S100A4 Is a Strong Negative Prognostic Marker and Potential Therapeutic Target in Adenocarcinoma of the Stomach and Esophagus
Abstract
1. Introduction
2. Materials and Methods
2.1. Patients and TMA
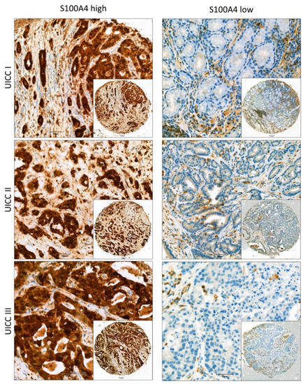
2.2. S100A4 IHC
2.3. Cell Lines and Medium
2.4. Cloning and Transduction
2.5. S100A4 Expression Analysis
2.6. Proliferation
2.7. Migration
2.8. In Vitro Drug Treatment
2.9. Statistical Analysis
3. Results
3.1. S100A4 Is a Negative Prognostic Marker in Caucasian Patients
3.2. S100A4 Induces an Invasive Phenotype
3.3. Niclosamide Reduces S100A4 Expression
4. Discussion
5. Conclusions
Author Contributions
Funding
Institutional Review Board Statement
Informed Consent Statement
Data Availability Statement
Conflicts of Interest
References
- Sung, H.; Ferlay, J.; Siegel, R.L.; Laversanne, M.; Soerjomataram, I.; Jemal, A.; Bray, F. Global Cancer Statistics 2020: GLOBOCAN Estimates of Incidence and Mortality Worldwide for 36 Cancers in 185 Countries. CA Cancer J. Clin. 2021, 71, 209–249. [Google Scholar] [CrossRef] [PubMed]
- Rawicz-Pruszyński, K.; van Sandick, J.W.; Mielko, J.; Ciseł, B.; Polkowski, W.P. Current Challenges in Gastric Cancer Surgery: European Perspective. Surg. Oncol. 2018, 27, 650–656. [Google Scholar] [CrossRef] [PubMed]
- Gavin, A.T.; Francisci, S.; Foschi, R.; Donnelly, D.W.; Lemmens, V.; Brenner, H.; Anderson, L.A. Oesophageal Cancer Survival in Europe: A EUROCARE-4 Study. Cancer Epidemiol. 2012, 36, 505–512. [Google Scholar] [CrossRef] [PubMed]
- Son, T. Multi-Institutional Validation of the 8th AJCC TNM Staging System for Gastric Cancer: Analysis of Survival Data from High-Volume Eastern Centers and the SEER Database. J. Surg. Oncol. 2019, 120, 676–684. [Google Scholar] [CrossRef] [PubMed]
- Riihimäki, M.; Hemminki, A.; Sundquist, K.; Sundquist, J.; Hemminki, K. Metastatic Spread in Patients with Gastric Cancer. Oncotarget 2016, 7, 52307. [Google Scholar] [CrossRef]
- He, X.; Wu, W.; Lin, Z.; Ding, Y.; Si, J.; Sun, L. Validation of the American Joint Committee on Cancer (AJCC) 8th Edition Stage System for Gastric Cancer Patients: A Population-Based Analysis American Joint Committee on Cancer. Gastric Cancer 2018, 21, 391–400. [Google Scholar] [CrossRef]
- Davies, B.R.; Davies, M.P.; Gibbs, F.E.; Barraclough, R.; Rudland, P.S. Induction of the Metastatic Phenotype by Transfection of a Benign Rat Mammary Epithelial Cell Line with the Gene for P9Ka, a Rat Calcium-Binding Protein, but Not with the Oncogene EJ-Ras-1. Oncogene 1993, 8, 999–1008. [Google Scholar]
- Stein, U.; Arlt, F.; Walther, W.; Smith, J.; Waldman, T.; Harris, E.D.; Mertins, S.D.; Heizmann, C.W.; Allard, D.; Birchmeier, W.; et al. The Metastasis-Associated Gene S100A4 Is a Novel Target of Beta-Catenin/T-Cell Factor Signaling in Colon Cancer. Gastroenterology 2006, 131, 1486–1500. [Google Scholar] [CrossRef]
- Dahlmann, M.; Kobelt, D.; Walther, W.; Mudduluru, G.; Stein, U. S100A4 in Cancer Metastasis: Wnt Signaling-Driven Interventions for Metastasis Restriction. Cancers 2016, 8, 59. [Google Scholar] [CrossRef]
- Ling, Z.; Li, R. Clinicopathological and Prognostic Value of S100A4 Expression in Gastric Cancer: A Meta-Analysis. Int. J. Biol. Markers 2014, 29, 99–111. [Google Scholar] [CrossRef]
- Yonemura, Y.; Endou, Y.; Kimura, K.; Fushida, S.; Bandou, E.; Taniguchi, K.; Kinoshita, K.; Ninomiya, I.; Sugiyama, K.; Heizmann, C.W.; et al. Inverse Expression of S100A4 and E-Cadherin Is Associated with Metastatic Potential in Gastric Cancer. Clin. Cancer Res. 2000, 6, 4234–4242. [Google Scholar] [PubMed]
- Kim, M.A.; Lee, H.S.; Lee, H.E.; Kim, J.H.; Yang, H.-K.; Kim, W.H. Prognostic Importance of Epithelial-Mesenchymal Transition-Related Protein Expression in Gastric Carcinoma. Histopathology 2009, 54, 442–451. [Google Scholar] [CrossRef] [PubMed]
- Wang, Y.Y.; Ye, Z.Y.; Zhao, Z.S.; Tao, H.Q.; Chu, Y.Q. High-Level Expression of S100A4 Correlates with Lymph Node Metastasis and Poor Prognosis in Patients with Gastric Cancer. Ann. Surg. Oncol. 2010, 17, 89–97. [Google Scholar] [CrossRef] [PubMed]
- Feng, L.Z.; Zheng, X.Y.; Zhou, L.X.; Fu, B.; Yu, Y.W.; Lu, S.C.; Cao, N.S. Correlation between Expression of S100A4 and VEGF-C, and Lymph Node Metastasis and Prognosis in Gastric Carcinoma. J. Int. Med. Res. 2011, 39, 1333–1343. [Google Scholar] [CrossRef] [PubMed]
- Zhao, Y.; Zhang, T.; Wang, Q. S100 Calcium-Binding Protein A4 Is a Novel Independent Prognostic Factor for the Poor Prognosis of Gastric Carcinomas. Oncol. Rep. 2013, 30, 111–118. [Google Scholar] [CrossRef]
- Wang, Y.; Zhou, L.B.; Li, X.H. S100A4 Expression and Prognosis of Gastric Cancer: A Meta-Analysis. Genet. Mol. Res. 2014, 13, 10398–10403. [Google Scholar] [CrossRef]
- Stein, U.; Burock, S.; Herrmann, P.; Wendler, I.; Niederstrasser, M.; Wernecke, K.D.; Schlag, P.M. Diagnostic and Prognostic Value of Metastasis Inducer S100A4 Transcripts in Plasma of Colon, Rectal, and Gastric Cancer Patients. J. Mol. Diagn. 2011, 13, 189–198. [Google Scholar] [CrossRef]
- Sack, U.; Walther, W.; Scudiero, D.; Selby, M.; Kobelt, D.; Lemm, M.; Fichtner, I.; Schlag, P.M.; Shoemaker, R.H.; Stein, U. Novel Effect of Antihelminthic Niclosamide on S100A4-Mediated Metastatic Progression in Colon Cancer. JNCI J. Natl. Cancer Inst. 2011, 103, 1018–1036. [Google Scholar] [CrossRef]
- Stein, U.; Arlt, F.; Smith, J.; Sack, U.; Herrmann, P.; Walther, W.; Lemm, M.; Fichtner, I.; Shoemaker, R.H.; Schlag, P.M. Intervening in β-Catenin Signaling by Sulindac Inhibits S100A4-Dependent Colon Cancer Metastasis. Neoplasia 2011, 13, 131–144. [Google Scholar] [CrossRef]
- Sack, U.; Walther, W.; Scudiero, D.; Selby, M.; Aumann, J.; Lemos, C.; Fichtner, I.; Schlag, P.M.; Shoemaker, R.H.; Stein, U. S100A4-Induced Cell Motility and Metastasis Is Restricted by the Wnt/β-Catenin Pathway Inhibitor Calcimycin in Colon Cancer Cells. Mol. Biol. Cell 2011, 22, 3344–3354. [Google Scholar] [CrossRef]
- Satoh, K.; Zhang, L.; Zhang, Y.; Chelluri, R.; Boufraqech, M.; Nilubol, N.; Patel, D.; Shen, M.; Kebebew, E. Identification of Niclosamide as a Novel Anticancer Agent for Adrenocortical Carcinoma. Clin. Cancer Res. Off. J. Am. Assoc. Cancer Res. 2016, 22, 3458–3466. [Google Scholar] [CrossRef] [PubMed]
- Burock, S.; Daum, S.; Keilholz, U.; Neumann, K.; Walther, W.; Stein, U. Phase II Trial to Investigate the Safety and Efficacy of Orally Applied Niclosamide in Patients with Metachronous or Sychronous Metastases of a Colorectal Cancer Progressing after Therapy: The NIKOLO Trial. BMC Cancer 2018, 18, 297. [Google Scholar] [CrossRef] [PubMed]
- Pötzsch, M.; Berg, E.; Hummel, M.; Stein, U.; von Winterfeld, M.; Jöhrens, K.; Rau, B.; Daum, S.; Treese, C. Better Prognosis of Gastric Cancer Patients with High Levels of Tumor Infiltrating Lymphocytes Is Counteracted by PD-1 Expression. Oncoimmunology 2020, 9, 1824632. [Google Scholar] [CrossRef] [PubMed]
- Arnold, A.; Daum, S.; von Winterfeld, M.; Berg, E.; Hummel, M.; Rau, B.; Stein, U.; Treese, C. Prognostic Impact of Claudin 18.2 in Gastric and Esophageal Adenocarcinomas. Clin. Transl. Oncol. 2020, 22, 2357–2363. [Google Scholar] [CrossRef] [PubMed]
- Arnold, A.; Daum, S.; von Winterfeld, M.; Berg, E.; Hummel, M.; Horst, D.; Rau, B.; Stein, U.; Treese, C. Analysis of NTRK Expression in Gastric and Esophageal Adenocarcinoma (AGE) with Pan-TRK Immunohistochemistry. Pathol. Res. Pract. 2019, 215, 152662. [Google Scholar] [CrossRef] [PubMed]
- Xie, J.; Chen, M.; Zhou, J.; Mo, M.S.; Zhu, L.H.; Liu, Y.P.; Gui, Q.J.; Zhang, L.; Li, G.Q. MiR-7 Inhibits the Invasion and Metastasis of Gastric Cancer Cells by Suppressing Epidermal Growth Factor Receptor Expression. Oncol. Rep. 2014, 31, 1715–1722. [Google Scholar] [CrossRef]
- Lin, S.J.; Gagnon-Bartsch, J.A.; Tan, I.B.; Earle, S.; Ruff, L.; Pettinger, K.; Ylstra, B.; Van Grieken, N.; Rha, S.Y.; Chung, H.C.; et al. Signatures of Tumour Immunity Distinguish Asian and Non-Asian Gastric Adenocarcinomas. Gut 2015, 64, 1721–1731. [Google Scholar] [CrossRef]
- Wang, J.; Sun, Y.; Bertagnolli, M.M. Comparison of Gastric Cancer Survival Between Caucasian and Asian Patients Treated in the United States: Results from the Surveillance Epidemiology and End Results (SEER) Database. Ann. Surg. Oncol. 2015, 22, 2965–2971. [Google Scholar] [CrossRef]
- Saijo, N. The Role of Pharmacoethnicity in the Development of Cytotoxic and Molecular Targeted Drugs in Oncology. Yonsei Med. J. 2013, 54, 1–14. [Google Scholar] [CrossRef]
- Lui, F.H.; Tuan, B.; Swenson, S.L.; Wong, R.J. Ethnic Disparities in Gastric Cancer Incidence and Survival in the USA: An Updated Analysis of 1992–2009 SEER Data. Dig. Dis. Sci. 2014, 59, 3027–3034. [Google Scholar] [CrossRef]
- Jia, F.; Teer, J.K.; Knepper, T.C.; Lee, J.K.; Zhou, H.H.; He, Y.J.; McLeod, H.L. Discordance of Somatic Mutations Between Asian and Caucasian Patient Populations with Gastric Cancer. Mol. Diagn. Ther. 2017, 21, 179–185. [Google Scholar] [CrossRef] [PubMed]
- Blazquez, R.; Wlochowitz, D.; Wolff, A.; Seitz, S.; Wachter, A.; Perera-Bel, J.; Bleckmann, A.; Beißbarth, T.; Salinas, G.; Riemenschneider, M.J.; et al. PI3K: A master regulator of brain metastasis-promoting macrophages/microglia. Glia 2018, 66, 2438–2455. [Google Scholar] [CrossRef] [PubMed]
- Zhu, Y.F.; Yu, B.H.; Li, D.L.; Ke, H.L.; Guo, X.Z.; Xiao, X.Y. PI3K expression and PIK3CA mutations are related to colorectal cancer metastases. World J. Gastroenterol. 2012, 18, 3745–3751. [Google Scholar] [CrossRef]
- Liu, J.F.; Zhou, X.K.; Chen, J.H.; Yi, G.; Chen, H.G.; Ba, M.C.; Lin, S.Q.; Qi, Y.C. Up-regulation of PIK3CA promotes metastasis in gastric carcinoma. World J. Gastroenterol. 2010, 16, 4986–4991. [Google Scholar] [CrossRef] [PubMed]
- Grossman, R.L.; Heath, A.P.; Ferretti, V.; Varmus, H.E.; Lowy, D.R.; Kibbe, W.A.; Staudt, L.M. Toward a Shared Vision for Cancer Genomic Data. N. Engl. J. Med. 2016, 375, 1109–1112. [Google Scholar] [CrossRef] [PubMed]
- Wang, Q.; Gu, D.; Wang, M.; Zhang, Z.; Tang, J.; Chen, J. The E-cadherin (CDH1)-160C > A polymorphism associated with gastric cancer among Asians but not Europeans. DNA Cell Biol. 2011, 30, 395–400. [Google Scholar] [CrossRef]
- Ohtsu, A.; Shah, M.A.; Van Cutsem, E.; Rha, S.Y.; Sawaki, A.; Park, S.R.; Lim, H.Y.; Yamada, Y.; Wu, J.; Langer, B.; et al. Bevacizumab in Combination with Chemotherapy as First-Line Therapy in Advanced Gastric Cancer: A Randomized, Double-Blind, Placebo-Controlled Phase III Study. J. Clin. Oncol. 2011, 29, 3968–3976. [Google Scholar] [CrossRef]
- Dahlmann, M.; Sack, U.; Herrmann, P.; Lemm, M.; Fichtner, I.; Schlag, P.M.; Stein, U. Systemic ShRNA Mediated Knock down of S100A4 in Colorectal Cancer Xenografted Mice Reduces Metastasis Formation. Oncotarget 2012, 3, 783–797. [Google Scholar] [CrossRef]
- Chen, X.; Luther, G.; Zhang, W.; Nan, G.; Wagner, E.R.; Liao, Z.; Wu, N.; Zhang, H.; Wang, N.; Wen, S.; et al. The E-F Hand Calcium-Binding Protein S100A4 Regulates the Proliferation, Survival and Differentiation Potential of Human Osteosarcoma Cells. Cell. Physiol. Biochem. 2013, 32, 1083–1096. [Google Scholar] [CrossRef]
- Jia, W.; Gao, X.J.; Zhang, Z.D.; Yang, Z.X.; Zhang, G. S100A4 Silencing Suppresses Proliferation, Angiogenesis and Invasion of Thyroid Cancer Cells through Downregulation of MMP-9 and VEGF. Eur. Rev. Med. Pharmacol. Sci. 2013, 17, 1495–1508. [Google Scholar]
- Nusinow, D.P.; Szpyt, J.; Ghandi, M.; Rose, C.M.; McDonald, E.R., 3rd; Kalocsay, M.; Jané-Valbuena, J.; Gelfand, E.; Schweppe, D.K.; Jedrychowski, M.; et al. Quantitative Proteomics of the Cancer Cell Line Encyclopedia. Cell 2020, 180, 387–402. [Google Scholar] [CrossRef]
- Jin, Y.; Lu, Z.; Ding, K.; Li, J.; Du, X.; Chen, C.; Sun, X.; Wu, Y.; Zhou, J.; Pan, J. Antineoplastic Mechanisms of Niclosamide in Acute Myelogenous Leukemia Stem Cells: Inactivation of the NF-KappaB Pathway and Generation of Reactive Oxygen Species. Cancer Res. 2010, 70, 2516–2527. [Google Scholar] [CrossRef] [PubMed]
- Wieland, A.; Trageser, D.; Gogolok, S.; Reinartz, R.; Höfer, H.; Keller, M.; Leinhaas, A.; Schelle, R.; Normann, S.; Klaas, L.; et al. Anticancer Effects of Niclosamide in Human Glioblastoma. Clin. Cancer Res. 2013, 19, 4124–4136. [Google Scholar] [CrossRef]
- Li, Z.H.; Spektor, A.; Varlamova, O.; Bresnick, A.R. Mts1 regulates the assembly of nonmuscle myosin-IIA. Biochemistry 2003, 42, 14258–14266. [Google Scholar] [CrossRef] [PubMed]
- Badyal, S.K.; Basran, J.; Bhanji, N.; Kim, J.H.; Chavda, A.P.; Jung, H.S.; Craig, R.; Elliott, P.R.; Irvine, A.F.; Barsukov, I.L. Mechanism of the Ca²+ -dependent interaction between S100A4 and tail fragments of nonmuscle myosin heavy chain IIA. J. Mol. Biol. 2011, 405, 1004–1026. [Google Scholar] [CrossRef] [PubMed]
- Li, Z.H.; Bresnick, A.R. The S100A4 metastasis factor regulates cellular motility via a direct interaction with myosin-IIA. Cancer Res. 2006, 66, 5173–5180. [Google Scholar] [CrossRef] [PubMed][Green Version]
- Garrett, S.C.; Varney, K.M.; Weber, D.J.; Bresnick, A.R. S100A4, a mediator of metastasis. J. Biol. Chem. 2006, 281, 677–680. [Google Scholar] [CrossRef] [PubMed]
- Kriajevska, M.; Tarabykina, S.; Bronstein, I.; Maitland, N.; Lomonosov, M.; Hansen, K.; Georgiev, G.; Lukanidin, E. Metastasis-associated Mts1 (S100A4) protein modulates protein kinase C phosphorylation of the heavy chain of nonmuscle myosin. J. Biol. Chem. 1998, 273, 9852–9856. [Google Scholar] [CrossRef]
- Schäfer, B.W.; Heizmann, C.W. The S100 family of EF-hand calcium-binding proteins: Functions and pathology. Trends Biochem. Sci. 1996, 21, 134–140. [Google Scholar] [CrossRef]
- Bjørnland, K.; Winberg, J.O.; Odegaard, O.T.; Hovig, E.; Loennechen, T.; Aasen, A.O.; Fodstad, O.; Maelandsmo, G.M. S100A4 involvement in metastasis: Deregulation of matrix metalloproteinases and tissue inhibitors of matrix metalloproteinases in osteosarcoma cells transfected with an anti-S100A4 ribozyme. Cancer Res. 1999, 59, 4702–4708. [Google Scholar]
- Schmidt-Hansen, B.; Klingelhöfer, J.; Grum-Schwensen, B.; Christensen, A.; Andresen, S.; Kruse, C.; Hansen, T.; Ambartsumian, N.; Lukanidin, E.; Grigorian, M. Functional significance of metastasis-inducing S100A4(Mts1) in tumor-stroma interplay. J. Biol. Chem. 2004, 279, 24498–24504. [Google Scholar] [CrossRef] [PubMed]
- Yammani, R.R.; Carlson, C.S.; Bresnick, A.R.; Loeser, R.F. Increase in production of matrix metalloproteinase 13 by human articular chondrocytes due to stimulation with S100A4: Role of the receptor for advanced glycation end products. Arthritis Rheum. 2006, 54, 2901–2911. [Google Scholar] [CrossRef] [PubMed]
- Medapati, M.R.; Dahlmann, M.; Ghavami, S.; Pathak, K.A.; Lucman, L.; Klonisch, T.; Hoang-Vu, C.; Stein, U.; Hombach-Klonisch, S. RAGE Mediates the Pro-Migratory Response of Extracellular S100A4 in Human Thyroid Cancer Cells. Thyroid. Off. J. Am. Thyroid. Assoc. 2015, 25, 514–527. [Google Scholar] [CrossRef] [PubMed]





| Cell Line | Origin | Gender | Tumor Source | Selection of Mutant Genes |
|---|---|---|---|---|
| FLO1 | Caucasian | male | Esophageal, primary | BRCA2, TP53 |
| MKN45 | Asian | female | Gastric; metastasis | TP53, CDH1, BRCA1 |
| NCI-N87 | Caucasian | male | Gastric; metastasis | SMAD4, TP53, ERBB3 |
| OAC-P4C | Caucasian | male | Gastro-esophageal (cardial), primary | TP53 |
| OE33 | Caucasian | female | Barret’s (esophageal), primary | TP53 |
| Characteristic | Total | S100A4 Low | S100A4 High | p | |||
|---|---|---|---|---|---|---|---|
| N | (%) | N | (%) | N | (%) | ||
| Gender | |||||||
| Female | 99 | (35.7) | 72 | (35.5) | 27 | (36.5) | 0.876 |
| Male | 178 | (64.3) | 131 | (64.5) | 47 | (63.5) | |
| Age Group | |||||||
| <65 years | 158 | (57.0) | 119 | (58.6) | 39 | (52.7) | 0.379 |
| ≥65 years | 119 | (43.0) | 84 | (41.4) | 35 | (47.3) | |
| Localization | |||||||
| AEG | 48 | (17.3) | 38 | (18.7) | 10 | (13.5) | 0.311 |
| Stomach | 229 | (82.7) | 165 | (81.3) | 48 | (86.5) | |
| Tumor stage | |||||||
| T1 | 36 | (13.0) | 36 | (17.7) | 0 | (0.0) | <0.001 |
| T2 | 110 | (39.7) | 80 | (39,4) | 30 | (40.5) | |
| T3 | 103 | (37.2) | 70 | (34.5 | 33 | (44.6) | |
| T4 | 28 | (10.1 | 17 | (8.4) | 11 | (14.9) | |
| Node Stage | |||||||
| N0 | 72 | (26.0) | 57 | (28.1) | 15 | (20.3) | 0.012 |
| N1 | 85 | (30.7) | 70 | (34.5) | 15 | (20.3) | |
| N2 | 55 | (19.9) | 34 | (16.7) | 21 | (28.4) | |
| N3 | 65 | (23.5) | 42 | (20.7) | 23 | (31.1) | |
| Distant Metastasis | |||||||
| M0 | 199 | (71.8) | 153 | (75.4) | 199 | (62.2) | 0.031 |
| M1 | 78 | (28.2) | 50 | (24.6) | 78 | (37.8) | |
| Lymphatic vessel invasion | |||||||
| L0 | 90 | (32.5) | 72 | (35.5) | 18 | (24.3) | 0.059 |
| L1 | 168 | (60.6) | 116 | (57.1) | 52 | (70.3) | |
| Unknown | 19 | (6.9) | NA | NA | NA | NA | |
| Vein invasion | |||||||
| V0 | 159 | (57.4) | 120 | (59.1) | 39 | (52.7) | 0.178 |
| V1 | 96 | (34.7) | 65 | (32.0) | 31 | (42.9) | |
| Unknown | 22 | (7.9) | NA | NA | NA | NA | |
| Grading | |||||||
| G1 | 1 | (0.3) | 1 | (0.5) | 0 | (0.0) | 0.06 |
| G2 | 73 | (25.0) | 46 | (22.7) | 27 | (36.5) | |
| G3 | 203 | (73.9) | 156 | (156) | 47 | (63.5) | |
| Lauren Classification | |||||||
| Intestinal | 100 | (33.9) | 70 | (34.5) | 30 | (40.5) | 0.563 |
| Diffuse | 138 | (52.8) | 105 | (51.7) | 33 | (44.6) | |
| Mixed | 39 | (12.5) | 28 | (13.8) | 11 | (14.9) | |
| Characteristic | Total | S100A4 Low | S100A4 High | p | |||
|---|---|---|---|---|---|---|---|
| N | (%) | N | (%) | N | (%) | ||
| Her2Neu | |||||||
| positive | 21 | (7.6) | 15 | (7.4) | 6 | (8.1) | 0.378 |
| negative | 212 | (76.5) | 152 | (74.9) | 60 | (81.1) | |
| unknown | 44 | (15.9) | NA | NA | NA | NA | |
| CD3 Infiltration | |||||||
| high | 123 | (44.4) | 93 | (45.8) | 30 | (40.5) | 0.460 |
| low | 142 | (51.3) | 100 | (49.3) | 42 | (56.8) | |
| unknown | 12 | (4.3) | NA | NA | NA | NA | |
| CD4 Infiltration | |||||||
| high | 103 | (37.2) | 74 | (36.5) | 29 | (39.2) | 0.535 |
| low | 151 | (54.5) | 114 | (56.2) | 37 | (50.0) | |
| unknown | 23 | (8.3) | NA | NA | NA | NA | |
| CD8 Infiltration | |||||||
| high | 123 | (44.4) | 90 | (44.3) | 33 | (44.6) | 0.632 |
| low | 141 | (50.9) | 102 | (50.2) | 39 | (52.7) | |
| unknown | 13 | (4.7) | NA | NA | 2 | NA | |
| Mismatch Repair System | |||||||
| proficient | 241 | (87.0) | 175 | (86.2) | 183 | (65.8) | 0.802 |
| deficient | 31 | (11.2) | 24 | (11.8) | 35 | (89.7) | |
| unknown | 5 | (1.8) | NA | NA | NA | NA | |
| Combined Positive Score (CPS) | |||||||
| <5 | 216 | (78.0) | 164 | (84.1) | 52 | (74.3) | 0.070 |
| ≥5 | 49 | (17.7) | 31 | (15.9) | 18 | (25.7) | |
| unknown | 12 | (4.3) | NA | NA | NA | NA | |
Publisher’s Note: MDPI stays neutral with regard to jurisdictional claims in published maps and institutional affiliations. |
© 2022 by the authors. Licensee MDPI, Basel, Switzerland. This article is an open access article distributed under the terms and conditions of the Creative Commons Attribution (CC BY) license (https://creativecommons.org/licenses/by/4.0/).
Share and Cite
Treese, C.; Hartl, K.; Pötzsch, M.; Dahlmann, M.; von Winterfeld, M.; Berg, E.; Hummel, M.; Timm, L.; Rau, B.; Walther, W.; et al. S100A4 Is a Strong Negative Prognostic Marker and Potential Therapeutic Target in Adenocarcinoma of the Stomach and Esophagus. Cells 2022, 11, 1056. https://doi.org/10.3390/cells11061056
Treese C, Hartl K, Pötzsch M, Dahlmann M, von Winterfeld M, Berg E, Hummel M, Timm L, Rau B, Walther W, et al. S100A4 Is a Strong Negative Prognostic Marker and Potential Therapeutic Target in Adenocarcinoma of the Stomach and Esophagus. Cells. 2022; 11(6):1056. https://doi.org/10.3390/cells11061056
Chicago/Turabian StyleTreese, Christoph, Kimberly Hartl, Michelle Pötzsch, Matthias Dahlmann, Moritz von Winterfeld, Erika Berg, Michael Hummel, Lena Timm, Beate Rau, Wolfgang Walther, and et al. 2022. "S100A4 Is a Strong Negative Prognostic Marker and Potential Therapeutic Target in Adenocarcinoma of the Stomach and Esophagus" Cells 11, no. 6: 1056. https://doi.org/10.3390/cells11061056
APA StyleTreese, C., Hartl, K., Pötzsch, M., Dahlmann, M., von Winterfeld, M., Berg, E., Hummel, M., Timm, L., Rau, B., Walther, W., Daum, S., Kobelt, D., & Stein, U. (2022). S100A4 Is a Strong Negative Prognostic Marker and Potential Therapeutic Target in Adenocarcinoma of the Stomach and Esophagus. Cells, 11(6), 1056. https://doi.org/10.3390/cells11061056

