K.P.; Hsu, C.W.; Chang, I.Y.; Liu, H.P.; Chen, Y.T.; Wu, C.C. Identification of Salivary Biomarkers for Oral Cancer Detection with Untargeted and Targeted Quantitative Proteomics Approaches. Mol. Cell. Proteom. MCP 2019, 18, 1796–1806. [Google Scholar] [CrossRef]
- Ishikawa, S.; Ishizawa, K.; Tanaka, A.; Kimura, H.; Kitabatake, K.; Sugano, A.; Edamatsu, K.; Ueda, S.; Iino, M. Identification of Salivary Proteomic Biomarkers for Oral Cancer Screening. In Vivo 2021, 35, 541–547. [Google Scholar] [CrossRef] [PubMed]
- Sundkvist, A.; Myte, R.; Bodén, S.; Enroth, S.; Gyllensten, U.; Harlid, S.; van Guelpen, B. Targeted plasma proteomics identifies a novel, robust association between cornulin and Swedish moist snuff. Sci. Rep. 2018, 8, 2320. [Google Scholar] [CrossRef]
- Eslick, G.D. Epidemiology of Esophageal Cancer. Gastroenterol. Clin. N. Am. 2009, 38, 17–25. [Google Scholar] [CrossRef]
- Pennathur, A.; Gibson, M.K.; Jobe, B.A.; Luketich, J.D. Oesophageal Carcinoma. Lancet 2013, 381, 400–412. [Google Scholar] [CrossRef]
- Kashyap, M.K.; Marimuthu, A.; Kishore, C.J.H.; Peri, S.; Keerthikumar, S.; Prasad, T.S.K.; Mahmood, R.; Rao, S.; Ranganathan, P.; Sanjeeviah, R.C.; et al. Genomewide mRNA Profiling of Esophageal Squamous Cell Carcinoma for Identification of Cancer Biomarkers. Cancer Biol. Ther. 2009, 8, 36–46. [Google Scholar] [CrossRef] [PubMed]
- Luo, A.; Kong, J.; Hu, G.; Liew, C.-C.; Xiong, M.; Wang, X.; Ji, J.; Wang, T.; Zhi, H.; Wu, M.; et al. Discovery of Ca2+-Relevant and Differentiation-Associated Genes Downregulated in Esophageal Squamous Cell Carcinoma Using cDNA Microarray. Oncogene 2004, 23, 1291–1299. [Google Scholar] [CrossRef] [PubMed]
- Yan, W.; Shih, J.H.; Rodriguez-Canales, J.; Tangrea, M.A.; Ylaya, K.; Hipp, J.; Player, A.; Hu, N.; Goldstein, A.M.; Taylor, P.R.; et al. Identification of Unique Expression Signatures and Therapeutic Targets in Esophageal Squamous Cell Carcinoma. BMC Res. Notes 2012, 5, 73. [Google Scholar] [CrossRef] [PubMed]
- Du, Q.; Yan, W.; Burton, V.H.; Hewitt, S.M.; Wang, L.; Hu, N.; Taylor, P.R.; Armani, M.D.; Mukherjee, S.; Emmert-Buck, M.R.; et al. Validation of Esophageal Squamous Cell Carcinoma Candidate Genes from High-Throughput Transcriptomic Studies. Am. J. Cancer Res. 2013, 3, 402–410. [Google Scholar] [PubMed]
- Hsu, P.-K.; Kao, H.-L.; Chen, H.-Y.; Yen, C.-C.; Wu, Y.-C.; Hsu, W.-H.; Chou, T.-Y. Loss of CRNN Expression Is Associated with Advanced Tumor Stage and Poor Survival in Patients with Esophageal Squamous Cell Carcinoma. J. Thorac. Cardiovasc. Surg. 2014, 147, 1612–1618. [Google Scholar] [CrossRef] [PubMed]
- Liu, X.; Zhao, S.; Wang, K.; Zhou, L.; Jiang, M.; Gao, Y.; Yang, R.; Yan, S.; Zhang, W.; Lu, B.; et al. Spatial transcriptomics analysis of esophageal squamous precancerous lesions and their progression to esophageal cancer. Nat. Commun. 2023, 14, 4779. [Google Scholar] [CrossRef] [PubMed]
- Voiculescu, V.; Calenic, B.; Ghita, M.; Lupu, M.; Caruntu, A.; Moraru, L.; Voiculescu, S.; Ion, A.; Greabu, M.; Ishkitiev, N.; et al. From normal skin to squamous cell carcinoma: A quest for novel biomarkers. Dis. Markers 2016, 2016, 4517492. [Google Scholar] [CrossRef] [PubMed]
- Ting, P.T.; Kasper, R.; Arlette, J.P. Metastatic basal cell carcinoma: Report of two cases and literature review. J. Cutan. Med. Surg. 2005, 9, 10–15. [Google Scholar] [CrossRef]
- Toll, A.; Margalef, P.; Masferrer, E.; Ferrándiz-Pulido, C.; Gimeno, J.; Pujol, R.M.; Bigas, A.; Espinosa, L. Active nuclear IKK correlates with metastatic risk in cutaneous squamous cell carcinoma. Arch. Dermatol. Res. 2015, 307, 721–729. [Google Scholar] [CrossRef]
- Gore, S.M.; Shaw, D.; Martin, R.C.; Kelder, W.; Roth, K.; Uren, R.; Gao, K.; Davies, S.; Ashford, B.G.; Ngo, Q.; et al. Prospective study of sentinel node biopsy for high-risk cutaneous squamous cell carcinoma of the head and neck. Head Neck 2016, 38 (Suppl. 1), E884–E889. [Google Scholar] [CrossRef] [PubMed]
- Brunner, M.; Veness, M.J.; Ch’ng, S.; Elliott, M.; Clark, J.R. Distant metastases from cutaneous squamous cell carcinoma--analysis of AJCC stage IV. Head Neck 2013, 35, 72–75. [Google Scholar] [CrossRef]
- Joseph, M.G.; Zulueta, W.P.; Kennedy, P.J. Squamous cell carcinoma of the skin of the trunk and limbs: The incidence of metastases and their outcome. Aust. N. Z. J. Surg. 1992, 62, 697–701. [Google Scholar] [CrossRef] [PubMed]
- Oddone, N.; Morgan, G.J.; Palme, C.E.; Perera, L.; Shannon, J.; Wong, E.; Gebski, V.; Veness, M.J. Metastatic cutaneous squamous cell carcinoma of the head and neck: The Immunosuppression, Treatment, Extranodal spread, and Margin status (ITEM) prognostic score to predict outcome and the need to improve survival. Cancer. 2009, 115, 1883–1891. [Google Scholar] [CrossRef]
- Bander, T.S.; Nehal, K.S.; Lee, E.H. Cutaneous squamous cell carcinoma: Updates in staging and management. Dermatol. Clin. 2019, 37, 241–251. [Google Scholar] [CrossRef] [PubMed]
- Veness, M.J.; Morgan, G.J.; Palme, C.E.; Gebski, V. Surgery and adjuvant radiotherapy in patients with cutaneous head and neck squamous cell carcinoma metastatic to lymph nodes: Combined treatment should be considered best practice. Laryngoscope 2005, 115, 870–875. [Google Scholar] [CrossRef]
- Veness, M.J.; Palme, C.E.; Morgan, G.J. High-risk cutaneous squamous cell carcinoma of the head and neck: Results from 266 treated patients with metastatic lymph node disease. Cancer 2006, 106, 2389–2396. [Google Scholar] [CrossRef]
- Tierney, P.; de Gruijl, F.R.; Ibbotson, S.; Moseley, H. Predicted increased risk of squamous cell carcinoma induction associated with sunbed exposure habits. Br. J. Dermatol. 2015, 173, 201–208. [Google Scholar] [CrossRef]
- Schmitt, J.; Haufe, E.; Trautmann, F.; Schulze, H.; Elsner, P.; Drexler, H.; Bauer, A.; Letzel, S.; John, S.; Fartasch, M.; et al. Is ultraviolet exposure acquired at work the most important risk factor for cutaneous squamous cell carcinoma? Results of the population-based case-control study FB-181. Br. J. Dermatol. 2018, 178, 462–472. [Google Scholar] [CrossRef]
- Parker, E.R. The influence of climate change on skin cancer incidence—A review of the evidence. Int. J. Womens Dermatol. 2021, 7, 17–27. [Google Scholar] [CrossRef]
- Halder, R.M.; Bridgeman-Shah, S. Skin cancer in African Americans. Cancer 1995, 75, 667–673. [Google Scholar] [CrossRef]
- Halder, R.M.; Bang, K.M. Skin cancer in blacks in the United States. Dermatol. Clin. 1988, 6, 397–405. [Google Scholar] [CrossRef] [PubMed]
- Contzler, R.; Favre, B.; Huber, M.; Hohl, D. Cornulin, a new member of the “fused gene” family, is expressed during epidermal differentiation. J. Investig. Dermatol. 2005, 124, 990–997. [Google Scholar] [CrossRef] [PubMed]
- Broders, A.C. Squamous-cell epithelioma of the skin: A study of 256 cases. Ann. Surg. 1921, 73, 141–160. [Google Scholar] [CrossRef]
- Matas-Nadal, C.; Bech-Serra, J.J.; Gatius, S.; Gomez, X.; Ribes-Santolaria, M.; Guasch-Vallés, M.; Pedraza, N.; Casanova, J.M.; Gómez, C.d.l.T.; Garí, E.; et al. Biomarkers Found in the Tumor Interstitial Fluid may Help Explain the Differential Behavior Among Keratinocyte Carcinomas. Mol. Cell Proteom. 2023, 22, 100547. [Google Scholar] [CrossRef] [PubMed]
- Amin, M.B.; Greene, F.L.; Edge, S.B.; Compton, C.C.; Gershenwald, J.E.; Brookland, R.K.; Meyer, L.; Gress, D.M.; Byrd, D.R.; Winchester, D.P. The Eighth Edition AJCC Cancer Staging Manual: Continuing to build a bridge from a population-based to a more “personalized” approach to cancer staging. CA Cancer J. Clin. 2017, 67, 93–99. [Google Scholar] [CrossRef]
- Schmults, C.D.; Karia, P.S.; Carter, J.B.; Han, J.; Qureshi, A.A. Factors predictive of recurrence and death from cutaneous squamous cell carcinoma: A 10-year, single-institution cohort study. JAMA Dermatol. 2013, 149, 541–547. [Google Scholar] [CrossRef]
- Karumuri, R.; Shah, D.; Arnouk, H. Cornulin as a Prognosticator for Lymph Node Involvement in Cutaneous Squamous Cell Carcinoma. Cureus 2022, 14, e33130. [Google Scholar] [CrossRef]



Disclaimer/Publisher’s Note: The statements, opinions and data contained in all publications are solely those of the individual author(s) and contributor(s) and not of MDPI and/or the editor(s). MDPI and/or the editor(s) disclaim responsibility for any injury to people or property resulting from any ideas, methods, instructions or products referred to in the content. |
© 2024 by the authors. Licensee MDPI, Basel, Switzerland. This article is an open access article distributed under the terms and conditions of the Creative Commons Attribution (CC BY) license (https://creativecommons.org/licenses/by/4.0/).
Share and Cite
Shankavaram, V.; Shah, D.; Alashqar, A.; Sweeney, J.; Arnouk, H. Cornulin as a Key Diagnostic and Prognostic Biomarker in Cancers of the Squamous Epithelium. Genes 2024, 15, 1122. https://doi.org/10.3390/genes15091122
Shankavaram V, Shah D, Alashqar A, Sweeney J, Arnouk H. Cornulin as a Key Diagnostic and Prognostic Biomarker in Cancers of the Squamous Epithelium. Genes. 2024; 15(9):1122. https://doi.org/10.3390/genes15091122
Chicago/Turabian StyleShankavaram, Varun, Dean Shah, Aseel Alashqar, Jackson Sweeney, and Hilal Arnouk. 2024. "Cornulin as a Key Diagnostic and Prognostic Biomarker in Cancers of the Squamous Epithelium" Genes 15, no. 9: 1122. https://doi.org/10.3390/genes15091122
APA StyleShankavaram, V., Shah, D., Alashqar, A., Sweeney, J., & Arnouk, H. (2024). Cornulin as a Key Diagnostic and Prognostic Biomarker in Cancers of the Squamous Epithelium. Genes, 15(9), 1122. https://doi.org/10.3390/genes15091122

