Transcriptome Analysis Reveals the Molecular Mechanism of the Leaf Yellowing in Allotriploid Cucumber
Abstract
1. Introduction
2. Materials and Methods
2.1. Plant Materials
2.2. Measurement of Chlorophyll Contents
2.3. Photosynthetic Characteristics and Chlorophyll Fluorescence Parameter Measurement
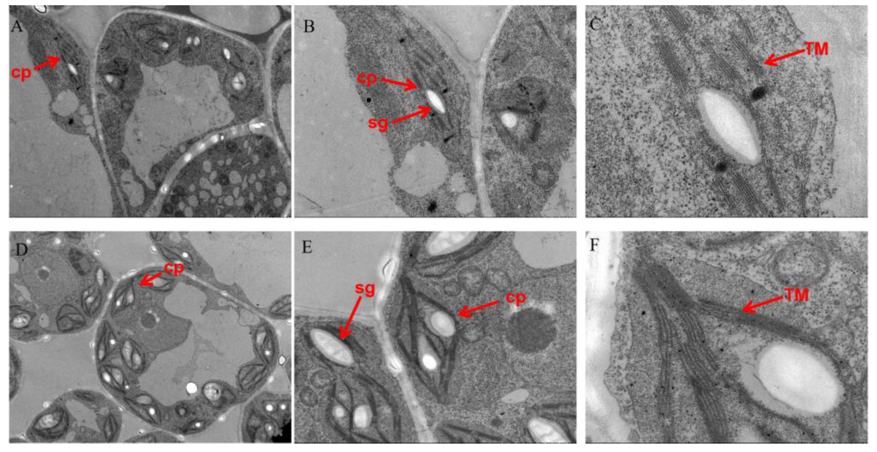
2.4. Transmission Electron Microscopy
2.5. RNA Extraction, Library Construction, and Sequencing
2.6. RNA-Seq Analysis
2.7. Validation of DEGs by qRT-PCR
2.8. HCC-GLK Bioinformatics Analysis
2.9. Subcellular Localization of HCC-GLK Protein
2.10. VIGS in Cucumber Plants
2.11. Yeast Two-Hybrid
3. Results
3.1. Phenotypic Characteristics and Chlorophyll Content Measurement
3.2. DEGs Analysis and qRT-PCR Verification
3.3. GO, KEGG, and TF Analysis of DEGs
3.4. GLK Amino Acid Sequence and Phylogenetic Tree Analysis
3.5. Subcellular Localization of HCC-GLK
3.6. Functional Analysis of HCC-GLK
3.7. Interplay Analysis in the Yeast Two-Hybrid System
4. Discussion
5. Conclusions
Supplementary Materials
Author Contributions
Funding
Institutional Review Board Statement
Informed Consent Statement
Data Availability Statement
Acknowledgments
Conflicts of Interest
References
- Yamatani, H.; Ito, T.; Nishimura, K.; Yamada, T.; Sakamoto, W.; Kusaba, M. Genetic analysis of chlorophyll synthesis and degradation regulated by balance of chlorophyll metabolism. Plant Physiol. 2022, 189, 419–432. [Google Scholar] [CrossRef] [PubMed]
- Cackett, L.; Luginbuehl, L.H.; Schreier, T.B.; Lopez-Juez, E.; Hibberd, J.M. Chloroplast development in green plant tissues: The interplay between light, hormone, and transcriptional regulation. New Phytol. 2022, 233, 2000–2016. [Google Scholar] [CrossRef] [PubMed]
- Zhao, M.H.; Li, X.; Zhang, X.X.; Zhang, H.; Zhao, X.Y. Mutation mechanism of leaf color in plants: A review. Forests 2020, 11, 851. [Google Scholar] [CrossRef]
- Tanaka, A.; Tanaka, R. Chlorophyll metabolism. Curr. Opin. Plant Biol. 2006, 9, 248–255. [Google Scholar] [CrossRef]
- Chen, G.; Bi, Y.R.; Li, N. EGY1 encodes a membrane-associated and ATP-independent metalloprotease that is required for chloroplast development. Plant J. 2005, 41, 364–375. [Google Scholar] [CrossRef] [PubMed]
- Waters, M.T.; Moylan, E.C.; Langdale, J.A. GLK transcription factors regulate chloroplast development in a cell-autonomous manner. Plant J. 2008, 56, 432–444. [Google Scholar] [CrossRef] [PubMed]
- Wang, P.; Fouracre, J.; Kelly, S.; Karki, S.; Gowik, U.; Aubry, S.; Shaw, M.K.; Westhoff, P.; Slamet-Loedin, I.H.; Quick, W.P.; et al. Evolution of GOLDEN2-LIKE gene function in C3 and C4 plants. Planta 2013, 237, 481–495. [Google Scholar] [CrossRef] [PubMed]
- Powell, A.L.; Nguyen, C.V.; Hill, T.; Cheng, K.L.; Figueroa-Balderas, R.; Aktas, H.; Ashrafi, H.; Pons, C.; Fernández-Muñoz, R.; Vicente, A.; et al. Uniform ripening encodes a Golden 2-like transcription factor regulating tomato fruit chloroplast development. Science 2012, 336, 1711–1715. [Google Scholar] [CrossRef] [PubMed]
- Nakamura, H.; Muramatsu, M.; Hakata, M.; Ueno, O.; Nagamura, Y.; Hirochika, H.; Takano, M.; Ichikawa, H. Ectopic overexpression of the transcription factor OsGLK1 induces chloroplast development in non-green rice cells. Plant Cell Physiol. 2009, 50, 1933–1949. [Google Scholar] [CrossRef]
- Fitter, D.W.; Martin, D.J.; Copley, M.J.; Scotland, R.W.; Langdale, J.A. GLK gene pairs regulate chloroplast development in diverse plant species. Plant J. 2002, 31, 713–727. [Google Scholar] [CrossRef]
- Jenkins, M.T. A second gene producing golden plant color in maize. Am. Nat. 1926, 60, 484–488. [Google Scholar] [CrossRef]
- Bravo-Garcia, A.; Yasumura, Y.; Langdale, J.A. Specialization of the Golden2-like regulatory pathway during land plant evolution. New Phytol. 2009, 183, 133–141. [Google Scholar] [CrossRef] [PubMed]
- Ali, N.; Chen, H.; Zhang, C.; Khan, S.A.; Gandeka, M.; Xie, D.; Zhuang, W. Ectopic expression of AhGLK1b (GOLDEN2-like transcription factor) in Arabidopsis confers dual resistance to fungal and bacterial pathogens. Genes 2020, 11, 343. [Google Scholar] [CrossRef] [PubMed]
- Waters, M.T.; Wang, P.; Korkaric, M.; Capper, R.G.; Saunders, N.J.; Langdale, J.A. GLK transcription factors coordinate expression of the photosynthetic apparatus in Arabidopsis. Plant Cell 2009, 21, 1109–1128. [Google Scholar] [CrossRef] [PubMed]
- Nguyen, C.V.; Vrebalov, J.T.; Gapper, N.E.; Zheng, Y.; Zhong, S.; Fei, Z.; Giovannoni, J.J. Tomato GOLDEN2-LIKE transcription factors reveal molecular gradients that function during fruit development and ripening. Plant Cell 2014, 26, 585–601. [Google Scholar] [CrossRef] [PubMed]
- Zhao, S.; Gao, H.; Luo, J.; Wang, H.; Dong, Q.; Wang, Y.; Yang, K.; Mao, K.; Ma, F. Genome-wide analysis of the light-harvesting chlorophyll a/b-binding gene family in apple (Malus domestica) and functional characterization of MdLhcb4.3, which confers tolerance to drought and osmotic stress. Plant Physiol. Biochem. 2020, 154, 517–529. [Google Scholar] [CrossRef] [PubMed]
- Andersson, J.; Wentworth, M.; Walters, R.G.; Howard, C.A.; Ruban, A.V.; Horton, P.; Jansson, S. Absence of the Lhcb1 and Lhcb2 proteins of the light-harvesting complex of photosystem II—Effects on photosynthesis, grana stacking and fitness. Plant J. 2003, 35, 350–361. [Google Scholar] [CrossRef] [PubMed]
- Wang, J.Y.; Chen, J.D.; Wang, S.L.; Chen, L.; Ma, C.L.; Yao, M.Z. Repressed gene expression of photosynthetic antenna proteins associated with yellow leaf variation as revealed by bulked segregant RNA-seq in tea plant camellia sinensis. Agric. Food Chem. 2020, 68, 8068–8079. [Google Scholar] [CrossRef]
- Yang, S.; Wang, X.; Yan, W.; Zhang, Y.; Song, P.; Guo, Y.; Xie, K.; Hu, J.; Hou, J.; Wu, Y.; et al. Melon yellow-green plant (Cmygp) encodes a Golden2-like transcription factor regulating chlorophyll synthesis and chloroplast development. Theor. Appl. Genet. 2023, 136, 66. [Google Scholar] [CrossRef]
- Liu, X.; Li, L.; Zhang, B.; Zeng, L.; Li, L. AhHDA1-mediated AhGLK1 promoted chlorophyll synthesis and photosynthesis regulates recovery growth of peanut leaves after water stress. Plant Sci. 2020, 294, 110461. [Google Scholar] [CrossRef]
- Chen, J.F.; Staub, J.E.; Tashiro, Y.; Isshiki, S.; Miyazaki, S. Successful interspecific hybridization between Cucumis sativus L. and C. hystrix Chakr. Euphytica 1997, 96, 413–419. [Google Scholar] [CrossRef]
- Chen, J.F.; Kirkbride, J.H. A new synthetic species of Cucumis (Cucurbitaceae) from interspecific hybridization and chromosome doubling. Brittonia 2000, 52, 315–319. [Google Scholar] [CrossRef]
- Chen, J.F.; Luo, X.D.; Staub, J.E.; Jahn, M.M.; Qian, C.T.; Zhuang, F.Y.; Ren, G. An allotriploid derived from a amphidiploid× diploid. Euphytica 2003, 131, 235–241. [Google Scholar] [CrossRef]
- Cheng, C.; Wang, X.; Liu, X.; Yang, S.; Yu, X.; Qian, C.; Li, J.; Lou, Q.; Chen, J. Candidate genes underlying the quantitative trait loci for root-knot nematode resistance in a Cucumis hystrix introgression line based on population sequencing. J. Plant Res. 2019, 132, 813–823. [Google Scholar] [CrossRef]
- Hu, W.; Liu, Y.X.; Zhao, Q.Z.; Chen, J.F.; Lou, Q.F. Creation and identification of Cucumis sativus in C. hystrix alien addition lines. Acta Hortic. Sin. 2021, 48, 1349–1358. [Google Scholar] [CrossRef]
- Lichtenthaler, H.K.; Buschmann, C. Chlorophylls and carotenoids: Measurement and characterization by UV-VIS spectroscopy. Curr. Protoc. Food Anal. Chem. 2001, 1, F4.3.1–F4.3.8. [Google Scholar] [CrossRef]
- Costa, D.; Leiva, M.; Naranjo, C.; Ríos, J.; Pena, M.T. Cryopreservation (20 °C) of feline corneoscleral tissue: Histologic, microbiologic, and ultrastructural study. Vet. Ophthalmol. 2016, 19, 97–104. [Google Scholar] [CrossRef]
- Bolger, A.M.; Lohse, M.; Usadel, B. Trimmomatic: A flexible trimmer for Illumina sequence data. Bioinformatics 2014, 30, 2114–2120. [Google Scholar] [CrossRef] [PubMed]
- Liao, Y.; Smyth, G.K.; Shi, W. FeatureCounts: An efficient general purpose program for assigning sequence reads to genomic features. Bioinformatics 2014, 30, 923–930. [Google Scholar] [CrossRef]
- Varet, H.; Brillet-Guéguen, L.; Coppée, J.Y.; Dillies, M.A. SARTools: A DESeq2- and EdgeR-Based R Pipeline for comprehensive differential analysis of RNA-Seq data. PLoS ONE 2016, 11, e0157022. [Google Scholar] [CrossRef]
- Yu, G.; Wang, L.G.; Han, Y.; He, Q.Y. ClusterProfiler: An R package for comparing biological themes among gene cluters. OMICS 2012, 16, 284–287. [Google Scholar] [CrossRef] [PubMed]
- Love, M.I.; Huber, W.; Anders, S. Moderated estimation of fold change and dispersion for RNA-seq data with DESeq2. Genome Biol. 2014, 15, 550. [Google Scholar] [CrossRef] [PubMed]
- Tamura, K.; Stecher, G.; Kumar, S. MEGA11: Molecular evolutionary genetics analysis version 11. Mol. Biol. Evol. 2021, 38, 3022–3027. [Google Scholar] [CrossRef] [PubMed]
- Liu, M.; Liang, Z.; Aranda, M.A.; Hong, N.; Liu, L.; Kang, B.; Gu, Q. A cucumber green mottle mosaic virus vector for virus-induced gene silencing in cucurbit plants. Plant Methods 2020, 16, 9. [Google Scholar] [CrossRef] [PubMed]
- Mingyue, F.U.; Cheng, S.; Feng, X.U.; Chen, Z.; Wang, L. Advance in mechanism of plant leaf colour mutation. Not. Bot. Horti Agrobot. 2021, 49, 12071. [Google Scholar] [CrossRef]
- Kobayashi, K.; Fujii, S.; Sasaki, D.; Baba, S.; Ohta, H.; Masuda, T.; Wada, H. Transcriptional regulation of thylakoid galactolipid biosynthesis coordinated with chlorophyll biosynthesis during the development of chloroplasts in Arabidopsis. Front. Plant Sci. 2014, 5, 272. [Google Scholar] [CrossRef] [PubMed]
- Wu, Z.M.; Zhang, X.; Wang, J.L.; Wan, J.M. Leaf chloroplast ultrastructure and photosynthetic properties of a chlorophyll-deficient mutant of rice. Photosynthetica 2014, 52, 217–222. [Google Scholar] [CrossRef]
- Li, X.; Huang, S.; Liu, Z.; Hou, L.; Feng, H. Mutation in EMB1923 gene promoter is associated with chlorophyll deficiency in Chinese cabbage (Brassica campestris ssp. pekinensis). Physiol. Plant 2019, 166, 909–920. [Google Scholar] [CrossRef]
- Sato, Y.; Morita, R.; Nishimura, M.; Yamaguchi, H.; Kusaba, M. Mendel’s green cotyledon gene encodes a positive regulator of the chlorophyll-degrading pathway. Proc. Natl. Acad. Sci. USA 2007, 104, 14169–14174. [Google Scholar] [CrossRef]
- Gao, M.; Hu, L.; Li, Y.; Weng, Y. The chlorophyll-deficient golden leaf mutation in cucumber is due to a single nucleotide substitution in CsChlI for magnesium chelatase I subunit. Theor. Appl. Genet. 2016, 129, 1961–1973. [Google Scholar] [CrossRef]
- Jung, K.H.; Hur, J.; Ryu, C.H.; Choi, Y.; Chung, Y.Y.; Miyao, A.; Hirochika, H.; An, G. Characterization of a rice chlorophyll-deficient mutant using the T-DNA gene-trap system. Plant Cell Physiol. 2003, 44, 463–472. [Google Scholar] [CrossRef]
- Qin, D.; Xu, C. Study strategies for long non-coding RNAs and their roles in regulating gene expression. Cell Mol. Biol. Lett. 2015, 20, 323–349. [Google Scholar] [CrossRef] [PubMed]
- Yan, Q.; Zhao, L.; Wang, W.; Pi, X.; Shen, J.R. Antenna arrangement and energy-transfer pathways of PSI-LHCI from the moss Physcomitrella patens. Cell Discov. 2021, 7, 10. [Google Scholar] [CrossRef] [PubMed]
- Bressan, M.; Dall’Osto, L.; Bargigia, I.; Alcocer, M.J.; Viola, D.; Cerullo, G.; D’Andrea, C.; Bassi, R.; Ballottari, M. LHCII can substitute for LHCI as an antenna for photosystem I but with reduced light-harvesting capacity. Nat. Plants 2016, 2, 16131. [Google Scholar] [CrossRef]
- Crepin, A.; Kučerová, Z.; Kosta, A.; Durand, E.; Caffarri, S. Isolation and characterization of a large photosystem I-light-harvesting complex II supercomplex with an additional Lhca1-a4 dimer in Arabidopsis. Plant J. 2020, 102, 398–409. [Google Scholar] [CrossRef] [PubMed]











| Sample | Raw Reads | Clean Reads | Clean Bases (bp) | Q20/% | Q30/% | GC/% |
|---|---|---|---|---|---|---|
| HCC-1 | 50,033,990 | 49,693,752 | 7,386,193,583 | 97.59 | 93.23 | 43.43 |
| HCC-2 | 41,896,320 | 41,616,444 | 6,174,711,634 | 97.25 | 92.34 | 43.55 |
| HCC-3 | 40,254,264 | 39,981,506 | 5,938,102,532 | 97.59 | 93.01 | 43.31 |
| CHC-1 | 45,949,880 | 45,641,454 | 6,775,572,126 | 97.94 | 94.00 | 43.86 |
| CHC-2 | 38,635,066 | 38,380,724 | 5,684,103,091 | 97.76 | 93.62 | 43.72 |
| CHC-3 | 37,582,254 | 37,370,000 | 5,537,910,503 | 97.86 | 93.59 | 43.66 |
Disclaimer/Publisher’s Note: The statements, opinions and data contained in all publications are solely those of the individual author(s) and contributor(s) and not of MDPI and/or the editor(s). MDPI and/or the editor(s) disclaim responsibility for any injury to people or property resulting from any ideas, methods, instructions or products referred to in the content. |
© 2024 by the authors. Licensee MDPI, Basel, Switzerland. This article is an open access article distributed under the terms and conditions of the Creative Commons Attribution (CC BY) license (https://creativecommons.org/licenses/by/4.0/).
Share and Cite
Wang, H.; Xia, L.; Chen, J.; Cheng, C. Transcriptome Analysis Reveals the Molecular Mechanism of the Leaf Yellowing in Allotriploid Cucumber. Genes 2024, 15, 825. https://doi.org/10.3390/genes15070825
Wang H, Xia L, Chen J, Cheng C. Transcriptome Analysis Reveals the Molecular Mechanism of the Leaf Yellowing in Allotriploid Cucumber. Genes. 2024; 15(7):825. https://doi.org/10.3390/genes15070825
Chicago/Turabian StyleWang, Han, Lei Xia, Jinfeng Chen, and Chunyan Cheng. 2024. "Transcriptome Analysis Reveals the Molecular Mechanism of the Leaf Yellowing in Allotriploid Cucumber" Genes 15, no. 7: 825. https://doi.org/10.3390/genes15070825
APA StyleWang, H., Xia, L., Chen, J., & Cheng, C. (2024). Transcriptome Analysis Reveals the Molecular Mechanism of the Leaf Yellowing in Allotriploid Cucumber. Genes, 15(7), 825. https://doi.org/10.3390/genes15070825

