Different Phenotypes of Sarcomeric MyBPC3-Cardiomyopathy in the Same Family: Hypertrophic, Left Ventricular Noncompaction and Restrictive Phenotypes (in Association with Sarcoidosis)
Abstract
:1. Introduction
2. Materials and Methods
3. Results
3.1. Laboratoty Tests
3.2. Instrumental Tests
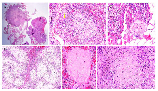
3.3. Treatment and Follow-Up Results
3.4. DNA Diagnostic Results Followed by Cascade Familial Screening
4. Discussion
5. Conclusions
Author Contributions
Funding
Institutional Review Board Statement
Informed Consent Statement
Data Availability Statement
Conflicts of Interest
References
- Ommen, S.R.; Mital, S.; Burke, M.A.; Day, S.M.; Deswal, A.; Elliott, P.; Evanovich, L.L.; Hung, J.; Joglar, J.A.; Kantor, P.; et al. 2020 AHA/ACC Guideline for the Diagnosis and Treatment of Patients With Hypertrophic Cardiomyopathy: Executive Summary: A Report of the American College of Cardiology/American Heart Association Joint Committee on Clinical Practice Guidelines. Circulation 2020, 142, 533–557. [Google Scholar]
- Helms, A.; Tang, V.; O’Leary, T.; Friedline, S.; Wauchope, M.; Arora, A.; Wasserman, A.; Smith, E.; Lee, L.; Wen, X.; et al. Effects of MYBPC3 loss-of-function mutations preceding hypertrophic cardiomyopathy. JCI Insight 2020, 5, e133782. [Google Scholar] [CrossRef] [PubMed] [Green Version]
- Monserrat, L.; Hermida-Prieto, M.; Fernandez, X.; Rodríguez, I.; Dumont, C.; Cazón, L.; Cuesta, M.G.; Gonzalez-Juanatey, C.; Peteiro, J.; Alvarez, N.; et al. Mutation in the alpha-cardiac actin gene associated with apical hypertrophic cardiomyopathy, left ventricular non-compaction, and septal defects. Eur. Heart J. 2007, 28, 1953–1961. [Google Scholar] [CrossRef] [PubMed] [Green Version]
- Fujino, M.; Tsuda, E.; Hirono, K.; Nakata, M.; Ichida, F.; Hata, Y.; Nishida, N.; Kurosaki, K. The TNNI3 Arg192His mutation in a 13-year-old girl with left ventricular noncompaction. J. Cardiol. Cases 2018, 18, 33–36. [Google Scholar] [CrossRef] [Green Version]
- Towbin, J.A.; Lorts, A.; Jefferies, J.L. Left ventricular non-compaction cardiomyopathy. Lancet 2015, 386, 813–825. [Google Scholar] [CrossRef]
- Jefferies, J.L.; Wilkinson, J.D.; Sleeper, L.A.; Colan, S.D.; Lu, M.; Pahl, E.; Kantor, P.F.; Everitt, M.D.; Webber, S.A.; Kaufman, B.D.; et al. Cardiomyopathy Phenotypes and Outcomes for Children With Left Ventricular Myocardial Noncompaction: Results From the Pediatric Cardiomyopathy Registry. J. Card. Fail. 2015, 21, 877–884. [Google Scholar] [CrossRef] [Green Version]
- Takasaki, A.; Hirono, K.; Hata, Y.; Wang, C.; Takeda, M.; Yamashita, J.K.; Chang, B.; Nakaoka, H.; Okabe, M.; Miyao, N.; et al. Sarcomere gene variants act as a genetic trigger underlying the development of left ventricular noncompaction. Pediatr. Res. 2018, 84, 733–742. [Google Scholar] [CrossRef]
- Polyak, M.E.; Mershina, E.A.; Zaklyazminskaya, E.V. Non-compaction left ventricle myocardium: A symptom, syndrome or development variation? Russ. J. Cardiol. 2017, 2, 106–113. [Google Scholar] [CrossRef] [Green Version]
- Komissarova, S.M.; Rineiska, N.M.; Chakova, N.N.; Niyazova, S.S. Overlapping Phenotype: Left Ventricular non-Compaction and Hypertrophic Cardiomyopathy. Kardiologiia 2020, 60, 137–145. [Google Scholar] [CrossRef] [PubMed]
- Frustaci, A.; De Luca, A.; Guida, V.; Biagini, T.; Mazza, T.; Gaudio, C.; Letizia, C.; Russo, M.A.; Galea, N.; Chimenti, C. Novel α-Actin Gene Mutation p.(Ala21Val) Causing Familial Hypertrophic Cardiomyopathy, Myocardial Noncompaction, and Transmural Crypts. Clinical-Pathologic Correlation. J. Am. Heart Assoc. 2018, 10, e008068. [Google Scholar] [CrossRef] [PubMed] [Green Version]
- Hotta, V.T.; Monge, N.M.S.; Fernandes, F.; Arteaga-Fernandez, E. Rare association of left ventricular non-compaction and hypertrophic cardiomyopathy. Eur. Heart J. Case Rep. 2020, 4, 1–2. [Google Scholar] [CrossRef] [PubMed]
- Baldi, M.; Sgalambro, A.; Nistri, S.; Girolami, F.; Baldini, K.; Fantini, S.; Grifoni, C.; Rega, L.; Olivottol, I.; Cecchi, F. Clinica e genetica del ventricolo sinistro non compatto: Conferma di un continuum nelle cardiomiopatie [Clinical and genetic features of left ventricular noncompaction: A continuum in cardiomyopathies]. G. Ital. Cardiol. 2010, 11, 377–385. [Google Scholar]
- Yuan, L.; Xie, M.; Cheng, T.O.; Wang, X.; Zhu, F.; Kong, X.; Ghoorah, D. Left ventricular noncompaction associated with hypertrophic cardiomyopathy: Echocardiographic diagnosis and genetic analysis of a new pedigree in China. Int. J. Cardiol. 2014, 174, 249–259. [Google Scholar] [CrossRef] [PubMed]
- Van Waning, J.I.; Caliskan, K.; Michels, M.; Schinkel, A.F.L.; Hirsch, A.; Dalinghaus, M.; Hoedemaekers, Y.M.; Wessels, M.W.; IJpma, A.S.; Hofstra, R.M.W.; et al. Cardiac Phenotypes, Genetics, and Risks in Familial Noncompaction Cardiomyopathy. J. Am. Coll. Cardiol. 2019, 73, 1601–1611. [Google Scholar] [CrossRef] [PubMed]
- Richards, S.; Aziz, N.; Bale, S.; Bick, D.; Das, S.; Gastier-Foster, J.; Grody, W.W.; Hegde, M.; Lyon, E.; Spector, E.; et al. Standards and guidelines for the interpretation of sequence variants: A joint consensus recommendation of the American College of Medical Genetics and Genomics and the Association for Molecular Pathology. Genet. Med. 2015, 17, 405–424. [Google Scholar] [CrossRef] [PubMed] [Green Version]
- Tian, T.; Yang, K.Q.; Mao, Y.; Zhou, L.L.; Wang, L.P.; Xiao, Y.; Yang, Y.K.; Zhang, Y.; Meng, X.; Zhou, X.L. Left Ventricular Noncompaction in Older Patients. Am. J. Med. Sci. 2017, 354, 140–144. [Google Scholar] [CrossRef] [PubMed]
- García-Díaz, L.; Coserria, F.; Antiñolo, G. Hypertrophic Cardiomyopathy due to Mitochondrial Disease: Prenatal Diagnosis, Management, and Outcome. Case Rep. Obstet. Gynecol. 2013, 2013, 472356. [Google Scholar] [CrossRef] [PubMed]
- Minamisawa, M.; Koyama, J.; Kozuka, A.; Miura, T.; Ebisawa, S.; Motoki, H.; Okada, A.; Izawa, A.; Ikeda, U. Regression of left ventricular hypertrabeculation is associated with improvement in systolic function and favorable prognosis in adult patients with non-ischemic cardiomyopathy. J. Cardiol. 2016, 68, 431–438. [Google Scholar] [CrossRef]
- Blagova, O.V.; Pavlenko, E.V.; Varionchik, N.V.; Nedostup, A.V.; Sedov, V.P.; Kogan, Е.A.; Zaydenov, V.А.; Kupriyanova, А.G.; Donnikov, A.Е.; Kadochnikova, V.V.; et al. Myocarditis as a legitimate phenomenon in non-compaction myocardium: Diagnostics, management and influence on outcomes. Russ. J. Cardiol. 2018, 2, 44–52. [Google Scholar] [CrossRef] [Green Version]
- Wan, J.; Zhao, S.; Cheng, H.; Lu, M.; Jiang, S.; Yin, G.; Gao, X.; Yang, Y. Varied distributions of late gadolinium enhancement found among patients meeting cardiovascular magnetic resonance criteria for isolated left ventricular non-compaction. J. Cardiovasc. Magn. Reson. 2013, 20, 15–20. [Google Scholar] [CrossRef] [Green Version]
- Blagova, O.V.; Nedostup, A.V.; Pavlenko, E.V.; Sedov, V.P.; Kogan, E.A.; Gagarina, N.V.; Mershina, E.A.; Sulimov, V.A. Myocardial infarction as typical presentation of noncompaction cardiomyopathy. Russ. J. Cardiol. 2016, 10, 80–92. [Google Scholar] [CrossRef] [Green Version]
- Erdmann, J.; Raible, J.; Maki-Abadi, J.; Hummel, M.; Hammann, J.; Wollnik, B.; Frantz, E.; Fleck, E.; Hetzer, R.; Regitz-Zagrosek, V. Spectrum of clinical phenotypes and gene variants in cardiac myosin-binding protein C mutation carriers with hypertrophic cardiomyopathy. J. Am. Coll. Cardiol. 2001, 38, 322–330. [Google Scholar] [CrossRef] [Green Version]





Publisher’s Note: MDPI stays neutral with regard to jurisdictional claims in published maps and institutional affiliations. |
© 2022 by the authors. Licensee MDPI, Basel, Switzerland. This article is an open access article distributed under the terms and conditions of the Creative Commons Attribution (CC BY) license (https://creativecommons.org/licenses/by/4.0/).
Share and Cite
Blagova, O.; Pavlenko, E.; Sedov, V.; Kogan, E.; Polyak, M.; Zaklyazminskaya, E.; Lutokhina, Y. Different Phenotypes of Sarcomeric MyBPC3-Cardiomyopathy in the Same Family: Hypertrophic, Left Ventricular Noncompaction and Restrictive Phenotypes (in Association with Sarcoidosis). Genes 2022, 13, 1344. https://doi.org/10.3390/genes13081344
Blagova O, Pavlenko E, Sedov V, Kogan E, Polyak M, Zaklyazminskaya E, Lutokhina Y. Different Phenotypes of Sarcomeric MyBPC3-Cardiomyopathy in the Same Family: Hypertrophic, Left Ventricular Noncompaction and Restrictive Phenotypes (in Association with Sarcoidosis). Genes. 2022; 13(8):1344. https://doi.org/10.3390/genes13081344
Chicago/Turabian StyleBlagova, Olga, Ekaterina Pavlenko, Vsevolod Sedov, Evgeniya Kogan, Margarita Polyak, Elena Zaklyazminskaya, and Yulia Lutokhina. 2022. "Different Phenotypes of Sarcomeric MyBPC3-Cardiomyopathy in the Same Family: Hypertrophic, Left Ventricular Noncompaction and Restrictive Phenotypes (in Association with Sarcoidosis)" Genes 13, no. 8: 1344. https://doi.org/10.3390/genes13081344
APA StyleBlagova, O., Pavlenko, E., Sedov, V., Kogan, E., Polyak, M., Zaklyazminskaya, E., & Lutokhina, Y. (2022). Different Phenotypes of Sarcomeric MyBPC3-Cardiomyopathy in the Same Family: Hypertrophic, Left Ventricular Noncompaction and Restrictive Phenotypes (in Association with Sarcoidosis). Genes, 13(8), 1344. https://doi.org/10.3390/genes13081344

