Behavioral and Neuronal Characterizations, across Ages, of the TgSwDI Mouse Model of Alzheimer’s Disease
Abstract
1. Introduction
2. Materials and Methods
2.1. Animals
2.2. Behavioral Experiments
2.2.1. Working Memory: T-Maze
2.2.2. Long-Term Spatial Memory: Novel Object Location (NOL)
2.2.3. Long-Term Recognition Memory: Novel Object Recognition (NOR)
- During the testing phase, one of the two objects from the training phase was replaced by a novel object (object B) at the same location as one of the original objects explored during the training phase;
- No object was moved to a different location.
2.2.4. Motor Coordination: Rotarod Performance Test
2.3. Cresyl Violet Staining and Immunohistochemistry
2.3.1. Brain Removal and Conservation
2.3.2. Brain Sections
2.3.3. Immunohistochemistry (Figure 2)
- Step 1. The brain sections were rinsed 3 times in PBS 1× for 5 min each time.
- Step 2. To neutralize endogenous peroxidases, sections were placed in PBS 1X containing 3% H2O2 for 20 min.
- Step 3. To block the non-specific site, we used a PBS 1X solution with 30% of donkey serum, 3% of H2O2, and 0.3% Triton (solution 1) for 30 min.
- Step 4. Aβ immunohistochemistry was performed with a purified monoclonal mouse anti-Aβ antibody (anti-β amyloid 1-42 antibody [mOC64], BioLegend, #AB201060-1002) diluted at 1:100 in solution 1 for 24 h. Step 1 was then repeated.
- Step 5. Sections were placed in solution 1 without Triton and a biotinylated secondary antibody (goat anti-rabbit IgG H&L (Biotin), BioLegend, #AB6720-1001) for 2 h. Step 1 was then repeated.
- Step 6. Sections were then placed in solution 1 without Triton, 15 µL of solution A, and 15 µL of solution B from the ABC kit (Vectastain, standard, PK6100) for 30 min and screened from the light. Step 1 was then repeated.
- Step 7. Sections were rinsed twice in Tris-HCl for 10 min each time.
- Step 8. Sections were placed in a mixture of 1 tab of DAB (3, 3′-diaminobenzidine) and 45 mL of Tris-HCl for 5 min. Aβ samples were then revealed with 5µL per well of 3% of H2O2. Step 7 was then repeated. Step 1 was subsequently repeated.
- Step 9. Sections were then placed on slides, allowed to dry, and then cover slipped with Cytoseal gel XYL (Epredia, ref 8312-4) and VWR microcover glass (VWR, ref 48404-454).
2.3.4. Cresyl Violet Staining
- 95% ethanol.
- 70% ethanol.
- dH2O.
- Cresyl violet stain.
- dH2O.
- 70% ethanol.
- 95% ethanol.
- 95% ethanol + 1% acetic acid.
- 100% ethanol.
- Xylene.
2.3.5. Image Acquisition and Analysis
2.4. Statistics
3. Results
3.1. T-Maze
3.2. NOL
3.3. NOR
3.4. Rotarod
3.5. Immunohistochemistry Results
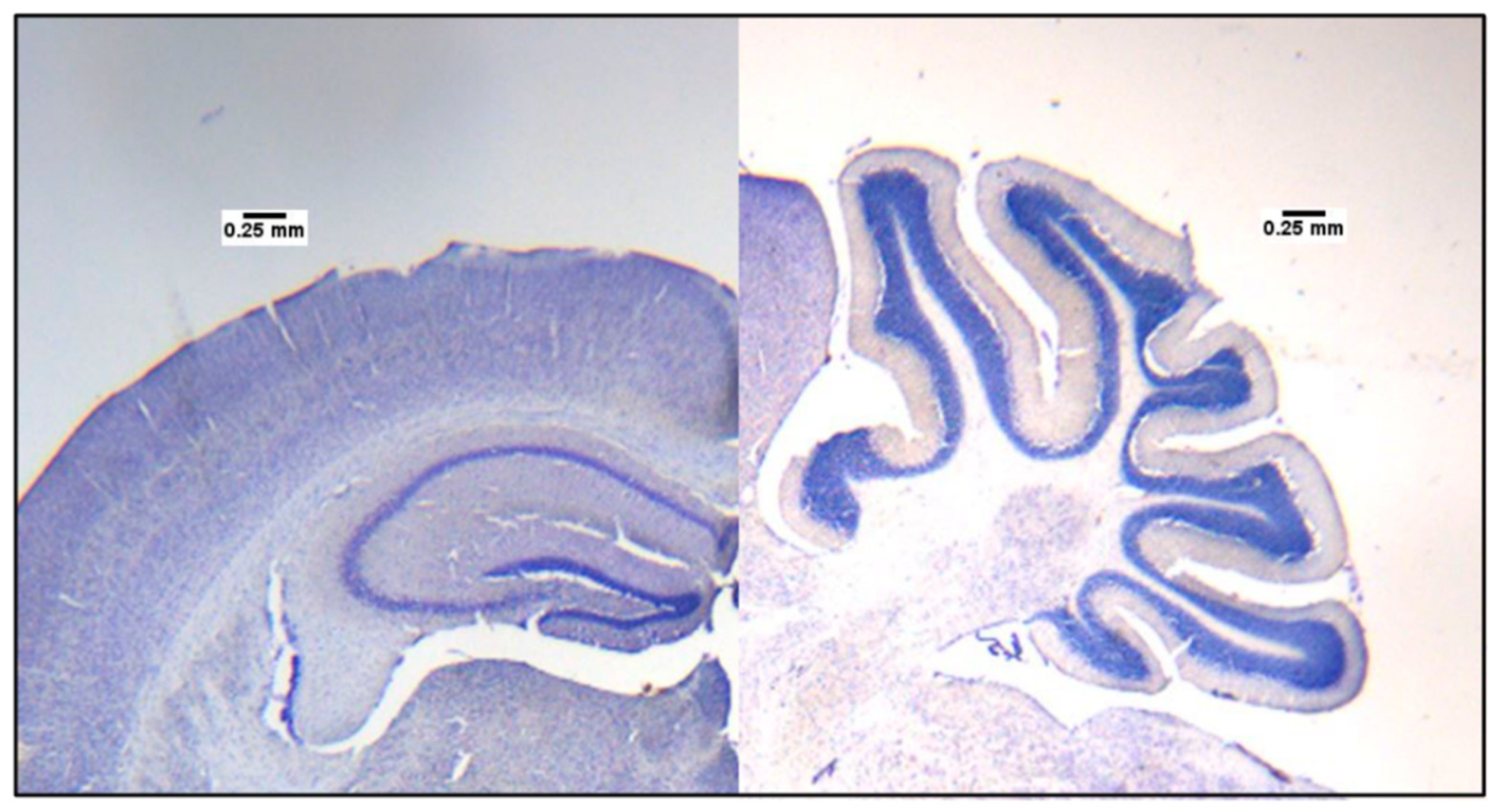
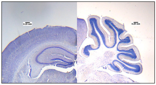
3.6. Hippocampus and Cerebellum Size Differences between Control and TgSwDI Mice
4. Discussion
Author Contributions
Funding
Institutional Review Board Statement
Informed Consent Statement
Data Availability Statement
Acknowledgments
Conflicts of Interest
References
- Breijyeh, Z.; Karaman, R. Comprehensive Review on Alzheimer’s Disease: Causes and Treatment. Molecules 2020, 25, 5789. [Google Scholar] [CrossRef] [PubMed]
- Ballard, C.; Gauthier, S.; Corbett, A.; Brayne, C.; Aarsland, D.; Jones, E. Alzheimer’s Disease. Lancet 2011, 377, 1019–1031. [Google Scholar] [CrossRef] [PubMed]
- Zhang, Y.-W.; Thompson, R.; Zhang, H.; Xu, H. APP Processing in Alzheimer’s Disease. Mol. Brain 2011, 4, 3. [Google Scholar] [CrossRef] [PubMed]
- Tackenberg, C.; Kulic, L.; Nitsch, R.M. Familial Alzheimer’s Disease Mutations at Position 22 of the Amyloid β-Peptide Sequence Differentially Affect Synaptic Loss, Tau Phosphorylation and Neuronal Cell Death in an Ex Vivo System. PLoS ONE 2020, 15, e0239584. [Google Scholar] [CrossRef] [PubMed]
- Sperling, R.A.; Mormino, E.C.; Schultz, A.P.; Betensky, R.A.; Papp, K.V.; Amariglio, R.E.; Hanseeuw, B.J.; Buckley, R.; Chhatwal, J.; Hedden, T.; et al. The Impact of Amyloid-β and Tau on Prospective Cognitive Decline in Older Individuals. Ann. Neurol. 2019, 85, 181–193. [Google Scholar] [CrossRef]
- Walker, L.C. Aβ Plaques. Free Neuropathol 2020, 1, 31. [Google Scholar] [CrossRef]
- Xu, F.; Grande, A.M.; Robinson, J.K.; Previti, M.L.; Vasek, M.; Davis, J.; Van Nostrand, W.E. Early-Onset Subicular Microvascular Amyloid and Neuroinflammation Correlate with Behavioral Deficits in Vasculotropic Mutant Amyloid β-Protein Precursor Transgenic Mice. Neuroscience 2007, 146, 98–107. [Google Scholar] [CrossRef]
- Van Vickle, G.D.; Esh, C.L.; Daugs, I.D.; Kokjohn, T.A.; Kalback, W.M.; Patton, R.L.; Luehrs, D.C.; Walker, D.G.; Lue, L.-F.; Beach, T.G.; et al. Tg-SwDI Transgenic Mice Exhibit Novel Alterations in AbetaPP Processing, Abeta Degradation, and Resilient Amyloid Angiopathy. Am. J. Pathol. 2008, 173, 483–493. [Google Scholar] [CrossRef][Green Version]
- Davis, J.; Xu, F.; Deane, R.; Romanov, G.; Previti, M.L.; Zeigler, K.; Zlokovic, B.V.; Van Nostrand, W.E. Early-Onset and Robust Cerebral Microvascular Accumulation of Amyloid β-Protein in Transgenic Mice Expressing Low Levels of a Vasculotropic Dutch/Iowa Mutant Form of Amyloid β-Protein Precursor. J. Biol. Chem. 2004, 279, 20296–20306. [Google Scholar] [CrossRef]
- Xu, W.; Xu, F.; Anderson, M.E.; Kotarba, A.E.; Davis, J.; Robinson, J.K.; Van Nostrand, W.E. Cerebral Microvascular rather than Parenchymal Amyloid-β Protein Pathology Promotes Early Cognitive Impairment in Transgenic Mice. J. Alzheimers Dis. 2014, 38, 621–632. [Google Scholar] [CrossRef]
- Vasilevko, V.; Xu, F.; Previti, M.L.; Van Nostrand, W.E.; Cribbs, D.H. Experimental Investigation of Antibody-Mediated Clearance Mechanisms of Amyloid-β in CNS of Tg-SwDI Transgenic Mice. J. Neurosci. 2007, 27, 13376–13383. [Google Scholar] [CrossRef] [PubMed]
- Rosas-Hernandez, H.; Cuevas, E.; Raymick, J.B.; Robinson, B.L.; Sarkar, S. Impaired Amyloid β Clearance and Brain Microvascular Dysfunction Are Present in the Tg-SwDI Mouse Model of Alzheimer’s Disease. Neuroscience 2020, 440, 48–55. [Google Scholar] [CrossRef] [PubMed]
- Liang, J.; López-Valdés, H.E.; Martínez-Coria, H.; Lindemeyer, A.K.; Shen, Y.; Shao, X.M.; Olsen, R.W. Dihydromyricetin Ameliorates Behavioral Deficits and Reverses Neuropathology of Transgenic Mouse Models of Alzheimer’s Disease. Neurochem. Res. 2014, 39, 1171–1181. [Google Scholar] [CrossRef] [PubMed]
- Munting, L.P.; Derieppe, M.; Suidgeest, E.; Hirschler, L.; van Osch, M.J.; Denis de Senneville, B.; van der Weerd, L. Cerebral Blood Flow and Cerebrovascular Reactivity Are Preserved in a Mouse Model of Cerebral Microvascular Amyloidosis. Elife 2021, 10, e61279. [Google Scholar] [CrossRef] [PubMed]
- Xu, F.; Fu, Z.; Dass, S.; Kotarba, A.E.; Davis, J.; Smith, S.O.; Van Nostrand, W.E. Cerebral Vascular Amyloid Seeds Drive Amyloid β-Protein Fibril Assembly with a Distinct Anti-Parallel Structure. Nat. Commun. 2016, 7, 13527. [Google Scholar] [CrossRef] [PubMed]
- Davis, J.; Xu, F.; Miao, J.; Previti, M.L.; Romanov, G.; Ziegler, K.; Van Nostrand, W.E. Deficient cerebral clearance of vasculotropic mutant Dutch/Iowa Double Aß in human AßPP transgenic mice. Neurobiol. Aging 2006, 27, 946–954. [Google Scholar] [CrossRef] [PubMed]
- Maki, T.; Okamoto, Y.; Carare, R.O.; Hase, Y.; Hattori, Y.; Hawkes, C.A.; Saito, S.; Yamamoto, Y.; Terasaki, Y.; Ishibashi-Ueda, H.; et al. Phosphodiesterase III Inhibitor Promotes Drainage of Cerebrovascular β-Amyloid. Ann. Clin. Transl. Neurol. 2014, 1, 519–533. [Google Scholar] [CrossRef]
- Mofrad, S.A.; Lundervold, A.; Lundervold, A.S.; Alzheimer’s Disease Neuroimaging Initiative. Australian Imaging Biomarkers and Lifestyle Flagship Study of Ageing A Predictive Framework Based on Brain Volume Trajectories Enabling Early Detection of Alzheimer’s Disease. Comput. Med. Imaging Graph. 2021, 90, 101910. [Google Scholar] [CrossRef]
- Thompson, P.M.; Hayashi, K.M.; De Zubicaray, G.I.; Janke, A.L.; Rose, S.E.; Semple, J.; Hong, M.S.; Herman, D.H.; Gravano, D.; Doddrell, D.M.; et al. Mapping Hippocampal and Ventricular Change in Alzheimer Disease. Neuroimage 2004, 22, 1754–1766. [Google Scholar] [CrossRef]
- Setti, S.E.; Flanigan, T.; Hanig, J.; Sarkar, S. Assessment of Sex-Related Neuropathology and Cognitive Deficits in the Tg-SwDI Mouse Model of Alzheimer’s Disease. Behav. Brain Res. 2022, 428, 113882. [Google Scholar] [CrossRef]
- Yang, J.; Ji, Y.; Mehta, P.; Bates, K.A.; Sun, Y.; Wisniewski, T. Blocking the Apolipoprotein E/amyloid-β Interaction Reduces Fibrillar Vascular Amyloid Deposition and Cerebral Microhemorrhages in TgSwDI Mice. J. Alzheimer’s Dis. 2011, 24, 269–285. [Google Scholar] [CrossRef] [PubMed]
- Goñi, F.; Herline, K.; Peyser, D.; Wong, K.; Ji, Y.; Sun, Y.; Mehta, P.; Wisniewski, T. Immunomodulation Targeting of Both Aβ and Tau Pathological Conformers Ameliorates Alzheimer’s Disease Pathology in TgSwDI and 3xTg Mouse Models. J. Neuroinflamm. 2013, 10, 150. [Google Scholar] [CrossRef] [PubMed]
- Fusilier, A.R.; Davis, J.A.; Paul, J.R.; Yates, S.D.; McMeekin, L.J.; Goode, L.K.; Mokashi, M.V.; Remiszewski, N.; van Groen, T.; Cowell, R.M.; et al. Dysregulated Clock Gene Expression and Abnormal Diurnal Regulation of Hippocampal Inhibitory Transmission and Spatial Memory in Amyloid Precursor Protein Transgenic Mice. Neurobiol. Dis. 2021, 158, 105454. [Google Scholar] [CrossRef] [PubMed]
- Scholtzova, H.; Do, E.; Dhakal, S.; Sun, Y.; Liu, S.; Mehta, P.D.; Wisniewski, T. Innate Immunity Stimulation via Toll-Like Receptor 9 Ameliorates Vascular Amyloid Pathology in Tg-SwDI Mice with Associated Cognitive Benefits. J. Neurosci. 2017, 37, 936–959. [Google Scholar] [CrossRef] [PubMed]
- Medeiros, R.; Kitazawa, M.; Caccamo, A.; Baglietto-Vargas, D.; Estrada-Hernandez, T.; Cribbs, D.H.; Fisher, A.; LaFerla, F.M. Loss of Muscarinic M1 Receptor Exacerbates Alzheimer’s Disease–Like Pathology and Cognitive Decline. Am. J. Pathol. 2011, 179, 980–991. [Google Scholar] [CrossRef] [PubMed]
- Robison, L.S.; Francis, N.; Popescu, D.L.; Anderson, M.E.; Hatfield, J.; Xu, F.; Anderson, B.J.; Van Nostrand, W.E.; Robinson, J.K. Environmental Enrichment: Disentangling the Influence of Novelty, Social, and Physical Activity on Cerebral Amyloid Angiopathy in a Transgenic Mouse Model. Int. J. Mol. Sci. 2020, 21, 843. [Google Scholar] [CrossRef]
- Zhou, G.; Xiang, T.; Xu, Y.; He, B.; Wu, L.; Zhu, G.; Xie, J.; Yao, L.; Xiao, Z. Fruquintinib/HMPL-013 Ameliorates Cognitive Impairments and Pathology in a Mouse Model of Cerebral Amyloid Angiopathy (CAA). Eur. J. Pharmacol. 2023, 939, 175446. [Google Scholar] [CrossRef]
- Zhou, G.; Ye, Q.; Xu, Y.; He, B.; Wu, L.; Zhu, G.; Xie, J.; Yao, L.; Xiao, Z. Mitochondrial Calcium Uptake 3 Mitigates Cerebral Amyloid Angiopathy-Related Neuronal Death and Glial Inflammation by Reducing Mitochondrial Dysfunction. Int. Immunopharmacol. 2023, 117, 109614. [Google Scholar] [CrossRef]
- Kruyer, A.; Soplop, N.; Strickland, S.; Norris, E.H. Chronic Hypertension Leads to Neurodegeneration in the TgSwDI Mouse Model of Alzheimer’s Disease. Hypertension 2015, 66, 175–182. [Google Scholar] [CrossRef]
- Robison, L.S.; Popescu, D.L.; Anderson, M.E.; Francis, N.; Hatfield, J.; Sullivan, J.K.; Beigelman, S.I.; Xu, F.; Anderson, B.J.; Van Nostrand, W.E.; et al. Long-Term Voluntary Wheel Running Does Not Alter Vascular Amyloid Burden but Reduces Neuroinflammation in the Tg-SwDI Mouse Model of Cerebral Amyloid Angiopathy. J. Neuroinflamm. 2019, 16, 144. [Google Scholar] [CrossRef]
- Reinitz, F.; Chen, E.Y.; Nicolis di Robilant, B.; Chuluun, B.; Antony, J.; Jones, R.C.; Gubbi, N.; Lee, K.; Ho, W.H.D.; Kolluru, S.S.; et al. Inhibiting USP16 Rescues Stem Cell Aging and Memory in an Alzheimer’s Model. Elife 2022, 11, e66037. [Google Scholar] [CrossRef] [PubMed]
- Radulescu, C.I.; Cerar, V.; Haslehurst, P.; Kopanitsa, M.; Barnes, S.J. The Aging Mouse Brain: Cognition, Connectivity and Calcium. Cell Calcium 2021, 94, 102358. [Google Scholar] [CrossRef] [PubMed]
- Gerlai, R. A New Continuous Alternation Task in T-Maze Detects Hippocampal Dysfunction in Mice. A Strain Comparison and Lesion Study. Behav. Brain Res. 1998, 95, 91–101. [Google Scholar] [CrossRef] [PubMed]
- Lalonde, R. The Neurobiological Basis of Spontaneous Alternation. Neurosci. Biobehav. Rev. 2002, 26, 91–104. [Google Scholar] [CrossRef] [PubMed]
- Spowart-Manning, L.; van der Staay, F.J. The T-Maze Continuous Alternation Task for Assessing the Effects of Putative Cognition Enhancers in the Mouse. Behav. Brain Res. 2004, 151, 37–46. [Google Scholar] [CrossRef]
- Broadbent, N.J.; Squire, L.R.; Clark, R.E. Spatial Memory, Recognition Memory, and the Hippocampus. Proc. Natl. Acad. Sci. USA 2004, 101, 14515–14520. [Google Scholar] [CrossRef] [PubMed]
- Squire, L.R.; Wixted, J.T.; Clark, R.E. Recognition Memory and the Medial Temporal Lobe: A New Perspective. Nat. Rev. Neurosci. 2007, 8, 872–883. [Google Scholar] [CrossRef]
- Dunham, N.W.; Miya, T.S. A Note on a Simple Apparatus for Detecting Neurological Deficit in Rats and Mice. J. Am. Pharm. Assoc. Am. Pharm. Assoc. 1957, 46, 208–209. [Google Scholar] [CrossRef]
- Kuribara, H.; Higuchi, Y.; Tadokoro, S. Effects of Central Depressants on Rota-Rod and Traction Performances in Mice. Jpn. J. Pharmacol. 1977, 27, 117–126. [Google Scholar] [CrossRef]
- Jones, B.J.; Roberts, D.J. The Quantiative Measurement of Motor Inco-Ordination in Naive Mice Using an Acelerating Rotarod. J. Pharm. Pharmacol. 1968, 20, 302–304. [Google Scholar] [CrossRef]
- Brooks, S.P.; Trueman, R.C.; Dunnett, S.B. Assessment of Motor Coordination and Balance in Mice Using the Rotarod, Elevated Bridge, and Footprint Tests. Curr. Protoc. Mouse Biol. 2012, 2, 37–53. [Google Scholar] [CrossRef] [PubMed]
- Gessner, N.; Shinbashi, M.; Chuluun, B.; Heller, C.; Pittaras, E. Handling, Task Complexity, Time-of-Day, and Sleep Deprivation as Dynamic Modulators of Recognition Memory in Mice. Physiol. Behav. 2022, 251, 113803. [Google Scholar] [CrossRef] [PubMed]
- Buchman, A.S.; Bennett, D.A. Loss of Motor Function in Preclinical Alzheimer’s Disease. Expert Rev. Neurother. 2011, 11, 665–676. [Google Scholar] [CrossRef] [PubMed]
- Cox, D.L.; Sing, R.R.P.; Yang, S. Prion Disease: Exponential Growth Requires Membrane Binding. Biophys. J. 2006, 90, L77–L79. [Google Scholar] [CrossRef] [PubMed]
- Preston, A.R.; Eichenbaum, H. Interplay of Hippocampus and Prefrontal Cortex in Memory. Curr. Biol. 2013, 23, R764–R773. [Google Scholar] [CrossRef]
- Norman, K.A. How Hippocampus and Cortex Contribute to Recognition Memory: Revisiting the Complementary Learning Systems Model. Hippocampus 2010, 20, 1217–1227. [Google Scholar] [CrossRef]
- Park, D.C.; Reuter-Lorenz, P. The Adaptive Brain: Aging and Neurocognitive Scaffolding. Annu. Rev. Psychol. 2009, 60, 173–196. [Google Scholar] [CrossRef]
- Leong, R.L.F.; Lo, J.C.; Sim, S.K.Y.; Zheng, H.; Tandi, J.; Zhou, J.; Chee, M.W.L. Longitudinal Brain Structure and Cognitive Changes over 8 Years in an East Asian Cohort. Neuroimage 2017, 147, 852–860. [Google Scholar] [CrossRef]








Disclaimer/Publisher’s Note: The statements, opinions and data contained in all publications are solely those of the individual author(s) and contributor(s) and not of MDPI and/or the editor(s). MDPI and/or the editor(s) disclaim responsibility for any injury to people or property resulting from any ideas, methods, instructions or products referred to in the content. |
© 2023 by the authors. Licensee MDPI, Basel, Switzerland. This article is an open access article distributed under the terms and conditions of the Creative Commons Attribution (CC BY) license (https://creativecommons.org/licenses/by/4.0/).
Share and Cite
Tan, N.A.; Carpio, A.M.A.; Heller, H.C.; Pittaras, E.C. Behavioral and Neuronal Characterizations, across Ages, of the TgSwDI Mouse Model of Alzheimer’s Disease. Genes 2024, 15, 47. https://doi.org/10.3390/genes15010047
Tan NA, Carpio AMA, Heller HC, Pittaras EC. Behavioral and Neuronal Characterizations, across Ages, of the TgSwDI Mouse Model of Alzheimer’s Disease. Genes. 2024; 15(1):47. https://doi.org/10.3390/genes15010047
Chicago/Turabian StyleTan, Natalie A., Angelica M. Alvarado Carpio, H. Craig Heller, and Elsa C. Pittaras. 2024. "Behavioral and Neuronal Characterizations, across Ages, of the TgSwDI Mouse Model of Alzheimer’s Disease" Genes 15, no. 1: 47. https://doi.org/10.3390/genes15010047
APA StyleTan, N. A., Carpio, A. M. A., Heller, H. C., & Pittaras, E. C. (2024). Behavioral and Neuronal Characterizations, across Ages, of the TgSwDI Mouse Model of Alzheimer’s Disease. Genes, 15(1), 47. https://doi.org/10.3390/genes15010047

