Constitutive Occurrence of E:N-cadherin Heterodimers in Adherens Junctions of Hepatocytes and Derived Tumors
Abstract
:1. Introduction
2. Materials and Methods
2.1. Immunofluorescence Microscopy
2.2. Antibodies and Reagents
2.3. Immunoblot Analysis
2.4. Immunoprecipitation
2.5. Tissues and Cells
2.6. Immunohistochemistry
2.7. Statistical Analysis
3. Results
3.1. E- and N-cadherin-heterodimers Are Retained in Different Species and during Hepatocyte Carcinogenesis
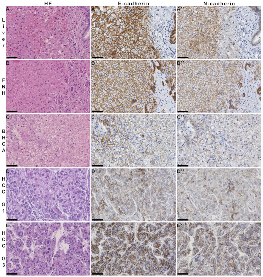
3.2. E- and N-cadherin Are Stably Expressed in Human Hepatocellular Tumors
3.3. N-cadherin Is Not a Suitable Marker for EMT in HCC
3.4. E-cadherin Expression Is Not an Independent Prognostic Marker for Overall Patient Survival in HCC
3.5. E- and N-cadherin Do Not Serve as Direct Predictors of Overall Survival in HCC in the Independent TCGA Cohort
4. Discussion
4.1. E- and N-cadherin Are Constitutively Expressed in AJs of Hepatocytes and Derived Tumors
4.2. E- and N-cadherin in the Context of EMT
4.3. Prognostic Properties of E-cadherin in HCC Are an Epiphenomenon, While N-cadherin Does Not Predict Overall Survival in HCC Patients
4.4. The Diagnostic Use of E- and N-cadherin as Markers for Tumors of Hepatocytic/Liver Origin
5. Conclusions
Supplementary Materials
Author Contributions
Funding
Institutional Review Board Statement
Informed Consent Statement
Data Availability Statement
Acknowledgments
Conflicts of Interest
Appendix A


Appendix B

References
- Bray, F.; Ferlay, J.; Soerjomataram, I.; Siegel, R.L.; Torre, L.A.; Jemal, A. Global cancer statistics 2018: GLOBOCAN estimates of incidence and mortality worldwide for 36 cancers in 185 countries. CA Cancer J. Clin. 2018, 68, 394–424. [Google Scholar] [CrossRef] [PubMed]
- Llovet, J.M.; Kelley, R.K.; Villanueva, A.; Singal, A.G.; Pikarsky, E.; Roayaie, S.; Lencioni, R.; Koike, K.; Zucman-Rossi, J.; Finn, R.S. Hepatocellular carcinoma. Nat. Rev. Dis. Primers 2021, 7, 6. [Google Scholar] [CrossRef] [PubMed]
- Farquhar, M.G.; Palade, G.E. Junctional complexes in various epithelia. J. Cell Biol. 1963, 17, 375–412. [Google Scholar] [CrossRef] [PubMed]
- Borrmann, C.M.; Mertens, C.; Schmidt, A.; Langbein, L.; Kuhn, C.; Franke, W.W. Molecular diversity of plaques of epithelial-adhering junctions. Ann. N. Y. Acad. Sci. 2000, 915, 144–150. [Google Scholar] [CrossRef]
- Pieperhoff, S.; Barth, M.; Rickelt, S.; Franke, W.W. Desmosomal molecules in and out of adhering junctions: Normal and diseased States of epidermal, cardiac and mesenchymally derived cells. Dermatol. Res. Pract. 2010, 2010, 139167. [Google Scholar] [CrossRef]
- Green, K.J.; Getsios, S.; Troyanovsky, S.; Godsel, L.M. Intercellular junction assembly, dynamics, and homeostasis. Cold Spring Harb. Perspect. Biol. 2010, 2, a000125. [Google Scholar] [CrossRef]
- Takeichi, M. The cadherins: Cell-cell adhesion molecules controlling animal morphogenesis. Development 1988, 102, 639–655. [Google Scholar] [CrossRef]
- Hatta, M.; Miyatani, S.; Copeland, N.G.; Gilbert, D.J.; Jenkins, N.A.; Takeichi, M. Genomic organization and chromosomal mapping of the mouse P-cadherin gene. Nucleic Acids Res. 1991, 19, 4437–4441. [Google Scholar] [CrossRef]
- Takeichi, M. Functional correlation between cell adhesive properties and some cell surface proteins. J. Cell Biol. 1977, 75, 464–474. [Google Scholar] [CrossRef]
- Volk, T.; Geiger, B. A 135-kd membrane protein of intercellular adherens junctions. Embo J. 1984, 3, 2249–2260. [Google Scholar] [CrossRef]
- Tsuchiya, B.; Sato, Y.; Kameya, T.; Okayasu, I.; Mukai, K. Differential expression of N-cadherin and E-cadherin in normal human tissues. Arch. Histol. Cytol. 2006, 69, 135–145. [Google Scholar] [CrossRef]
- Behrens, J. Cadherins and catenins: Role in signal transduction and tumor progression. Cancer Metastasis Rev. 1999, 18, 15–30. [Google Scholar] [CrossRef]
- Prange, W.; Breuhahn, K.; Fischer, F.; Zilkens, C.; Pietsch, T.; Petmecky, K.; Eilers, R.; Dienes, H.P.; Schirmacher, P. Beta-catenin accumulation in the progression of human hepatocarcinogenesis correlates with loss of E-cadherin and accumulation of p53, but not with expression of conventional WNT-1 target genes. J. Pathol. 2003, 201, 250–259. [Google Scholar] [CrossRef]
- Pez, F.; Lopez, A.; Kim, M.; Wands, J.R.; Caron de Fromentel, C.; Merle, P. Wnt signaling and hepatocarcinogenesis: Molecular targets for the development of innovative anticancer drugs. J. Hepatol. 2013, 59, 1107–1117. [Google Scholar] [CrossRef]
- Haegel, H.; Larue, L.; Ohsugi, M.; Fedorov, L.; Herrenknecht, K.; Kemler, R. Lack of beta-catenin affects mouse development at gastrulation. Development 1995, 121, 3529–3537. [Google Scholar] [CrossRef]
- Riethmacher, D.; Brinkmann, V.; Birchmeier, C. A targeted mutation in the mouse E-cadherin gene results in defective preimplantation development. Proc. Natl. Acad. Sci. USA 1995, 92, 855–859. [Google Scholar] [CrossRef]
- Radice, G.L.; Rayburn, H.; Matsunami, H.; Knudsen, K.A.; Takeichi, M.; Hynes, R.O. Developmental defects in mouse embryos lacking N-cadherin. Dev. Biol. 1997, 181, 64–78. [Google Scholar] [CrossRef]
- Radice, G.L. N-cadherin-mediated adhesion and signaling from development to disease: Lessons from mice. Prog. Mol. Biol. Transl. Sci. 2013, 116, 263–289. [Google Scholar] [CrossRef]
- Klingelhöfer, J.; Laur, O.Y.; Troyanovsky, R.B.; Troyanovsky, S.M. Dynamic interplay between adhesive and lateral E-cadherin dimers. Mol. Cell Biol. 2002, 22, 7449–7458. [Google Scholar] [CrossRef]
- Volk, T.; Cohen, O.; Geiger, B. Formation of heterotypic adherens-type junctions between L-CAM-containing liver cells and A-CAM-containing lens cells. Cell 1987, 50, 987–994. [Google Scholar] [CrossRef]
- Shan, W.S.; Tanaka, H.; Phillips, G.R.; Arndt, K.; Yoshida, M.; Colman, D.R.; Shapiro, L. Functional cis-heterodimers of N- and R-cadherins. J. Cell Biol. 2000, 148, 579–590. [Google Scholar] [CrossRef] [PubMed]
- Straub, B.K.; Rickelt, S.; Zimbelmann, R.; Grund, C.; Kuhn, C.; Iken, M.; Ott, M.; Schirmacher, P.; Franke, W.W. E-N-cadherin heterodimers define novel adherens junctions connecting endoderm-derived cells. J. Cell Biol. 2011, 195, 873–887. [Google Scholar] [CrossRef] [PubMed]
- Luo, Y.; Ferreira-Cornwell, M.; Baldwin, H.; Kostetskii, I.; Lenox, J.; Lieberman, M.; Radice, G. Rescuing the N-cadherin knockout by cardiac-specific expression of N- or E-cadherin. Development 2001, 128, 459–469. [Google Scholar] [CrossRef] [PubMed]
- Ferreira-Cornwell, M.C.; Luo, Y.; Narula, N.; Lenox, J.M.; Lieberman, M.; Radice, G.L. Remodeling the intercalated disc leads to cardiomyopathy in mice misexpressing cadherins in the heart. J. Cell Sci. 2002, 115, 1623–1634. [Google Scholar] [CrossRef]
- Kan, N.G.; Stemmler, M.P.; Junghans, D.; Kanzler, B.; de Vries, W.N.; Dominis, M.; Kemler, R. Gene replacement reveals a specific role for E-cadherin in the formation of a functional trophectoderm. Development 2007, 134, 31–41. [Google Scholar] [CrossRef]
- Gumbiner, B.M. Regulation of cadherin-mediated adhesion in morphogenesis. Nat. Rev. Mol. Cell Biol. 2005, 6, 622–634. [Google Scholar] [CrossRef]
- Halbleib, J.M.; Nelson, W.J. Cadherins in development: Cell adhesion, sorting, and tissue morphogenesis. Genes Dev. 2006, 20, 3199–3214. [Google Scholar] [CrossRef]
- Shapiro, L.; Weis, W.I. Structure and biochemistry of cadherins and catenins. Cold Spring Harb. Perspect. Biol. 2009, 1, a003053. [Google Scholar] [CrossRef]
- Duguay, D.; Foty, R.A.; Steinberg, M.S. Cadherin-mediated cell adhesion and tissue segregation: Qualitative and quantitative determinants. Dev. Biol. 2003, 253, 309–323. [Google Scholar] [CrossRef]
- Moll, R.; Mitze, M.; Frixen, U.H.; Birchmeier, W. Differential loss of E-cadherin expression in infiltrating ductal and lobular breast carcinomas. Am. J. Pathol. 1993, 143, 1731–1742. [Google Scholar]
- Oda, T.; Kanai, Y.; Oyama, T.; Yoshiura, K.; Shimoyama, Y.; Birchmeier, W.; Sugimura, T.; Hirohashi, S. E-cadherin gene mutations in human gastric carcinoma cell lines. Proc. Natl. Acad. Sci. USA 1994, 91, 1858–1862. [Google Scholar] [CrossRef]
- Kitajima, I.; Kawahara, K.; Hanyu, N.; Shin, H.; Tokioka, T.; Soejima, Y.; Tsutsui, J.; Ozawa, M.; Shimayama, T.; Maruyama, I. Enhanced E-cadherin expression and increased calcium-dependent cell-cell adhesion in human T-cell leukemia virus type I Tax-expressing PC12 cells. J. Cell Sci. 1996, 109 Pt 3, 609–617. [Google Scholar] [CrossRef]
- Achtstaetter, T.; Hatzfeld, M.; Quinlan, R.A.; Parmelee, D.C.; Franke, W.W. Separation of cytokeratin polypeptides by gel electrophoretic and chromatographic techniques and their identification by immunoblotting. Methods Enzymol. 1986, 134, 355–371. [Google Scholar] [CrossRef]
- Ridder, D.A.; Weinmann, A.; Schindeldecker, M.; Urbansky, L.L.; Berndt, K.; Gerber, T.S.; Lang, H.; Lotz, J.; Lackner, K.J.; Roth, W.; et al. Comprehensive clinicopathologic study of alpha fetoprotein-expression in a large cohort of patients with hepatocellular carcinoma. Int. J. Cancer 2022, 150, 1053–1066. [Google Scholar] [CrossRef]
- Ridder, D.A.; Urbansky, L.L.; Witzel, H.R.; Schindeldecker, M.; Weinmann, A.; Berndt, K.; Gerber, T.S.; Köhler, B.C.; Nichetti, F.; Ludt, A.; et al. Transforming Growth Factor-β Activated Kinase 1 (Tak1) Is Activated in Hepatocellular Carcinoma, Mediates Tumor Progression, and Predicts Unfavorable Outcome. Cancers 2022, 14, 430. [Google Scholar] [CrossRef]
- Ridder, D.A.; Schindeldecker, M.; Weinmann, A.; Berndt, K.; Urbansky, L.; Witzel, H.R.; Heinrich, S.; Roth, W.; Straub, B.K. Key Enzymes in Pyrimidine Synthesis, CAD and CPS1, Predict Prognosis in Hepatocellular Carcinoma. Cancers 2021, 13, 744. [Google Scholar] [CrossRef]
- Gerber, T.S.; Bartsch, F.; Wagner, D.C.; Schindeldecker, M.; Heuft, L.K.; Roth, W.; Lang, H.; Straub, B.K. Clinicopathological Significance of Syndecan-1 in Cholangiocarcinoma: A Study Based on Immunohistochemistry and Public Sequencing Data. J. Clin. Med. 2021, 10, 2745. [Google Scholar] [CrossRef]
- Bankhead, P.; Loughrey, M.B.; Fernández, J.A.; Dombrowski, Y.; McArt, D.G.; Dunne, P.D.; McQuaid, S.; Gray, R.T.; Murray, L.J.; Coleman, H.G.; et al. QuPath: Open source software for digital pathology image analysis. Sci. Rep. 2017, 7, 16878. [Google Scholar] [CrossRef]
- Remmele, W.; Stegner, H.E. [Recommendation for uniform definition of an immunoreactive score (IRS) for immunohistochemical estrogen receptor detection (ER-ICA) in breast cancer tissue]. Pathologe 1987, 8, 138–140. [Google Scholar]
- Team, R.C. R: A Language and Environment for Statistical Computing; R Foundation for Statistical Computing: Vienna, Austria, 2013. [Google Scholar]
- Budczies, J.; Klauschen, F.; Sinn, B.V.; Győrffy, B.; Schmitt, W.D.; Darb-Esfahani, S.; Denkert, C. Cutoff Finder: A comprehensive and straightforward Web application enabling rapid biomarker cutoff optimization. PLoS ONE 2012, 7, e51862. [Google Scholar] [CrossRef]
- Goldman, M.J.; Craft, B.; Hastie, M.; Repečka, K.; McDade, F.; Kamath, A.; Banerjee, A.; Luo, Y.; Rogers, D.; Brooks, A.N.; et al. Visualizing and interpreting cancer genomics data via the Xena platform. Nat. Biotechnol. 2020, 38, 675–678. [Google Scholar] [CrossRef] [PubMed]
- Anaya, J. OncoLnc: Linking TCGA survival data to mRNAs, miRNAs, and lncRNAs. PeerJ Comput. Sci. 2016, 2, e67. [Google Scholar] [CrossRef]
- Higashi, N.; Kojima, N.; Miura, M.; Imai, K.; Sato, M.; Senoo, H. Cell-cell junctions between mammalian (human and rat) hepatic stellate cells. Cell Tissue Res. 2004, 317, 35–43. [Google Scholar] [CrossRef] [PubMed]
- Géraud, C.; Evdokimov, K.; Straub, B.K.; Peitsch, W.K.; Demory, A.; Dörflinger, Y.; Schledzewski, K.; Schmieder, A.; Schemmer, P.; Augustin, H.G.; et al. Unique cell type-specific junctional complexes in vascular endothelium of human and rat liver sinusoids. PLoS ONE 2012, 7, e34206. [Google Scholar] [CrossRef]
- Boyer, J.L. Bile formation and secretion. Compr. Physiol. 2013, 3, 1035–1078. [Google Scholar] [CrossRef]
- Luo, Y.; Yu, T.; Zhang, Q.; Fu, Q.; Hu, Y.; Xiang, M.; Peng, H.; Zheng, T.; Lu, L.; Shi, H. Upregulated N-cadherin expression is associated with poor prognosis in epithelial-derived solid tumours: A meta-analysis. Eur. J. Clin. Investig. 2018, 48, e12903. [Google Scholar] [CrossRef]
- Zhang, A.; Aslam, H.; Sharma, N.; Warmflash, A.; Fakhouri, W.D. Conservation of Epithelial-to-Mesenchymal Transition Process in Neural Crest Cells and Metastatic Cancer. Cells Tissues Organs 2021, 210, 151–172. [Google Scholar] [CrossRef]
- Renne, S.L.; Woo, H.Y.; Allegra, S.; Rudini, N.; Yano, H.; Donadon, M.; Viganò, L.; Akiba, J.; Lee, H.S.; Rhee, H.; et al. Vessels Encapsulating Tumor Clusters (VETC) Is a Powerful Predictor of Aggressive Hepatocellular Carcinoma. Hepatology 2020, 71, 183–195. [Google Scholar] [CrossRef]
- Giannelli, G.; Koudelkova, P.; Dituri, F.; Mikulits, W. Role of epithelial to mesenchymal transition in hepatocellular carcinoma. J. Hepatol. 2016, 65, 798–808. [Google Scholar] [CrossRef]
- El Jabbour, T.; Lagana, S.M.; Lee, H. Update on hepatocellular carcinoma: Pathologists’ review. World J. Gastroenterol. 2019, 25, 1653–1665. [Google Scholar] [CrossRef]
- Gissen, P.; Arias, I.M. Structural and functional hepatocyte polarity and liver disease. J. Hepatol. 2015, 63, 1023–1037. [Google Scholar] [CrossRef]
- Yokota, Y.; Noda, T.; Okumura, Y.; Kobayashi, S.; Iwagami, Y.; Yamada, D.; Tomimaru, Y.; Akita, H.; Gotoh, K.; Takeda, Y.; et al. Serum exosomal miR-638 is a prognostic marker of HCC via downregulation of VE-cadherin and ZO-1 of endothelial cells. Cancer Sci. 2021, 112, 1275–1288. [Google Scholar] [CrossRef]
- Nhieu, J.T.; Renard, C.A.; Wei, Y.; Cherqui, D.; Zafrani, E.S.; Buendia, M.A. Nuclear accumulation of mutated beta-catenin in hepatocellular carcinoma is associated with increased cell proliferation. Am. J. Pathol. 1999, 155, 703–710. [Google Scholar] [CrossRef]
- De La Coste, A.; Romagnolo, B.; Billuart, P.; Renard, C.A.; Buendia, M.A.; Soubrane, O.; Fabre, M.; Chelly, J.; Beldjord, C.; Kahn, A.; et al. Somatic mutations of the beta-catenin gene are frequent in mouse and human hepatocellular carcinomas. Proc. Natl. Acad. Sci. USA 1998, 95, 8847–8851. [Google Scholar] [CrossRef]
- Su, L.K.; Vogelstein, B.; Kinzler, K.W. Association of the APC tumor suppressor protein with catenins. Science 1993, 262, 1734–1737. [Google Scholar] [CrossRef]
- Nusse, R.; Clevers, H. Wnt/β-Catenin Signaling, Disease, and Emerging Therapeutic Modalities. Cell 2017, 169, 985–999. [Google Scholar] [CrossRef]
- Ueberham, E.; Glöckner, P.; Göhler, C.; Straub, B.K.; Teupser, D.; Schönig, K.; Braeuning, A.; Höhn, A.K.; Jerchow, B.; Birchmeier, W.; et al. Global Increase of p16INK4a in APC-Deficient Mouse Liver Drives Clonal Growth of p16INK4a-Negative Tumors. Mol. Cancer Res. 2015, 13, 239–249. [Google Scholar] [CrossRef]
- Van Veelen, W.; Le, N.H.; Helvensteijn, W.; Blonden, L.; Theeuwes, M.; Bakker, E.R.; Franken, P.F.; van Gurp, L.; Meijlink, F.; van der Valk, M.A.; et al. β-catenin tyrosine 654 phosphorylation increases Wnt signalling and intestinal tumorigenesis. Gut 2011, 60, 1204–1212. [Google Scholar] [CrossRef]
- Wickline, E.D.; Awuah, P.K.; Behari, J.; Ross, M.; Stolz, D.B.; Monga, S.P. Hepatocyte γ-catenin compensates for conditionally deleted β-catenin at adherens junctions. J. Hepatol. 2011, 55, 1256–1262. [Google Scholar] [CrossRef]
- Wickline, E.D.; Du, Y.; Stolz, D.B.; Kahn, M.; Monga, S.P. γ-Catenin at adherens junctions: Mechanism and biologic implications in hepatocellular cancer after β-catenin knockdown. Neoplasia 2013, 15, 421–434. [Google Scholar] [CrossRef]
- Ihara, A.; Koizumi, H.; Hashizume, R.; Uchikoshi, T. Expression of epithelial cadherin and alpha- and beta-catenins in nontumoral livers and hepatocellular carcinomas. Hepatology 1996, 23, 1441–1447. [Google Scholar] [CrossRef]
- Seo, D.D.; Lee, H.C.; Kim, H.J.; Min, H.J.; Kim, K.M.; Lim, Y.S.; Chung, Y.H.; Lee, Y.S.; Suh, D.J.; Yu, E.; et al. Neural cadherin overexpression is a predictive marker for early postoperative recurrence in hepatocellular carcinoma patients. J. Gastroenterol. Hepatol. 2008, 23, 1112–1118. [Google Scholar] [CrossRef]
- Cho, S.B.; Lee, K.H.; Lee, J.H.; Park, S.Y.; Lee, W.S.; Park, C.H.; Kim, H.S.; Choi, S.K.; Rew, J.S. Expression of E- and N-cadherin and clinicopathology in hepatocellular carcinoma. Pathol. Int. 2008, 58, 635–642. [Google Scholar] [CrossRef]
- Tretiakova, M.S.; Hart, J.; Shabani-Rad, M.T.; Zhang, J.; Gao, Z.H. Distinction of hepatocellular adenoma from hepatocellular carcinoma with and without cirrhosis using E-cadherin and matrix metalloproteinase immunohistochemistry. Mod. Pathol. 2009, 22, 1113–1120. [Google Scholar] [CrossRef]
- Anna, C.H.; Iida, M.; Sills, R.C.; Devereux, T.R. Expression of potential beta-catenin targets, cyclin D1, c-Jun, c-Myc, E-cadherin, and EGFR in chemically induced hepatocellular neoplasms from B6C3F1 mice. Toxicol. Appl. Pharmacol. 2003, 190, 135–145. [Google Scholar] [CrossRef]
- Cao, Y.; Chang, H.; Li, L.; Cheng, R.C.; Fan, X.N. Alteration of adhesion molecule expression and cellular polarity in hepatocellular carcinoma. Histopathology 2007, 51, 528–538. [Google Scholar] [CrossRef]
- Liang, L.; Sun, H.; Zhang, W.; Zhang, M.; Yang, X.; Kuang, R.; Zheng, H. Meta-Analysis of EMT Datasets Reveals Different Types of EMT. PLoS ONE 2016, 11, e0156839. [Google Scholar] [CrossRef]
- Van Roy, F. Beyond E-cadherin: Roles of other cadherin superfamily members in cancer. Nat. Rev. Cancer 2014, 14, 121–134. [Google Scholar] [CrossRef]
- Lammens, T.; Swerts, K.; Derycke, L.; De Craemer, A.; De Brouwer, S.; De Preter, K.; Van Roy, N.; Vandesompele, J.; Speleman, F.; Philippé, J.; et al. N-cadherin in neuroblastoma disease: Expression and clinical significance. PLoS ONE 2012, 7, e31206. [Google Scholar] [CrossRef]
- Bonitsis, N.; Batistatou, A.; Karantima, S.; Charalabopoulos, K. The role of cadherin/catenin complex in malignant melanoma. Exp. Oncol. 2006, 28, 187–193. [Google Scholar]
- Cao, Z.Q.; Wang, Z.; Leng, P. Aberrant N-cadherin expression in cancer. Biomed. Pharmacother. 2019, 118, 109320. [Google Scholar] [CrossRef] [PubMed]
- Zhan, D.Q.; Wei, S.; Liu, C.; Liang, B.Y.; Ji, G.B.; Chen, X.P.; Xiong, M.; Huang, Z.Y. Reduced N-cadherin expression is associated with metastatic potential and poor surgical outcomes of hepatocellular carcinoma. J. Gastroenterol. Hepatol. 2012, 27, 173–180. [Google Scholar] [CrossRef] [PubMed]
- Gwak, G.Y.; Yoon, J.H.; Yu, S.J.; Park, S.C.; Jang, J.J.; Lee, K.B.; Lee, S.H.; Lee, S.M.; Shin, C.S.; Suh, K.S.; et al. Anti-apoptotic N-cadherin signaling and its prognostic implication in human hepatocellular carcinomas. Oncol. Rep. 2006, 15, 1117–1123. [Google Scholar] [CrossRef] [PubMed]
- Chen, J.; Zhao, J.; Ma, R.; Lin, H.; Liang, X.; Cai, X. Prognostic significance of E-cadherin expression in hepatocellular carcinoma: A meta-analysis. PLoS ONE 2014, 9, e103952. [Google Scholar] [CrossRef] [PubMed]
- Fang, J.H.; Zhou, H.C.; Zhang, C.; Shang, L.R.; Zhang, L.; Xu, J.; Zheng, L.; Yuan, Y.; Guo, R.P.; Jia, W.H.; et al. A novel vascular pattern promotes metastasis of hepatocellular carcinoma in an epithelial-mesenchymal transition-independent manner. Hepatology 2015, 62, 452–465. [Google Scholar] [CrossRef] [PubMed]
- Giannotta, M.; Trani, M.; Dejana, E. VE-Cadherin and Endothelial Adherens Junctions: Active Guardians of Vascular Integrity. Dev. Cell 2013, 26, 441–454. [Google Scholar] [CrossRef] [PubMed]
- Amack, J.D. Cellular dynamics of EMT: Lessons from live in vivo imaging of embryonic development. Cell Commun. Signal. 2021, 19, 79. [Google Scholar] [CrossRef]
- Zacharakis, G.; Aleid, A.; Aldossari, K.K. New and old biomarkers of hepatocellular carcinoma. Hepatoma Res. 2018, 4, 65. [Google Scholar] [CrossRef]
- Bruix, J.; Reig, M.; Sherman, M. Evidence-Based Diagnosis, Staging, and Treatment of Patients With Hepatocellular Carcinoma. Gastroenterology 2016, 150, 835–853. [Google Scholar] [CrossRef]
- Yang, M.-H.; Chen, C.-L.; Chau, G.-Y.; Chiou, S.-H.; Su, C.-W.; Chou, T.-Y.; Peng, W.-L.; Wu, J.-C. Comprehensive analysis of the independent effect of twist and snail in promoting metastasis of hepatocellular carcinoma. Hepatology 2009, 50, 1464–1474. [Google Scholar] [CrossRef]
- Ke, A.W.; Shi, G.M.; Zhou, J.; Huang, X.Y.; Shi, Y.H.; Ding, Z.B.; Wang, X.Y.; Devbhandari, R.P.; Fan, J. CD151 amplifies signaling by integrin α6β1 to PI3K and induces the epithelial-mesenchymal transition in HCC cells. Gastroenterology 2011, 140, 1629–1641.e1615. [Google Scholar] [CrossRef]
- Liu, K.Y.; Wang, L.T.; Hsu, S.H.; Wang, S.N. Homeobox Genes and Hepatocellular Carcinoma. Cancers 2019, 11, 621. [Google Scholar] [CrossRef]
- Kim, J.; Hong, S.J.; Park, J.Y.; Park, J.H.; Yu, Y.S.; Park, S.Y.; Lim, E.K.; Choi, K.Y.; Lee, E.K.; Paik, S.S.; et al. Epithelial-mesenchymal transition gene signature to predict clinical outcome of hepatocellular carcinoma. Cancer Sci. 2010, 101, 1521–1528. [Google Scholar] [CrossRef]
- Giannelli, G.; Fransvea, E.; Bergamini, C.; Marinosci, F.; Antonaci, S. Laminin-5 chains are expressed differentially in metastatic and nonmetastatic hepatocellular carcinoma. Clin. Cancer Res. 2003, 9, 3684–3691. [Google Scholar]
- Kim, H.; Choi, G.H.; Na, D.C.; Ahn, E.Y.; Kim, G.I.; Lee, J.E.; Cho, J.Y.; Yoo, J.E.; Choi, J.S.; Park, Y.N. Human hepatocellular carcinomas with “Stemness”-related marker expression: Keratin 19 expression and a poor prognosis. Hepatology 2011, 54, 1707–1717. [Google Scholar] [CrossRef]
- Giannelli, G.; Bergamini, C.; Fransvea, E.; Sgarra, C.; Antonaci, S. Laminin-5 with transforming growth factor-beta1 induces epithelial to mesenchymal transition in hepatocellular carcinoma. Gastroenterology 2005, 129, 1375–1383. [Google Scholar] [CrossRef]
- Yang, J.; Mani, S.A.; Donaher, J.L.; Ramaswamy, S.; Itzykson, R.A.; Come, C.; Savagner, P.; Gitelman, I.; Richardson, A.; Weinberg, R.A. Twist, a master regulator of morphogenesis, plays an essential role in tumor metastasis. Cell 2004, 117, 927–939. [Google Scholar] [CrossRef]
- Gerber, T.S.; Goeppert, B.; Hausen, A.; Witzel, H.R.; Bartsch, F.; Schindeldecker, M.; Gröger, L.-K.; Ridder, D.A.; Cahyadi, O.; Esposito, I.; et al. N-Cadherin Distinguishes Intrahepatic Cholangiocarcinoma from Liver Metastases of Ductal Adenocarcinoma of the Pancreas. Cancers 2022, 14, 3091. [Google Scholar] [CrossRef]








| E-cadherin | N-cadherin | ||||||||
|---|---|---|---|---|---|---|---|---|---|
| Category | Subcategory | Cases | Score † | H-Score † | High [%] | Score † | H-Score † | High [%] | Ki-67 † [%] |
| HCC | Metastases | 72 | 2.41 ± 0.72 | 123.04 ± 64.7 | 92.42 | 2.09 ± 0.85 | 80.96 ± 55.33 | 85.29 | 10.28 ± 13.08 |
| Vascular invasion | 32 | 2.59 ± 0.56 | 137.77 ± 59.75 | 96.67 | 2.32 ± 0.64 | 93.12 ± 47.49 | 93.55 | 13.71 ± 12.92 | |
| High grade | 94 | 2.48 ± 0.62 | 121.59 ± 49.89 | 95.56 | 2.3 ± 0.69 | 94.13 ± 46.98 | 90 | 14.68 ± 14.72 | |
| Intermediate grade | 396 | 2.55 ± 0.54 | 126.8 ± 46.61 | 96.67 | 2.41 ± 0.62 | 101.51 ± 46.63 | 93.57 | 7.33 ± 8.86 | |
| Low grade | 90 | 2.56 ± 0.55 | 134.26 ± 47.94 | 97.73 | 2.35 ± 0.66 | 102.02 ± 47.76 | 89.53 | 6.65 ± 8.63 | |
| HCC from HCA | 3 | 2.17 ± 0.29 | 56.65 ± 28.64 | 100 | 1.83 ± 1.04 | 42.24 ± 44.11 | 66.67 | n.a. | |
| Total patients | 570 | 2.55 ± 0.55 | 125.94 ± 46.48 | 96.4 | 2.38 ± 0.64 | 100.28 ± 47.3 | 92.64 | 8.73 ± 10.65 | |
| HCA | BHCA/BIHCA | 5 | 2.5 ± 0.47 | 100.6 ± 61.51 | 100 | 2.15 ± 1.02 | 43.09 ± 34.49 | 80 | n.a. |
| IHCA/HHCA/UHCA | 20 | 2.75 ± 0.35 | 109.84 ± 56.73 | 100 | 1.93 ± 0.74 | 38.19 ± 30.02 | 80 | n.a. | |
| Total patients | 25 | 2.7 ± 0.38 | 107.99 ± 56.5 | 100 | 1.97 ± 0.78 | 39.17 ± 30.26 | 80 | n.a. | |
| DN | 12 | 2.66 ± 0.42 | 142.59 ± 53.83 | 100 | 2.34 ± 0.56 | 110.56 ± 56.95 | 100 | 2.36 ± 2.23 | |
| FNH | 31 | 2.58 ± 0.45 | 96.12 ± 59.21 | 100 | 2.06 ± 0.65 | 60.83 ± 50.65 | 87.1 | 1.33 ± 1.1 | |
| Non-neoplastic Liver | Non-cirrhotic | 281 | 2.59 ± 0.47 | 123.02 ± 44.08 | 99.29 | 2.21 ± 0.58 | 89.92 ± 41.84 | 94.46 | 3.32 ± 4.72 |
| Cirrhotic | 359 | 2.51 ± 0.48 | 123.01 ± 37.94 | 98.24 | 2.11 ± 0.61 | 89.63 ± 39.25 | 90.64 | 8.25 ± 9.8 | |
| Total patients | 640 | 2.54 ± 0.48 | 123.01 ± 40.86 | 93.71 | 2.15 ± 0.59 | 89.76 ± 40.45 | 92.33 | 6.24 ± 8.49 | |
Publisher’s Note: MDPI stays neutral with regard to jurisdictional claims in published maps and institutional affiliations. |
© 2022 by the authors. Licensee MDPI, Basel, Switzerland. This article is an open access article distributed under the terms and conditions of the Creative Commons Attribution (CC BY) license (https://creativecommons.org/licenses/by/4.0/).
Share and Cite
Gerber, T.S.; Ridder, D.A.; Schindeldecker, M.; Weinmann, A.; Duret, D.; Breuhahn, K.; Galle, P.R.; Schirmacher, P.; Roth, W.; Lang, H.; et al. Constitutive Occurrence of E:N-cadherin Heterodimers in Adherens Junctions of Hepatocytes and Derived Tumors. Cells 2022, 11, 2507. https://doi.org/10.3390/cells11162507
Gerber TS, Ridder DA, Schindeldecker M, Weinmann A, Duret D, Breuhahn K, Galle PR, Schirmacher P, Roth W, Lang H, et al. Constitutive Occurrence of E:N-cadherin Heterodimers in Adherens Junctions of Hepatocytes and Derived Tumors. Cells. 2022; 11(16):2507. https://doi.org/10.3390/cells11162507
Chicago/Turabian StyleGerber, Tiemo Sven, Dirk Andreas Ridder, Mario Schindeldecker, Arndt Weinmann, Diane Duret, Kai Breuhahn, Peter R. Galle, Peter Schirmacher, Wilfried Roth, Hauke Lang, and et al. 2022. "Constitutive Occurrence of E:N-cadherin Heterodimers in Adherens Junctions of Hepatocytes and Derived Tumors" Cells 11, no. 16: 2507. https://doi.org/10.3390/cells11162507
APA StyleGerber, T. S., Ridder, D. A., Schindeldecker, M., Weinmann, A., Duret, D., Breuhahn, K., Galle, P. R., Schirmacher, P., Roth, W., Lang, H., & Straub, B. K. (2022). Constitutive Occurrence of E:N-cadherin Heterodimers in Adherens Junctions of Hepatocytes and Derived Tumors. Cells, 11(16), 2507. https://doi.org/10.3390/cells11162507

