Associations of Single-Nucleotide Polymorphisms in Slovenian Patients with Acute Central Serous Chorioretinopathy
Abstract
1. Introduction
2. Materials and Methods
2.1. Patient Selection
2.2. Ophthalmological Exam
2.3. Sample Collection for Genetic Testing and DNA Extraction
2.4. DNA Amplification and Genotyping
2.5. Statistical Analysis
2.6. Transcriptional Factors Binding Sites Analysis
3. Results
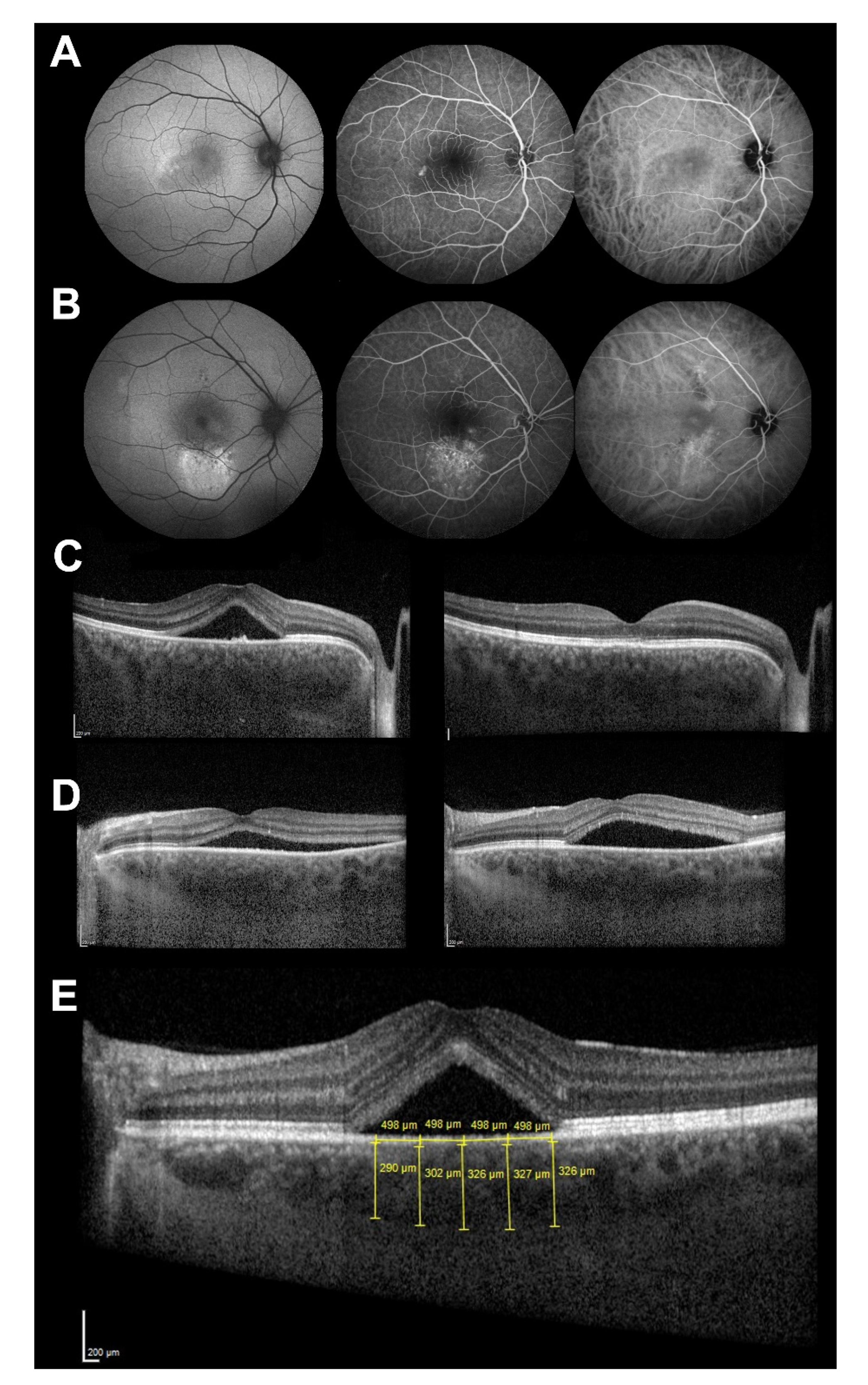
3.1. Phenotypic Characteristics of the CSC Patients
3.2. Genotypes Frequencies for the Analysed SNPs
3.3. Impact of Analysed SNPs for the CSC Development
3.4. Impact of Analysed SNPs for the CSC Phenotype Modulation
3.5. Analysis of Association between Haplotypes and Disease
3.6. Transcriptional Factor Binding Sites Predictions
4. Discussion
5. Conclusions
Supplementary Materials
Author Contributions
Funding
Institutional Review Board Statement
Informed Consent Statement
Data Availability Statement
Conflicts of Interest
References
- Daruich, A.; Matet, A.; Dirani, A.; Bousquet, E.; Zhao, M.; Farman, N.; Jaisser, F.; Behar-Cohen, F. Central Serous Chorioretinopathy: Recent Findings and New Physiopathology Hypothesis. Prog. Retin. Eye Res. 2015, 48, 82–118. [Google Scholar] [CrossRef]
- Daruich, A.; Matet, A.; Marchionno, L.; De Azevedo, J.D.; Ambresin, A.; Mantel, I.; Behar-Cohen, F. Acute Central Serous Chorioretinopathy: Factors Influencing Episode Duration. Retina 2017, 37, 1905–1915. [Google Scholar] [CrossRef]
- Mrejen, S.; Balaratnasingam, C.; Kaden, T.R.; Bottini, A.; Dansingani, K.; Bhavsar, K.V.; Yannuzzi, N.A.; Patel, S.; Chen, K.C.; Yu, S.; et al. Long-Term Visual Outcomes and Causes of Vision Loss in Chronic Central Serous Chorioretinopathy. Ophthalmology 2019, 126, 576–588. [Google Scholar] [CrossRef]
- Liu, B.; Deng, T.; Zhang, J. Risk Factors for Central Serous Chorioretinopathy: A Systematic Review and Meta-Analysis. Retina 2016, 36, 9–19. [Google Scholar] [CrossRef]
- Lin, E.; Arrigg, P.G.; Kim, R.Y. Familial Central Serous Choroidopathy. Graefes Arch. Clin. Exp. Ophthalmol. 2000, 238, 930–931. [Google Scholar] [CrossRef]
- Oosterhuis, J.A. Familial Central Serous Retinopathy. Graefes Arch. Clin. Exp. Ophthalmol. 1996, 234, 337–341. [Google Scholar] [CrossRef] [PubMed]
- Park, D.W.; Schatz, H.; Gaffney, M.M.; McDonald, H.R.; Johnson, R.N.; Schaeffer, D. Central Serous Chorioretinopathy in Two Families. Eur. J. Ophthalmol. 1998, 8, 42–47. [Google Scholar] [CrossRef] [PubMed]
- Weenink, A.C.; Borsje, R.A.; Oosterhuis, J.A. Familial Chronic Central Serous Chorioretinopathy. Ophthalmologica 2001, 215, 183–187. [Google Scholar] [CrossRef] [PubMed]
- Lehmann, M.; Bousquet, E.; Beydoun, T.; Behar-Cohen, F. Pachychoroid: An Inherited Condition? Retina 2015, 35, 10–16. [Google Scholar] [CrossRef]
- van Dijk, E.H.C.; Schellevis, R.L.; Breukink, M.B.; Mohabati, D.; Dijkman, G.; Keunen, J.E.E.; Yzer, S.; den Hollander, A.I.; Hoyng, C.B.; de Jong, E.K.; et al. Familial Central Serous Chorioretinopathy. Retina 2019, 39, 398–407. [Google Scholar] [CrossRef]
- de Jong, E.K.; Breukink, M.B.; Schellevis, R.L.; Bakker, B.; Mohr, J.K.; Fauser, S.; Keunen, J.E.; Hoyng, C.B.; den Hollander, A.I.; Boon, C.J. Chronic Central Serous Chorioretinopathy Is Associated with Genetic Variants Implicated in Age-Related Macular Degeneration. Ophthalmology 2015, 122, 562–570. [Google Scholar] [CrossRef]
- Hosoda, Y.; Miyake, M.; Schellevis, R.L.; Boon, C.J.F.; Hoyng, C.B.; Miki, A.; Meguro, A.; Sakurada, Y.; Yoneyama, S.; Takasago, Y.; et al. Genome-Wide Association Analyses Identify Two Susceptibility Loci for Pachychoroid Disease Central Serous Chorioretinopathy. Commun. Biol. 2019, 2, 468. [Google Scholar] [CrossRef]
- Miki, A.; Kondo, N.; Yanagisawa, S.; Bessho, H.; Honda, S.; Negi, A. Common Variants in the Complement Factor H Gene Confer Genetic Susceptibility to Central Serous Chorioretinopathy. Ophthalmology 2014, 121, 1067–1072. [Google Scholar] [CrossRef]
- Moschos, M.M.; Gazouli, M.; Gatzioufas, Z.; Brouzas, D.; Nomikarios, N.; Sivaprasad, S.; Mitropoulos, P.; Chatziralli, I.P. Prevalence of the Complement Factor H and Gstm1 Genes Polymorphisms in Patients with Central Serous Chorioretinopathy. Retina 2016, 36, 402–407. [Google Scholar] [CrossRef]
- Schubert, C.; Pryds, A.; Zeng, S.; Xie, Y.; Freund, K.B.; Spaide, R.F.; Merriam, J.C.; Barbazetto, I.; Slakter, J.S.; Chang, S.; et al. Cadherin 5 Is Regulated by Corticosteroids and Associated with Central Serous Chorioretinopathy. Hum. Mutat. 2014, 35, 859–867. [Google Scholar] [CrossRef]
- van Dijk, E.H.C.; Schellevis, R.L.; van Bergen, M.; Breukink, M.B.; Altay, L.; Scholz, P.; Fauser, S.; Meijer, O.C.; Hoyng, C.B.; den Hollander, A.I.; et al. Association of a Haplotype in the Nr3c2 Gene, Encoding the Mineralocorticoid Receptor, with Chronic Central Serous Chorioretinopathy. JAMA Ophthalmol. 2017, 135, 446–451. [Google Scholar] [CrossRef]
- Giannopoulos, K.; Gazouli, M.; Chatzistefanou, K.; Bakouli, A.; Moschos, M.M. The Genetic Background of Central Serous Chorioretinopathy: A Review on Central Serous Chorioretinopathy Genes. J. Genom. 2021, 9, 10–19. [Google Scholar] [CrossRef]
- Dorner, G.T.; Garhöfer, G.; Huemer, K.H.; Golestani, E.; Zawinka, C.; Schmetterer, L.; Wolzt, M. Effects of Adrenomedullin on Ocular Hemodynamic Parameters in the Choroid and the Ophthalmic Artery. Investig. Ophthalmol. Vis. Sci. 2003, 44, 3947–3951. [Google Scholar] [CrossRef][Green Version]
- Pio, R.; Martinez, A.; Unsworth, E.J.; Kowalak, J.A.; Bengoechea, J.A.; Zipfel, P.F.; Elsasser, T.H.; Cuttitta, F. Complement Factor H Is a Serum-Binding Protein for Adrenomedullin, and the Resulting Complex Modulates the Bioactivities of Both Partners. J. Biol. Chem. 2001, 276, 12292–12300. [Google Scholar] [CrossRef]
- Zhao, M.; Célérier, I.; Bousquet, E.; Jeanny, J.C.; Jonet, L.; Savoldelli, M.; Offret, O.; Curan, A.; Farman, N.; Jaisser, F.; et al. Mineralocorticoid Receptor Is Involved in Rat and Human Ocular Chorioretinopathy. J. Clin. Investig. 2012, 122, 2672–2679. [Google Scholar] [CrossRef]
- Mohabati, D.; Schellevis, R.L.; van Dijk, E.H.C.; Fauser, S.; den Hollander, A.I.; Hoyng, C.B.; De Jong, E.K.; Yzer, S.; Boon, C.J.F. Genetic Risk Factors in Severe, Nonsevere and Acute Phenotypes of Central Serous Chorioretinopathy. Retina 2019, 40, 1734. [Google Scholar] [CrossRef]
- Hosoda, Y.; Yamashiro, K.; Miyake, M.; Ooto, S.; Oishi, A.; Miyata, M.; Uji, A.; Khor, C.C.; Wong, T.Y.; Tsujikawa, A. Predictive Genes for the Prognosis of Central Serous Chorioretinopathy. Ophthalmol. Retina 2019, 3, 985–992. [Google Scholar] [CrossRef]
- Hosoda, Y.; Yoshikawa, M.; Miyake, M.; Tabara, Y.; Ahn, J.; Woo, S.J.; Honda, S.; Sakurada, Y.; Shiragami, C.; Nakanishi, H.; et al. Cfh and Vipr2 as Susceptibility Loci in Choroidal Thickness and Pachychoroid Disease Central Serous Chorioretinopathy. Proc. Natl. Acad. Sci. USA 2018, 115, 6261–6266. [Google Scholar] [CrossRef]
- Cho, S.C.; Ryoo, N.K.; Ahn, J.; Woo, S.J.; Park, K.H. Association of Irregular Pigment Epithelial Detachment in Central Serous Chorioretinopathy with Genetic Variants Implicated in Age-Related Macular Degeneration. Sci. Rep. 2020, 10, 1203. [Google Scholar] [CrossRef] [PubMed]
- Tsiogka, A.; Gkartzonikas, A.; Markopoulos, K.; Georgiou, I.; Spaeth, G.L. Keratoconus with Central Serous Chorioretinopathy: A Rare Combination. Case Rep. Ophthalmol. Med. 2020, 2020, 8816449. [Google Scholar] [CrossRef]
- Eandi, C.M.; Del Priore, L.V.; Bertelli, E.; Ober, M.D.; Yannuzzi, L.A. Central Serous Chorioretinopathy in Patients with Keratoconus. Retina 2008, 28, 94–96. [Google Scholar] [CrossRef]
- Loukovitis, E.; Sfakianakis, K.; Syrmakesi, P.; Tsotridou, E.; Orfanidou, M.; Bakaloudi, D.R.; Stoila, M.; Kozei, A.; Koronis, S.; Zachariadis, Z.; et al. Genetic Aspects of Keratoconus: A Literature Review Exploring Potential Genetic Contributions and Possible Genetic Relationships with Comorbidities. Ophthalmol. Ther. 2018, 7, 263–292. [Google Scholar] [CrossRef]
- Breukink, M.B.; Schellevis, R.L.; Boon, C.J.; Fauser, S.; Hoyng, C.B.; den Hollander, A.I.; de Jong, E.K. Genomic Copy Number Variations of the Complement Component C4b Gene Are Associated with Chronic Central Serous Chorioretinopathy. Investig. Ophthalmol. Vis. Sci. 2015, 56, 5608–5613. [Google Scholar] [CrossRef]
- Miki, A.; Sakurada, Y.; Tanaka, K.; Semba, K.; Mitamura, Y.; Yuzawa, M.; Tajima, A.; Nakatochi, M.; Yamamoto, K.; Matsuo, K.; et al. Genome-Wide Association Study to Identify a New Susceptibility Locus for Central Serous Chorioretinopathy in the Japanese Population. Investig. Ophthalmol. Vis. Sci. 2018, 59, 5542–5547. [Google Scholar] [CrossRef]
- Mohabati, D.; Schellevis, R.L.; van Dijk, E.H.C.; Altay, L.; Fauser, S.; Hoyng, C.B.; De Jong, E.K.; Boon, C.J.F.; Yzer, S. Genetic Risk Factors in Acute Central Serous Chorioretinopathy. Retina 2019, 39, 2303–2310. [Google Scholar] [CrossRef] [PubMed]
- van Dijk, E.H.C.; Tsonaka, R.; Klar-Mohamad, N.; Wouters, D.; de Vries, A.P.J.; de Jong, E.K.; van Kooten, C.; Boon, C.J.F. Systemic Complement Activation in Central Serous Chorioretinopathy. PLoS ONE 2017, 12, e0180312. [Google Scholar] [CrossRef]
- Stabuc-Silih, M.; Ravnik-Glavac, M.; Glavac, D.; Hawlina, M.; Strazisar, M. Polymorphisms in Col4a3 and Col4a4 Genes Associated with Keratoconus. Mol. Vis. 2009, 15, 2848–2860. [Google Scholar]
- Zupan, A.; Fakin, A.; Battelino, S.; Jarc-Vidmar, M.; Hawlina, M.; Bonnet, C.; Petit, C.; Glavac, D. Clinical and Haplotypic Variability of Slovenian Ush2a Patients Homozygous for the C. 11864g>A Nonsense Mutation. Genes 2019, 10, 1015. [Google Scholar] [CrossRef] [PubMed]
- Sole, X.; Guino, E.; Valls, J.; Iniesta, R.; Moreno, V. Snpstats: A Web Tool for the Analysis of Association Studies. Bioinformatics 2006, 22, 1928–1929. [Google Scholar] [CrossRef]
- Messeguer, X.; Escudero, R.; Farre, D.; Nunez, O.; Martinez, J.; Alba, M.M. Promo: Detection of Known Transcription Regulatory Elements Using Species-Tailored Searches. Bioinformatics 2002, 18, 333–334. [Google Scholar] [CrossRef] [PubMed]
- Kersten, E.; Paun, C.C.; Schellevis, R.L.; Hoyng, C.B.; Delcourt, C.; Lengyel, I.; Peto, T.; Ueffing, M.; Klaver, C.C.W.; Dammeier, S.; et al. Systemic and Ocular Fluid Compounds as Potential Biomarkers in Age-Related Macular Degeneration. Surv. Ophthalmol. 2018, 63, 9–39. [Google Scholar] [CrossRef] [PubMed]
- Yoneyama, S.; Sakurada, Y.; Kikushima, W.; Sugiyama, A.; Tanabe, N.; Mabuchi, F.; Kubota, T.; Iijima, H. Genetic Factors Associated with Choroidal Vascular Hyperpermeability and Subfoveal Choroidal Thickness in Polypoidal Choroidal Vasculopathy. Retina 2016, 36, 1535–1541. [Google Scholar] [CrossRef]
- Chen, L.; Miyamura, N.; Ninomiya, Y.; Handa, J.T. Distribution of the Collagen Iv Isoforms in Human Bruch’s Membrane. Br. J. Ophthalmol. 2003, 87, 212–215. [Google Scholar] [CrossRef] [PubMed]
- Arakawa, S.; Takahashi, A.; Ashikawa, K.; Hosono, N.; Aoi, T.; Yasuda, M.; Oshima, Y.; Yoshida, S.; Enaida, H.; Tsuchihashi, T.; et al. Genome-Wide Association Study Identifies Two Susceptibility Loci for Exudative Age-Related Macular Degeneration in the Japanese Population. Nat. Genet. 2011, 43, 1001–1004. [Google Scholar] [CrossRef]
- Fritsche, L.G.; Chen, W.; Schu, M.; Yaspan, B.L.; Yu, Y.; Thorleifsson, G.; Zack, D.J.; Arakawa, S.; Cipriani, V.; Ripke, S.; et al. Seven New Loci Associated with Age-Related Macular Degeneration. Nat. Genet. 2013, 45, 433–439.e2. [Google Scholar] [CrossRef]
- Sun, Y.; Li, S.; Li, H.; Yang, F.; Bai, Y.; Zhao, M.; Guo, J.; Zhao, M.; Zhou, P.; Khor, C.C.; et al. Tnfrsf10a-Loc389641 Rs13278062 but Not Rest-C4orf14-Polr2b-Igfbp7 Rs1713985 Was Found Associated with Age-Related Macular Degeneration in a Chinese Population. Investig. Ophthalmol. Vis. Sci. 2013, 54, 8199–8203. [Google Scholar] [CrossRef]
- Fritsche, L.G.; Igl, W.; Bailey, J.N.; Grassmann, F.; Sengupta, S.; Bragg-Gresham, J.L.; Burdon, K.P.; Hebbring, S.J.; Wen, C.; Gorski, M.; et al. A Large Genome-Wide Association Study of Age-Related Macular Degeneration Highlights Contributions of Rare and Common Variants. Nat. Genet. 2016, 48, 134–143. [Google Scholar] [CrossRef] [PubMed]

| SNP | Gene | Published Associationswith CSC | Variant Type | Genomic Location (GRCh38.p13) | MAF | |||
|---|---|---|---|---|---|---|---|---|
| Total | European | CSC Patients | Control Group | |||||
| rs10490924 | ARMS2 | Yes | Missense | chr10:122454932 | 0.245 | 0.238 | 0.250 | 0.239 |
| rs7499886 | CDH5 | Yes | Intron | chr16:66379292 | 0.443 | 0.431 | 0.470 | 0.451 |
| rs1329428 | CFH | Yes | Intron | chr1:196733680 | 0.404 | 0.395 | 0.410 | 0.563 |
| rs3753394 | CFH | Yes | Upstream | chr1:196651787 | 0.286 | 0.288 | 0.290 | 0.246 |
| rs1065489 | CFH | Yes | Missense | chr1:196740644 | 0.169 | 0.171 | 0.160 | 0.127 |
| rs800292 | CFH | Yes | Missense | chr1:196673103 | 0.248 | 0.222 | 0.340 | 0.254 |
| rs1061170 | CFH | Yes | Missense | chr1:196690107 | 0.371 | 0.376 | 0.310 | 0.346 |
| rs10178458 | COL4A3 | No | Missense | chr2:227246719 | 0.173 | 0.168 | 0.170 | 0.157 |
| rs55703767 | COL4A3 | No | Missense | chr2:227256385 | 0.204 | 0.218 | 0.260 | 0.300 |
| rs2229814 | COL4A4 | No | Missense | chr2:227089883 | 0.499 | 0.496 | 0.440 | 0.514 |
| rs2229813 | COL4A4 | No | Missense | chr2:227028004 | 0.435 | 0.427 | 0.430 | 0.457 |
| rs5522 | NR3C2 | Yes | Missense | chr4:148436323 | 0.114 | 0.110 | 0.070 | 0.100 |
| rs13278062 | TNFRSF10A | Yes | Upstream | chr8:23225458 | 0.496 | 0.488 | 0.380 | 0.486 |
| CSC Patients | Controls | |||
|---|---|---|---|---|
| N | N (%) | N | N (%) | |
| Total samples | 50 | 71 | ||
| Female | 7 | 14% | 9 | 12.7% |
| Male | 43 | 86% | 62 | 87.3% |
| Mean age at diagnosis: years (± SD) | 44.7 (±10) | / | 45.7 (±10) | / |
| No. of eyes (no., %) with spontaneous CSC episode resolution at 3 months | 19 | 38% | / | / |
| No. of eyes (no., %) with persistent CSC episode at 3 months | 31 | 62% | / | / |
| Average choroidal thickness, μm, mean (± SD) | 446 (±116) | / | / | / |
| Genotypes | Control Group | Central Serous Chorioretinopathy Patients | ||||||
|---|---|---|---|---|---|---|---|---|
| N (%) | HWE | N (%) | HWE | CSC | ||||
| χ2 | p Value | χ2 | p Value | χ2 | p Value | |||
| rs5522 | 70 | 0.864 | 0.352 | 50 | 0.283 | 0.594 | / | / |
| T/C | 14 (20.0) | 7 (14.0) | ||||||
| T/T | 56 (80.0) | 43 (86.0) | ||||||
| C/C | 0 (0.0) | 0 (0.0) | ||||||
| rs1329428 | 71 | 0.499 | 0.479 | 50 | 0.678 | 0.411 | 6.32 | 0.042 |
| T/T | 15 (21.1) | 16 (32.0) | ||||||
| T/C | 32 (45.1) | 27 (54.0) | ||||||
| C/C | 24 (33.8) | 7 (14.0) | ||||||
| rs3753394 | 71 | 2.185 | 0.139 | 50 | 0.020 | 0.888 | 1.68 | 0.432 |
| C/C | 38 (53.5) | 25 (50.0) | ||||||
| C/T | 31 (43.7) | 21 (42.0) | ||||||
| T/T | 2 (2.8) | 4 (8.0) | ||||||
| rs1065489 | 71 | 0.023 | 0.879 | 50 | 0.574 | 0.448 | 0.89 | 0.642 |
| G/G | 54 (76.1) | 36 (72.0) | ||||||
| G/T | 16 (22.5) | 12 (24.0) | ||||||
| T/T | 1 (1.4) | 2 (4.0) | ||||||
| rs7499886 | 71 | 0.465 | 0.495 | 50 | 0.352 | 0.552 | 0.10 | 0.953 |
| A/A | 20 (28.2) | 13 (26.0) | ||||||
| A/G | 38 (53.5) | 27 (54.0) | ||||||
| G/G | 13 (18.3) | 10 (20.0) | ||||||
| rs800292 | 71 | 0.961 | 0.326 | 50 | 0.019 | 0.889 | 1.82 | 0.404 |
| A/A | 3 (4.2) | 6 (12.0) | ||||||
| G/A | 30 (42.3) | 22 (44.0) | ||||||
| G/G | 38 (53.5) | 22 (44.0) | ||||||
| rs10490924 | 71 | 0.367 | 0.544 | 50 | 0.009 | 0.924 | 0.08 | 0.960 |
| G/G | 42 (59.2) | 28 (56.0) | ||||||
| G/T | 24 (33.8) | 19 (38.0) | ||||||
| T/T | 5 (7.0) | 3 (6.0) | ||||||
| rs13278062 | 70 | 4.607 | 0.031 | 50 | 2.785 | 0.095 | 1.47 | 0.480 |
| G/G | 21 (30.0) | 10 (20.0) | ||||||
| T/G | 26 (37.1) | 18 (36.0) | ||||||
| T/T | 23 (32.9) | 22 (44.0) | ||||||
| rs1061170 | 68 | 4.326 | 0.037 | 50 | 6.329 | 0.012 | 8.65 | 0.013 |
| C/C | 12 (17.6) | 1 (2.0) | ||||||
| T/C | 23 (33.8) | 29 (58.0) | ||||||
| T/T | 33 (48.5) | 20 (40.0) | ||||||
| rs10178458 | 70 | 2.433 | 0.118 | 50 | 2.429 | 0.119 | 2.79 | 0.248 |
| C/C | 48 (68.6) | 36 (72.0) | ||||||
| C/T | 22 (31.4) | 11 (22.0) | ||||||
| T/T | 0 (0.0) | 3 (6.0) | ||||||
| rs55703767 | 70 | 0.548 | 0.459 | 50 | 1.417 | 0.233 | 1.57 | 0.457 |
| G/G | 33 (47.1) | 29 (58.0) | ||||||
| G/T | 32 (45.7) | 16 (32.0) | ||||||
| T/T | 5 (7.1) | 5 (10.0) | ||||||
| rs2229814 | 70 | 1.447 | 0.228 | 50 | 0.034 | 0.854 | 1.55 | 0.460 |
| C/C | 16 (22.9) | 10 (20.0) | ||||||
| T/C | 40 (57.1) | 24 (48.0) | ||||||
| T/T | 14 (20.0) | 16 (32.0) | ||||||
| rs2229813 | 70 | 0.032 | 0.858 | 50 | 0.516 | 0.473 | 0.32 | 0.853 |
| A/A | 15 (21.4) | 8 (16.0) | ||||||
| G/A | 34 (48.6) | 27 (54.0) | ||||||
| G/G | 21 (30.0) | 15 (30.0) | ||||||
| Genotypes | CSC | |
|---|---|---|
| OR (95% CI) | p Value | |
| rs5522 | ||
| T/C | 1.00 | |
| T/T | 0.65 (0.24–1.75) | 0.470 |
| C/C | / | / |
| rs1329428 | ||
| C/C | 1.00 | |
| T/C | 2.89 (1.08–7.75) | 0.040 |
| T/T | 3.66 (1.22–10.96) | 0.034 |
| rs3753394 | ||
| C/C | 1.00 | |
| C/T | 1.03 (0.49–2.18) | 1.000 |
| T/T | 3.04 (0.52–17.86) | 0.230 |
| rs1065489 | ||
| G/G | 1.00 | |
| G/T | 1.12 (0.48–2.66) | 0.828 |
| T/T | 3.00 (0.26–34.33) | 0.565 |
| rs7499886 | ||
| A/A | 1.00 | |
| A/G | 1.09 (0.46–2.57) | 1.00 |
| G/G | 1.18 (0.40–3.49) | 0.789 |
| rs800292 | ||
| G/G | 1.00 | |
| G/A | 1.27 (0.59–2.71) | 0.566 |
| A/A | 3.45 (0.78–15.21) | 0.144 |
| rs10490924 | ||
| G/G | 1.00 | |
| G/T | 1.19 (0.55–2.56) | 0.697 |
| T/T | 0.90 (0.20–4.07) | 1.000 |
| rs13278062 | ||
| G/G | 1.00 | |
| T/G | 0.72 (0.31–1.67) | 0.525 |
| T/T | 0.50 (0.19–1.29) | 0.165 |
| rs1061170 | ||
| T/T | 1.00 | |
| T/C | 2.08 (0.95–4.54) | 0.0794 |
| C/C | 0.14 (0.02–1.14) | 0.0477 |
| rs10178458 | ||
| C/C | 1.00 | |
| C/T | 0.67 (0.29–1.55) | 0.405 |
| T/T | / | / |
| rs55703767 | ||
| G/G | 1.00 | |
| G/T | 0.57 (0.26–1.24) | 0.175 |
| T/T | 1.14 (0.30–4.33) | 1.000 |
| rs2229814 | ||
| C/C | 1.00 | |
| T/C | 0.53 (0.22–1.26) | 0.182 |
| T/T | 0.55 (0.19–1.59) | 0.295 |
| rs2229813 | ||
| A/A | 1.00 | |
| G/A | 1.11 (0.48–2.56) | 0.835 |
| G/G | 0.75 (0.25–2.21) | 0.785 |
| rs10178458 | rs55703767 | rs2229814 | rs2229813 | Freq | OR (95% CI) | p Value | |
|---|---|---|---|---|---|---|---|
| 1 | C | G | T | A | 0.2876 | 1.00 | --- |
| 2 | C | G | C | G | 0.2502 | 1.58 (0.66–3.77) | 0.31 |
| 3 | C | T | C | G | 0.1378 | 0.39 (0.11–1.35) | 0.14 |
| 4 | C | T | T | G | 0.0498 | 2.33 (0.47–11.65) | 0.3 |
| 5 | T | G | T | A | 0.0438 | 3.75 (0.44–31.79) | 0.23 |
| 6 | C | G | T | G | 0.0408 | 1.69 (0.27–10.41) | 0.57 |
| 7 | T | G | C | G | 0.0360 | 0.29 (0.03–2.99) | 0.3 |
| 8 | T | T | T | A | 0.0279 | 3.71 (0.39–34.99) | 0.25 |
| 9 | C | T | T | A | 0.0272 | 1.03 (0.05–22.93) | 0.99 |
| 10 | T | G | T | G | 0.0266 | 0.50 (0.05–5.42) | 0.57 |
| 11 | C | G | C | A | 0.0242 | 0.37 (0.02–7.16) | 0.51 |
| 12 | C | T | C | A | 0.0199 | 1.59 (0.14–17.88) | 0.71 |
| 13 | T | T | T | G | 0.0130 | 4.10 (0.05–309.99) | 0.52 |
| rare | * | * | * | * | 0.0152 | / | / |
| SNP (Gene) | rs1329428 (CFH) | rs3753394 (CFH) | rs7499886 (CDH5) | rs13278062 (TNFRSF10A) | ||||
|---|---|---|---|---|---|---|---|---|
| Alleles | T | C | C | T | A | G | G | T |
| Transcription factors | TFIID | TFIID | TFII-I | / | GR-beta | ENKTF-1 | / | GR-alpha |
| GR-alpha | / | |||||||
| GR-beta | GR-beta | GATA-1 | / | |||||
| T3R-beta1 | / | |||||||
Publisher’s Note: MDPI stays neutral with regard to jurisdictional claims in published maps and institutional affiliations. |
© 2021 by the authors. Licensee MDPI, Basel, Switzerland. This article is an open access article distributed under the terms and conditions of the Creative Commons Attribution (CC BY) license (https://creativecommons.org/licenses/by/4.0/).
Share and Cite
Kiraly, P.; Zupan, A.; Matjašič, A.; Mekjavić, P.J. Associations of Single-Nucleotide Polymorphisms in Slovenian Patients with Acute Central Serous Chorioretinopathy. Genes 2022, 13, 55. https://doi.org/10.3390/genes13010055
Kiraly P, Zupan A, Matjašič A, Mekjavić PJ. Associations of Single-Nucleotide Polymorphisms in Slovenian Patients with Acute Central Serous Chorioretinopathy. Genes. 2022; 13(1):55. https://doi.org/10.3390/genes13010055
Chicago/Turabian StyleKiraly, Peter, Andrej Zupan, Alenka Matjašič, and Polona Jaki Mekjavić. 2022. "Associations of Single-Nucleotide Polymorphisms in Slovenian Patients with Acute Central Serous Chorioretinopathy" Genes 13, no. 1: 55. https://doi.org/10.3390/genes13010055
APA StyleKiraly, P., Zupan, A., Matjašič, A., & Mekjavić, P. J. (2022). Associations of Single-Nucleotide Polymorphisms in Slovenian Patients with Acute Central Serous Chorioretinopathy. Genes, 13(1), 55. https://doi.org/10.3390/genes13010055

