Sign in to use this feature.

Years

Between: -

Subjects

remove_circle_outline
remove_circle_outline
remove_circle_outline
remove_circle_outline
remove_circle_outline
remove_circle_outline
remove_circle_outline
remove_circle_outline
remove_circle_outline

Journals

remove_circle_outline
remove_circle_outline
remove_circle_outline
remove_circle_outline
remove_circle_outline
remove_circle_outline
remove_circle_outline
remove_circle_outline
remove_circle_outline
remove_circle_outline
remove_circle_outline
remove_circle_outline
remove_circle_outline
remove_circle_outline
remove_circle_outline
remove_circle_outline
remove_circle_outline
remove_circle_outline
remove_circle_outline
remove_circle_outline
remove_circle_outline
remove_circle_outline
remove_circle_outline
remove_circle_outline
remove_circle_outline

Article Types

Countries / Regions

remove_circle_outline
remove_circle_outline
remove_circle_outline
remove_circle_outline
remove_circle_outline
remove_circle_outline
remove_circle_outline
remove_circle_outline
remove_circle_outline

Search Results (5,385)

Search Parameters:
Keywords = amyloid

Order results
Result details
Results per page
Select all
Export citation of selected articles as:
22 pages, 6114 KB  
Article
Human and Mouse Alpha-Synuclein Fibrillation: Impact on h-FTAA Binding and Advancing Strain-Specific Biomarkers in PD Animal Models
by Priyanka Swaminathan, Vasileios Theologidis, Hjalte Gram, Debdeep Chatterjee, Per Hammarström, Nathalie Van Den Berge and Mikael Lindgren
Int. J. Mol. Sci. 2026, 27(9), 3807; https://doi.org/10.3390/ijms27093807 - 24 Apr 2026
Abstract
Disease-specific alpha-synuclein (αsyn) strains have been linked to different synucleinopathies. Current αsyn biomarkers are limited to binary detection of pathogenic αsyn in peripheral tissue biopsies or fluids, limiting differential diagnosis. Hence, there is an urgent need for methods that allow strain-specific detection and [...] Read more.
Disease-specific alpha-synuclein (αsyn) strains have been linked to different synucleinopathies. Current αsyn biomarkers are limited to binary detection of pathogenic αsyn in peripheral tissue biopsies or fluids, limiting differential diagnosis. Hence, there is an urgent need for methods that allow strain-specific detection and characterization of αsyn strain architecture. Notably, luminescent conjugated oligothiophenes (LCOs) have been successfully used to detect distinct protein strain conformers in prion diseases and Alzheimer’s disease, highlighting their utility in differentiating disease-specific amyloid structures. Species-dependent differences in αsyn structure are increasingly recognized as one of the critical aspects that shape how fibrils form, propagate and interact with molecular LCO probes. Here, we evaluate the potential of the LCO h-FTAA to differentiate species-specific αsyn strains and conduct a translational investigation using peripheral cardiac tissue of a gut-first synucleinopathy rodent model. Our in vitro data demonstrate strain-specific probe–fibril interactions, reflecting a differential strain architecture and cellular micro-environment. While h-FTAA binds with comparable efficiency to mouse (mo-) and human (hu-) pre-formed fibrils (PFFs), h-FTAA exhibits markedly lower quantum yield when bound to moPFFs versus huPFFs. Spectral imaging revealed h-FTAA-moPFF binding produces blue-shifted maxima (505–550 nm), contrasting with the red-shifted maxima (545–580 nm) of huPFFs. Fluorescence lifetime imaging microscopy confirmed h-FTAA’s intrinsic sensitivity to species-dependent variations through distinct temporal fluorescence signatures (moPFFs: ~0.60–1.5 ns vs. huPFFs: ~0.65–1.0 ns). Our translational investigation showed h-FTAA binding to peripheral cardiac pathology exhibits comparable red-shifted emission, but distinct fluorescence lifetimes of h-FTAA-bound aggregates in moPFF-injected (~1.0–1.4 ns) versus huPFF-injected (~0.69–0.8 ns) rats. Interestingly, we observed distinct blue-shifted emission profiles in a few selected regions of the heart of moPFF-injected rodents, further characterized by extra-long fluorescence decay shifts (~1.5–1.9 ns), reflecting differences in both aggregate conformation and maturity in moPFF-induced compared with huPFF-induced rats. Taken together, our findings underscore the potential of LCO ligands, like h-FTAA, to enable more precise disease staging and diagnosis through peripheral biopsies, complementing existing αsyn biomarker methods. Full article
17 pages, 880 KB  
Review
Targeting Neuroinflammation and Oxidative Stress to Slow Neurodegeneration in the Visual System
by Nara Shakaki and Minzhong Yu
J. Clin. Med. 2026, 15(9), 3254; https://doi.org/10.3390/jcm15093254 - 24 Apr 2026
Abstract
Purpose: Neuroinflammation and oxidative stress are increasingly recognized as central, interconnected drivers of neurodegeneration in the visual system. This review examines the pathogenic mechanisms shared across glaucoma, age-related macular degeneration (AMD), diabetic retinopathy (DR), and Alzheimer’s disease (AD), and evaluates the therapeutic rationale [...] Read more.
Purpose: Neuroinflammation and oxidative stress are increasingly recognized as central, interconnected drivers of neurodegeneration in the visual system. This review examines the pathogenic mechanisms shared across glaucoma, age-related macular degeneration (AMD), diabetic retinopathy (DR), and Alzheimer’s disease (AD), and evaluates the therapeutic rationale for targeting both pathways simultaneously. Methods: A narrative review of peer-reviewed literature was conducted using PubMed. Searches included the following MeSH terms: neuroinflammation, oxidative stress, retinal neurodegeneration, microglia, Müller glia, mitochondrial dysfunction, glaucoma, age-related macular degeneration, diabetic retinopathy, and Alzheimer’s disease. Priority was given to original research, systematic reviews, and high-impact publications from 2000 through 2025. However, seminal foundational works were included regardless of publication date. Studies were selected based on relevance to glial activation, mitochondrial dysfunction, reactive oxygen and nitrogen species, and disease-specific neuronal outcomes. Results: Across all four diseases, persistent microglial and Müller glial activation, mitochondrial electron transport chain dysfunction, and excess reactive oxygen species (ROS) and reactive nitrogen species (RNS) production form a self-amplifying feed-forward loop that accelerates neuronal injury. In glaucoma, these mechanisms drive intraocular pressure-independent retinal ganglion cell loss. In AMD and DR, lipid dysregulation, complement activation, and chronic hyperglycemia sustain oxidative-inflammatory injury to the retinal pigment epithelium, photoreceptors, and neurovasculature. In AD, retinal amyloid deposition and oxidative burden mirror cortical pathology, positioning the retina as a noninvasive biomarker site. Conclusions: Neuroinflammation and oxidative stress constitute unifying upstream mechanisms across major vision-threatening neurodegenerative diseases. Combination therapeutic strategies that simultaneously modulate glial activation and restore redox homeostasis may offer superior neuroprotective efficacy compared to approaches targeting isolated downstream mediators. Full article
17 pages, 24430 KB  
Article
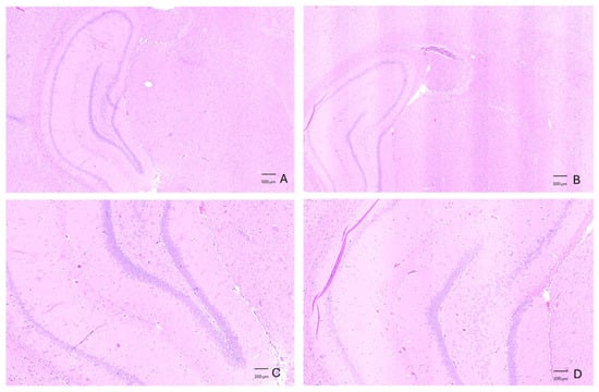
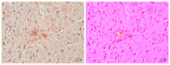
Cognitive and Histological Methodological Framework for an Intrahippocampal Aβ1–42 Rat Model of Alzheimer’s Disease
by Loredana Mariana Agavriloaei, Bogdan Florin Iliescu, Gabriela Dumitrița Stanciu, Ivona Costachescu, Andrei Szilagyi, Maria-Raluca Gogu, Bogdan Ionel Tamba and Mihaela Dana Turliuc
Neurol. Int. 2026, 18(5), 79; https://doi.org/10.3390/neurolint18050079 - 24 Apr 2026
Abstract
Background: Standardized and ethically compliant animal models remain essential for improving translational research in Alzheimer’s disease. Although Aβ1–42-induced rodent models are widely used, methodological variability continues to limit reproducibility. Methods: We explored the feasibility of a stereotactic intrahippocampal Aβ1–42 rat [...] Read more.
Background: Standardized and ethically compliant animal models remain essential for improving translational research in Alzheimer’s disease. Although Aβ1–42-induced rodent models are widely used, methodological variability continues to limit reproducibility. Methods: We explored the feasibility of a stereotactic intrahippocampal Aβ1–42 rat model established by bilaterally injecting pre-aggregated peptide into the hippocampus of adult Sprague Dawley rats. Model feasibility and targeting accuracy were assessed intraoperatively. Cognitive performance was evaluated using the Y-maze for spatial recognition memory and the novel object recognition (NOR) test. Histological examination was performed using hematoxylin–eosin (H&E) and Congo red staining to assess cytoarchitecture and to provide supportive evidence of amyloid-like deposits. Results: The surgical procedure was well-tolerated, and the injected animals showed reduced performance in behavioural testing, including reduced spatial recognition memory in the Y-maze and decreased discrimination indices in the NOR test. The animals also showed histological changes, including Congo red-positive birefringent structures consistent with amyloid-like congophilic material. Conclusions: This study presents a feasible experimental framework for intrahippocampal Aβ1–42 administration, showing behavioural and histological changes under the present experimental conditions. However, further validation, including sham-operated controls and molecular characterization, will be required before these findings can be interpreted as specific to Aβ-driven pathology. Full article
Show Figures

Graphical abstract

17 pages, 4704 KB  
Article
Ginsenoside Rg1 Ameliorates the Learning and Memory Deficits of 5xFAD Mice by Inhibiting CCR3 Activity: Insights from In Vivo and In Vitro Investigations
by Hui Lu, Ying Yu, Ying Yang, He Li, Yangyi Li, Tianhao Yu, Shixue Wang, Fengzhen Li and Xiaorui Cheng
Pharmaceuticals 2026, 19(5), 661; https://doi.org/10.3390/ph19050661 - 23 Apr 2026
Abstract
Background/Objectives: Alzheimer’s disease (AD) is characterized by amyloid-beta accumulation and neuroinflammation, yet the molecular target of Ginsenoside Rg1 remains elusive. This study aimed to elucidate the neuroprotective mechanism of Ginsenoside Rg1, specifically investigating its interaction with C-C motif chemokine receptor 3 (CCR3). [...] Read more.
Background/Objectives: Alzheimer’s disease (AD) is characterized by amyloid-beta accumulation and neuroinflammation, yet the molecular target of Ginsenoside Rg1 remains elusive. This study aimed to elucidate the neuroprotective mechanism of Ginsenoside Rg1, specifically investigating its interaction with C-C motif chemokine receptor 3 (CCR3). Methods: We utilized 5xFAD transgenic mice and CCR3-overexpressing BV2 microglial cells. Behavioral assessments, enzyme-linked immunosorbent assays, quantitative real-time polymerase chain reaction, molecular docking, and surface plasmon resonance were employed to evaluate cognitive function and molecular pathways. Results: Ginsenoside Rg1 treatment significantly ameliorated spatial learning and memory deficits. Quantitatively, Rg1 reduced cortical amyloid-beta 1–40 levels (p < 0.05) and bound directly to CCR3 with a dissociation constant of 3.599 × 10−5 mol/L. This inhibition suppressed neuroinflammation and restored neurotrophic factors, including Brain-derived neurotrophic factor. Conclusions: CCR3 is a novel pharmacological target for Ginsenoside Rg1, providing a precise molecular basis for its neuroprotective effects. Future research should focus on clarifying the pharmacokinetic profile and brain bioavailability of Ginsenoside Rg1 to facilitate clinical translation. Full article
Show Figures

Graphical abstract

23 pages, 1525 KB  
Article
Gut–Heart Axis: Microbiome Involvement in Wild-Type Transthyretin Amyloidosis
by Itzel Ivonn López-Tenorio, Luis Alejandro Constantino-Jonapa, Samuel Jaimez-Alvarado, Fernando Hernández-Quiroz, Esteban Jorge-Galarza, Alma Reyna Escalona-Montaño, Amedeo Amedei, Rodrigo Soria-García, Enrique Alexander Berrios-Barcenas and María Magdalena Aguirre-García
Int. J. Mol. Sci. 2026, 27(9), 3763; https://doi.org/10.3390/ijms27093763 - 23 Apr 2026
Abstract
Cardiac amyloidosis is a rare and progressive condition characterized by the extracellular deposition of amyloid fibrils in multiple organs. Wild-type transthyretin amyloidosis (ATTR-wt) is the most common type affecting subjects above 60 years old. Recent and growing evidence suggests a potential link between [...] Read more.
Cardiac amyloidosis is a rare and progressive condition characterized by the extracellular deposition of amyloid fibrils in multiple organs. Wild-type transthyretin amyloidosis (ATTR-wt) is the most common type affecting subjects above 60 years old. Recent and growing evidence suggests a potential link between GM and cardiac amyloidosis. In this scenario, the aim of the present study is to characterize the gut microbiota (GM), related metabolites and inflammatory biomarkers in ATTR-wt patients. In the ATTR patients we identified Prevotella_9 as the core OTUs (Operational Taxonomic Unit) of this group, alongside Prevotella 7, Prevotellaceae_UCG-003 and Prevotellaceae_NK3B31. In addition, there were increased levels of long fatty acids, including tetradecanoic, hexadecanoic and octadecanoic acids, in the ATTR group. The data obtained suggest that ATTR patients have an altered gut microbiota that could be used as a potential biomarker in metabolic and cardiovascular diseases, as well as a potential predictor of adverse prognosis in ATTR patients. In addition, the intestinal dysbiosis in ATTR patients could be associated with low-grade endotoxemia promoting a pro-inflammatory state due to the translocation of bacterial components, such as LPS (lipopolysaccharide), into blood circulation. Full article
(This article belongs to the Special Issue Molecular and Cellular Mechanisms of Myocardial Disease)
20 pages, 1588 KB  
Review
A Review of the Effect of Peripheral Amyloid β on the Central Nervous System
by Zulaikha Elia Zamzuri, Mohd Amir Kamaruzzaman, Seong Lin Teoh and Mohamad Fairuz Yahaya
Curr. Issues Mol. Biol. 2026, 48(5), 438; https://doi.org/10.3390/cimb48050438 - 23 Apr 2026
Abstract
Alzheimer’s disease (AD) is a progressive neurodegenerative disorder classically defined by cerebral amyloid-β (Aβ) plaque deposition and tau pathology. In recent years, AD has increasingly been recognized as a multisystem disorder rather than a purely brain-restricted condition, as mounting evidence indicates that Aβ [...] Read more.
Alzheimer’s disease (AD) is a progressive neurodegenerative disorder classically defined by cerebral amyloid-β (Aβ) plaque deposition and tau pathology. In recent years, AD has increasingly been recognized as a multisystem disorder rather than a purely brain-restricted condition, as mounting evidence indicates that Aβ metabolism is a dynamic, bidirectional process involving both central and peripheral compartments. Peripheral tissues, particularly platelets, liver, kidneys, and the gastrointestinal tract, contribute substantially to circulating Aβ levels and influence cerebral amyloid burden. Platelets are now considered the predominant source of peripheral Aβ, accounting for the majority of plasma Aβ under physiological and pathological conditions, while the liver and kidneys play critical roles in Aβ clearance through receptor-mediated uptake, enzymatic degradation and excretion. Disruption of these peripheral clearance pathways elevates circulating Aβ, increasing its transport into the brain via blood–brain barrier (BBB) mechanisms by enhanced RAGE-mediated influx and impaired LRP1-dependent efflux in AD. Peripheral Aβ entry into the central nervous system exacerbates neuroinflammation, mitochondrial dysfunction, and oxidative stress, thereby accelerating neuronal damage and disease progression. This review synthesizes updated evidence on peripheral sources of Aβ, differences between central and peripheral Aβ pools, mechanisms of Aβ transport across the BBB, pathological consequences of peripheral Aβ on the brain and emerging therapeutic strategies targeting peripheral Aβ metabolism, highlighting the importance of a systemic perspective in AD pathogenesis and treatment. Full article
(This article belongs to the Special Issue Neural Networks in Molecular and Cellular Neurobiology)
17 pages, 7981 KB  
Article
Self-Assembly of Amyloid Fibrils into Fibrillar Superstructure Monitored with Thioflavin T
by Nabila Bushra, Tyler Hull, Diane Fakhre and Martin Muschol
Biomolecules 2026, 16(5), 622; https://doi.org/10.3390/biom16050622 - 22 Apr 2026
Viewed by 174
Abstract
Deposits of insoluble protein plaques, which are mostly composed of fibrils from disease-specific amyloid proteins, are histological markers of various human disorders. These range from non-neuropathic amyloidosis such as light chain amyloidosis or type II diabetes to well-known neuro-degenerative diseases such as Alzheimer’s [...] Read more.
Deposits of insoluble protein plaques, which are mostly composed of fibrils from disease-specific amyloid proteins, are histological markers of various human disorders. These range from non-neuropathic amyloidosis such as light chain amyloidosis or type II diabetes to well-known neuro-degenerative diseases such as Alzheimer’s Disease and Parkinson’s Disease. There are indications that these types of fibrillar suprastructures display biological activity distinct from the individual fibrils they are composed of. Yet, little is known about the mechanisms underlying the assembly of fibrillar suprastructures. An understanding of secondary fibril self-assembly into mesoscopic and macroscopic suprastructures is also critical for their application as novel biomaterial. The paucity of experimental data and theoretical models on fibrillar supra-assembly likely relates to the experimental and conceptual challenges in following this type of assembly on multiple length- and timescales, and in characterizing the distinct morphologies formed. Here, we report that the amyloid dye thioflavin T (ThT) is augmented during self-assembly of isolated lysozyme fibrils. We provide evidence that this augmentation of ThT fluorescence results from the unquenching of fibril-bound ThT during fibril binding. Combining ThT fluorescence, optical density, and fluorescence quenching kinetics with optical and electron microscopy, we propose that fibril self-assembly is driven by a transition from reaction-limited ordered assembly to diffusion-limited random cross-linking of fibrils. Full article
(This article belongs to the Section Molecular Biophysics: Structure, Dynamics, and Function)
Show Figures

Figure 1

31 pages, 1026 KB  
Review
The Central Role of Neuronal Cell Death in Alzheimer’s Disease Pathobiology
by Soyoung Kwak, Jin Kyung Kim, Yong-Uk Lee, Hye Suk Baek, Ye Jin Kwon, Mee-Na Park, Jeong-Ho Hong, Seung-Bo Lee, Hae Won Kim and Shin Kim
Biomedicines 2026, 14(5), 953; https://doi.org/10.3390/biomedicines14050953 - 22 Apr 2026
Viewed by 244
Abstract
Alzheimer’s disease (AD) is a progressive neurodegenerative disorder in which amyloid β accumulation, tau pathology, chronic neuroinflammation, and metabolic stress converge to drive synaptic dysfunction and neuronal loss. Rather than resulting from a single mechanism, increasing evidence indicates that neurodegeneration in AD is [...] Read more.
Alzheimer’s disease (AD) is a progressive neurodegenerative disorder in which amyloid β accumulation, tau pathology, chronic neuroinflammation, and metabolic stress converge to drive synaptic dysfunction and neuronal loss. Rather than resulting from a single mechanism, increasing evidence indicates that neurodegeneration in AD is mediated by the coordinated activation of multiple regulated cell death pathways. These pathways include apoptosis, necroptosis, pyroptosis, ferroptosis, and autophagy-dependent cell death, each characterized by distinct molecular mediators and execution programs. Evidence from human brain tissues, animal models, and in vitro systems demonstrates that core pathological drivers such as amyloid β and tau pathology, oxidative stress, and sustained neuroinflammation engage these death pathways in a spatially, temporally, and cell-type-dependent manner across neurons and glial populations. In this review, we synthesize the current knowledge on regulated cell death mechanisms in AD, emphasizing their molecular signatures, cellular specificity, and stage-dependent involvement, together with recent advances in immunohistochemical, imaging, and biofluid-based approaches for detecting neuronal death. By integrating evidence across molecular, cellular, and system levels, this review positions regulated cell death as a unifying framework for understanding neurodegeneration and developing pathway-specific biomarkers and combinatorial neuroprotective strategies. Full article
(This article belongs to the Special Issue Feature Reviews in Cell Death)
Show Figures

Figure 1

28 pages, 2136 KB  
Review
Loss of Proteostasis and Early-Onset Neurodegeneration in Down Syndrome: From Mechanisms to Interventions
by Antonella Tramutola, Chiara Lanzillotta, Fabio Di Domenico, Eugenio Barone and Marzia Perluigi
Antioxidants 2026, 15(4), 520; https://doi.org/10.3390/antiox15040520 - 21 Apr 2026
Viewed by 257
Abstract
Down syndrome (DS), caused by trisomy 21, is the most prevalent genetic condition associated with accelerated aging and near-universal development of early-onset Alzheimer’s disease (AD). Beyond gene-dosage imbalance, trisomy 21 induces widespread transcriptional, metabolic, and proteomic remodeling that establishes a chronic state of [...] Read more.
Down syndrome (DS), caused by trisomy 21, is the most prevalent genetic condition associated with accelerated aging and near-universal development of early-onset Alzheimer’s disease (AD). Beyond gene-dosage imbalance, trisomy 21 induces widespread transcriptional, metabolic, and proteomic remodeling that establishes a chronic state of proteotoxic and oxidative stress from early development. Increasing evidence identifies DS as a disorder of proteostasis network failure, in which sustained translational pressure, redox disequilibrium, and degradation pathway insufficiency progressively erode cellular resilience. In the DS brain, persistent endoplasmic reticulum stress with PERK-dominant signaling, mitochondrial dysfunction characterized by oxidative phosphorylation deficits and excessive reactive oxygen species production, and impaired antioxidant responses create a highly vulnerable intracellular environment. Concomitantly, degradation systems become compromised: proteasomal catalytic activity declines, ubiquitin-dependent signaling is remodeled, and chronic mTOR hyperactivation suppresses autophagic and mitophagic flux. The coordinated impairment of the ubiquitin–proteasome system and autophagy establish a feed-forward cycle of proteotoxic accumulation and redox amplification. Within this framework, Alzheimer-like neuropathology in DS emerges not solely from amyloid precursor protein triplication but as the late manifestation of decades-long proteostasis exhaustion. Therapeutic strategies aimed at restoring global proteostasis and redox balance may therefore represent a more effective systems-level approach to mitigating neurodegeneration in DS. Full article
(This article belongs to the Special Issue Oxidative Stress and Its Mitigation in Neurodegenerative Disorders)
Show Figures

Figure 1

33 pages, 6366 KB  
Article
Mathematical Modeling of Oxidative Stress in Alzheimer’s Disease: A Differential Equations Approach
by Lucien Gnegne Meteumba and Shantia Yarahmadian
Mathematics 2026, 14(8), 1390; https://doi.org/10.3390/math14081390 - 21 Apr 2026
Viewed by 125
Abstract
Alzheimer’s disease (AD) develops as a progressive dementia condition through the step-by-step breakdown of nerve cells. Neurodegeneration in this context primarily results from metal ions, including copper, iron, zinc, and aluminum, building up in the system. The aggregation of amyloid-beta () [...] Read more.
Alzheimer’s disease (AD) develops as a progressive dementia condition through the step-by-step breakdown of nerve cells. Neurodegeneration in this context primarily results from metal ions, including copper, iron, zinc, and aluminum, building up in the system. The aggregation of amyloid-beta () peptides and oxidative stress generation stem from metal ion involvement acting as defining characteristics of Alzheimer’s disease pathology. We developed a comprehensive mathematical model based on 24 coupled ordinary differential equations (ODEs) to represent the interactions between metal ions, peptides, reactive oxygen species (ROS), antioxidant defenses, and tau protein phosphorylation. The mathematical model monitors how metal ion concentrations change over time and examines their competitive binding effects, which trigger a series of reactions, resulting in oxidative stress and subsequent tau protein damage. The model uses analytical and numerical mathematical methods to expose nonlinear behaviors and threshold effects while offering mechanistic insights into the course of disease development. This model functions as a quantitative framework for assessing how therapeutic interventions that target metal dyshomeostasis and oxidative stress can potentially affect outcomes. Full article
(This article belongs to the Special Issue Mathematical and Statistical Modeling in Complex Diseases)
Show Figures

Figure 1

27 pages, 1575 KB  
Review
Microglial Innate Immune Memory: Implications and Research Advances in Central Nervous System Disorders
by Yaru Song, Shiyi Shu, Xiansi Zeng, Manli Xia, Junru Liu and Li Li
Curr. Issues Mol. Biol. 2026, 48(4), 426; https://doi.org/10.3390/cimb48040426 - 21 Apr 2026
Viewed by 148
Abstract
The central nervous system (CNS), comprising the brain and spinal cord, represents the core regulatory hub of the body. Damage to the CNS often leads to irreversible structural and functional impairments of neural tissues, posing a major global public health challenge. Immune memory [...] Read more.
The central nervous system (CNS), comprising the brain and spinal cord, represents the core regulatory hub of the body. Damage to the CNS often leads to irreversible structural and functional impairments of neural tissues, posing a major global public health challenge. Immune memory encompasses two states: immune training and immune tolerance, which are characterized by enhanced or attenuated immune responses, respectively, following initial exposure to external stimuli in immune cells such as monocytes and macrophages. Microglia, the resident immune cells of the CNS, can be rapidly activated by external stimuli. Accumulating evidence indicates that microglial immune memory plays a critical role in sustaining states and neuroinflammatory responses in CNS disorders. Specifically, the immune training state promotes amyloid-β (Aβ) accumulation in the brains of Alzheimer’s disease (AD) model mice, thereby exacerbating neuronal damage, whereas the immune tolerance state suppresses pro-inflammatory cytokine expression and alleviates neuroinflammation. This review focuses on two immune memory states in microglia—training and tolerance—and what triggers them. We summarize their roles and mechanisms in CNS diseases. Specifically, we break down how epigenetic and metabolic reprogramming control microglial immune memory, with an emphasis on how these two processes interact during memory formation and maintenance. Our goal is to fill key knowledge gaps about their combined effects and to suggest new therapeutic targets. Evidence shows that immune memory acts as a “double-edged sword” in the CNS: it can either fuel harmful inflammation and worsen damage, or, when moderately activated, protect nerves. Therefore, precisely balancing these two states could help reduce harmful inflammation while preserving the protective functions of microglia, offering a new, reversible immunotherapy for CNS diseases. Full article
(This article belongs to the Section Biochemistry, Molecular and Cellular Biology)
Show Figures

Figure 1

56 pages, 7501 KB  
Review
Amyloid-β, Tau Protein, α-Synuclein, TDP-43, and FUS in Mixed Pathology: And Intrinsic Disorder to Rule Them All
by Alex S. Siebner and Vladimir N. Uversky
Int. J. Mol. Sci. 2026, 27(8), 3669; https://doi.org/10.3390/ijms27083669 - 20 Apr 2026
Viewed by 151
Abstract
Neurodegenerative diseases, including Alzheimer’s Disease (AD), Parkinson’s Disease (PD), Lewy Body Disease (LBD), and related dementias, represent a global health challenge, particularly in aging populations. The simultaneous occurrence of neurodegenerative diseases in an aging population suggests a potential link between causative proteins. Such [...] Read more.
Neurodegenerative diseases, including Alzheimer’s Disease (AD), Parkinson’s Disease (PD), Lewy Body Disease (LBD), and related dementias, represent a global health challenge, particularly in aging populations. The simultaneous occurrence of neurodegenerative diseases in an aging population suggests a potential link between causative proteins. Such neurodegenerative proteins, including amyloid-β (Aβ), τ-protein (tau), α-synuclein, TAR DNA-binding protein 43 (TDP-43), and Fused in Sarcoma (FUS), share key characteristics of intrinsically disordered proteins (IDPs), which can explain promiscuous physical interactions, cross-seeding, co-occurrence, pathological synergy, and shared upstream and downstream mechanisms. This review synthesizes current evidence on (1) shared biophysical features of neurodegeneration-associated proteins, (2) mechanisms driving mixed neuropathology, (3) therapeutic implications of disorder-driven interactions, and (4) key unresolved questions shaping future research. By framing neurodegeneration as a network of interacting, disorder-driven proteinopathies rather than isolated entities, this perspective highlights the need for integrative, systems-level approaches to better understand disease heterogeneity and to identify novel targets for intervention. Full article
16 pages, 4389 KB  
Article
Advanced Glycation End Products Induce Microglial Activation and Impair Neurodevelopment in Human iPSC-Derived Brain Organoids
by Rika Kumar, Grace Shinn, Jimmy Lin, Qingshun Q. Li and Yiling Hong
Organoids 2026, 5(2), 12; https://doi.org/10.3390/organoids5020012 - 20 Apr 2026
Viewed by 135
Abstract
Advanced Glycation End Products (AGEs) are reactive compounds formed through the non-enzymatic glycation of proteins, lipids, or nucleic acids due to exposure to reducing sugars. They accumulate through endogenous metabolic dysregulation and exogenous dietary intake, particularly high-fat and high-sugar foods prepared at high [...] Read more.
Advanced Glycation End Products (AGEs) are reactive compounds formed through the non-enzymatic glycation of proteins, lipids, or nucleic acids due to exposure to reducing sugars. They accumulate through endogenous metabolic dysregulation and exogenous dietary intake, particularly high-fat and high-sugar foods prepared at high temperatures. The interaction between AGEs and their receptor, RAGE (receptor for Advanced Glycation End Products), has been implicated in a range of pathological conditions, including diabetes and metabolic syndrome. However, the impact of AGEs accumulation on neurodevelopment remains poorly understood. In this study, we investigated the effects of AGEs on human-induced pluripotent stem cell (iPSC)-derived cerebral organoids comprising neurons, astrocytes, and microglia. Our findings reveal that AGEs induce RAGE expression, leading to microglial activation, increased deposition of amyloid-beta (Aβ) aggregates, and impaired neurodevelopment. Additionally, elevated levels of AGE-modified proteins, along with altered microglial polarization, were observed in cerebral organoids modeling Western Pacific Amyotrophic Lateral Sclerosis and Parkinsonism–Dementia Complex (ALS-PDC). These findings demonstrate AGEs as active drivers of neurodevelopmental disruption and establish a mechanistic link between metabolic stress and increased susceptibility to neurodegenerative disease. Full article
Show Figures

Figure 1

15 pages, 968 KB  
Review
Ginkgo Biloba for Alzheimer’s Disease: From Mixed Dementia Trials to Biomarker-Confirmed Mild Cognitive Impairment—What Have We Learned over Two Decades, and Is There Finally a Bit of Hope?
by YoungSoon Yang and Yong Tae Kwak
Brain Sci. 2026, 16(4), 430; https://doi.org/10.3390/brainsci16040430 - 20 Apr 2026
Viewed by 329
Abstract
Ginkgo biloba products have been used for decades for cognitive symptoms, yet the clinical evidence in Alzheimer’s disease (AD) remains modest and heterogeneous. This review revisits key symptomatic and prevention trials and summarizes how systematic reviews and meta-analyses have informed ongoing clinical skepticism, [...] Read more.
Ginkgo biloba products have been used for decades for cognitive symptoms, yet the clinical evidence in Alzheimer’s disease (AD) remains modest and heterogeneous. This review revisits key symptomatic and prevention trials and summarizes how systematic reviews and meta-analyses have informed ongoing clinical skepticism, often citing small effect sizes, limited patient-centered meaningfulness, short follow-up, and repeated trial designs. We suggest that long-standing ambiguity reflects multiple, overlapping sources of heterogeneity, including mixed-pathology recruitment, variable dosing and exposure duration, inconsistent outcome frameworks, and limited integration of biological readouts; differences across preparations and characterization practices may further contribute to variability. In the biomarker era, AD is increasingly defined biologically, and amyloid PET-confirmed cohorts offer a clearer test by reducing diagnostic noise and enabling mechanism-adjacent interpretation. Recent studies in amyloid PET-positive MCI/AD report clinical preservation alongside directional changes in plasma oligomerization tendency (MDS-OAβ), with decreases in treated groups compared with increases in controls. While such findings cannot, by design, establish disease-modifying effects, they provide a biologically anchored context for interpreting modest clinical signals. We conclude with practical recommendations to align cohort biology, stage, exposure certainty, duration, endpoints, and biomarker panels in next-generation trials of Ginkgo preparations in early AD-spectrum disease. Full article
(This article belongs to the Section Neurodegenerative Diseases)
Show Figures

Figure 1

22 pages, 2527 KB  
Article
A Degradable Nanosystem Based on Small Gold Nanoparticles and Albumin for Amyloid Aggregation Inhibition
by Matías Levio, Francisco Rossel Carrera, Fredys Sánchez Hoyos, Maycol Huerta, Carlos Alamos, Rodrigo Vásquez-Contreras, Marcelo J. Kogan and Eyleen Araya Fuentes
Pharmaceutics 2026, 18(4), 504; https://doi.org/10.3390/pharmaceutics18040504 - 19 Apr 2026
Viewed by 200
Abstract
Background/Objectives: Beta amyloid (Aβ) aggregates play a central role in the pathophysiology of Alzheimer’s disease (AD), and their detection and modulation remain major challenges in developing effective therapeutic and diagnostic strategies. Previously, gold nanoparticles with plasmonic and optical properties in the near-infrared [...] Read more.
Background/Objectives: Beta amyloid (Aβ) aggregates play a central role in the pathophysiology of Alzheimer’s disease (AD), and their detection and modulation remain major challenges in developing effective therapeutic and diagnostic strategies. Previously, gold nanoparticles with plasmonic and optical properties in the near-infrared (NIR) region and photothermal capabilities have been designed for detecting and disaggregating Aβ aggregates. However, these systems often face limitations related to biodegradability, long-term accumulation, and safety. In this work, a degradable NIR-responsive nanosystem based on small gold nanoparticles (sAuNPs), potentially excretable due to their small size, encapsulated within bovine serum albumin (BSA) and functionalized with the all-D peptide D3, was developed to inhibit Aβ aggregation. Methods: sAuNPs (~5–6 nm), functionalized with HS-PEG-NH2, were encapsulated into BSA nanoparticles using a desolvation method and subsequently conjugated to D3, resulting in the nanosystem f-sAuNPs-BSANPs-D3. The nanosystem was characterized by UV–Vis–NIR spectroscopy, dynamic light scattering, zeta potential analysis, electron microscopy, and nanoparticle tracking analysis. The effects of the nanosystem on Aβ1–42 aggregation were evaluated using a thioflavin T assay and electron microscopy. Additionally, the effects of f-sAuNPs-BSANPs-D3 on cell viability and its stability against trypsin digestion were assessed. Results: The nanosystem exhibited a measurable photothermal response under NIR irradiation and significantly reduced fibril formation. It did not affect the viability of SH-SY5Y neuronal cells at the tested concentrations. Trypsin incubation experiments demonstrated that the nanosystem remained stable at low enzyme concentrations mimicking plasma conditions, whereas higher enzyme concentrations induced degradation of the albumin matrix and subsequent disaggregation of sAuNPs. Conclusions: Overall, this study presents a degradable, albumin-based sAuNP nanosystem with NIR-responsive properties and potential for nanomedicine applications to inhibit Aβ aggregation in AD. Full article
(This article belongs to the Topic Advanced Nanotechnology in Drug Delivery Systems)
Show Figures

Figure 1

Back to TopTop