RET c.1901G>A and Novel SLC12A3 Mutations in Familial Pheochromocytomas
Abstract
:1. Introduction
2. Materials and Methods
2.1. Study Patient Description
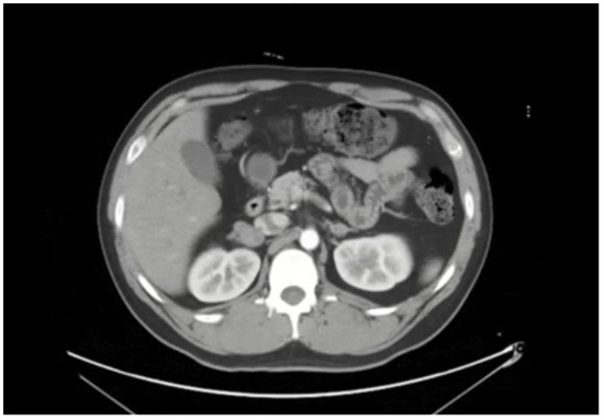
2.2. Imaging and Laboratory Examinations
2.3. Molecular Analysis and Bioinformatics Analysis
2.4. Protein Structure Prediction
3. Results
3.1. Clinical Features
3.2. Genetic Findings
3.3. Protein Structure Prediction of the Novel Variant in SLC12A3
3.3.1. Protein Model of the SLC12A3 Gene and Its Mutant
3.3.2. The Binding Mode of the Mutant Amino Acids with the Surrounding Amino Acids
3.4. Patient Follow-Up
4. Discussion
4.1. The RET Mutation and Familial PHEOs in MEN2A
4.2. Consideration of the Novel SLC12A3 Mutation
4.3. The Connection between SLC12A3 Mutations and MEN2A
5. Conclusions
Supplementary Materials
Author Contributions
Funding
Institutional Review Board Statement
Informed Consent Statement
Data Availability Statement
Acknowledgments
Conflicts of Interest
References
- Pacak, K.; Linehan, W.M.; Eisenhofer, G.; Walther, M.M.; Goldstein, D.S. Recent advances in genetics, diagnosis, localization, and treatment of pheochromocytoma. Ann. Intern. Med. 2001, 134, 315–329. [Google Scholar] [CrossRef] [PubMed]
- Neumann, H.P.H.; Young, W.F., Jr.; Eng, C. Pheochromocytoma and Paraganglioma. N. Engl. J. Med. 2019, 381, 552–565. [Google Scholar] [CrossRef] [PubMed]
- Neumann, H.P.; Young, W.F., Jr.; Krauss, T.; Bayley, J.P.; Schiavi, F.; Opocher, G.; Boedeker, C.C.; Tirosh, A.; Castinetti, F.; Ruf, J.; et al. 65 YEARS OF THE DOUBLE HELIX: Genetics informs precision practice in the diagnosis and management of pheochromocytoma. Endocr. -Relat. Cancer 2018, 25, T201–T219. [Google Scholar] [CrossRef]
- Mulligan, L.M.; Kwok, J.B.; Healey, C.S.; Elsdon, M.J.; Eng, C.; Gardner, E.; Love, D.R.; Mole, S.E.; Moore, J.K.; Papi, L.; et al. Germ-line mutations of the RET proto-oncogene in multiple endocrine neoplasia type 2A. Nature 1993, 363, 458–460. [Google Scholar] [CrossRef] [PubMed]
- Mucha, L.; Leidig-Bruckner, G.; Frank-Raue, K.; Bruckner, T.; Kroiss, M.; Raue, F. Phaeochromocytoma in multiple endocrine neoplasia type 2: RET codon-specific penetrance and changes in management during the last four decades. Clin. Endocrinol. 2017, 87, 320–326. [Google Scholar] [CrossRef]
- Castinetti, F.; Maia, A.L.; Peczkowska, M.; Barontini, M.; Hasse-Lazar, K.; Links, T.P.; Toledo, R.A.; Dvorakova, S.; Mian, C.; Bugalho, M.J.; et al. The penetrance of MEN2 pheochromocytoma is not only determined by RET mutations. Endocr. -Relat. Cancer 2017, 24, L63–L67. [Google Scholar] [CrossRef] [Green Version]
- Blanchard, A.; Bockenhauer, D.; Bolignano, D.; Calò, L.A.; Cosyns, E.; Devuyst, O.; Ellison, D.H.; Karet Frankl, F.E.; Knoers, N.V.; Konrad, M.; et al. Gitelman syndrome: Consensus and guidance from a Kidney Disease: Improving Global Outcomes (KDIGO) Controversies Conference. Kidney Int. 2017, 91, 24–33. [Google Scholar] [CrossRef] [Green Version]
- Li, H.; Durbin, R. Fast and accurate long-read alignment with Burrows-Wheeler transform. Bioinformatics 2010, 26, 589–595. [Google Scholar] [CrossRef] [Green Version]
- DePristo, M.A.; Banks, E.; Poplin, R.; Garimella, K.V.; Maguire, J.R.; Hartl, C.; Philippakis, A.A.; del Angel, G.; Rivas, M.A.; Hanna, M.; et al. A framework for variation discovery and genotyping using next-generation DNA sequencing data. Nat. Genet. 2011, 43, 491–498. [Google Scholar] [CrossRef]
- McKenna, A.; Hanna, M.; Banks, E.; Sivachenko, A.; Cibulskis, K.; Kernytsky, A.; Garimella, K.; Altshuler, D.; Gabriel, S.; Daly, M.; et al. The Genome Analysis Toolkit: A MapReduce framework for analyzing next-generation DNA sequencing data. Genome Res. 2010, 20, 1297–1303. [Google Scholar] [CrossRef] [Green Version]
- Wang, K.; Li, M.; Hakonarson, H. ANNOVAR: Functional annotation of genetic variants from high-throughput sequencing data. Nucleic Acids Res. 2010, 38, e164. [Google Scholar] [CrossRef] [PubMed]
- Jagadeesh, K.A.; Wenger, A.M.; Berger, M.J.; Guturu, H.; Stenson, P.D.; Cooper, D.N.; Bernstein, J.A.; Bejerano, G. M-CAP eliminates a majority of variants of uncertain significance in clinical exomes at high sensitivity. Nat. Genet. 2016, 48, 1581–1586. [Google Scholar] [CrossRef] [PubMed]
- Richards, S.; Aziz, N.; Bale, S.; Bick, D.; Das, S.; Gastier-Foster, J.; Grody, W.W.; Hegde, M.; Lyon, E.; Spector, E.; et al. Standards and guidelines for the interpretation of sequence variants: A joint consensus recommendation of the American College of Medical Genetics and Genomics and the Association for Molecular Pathology. Genet. Med. Off. J. Am. Coll. Med Genet. 2015, 17, 405–424. [Google Scholar] [CrossRef] [PubMed] [Green Version]
- Altschul, S.F.; Gish, W.; Miller, W.; Myers, E.W.; Lipman, D.J. Basic local alignment search tool. J. Mol. Biol. 1990, 215, 403–410. [Google Scholar] [CrossRef]
- Chew, T.A.; Orlando, B.J.; Zhang, J.; Latorraca, N.R.; Wang, A.; Hollingsworth, S.A.; Chen, D.H.; Dror, R.O.; Liao, M.; Feng, L. Structure and mechanism of the cation-chloride cotransporter NKCC1. Nature 2019, 572, 488–492. [Google Scholar] [CrossRef]
- Webb, B.; Sali, A. Comparative Protein Structure Modeling Using MODELLER. Curr. Protoc. Bioinform. 2014, 47, 5.6.1–5.6.32. [Google Scholar] [CrossRef] [Green Version]
- Bowie, J.U.; Lüthy, R.; Eisenberg, D. A method to identify protein sequences that fold into a known three-dimensional structure. Science 1991, 253, 164–170. [Google Scholar] [CrossRef] [Green Version]
- Wells, S.A., Jr.; Asa, S.L.; Dralle, H.; Elisei, R.; Evans, D.B.; Gagel, R.F.; Lee, N.; Machens, A.; Moley, J.F.; Pacini, F.; et al. Revised American Thyroid Association guidelines for the management of medullary thyroid carcinoma. Thyroid Off. J. Am. Thyroid Assoc. 2015, 25, 567–610. [Google Scholar] [CrossRef]
- Takahashi, M.; Buma, Y.; Iwamoto, T.; Inaguma, Y.; Ikeda, H.; Hiai, H. Cloning and expression of the ret proto-oncogene encoding a tyrosine kinase with two potential transmembrane domains. Oncogene 1988, 3, 571–578. [Google Scholar]
- Krampitz, G.W.; Norton, J.A. RET gene mutations (genotype and phenotype) of multiple endocrine neoplasia type 2 and familial medullary thyroid carcinoma. Cancer 2014, 120, 1920–1931. [Google Scholar] [CrossRef]
- Margraf, R.L.; Crockett, D.K.; Krautscheid, P.M.; Seamons, R.; Calderon, F.R.; Wittwer, C.T.; Mao, R. Multiple endocrine neoplasia type 2 RET protooncogene database: Repository of MEN2-associated RET sequence variation and reference for genotype/phenotype correlations. Hum. Mutat. 2009, 30, 548–556. [Google Scholar] [CrossRef] [PubMed]
- Mathiesen, J.S.; Effraimidis, G.; Rossing, M.; Rasmussen, Å.K.; Hoejberg, L.; Bastholt, L.; Godballe, C.; Oturai, P.; Feldt-Rasmussen, U. Multiple endocrine neoplasia type 2: A reveiw. Semin. Cancer Biol. 2021. [Google Scholar] [CrossRef] [PubMed]
- Eng, C.; Smith, D.P.; Mulligan, L.M.; Healey, C.S.; Zvelebil, M.J.; Stonehouse, T.J.; Ponder, M.A.; Jackson, C.E.; Waterfield, M.D.; Ponder, B.A. A novel point mutation in the tyrosine kinase domain of the RET proto-oncogene in sporadic medullary thyroid carcinoma and in a family with FMTC. Oncogene 1995, 10, 509–513. [Google Scholar]
- Eng, C.; Clayton, D.; Schuffenecker, I.; Lenoir, G.; Cote, G.; Gagel, R.F.; van Amstel, H.K.; Lips, C.J.; Nishisho, I.; Takai, S.I.; et al. The relationship between specific RET proto-oncogene mutations and disease phenotype in multiple endocrine neoplasia type 2. International RET mutation consortium analysis. JAMA 1996, 276, 1575–1579. [Google Scholar] [CrossRef] [PubMed]
- Gimm, O.; Marsh, D.J.; Andrew, S.D.; Frilling, A.; Dahia, P.L.; Mulligan, L.M.; Zajac, J.D.; Robinson, B.G.; Eng, C. Germline dinucleotide mutation in codon 883 of the RET proto-oncogene in multiple endocrine neoplasia type 2B without codon 918 mutation. J. Clin. Endocrinol. Metab. 1997, 82, 3902–3904. [Google Scholar] [CrossRef] [PubMed]
- Zhou, Y.; Zhao, Y.; Cui, B.; Gu, L.; Zhu, S.; Li, J.; Liu, J.; Yin, M.; Zhao, T.; Yin, Z.; et al. RET proto-oncogene mutations are restricted to codons 634 and 918 in mainland Chinese families with MEN2A and MEN2B. Clin. Endocrinol. 2007, 67, 570–576. [Google Scholar] [CrossRef] [PubMed]
- Imai, T.; Uchino, S.; Okamoto, T.; Suzuki, S.; Kosugi, S.; Kikumori, T.; Sakurai, A. High penetrance of pheochromocytoma in multiple endocrine neoplasia 2 caused by germ line RET codon 634 mutation in Japanese patients. Eur. J. Endocrinol. 2013, 168, 683–687. [Google Scholar] [CrossRef] [Green Version]
- Castinetti, F.; Qi, X.P.; Walz, M.K.; Maia, A.L.; Sansó, G.; Peczkowska, M.; Hasse-Lazar, K.; Links, T.P.; Dvorakova, S.; Toledo, R.A.; et al. Outcomes of adrenal-sparing surgery or total adrenalectomy in phaeochromocytoma associated with multiple endocrine neoplasia type 2: An international retrospective population-based study. Lancet Oncol. 2014, 15, 648–655. [Google Scholar] [CrossRef]
- Lang, B.H.; Yu, H.W.; Lo, C.Y.; Lee, K.E.; Garcia-Barcelo, M.M.; Woo, Y.C.; Lee, P.C.; Wong, K.P.; Tam, P.K.; Lam, K.S. Bilateral Pheochromocytomas in MEN2A Syndrome: A Two-Institution Experience. World J. Surg. 2015, 39, 2484–2491. [Google Scholar] [CrossRef] [Green Version]
- Siqueira, D.R.; Ceolin, L.; Ferreira, C.V.; Romitti, M.; Maia, S.C.; Maciel, L.M.; Maia, A.L. Role of RET genetic variants in MEN2-associated pheochromocytoma. Eur. J. Endocrinol. 2014, 170, 821–828. [Google Scholar] [CrossRef] [Green Version]
- Puñales, M.K.; Graf, H.; Gross, J.L.; Maia, A.L. RET codon 634 mutations in multiple endocrine neoplasia type 2: Variable clinical features and clinical outcome. J. Clin. Endocrinol. Metab. 2003, 88, 2644–2649. [Google Scholar] [CrossRef]
- Eng, C.; Smith, D.P.; Mulligan, L.M.; Nagai, M.A.; Healey, C.S.; Ponder, M.A.; Gardner, E.; Scheumann, G.F.; Jackson, C.E.; Tunnacliffe, A.; et al. Point mutation within the tyrosine kinase domain of the RET proto-oncogene in multiple endocrine neoplasia type 2B and related sporadic tumours. Hum. Mol. Genet. 1994, 3, 237–241. [Google Scholar] [CrossRef] [PubMed]
- Mastroianni, N.; De Fusco, M.; Zollo, M.; Arrigo, G.; Zuffardi, O.; Bettinelli, A.; Ballabio, A.; Casari, G. Molecular cloning, expression pattern, and chromosomal localization of the human Na-Cl thiazide-sensitive cotransporter (SLC12A3). Genomics 1996, 35, 486–493. [Google Scholar] [CrossRef]
- Luo, J.; Yang, X.; Liang, J.; Li, W. A pedigree analysis of two homozygous mutant Gitelman syndrome cases. Endocr. J. 2015, 62, 29–36. [Google Scholar] [CrossRef] [Green Version]
- Vargas-Poussou, R.; Dahan, K.; Kahila, D.; Venisse, A.; Riveira-Munoz, E.; Debaix, H.; Grisart, B.; Bridoux, F.; Unwin, R.; Moulin, B.; et al. Spectrum of mutations in Gitelman syndrome. J. Am. Soc. Nephrol. 2011, 22, 693–703. [Google Scholar] [CrossRef]
- Riveira-Munoz, E.; Chang, Q.; Bindels, R.J.; Devuyst, O. Gitelman’s syndrome: Towards genotype-phenotype correlations? Pediatric Nephrol. 2007, 22, 326–332. [Google Scholar] [CrossRef]






| Normal Reference Value | Proband | Proband’s Mother | |
|---|---|---|---|
| NE | <0.548 ng/mL | 1.301 ng/mL | — |
| E | <0.2 ng ng/mL | 1.907 ng/mL | — |
| NMN | <0.9 nmol/L | 1.7 nmol/L | — |
| MN | <0.5 nmol/L | 2.49 nmol/L | — |
| Dopamine | <0.08 ng ng/mL | <0.02 ng/mL | — |
| CEA | <5 ng/mL | 7.3 ng/mL | 14.29 ng/mL |
| Calcitonin | <10 pg/mL | 44.56 pg/mL | — |
| Parathormone | 15–65 pg/mL | 55.02 pg/mL | 169.7 pg/mL |
| serum calcium | 2.09–2.54 mmol/L | 2.3 mmol/L | 2.50 mmol/L |
| serum phosphorus | 0.89–1.6 mmol/L | 1.32 mmol/L | 1.29 mmol/L |
| serum potassium | 3.5–5.5 mmol/L | 4.2 mmol/L | 4.53 mmol/L |
| serum magnesium | 0.6–1.4 mmol/L | 1.0 mmol/L | 0.92 mmol/L |
| 24hU-NE | 16.49–40.65 µg/24 h | 46.33 µg/24 h | — |
| 24hU-E | 1.74–6.42 µg/24 h | 18.08 µg/24 h | — |
| U-Dopamine | 120.93–330.59 µg/24 h | 257.06 µg/24 h | — |
| U-catecholamine | 59.1–266 nmol/24 h | — | 784.6 nmol/24 h |
| U-VMA | 8.6–76.3 umol/24 h | — | 89.1 umol/24 h |
Publisher’s Note: MDPI stays neutral with regard to jurisdictional claims in published maps and institutional affiliations. |
© 2022 by the authors. Licensee MDPI, Basel, Switzerland. This article is an open access article distributed under the terms and conditions of the Creative Commons Attribution (CC BY) license (https://creativecommons.org/licenses/by/4.0/).
Share and Cite
Zhao, L.; Yang, K.-Q.; Fan, P.; Gong, D.-X.; Zhang, L.; Lu, Y.-T.; Meng, X.; Zhou, X.-L. RET c.1901G>A and Novel SLC12A3 Mutations in Familial Pheochromocytomas. Genes 2022, 13, 864. https://doi.org/10.3390/genes13050864
Zhao L, Yang K-Q, Fan P, Gong D-X, Zhang L, Lu Y-T, Meng X, Zhou X-L. RET c.1901G>A and Novel SLC12A3 Mutations in Familial Pheochromocytomas. Genes. 2022; 13(5):864. https://doi.org/10.3390/genes13050864
Chicago/Turabian StyleZhao, Lin, Kun-Qi Yang, Peng Fan, Ding-Xu Gong, Lin Zhang, Yi-Ting Lu, Xu Meng, and Xian-Liang Zhou. 2022. "RET c.1901G>A and Novel SLC12A3 Mutations in Familial Pheochromocytomas" Genes 13, no. 5: 864. https://doi.org/10.3390/genes13050864
APA StyleZhao, L., Yang, K.-Q., Fan, P., Gong, D.-X., Zhang, L., Lu, Y.-T., Meng, X., & Zhou, X.-L. (2022). RET c.1901G>A and Novel SLC12A3 Mutations in Familial Pheochromocytomas. Genes, 13(5), 864. https://doi.org/10.3390/genes13050864

