Muscle MRI as a Useful Biomarker in Hereditary Transthyretin Amyloidosis: A Pilot Study
Abstract
:1. Introduction
2. Materials and Methods
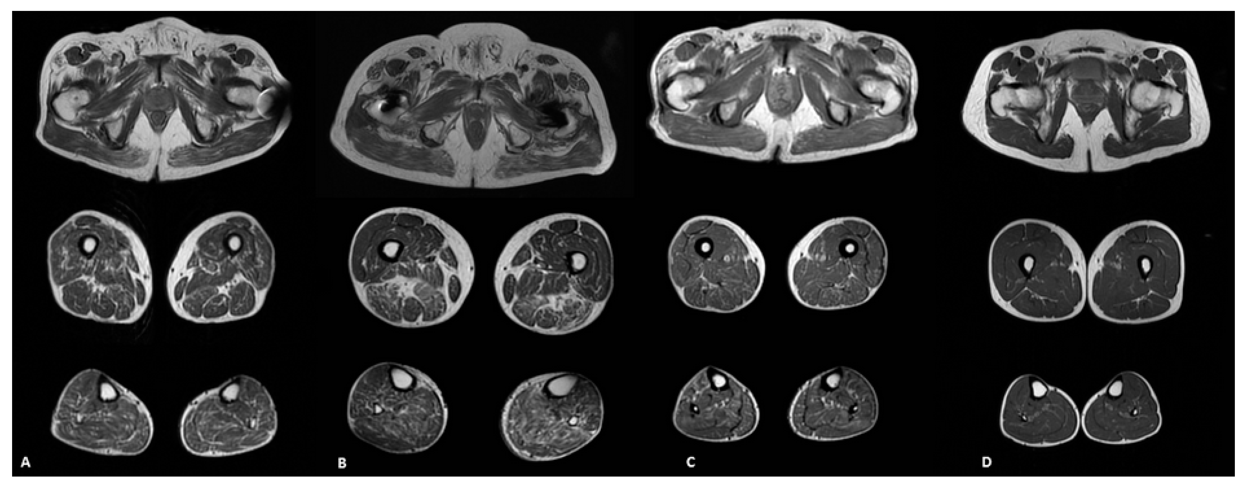
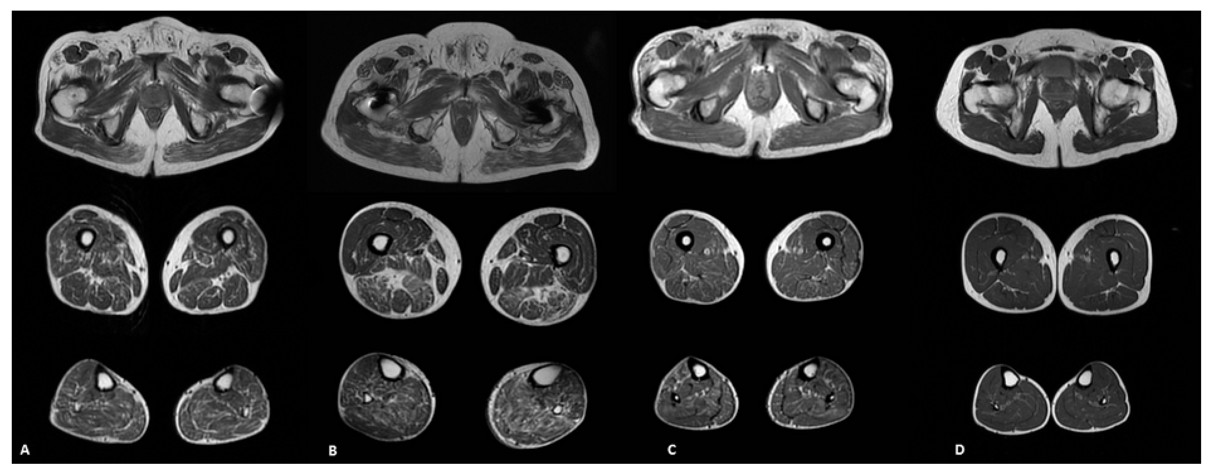
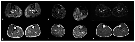
3. Results
4. Discussion
Author Contributions
Funding
Institutional Review Board Statement
Informed Consent Statement
Data Availability Statement
Acknowledgments
Conflicts of Interest
References
- Adams, D.; Koike, H.; Slama, M.; Coelho, T. Hereditary transthyretin amyloidosis: A model of medical progress for a fatal disease. Nat. Rev. Neurol. 2019, 15, 387–404. [Google Scholar] [CrossRef]
- Luigetti, M.; Romano, A.; Di Paolantonio, A.; Bisogni, G.; Sabatelli, M. Diagnosis and Treatment of Hereditary Transthyretin Amyloidosis (hATTR) Polyneuropathy: Current Perspectives on Improving Patient Care. Ther. Clin. Risk Manag. 2020, 16, 109–123. [Google Scholar] [CrossRef] [Green Version]
- Luigetti, M.; Conte, A.; Del Grande, A.; Bisogni, G.; Madia, F.; Monaco, M.L.; Laurenti, L.; Obici, L.; Merlini, G.; Sabatelli, M. TTR-related amyloid neuropathy: Clinical, electrophysiological and pathological findings in 15 unrelated patients. Neurol. Sci. 2013, 34, 1057–1063. [Google Scholar] [CrossRef] [PubMed]
- Minnella, A.; Rissotto, R.; Maceroni, M.; Romano, A.; Fasciani, R.; Luigetti, M.; Sabatelli, M.; Rizzo, S.; Falsini, B. Ocular Involvement in Hereditary Transthyretin Amyloidosis: A Case Series Describing Novel Potential Biomarkers. Genes 2021, 12, 927. [Google Scholar] [CrossRef]
- Luigetti, M.; Tortora, A.; Romano, A.; Di Paolantonio, A.; Guglielmino, V.; Bisogni, G.; Gasbarrini, A.; Calabresi, P.; Sabatelli, M. Gastrointestinal Manifestations in Hereditary Transthyretin Amyloidosis: A Single-Centre Experience. J. Gastrointest. Liver Dis. 2020, 29, 339–343. [Google Scholar] [CrossRef] [PubMed]
- Planté-Bordeneuve, V.; Said, G. Familial amyloid polyneuropathy. Lancet Neurol. 2011, 10, 1086–1097. [Google Scholar] [CrossRef]
- Luigetti, M.; Guglielmino, V.; Antonini, G.; Casali, C.; Ceccanti, M.; Chiappini, M.; De Giglio, L.; Di Lazzaro, V.; Di Muzio, A.; Goglia, M.; et al. ATTRv in Lazio-Italy: A High-Prevalence Region in a Non-Endemic Country. Genes 2021, 12, 829. [Google Scholar] [CrossRef] [PubMed]
- Adams, D.; Slama, M. Hereditary transthyretin amyloidosis. Curr. Opin. Neurol. 2020, 33, 553–561. [Google Scholar] [CrossRef] [PubMed]
- Brogna, C.; Cristiano, L.; Verdolotti, T.; Pichiecchio, A.; Cinnante, C.; Sansone, V.; Sconfienza, L.M.; Berardinelli, A.; Garibaldi, M.; Antonini, G.; et al. MRI patterns of muscle involvement in type 2 and 3 spinal muscular atrophy patients. J. Neurol. 2019, 267, 898–912. [Google Scholar] [CrossRef]
- Fischer, D.; Kley, R.A.; Strach, K.; Meyer, C.; Sommer, T.; Eger, K.; Rolfs, A.; Meyer, W.; Pou, A.; Pradas, J.; et al. Distinct muscle imaging patterns in myofibrillar myopathies. Neurology 2008, 71, 758–765. [Google Scholar] [CrossRef] [Green Version]
- Chardon, J.W.; Díaz-Manera, J.; Tasca, G.; Bönnemann, C.G.; Gómez-Andrés, D.; Heerschap, A.; Mercuri, E.; Muntoni, F.; Pichiecchio, A.; Ricci, E.; et al. MYO-MRI diagnostic protocols in genetic myopathies. Neuromuscul. Disord. 2019, 29, 827–841. [Google Scholar] [CrossRef] [PubMed]
- Wattjes, M.P.; Kley, R.A.; Fischer, D. Neuromuscular imaging in inherited muscle diseases. Eur. Radiol. 2010, 20, 2447–2460. [Google Scholar] [CrossRef] [Green Version]
- Díaz-Manera, J.; Walter, G.; Straub, V. Skeletal muscle magnetic resonance imaging in Pompe disease. Muscle Nerve 2021, 63, 640–650. [Google Scholar] [CrossRef]
- Barp, A.; Laforet, P.; Bello, L.; Tasca, G.; Vissing, J.; Monforte, M.; Ricci, E.; Choumert, A.; Stojkovic, T.; Malfatti, E.; et al. European muscle MRI study in limb girdle muscular dystrophy type R1/2A (LGMDR1/LGMD2A). J. Neurol. 2019, 267, 45–56. [Google Scholar] [CrossRef]
- Tasca, G.; Monforte, M.; Ottaviani, P.; Pt, M.P.; Frusciante, R.; Laschena, F.; Ricci, E. Magnetic resonance imaging in a large cohort of facioscapulohumeral muscular dystrophy patients: Pattern refinement and implications for clinical trials. Ann. Neurol. 2016, 79, 854–864. [Google Scholar] [CrossRef]
- Giacomucci, G.; Monforte, M.; Diaz-Manera, J.; Mul, K.; Torrón, R.F.; Maggi, L.; Bettolo, C.M.; Dahlqvist, J.R.; Haberlova, J.; Camaño, P.; et al. Deep phenotyping of facioscapulohumeral muscular dystrophy type 2 by magnetic resonance imaging. Eur. J. Neurol. 2020, 27, 2604–2615. [Google Scholar] [CrossRef]
- Alonso-Jimenez, A.; Kroon, R.H.; Alejaldre-Monforte, A.; Nuñez-Peralta, C.; Horlings, C.G.C.; Van Engelen, B.G.M.; Olive, M.; González, L.; Verges-Gil, E.; Paradas, C.; et al. Muscle MRI in a large cohort of patients with oculopharyngeal muscular dystrophy. J. Neurol. Neurosurg. Psychiatry 2018, 90, 576–585. [Google Scholar] [CrossRef]
- Chung, K.; Suh, B.; Shy, M.; Cho, S.; Yoo, J.; Park, S.; Moon, H.; Park, K.; Choi, K.; Kim, S.; et al. Different clinical and magnetic resonance imaging features between Charcot–Marie–Tooth disease type 1A and 2A. Neuromuscul. Disord. 2008, 18, 610–618. [Google Scholar] [CrossRef]
- Luigetti, M.; Bisogni, G.; Romano, A.; Di Paolantonio, A.; Barbato, F.; Primicerio, G.; Rossini, P.M.; Servidei, S.; Sabatelli, M. Sudoscan in the evaluation and follow-up of patients and carriers with TTR mutations: Experience from an Italian Centre. Amyloid 2018, 25, 242–246. [Google Scholar] [CrossRef]
- Conceição, I.; Damy, T.; Romero, M.; Galán, L.; Attarian, S.; Luigetti, M.; Sadeh, M.; Sarafov, S.; Tournev, I.; Ueda, M. Early diagnosis of ATTR amyloidosis through targeted follow-up of identified carriers of TTR gene mutations*. Amyloid 2019, 26, 3–9. [Google Scholar] [CrossRef] [Green Version]
- Ticau, S.; Sridharan, G.V.; Tsour, S.; Cantley, W.L.; Chan, A.; Gilbert, J.A.; Erbe, D.; Aldinc, E.; Reilly, M.M.; Adams, D.; et al. Neurofilament Light Chain as a Biomarker of Hereditary Transthyretin-Mediated Amyloidosis. Neurology 2021, 96, e412–e422. [Google Scholar] [CrossRef]
- Salvalaggio, A.; Coraci, D.; Obici, L.; Cacciavillani, M.; Luigetti, M.; Mazzeo, A.; Pastorelli, F.; Grandis, M.; Cavallaro, T.; Bisogni, G.; et al. Progressive brachial plexus enlargement in hereditary transthyretin amyloidosis. J. Neurol. 2021, 1–8. [Google Scholar] [CrossRef]



| Patient and Sex | Mutation | Age at Onset | Age at Examination | Disease Duration (Months) | FAP Stage | NIS Scale | NIS-LL Sub-Scale | Norfolk QoL-DN | Total Fatty Infiltration Score | BMI | CK |
|---|---|---|---|---|---|---|---|---|---|---|---|
| #1, M | Phe64Leu | 64 | 73 | 104 | 1 | 21 | 17 | 68 | 70 | 23 | 151 |
| #2, M | Phe64Leu | 72 | 74 | 24 | 1 | 97.5 | 52 | 84 | 100 | 24.3 | 104 |
| #3, M | Val30Met | 59 | 66 | 84 | 2 | 77.7 | 48.7 | 78 | 80 | 24.7 | 338 |
| #4, M | Val30Met | 66 | 69 | 30 | 1 | 60 | 45 | 56 | 94 | 23.7 | 212 |
| #5, M | Val30Met | 70 | 70 | 8 | 1 | 13 | 7 | 1 | 58 | 24.7 | 98 |
| #6, M | Ile88Leu | 62 | 65 | 34 | 2 | 55 | 30 | 54 | 94 | 32.8 | 162 |
| #7, M | Phe64Leu | 50 | 53 | 32 | 1 | 28.5 | 8 | 22 | 67 | 29.3 | 984 |
| #8, M | Val30Met | 66 | 69 | 30 | 1 | 31.5 | 27.5 | 21 | 59 | 23.9 | 156 |
| #9, M | Phe64Leu | 58 | 62 | 48 | 1 | 50 | 33 | 36 | 91 | 29.1 | 127 |
| #10, F | Val30Met | 65 | 73 | 91 | 1 | 18 | 16 | 51 | 79 | 26 | 115 |
Publisher’s Note: MDPI stays neutral with regard to jurisdictional claims in published maps and institutional affiliations. |
© 2021 by the authors. Licensee MDPI, Basel, Switzerland. This article is an open access article distributed under the terms and conditions of the Creative Commons Attribution (CC BY) license (https://creativecommons.org/licenses/by/4.0/).
Share and Cite
Primiano, G.; Verdolotti, T.; D’Apolito, G.; Di Paolantonio, A.; Guglielmino, V.; Romano, A.; Lucioli, G.; Luigetti, M.; Servidei, S. Muscle MRI as a Useful Biomarker in Hereditary Transthyretin Amyloidosis: A Pilot Study. Genes 2021, 12, 1786. https://doi.org/10.3390/genes12111786
Primiano G, Verdolotti T, D’Apolito G, Di Paolantonio A, Guglielmino V, Romano A, Lucioli G, Luigetti M, Servidei S. Muscle MRI as a Useful Biomarker in Hereditary Transthyretin Amyloidosis: A Pilot Study. Genes. 2021; 12(11):1786. https://doi.org/10.3390/genes12111786
Chicago/Turabian StylePrimiano, Guido, Tommaso Verdolotti, Gabriella D’Apolito, Andrea Di Paolantonio, Valeria Guglielmino, Angela Romano, Gabriele Lucioli, Marco Luigetti, and Serenella Servidei. 2021. "Muscle MRI as a Useful Biomarker in Hereditary Transthyretin Amyloidosis: A Pilot Study" Genes 12, no. 11: 1786. https://doi.org/10.3390/genes12111786
APA StylePrimiano, G., Verdolotti, T., D’Apolito, G., Di Paolantonio, A., Guglielmino, V., Romano, A., Lucioli, G., Luigetti, M., & Servidei, S. (2021). Muscle MRI as a Useful Biomarker in Hereditary Transthyretin Amyloidosis: A Pilot Study. Genes, 12(11), 1786. https://doi.org/10.3390/genes12111786

