Effects of Hydrogen Peroxide on Slow- and Fast-Growing NIH/3T3-Derived Cultures: Nuclear and Cytoplasmic Aspects Related to Senescence and Transformation
Abstract
1. Introduction
2. Materials and Methods
2.1. Experimental Model
2.2. Selection and Enrichment of NIHs and NIHv Cells
2.3. Cell Cultures
2.4. Hydrogen Peroxide Treatment
2.5. Microscopy and Photographic Documentation
2.6. Cell Cycle Analysis
2.6.1. Determination of DNA Content by Means of Propidium Iodide Staining
2.6.2. Evaluation of BrdU Uptake
2.7. Flow Cytometric Content/Activity Analysis and Morphology Evaluation of Mitochondria
2.7.1. Flow Cytometry
2.7.2. Morphological Evaluation of Mitochondria
2.8. Superoxide Anion Detection at the Mitochondria Level: Cell Imaging and Microfluorometric Measurements
2.9. Morphological and Functional Aspects Related to the Lysosomal Compartment
2.9.1. Microfluorometric Measurements of Lysosome Content/Activity and Lipofuscin Autofluorescence
2.9.2. Morphology and Co-Localization of Lysosomal Compartment Fluorescence and Lipofuscin Autofluorescence
2.9.3. Detection of Senescence-Associated SA-β-Galactosidase Activity
2.9.4. Autophagy Detection
2.10. Statistical Analysis
3. Results
3.1. Morphology and Adhesive Properties of Different Cultures During Selection, Enrichment, and Propagation Phases
3.2. The Comparison of the Proliferative Activity and Cell Cycle Progression of NIHb, NIHs, and NIHv Cultures
3.3. PI and BrdU Staining and Cell Cycle Analysis Before and After Hydrogen Peroxide Treatment
3.4. Content/Functionality and Morphology of Mitochondria Before and After Treatment with Hydrogen Peroxide
3.5. Detection of Superoxide Anion in Mitochondria Before and After Treatment with Hydrogen Peroxide
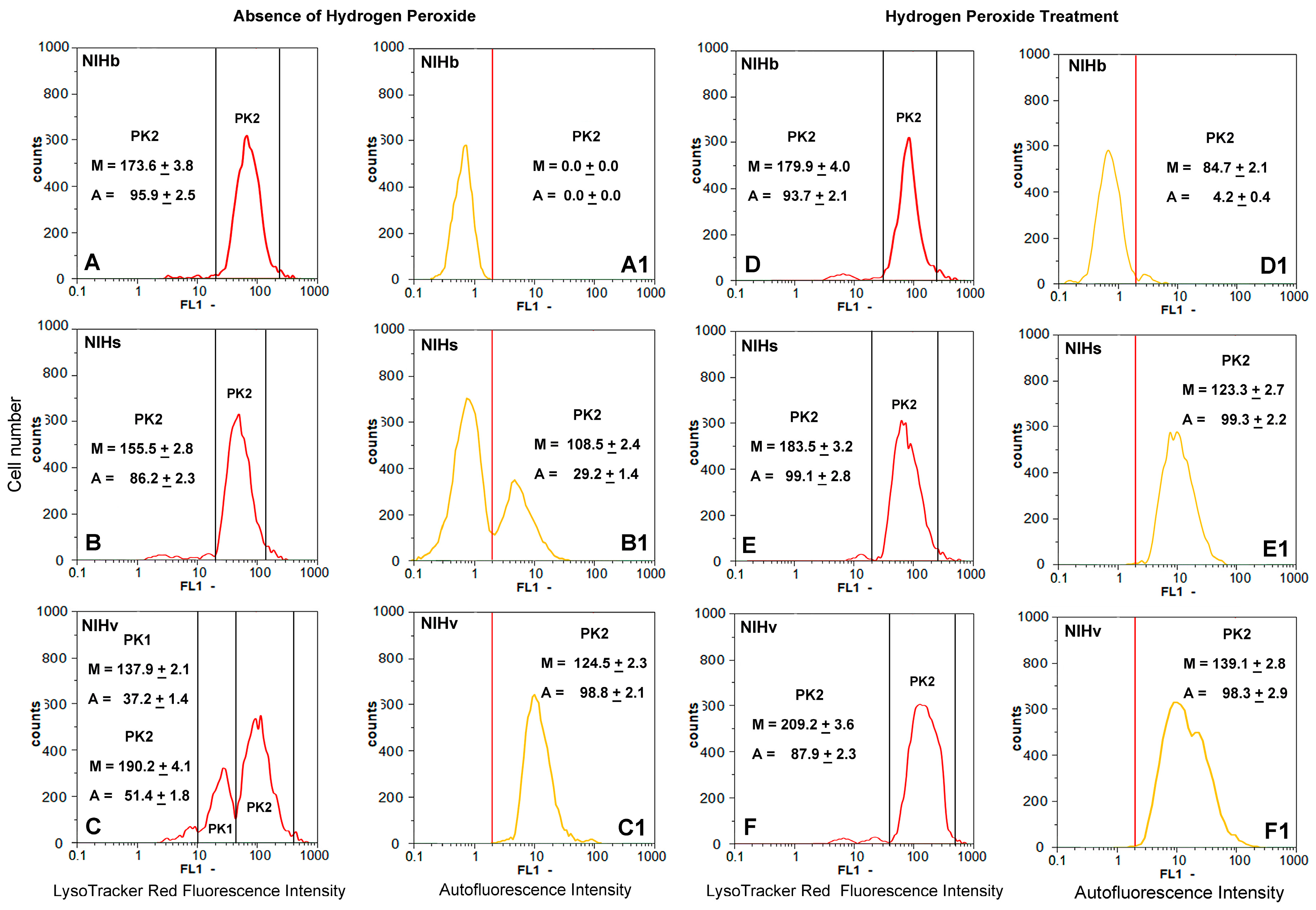
3.6. Lysosome Content/Activity, Lipofuscin Accumulation, and Activity of SA-β-Galactosidase Before and After Hydrogen Peroxide Treatment
3.6.1. Lysosomal Compartment and Lipofuscin Accumulation
3.6.2. Detection of SA-β-Galactosidase Activity Before and After Hydrogen Peroxide Treatment
3.6.3. Detection of Autophagic Events Before and After Hydrogen Peroxide Treatment
4. Discussion
4.1. Cell Cycle Progression Before and After Hydrogen Peroxide Treatment
4.2. Content/Activity and Morphology of Mitochondria Before and After Treatment with Hydrogen Peroxide
4.3. Dynamics of the Lysosomal Compartment Before and After the Hydrogen Peroxide Treatment
5. Conclusions
Author Contributions
Funding
Institutional Review Board Statement
Informed Consent Statement
Data Availability Statement
Conflicts of Interest
References
- Hayflick, L.; Moorhead, P.S. The serial cultivation of human diploid cell strains. Exp. Cell Res. 1961, 25, 585–621. [Google Scholar] [CrossRef]
- Jeyapalan, J.C.; Ferreira, M.; Sedivy, J.M.; Herbig, U. Accumulation of senescent cells in mitotic tissue of aging primates. Mech. Ageing Dev. 2007, 128, 36–44. [Google Scholar] [CrossRef]
- Baker, D.J.; Wijshake, T.; Tchkonia, T.; LeBrasseur, N.K.; Childs, B.G.; van de Sluis, B.; Kirkland, J.L.; van Deursen, J.M. Clearance of p16Ink4a-positive senescent cells delays ageing-associated disorders. Nature 2011, 479, 232–236. [Google Scholar] [CrossRef]
- Thangavel, C.; Dean, J.L.; Ertel, A.; Knudsen, K.E.; Aldaz, C.M.; Witkiewicz, A.K.; Clarke, R.; Knudsen, E.S. Therapeutically activating RB: Reestablishing cell cycle control in endocrine therapy-resistant breast cancer. Endocr. Relat. Cancer 2011, 18, 333–345. [Google Scholar] [CrossRef]
- Wang, L.; Lankhorst, L.; Bernards, R. Exploiting senescence for the treatment of cancer. Nat. Rev. Cancer 2022, 22, 340–355. [Google Scholar] [CrossRef]
- Sabin, R.J.; Anderson, R.M. Cellular Senescence its role in cancer and the response to ionizing radiation. Genome Integr. 2011, 2, 7. [Google Scholar] [CrossRef] [PubMed]
- Mikuła-Pietrasik, J.; Niklas, A.; Uruski, P.; Tykarski, A.; Książek, K. Mechanisms and significance of therapy-induced and spontaneous senescence of cancer cells. Cell. Mol. Life Sci. 2020, 77, 213–229. [Google Scholar] [CrossRef] [PubMed]
- Yang, J.; Liu, M.; Hong, D.; Zeng, M.; Zhang, X. The paradoxical role of cellular senescence in cancer. Front. Cell Dev. Biol. 2021, 9, 722205. [Google Scholar] [CrossRef]
- Passos, J.F.; Nelson, G.; Wang, C.; Richter, T.; Simillion, C.; Proctor, C.J.; Miwa, S.; Olijslagers, S.; Hallinan, J.; Wipat, A.; et al. Feedback between p21 and reactive oxygen production is necessary for cell senescence. Mol. Syst. Biol. 2010, 6, 347. [Google Scholar] [CrossRef] [PubMed]
- Mansour, M.A.; Rahman, M.; Ayad, A.A.; Warrington, A.E.; Burns, T.C. P21 Overexpression promotes cell death and induces senescence in human glioblastoma. Cancers 2023, 15, 1279. [Google Scholar] [CrossRef]
- Checa, J.; Aran, J.M. Reactive Oxygen Species: Drivers of physiological and pathological processes. J. Inflamm. Res. 2020, 13, 1057–1073. [Google Scholar] [CrossRef]
- Ali, T.; Li, D.; Ponnamperumage, T.N.F.; Peterson, A.K.; Pandey, J.; Fatima, K.; Brzezinski, J.; Jakusz, J.A.R.; Gao, H.; Koelsch, G.E.; et al. Generation of hydrogen peroxide in cancer cells: Advancing therapeutic approaches for cancer treatment. Cancers 2024, 16, 2171. [Google Scholar] [CrossRef] [PubMed]
- Chu, Z.; Yang, J.; Zheng, W.; Sun, J.; Wang, W.; Qian, H. Recent advances on modulation of H2O2 in tumor microenvironment for enhanced cancer therapeutic efficacy. Coord. Chem. Rev. 2023, 481, 215049. [Google Scholar] [CrossRef]
- Schmitt, C.A.; Wang, B.; Demaria, M. Senescence and cancer—role and therapeutic opportunities. Nat. Rev. Clin. Oncol. 2022, 19, 619–636. [Google Scholar] [CrossRef]
- Wang, B.; Kohli, J.; Demaria, M. Senescent cells in cancer terapy: Friends or foes? Trends Cancer 2020, 6, 838–857. [Google Scholar] [CrossRef]
- Spano, A.; Sciola, L. Polyploid cell dynamics and death before and after PEG-treatment of a NIH/3T3 derived culture: Vinblastine effects on the regulation of cell subpopulations heterogeneity. Cell Div. 2023, 18, 18. [Google Scholar] [CrossRef]
- Goncharova, E.I.; Nádas, A.; Rossman, T.G. Serum deprivation, but not inhibition of growth per se, induces a hypermutable state in Chinese hamster G12 cells. Cancer Res. 1996, 56, 752–756. [Google Scholar]
- Kuk, M.U.; Lee, Y.H.; Kim, J.W.; Hwang, S.Y.; Park, J.T.; Park, S.C. Potential treatment of lysosomal storage disease through modulation of the mitochondrial-lysosomal axis. Cells 2021, 10, 420. [Google Scholar] [CrossRef]
- Park, J.T.; Lee, Y.S.; Cho, K.A.; Park, S.C. Adjustment of the lysosomal-mitochondrial axis for control of cellular senescence. Ageing Res. Rev. 2018, 47, 176–182. [Google Scholar] [CrossRef]
- Gary, R.K.; Kindell, S.M. Quantitative assay of senescence-associated beta-galactosidase activity in mammalian cell extracts. Anal. Biochem. 2005, 343, 329–334. [Google Scholar] [CrossRef] [PubMed]
- Ghanian, Z.; Konduri, G.G.; Audi, S.H.; Camara, A.K.S.; Ranji, M. Quantitative optical measurement of mitochondrial superoxide dynamics in pulmonary artery endothelial cells. J. Innov. Opt. Health Sci. 2018, 11, 1750018. [Google Scholar] [CrossRef] [PubMed]
- Georgakopoulou, E.A.; Tsimaratou, K.; Evangelou, K.; Fernandez Marcos, P.J.; Zoumpourlis, V.; Trougakos, I.P.; Kletsas, D.; Bartek, J.; Serrano, M.; Gorgoulis, V.G. Specific lipofuscin staining as a novel biomarker to detect replicative and stress-induced senescence. A method applicable in cryo-preserved and archival tissues. Aging 2013, 5, 37–50. [Google Scholar] [CrossRef] [PubMed]
- Thomé, M.P.; Filippi-Chiela, E.C.; Villodre, E.S.; Migliavaca, C.B.; Onzi, G.R.; Felipe, K.B.; Lenz, G. Ratiometric analysis of acridine orange staining in the study of acidic organelles and autophagy. J. Cell Sci. 2016, 129, 4622–4632. [Google Scholar] [CrossRef] [PubMed]
- Irani, K.; Xia, Y.; Zweier, J.L.; Sollott, S.J.; Der, C.J.; Fearon, E.R.; Sundaresan, M.; Finkel, T.; Goldschmidt-Clermont, P.J. Mitogenic signaling mediated by oxidants in Ras-transformed fibroblasts. Science 1997, 275, 1649–1652. [Google Scholar] [CrossRef]
- Yin, S.; Wang, Y.; Liu, N.; Yang, M.; Hu, Y.; Li, X.; Fu, Y.; Luo, M.; Sun, J.; Yang, X. Potential skin protective effects after UVB irradiation afforded by an antioxidant peptide from Odorrana andersonii. Biomed. Pharmacother. 2019, 120, 109535. [Google Scholar] [CrossRef]
- Burhans, W.C.; Heintz, N.H. The cell cycle is a redox cycle: Linking phase-specific targets to cell fate. Free Radic. Biol. Med. 2009, 47, 1282–1293. [Google Scholar] [CrossRef]
- Huang, H.; Dong, C.; Chang, M.; Ding, L.; Chen, L.; Feng, W.; Chen, Y. Mitochondria-specific nanocatalysts for chemotherapy-augmented sequential chemoreactive tumor therapy. Exploration 2021, 1, 50–60. [Google Scholar] [CrossRef]
- Yoshizaki, K.; Fujiki, T.; Tsunematsu, T.; Yamashita, M.; Udono, M.; Shirahata, S.; Katakura, Y. Pro-senescent effect of hydrogen peroxide on cancer cells and its possible application to tumor suppression. Biosci. Biotechnol. Biochem. 2009, 73, 311–315. [Google Scholar] [CrossRef]
- Zhong, G.; Qin, S.; Townsend, D.; Schulte, B.A.; Tew, K.D.; Wang, G.Y. Oxidative stress induces senescence in breast cancer stem cells. Biochem. Biophys. Res. Commun. 2019, 514, 1204–1209. [Google Scholar] [CrossRef]
- Li, H.; Hu, P.; Wang, Z.; Wang, H.; Yu, X.; Wang, X.; Qing, Y.; Zhu, M.; Xu, J.; Li, Z.; et al. Mitotic catastrophe and p53-dependent senescence induction in T-cell malignancies exposed to nonlethal dosage of GL-V9. Arch. Toxicol. 2020, 94, 305–323. [Google Scholar] [CrossRef]
- Wang, G.F.; Dong, Q.; Bai, Y.; Yuan, J.; Xu, Q.; Cao, C.; Liu, X. Oxidative stress induces mitotic arrest by inhibiting Aurora A-involved mitotic spindle formation. Free Radic. Biol. Med. 2017, 103, 177–187. [Google Scholar] [CrossRef]
- Patterson, J.C.; Joughin, B.A.; van de Kooij, B.; Lim, D.C.; Lauffenburger, D.A.; Yaffe, M.B. ROS and oxidative stress are elevated in mitosis during asynchronous cell cycle progression and are exacerbated by mitotic arrest. Cell Syst. 2019, 8, 163–167.e2. [Google Scholar] [CrossRef]
- Kamal, N.S.M.; Safuan, S.; Shamsuddin, S.; Foroozandeh, P. Aging of the cells: Insight into cellular senescence and detection methods. Eur. J. Cell Biol. 2020, 99, 151108. [Google Scholar] [CrossRef] [PubMed]
- Song, K.-X.; Wang, J.-X.; Huang, D. Therapy-induced senescent tumor cells in cancer relapse. J. Natl. Cancer Cent. 2023, 3, 273–278. [Google Scholar] [CrossRef]
- Pangou, E.; Sumara, I. The multifaceted regulation of mitochondrial dynamics during mitosis. Front. Cell Dev. Biol. 2021, 9, 767221. [Google Scholar] [CrossRef]
- Madan, S.; Uttekar, B.; Chowdhary, S.; Rikhy, R. Mitochondria lead the way: Mitochondrial dynamics and function in cellular movements in development and disease. Front. Cell Dev. Biol. 2022, 9, 781933. [Google Scholar] [CrossRef] [PubMed]
- Antico Arciuch, V.G.; Elguero, M.E.; Poderoso, J.J.; Carreras, M.C. Mitochondrial regulation of cell cycle and proliferation. Antioxid. Redox Signal. 2011, 16, 1150–1180. [Google Scholar] [CrossRef]
- Bakalova, R.; Aoki, I.; Zhelev, Z.; Higashi, T. Cellular redox imbalance on the crossroad between mitochondrial dysfunction, senescence, and proliferation. Redox Biol. 2022, 53, 102337. [Google Scholar] [CrossRef] [PubMed]
- Miwa, S.; Kashyap, S.; Chini, E.; von Zglinicki, T. Mitochondrial dysfunction in cell senescence and aging. J. Clin. Investig. 2022, 132, e158447. [Google Scholar] [CrossRef]
- Holley, A.K.; Bakthavatchalu, V.; Velez-Roman, J.M.; St Clair, D.K. Manganese superoxide dismutase: Guardian of the powerhouse. Int. J. Mol. Sci. 2011, 12, 7114–7162. [Google Scholar] [CrossRef] [PubMed]
- Rickard, B.P.; Overchuk, M.; Chappell, V.A.; Ruhi, M.K.; Sinawang, P.D.; Hoang, T.T.N.; Akin, D.; Demirci, U.; Franco, W.; Fenton, S.E.; et al. Methods to evaluate changes in mitochondrial structure and function in cancer. Cancers 2023, 15, 2564. [Google Scholar] [CrossRef]
- Trotta, A.P.; Chipuk, J.E. Mitochondrial dynamics as regulators of cancer biology. Cell. Mol. Life Sci. 2017, 74, 1999–2017. [Google Scholar] [CrossRef]
- Chen, H.; Chan, D.C. Mitochondrial dynamics in regulating the unique phenotypes of cancer and stem cells. Cell Metab. 2017, 26, 39–48. [Google Scholar] [CrossRef]
- Giacomini, I.; Cortini, M.; Tinazzi, M.; Baldini, N.; Cocetta, V.; Ragazzi, E.; Avnet, S.; Montopoli, M. Contribution of mitochondrial activity to doxorubicin-resistance in osteosarcoma cells. Cancers 2023, 15, 1370. [Google Scholar] [CrossRef]
- Tan, A.S.; Baty, J.W.; Dong, L.F.; Bezawork-Geleta, A.; Endaya, B.; Goodwin, J.; Bajzikova, M.; Kovarova, J.; Peterka, M.; Yan, B.; et al. Mitochondrial genome acquisition restores respiratory function and tumorigenic potential of cancer cells without mitochondrial DNA. Cell Metab. 2015, 21, 81–94. [Google Scholar] [CrossRef]
- Viale, A.; Corti, D.; Draetta, G.F. Tumors and mitochondrial respiration: A neglected connection. Cancer Res. 2015, 75, 3685–3686. [Google Scholar] [CrossRef]
- Zhang, B.B.; Wang, D.G.; Guo, F.F.; Xuan, C. Mitochondrial membrane potential and reactive oxygen species in cancer stem cells. Fam. Cancer 2015, 14, 19–23. [Google Scholar] [CrossRef] [PubMed]
- Kuznetsov, A.V.; Margreiter, R.; Ausserlechner, M.J.; Hagenbuchner, J. The Complex interplay between mitochondria, ROS and entire cellular metabolism. Antioxidants 2022, 11, 1995. [Google Scholar] [CrossRef] [PubMed]
- Sakamaki, T.; Casimiro, M.C.; Ju, X.; Quong, A.A.; Katiyar, S.; Liu, M.; Jiao, X.; Li, A.; Zhang, X.; Lu, Y.; et al. Cyclin D1 determines mitochondrial function in vivo. Mol. Cell. Biol. 2006, 26, 5449–5469. [Google Scholar] [CrossRef]
- Lacombe, A.; Scorrano, L. The interplay between mitochondrial dynamics and autophagy: From a key homeostatic mechanism to a driver of pathology. Semin. Cell Dev. Biol. 2024, 161–162, 1–19. [Google Scholar] [CrossRef] [PubMed]
- Demers-Lamarche, J.; Guillebaud, G.; Tlili, M.; Todkar, K.; Bélanger, N.; Grondin, M.; Nguyen, A.P.; Michel, J.; Germain, M. Loss of mitochondrial function impairs lysosomes. J. Biol. Chem. 2016, 291, 10263–10276. [Google Scholar] [CrossRef] [PubMed]
- Deus, C.M.; Yambire, K.F.; Oliveira, P.J.; Raimundo, N. Mitochondria–lysosome crosstalk: From physiology to neurodegeneration. Trends Mol. Med. 2020, 26, 71–88. [Google Scholar] [CrossRef]
- Kundra, V.; Dean, M.F. Transformed SV3T3 cells have a reduced lysosomal compartment and lower levels of enzyme activity than 3T3 cells. Exp. Cell Res. 1990, 189, 93–99. [Google Scholar] [CrossRef]
- Knecht, E.; Hernández-Yago, J.; Grisolía, S. Regulation of lysosomal autophagy in transformed and non-transformed mouse fibroblasts under several growth conditions. Exp. Cell Res. 1984, 154, 224–232. [Google Scholar] [CrossRef] [PubMed]
- Wong, Y.C.; Ysselstein, D.; Krainc, D. Mitochondria–lysosome contacts regulate mitochondrial fission via RAB7 GTP hydrolysis. Nature 2018, 554, 382–386. [Google Scholar] [CrossRef] [PubMed]
- Różanowska, M.B. Lipofuscin, Its Origin, Properties, and Contribution to Retinal Fluorescence as a Potential Biomarker of Oxidative Damage to the Retina. Antioxidants 2023, 12, 2111. [Google Scholar] [CrossRef]










| Cell Types and Treatment | Lysosome Aggregate Index (LYAI) (%) | Lipofuscin Aggregate Index (LPAI) (%) | Lipofuscin/Lysosome Fluorescence Co-Localization Index (%) |
|---|---|---|---|
| NIHb (−H2O2) | 0.10 ± 0.00 | 2.55 ± 0.39 | 0.08 ± 0.00 |
| NIHb (+H2O2) | 1.35 ± 0.34 | 3.05 ± 0.45 | 1.93 ± 0.30 |
| NIHs (−H2O2) | 5.65 ± 0.41 | 2.97 ± 0.51 | 4.42 ± 0.70 |
| NIHs (+H2O2) | 12.15 ± 0.95 | 7.15 ± 1.22 | 22.25 ± 1.51 |
| NIHv (−H2O2) | 18.61 ± 1.35 | 10.69 ± 1.27 | 26.40 ± 1.62 |
| NIHv (+H2O2) | 26.23 ± 2.12 | 17.12 ± 1.28 | 31.17 ± 2.03 |
| Untreated | Hydrogen Peroxide | |||
|---|---|---|---|---|
| Cell Culture | Percentage | MAI | Percentage | MAI |
| NIHb | 4.91 ± 0.44 | 2.70 ± 0.25 | 7.76 ± 0.72 | 3.31 ± 0.23 # |
| NIHs | 6.05 ± 0.48 * | 3.29 ± 0.39 * | 15.49 ± 1.17 | 7.01 ± 1.56 |
| NIHv | 23.21 ± 1.52 | 8.26 ± 0.53 | 37.27 ± 2.39 | 18.52 ± 1.37 |
| Cell Types and Treatment | Proliferative Activity (% S Phases) | Mitochondrial Content/ Activity (Fluorescence Intensity) | Superoxide Anion Detection (Fluorescence Intensity) | Lysosomal Content/Activity (Fluorescence Intensity) | Lipofuscin Autofluorescence Intensity | SA-β-Gal Positive Cells (%) | Mean Autophagic Index |
|---|---|---|---|---|---|---|---|
| NIHb − H2O2 | 22.2 ± 1.0 | 166.4 ± 3.6 | 98.8 ± 1.7 | 173.6 ± 3.8 | 0.0 ± 0.0 | 1.0 ± 0.0 | 2.7 ± 0.3 |
| NIHb + H2O2 | 17.3 ± 0.9 | 153.1 ± 3.8 | 103.3 ± 2.1 | 179.9 ± 4.0 | 84.7 ± 2.1 | 2.0 ± 0.0 | 3.3 ± 0.2 |
| NIHs − H2O2 | 34.2 ± 0.8 | 190.2 ± 4.1 | 138.4 ± 2.4 | 155.5 ± 2.8 | 108.5 ± 2.4 | 1.0 ± 0.0 | 6.1 ± 0.5 |
| NIHs + H2O2 | 15.4 ± 0.8 | 164.2 ± 4.2 | 157.4 ± 2.9 | 183.5 ± 3.2 | 123.3 ± 2.7 | 86.4 ± 3.1 | 7.0 ± 1.6 |
| NIHv − H2O2 | 9.2 ± 0.7 | 149.2 ± 3.4 | 145.9 ± 2.0 | 137.9 ± 2.1 | 124.5 ± 2.3 | 91.2 ± 2.1 | 23.2 ± 1.5 |
| NIHv + H2O2 | 5.8 ± 0.4 | 130.3 ± 2.7 | 163.3 ± 2.8 | 209.2 ± 3.6 | 139.1 ± 2.8 | 96.30 ± 2.0 | 18.5 ± 1.4 |
Disclaimer/Publisher’s Note: The statements, opinions and data contained in all publications are solely those of the individual author(s) and contributor(s) and not of MDPI and/or the editor(s). MDPI and/or the editor(s) disclaim responsibility for any injury to people or property resulting from any ideas, methods, instructions or products referred to in the content. |
© 2025 by the authors. Licensee MDPI, Basel, Switzerland. This article is an open access article distributed under the terms and conditions of the Creative Commons Attribution (CC BY) license (https://creativecommons.org/licenses/by/4.0/).
Share and Cite
Spano, A.; Sciola, L. Effects of Hydrogen Peroxide on Slow- and Fast-Growing NIH/3T3-Derived Cultures: Nuclear and Cytoplasmic Aspects Related to Senescence and Transformation. Cells 2025, 14, 1268. https://doi.org/10.3390/cells14161268
Spano A, Sciola L. Effects of Hydrogen Peroxide on Slow- and Fast-Growing NIH/3T3-Derived Cultures: Nuclear and Cytoplasmic Aspects Related to Senescence and Transformation. Cells. 2025; 14(16):1268. https://doi.org/10.3390/cells14161268
Chicago/Turabian StyleSpano, Alessandra, and Luigi Sciola. 2025. "Effects of Hydrogen Peroxide on Slow- and Fast-Growing NIH/3T3-Derived Cultures: Nuclear and Cytoplasmic Aspects Related to Senescence and Transformation" Cells 14, no. 16: 1268. https://doi.org/10.3390/cells14161268
APA StyleSpano, A., & Sciola, L. (2025). Effects of Hydrogen Peroxide on Slow- and Fast-Growing NIH/3T3-Derived Cultures: Nuclear and Cytoplasmic Aspects Related to Senescence and Transformation. Cells, 14(16), 1268. https://doi.org/10.3390/cells14161268
