Alternative Splicing for Leucanthemella linearis NST1 Contributes to Variable Abiotic Stress Resistance in Transgenic Tobacco
Abstract
1. Introduction
2. Materials and Methods
2.1. Tobacco Transformation
2.2. Plant Material
2.3. Stress Management and Phenotypic Observation
2.3.1. Abiotic Stress in Transgenic Tobacco at the Seedling Stage
2.3.2. Abiotic Stress in Mature Transgenic Tobacco
2.4. Paraffin Section
2.5. Stress Treatment
2.6. Sequence Alignment
2.7. qRT-PCR
2.8. Data Analysis
3. Results
3.1. Bioinformatics Analysis of the Variable Spliceosome of NST
3.2. Phenotype of the NST Alternative Spliceosome under Stress Treatment in Tobacco
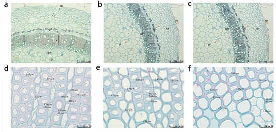
3.3. Stem Anatomy Analysis of Transgenic Tobacco
3.4. Analysis of qRT-PCR Results of Leucanthemella Linearis under Different Treatments
4. Discussion
5. Conclusions
Supplementary Materials
Author Contributions
Funding
Institutional Review Board Statement
Informed Consent Statement
Data Availability Statement
Conflicts of Interest
References
- Jin, Q.; Zhao, Y.L.; Zhang, Z.J.; Ma, Y.P. Cloning and Structure Analysis of LEAFY Homologous Gene in Leucanthemella linearis. Mol. Plant Breed. 2019, 17, 4. (In Chinese) [Google Scholar] [CrossRef]
- Mao, H.; Zhu, P.; He, X. Cold resistance and light cultivation experiment of cover chrysanthemum. Liaoning Agric. Sci. 2004, 4, 46–48. [Google Scholar]
- Luo, X.; Liu, Y.; Wang, L.; Li, F.; Zhang, J.; Sun, Y.; Lu, J. Research Progress of Chrysanthemum Germplasm Innovation. Hubei For. Sci. Technol. 2022, 51, 7. [Google Scholar]
- Zhang, M.Y.; Yu, S.M.; Miao, A.N.; Li, X.Y.; Wang, Y. Physiological Response and Drought Resistance Evaluation of Four Dendranthema morifolium under Drought Stress. For. Environ. Sci. 2023, 39, 81–88. [Google Scholar]
- Shao, B.; Liu, W.; Xu, J.; Gao, Y.; Zhao, H. Preliminary Establishment of Rapid Propagation of Leucanthemella linearis by Tissue Culture. Chin. Agric. Sci. Bull. 2019, 35, 62–67. [Google Scholar]
- Ma, Y.; Sun, S.; Zhao, L. The complete chloroplast genome of the marsh plant-Leucanthemella linearis (Asteraceae). Mitochondrial DNA Part B 2018, 3, 237–238. [Google Scholar] [CrossRef]
- Yang, S.; Tang, F.; Zhu, H. Alternative splicing in plant immunity. Int. J. Mol. Sci. 2014, 15, 10424–10445. [Google Scholar] [CrossRef] [PubMed]
- Marquez, Y.; Brown, J.W.; Simpson, C.; Barta, A.; Kalyna, M. Transcriptome survey reveals increased complexity of the alternative splicing landscape in Arabidopsis. Genome Res. 2012, 22, 1184–1195. [Google Scholar] [CrossRef] [PubMed]
- Smith, C.C.; Tittes, S.; Mendieta, J.P.; Collier-Zans, E.; Rowe, H.C.; Rieseberg, L.H.; Kane, N.C. Genetics of alternative splicing evolution during sunflower domestication. Proc. Natl. Acad. Sci. USA 2018, 115, 6768–6773. [Google Scholar] [CrossRef]
- Li, L.; Zhou, B.; Liu, D.; Wu, H.; Shi, Q.; Lin, S.; Yao, W. Transcriptomic Complexity of Culm Growth and Development in Different Types of Moso Bamboo. Int. J. Mol. Sci. 2023, 24, 7425. [Google Scholar] [CrossRef]
- Petrillo, E.; Godoy Herz, M.A.; Fuchs, A.; Reifer, D.; Fuller, J.; Yanovsky, M.J.; Simpson, C.; Brown, J.W.; Barta, A.; Kalyna, M. A chloroplast retrograde signal regulates nuclear alternative splicing. Science 2014, 344, 427–430. [Google Scholar] [CrossRef]
- Gil, K.E.; Park, M.J.; Lee, H.J.; Park, Y.J.; Han, S.H.; Kwon, Y.J.; Seo, P.J.; Jung, J.H.; Park, C.M. Alternative splicing provides a proactive mechanism for the diurnal CONSTANS dynamics in Arabidopsis photoperiodic flowering. Plant J. 2017, 89, 128–140. [Google Scholar] [CrossRef]
- Calixto, C.P.; Guo, W.; James, A.B.; Tzioutziou, N.A.; Entizne, J.C.; Panter, P.E.; Knight, H.; Nimmo, H.G.; Zhang, R.; Brown, J.W. Rapid and dynamic alternative splicing impacts the Arabidopsis cold response transcriptome. Plant Cell 2018, 30, 1424–1444. [Google Scholar] [CrossRef]
- Wang, L.; Chen, M.; Zhu, F.; Fan, T.; Zhang, J.; Lo, C. Alternative splicing is a Sorghum bicolor defense response to fungal infection. Planta 2020, 251, 14. [Google Scholar] [CrossRef]
- Peixoto-Junior, R.F.; Andrade, L.M.d.; Brito, M.d.S.; Nobile, P.M.; Martins, A.P.B.; Carlin, S.D.; Ribeiro, R.V.; Goldman, M.H.d.S.; Carlos, J.F.N.; Oliveira, d.; et al. Overexpression of ScMYBAS1 alternative splicing transcripts differentially impacts biomass accumulation and drought tolerance in rice transgenic plants. PLoS ONE 2018, 13, e0207534. [Google Scholar] [CrossRef]
- Chechanovsky, N.; Ran, H.; Frenkel, R.; Faigenboim, A.; Eselson, Y.; Petreikov, M.; Moy, M.; Shen, S.; Schaffer, A.A. Low temperature upregulates cwp expression and modifies alternative splicing patterns, increasing the severity of cwp-induced tomato fruit cuticular microfissures. Hortic. Res. 2019, 6, 122. [Google Scholar] [CrossRef]
- Feng, J.; Li, J.; Gao, Z.; Lu, Y.; Yu, J.; Zheng, Q.; Yan, S.; Zhang, W.; He, H.; Ma, L. SKIP Confers Osmotic Tolerance during Salt Stress by Controlling Alternative Gene Splicing in Arabidopsis. Mol. Plant 2015, 8, 1038–1052. [Google Scholar] [CrossRef]
- Ren, J.Z.; Liu, Y.; Kang, D.; Fan, K.J.; Wang, C.Y.; Wang, G.Y.; Liu, Y.J. Two alternative splicing variants of maize HKT1;1 confer salt tolerance in transgenic tobacco plants. Plant Cell Tissue Organ Cult. Int. J. Vitr. Cult. High. Plants 2015, 123, 569–578. [Google Scholar] [CrossRef]
- Zhu, K.; Wu, J.; Yang, Y.; Chen, F.; Yu, D. Overexpression of DINAC1 Gene Isolated from Dendranthema lavandulifolium in Enhancing Heat Stress Tolerance in Transgenic Tobacco. Bull. Bot. Res. 2017, 37, 432–439. [Google Scholar]
- Sun, P.; Wang, H.; Zhao, P.; Yu, Q.; He, Y.; Deng, W.; Guo, H. The Regulation of Xylem Development by Transcription Factors and Their Upstream MicroRNAs. Int. J. Mol. Sci. 2022, 23, 10134. [Google Scholar] [CrossRef]
- Yang, W.; Mu, R.; Zhang, H. Study on Improving Stress Resistance of Arabidopsis thaliana by Transcribing Haloxylon ammodendron HaNAC20. Mod. Agric. Sci. Technol. 2023, 2, 100–104. [Google Scholar]
- Mitsuda, N.; Seki, M.; Shinozaki, K.; Ohme-Takagi, M. The NAC transcription factors NST1 and NST2 of Arabidopsis regulate secondary wall thickenings and are required for anther dehiscence. Plant Cell 2005, 17, 2993–3006. [Google Scholar] [CrossRef] [PubMed]
- Zhong, R.; Ye, Z.-H. The Arabidopsis NAC transcription factor NST2 functions together with SND1 and NST1 to regulate secondary wall biosynthesis in fibers of inflorescence stems. Plant Signal. Behav. 2015, 10, e989746. [Google Scholar] [CrossRef]
- Keqin, C. The Function and Regulatory Mechanism of SND1 and MYB46 Transcription Factors in Apple. Ph.D. Thesis, Shenyang Agricultural University, Liaoning, China, 2019. [Google Scholar]
- Naoki, T.; Tatsuya, A.; Nakata, M.T.; Yuzou, S.; Shingo, S.; Nobutaka, M.; Toru, T. Populus NST/SND orthologs are key regulators of secondary cell wall formation in wood fibers, phloem fibers and xylem ray parenchyma cells. Tree Physiol. 2019, 4, 514–525. [Google Scholar]
- Xiao, W.; Yang, Y.; Yu, J. ZmNST3 and ZmNST4 are master switches for secondary wall deposition in maize (Zea mays L.). Plant Sci. 2018, 266, 83–94. [Google Scholar] [CrossRef] [PubMed]
- Jiang, X.; Cui, H.T.; Wang, Z.; Zhang, T.L.; Long, R.C.; Yang, Q.C.; Kang, J.M. Cloning and Function Analysis of MsNST in Lignin and Cellulose Biosynthesis Pathway from Alfalfa. Sci. Agric. Sin. 2020, 53, 15. [Google Scholar]
- Wang, H. Function and Gene Editing of NAC Transcription Factors Related to Lignin Synthesis in Chrysanthemum lavandulifolium. Ph.D. Thesis, Beijing Forestry University, Beijing, China, 2021. [Google Scholar]
- Zhang, Y.; Huang, Y.; Liu, G.; Jin, D.; Liu, X. Effects of Different Matrix on Physiological Characteristics of Flue-cured Tobacco Seedlings in the Floating System. Chin. Agric. Sci. Bull. 2008, 24, 4. [Google Scholar]
- Wang, Z.B.; Pan, M.Y.; Ran, X.Y. Effects of drought stress with PEG-6000 on morphology in chrysanthemum. J. Guizhou Educ. Univ. 2019, 35, 5. [Google Scholar]
- Wang, B.-B.; Brendel, V. Genomewide comparative analysis of alternative splicing in plants. Proc. Natl. Acad. Sci. USA 2006, 103, 7175–7180. [Google Scholar] [CrossRef]
- Wang, K.; Zhong, M.; Wu, Y.H.; Bai, Z.Y.; Liang, Q.Y.; Liu, Q.L.; Pan, Y.Z.; Zhang, L.; Jiang, B.B.; Jia, Y. Overexpression of a chrysanthemum transcription factor gene DgNAC1 improves the salinity tolerance in chrysanthemum. Plant Cell Rep. 2017, 36, 571–581. [Google Scholar] [CrossRef]
- Morran, S.; Eini, O.; Pyvovarenko, T.; Parent, B.; Singh, R.; Ismagul, A.; Eliby, S.; Shirley, N.; Langridge, P.; Lopato, S. Improvement of stress tolerance of wheat and barley by modulation of expression of DREB/CBF factors. Plant Biotechnol. J. 2011, 9, 230–249. [Google Scholar] [CrossRef] [PubMed]
- Zhang, Q.; Xie, Z.; Zhang, R.; Xu, P.; Liu, H.; Yang, H.; Doblin, M.S.; Bacic, A.; Li, L. Blue light regulates secondary cell wall thickening via MYC2/MYC4 activation of the NST1-directed transcriptional network in Arabidopsis. Plant Cell 2018, 30, 2512–2528. [Google Scholar] [CrossRef] [PubMed]
- Yang, J.H.; Wang, H. Molecular mechanisms for vascular development and secondary cell wall formation. Front. Plant Sci. 2016, 7, 356. [Google Scholar] [CrossRef]
- Zhong, R.; Lee, C.; Zhou, J.; McCarthy, R.L.; Ye, Z.-H. A battery of transcription factors involved in the regulation of secondary cell wall biosynthesis in Arabidopsis. Plant Cell 2008, 20, 2763–2782. [Google Scholar] [CrossRef]
- Shen, Q.; Weng, Y. Alternative Splicing of NAC Transcription Factor Gene CmNST1 Is Associated with Naked Seed Mutation in Pumpkin, Cucurbita moschata. Genes 2023, 14, 962. [Google Scholar] [CrossRef] [PubMed]
- Fang, S.; Shang, X.; Yao, Y.; Li, W.; Guo, W. NST-and SND-subgroup NAC proteins coordinately act to regulate secondary cell wall formation in cotton. Plant Sci. 2020, 301, 110657. [Google Scholar] [CrossRef]
- McCarthy, R.L.; Zhong, R.; Ye, Z.-H. MYB83 is a direct target of SND1 and acts redundantly with MYB46 in the regulation of secondary cell wall biosynthesis in Arabidopsis. Plant Cell Physiol. 2009, 50, 1950–1964. [Google Scholar] [CrossRef]








Disclaimer/Publisher’s Note: The statements, opinions and data contained in all publications are solely those of the individual author(s) and contributor(s) and not of MDPI and/or the editor(s). MDPI and/or the editor(s) disclaim responsibility for any injury to people or property resulting from any ideas, methods, instructions or products referred to in the content. |
© 2023 by the authors. Licensee MDPI, Basel, Switzerland. This article is an open access article distributed under the terms and conditions of the Creative Commons Attribution (CC BY) license (https://creativecommons.org/licenses/by/4.0/).
Share and Cite
Wang, H.; Guo, Y.; Hao, X.; Zhang, W.; Xu, Y.; He, W.; Li, Y.; Cai, S.; Zhao, X.; Song, X. Alternative Splicing for Leucanthemella linearis NST1 Contributes to Variable Abiotic Stress Resistance in Transgenic Tobacco. Genes 2023, 14, 1549. https://doi.org/10.3390/genes14081549
Wang H, Guo Y, Hao X, Zhang W, Xu Y, He W, Li Y, Cai S, Zhao X, Song X. Alternative Splicing for Leucanthemella linearis NST1 Contributes to Variable Abiotic Stress Resistance in Transgenic Tobacco. Genes. 2023; 14(8):1549. https://doi.org/10.3390/genes14081549
Chicago/Turabian StyleWang, Hai, Yuning Guo, Xueying Hao, Wenxin Zhang, Yanxia Xu, Wenting He, Yanxi Li, Shiyi Cai, Xiang Zhao, and Xuebin Song. 2023. "Alternative Splicing for Leucanthemella linearis NST1 Contributes to Variable Abiotic Stress Resistance in Transgenic Tobacco" Genes 14, no. 8: 1549. https://doi.org/10.3390/genes14081549
APA StyleWang, H., Guo, Y., Hao, X., Zhang, W., Xu, Y., He, W., Li, Y., Cai, S., Zhao, X., & Song, X. (2023). Alternative Splicing for Leucanthemella linearis NST1 Contributes to Variable Abiotic Stress Resistance in Transgenic Tobacco. Genes, 14(8), 1549. https://doi.org/10.3390/genes14081549

