Complex/cryptic EWSR1::FLI1/ERG Gene Fusions and 1q Jumping Translocation in Pediatric Ewing Sarcomas
Abstract
1. Introduction
2. Materials and Methods
3. Results
3.1. Summary of the Patient Cohort in This Study
3.2. Patient 3
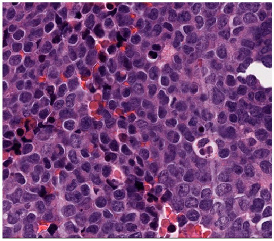
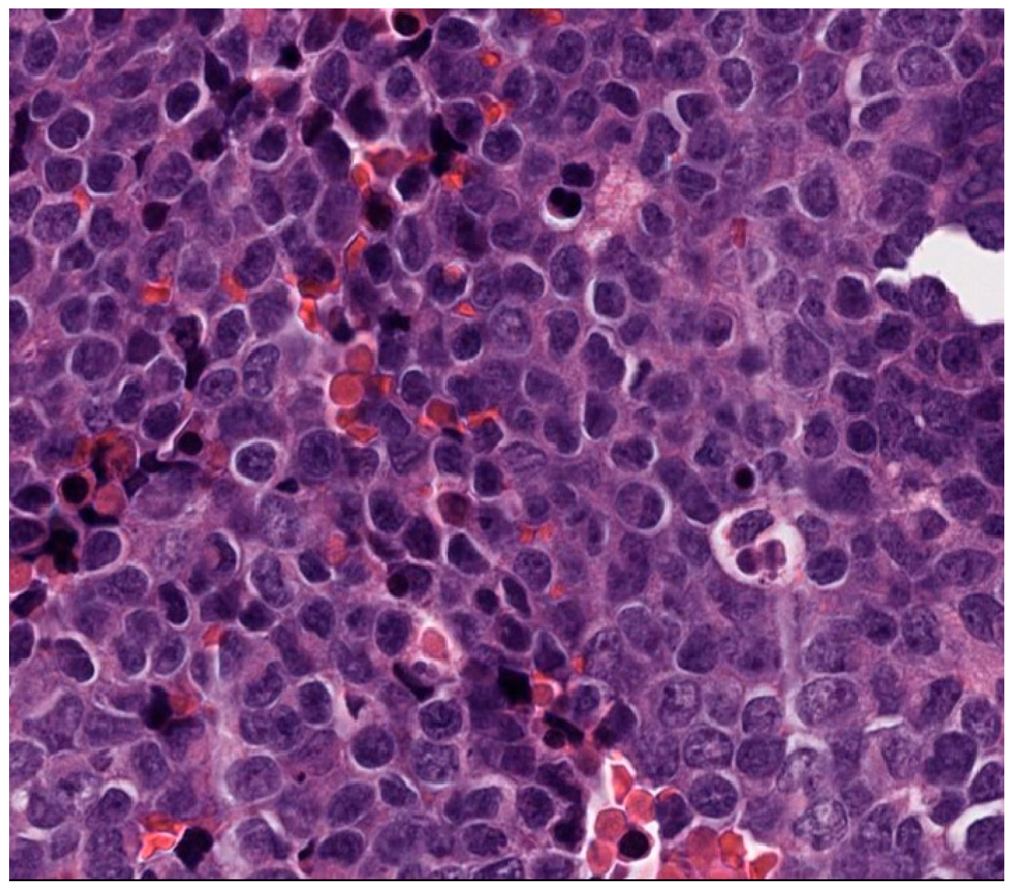
3.3. Patient 4
- NanoString gene fusion panel revealed an EWSR1::FLI1 fusion involving exon 10 of EWSR1 and exon 5 of FLI1 (Figure 9).
3.4. Patient 8
4. Discussion
5. Conclusions
Author Contributions
Funding
Institutional Review Board Statement
Informed Consent Statement
Data Availability Statement
Acknowledgments
Conflicts of Interest
References
- The WHO Classification of Tumours Editorial Board. WHO Classification of Tumours Soft Tissue and Bone Tumours, 5th ed.; IARC Press: Lyon, France, 2020. [Google Scholar]
- Sandberg, A.A.; Bridge, J.A. The Cytogenetics of Bone and Soft Tissue Tumors; R.G.: Austin, TX, USA; Landes, France, 1994; p. 469. [Google Scholar]
- Turc-Carel, C.; Aurias, A.; Mugneret, F.; Lizard, S.; Sidaner, I.; Volk, C.; Thiery, J.P.; Olschwang, S.; Philip, I.; Berger, M.P.; et al. Chromosomes in Ewing’s sarcoma. I. An evaluation of 85 cases of remarkable consistency of t(11;22)(q24;q12). Cancer Genet. Cytogenet. 1988, 32, 229–238. [Google Scholar] [CrossRef] [PubMed]
- Delattre, O.; Zucman, J.; Melot, T.; Garau, X.S.; Zucker, J.-M.; Lenoir, G.M.; Ambros, P.F.; Sheer, D.; Turc-Carel, C.; Triche, T.J.; et al. The Ewing Family of Tumors—A Subgroup of Small-Round-Cell Tumors Defined by Specific Chimeric Transcripts. N. Engl. J. Med. 1994, 331, 294–299. [Google Scholar] [CrossRef] [PubMed]
- Ohno, T.; Rao, V.N.; Reddy, E.S. EWS/Fli-1 chimeric protein is a transcriptional activator. Cancer Res. 1993, 53, 5859–5863. [Google Scholar] [PubMed]
- May, W.A.; Lessnick, S.L.; Braun, B.S.; Klemsz, M.; Lewis, B.C.; Lunsford, L.B.; Hromas, R.; Denny, C.T. The Ewing’s sarcoma EWS/FLI-1 fusion gene encodes a more potent transcriptional activator and is a more powerful transforming gene than FLI-1. Mol. Cell. Biol. 1993, 13, 7393–7398. [Google Scholar] [PubMed]
- Miller, H.E.; Gorthi, A.; Bassani, N.; Lawrence, L.A.; Iskra, B.S.; Bishop, A.J.R. Reconstruction of Ewing Sarcoma Developmental Context from Mass-Scale Transcriptomics Reveals Characteristics of EWSR1-FLI1 Permissibility. Cancers 2020, 12, 948. [Google Scholar] [CrossRef]
- Sandberg, A.A.; Bridge, J.A. Updates on cytogenetics and molecular genetics of bone and soft tissue tumors: Ewing sarcoma and peripheral primitive neuroectodermal tumors. Cancer Genet. Cytogenet. 2000, 123, 1–26. [Google Scholar] [CrossRef]
- Newby, R.; Rowe, D.; Paterson, L.; Farquharson, M.A.; MacDuff, E.; Coupe, A.; Hale, J.; Dildey, P.; Bown, N. Cryptic EWSR1-FLI1 fusions in Ewing sarcoma: Potential pitfalls in the diagnostic use of fluorescence in situ hybridization probes. Cancer Genet. Cytogenet. 2010, 200, 60–64. [Google Scholar] [CrossRef]
- Rekhi, B.; Vogel, U.; Basak, R.; Desai, S.B.; Jambhekar, N.A. Clinicopathological and Molecular Spectrum of Ewing Sarcomas/PNETs, Including Validation of EWSR1 Rearrangement by Conventional and Array FISH Technique in Certain Cases. Pathol. Oncol. Res. 2013, 20, 503–516. [Google Scholar] [CrossRef]
- Haley, L.; Parimi, V.; Jiang, L.; Pallavajjala, A.; Hardy, M.; Yonescu, R.; Morsberger, L.; Stinnett, V.; Long, P.; Zou, Y.S.; et al. Diagnostic Utility of Gene Fusion Panel to Detect Gene Fusions in Fresh and Formalin-Fixed, Paraffin-Embedded Cancer Specimens. J. Mol. Diagn. 2021, 23, 1343–1358. [Google Scholar] [CrossRef]
- Rivera, C.M.; Faquin, W.C.; Thierauf, J.; Afrogheh, A.H.; Jaquinet, A.; Iafrate, A.J.; Rivera, M.N.; Troulis, M.J. Detection of EWSR1 fusions in CCOC by targeted RNA-seq. Oral Surg. Oral Med. Oral Pathol. Oral Radiol. 2021, 134, 240–244. [Google Scholar] [CrossRef]
- Kallen, M.E.; Hornick, J.L. From the ashes of “Ewing-like” sarcoma: A contemporary update of the classification, immunohistochemistry, and molecular genetics of round cell sarcomas. Semin. Diagn. Pathol. 2022, 39, 29–37. [Google Scholar] [CrossRef]
- Kallen, M.E.; Hornick, J.L. The 2020 WHO Classification: What’s New in Soft Tissue Tumor Pathology? Am. J. Surg. Pathol. 2021, 45, e1–e23. [Google Scholar] [CrossRef]
- Jiang, L.; Pallavajjala, A.; Huang, J.; Haley, L.; Morsberger, L.; Stinnett, V.; Hardy, M.; Park, R.; Ament, C.; Finch, A.; et al. Clinical Utility of Targeted Next-Generation Sequencing Assay to Detect Copy Number Variants Associated with Myelodysplastic Syndrome in Myeloid Malignancies. J. Mol. Diagn. 2021, 23, 467–483. [Google Scholar] [CrossRef]
- Roberts, P.; Burchill, S.A.; Brownhill, S.; Cullinane, C.J.; Johnston, C.; Griffiths, M.J.; McMullan, D.J.; Bown, N.P.; Morris, S.P.; Lewis, I.J. Ploidy and karyotype complexity are powerful prognostic indicators in the Ewing’s sarcoma family of tumors: A study by the United Kingdom Cancer Cytogenetics and the Children’s Cancer and Leukaemia Group. Genes Chromosom. Cancer 2007, 47, 207–220. [Google Scholar] [CrossRef]
- Llombart-Bosch, A.; Carda, C.; Peydro-Olaya, A.; Noguera, R.; Perez-Bacete, M.; Pellin, A.; Boix, J. Soft tissue Ewing’s sarcoma. Characterization in established cultures and xenografts with evidence of a neuroectodermic phenotype. Cancer 1990, 66, 2589–2601. [Google Scholar] [CrossRef]
- Abdelmoula, N.B.; Landman-Parker, J.; Tourniaire, B.; Josset, P.; Boccon-Gibod, L.; Peter, M.; Delattre, O. An aggressive Ewing sarcoma associated with a new variant translocation, t(4;11;22)(q25;q24;q12), hyperdiploid karyotype, and tetrasomy 8. Cancer Genet. Cytogenet. 2005, 163, 186–188. [Google Scholar] [CrossRef]
- Squire, J.; Zielenska, M.; Thorner, P.; Tennyson, S.; Weitzman, S.; Pai, K.M.; Yeger, H.; Ng, Y.-K.; Weksberg, R. Variant translocations of chromosome 22 in Ewing’s sarcoma. Genes Chromosom. Cancer 1993, 8, 190–194. [Google Scholar] [CrossRef]
- Nagaraj, P.; Srinivas, C.H.; Rao, R.; Manohar, S. Extra skeletal Soft Tissue Ewing’s Sarcoma with Variant Translocation of Chromosome t (4; 22) (q35; q12)-A Case Report. J. Orthop. Case Rep. 2013, 3, 12–15. [Google Scholar]
- Sirvent, N.; Trassard, M.; Ebran, N.; Attias, R.; Pedeutour, F. Fusion of EWSR1 with the DUX4 facioscapulohumeral muscular dystrophy region resulting from t(4;22)(q35;q12) in a case of embryonal rhabdomyosarcoma. Cancer Genet. Cytogenet. 2009, 195, 12–18. [Google Scholar] [CrossRef]
- Maire, G.; Brown, C.W.; Bayani, J.; Pereira, C.; Gravel, D.H.; Bell, J.C.; Zielenska, M.; Squire, J.A. Complex rearrangement of chromosomes 19, 21, and 22 in Ewing sarcoma involving a novel reciprocal inversion-insertion mechanism of EWS-ERG fusion gene formation: A case analysis and literature review. Cancer Genet. Cytogenet. 2008, 181, 81–92. [Google Scholar] [CrossRef]
- Kaneko, Y.; Kobayashi, H.; Handa, M.; Satake, N.; Maseki, N. EWS-ERG fusion transcript produced by chromosomal insertion in a Ewing sarcoma. Genes Chromosom. Cancer 1997, 18, 228–231. [Google Scholar] [CrossRef]
- Jinawath, N.; Morsberger, L.; Norris-Kirby, A.; Williams, L.M.; Yonescu, R.; Argani, P.; Griffin, C.A.; Murphy, K.M. Complex rearrangement of chromosomes 1, 7, 21, 22 in Ewing sarcoma. Cancer Genet. Cytogenet. 2010, 201, 42–47. [Google Scholar] [CrossRef] [PubMed]
- Berger, R.; Bernard, O.A. Jumping translocations. Genes Chromosom. Cancer 2007, 46, 717–723. [Google Scholar] [CrossRef] [PubMed]
- Sawyer, J.R.; Tian, E.; Walker, B.A.; Wardell, C.; Lukacs, J.L.; Sammartino, G.; Bailey, C.; Schinke, C.D.; Thanendrarajan, S.; Davies, F.E.; et al. An acquired high-risk chromosome instability phenotype in multiple myeloma: Jumping 1q Syndrome. Blood Cancer J. 2019, 9, 62. [Google Scholar] [CrossRef]
- Lee, I.; Gudipati, M.A.; Waters, E.; Duong, V.H.; Baer, M.R.; Zou, Y. Jumping translocations of chromosome 1q occurring by a multi-stage process in an acute myeloid leukemia progressed from myelodysplastic syndrome with a TET2 mutation. Mol. Cytogenet. 2019, 12, 47. [Google Scholar] [CrossRef]
- Najfeld, V.; Hauschildt, B.; Scalise, A.; Gattani, A.; Patel, R.; Ambinder, E.P.; Silverman, L.R. Jumping translocations in leukemia. Leukemia 1995, 9, 634–639. [Google Scholar]
- Hattinger, C.M.; Pötschger, U.; Tarkkanen, M.; Squire, J.; Zielenska, M.; Kiuru-Kuhlefelt, S.; Kager, L.; Thorner, P.; Knuutila, S.; Niggli, F.K.; et al. Prognostic impact of chromosomal aberrations in Ewing tumours. Br. J. Cancer 2002, 86, 1763–1769. [Google Scholar] [CrossRef]
- Mackintosh, C.; Ordonez, J.L.; Garcia-Dominguez, D.J.; Sevillano, V.; Llombart-Bosch, A.; Szuhai, K.; Scotlandi, K.; Alberghini, M.; Sciot, R.; Sinnaeve, F.; et al. 1q gain and CDT2 overexpression underlie an aggressive and highly proliferative form of Ewing sarcoma. Oncogene 2012, 31, 1287–1298. [Google Scholar] [CrossRef]
- Sawyer, J.R.; Tian, E.; Thomas, E.; Koller, M.; Stangeby, C.; Sammartino, G.; Goosen, L.; Swanson, C.; Binz, R.L.; Barlogie, B.; et al. Evidence for a novel mechanism for gene amplification in multiple myeloma: 1q12 pericentromeric heterochromatin mediates breakage-fusion-bridge cycles of a 1q12 approximately 23 amplicon. Br. J. Haematol. 2009, 147, 484–494. [Google Scholar] [CrossRef]
- Barki-Celli, L.; Lefebvre, C.; Le Baccon, P.; Nadeau, G.; Bonnefoix, T.; Usson, Y.; Vourc, C.; Khochbin, S.; Leroux, D.; Callanan, M. Differences in nuclear positioning of 1q12 pericentric heterochromatin in normal and tumor B lymphocytes with 1q rearrangements. Genes Chromosom. Cancer 2005, 43, 339–349. [Google Scholar] [CrossRef]











| ID | Ewing Sarcoma (Location) | Conventional Chromosome Analysis (Karyotype of Abnormal Clones) | FISH (Positive for) | Gene Fusion |
|---|---|---|---|---|
| 1 | L. chest wall | 49,XX,+4,+8,t(11;22)(q24;q12),+20/96-99,slx2 | EWSR1 | EWSR1::FLI |
| 2 | R. iliac crest | 49,XX,+5,+8,+8,t(11;22)(q24;q12) | EWSR1 | EWSR1::FLI |
| 3 | R. humerus & metastatic lung | 48,XY,del(9)(q34),t(9;11;22)(q22;q24;q12),add(12)(q24.1),+16, +18,der(18)t(1;18)(q11;p11.3)x2,der(21)t(1;21)(q11;p11.2)/ 49,sl,+13/50,sdl,+20 | EWSR1 & EWSR1::FLI1 | EWSR1::FLI |
| 4 | R. femur | 46,XY,t(4;22)(q35;q12),+8,-10,+12,-16/50,sl,+4,+8,+10,+16 | EWSR1 & EWSR1::FLI1 | EWSR1::FLI |
| 5 | L. pubic bone | 96-104,XXXX,add(1)(p12),i(1)(q10),+2,+2,+4,+4,+8,+8,+8,+8,+9, t(11;22)(q24;q12)x2,der(16)t(12;16)(q13;q24)x2,+20,+20 | EWSR1 | EWSR1::FLI |
| 6 | R. lung & metastatic lymph node | 47,XX,+1,+1,der(1;15)(q10;q10)x2,add(2)(q35),del(5)(q31),t(11;22)(q24;q12), +15 | EWSR1 | EWSR1::FLI |
| 7 | L. femur | 51,XX,+2,+5,+7,+8,t(11;22)(q24;q12),+20 at diagnosis | EWSR1 | EWSR1::FLI |
| 51,XX,+2,+5,+7,+8,del(10)(q24q25),t(11;22)(q24;q12),+20 at follow-up | EWSR1 | EWSR1::FLI | ||
| 8 | L. chest wall | 47,XY,+8,der(22)add(22)(p11.2)del(22)(q12) | EWSR1 * | EWSR1::ERG |
Disclaimer/Publisher’s Note: The statements, opinions and data contained in all publications are solely those of the individual author(s) and contributor(s) and not of MDPI and/or the editor(s). MDPI and/or the editor(s) disclaim responsibility for any injury to people or property resulting from any ideas, methods, instructions or products referred to in the content. |
© 2023 by the authors. Licensee MDPI, Basel, Switzerland. This article is an open access article distributed under the terms and conditions of the Creative Commons Attribution (CC BY) license (https://creativecommons.org/licenses/by/4.0/).
Share and Cite
Zou, Y.S.; Morsberger, L.; Hardy, M.; Ghabrial, J.; Stinnett, V.; Murry, J.B.; Long, P.; Kim, A.; Pratilas, C.A.; Llosa, N.J.; et al. Complex/cryptic EWSR1::FLI1/ERG Gene Fusions and 1q Jumping Translocation in Pediatric Ewing Sarcomas. Genes 2023, 14, 1139. https://doi.org/10.3390/genes14061139
Zou YS, Morsberger L, Hardy M, Ghabrial J, Stinnett V, Murry JB, Long P, Kim A, Pratilas CA, Llosa NJ, et al. Complex/cryptic EWSR1::FLI1/ERG Gene Fusions and 1q Jumping Translocation in Pediatric Ewing Sarcomas. Genes. 2023; 14(6):1139. https://doi.org/10.3390/genes14061139
Chicago/Turabian StyleZou, Ying S., Laura Morsberger, Melanie Hardy, Jen Ghabrial, Victoria Stinnett, Jaclyn B. Murry, Patty Long, Andrew Kim, Christine A. Pratilas, Nicolas J. Llosa, and et al. 2023. "Complex/cryptic EWSR1::FLI1/ERG Gene Fusions and 1q Jumping Translocation in Pediatric Ewing Sarcomas" Genes 14, no. 6: 1139. https://doi.org/10.3390/genes14061139
APA StyleZou, Y. S., Morsberger, L., Hardy, M., Ghabrial, J., Stinnett, V., Murry, J. B., Long, P., Kim, A., Pratilas, C. A., Llosa, N. J., Ladle, B. H., Lemberg, K. M., Levin, A. S., Morris, C. D., Haley, L., Gocke, C. D., & Gross, J. M. (2023). Complex/cryptic EWSR1::FLI1/ERG Gene Fusions and 1q Jumping Translocation in Pediatric Ewing Sarcomas. Genes, 14(6), 1139. https://doi.org/10.3390/genes14061139

