Elevated Salt or Angiotensin II Levels Induce CD38+ Innate Immune Cells in the Presence of Granulocyte-Macrophage Colony Stimulating Factor
Abstract
1. Introduction
2. Materials and Methods
2.1. Salt-Sensitive Hypertension and Angiotensin II-Induced Hypertension Mouse Models
2.2. In Vitro Cell Culture of Bone Marrow-Derived Monocytes, Bone Marrow-Derived Macrophages, and Bone Marrow-Derived Dendritic Cells
2.3. Adoptive Transfer of Granulocyte-Macrophage Colony Stimulating Factor-Primed Bone Marrow-Derived Monocytes
2.4. Flow Cytometry
2.5. Statistical Analysis
3. Results
3.1. Salt and Angiotensin II Induce CD38+ Innate Immune Cells from Control Bone Marrow-Derived Monocytes in the Presence of Granulocyte-Macrophage Colony Stimulating Factor but Not Macrophage Colony Stimulating Factor


3.2. Adoptive Transfer of Granulocyte-Macrophage Colony Stimulating Factor-Primed and -Labeled Bone Marrow-Derived Monocytes into Mice with Salt-Sensitive or Angiotensin II-Induced Hypertension Increases Renal CD38+ Innate Immune Cells


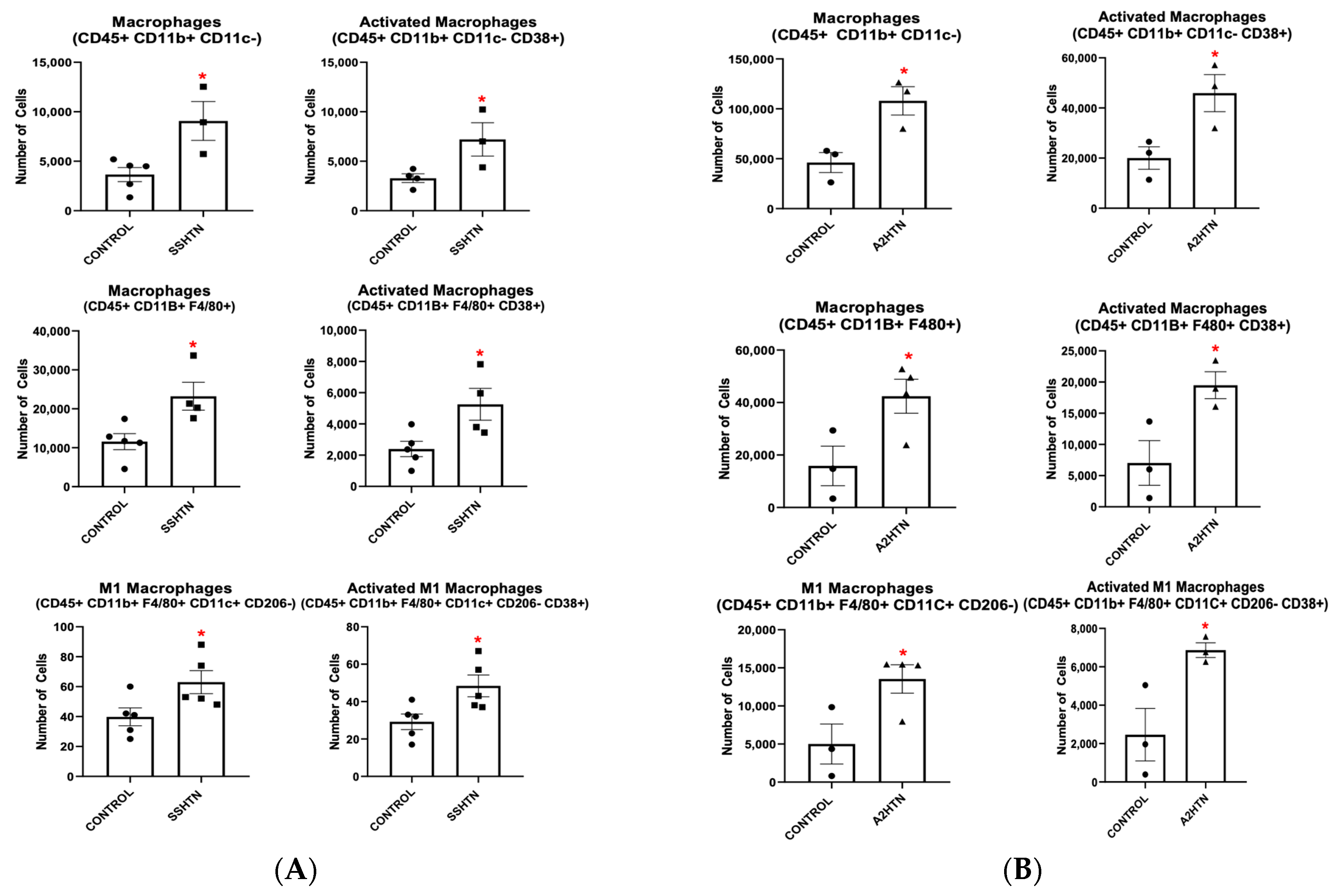
3.3. Renal Subsets of CD38+ Innate Immune Cells Are Increased in Mice with Salt-Sensitive Hypertension and Angiotensin II-Induced Hypertension


3.4. Salt and Angiotensin II Induce CD38+ M1 Macrophages and CD38+ Type-2 Conventional Dendritic Cells


4. Discussion
Supplementary Materials
Author Contributions
Funding
Institutional Review Board Statement
Data Availability Statement
Acknowledgments
Conflicts of Interest
References
- Mills, K.T.; Stefanescu, A.; He, J. The global epidemiology of hypertension. Nat. Rev. Nephrol. 2020, 16, 223–237. [Google Scholar] [CrossRef]
- Schutte, A.E.; Jafar, T.H.; Poulter, N.R.; Damasceno, A.; Khan, N.A.; Nilsson, P.M.; Alsaid, J.; Neupane, D.; Kario, K.; Beheiry, H.; et al. Addressing global disparities in blood pressure control: Perspectives of the International Society of Hypertension. Car-diovasc. Res. 2023, 119, 381–409. [Google Scholar] [CrossRef]
- Collaboration, N.C.D.R.F. Worldwide trends in hypertension prevalence and progress in treatment and control from 1990 to 2019: A pooled analysis of 1201 population-representative studies with 104 million participants. Lancet 2021, 398, 957–980. [Google Scholar] [CrossRef]
- Kotchen, T.A.; Cowley, A.W., Jr.; Frohlich, E.D. Salt in health and disease—A delicate balance. N. Engl. J. Med. 2013, 368, 1229–1237. [Google Scholar] [CrossRef]
- Fountain, J.H.; Kaur, J.; Lappin, S.L. Physiology, Renin Angiotensin System; StatPearls: Treasure Island, FL, USA, 2023. [Google Scholar]
- Moon, J.Y. Recent Update of Renin-angiotensin-aldosterone System in the Pathogenesis of Hypertension. Electrolyte Blood Press. 2013, 11, 41–45. [Google Scholar] [CrossRef]
- Crowley, S.D.; Song, Y.S.; Lin, E.E.; Griffiths, R.; Kim, H.S.; Ruiz, P. Lymphocyte responses exacerbate angiotensin II-dependent hypertension. Am. J. Physiol. Regul. Integr. Comp. Physiol. 2010, 298, R1089–R1097. [Google Scholar] [CrossRef]
- Ozawa, Y.; Kobori, H.; Suzaki, Y.; Navar, L.G. Sustained renal interstitial macrophage infiltration following chronic angiotensin II infusions. Am. J. Physiol. Renal. Physiol. 2007, 292, F330–F339. [Google Scholar] [CrossRef]
- Rodriguez-Iturbe, B.; Quiroz, Y.; Herrera-Acosta, J.; Johnson, R.J.; Pons, H.A. The role of immune cells infiltrating the kidney in the pathogenesis of salt-sensitive hypertension. J. Hypertens. Suppl. 2002, 20, S9–S14. [Google Scholar] [PubMed]
- De Miguel, C.; Das, S.; Lund, H.; Mattson, D.L. T lymphocytes mediate hypertension and kidney damage in Dahl salt-sensitive rats. Am. J. Physiol. Regul. Integr. Comp. Physiol. 2010, 298, R1136–R1142. [Google Scholar] [CrossRef] [PubMed]
- De Miguel, C.; Lund, H.; Mattson, D.L. High dietary protein exacerbates hypertension and renal damage in Dahl SS rats by increasing infiltrating immune cells in the kidney. Hypertension 2011, 57, 269–274. [Google Scholar] [CrossRef]
- Franco, M.; Tapia, E.; Bautista, R.; Pacheco, U.; Santamaria, J.; Quiroz, Y.; Johnson, R.J.; Rodriguez-Iturbe, B. Impaired pressure na-triuresis resulting in salt-sensitive hypertension is caused by tubulointerstitial immune cell infiltration in the kidney. Am. J. Physiol. Renal. Physiol. 2013, 304, F982–F990. [Google Scholar] [CrossRef] [PubMed]
- Rodriguez-Iturbe, B. Renal infiltration of immunocompetent cells: Cause and effect of sodium-sensitive hypertension. Clin. Exp. Nephrol. 2010, 14, 105–111. [Google Scholar] [CrossRef]
- Rodriguez-Iturbe, B.; Franco, M.; Tapia, E.; Quiroz, Y.; Johnson, R.J. Renal inflammation, autoimmunity and salt-sensitive hypertension. Clin. Exp. Pharmacol. Physiol. 2012, 39, 96–103. [Google Scholar] [CrossRef] [PubMed]
- Takebayashi, S. Ultrastructural studies on glomerular lesions in experimental hypertension. Acta. Pathol. Jpn. 1969, 19, 179–200. [Google Scholar] [CrossRef] [PubMed]
- Crowley, S.D.; Frey, C.W.; Gould, S.K.; Griffiths, R.; Ruiz, P.; Burchette, J.L.; Howell, D.N.; Makhanova, N.; Yan, M.; Kim, H.S.; et al. Stimulation of lymphocyte responses by angiotensin II promotes kidney injury in hypertension. Am. J. Physiol. Renal. Physiol. 2008, 295, F515–F524. [Google Scholar] [CrossRef] [PubMed]
- Mouton, A.J.; Li, X.; Hall, M.E.; Hall, J.E. Obesity, Hypertension, and Cardiac Dysfunction: Novel Roles of Immunometabolism in Macrophage Activation and Inflammation. Circ. Res. 2020, 126, 789–806. [Google Scholar] [CrossRef]
- Kirabo, A.; Fontana, V.; de Faria, A.P.; Loperena, R.; Galindo, C.L.; Wu, J.; Bikineyeva, A.T.; Dikalov, S.; Xiao, L.; Chen, W.; et al. DC isoketal-modified proteins activate T cells and promote hypertension. J. Clin. Invest. 2014, 124, 4642–4656. [Google Scholar] [CrossRef] [PubMed]
- McMaster, W.G.; Kirabo, A.; Madhur, M.S.; Harrison, D.G. Inflammation, immunity, and hypertensive end-organ damage. Circ. Res. 2015, 116, 1022–1033. [Google Scholar] [CrossRef] [PubMed]
- Justin Rucker, A.; Crowley, S.D. The role of macrophages in hypertension and its complications. Pflug. Arch. 2017, 469, 419–430. [Google Scholar] [CrossRef]
- Caillon, A.; Paradis, P.; Schiffrin, E.L. Role of Immune cells in hypertension. Br. J. Pharmacol. 2019, 176, 1818–1828. [Google Scholar] [CrossRef]
- Lischke, T.; Heesch, K.; Schumacher, V.; Schneider, M.; Haag, F.; Koch-Nolte, F.; Mittrucker, H.W. CD38 controls the innate immune response against Listeria monocytogenes. Infect. Immun. 2013, 81, 4091–4099. [Google Scholar] [CrossRef] [PubMed]
- Fedele, G.; Frasca, L.; Palazzo, R.; Ferrero, E.; Malavasi, F.; Ausiello, C.M. CD38 is expressed on human mature monocyte-derived dendritic cells and is functionally involved in CD83 expression and IL-12 induction. Eur. J. Immunol. 2004, 34, 1342–1350. [Google Scholar] [CrossRef]
- Glaria, E.; Valledor, A.F. Roles of CD38 in the Immune Response to Infection. Cells 2020, 9, 228. [Google Scholar] [CrossRef]
- Ogiya, D.; Liu, J.; Ohguchi, H.; Kurata, K.; Samur, M.K.; Tai, Y.T.; Adamia, S.; Ando, K.; Hideshima, T.; Anderson, K.C. The JAK-STAT pathway regulates CD38 on myeloma cells in the bone marrow microenvironment: Therapeutic implications. Blood 2020, 136, 2334–2345. [Google Scholar] [CrossRef]
- Qiu, Y.; Xu, S.; Chen, X.; Wu, X.; Zhou, Z.; Zhang, J.; Tu, Q.; Dong, B.; Liu, Z.; He, J.; et al. NAD(+) exhaustion by CD38 upregulation contributes to blood pressure elevation and vascular damage in hypertension. Signal. Transduct. Target. Ther. 2023, 8, 353. [Google Scholar] [CrossRef]
- McReynolds, M.R.; Chellappa, K.; Baur, J.A. Age-related NAD(+) decline. Exp. Gerontol. 2020, 134, 110888. [Google Scholar] [CrossRef]
- Hogan, K.A.; Chini, C.C.S.; Chini, E.N. The Multi-faceted Ecto-enzyme CD38: Roles in Immunomodulation, Cancer, Aging, and Metabolic Diseases. Front. Immunol. 2019, 10, 1187. [Google Scholar] [CrossRef] [PubMed]
- Gan, L.; Liu, D.; Liu, J.; Chen, E.; Chen, C.; Liu, L.; Hu, H.; Guan, X.; Ma, W.; Zhang, Y.; et al. CD38 deficiency alleviates Ang II-induced vascular remodeling by inhibiting small extracellular vesicle-mediated vascular smooth muscle cell senescence in mice. Signal. Transduct. Target. Ther. 2021, 6, 223. [Google Scholar] [CrossRef] [PubMed]
- Itani, H.A.; Xiao, L.; Saleh, M.A.; Wu, J.; Pilkinton, M.A.; Dale, B.L.; Barbaro, N.R.; Foss, J.D.; Kirabo, A.; Montaniel, K.R.; et al. CD70 Exacerbates Blood Pressure Elevation and Renal Damage in Response to Repeated Hypertensive Stimuli. Circ. Res. 2016, 118, 1233–1243. [Google Scholar] [CrossRef]
- Lopez Gelston, C.A.; Balasubbramanian, D.; Abouelkheir, G.R.; Lopez, A.H.; Hudson, K.R.; Johnson, E.R.; Muthuchamy, M.; Mitchell, B.M.; Rutkowski, J.M. Enhancing Renal Lymphatic Expansion Prevents Hypertension in Mice. Circ. Res. 2018, 122, 1094–1101. [Google Scholar] [CrossRef]
- Navaneethabalakrishnan, S.; Goodlett, B.L.; Smith, H.L.; Cardenas, A.; Burns, A.; Mitchell, B.M. Differential changes in end organ immune cells and inflammation in salt-sensitive hypertension: Effects of lowering blood pressure. Clin. Sci. 2024, 138, 901–920. [Google Scholar] [CrossRef] [PubMed]
- Navaneethabalakrishnan, S.; Goodlett, B.L.; Smith, H.L.; Montalvo, R.A.; Cardenas, A., 2nd; Mitchell, B.M. Differential changes in end organ immune cells and inflammation in salt-sensitive hypertension: Effects of increasing M2 macrophages. Clin. Sci. 2024, 138, 921–940. [Google Scholar] [CrossRef] [PubMed]
- Goodlett, B.L.; Kang, C.S.; Yoo, E.; Navaneethabalakrishnan, S.; Balasubbramanian, D.; Love, S.E.; Sims, B.M.; Avilez, D.L.; Tate, W.; Chavez, D.R.; et al. A Kidney-Targeted Nanoparticle to Augment Renal Lymphatic Density Decreases Blood Pressure in Hypertensive Mice. Pharmaceutics 2021, 14, 84. [Google Scholar] [CrossRef] [PubMed]
- Amend, S.R.; Valkenburg, K.C.; Pienta, K.J. Murine Hind Limb Long Bone Dissection and Bone Marrow Isolation. J. Vis. Exp. 2016, 53936. [Google Scholar] [CrossRef]
- Assouvie, A.; Daley-Bauer, L.P.; Rousselet, G. Growing Murine Bone Marrow-Derived Macrophages. Methods Mol. Biol. 2018, 1784, 29–33. [Google Scholar] [CrossRef] [PubMed]
- Na, Y.R.; Jung, D.; Gu, G.J.; Seok, S.H. GM-CSF Grown Bone Marrow Derived Cells Are Composed of Phenotypically Different Dendritic Cells and Macrophages. Mol. Cells. 2016, 39, 734–741. [Google Scholar] [CrossRef] [PubMed]
- Toda, G.; Yamauchi, T.; Kadowaki, T.; Ueki, K. Preparation and culture of bone marrow-derived macrophages from mice for functional analysis. STAR Protoc. 2021, 2, 100246. [Google Scholar] [CrossRef] [PubMed]
- Sauter, M.; Sauter, R.J.; Nording, H.; Olbrich, M.; Emschermann, F.; Langer, H.F. Protocol to isolate and analyze mouse bone marrow derived dendritic cells (BMDC). STAR Protoc. 2022, 3, 101664. [Google Scholar] [CrossRef] [PubMed]
- Barbaro, N.R.; Foss, J.D.; Kryshtal, D.O.; Tsyba, N.; Kumaresan, S.; Xiao, L.; Mernaugh, R.L.; Itani, H.A.; Loperena, R.; Chen, W.; et al. Dendritic Cell Amiloride-Sensitive Channels Mediate Sodium-Induced Inflammation and Hypertension. Cell Rep. 2017, 21, 1009–1020. [Google Scholar] [CrossRef]
- Dong, M.B.; Rahman, M.J.; Tarbell, K.V. Flow cytometric gating for spleen monocyte and DC subsets: Differences in auto-immune NOD mice and with acute inflammation. J. Immunol. Methods. 2016, 432, 4–12. [Google Scholar] [CrossRef]
- Lee, K.M.C.; Achuthan, A.A.; Hamilton, J.A. GM-CSF: A Promising Target in Inflammation and Autoimmunity. Immunotargets Ther. 2020, 9, 225–240. [Google Scholar] [CrossRef] [PubMed]
- Filippatos, G.S.; Kardaras, F. Chemokines and other novel inflammatory markers in hypertension: What can their plasma levels tell us? Int. J. Cardiol. 2002, 83, 21–23. [Google Scholar] [CrossRef]
- Parissis, J.T.; Korovesis, S.; Giazitzoglou, E.; Kalivas, P.; Katritsis, D. Plasma profiles of peripheral monocyte-related inflammatory markers in patients with arterial hypertension. Correlations with plasma endothelin-1. Int. J. Cardiol. 2002, 83, 13–21. [Google Scholar] [CrossRef] [PubMed]
- Parissis, J.T.; Venetsanou, K.F.; Kalantzi, M.V.; Mentzikof, D.D.; Karas, S.M. Serum profiles of granulocyte-macrophage col-ony-stimulating factor and C-C chemokines in hypertensive patients with or without significant hyperlipidemia. Am. J. Cardiol. 2000, 85, 777–779, A779. [Google Scholar] [CrossRef] [PubMed]
- Achuthan, A.; Aslam, A.S.M.; Nguyen, Q.; Lam, P.Y.; Fleetwood, A.J.; Frye, A.T.; Louis, C.; Lee, M.C.; Smith, J.E.; Cook, A.D.; et al. Glucocorticoids promote apoptosis of proinflammatory monocytes by inhibiting ERK activity. Cell Death Dis. 2018, 9, 267. [Google Scholar] [CrossRef]
- Hansen, G.; Hercus, T.R.; McClure, B.J.; Stomski, F.C.; Dottore, M.; Powell, J.; Ramshaw, H.; Woodcock, J.M.; Xu, Y.; Guthridge, M.; et al. The structure of the GM-CSF receptor complex reveals a distinct mode of cytokine receptor activation. Cell. 2008, 134, 496–507. [Google Scholar] [CrossRef] [PubMed]
- van de Laar, L.; Coffer, P.J.; Woltman, A.M. Regulation of dendritic cell development by GM-CSF: Molecular control and implications for immune homeostasis and therapy. Blood 2012, 119, 3383–3393. [Google Scholar] [CrossRef] [PubMed]
- Satou, R.; Gonzalez-Villalobos, R.A. JAK-STAT and the renin-angiotensin system: The role of the JAK-STAT pathway in blood pressure and intrarenal renin-angiotensin system regulation. JAKSTAT. 2012, 1, 250–256. [Google Scholar] [CrossRef]
- Gao, H.L.; Yu, X.J.; Feng, Y.Q.; Yang, Y.; Hu, H.B.; Zhao, Y.Y.; Zhang, J.H.; Liu, K.L.; Zhang, Y.; Fu, L.Y.; et al. Luteolin At-tenuates Hypertension via Inhibiting NF-kappaB-Mediated Inflammation and PI3K/Akt Signaling Pathway in the Hypotha-lamic Paraventricular Nucleus. Nutrients 2023, 15, 502. [Google Scholar] [CrossRef]
- Ikezumi, Y.; Hurst, L.A.; Masaki, T.; Atkins, R.C.; Nikolic-Paterson, D.J. Adoptive transfer studies demonstrate that macrophages can induce proteinuria and mesangial cell proliferation. Kidney Int. 2003, 63, 83–95. [Google Scholar] [CrossRef]
- Li, W.; Li, Y.; Jin, X.; Liao, Q.; Chen, Z.; Peng, H.; Zhou, Y. CD38: A Significant Regulator of Macrophage Function. Front. Oncol. 2022, 12, 775649. [Google Scholar] [CrossRef] [PubMed]
- Jablonski, K.A.; Amici, S.A.; Webb, L.M.; Ruiz-Rosado Jde, D.; Popovich, P.G.; Partida-Sanchez, S.; Guerau-de-Arellano, M. Novel Markers to Delineate Murine M1 and M2 Macrophages. PLoS ONE. 2015, 10, e0145342. [Google Scholar] [CrossRef] [PubMed]
- Guan, X.H.; Hong, X.; Zhao, N.; Liu, X.H.; Xiao, Y.F.; Chen, T.T.; Deng, L.B.; Wang, X.L.; Wang, J.B.; Ji, G.J.; et al. CD38 promotes angiotensin II-induced cardiac hypertrophy. J. Cell Mol. Med. 2017, 21, 1492–1502. [Google Scholar] [CrossRef] [PubMed]
- Xiao, L.; Kirabo, A.; Wu, J.; Saleh, M.A.; Zhu, L.; Wang, F.; Takahashi, T.; Loperena, R.; Foss, J.D.; Mernaugh, R.L.; et al. Renal De-nervation Prevents Immune Cell Activation and Renal Inflammation in Angiotensin II-Induced Hypertension. Circ. Res. 2015, 117, 547–557. [Google Scholar] [CrossRef] [PubMed]
- Huang, L.; Wang, A.; Hao, Y.; Li, W.; Liu, C.; Yang, Z.; Zheng, F.; Zhou, M.S. Macrophage Depletion Lowered Blood Pressure and Attenuated Hypertensive Renal Injury and Fibrosis. Front. Physiol. 2018, 9, 473. [Google Scholar] [CrossRef]
- De Ciuceis, C.; Amiri, F.; Brassard, P.; Endemann, D.H.; Touyz, R.M.; Schiffrin, E.L. Reduced vascular remodeling, endothelial dysfunction, and oxidative stress in resistance arteries of angiotensin II-infused macrophage colony-stimulating factor-deficient mice: Evidence for a role in inflammation in angiotensin-induced vascular injury. Arter. Thromb. Vasc. Biol. 2005, 25, 2106–2113. [Google Scholar] [CrossRef] [PubMed]
- Srinivas, B.; Alluri, K.; Rhaleb, N.E.; Belmadani, S.; Matrougui, K. Role of plasmacytoid dendritic cells in vascular dysfunction in mice with renovascular hypertension. Heliyon 2024, 10, e31799. [Google Scholar] [CrossRef]
- Dudziak, D.; Kamphorst, A.O.; Heidkamp, G.F.; Buchholz, V.R.; Trumpfheller, C.; Yamazaki, S.; Cheong, C.; Liu, K.; Lee, H.W.; Park, C.G.; et al. Differential antigen processing by dendritic cell subsets in vivo. Science 2007, 315, 107–111. [Google Scholar] [CrossRef] [PubMed]
- Lewis, K.L.; Caton, M.L.; Bogunovic, M.; Greter, M.; Grajkowska, L.T.; Ng, D.; Klinakis, A.; Charo, I.F.; Jung, S.; Gommerman, J.L.; et al. Notch2 receptor signaling controls functional differentiation of dendritic cells in the spleen and intestine. Immunity 2011, 35, 780–791. [Google Scholar] [CrossRef]
- Merad, M.; Sathe, P.; Helft, J.; Miller, J.; Mortha, A. The dendritic cell lineage: Ontogeny and function of dendritic cells and their subsets in the steady state and the inflamed setting. Annu. Rev. Immunol. 2013, 31, 563–604. [Google Scholar] [CrossRef]
- Lewis, K.L.; Reizis, B. Dendritic cells: Arbiters of immunity and immunological tolerance. Cold Spring Harb. Perspect. Biol. 2012, 4, a007401. [Google Scholar] [CrossRef] [PubMed]
- Kasahara, S.; Clark, E.A. Dendritic cell-associated lectin 2 (DCAL2) defines a distinct CD8alpha- dendritic cell subset. J. Leukoc. Biol. 2012, 91, 437–448. [Google Scholar] [CrossRef] [PubMed]
Disclaimer/Publisher’s Note: The statements, opinions and data contained in all publications are solely those of the individual author(s) and contributor(s) and not of MDPI and/or the editor(s). MDPI and/or the editor(s) disclaim responsibility for any injury to people or property resulting from any ideas, methods, instructions or products referred to in the content. |
© 2024 by the authors. Licensee MDPI, Basel, Switzerland. This article is an open access article distributed under the terms and conditions of the Creative Commons Attribution (CC BY) license (https://creativecommons.org/licenses/by/4.0/).
Share and Cite
Smith, H.L.; Goodlett, B.L.; Navaneethabalakrishnan, S.; Mitchell, B.M. Elevated Salt or Angiotensin II Levels Induce CD38+ Innate Immune Cells in the Presence of Granulocyte-Macrophage Colony Stimulating Factor. Cells 2024, 13, 1302. https://doi.org/10.3390/cells13151302
Smith HL, Goodlett BL, Navaneethabalakrishnan S, Mitchell BM. Elevated Salt or Angiotensin II Levels Induce CD38+ Innate Immune Cells in the Presence of Granulocyte-Macrophage Colony Stimulating Factor. Cells. 2024; 13(15):1302. https://doi.org/10.3390/cells13151302
Chicago/Turabian StyleSmith, Hannah L., Bethany L. Goodlett, Shobana Navaneethabalakrishnan, and Brett M. Mitchell. 2024. "Elevated Salt or Angiotensin II Levels Induce CD38+ Innate Immune Cells in the Presence of Granulocyte-Macrophage Colony Stimulating Factor" Cells 13, no. 15: 1302. https://doi.org/10.3390/cells13151302
APA StyleSmith, H. L., Goodlett, B. L., Navaneethabalakrishnan, S., & Mitchell, B. M. (2024). Elevated Salt or Angiotensin II Levels Induce CD38+ Innate Immune Cells in the Presence of Granulocyte-Macrophage Colony Stimulating Factor. Cells, 13(15), 1302. https://doi.org/10.3390/cells13151302

