Inhibition of TNF-α Restores Muscle Force, Inhibits Inflammation, and Reduces Apoptosis of Traumatized Skeletal Muscles
Abstract
:1. Introduction
2. Materials and Methods
2.1. Experimental Groups
2.2. Induction of Muscle Injury
2.3. Muscle Strength Measurement
2.4. Immunohistochemistry
2.5. Histology
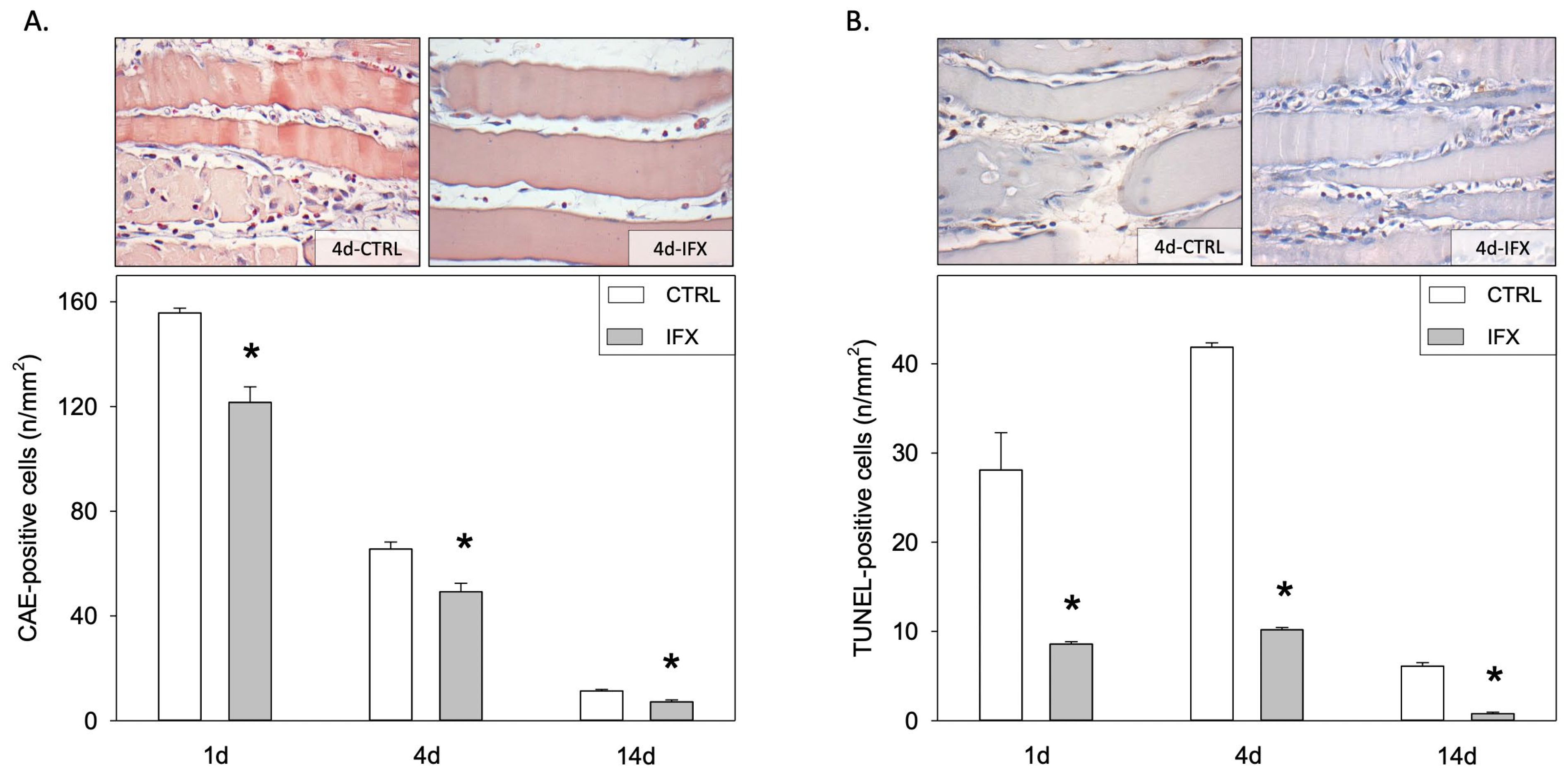
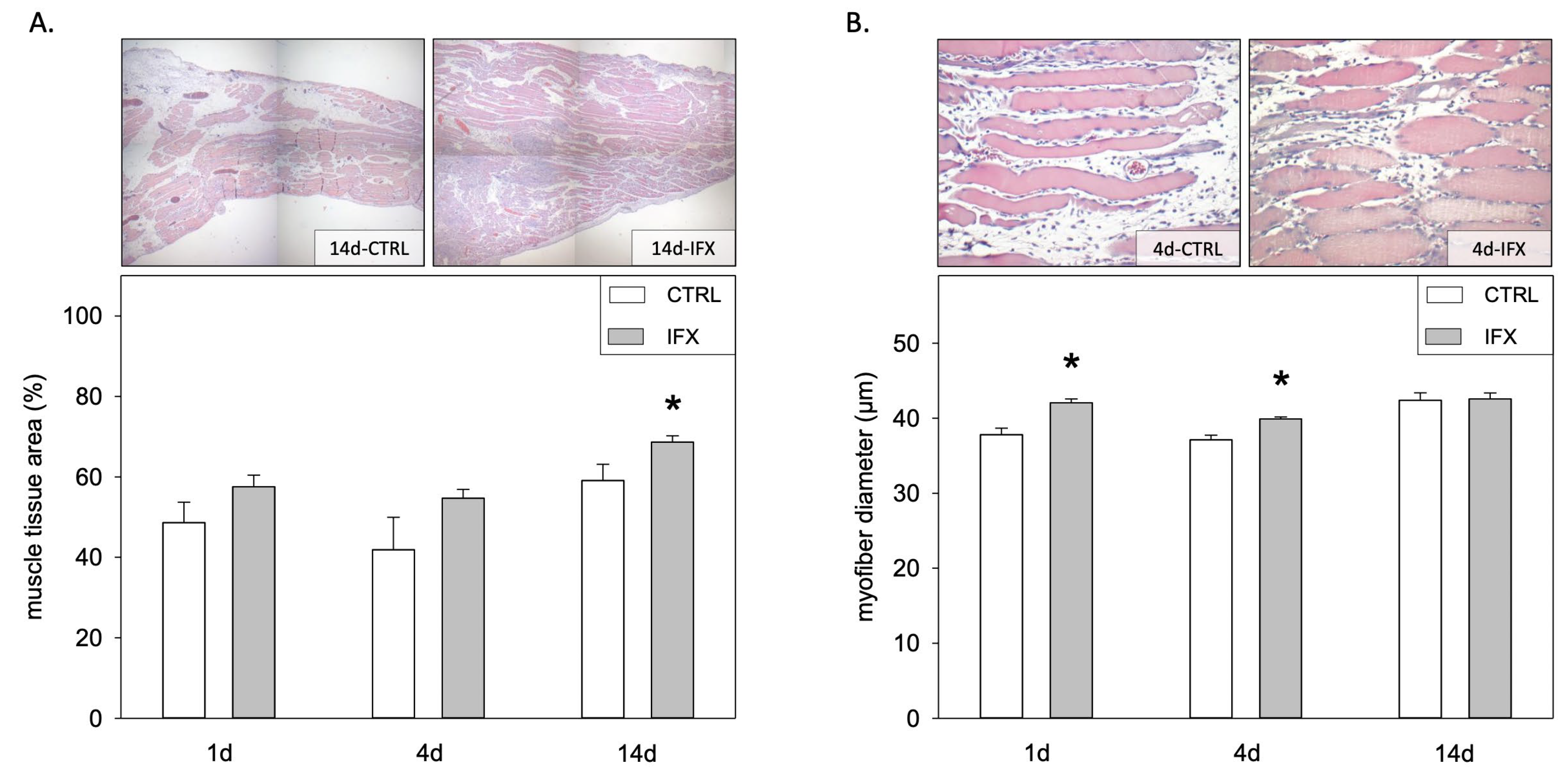
2.6. Quantification of the Histology and Immunohistochemistry
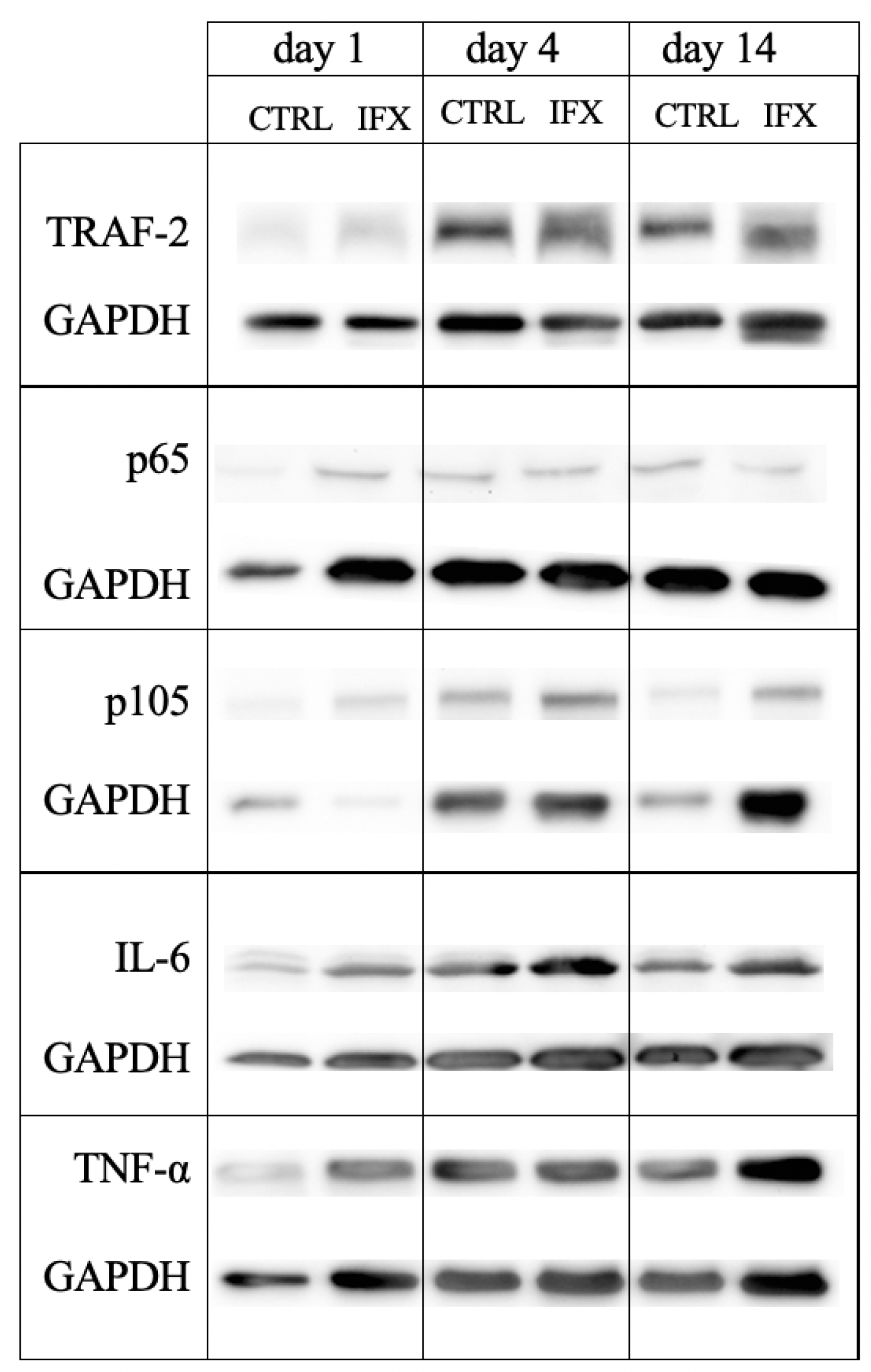
2.7. Western Blot Analysis
2.8. Statistical Analysis
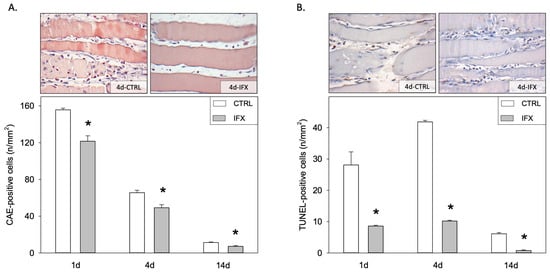
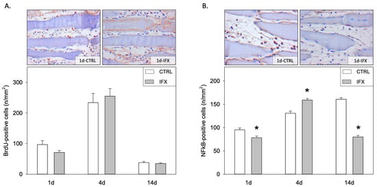
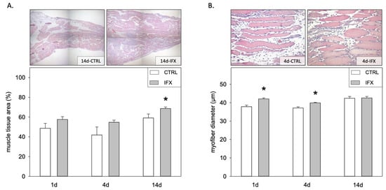
3. Results
4. Discussion
4.1. Methodological Considerations: Dose and Pharmacokinetics of Infliximab
4.2. The Control Group
4.3. Actions of TNF-α and Infliximab
Author Contributions
Funding
Institutional Review Board Statement
Informed Consent Statement
Data Availability Statement
Conflicts of Interest
References
- Jarvinen, T.A.; Jarvinen, M.; Kalimo, H. Regeneration of injured skeletal muscle after the injury. Muscles Ligaments Tendons J. 2013, 3, 337–345. [Google Scholar] [CrossRef] [Green Version]
- Thoma, A.; Lightfoot, A.P. NF-kB and Inflammatory Cytokine Signalling: Role in Skeletal Muscle Atrophy. Adv. Exp. Med. Biol. 2018, 1088, 267–279. [Google Scholar] [CrossRef]
- Sakuma, K.; Aoi, W.; Yamaguchi, A. Current understanding of sarcopenia: Possible candidates modulating muscle mass. Pflug. Arch. 2015, 467, 213–229. [Google Scholar] [CrossRef]
- Townsend, J.R.; Hoffman, J.R.; Fragala, M.S.; Jajtner, A.R.; Gonzalez, A.M.; Wells, A.J.; Mangine, G.T.; Fukuda, D.H.; Stout, J.R. TNF-alpha and TNFR1 responses to recovery therapies following acute resistance exercise. Front. Physiol. 2015, 6, 48. [Google Scholar] [CrossRef] [Green Version]
- Tian, Y.; Wang, T.S.; Bu, H.; Shao, G.; Zhang, W.; Zhang, L. Role of Exosomal miR-223 in Chronic Skeletal Muscle Inflammation. Orthop. Surg. 2022, 14, 644–651. [Google Scholar] [CrossRef] [PubMed]
- Beyfuss, K.; Hood, D.A. A systematic review of p53 regulation of oxidative stress in skeletal muscle. Redox Rep. 2018, 23, 100–117. [Google Scholar] [CrossRef] [PubMed] [Green Version]
- Howard, E.E.; Pasiakos, S.M.; Blesso, C.N.; Fussell, M.A.; Rodriguez, N.R. Divergent Roles of Inflammation in Skeletal Muscle Recovery From Injury. Front. Physiol. 2020, 11, 87. [Google Scholar] [CrossRef] [Green Version]
- Zhou, J.; Liu, B.; Liang, C.; Li, Y.; Song, Y.H. Cytokine Signaling in Skeletal Muscle Wasting. Trends Endocrinol. Metab. 2016, 27, 335–347. [Google Scholar] [CrossRef]
- Abubakar, S.D.; Ihim, S.A.; Farshchi, A.; Maleknia, S.; Abdullahi, H.; Sasaki, T.; Azizi, G. The role of TNF-alpha and anti-TNF-alpha agents in the immunopathogenesis and management of immune dysregulation in primary immunodeficiency diseases. Immunopharmacol. Immunotoxicol. 2022, 44, 147–156. [Google Scholar] [CrossRef] [PubMed]
- Richmond, V.; Michelini, F.M.; Bueno, C.A.; Alche, L.E.; Ramirez, J.A. Small Molecules as Anti-TNF Drugs. Curr. Med. Chem. 2015, 22, 2920–2942. [Google Scholar] [CrossRef]
- Stratos, I.; Graff, J.; Rotter, R.; Mittlmeier, T.; Vollmar, B. Open blunt crush injury of different severity determines nature and extent of local tissue regeneration and repair. J. Orthop. Res. Off. Publ. Orthop. Res. Soc. 2010, 28, 950–957. [Google Scholar] [CrossRef] [PubMed]
- Stratos, I.; Richter, N.; Rotter, R.; Li, Z.; Zechner, D.; Mittlmeier, T.; Vollmar, B. Melatonin restores muscle regeneration and enhances muscle function after crush injury in rats. J. Pineal Res. 2012, 52, 62–70. [Google Scholar] [CrossRef]
- Klotz, U.; Teml, A.; Schwab, M. Clinical pharmacokinetics and use of infliximab. Clin. Pharmacokinet. 2007, 46, 645–660. [Google Scholar] [CrossRef] [PubMed]
- Passot, C.; Mulleman, D.; Bejan-Angoulvant, T.; Aubourg, A.; Willot, S.; Lecomte, T.; Picon, L.; Goupille, P.; Paintaud, G.; Ternant, D. The underlying inflammatory chronic disease influences infliximab pharmacokinetics. MAbs 2016, 8, 1407–1416. [Google Scholar] [CrossRef] [Green Version]
- Araujo, E.P.; De Souza, C.T.; Ueno, M.; Cintra, D.E.; Bertolo, M.B.; Carvalheira, J.B.; Saad, M.J.; Velloso, L.A. Infliximab restores glucose homeostasis in an animal model of diet-induced obesity and diabetes. Endocrinology 2007, 148, 5991–5997. [Google Scholar] [CrossRef] [Green Version]
- Grounds, M.D.; Davies, M.; Torrisi, J.; Shavlakadze, T.; White, J.; Hodgetts, S. Silencing TNFalpha activity by using Remicade or Enbrel blocks inflammation in whole muscle grafts: An in vivo bioassay to assess the efficacy of anti-cytokine drugs in mice. Cell Tissue Res. 2005, 320, 509–515. [Google Scholar] [CrossRef]
- Dagdeviren, S.; Kandilci, H.B.; Uysal, B.; Zeybek, N.D.; Korkusuz, P.; Gumusel, B.; Korkusuz, F. Tumor necrosis factor-alpha antagonist administration recovers skeletal muscle dysfunction in ovariectomized rats. J. Orthop. Res. Off. Publ. Orthop. Res. Soc. 2011, 29, 275–280. [Google Scholar] [CrossRef]
- Regatieri, C.V.; Dreyfuss, J.L.; Melo, G.B.; Lavinsky, D.; Farah, M.E.; Nader, H.B. Dual role of intravitreous infliximab in experimental choroidal neovascularization: Effect on the expression of sulfated glycosaminoglycans. Investig. Ophthalmol. Vis. Sci. 2009, 50, 5487–5494. [Google Scholar] [CrossRef]
- Dalakas, M.C. Mechanistic effects of IVIg in neuroinflammatory diseases: Conclusions based on clinicopathologic correlations. J. Clin. Immunol. 2014, 34 (Suppl S1), S120–S126. [Google Scholar] [CrossRef] [PubMed]
- Gajdos, P.; Chevret, S.; Toyka, K.V. Intravenous immunoglobulin for myasthenia gravis. Cochrane Database Syst. Rev. 2012, 12, CD002277. [Google Scholar] [CrossRef] [PubMed]
- Smith, C.; Kruger, M.J.; Smith, R.M.; Myburgh, K.H. The inflammatory response to skeletal muscle injury: Illuminating complexities. Sports Med. 2008, 38, 947–969. [Google Scholar] [CrossRef] [PubMed]
- Webster, J.M.; Kempen, L.; Hardy, R.S.; Langen, R.C.J. Inflammation and Skeletal Muscle Wasting During Cachexia. Front. Physiol. 2020, 11, 597675. [Google Scholar] [CrossRef] [PubMed]
- Tisdale, M.J. Catabolic mediators of cancer cachexia. Curr. Opin. Support. Palliat. Care 2008, 2, 256–261. [Google Scholar] [CrossRef]
- Li, Y.P. TNF-alpha is a mitogen in skeletal muscle. Am. J. Physiol. Cell Physiol. 2003, 285, C370–C376. [Google Scholar] [CrossRef] [Green Version]
- Chen, S.E.; Jin, B.; Li, Y.P. TNF-alpha regulates myogenesis and muscle regeneration by activating p38 MAPK. Am. J. Physiol. Cell Physiol. 2007, 292, C1660–C1671. [Google Scholar] [CrossRef]
- Liu, T.; Zhang, L.; Joo, D.; Sun, S.C. NF-kappaB signaling in inflammation. Signal Transduct. Target Ther. 2017, 2, 17023. [Google Scholar] [CrossRef] [Green Version]
- Inoue, J.; Ishida, T.; Tsukamoto, N.; Kobayashi, N.; Naito, A.; Azuma, S.; Yamamoto, T. Tumor necrosis factor receptor-associated factor (TRAF) family: Adapter proteins that mediate cytokine signaling. Exp. Cell Res. 2000, 254, 14–24. [Google Scholar] [CrossRef]
- Wong, M.; Ziring, D.; Korin, Y.; Desai, S.; Kim, S.; Lin, J.; Gjertson, D.; Braun, J.; Reed, E.; Singh, R.R. TNFalpha blockade in human diseases: Mechanisms and future directions. Clin. Immunol. 2008, 126, 121–136. [Google Scholar] [CrossRef] [Green Version]
- Radley, H.G.; Davies, M.J.; Grounds, M.D. Reduced muscle necrosis and long-term benefits in dystrophic mdx mice after cV1q (blockade of TNF) treatment. Neuromuscul. Disord. 2008, 18, 227–238. [Google Scholar] [CrossRef] [PubMed]
- Piers, A.T.; Lavin, T.; Radley-Crabb, H.G.; Bakker, A.J.; Grounds, M.D.; Pinniger, G.J. Blockade of TNF in vivo using cV1q antibody reduces contractile dysfunction of skeletal muscle in response to eccentric exercise in dystrophic mdx and normal mice. Neuromuscul. Disord. 2011, 21, 132–141. [Google Scholar] [CrossRef] [PubMed]
- Kurt, G.; Cemil, B.; Borcek, A.O.; Borcek, P.; Akyurek, N.; Sepici, A.; Ceviker, N. Infliximab administration reduces neuronal apoptosis on the optic pathways in a rabbit hydrocephalus model: A preliminary report. Br. J. Neurosurg. 2010, 24, 275–279. [Google Scholar] [CrossRef] [PubMed]
- Chazaud, B. Inflammation and Skeletal Muscle Regeneration: Leave It to the Macrophages! Trends Immunol. 2020, 41, 481–492. [Google Scholar] [CrossRef] [PubMed]
- Zizzo, J. Muscle Atrophy Classification: The Need for a Pathway-Driven Approach. Curr. Pharm. Des. 2021, 27, 3012–3019. [Google Scholar] [CrossRef]
- Guo, Y.; Lu, N.; Bai, A. Clinical use and mechanisms of infliximab treatment on inflammatory bowel disease: A recent update. Biomed. Res. Int. 2013, 2013, 581631. [Google Scholar] [CrossRef] [Green Version]
- Straughn, A.R.; Hindi, S.M.; Xiong, G.; Kumar, A. Canonical NF-kappaB signaling regulates satellite stem cell homeostasis and function during regenerative myogenesis. J. Mol. Cell Biol. 2019, 11, 53–66. [Google Scholar] [CrossRef] [PubMed] [Green Version]
- Kakoulidou, M.; Bjelak, S.; Pirskanen, R.; Lefvert, A.K. A clinical and immunological study of a myasthenia gravis patient treated with infliximab. Acta Neurol. Scand. 2007, 115, 279–283. [Google Scholar] [CrossRef] [PubMed]
- Kotyla, P.J.; Owczarek, A.; Rakoczy, J.; Lewicki, M.; Kucharz, E.J.; Emery, P. Infliximab treatment increases left ventricular ejection fraction in patients with rheumatoid arthritis: Assessment of heart function by echocardiography, endothelin 1, interleukin 6, and NT-pro brain natriuretic peptide. J. Rheumatol. 2012, 39, 701–706. [Google Scholar] [CrossRef] [PubMed]
- Subramaniam, K.; Fallon, K.; Ruut, T.; Lane, D.; McKay, R.; Shadbolt, B.; Ang, S.; Cook, M.; Platten, J.; Pavli, P.; et al. Infliximab reverses inflammatory muscle wasting (sarcopenia) in Crohn’s disease. Aliment. Pharmacol. Ther. 2015, 41, 419–428. [Google Scholar] [CrossRef] [PubMed] [Green Version]
- Biferali, B.; Proietti, D.; Mozzetta, C.; Madaro, L. Fibro-Adipogenic Progenitors Cross-Talk in Skeletal Muscle: The Social Network. Front. Physiol. 2019, 10, 1074. [Google Scholar] [CrossRef] [PubMed]
- Lemos, D.R.; Babaeijandaghi, F.; Low, M.; Chang, C.K.; Lee, S.T.; Fiore, D.; Zhang, R.H.; Natarajan, A.; Nedospasov, S.A.; Rossi, F.M. Nilotinib reduces muscle fibrosis in chronic muscle injury by promoting TNF-mediated apoptosis of fibro/adipogenic progenitors. Nat. Med. 2015, 21, 786–794. [Google Scholar] [CrossRef] [PubMed]
- Marinkovic, M.; Fuoco, C.; Sacco, F.; Cerquone Perpetuini, A.; Giuliani, G.; Micarelli, E.; Pavlidou, T.; Petrilli, L.L.; Reggio, A.; Riccio, F.; et al. Fibro-adipogenic progenitors of dystrophic mice are insensitive to NOTCH regulation of adipogenesis. Life Sci. Alliance 2019, 2, e201900437. [Google Scholar] [CrossRef] [PubMed] [Green Version]
- Sciorati, C.; Gamberale, R.; Monno, A.; Citterio, L.; Lanzani, C.; De Lorenzo, R.; Ramirez, G.A.; Esposito, A.; Manunta, P.; Manfredi, A.A.; et al. Pharmacological blockade of TNFalpha prevents sarcopenia and prolongs survival in aging mice. Aging 2020, 12, 23497–23508. [Google Scholar] [CrossRef] [PubMed]
- Seki, K.; Taniguchi, Y.; Narusawa, M. Alterations in contractile properties of human skeletal muscle induced by joint immobilization. J. Physiol. 2001, 530, 521–532. [Google Scholar] [CrossRef]
- Nilwik, R.; Snijders, T.; Leenders, M.; Groen, B.B.; van Kranenburg, J.; Verdijk, L.B.; van Loon, L.J. The decline in skeletal muscle mass with aging is mainly attributed to a reduction in type II muscle fiber size. Exp. Gerontol. 2013, 48, 492–498. [Google Scholar] [CrossRef]
- Plomgaard, P.; Penkowa, M.; Pedersen, B.K. Fiber type specific expression of TNF-alpha, IL-6 and IL-18 in human skeletal muscles. Exerc. Immunol. Rev. 2005, 11, 53–63. [Google Scholar] [PubMed]





| Ratio of the Non-Injured (Right) Soleus Muscle Weight to Body Weight (mg/g) | Ratio of the Injured (Left) Soleus Muscle Weight to Body Weight (mg/g) | |||
|---|---|---|---|---|
| Day | CTRL | IFX | CTRL | IFX |
| 1 | 0.90 ± 0.02 | 0.91 ± 0.10 | 0.89 ± 0.04 | 0.88 ± 0.10 |
| 4 | 0.78 ± 0.02 | 0.78 ± 0.01 | 0.78 ± 0.02 | 0.77 ± 0.01 |
| 14 | 0.76 ± 0.03 | 0.83 ± 0.02 | 0.71 ± 0.01 | 0.80 ± 0.01 * |
| Ratio of IL-6 to GAPDH | Ratio of TNF-α to GAPDH | |||
|---|---|---|---|---|
| Day | CTRL | IFX | CTRL | IFX |
| 1 | 0.53 ± 0.25 | 0.46 ± 0.11 | 0.27 ± 0.11 | 0.38 ± 0.27 |
| 4 | 0.62 ± 0.16 | 0.46 ± 0.09 | 0.50 ± 0.12 | 0.12 ± 0.05 * |
| 14 | 0.35 ± 0.05 | 0.46 ± 0.10 | 0.16 ± 0.05 | 0.25 ± 0.15 |
| Ratio of TRAF-2 to GAPDH | Ratio of p105 to GAPDH | Ratio of p65 to GAPDH | ||||
|---|---|---|---|---|---|---|
| Day | CTRL | IFX | CTRL | IFX | CTRL | IFX |
| 1 | 0.24 ± 0.08 | 0.41 ± 0.15 | 0.13 ± 0.05 | 0.07 ± 0.01 | 0.13 ± 0.06 | 0.19 ± 0.12 |
| 4 | 1.02 ± 0.07 | 0.91 ± 0.38 | 0.13 ± 0.01 | 0.12 ± 0.04 | 0.05 ± 0.01 | 0.08 ± 0.02 |
| 14 | 1.33 ± 0.46 | 0.72 ± 0.19 | 0.10 ± 0.02 | 0.10 ± 0.02 | 0.08 ± 0.02 | 0.06 ± 0.01 |
Publisher’s Note: MDPI stays neutral with regard to jurisdictional claims in published maps and institutional affiliations. |
© 2022 by the authors. Licensee MDPI, Basel, Switzerland. This article is an open access article distributed under the terms and conditions of the Creative Commons Attribution (CC BY) license (https://creativecommons.org/licenses/by/4.0/).
Share and Cite
Stratos, I.; Behrendt, A.-K.; Anselm, C.; Gonzalez, A.; Mittlmeier, T.; Vollmar, B. Inhibition of TNF-α Restores Muscle Force, Inhibits Inflammation, and Reduces Apoptosis of Traumatized Skeletal Muscles. Cells 2022, 11, 2397. https://doi.org/10.3390/cells11152397
Stratos I, Behrendt A-K, Anselm C, Gonzalez A, Mittlmeier T, Vollmar B. Inhibition of TNF-α Restores Muscle Force, Inhibits Inflammation, and Reduces Apoptosis of Traumatized Skeletal Muscles. Cells. 2022; 11(15):2397. https://doi.org/10.3390/cells11152397
Chicago/Turabian StyleStratos, Ioannis, Ann-Kathrin Behrendt, Christian Anselm, Aldebarani Gonzalez, Thomas Mittlmeier, and Brigitte Vollmar. 2022. "Inhibition of TNF-α Restores Muscle Force, Inhibits Inflammation, and Reduces Apoptosis of Traumatized Skeletal Muscles" Cells 11, no. 15: 2397. https://doi.org/10.3390/cells11152397
APA StyleStratos, I., Behrendt, A.-K., Anselm, C., Gonzalez, A., Mittlmeier, T., & Vollmar, B. (2022). Inhibition of TNF-α Restores Muscle Force, Inhibits Inflammation, and Reduces Apoptosis of Traumatized Skeletal Muscles. Cells, 11(15), 2397. https://doi.org/10.3390/cells11152397

