Cellular and Molecular Mechanisms of In Vivo and In Vitro SARS-CoV-2 Infection: A Lesson from Human Sperm
Abstract
:1. Introduction
2. Materials and Methods
2.1. Human Biological Sample Collection
2.2. Sample Collection and Analysis
2.3. In Vitro Sperm Infection by SARS-CoV-2
2.4. RNA Extraction and One-Step Digital Droplet PCR (ddPCR)
2.5. Detection of SARS-CoV-2 RNA
2.6. Immunofluorescence
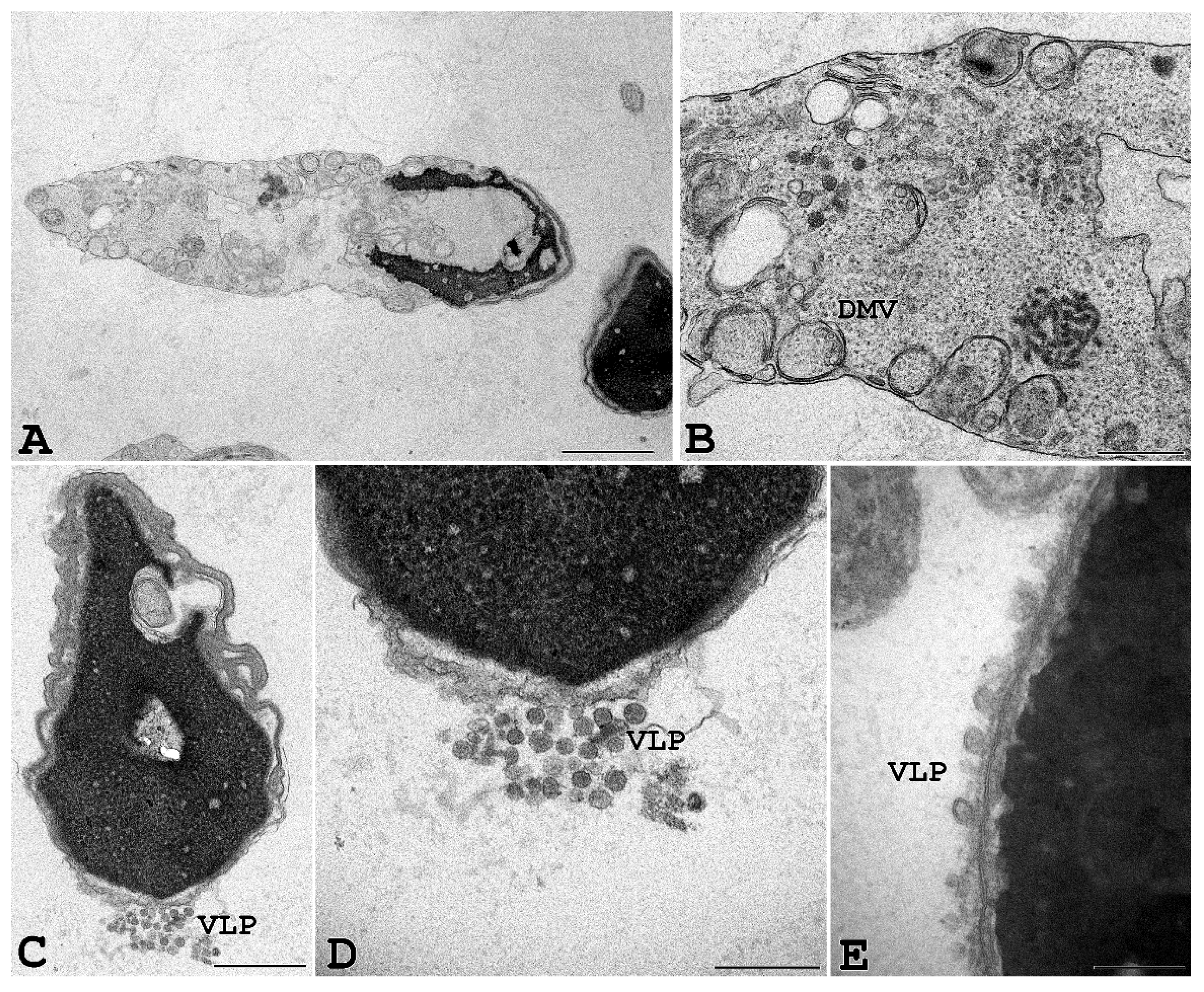
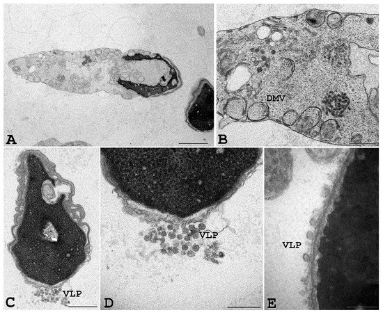
2.7. Transmission Electron Microscopy (TEM)
2.8. Statistic Analysis
3. Results
Quantification of SARS-CoV-2 RNA Associated with Sperm Cells after In Vitro Infection
4. Discussion
5. Conclusions
Supplementary Materials
Author Contributions
Funding
Institutional Review Board Statement
Informed Consent Statement
Data Availability Statement
Acknowledgments
Conflicts of Interest
References
- Luongo, F.P.; Dragoni, F.; Boccuto, A.; Paccagnini, E.; Gentile, M.; Canosi, T.; Morgante, G.; Luddi, A.; Zazzi, M.; Vicenti, I.; et al. SARS-CoV-2 Infection of Human Ovarian Cells: A Potential Negative Impact on Female Fertility. Cells 2022, 11, 1431. [Google Scholar] [CrossRef] [PubMed]
- He, W.; Liu, X.; Feng, L.; Xiong, S.; Li, Y.; Chen, L.; Li, Y.; Wang, G.; Li, D.; Fu, B. Impact of SARS-CoV-2 on Male Reproductive Health: A Review of the Literature on Male Reproductive Involvement in COVID-19. Front. Med. 2020, 7, 594364. [Google Scholar] [CrossRef] [PubMed]
- Borges do Nascimento, I.J.; Cacic, N.; Abdulazeem, H.M.; von Groote, T.C.; Jayarajah, U.; Weerasekara, I.; Esfahani, M.A.; Civile, V.T.; Marusic, A.; Jeroncic, A.; et al. Novel Coronavirus Infection (COVID-19) in Humans: A Scoping Review and Meta-Analysis. J. Clin. Med. 2020, 9, 941. [Google Scholar] [CrossRef] [PubMed] [Green Version]
- Xu, J.; Qi, L.; Chi, X.; Yang, J.; Wei, X.; Gong, E.; Peh, S.; Gu, J. Orchitis: A Complication of Severe Acute Respiratory Syndrome (SARS)1. Biol. Reprod. 2006, 74, 410–416. [Google Scholar] [CrossRef] [Green Version]
- The Association of Free Testosterone Levels with Coronavirus Disease 2019-Apaydin-Andrology-Wiley Online Library. Available online: https://onlinelibrary.wiley.com/doi/10.1111/andr.13152 (accessed on 15 March 2022).
- Hu, B.; Guo, H.; Zhou, P.; Shi, Z.-L. Characteristics of SARS-CoV-2 and COVID-19. Nat. Rev. Microbiol. 2021, 19, 141–154. [Google Scholar] [CrossRef]
- Targeting Proteases for Treating COVID-19. Available online: https://www.ncbi.nlm.nih.gov/pmc/articles/PMC7640965/ (accessed on 15 March 2022).
- Wang, Z.; Xu, X. ScRNA-Seq Profiling of Human Testes Reveals the Presence of the ACE2 Receptor, A Target for SARS-CoV-2 Infection in Spermatogonia, Leydig and Sertoli Cells. Cells 2020, 9, 920. [Google Scholar] [CrossRef] [Green Version]
- Shen, Q.; Xiao, X.; Aierken, A.; Yue, W.; Wu, X.; Liao, M.; Hua, J. The ACE2 Expression in Sertoli Cells and Germ Cells May Cause Male Reproductive Disorder after SARS-CoV-2 Infection. J. Cell Mol. Med. 2020, 24, 9472–9477. [Google Scholar] [CrossRef]
- Li, X.; Lu, H.; Li, F.; Zhang, Q.; Wang, T.; Qiang, L.; Yang, Q. Impacts of COVID-19 and SARS-CoV-2 on Male Reproductive Function: A Systematic Review and Meta-Analysis Protocol. BMJ Open 2022, 12, e053051. [Google Scholar] [CrossRef]
- Chen, Y.-W.; Lee, M.-S.; Lucht, A.; Chou, F.-P.; Huang, W.; Havighurst, T.C.; Kim, K.; Wang, J.-K.; Antalis, T.M.; Johnson, M.D.; et al. TMPRSS2, a Serine Protease Expressed in the Prostate on the Apical Surface of Luminal Epithelial Cells and Released into Semen in Prostasomes, Is Misregulated in Prostate Cancer Cells. Am. J. Pathol. 2010, 176, 2986–2996. [Google Scholar] [CrossRef]
- Rajak, P.; Roy, S.; Dutta, M.; Podder, S.; Sarkar, S.; Ganguly, A.; Mandi, M.; Khatun, S. Understanding the Cross-Talk between Mediators of Infertility and COVID-19. Reprod. Biol. 2021, 21, 100559. [Google Scholar] [CrossRef]
- Banihani, S.A. Human Semen Quality as Affected by SARS-CoV-2 Infection: An up-to-Date Review. Andrologia 2022, 54, e14295. [Google Scholar] [CrossRef] [PubMed]
- Holtmann, N.; Edimiris, P.; Andree, M.; Doehmen, C.; Baston-Buest, D.; Adams, O.; Kruessel, J.-S.; Bielfeld, A.P. Assessment of SARS-CoV-2 in Human Semen—a Cohort Study. Fertil. Steril. 2020, 114, 233–238. [Google Scholar] [CrossRef] [PubMed]
- Donders, G.G.G.; Bosmans, E.; Reumers, J.; Donders, F.; Jonckheere, J.; Salembier, G.; Stern, N.; Jacquemyn, Y.; Ombelet, W.; Depuydt, C.E. Sperm Quality and Absence of SARS-CoV-2 RNA in Semen after COVID-19 Infection: A Prospective, Observational Study and Validation of the SpermCOVID Test. Fertil. Steril. 2022, 117, 287–296. [Google Scholar] [CrossRef] [PubMed]
- Gupta, P.; Choudhary, A.; Gopal, G.; Kumar, R.; Kumar, A.; Tiwari, P.; Malhotra, N. Detection of SARS-CoV2 Virus Using the Real-Time Reverse Transcriptase Polymerase Chain Reaction in Semen and Seminal Plasma from Men with Active COVID-19 Infection – A Pilot Study. Indian J. Urol. 2021, 37, 331–334. [Google Scholar] [CrossRef]
- Corona, G.; Vena, W.; Pizzocaro, A.; Pallotti, F.; Paoli, D.; Rastrelli, G.; Baldi, E.; Cilloni, N.; Gacci, M.; Semeraro, F.; et al. Andrological Effects of SARS-Cov-2 Infection: A Systematic Review and Meta-Analysis. J. Endocrinol. Invest 2022. [Google Scholar] [CrossRef]
- Delaroche, L.; Bertine, M.; Oger, P.; Descamps, D.; Damond, F.; Genauzeau, E.; Meicler, P.; Le Hingrat, Q.; Lamazou, F.; Gschwind, R.; et al. Evaluation of SARS-CoV-2 in Semen, Seminal Plasma, and Spermatozoa Pellet of COVID-19 Patients in the Acute Stage of Infection. PLoS ONE 2021, 16, e0260187. [Google Scholar] [CrossRef]
- World Health Organization (Ed.) WHO Laboratory Manual for the Examination and Processing of Human Semen, 5th ed.; World Health Organization: Geneva, Switzerland, 2010; ISBN 978-92-4-154778-9. [Google Scholar]
- Ponchia, R.; Bruno, A.; Renzi, A.; Landi, C.; Shaba, E.; Luongo, F.P.; Haxhiu, A.; Artini, P.G.; Luddi, A.; Governini, L.; et al. Oxidative Stress Measurement in Frozen/Thawed Human Sperm: The Protective Role of an In Vitro Treatment with Myo-Inositol. Antioxidants 2022, 11, 10. [Google Scholar] [CrossRef]
- Governini, L.; Semplici, B.; Pavone, V.; Crifasi, L.; Marr.rocco, C.; De Leo, V.; Arlt, E.; Gudermann, T.; Boekhoff, I.; Luddi, A.; et al. Expression of Taste Receptor 2 Subtypes in Human Testis and Sperm. J. Clin. Med. 2020, 9, 264. [Google Scholar] [CrossRef] [Green Version]
- Luddi, A.; Pavone, V.; Semplici, B.; Governini, L.; Criscuoli, M.; Paccagnini, E.; Gentile, M.; Morgante, G.; Leo, V.D.; Belmonte, G.; et al. Organoids of Human Endometrium: A Powerful In Vitro Model for the Endometrium-Embryo Cross-Talk at the Implantation Site. Cells 2020, 9, 1121. [Google Scholar] [CrossRef]
- Semplici, B.; Luongo, F.P.; Passaponti, S.; Landi, C.; Governini, L.; Morgante, G.; De Leo, V.; Piomboni, P.; Luddi, A. Bitter Taste Receptors Expression in Human Granulosa and Cumulus Cells: New Perspectives in Female Fertility. Cells 2021, 10, 3127. [Google Scholar] [CrossRef]
- Neuman, B.W.; Adair, B.D.; Yoshioka, C.; Quispe, J.D.; Orca, G.; Kuhn, P.; Milligan, R.A.; Yeager, M.; Buchmeier, M.J. Supramolecular Architecture of Severe Acute Respiratory Syndrome Coronavirus Revealed by Electron Cryomicroscopy. J. Virol. 2006, 80, 7918–7928. [Google Scholar] [CrossRef] [PubMed] [Green Version]
- Mendonça, L.; Howe, A.; Gilchrist, J.B.; Sun, D.; Knight, M.L.; Zanetti-Domingues, L.C.; Bateman, B.; Krebs, A.-S.; Chen, L.; Radecke, J.; et al. SARS-CoV-2 Assembly and Egress Pathway Revealed by Correlative Multi-Modal Multi-Scale Cryo-Imaging. bioRxiv 2020. [Google Scholar] [CrossRef]
- Omolaoye, T.S.; Adeniji, A.A.; Cardona Maya, W.D.; du Plessis, S.S. SARS-COV-2 (Covid-19) and Male Fertility: Where Are We? Reprod. Toxicol. 2021, 99, 65–70. [Google Scholar] [CrossRef]
- Mao, X.-D.; Liu, K.-S.; Yao, Y.-P.; Xu, Z.-R. Potential Effects of COVID-19 on Reproductive Health: A Mini Review. Am. J. Transl. Res. 2021, 13, 13321–13327. [Google Scholar]
- Zafar, M.I.; Yu, J.; Li, H. Implications of RNA Viruses in the Male Reproductive Tract: An Outlook on SARS-CoV-2. Front. Microbiol. 2021, 12, 783963. [Google Scholar] [CrossRef] [PubMed]
- Fan, C.; Lu, W.; Li, K.; Ding, Y.; Wang, J. ACE2 Expression in Kidney and Testis May Cause Kidney and Testis Infection in COVID-19 Patients. Front. Med. 2021, 7, 563893. [Google Scholar] [CrossRef]
- Salonia, A.; Pontillo, M.; Capogrosso, P.; Gregori, S.; Tassara, M.; Boeri, L.; Carenzi, C.; Abbate, C.; Cignoli, D.; Ferrara, A.M.; et al. Severely Low Testosterone in Males with COVID-19: A Case-Control Study. Andrology 2021, 9, 1043–1052. [Google Scholar] [CrossRef] [PubMed]
- Salonia, A.; Pontillo, M.; Capogrosso, P.; Gregori, S.; Carenzi, C.; Ferrara, A.M.; Rowe, I.; Boeri, L.; Larcher, A.; Ramirez, G.A.; et al. Testosterone in Males with COVID-19: A 7-Month Cohort Study. Andrology 2022, 10, 34–41. [Google Scholar] [CrossRef]
- Kadihasanoglu, M.; Aktas, S.; Yardimci, E.; Aral, H.; Kadioglu, A. SARS-CoV-2 Pneumonia Affects Male Reproductive Hormone Levels: A Prospective, Cohort Study. J. Sex. Med. 2021, 18, 256–264. [Google Scholar] [CrossRef]
- Rastrelli, G.; Di Stasi, V.; Inglese, F.; Beccaria, M.; Garuti, M.; Di Costanzo, D.; Spreafico, F.; Greco, G.F.; Cervi, G.; Pecoriello, A.; et al. Low Testosterone Levels Predict Clinical Adverse Outcomes in SARS-CoV-2 Pneumonia Patients. Andrology 2021, 9, 88–98. [Google Scholar] [CrossRef]
- Yang, M.; Chen, S.; Huang, B.; Zhong, J.-M.; Su, H.; Chen, Y.-J.; Cao, Q.; Ma, L.; He, J.; Li, X.-F.; et al. Pathological Findings in the Testes of COVID-19 Patients: Clinical Implications. Eur. Urol. Focus. 2020, 6, 1124–1129. [Google Scholar] [CrossRef] [PubMed]
- Bartlett, J.M.; Kerr, J.B.; Sharpe, R.M. The Effect of Selective Destruction and Regeneration of Rat Leydig Cells on the Intratesticular Distribution of Testosterone and Morphology of the Seminiferous Epithelium. J. Androl. 1986, 7, 240–253. [Google Scholar] [CrossRef] [PubMed]
- Ramal-Sanchez, M.; Castellini, C.; Cimini, C.; Taraschi, A.; Valbonetti, L.; Barbonetti, A.; Bernabò, N.; Barboni, B. ACE2 Receptor and Its Isoform Short-ACE2 Are Expressed on Human Spermatozoa. Int. J. Mol. Sci. 2022, 23, 3694. [Google Scholar] [CrossRef]
- Navarra, A.; Albani, E.; Castellano, S.; Arruzzolo, L.; Levi-Setti, P.E. Coronavirus Disease-19 Infection: Implications on Male Fertility and Reproduction. Front. Physiol. 2020, 11. [Google Scholar] [CrossRef] [PubMed]
- Bayati, A.; Kumar, R.; Francis, V.; McPherson, P.S. SARS-CoV-2 Infects Cells after Viral Entry via Clathrin-Mediated Endocytosis. J. Biol. Chem. 2021, 296, 100306. [Google Scholar] [CrossRef]
- Liu, X.; Chen, Y.; Tang, W.; Zhang, L.; Chen, W.; Yan, Z.; Yuan, P.; Yang, M.; Kong, S.; Yan, L.; et al. Single-Cell Transcriptome Analysis of the Novel Coronavirus (SARS-CoV-2) Associated Gene ACE2 Expression in Normal and Non-Obstructive Azoospermia (NOA) Human Male Testes. Sci. China Life Sci. 2020, 63, 1006–1015. [Google Scholar] [CrossRef]







Publisher’s Note: MDPI stays neutral with regard to jurisdictional claims in published maps and institutional affiliations. |
© 2022 by the authors. Licensee MDPI, Basel, Switzerland. This article is an open access article distributed under the terms and conditions of the Creative Commons Attribution (CC BY) license (https://creativecommons.org/licenses/by/4.0/).
Share and Cite
Luddi, A.; Luongo, F.P.; Dragoni, F.; Fiaschi, L.; Vicenti, I.; Lupetti, P.; Gentile, M.; Paccagnini, E.; Haxhiu, A.; Ponchia, R.; et al. Cellular and Molecular Mechanisms of In Vivo and In Vitro SARS-CoV-2 Infection: A Lesson from Human Sperm. Cells 2022, 11, 2631. https://doi.org/10.3390/cells11172631
Luddi A, Luongo FP, Dragoni F, Fiaschi L, Vicenti I, Lupetti P, Gentile M, Paccagnini E, Haxhiu A, Ponchia R, et al. Cellular and Molecular Mechanisms of In Vivo and In Vitro SARS-CoV-2 Infection: A Lesson from Human Sperm. Cells. 2022; 11(17):2631. https://doi.org/10.3390/cells11172631
Chicago/Turabian StyleLuddi, Alice, Francesca Paola Luongo, Filippo Dragoni, Lia Fiaschi, Ilaria Vicenti, Pietro Lupetti, Mariangela Gentile, Eugenio Paccagnini, Alesandro Haxhiu, Rosetta Ponchia, and et al. 2022. "Cellular and Molecular Mechanisms of In Vivo and In Vitro SARS-CoV-2 Infection: A Lesson from Human Sperm" Cells 11, no. 17: 2631. https://doi.org/10.3390/cells11172631
APA StyleLuddi, A., Luongo, F. P., Dragoni, F., Fiaschi, L., Vicenti, I., Lupetti, P., Gentile, M., Paccagnini, E., Haxhiu, A., Ponchia, R., Governini, L., Zazzi, M., & Piomboni, P. (2022). Cellular and Molecular Mechanisms of In Vivo and In Vitro SARS-CoV-2 Infection: A Lesson from Human Sperm. Cells, 11(17), 2631. https://doi.org/10.3390/cells11172631

