New Insights in 9q21.13 Microdeletion Syndrome: Genotype–Phenotype Correlation of 28 Patients
Abstract
1. Introduction
2. Material and Methods
2.1. Cytogenetics
2.2. Ethical Consent
2.3. Databases and Bioinformatic Tools
2.4. Workflow of Literature and DECIPHER Database Search
3. Results
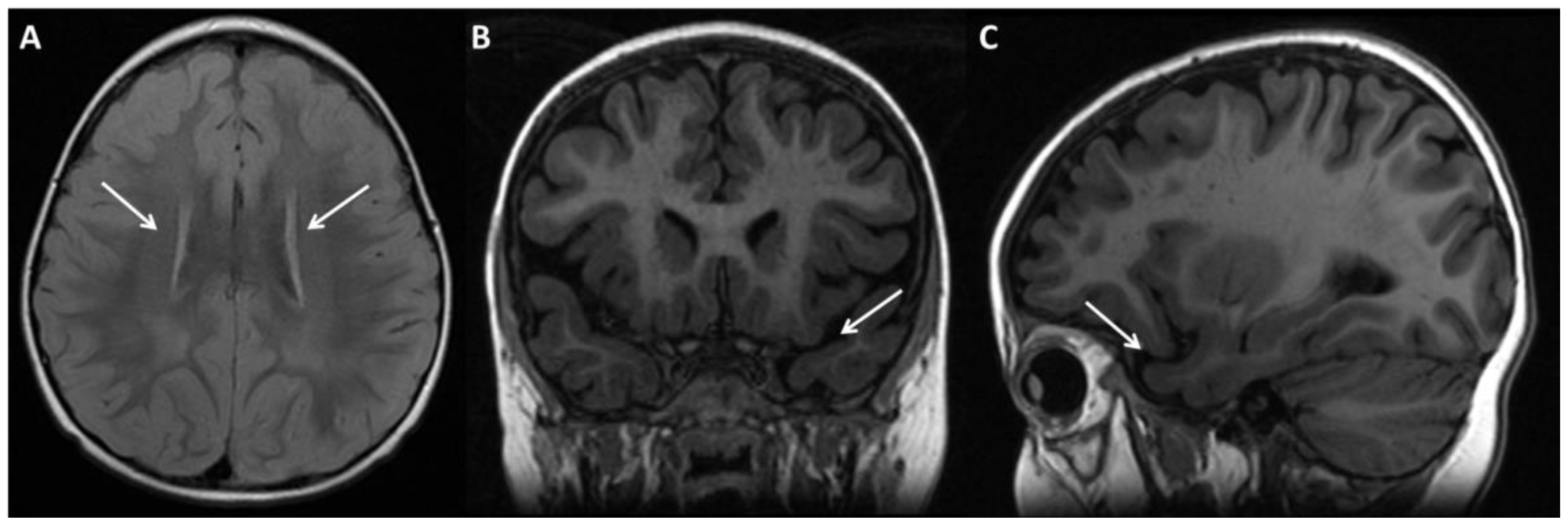
3.1. Proband Phenotype
3.2. Array-CGH and CNV Classification
3.3. Classification in Five Groups of All the Patients
- The first group (Group 1) is composed of fourteen patients from our case, Genesio [26], Tuğ [27], seven cases from Boudry-Labis [3], and four DECIPHER patients (288874, 322547, 353804, 333517). All these cases share the deletion of our patients from the genomic position 75505408 to 80890936 (in GRCh37), which involves at least the genes RORB, TRPM6, PCSK5, and PRUNE2. Thanks to this group, we explore the phenotypes related to very large deletions, which include other genes outside the four previous genes thought to be candidates for the phenotype of 9q21.13 microdeletion syndrome.
- The second group (Group 2) is composed of eight patients, who have the 9q21.13 deletion, which involves in two different ways the genes RORB, TRPM6, PCSK5, and PRUNE2. This group can be divided in two other subgroups:
- The first one (Group 2A) totally involves the genes RORB and TRPM6 and partially the genes PCSK5 and PRUNE2. It is formed by five patients from Boudry-Labis [3]. Through this group, we want to investigate the phenotypes related to haploinsufficiency of the main four genes of 9q21.13 microdeletion syndrome.
- The second subgroup (Group 2B) involves only deletions that include the genes PCSK5 and PRUNE2. This subgroup is formed by three DECIPHER patients (277905, 482479, 331471). We explore the phenotypes related to the deletions of these two genes in order to investigate their role as candidate genes for the neurological phenotype in 9q21.13 microdeletion syndrome.
- The third group (Group 3) is composed of six patients from Bartnik [25], Baglietto [10], one case from Boudry-Labis [3] and three DECIPHER patients (326506, 254951, 327259) who share a 9q21.13 deletion involving part and/or completely the genes RORB and TRPM6. Here, we investigate the phenotypes due to the haploinsufficiency of the main two genes involved in 9q21.13 microdeletion syndrome.
- The fourth group (Group 4) is composed of 14 patients from DECIPHER database: 290187, 337563, 480959, 289387, 433930, 359571, 273886, 283459, 258926, 266517, 390449, 283458, 290279, 275259. Their deletions do not contain the four genes RORB.
4. Discussion
5. Conclusions
Author Contributions
Funding
Institutional Review Board Statement
Informed Consent Statement
Data Availability Statement
Conflicts of Interest
References
- Cheung, S.W.; Bi, W. Novel Applications of Array Comparative Genomic Hybridization in Molecular Diagnostics. Expert Rev. Mol. Diagn. 2018, 18, 531–542. [Google Scholar] [CrossRef] [PubMed]
- Vicari, S.; Napoli, E.; Cordeddu, V.; Menghini, D.; Alesi, V.; Loddo, S.; Novelli, A.; Tartaglia, M. Copy Number Variants in Autism Spectrum Disorders. Prog. Neuropsychopharmacol. Biol. Psychiatry 2019, 92, 421–427. [Google Scholar] [CrossRef] [PubMed]
- Boudry-Labis, E.; Demeer, B.; Le Caignec, C.; Isidor, B.; Mathieu-Dramard, M.; Plessis, G.; George, A.M.; Taylor, J.; Aftimos, S.; Wiemer-Kruel, A.; et al. A Novel Microdeletion Syndrome at 9q21.13 Characterised by Mental Retardation, Speech Delay, Epilepsy and Characteristic Facial Features. Eur. J. Med. Genet. 2013, 56, 163–170. [Google Scholar] [CrossRef] [PubMed]
- Liu, H.; Aramaki, M.; Fu, Y.; Forrest, D. Retinoid-Related Orphan Receptor β and Transcriptional Control of Neuronal Differentiation. Curr. Top. Dev. Biol. 2017, 125, 227–255. [Google Scholar] [CrossRef]
- Jabaudon, D.; Shnider, S.; Tischfield, D.; Galazo, M.; MacKlis, J.D. ROR β Induces Barrel-like Neuronal Clusters in the Developing Neocortex. Cereb. Cortex 2012, 22, 996–1006. [Google Scholar] [CrossRef]
- Stansberg, C.; Ersland, K.M.; van der Valk, P.; Steen, V.M. Gene Expression in the Rat Brain: High Similarity but Unique Differences between Frontomedial-, Temporal- and Occipital Cortex. BMC Neurosci. 2011, 12, 15. [Google Scholar] [CrossRef]
- Rossini, L.; Moroni, R.F.; Tassi, L.; Watakabe, A.; Yamamori, T.; Spreafico, R.; Garbelli, R. Altered Layer-Specific Gene Expression in Cortical Samples from Patients with Temporal Lobe Epilepsy. Epilepsia 2011, 52, 1928–1937. [Google Scholar] [CrossRef]
- André, E.; Ois Conquet, F.; Steinmayr, M.; Stratton, S.C.; Porciatti, V.; Becker-André, M. Disruption of Retinoid-Related Orphan Receptor β Changes Circadian Behavior, Causes Retinal Degeneration and Leads to Vacillans Phenotype in Mice. EMBO J. 1998, 17, 3867–3877. [Google Scholar] [CrossRef]
- Lal, D.; Ruppert, A.K.; Trucks, H.; Schulz, H.; de Kovel, C.; Kasteleijn-Nolst Trenité, D.; Sonsma, A.C.M.; Koeleman, B.P.C.; Lindhout, D.; Weber, Y.; et al. Burden Analysis of Rare Microdeletions Suggests a Strong Impact of Neurodevelopmental Genes in Genetic Generalised Epilepsies. PLoS Genet. 2015, 11, e1005226. [Google Scholar] [CrossRef]
- Baglietto, M.G.; Caridi, G.; Gimelli, G.; Mancardi, M.; Prato, G.; Ronchetto, P.; Cuoco, C.; Tassano, E. RORB Gene and 9q21.13 Microdeletion: Report on a Patient with Epilepsy and Mild Intellectual Disability. Eur. J. Med. Genet. 2014, 57, 44–46. [Google Scholar] [CrossRef]
- Masana, M.I.; Sumaya, I.C.; Becker-Andre, M.; Dubocovich, M.L. Behavioral Characterization and Modulation of Circadian Rhythms by Light and Melatonin in C3H/HeN Mice Homozygous for the ROR Knockout. Am. J. Physiol. Regul. Integr. Comp. Physiol. 2007, 292, 2357–2367. [Google Scholar] [CrossRef]
- Rudolf, G.; Lesca, G.; Mehrjouy, M.M.; Labalme, A.; Salmi, M.; Bache, I.; Bruneau, N.; Pendziwiat, M.; Fluss, J.; De Bellescize, J.; et al. Loss of Function of the Retinoid-Related Nuclear Receptor (RORB) Gene and Epilepsy. Eur. J. Hum. Genet. 2016, 24, 1761–1770. [Google Scholar] [CrossRef]
- Sadleir, L.G.; de Valles-Ibáñez, G.; King, C.; Coleman, M.; Mossman, S.; Paterson, S.; Nguyen, J.; Berkovic, S.F.; Mullen, S.; Bahlo, M.; et al. Inherited RORB Pathogenic Variants: Overlap of Photosensitive Genetic Generalized and Occipital Lobe Epilepsy. Epilepsia 2020, 61, e23–e29. [Google Scholar] [CrossRef]
- Schlingmann, K.P.; Weber, S.; Peters, M.; Nejsum, L.N.; Vitzthum, H.; Klingel, K.; Kratz, M.; Haddad, E.; Ristoff, E.; Dinour, D.; et al. Hypomagnesemia with Secondary Hypocalcemia Is Caused by Mutations in TPRM6, a New Member of the TPRM Gene Family. Nat. Genet. 2002, 31, 166–170. [Google Scholar] [CrossRef]
- Chubanov, V.; Gudermann, T. TRPM6. Handb. Exp. Pharmacol. 2014, 222, 503–520. [Google Scholar] [CrossRef]
- Sun, Y.; Sukumaran, P.; Schaar, A.; Singh, B.B. TRPM7 and Its Role in Neurodegenerative Diseases. Channels 2015, 9, 253–261. [Google Scholar] [CrossRef]
- Chitramuthu, B.P.; Baranowski, D.C.; Cadieux, B.; Rousselet, E.; Seidah, N.G.; Bennett, H.P.J. Molecular Cloning and Embryonic Expression of Zebrafish PCSK5 Co-Orthologues: Functional Assessment during Lateral Line Development. Dev. Dyn. 2010, 239, 2933–2946. [Google Scholar] [CrossRef]
- Machida, T.; Fujita, T.; Ooo, M.L.; Ohira, M.; Isogai, E.; Mihara, M.; Hirato, J.; Tomotsune, D.; Hirata, T.; Fujimori, M.; et al. Increased Expression of Proapoptotic BMCC1, a Novel Gene with the BNIP2 and Cdc42GAP Homology (BCH) Domain, Is Associated with Favorable Prognosis in Human Neuroblastomas. Oncogene 2006, 25, 1931–1942. [Google Scholar] [CrossRef]
- Potkin, S.G.; Guffanti, G.; Lakatos, A.; Turner, J.A.; Kruggel, F.; Fallon, J.H.; Saykin, A.J.; Orro, A.; Lupoli, S.; Salvi, E.; et al. Hippocampal Atrophy as a Quantitative Trait in a Genome-Wide Association Study Identifying Novel Susceptibility Genes for Alzheimer’s Disease. PLoS ONE 2009, 4, e6501. [Google Scholar] [CrossRef]
- Nectoux, J.; Fichou, Y.; Rosas-Vargas, H.; Cagnard, N.; Bahi-Buisson, N.; Nusbaum, P.; Letourneur, F.; Chelly, J.; Bienvenu, T. Cell Cloning-Based Transcriptome Analysis in Rett Patients: Relevance to the Pathogenesis of Rett Syndrome of New Human MeCP2 Target Genes. J. Cell. Mol. Med. 2010, 14, 1962–1974. [Google Scholar] [CrossRef]
- MacDonald, J.R.; Ziman, R.; Yuen, R.K.C.; Feuk, L.; Scherer, S.W. The Database of Genomic Variants: A Curated Collection of Structural Variation in the Human Genome. Nucleic Acids Res. 2014, 42, D986–D992. [Google Scholar] [CrossRef] [PubMed]
- Firth, H.V.; Richards, S.M.; Bevan, A.P.; Clayton, S.; Corpas, M.; Rajan, D.; Van Vooren, S.; Moreau, Y.; Pettett, R.M.; Carter, N.P. DECIPHER: Database of Chromosomal Imbalance and Phenotype in Humans Using Ensembl Resources. Am. J. Hum. Genet. 2009, 84, 524–533. [Google Scholar] [CrossRef] [PubMed]
- Kent, W.J.; Sugnet, C.W.; Furey, T.S.; Roskin, K.M.; Pringle, T.H.; Zahler, A.M.; Haussler, D. The Human Genome Browser at UCSC. Genome Res. 2002, 12, 996–1006. [Google Scholar] [CrossRef] [PubMed]
- Riggs, E.R.; Andersen, E.F.; Cherry, A.M.; Kantarci, S.; Kearney, H.; Patel, A.; Raca, G.; Ritter, D.I.; South, S.T.; Thorland, E.C.; et al. Technical Standards for the Interpretation and Reporting of Constitutional Copy-Number Variants: A Joint Consensus Recommendation of the American College of Medical Genetics and Genomics (ACMG) and the Clinical Genome Resource (ClinGen). Genet. Med. 2020, 22, 245–257. [Google Scholar] [CrossRef]
- Bartnik, M.; Szczepanik, E.; Derwińska, K.; Wiśniowiecka-Kowalnik, B.; Gambin, T.; Sykulski, M.; Ziemkiewicz, K.; Keogonekdzior, M.; Gos, M.; Hoffman-Zacharska, D.; et al. Application of Array Comparative Genomic Hybridization in 102 Patients with Epilepsy and Additional Neurodevelopmental Disorders. Am. J. Med. Genet. Part B Neuropsychiatr. Genet. 2012, 159B, 760–771. [Google Scholar] [CrossRef]
- Tuğ, E.; Ergün, M.A.; Perçin, E.F. Clinical Findings in Cases with 9q Deletion Encompassing the 9q21.11q21.32 Region. Turk. J. Pediatr. 2018, 60, 94–98. [Google Scholar] [CrossRef]
- Genesio, R.; Fontana, P.; Mormile, A.; Casertano, A.; Falco, M.; Conti, A.; Franzese, A.; Mozzillo, E.; Nitsch, L.; Melis, D. Constitutional Chromothripsis Involving the Critical Region of 9q21.13 Microdeletion Syndrome. Mol. Cytogenet. 2015, 8, 96. [Google Scholar] [CrossRef]
- Köhler, S.; Gargano, M.; Matentzoglu, N.; Carmody, L.C.; Lewis-Smith, D.; Vasilevsky, N.A.; Danis, D.; Balagura, G.; Baynam, G.; Brower, A.M.; et al. The Human Phenotype Ontology in 2021. Nucleic Acids Res. 2021, 49, D1207–D1217. [Google Scholar] [CrossRef]






| Source | Patients (28) | Coordinates of Deletion on Chromosome 9 (Grch37/hg19) | Decipher Patient | Group |
|---|---|---|---|---|
| Bartnik (2012) | 1 | 74741400-77306932 * | - | 3 |
| Baglietto (2014) | 1 | 77254734-78354734 | - | 3 |
| Boudry-Labis (2013) | 13 | 73920074-79528971 (#1) | 250158 | 2A |
| 73588788-80076668 (#2) | 250165 | 1 | ||
| 72182955-79312306 (#3) | 254973 | 2A | ||
| 73661807-83532389 (#4) | 253847 | 1 | ||
| 77047469-79291332 (#5) | 250142 | 2A | ||
| 74391472-85348840 (#6) | 250392 | 1 | ||
| 77058421-79277191 (#7) | 261683 | 2A | ||
| 71025196-77807140 (#8) | 257363 | 3 | ||
| 70950015-83592446 (#9) | 258216 | 1 | ||
| 75091854-81486732 (#10) | 2064 | 1 | ||
| 71128855-81486732 (#11) | 2065 | 1 | ||
| 71128848-82257009 (#12) | 249623 | 1 | ||
| 71128848-79023977 (#13) | 249451 | 2A | ||
| Genesio (2015) | 1 | 72803705–80243747 | - | 1 |
| Tuğ (2018) | 1 | 71069763-86333272 | - | 1 |
| DECIPHER | 4 | 76474486-81651005 | 288874 | 1 |
| 70984481-79549501 | 322547 | 1 | ||
| 76698559-83614583 | 353804 | 1 | ||
| 73307216-80890936 | 333517 | 1 | ||
| 3 | 76792356-77124539 | 326506 | 3 | |
| 77206264-77240837 | 254951 | 3 | ||
| 77271754-77441321 | 327259 | 3 | ||
| 3 | 78504896-81960668 | 277905 | 2B | |
| 79467871-79853516 | 482479 | 2B | ||
| 78276042-84032536 | 331471 | 2B | ||
| Our patient | 1 | 75505408-83868435 | 1 |
| G.1 | G.2A | G.2B | G.3 | G.4 | TOT | |
|---|---|---|---|---|---|---|
| Patients from literature (included our case) | 10 | 5 | 0 | 3 | 0 | 17 |
| Patients from DECIPHER | 7 | 0 | 3 | 4 | 15 | 29 |
| Patients without clinical information | 3 | 0 | 0 | 1 | 1 | 5 |
| Patients with clinical information | 4 | 0 | 3 | 3 | 14 | 24 |
| Patients described in our article | 14 | 5 | 3 | 6 | - | 28 |
| Patients with 9q21.13 Microdeletion Syndrome | 27 Patients (DECIPHER + Literature) Divided in Four Groups | Our Patient | 28 Patients of Our Article | |||||||||||
|---|---|---|---|---|---|---|---|---|---|---|---|---|---|---|
| G. 1 (13 pt) | % | G. 2A (5 pt) | % | G. 2B (3 pt) | % | G. 3 (6 pt) | % | Total: 27 pt | % | G.1 (14th pt) | Total: 28 pt | % | ||
| Sex: | Male | |||||||||||||
| Male | 5/13 | 38.5 | 4/5 | 80 | 3/3 | 100 | 3/6 | 50 | 15/27 | 55.6 | 16/28 | 57.1 | ||
| Female | 5/13 | 38.5 | 0/5 | 0 | 0/3 | 0 | 3/6 | 50 | 8/27 | 29.6 | 8/28 | 28.6 | ||
| Unknown | 3/13 | 23 | 1/5 | 20 | 0/3 | 0 | 0/6 | 0 | 4/27 | 14.8 | 4/28 | 14.3 | ||
| Karyotype: | Normal | |||||||||||||
| Normal | 8/13 | 62 | 3/5 | 60 | 3/3 | 100 | 6/6 | 100 | 20/27 | 74.1 | 21/28 | 75 | ||
| Altered | 2/13 | 15 | 1/5 | 20 | 0/3 | 0 | 0/6 | 0 | 3/27 | 11.1 | 3/28 | 10.7 | ||
| Unknown | 3/13 | 23 | 1/5 | 20 | 0/3 | 0 | 0/6 | 0 | 4/27 | 14.8 | 4/28 | 14.3 | ||
| Age at diagnosis | 7y | |||||||||||||
| Minimum age | 1y 10m | 8y | 1y | 2y | 1y | 1y | ||||||||
| Maximum age | 16y | 16y | 3y | 15y | 16y | 16y | ||||||||
| Clinical and radiological findings | Intellectual disability (HP: 0001249) | 13/13 | 100 | 5/5 | 100 | 1/3 | 33.3 | 5/6 | 83.3 | 24/27 | 88.9 | + | 25/28 | 89.3 |
| Global development delay (HP: 0001263) | 9/13 | 69.2 | 5/5 | 100 | 0/3 | 0 | 1/6 | 16.7 | 15/27 | 55.6 | + | 16/25 | 57.1 | |
| Autistic behaviour (HP: 0000729) | 8/13 | 61.5 | 3/5 | 60 | 1/3 | 33.3 | 3/6 | 50 | 15/27 | 55.6 | + | 16/28 | 57.1 | |
| Seizure (HP: 0001250) | 6/13 | 46.2 | 4/5 | 80 | 0/3 | 0 | 3/6 | 50 | 13/27 | 48.1 | + | 14/28 | 50 | |
| Hypotonia (HP: 0001252) | 2/13 | 15.4 | 1/5 | 20 | 0/3 | 0 | 1/6 | 16.7 | 4/27 | 14.8 | − | 4/28 | 14.3 | |
| Abnormal eye physiology (HP: 0012373) | 5/13 | 38.5 | 1/5 | 20 | 0/3 | 0 | 2/6 | 33.3 | 8/27 | 29.6 | + | 9/28 | 32.1 | |
| Brain anomalies (MRI brain) (HP: 0410263) | 3/13 | 23.1 | 2/5 | 40 | 0/0 | 0 | 0/3 | 0 | 5/21 | 23.8 | + | 6/22 | 27.3 | |
| Dysmorphic features | Low anterior hairline (HP: 0000294) | 2/7 | 28.6 | 0/4 | 0 | 0/0 | 0 | 2/2 | 100 | 4/13 | 30.8 | − | 4/14 | 28.6 |
| Hypertelorism (HP: 0000316) | 2/7 | 28.6 | 1/4 | 25 | 0/0 | 0 | 2/2 | 100 | 5/13 | 38.5 | + | 6/14 | 42.9 | |
| Upslanted palpebral fissure (HP: 0000582) | 1/7 | 14.3 | 1/4 | 25 | 0/0 | 0 | 1/2 | 50 | 4/13 | 30.8 | + | 5/14 | 35.7 | |
| High palate (HP:0000218) | 3/7 | 42.9 | 0/4 | 0 | 0/0 | 0 | 1/2 | 50 | 5/13 | 38.5 | + | 6/14 | 42.9 | |
| Long philtrum (HP: 0000343) | 4/7 | 57.1 | 1/4 | 25 | 0/0 | 0 | 1/2 | 50 | 8/13 | 61.5 | + | 9/14 | 64.3 | |
| Open mouth (HP: 0000194) | 3/7 | 42.9 | 0/4 | 0 | 0/0 | 0 | 0/2 | 0 | 3/13 | 23.1 | − | 3/14 | 21.4 | |
| Wide mouth (HP: 0000154) | 2/7 | 28.6 | 1/4 | 25 | 0/0 | 0 | 0/2 | 0 | 4/13 | 30.8 | + | 5/14 | 35.7 | |
| Thin upper lip vermilion (HP: 0000219) | 3/7 | 42.9 | 3/4 | 75 | 0/0 | 0 | 1/2 | 50 | 7/13 | 53.8 | + | 8/14 | 57.1 | |
Disclaimer/Publisher’s Note: The statements, opinions and data contained in all publications are solely those of the individual author(s) and contributor(s) and not of MDPI and/or the editor(s). MDPI and/or the editor(s) disclaim responsibility for any injury to people or property resulting from any ideas, methods, instructions or products referred to in the content. |
© 2023 by the authors. Licensee MDPI, Basel, Switzerland. This article is an open access article distributed under the terms and conditions of the Creative Commons Attribution (CC BY) license (https://creativecommons.org/licenses/by/4.0/).
Share and Cite
De Falco, A.; Iolascon, A.; Ascione, F.; Piscopo, C. New Insights in 9q21.13 Microdeletion Syndrome: Genotype–Phenotype Correlation of 28 Patients. Genes 2023, 14, 1116. https://doi.org/10.3390/genes14051116
De Falco A, Iolascon A, Ascione F, Piscopo C. New Insights in 9q21.13 Microdeletion Syndrome: Genotype–Phenotype Correlation of 28 Patients. Genes. 2023; 14(5):1116. https://doi.org/10.3390/genes14051116
Chicago/Turabian StyleDe Falco, Alessandro, Achille Iolascon, Flora Ascione, and Carmelo Piscopo. 2023. "New Insights in 9q21.13 Microdeletion Syndrome: Genotype–Phenotype Correlation of 28 Patients" Genes 14, no. 5: 1116. https://doi.org/10.3390/genes14051116
APA StyleDe Falco, A., Iolascon, A., Ascione, F., & Piscopo, C. (2023). New Insights in 9q21.13 Microdeletion Syndrome: Genotype–Phenotype Correlation of 28 Patients. Genes, 14(5), 1116. https://doi.org/10.3390/genes14051116

