Next Article in Journal
Agronomic and Nutritional Evaluation of INIA 910—Kumymarca Ryegrass (Lolium multiflorum Lam.): An Alternative for Sustainable Forage Production in Department of Amazonas (NW Peru)
Next Article in Special Issue
The Role of Ligninolytic Enzymes in Sustainable Agriculture: Applications and Challenges
Previous Article in Journal
Transfer of Cytoplasmic Male Sterility to the Female Parents of Heat- and Drought-Resilient Maize (Zea mays L.) Hybrids
Previous Article in Special Issue
Evaluation of Biochemical Methane Potential and Kinetics of Organic Waste Streams for Enhanced Biogas Production
 
 
Font Type:
Arial Georgia Verdana
Font Size:
Aa Aa Aa
Line Spacing:
Column Width:
Background:
Article

Efficient Hydrolysis of Sugar Beet Pulp Using Novel Enzyme Complexes

by
Maria I. Komarova
1,
Margarita V. Semenova
2,*,
Pavel V. Volkov
2,
Igor A. Shashkov
2,
Alexandra M. Rozhkova
2,
Ivan N. Zorov
1,2,*,
Sergei A. Kurzeev
1,
Aidar D. Satrutdinov
2,
Ekaterina A. Rubtsova
2 and
Arkady P. Sinitsyn
1,2
1
Department of Chemistry, Lomonosov Moscow State University, 119991 Moscow, Russia
2
Federal Research Centre ‘Fundamental of Biotechnology’ of the Russian Academy of Sciences (FRC Biotechnology RAS), 119071 Moscow, Russia
*
Authors to whom correspondence should be addressed.
Agronomy 2025, 15(1), 101; https://doi.org/10.3390/agronomy15010101
Submission received: 15 November 2024 / Revised: 25 December 2024 / Accepted: 28 December 2024 / Published: 1 January 2025

Abstract

Sugar beet pulp is a byproduct of white sugar production, and it is quite significant in terms of volume. Every year, tens of millions of tons of beet pulp are produced around the world. However, only a fraction of it is currently used, mainly as animal feed. The composition of beet pulp includes plant polysaccharides, such as cellulose, arabinan, and pectin. Through the process of enzymatic hydrolysis, these polysaccharides are converted into technical C6/C5 sugars, which can be further used as a substrate for the microbial synthesis of various substances, including biofuels, organic acids, and other green chemistry molecules. The current study was designed with a primary objective that focused on the development of a strain that had the potential for enhanced productivity and the capacity to produce enzymes suitable for beet pulp hydrolysis. The pelA and abfA genes, which encode pectin lyase and arabinofuranosidase, respectively, in the fungus Penicillium canescens (VKPM F-178), were cloned and successfully expressed in the recipient strain Penicillium verruculosum B1-537 (VKPM F-3972D). New recombinant strains were created using the expression system of the mycelial fungus P. verruculosum B1-537, which is capable of simultaneously producing pectin lyase and arabinofuranosidase, as well as homologous cellulases. The screening of strains for increased enzymatic activity towards citrus pectin, sugar beet branched arabinan, and microcrystalline cellulose revealed that a B4 clone of P. verruculosum exhibited the greatest potential in sugar beet pulp cake hydrolysis. This clone was selected as the basis for the creation of a new enzyme preparation with enhanced pectin lyase, arabinase, and cellulase activities. The component composition of the enzyme preparation was determined, and the results indicated that the enzyme content comprised approximately 11% pectin lyase, 40% arabinofuranosidase, and 40% cellulases. The primary products of the enzymatic hydrolysis of the unpretreated beet pulp cake were arabinose and glucose. The degree of arabinan and cellulose conversion was observed to be up to 50% and 80%, respectively, after a period of 48 to 72 h of hydrolysis. The new B4 preparation was observed to be highly efficacious in the hydrolysis of beet cake at elevated concentrations of solids (up to 300 g/L) within the reaction mixture. The newly developed strain, as a producer of pectin lyase, arabinofuranosidase, and cellulase complexes, has the potential to be utilized for the bioconversion of sugar beet processing wastes and for the efficient generation of highly concentrated solutions of technical sugars for further implementation in processes of microbial synthesis.

1. Introduction

Sugar beet is a primary agricultural product utilized in the production of white sugar on a global scale. According to data from the Food and Agriculture Organization (FAO), sugar beet (Beta vulgaris) provides about 16 percent of the world’s sugar production [1]. Global sugar beet production has remained at a level of 250–300 million tons over the past decade [2]. In Russia, the country with the largest production of sugar beets, the volume of sugar beet processing reached 47.62 million tons in 2023, with 6.63 million tons of sucrose produced. Furthermore, 1.95 million tons of beet dried granulated pulp and 1.81 million tons of molasses were produced [3]. The remaining sugar beet pulp is transported to agricultural facilities, where it is utilized as animal feed or processed into raw materials for the generation of biogas [4,5]. However, the majority of sugar beet pulp cake (BPC), approximately 8 million tons on an annual basis, remains unused waste. A distinctive feature of beet pulp is the high availability of constituent polysaccharides for enzymatic hydrolysis, which is a notable advantage in comparison to other biomass sources. In contrast to other plant materials derived from agriculture or forestry, such as straw and sawdust, sugar beet pulp does not necessitate pre-treatment at elevated temperatures or the use of diverse chemical agents. Therefore, the use of sugar production waste after enzymatic hydrolysis as a source of industrial sugars will facilitate the transition to a renewable economy with a reduced environmental impact. The technical sugars (principally glucose and arabinose) that are obtained by means of the enzymatic saccharification of BPC polysaccharides can be employed as a carbon source in the microbiological synthesis of sugar derivatives, alcohols, amino acids, and other value-added compounds [4,6,7].
The hydrolysis process of BPC is effective when a complex of enzymes is employed that has been selected on the basis of an in-depth understanding of the distinctive characteristics of the polysaccharide substrate structure. The primary components of the sugar beet cell wall are cellulose, pectin, and hemicellulose (mainly arabinan), with an average content of 27% and 21%, respectively [8,9]. Consequently, the enzymatic hydrolysis of BPC requires the use of a multi-enzyme complex that combines cellulases, pectinases, and arabinases in an optimized ratio.
Earlier studies have demonstrated the feasibility of utilizing BPC polysaccharides for the production of pectin, arabinan, oligosaccharides, and monosaccharides through hydrolysis [4,6,9,10,11,12]. The study [13] explored the process of BPC hydrolysis through the utilization of commercially available enzyme preparations (EPs), namely, cellulases and pectinases. The findings demonstrated that pectinases, which are essential in the removal of pectin from the surface of cellulose fibers, play a pivotal role in BPC hydrolysis. In order to examine the effects of pectinases and cellulases on BPC hydrolysis, studies were conducted using commercial preparations of pectinases or a mixture of pectinases and cellulases. The substrate concentration was maintained at 6–10% of the dry matter, with the hydrolysis lasting for several days [6,9,12].
In previous studies, the properties of pectin lyase (PelA) and α-L-arabinofuranosidase (AbfA) in the mycelial fungus Penicillium canescens (VKPM F-178) were investigated [14,15]. The findings revealed that these enzymes displayed high activity towards citrus pectin and beet arabinan, respectively. Moreover, the composition of the enzyme complex was determined, which enabled the maximum depth of hydrolysis of hemicellulose fibers of BPC to be achieved [16,17]. However, the secretion ability of P. canescens achieves no more than 15 g of total secreted protein per 1 L of culture fluid (CF), which means that the use of this fungus in the microbiological industry as a producer of technical enzymes cannot be economically justified. Additionally, the secreted enzyme complex of P. canescens is devoid of cellulases, which precludes the complete degradation of cellulose as a component of the BPC.
The strain of mycelial fungus P. verruculosum B1-537 (VKM F-3972D) secretes up to 60 g/L of total protein, which allows it to serve as a platform for the production of various technical and food enzymes and enzyme complexes [18,19]. The secreted complex of P. verruculosum B1-537 is notable for the presence of a primary cellulolytic enzyme complex, comprising cellobiohydrolases I and II (CBH), endo-1,4-β-glucanases (EG), and β-glucosidase (BGL). This complex enables the efficient hydrolysis of cellulose within the plant cell wall [20].
The objective of this study was to develop effective enzyme preparations for BPC hydrolysis using the expression platform of P. verruculosum B1-537. Subsequently, the biochemical and hydrolytic properties of these preparations were subjected to analysis, and the process of BPC hydrolysis was examined at progressively elevated substrate concentrations.

2. Materials and Methods

2.1. Strains of Microorganisms

The recipient strain of the mycelial fungus P. verruculosum B1-537 (F-3972D, All-Russian collection of microorganisms, Puschino, Russia), which is defective in the niaD gene encoding intact nitrate reductase, was used in this study. A strain of mycelial fungus P. canescens (F-178, All-Russian collection of industrial microorganisms, Moscow, Russia) was employed as a source of the pelA and abfA genes, which encode pectin lyase A and arabinofuranosidase, respectively. Escherichia coli Mach1™ T1® competent cells (Thermo Fisher Scientific Inc., Waltman, MA, USA) were used for the propagation of DNA after PCR.

2.2. Chemicals, Substrates, and Enzyme Preparations

The laboratory enzyme preparations (EPs) derived from P. verruculosum B537 strain (a cellulase producer) [20] and P. verruculosum B4 (obtained in this work) were used. BPC with a solid content of 96% (Agrin LLC, Moscow region, Russia) was used in this study. No pretreatment procedures were applied to the BPC samples. The substrates employed for the enzymatic activity assaying were citrus pectin with a degree of esterification of approximately 70%, sodium salt of carboxymethylcellulose (CMC), and beech xylan. Other substrates used included p-nitrophenyl-α-L-arabinofuranoside (pNPhA), p-nitrophenyl-β-glucopyranoside (pNPG) from Sigma-Aldrich (St. Louis, MO, USA), branched beet arabinan obtained from Megazyme (Ireland), and microcrystalline cellulose (MCC 112, TU 20.16.59-001-40693384-209) provided by Kristacell LLC, St.-Petersburg, Russia).
Reagents from Bio-Rad Laboratories (Hercules, CA, USA), Panreac (Barcelona, Spain), Helicon and Reachim (Moscow, Russia) were used for the preparation of buffer mixtures and salt solutions.

2.3. Determination of Enzymatic Activities and Protein Concentration

The quantity of enzyme that catalyzes the formation of one micromole of product per one minute (at pH 5.0 and 50 °C) was designated as one unit of enzymatic activity.
The avicelase activity was determined by analyzing the reducing sugars released after a 60 min enzyme reaction with 5 mg/mL MCC at pH 5.0 (0.05 M Na–acetate buffer) and 40 °C. CMC-ase and xylanase activities were evaluated using carboxy methylcellulose (CMC) and beechwood xylan (Sigma, St. Louis, MO, USA) as substrates at pH 5.0 and 50 °C, with a substrate concentration of 5 mg/mL. The analysis of reducing sugars was performed using the Nelson–Somogyi method. The BGL and AbfA activities were evaluated at 40 °C in 50 mM sodium acetate buffer, pH 5.0, through the use of 0.5 mM p-nitrophenyl β-D-glucopyranoside and p-nitrophenyl-α-L-arabinofuranoside (pNPhG and pNPhA) as a substrate. The reaction was terminated by the addition of 0.25 M Na2CO3 after 10 min of incubation. The quantity of p-nitrophenol released was determined at 400 nm using its extinction coefficient of 18,300 M⁻1 cm⁻1 [21]. The activity towards pectin was determined by monitoring the change in optical density at 232 nm, which served as an indicator of the accumulation of a 4,5-unsaturated product resulting from pectin trans-elimination [22]. The activity of the enzyme towards arabinan, MCC, CMC, and xylan was determined by measuring the accumulation rate of reducing sugars (RSs) using the Nelson–Somogyi method [23]. Enzymatic reactions were conducted for 10 min (60 min in the case of MCC) at pH 5.0 (0.05 M Na–acetate buffer) and 50 °C with a substrate concentration of 0.5%. CMCase, xylanase, avicelase, and arabinase activities were expressed in international units. One unit of activity corresponded to the quantity of enzyme that released 1 μmol of RS (in glucose equivalents) per minute.
The activity of the enzyme towards pNPhG and pNPhA was determined by the photometric detection of p-nitrophenyl release. Enzymatic reactions were conducted for 10 min at pH 5.0 (0.05 M Na–acetate buffer) and 50 °C with a substrate concentration of 1 mM. One unit of activity was the amount of enzyme that liberated 1 μmol of p-nitrophenol per minute [21].
The activity towards citrus pectin was determined by monitoring the change in optical density at 232 nm, which served as an indicator of the accumulation of a 4,5-unsaturated product resulting from pectin trans-elimination [22]. Enzyme activity was assayed for 10 min at pH 5.0 (0.05 M Na–acetate buffer) and 50 °C using a substrate concentration of 0.25% in the reaction mixture. One unit of activity was the amount of enzyme that liberated 1 μmol of unsaturated product per minute.
The protein content of EP was determined by the Lowry method, with bovine serum albumin (BSA) being employed as the standard [24].
All experiments and measurements were performed in triplicate. The quantitative results of the enzyme activity measurements were analyzed using STATISTICA v. 6.1 software (StatSoft Inc., Tulsa, OK, USA).

2.4. Chromatographic Resins and Systems Used

The following chromatographic media were employed for the desalting and separation of target proteins from crude EP: for gel filtration, Bio Gel P4 (Bio-Rad Laboratories, USA) and for medium-pressure anion-exchange chromatography, Source 15Q (GE Healthcare, Danderyd, Sweden). To obtain proteins in a homogeneous state, the AKTA Purifier medium-pressure chromatographic system (GE Healthcare, Sweden) was used.
The determination of beet pulp cake hydrolysis products was performed using an Agilent 1200 HPLC system (Agilent Technologies, Santa Clara, CA, USA) equipped with a binary pump and an electrochemical detector operating in pulsed-amperometry mode. The sugars were separated using a Carbopac PA20 column (3 × 150 mm) (Thermo Scientific, Waltham, MA, USA) with an appropriate precolumn. The mobile phase was maintained in a solution of 7.5 mM NaOH for 5 min and then was increased in concentration up to 100 mM over a period of 20 min.

2.5. Cloning of the pelA and abfA Genes

The amplification of pelA and abfA genes was performed using fresh genomic DNA isolated according to the manufacturer’s protocol using the DNEasy Plant Kit (QIAGEN, Valencia, CA, USA) after 5 days of cultivation on the medium (g/L): soybean hulls—45, corn extract—50, KH2PO4—15. Phanta Super-Fidelity DNA Polymerase (Vazyme, Nanjing, China) was used in the PCR reaction. Primary denaturation was carried out at 95 °C for 5 min, followed by denaturation in one cycle at 95 °C (for 30 s), annealing at 52 °C (30 s), elongation at 72 °C (25 s) per 1 bp depending on the length of the gene polynucleotide sequence, for 30 cycles. The C1000 thermal cycler (Bio-Rad Laboratories, USA) was used for the PCR protocol.
The isolation of PCR products from the agarose gel was performed using the Cleanup Mini Kit (Evrogen, Moscow, Russia) according to the manufacturer’s protocol. The PCR fragments were then treated with T4 DNA polymerase with 3′-5′ exonuclease activity to obtain sticky ends complementary to the previously prepared pUC-CBH1 vector containing the homology regions—the promoter and terminator regions—of the gene encoding P. verruculosum cellobiohydrolase I. Cloning was performed by mixing the above vector and PCR-treated fragments in a 1:3 ratio, incubating for 20 min at 20 °C, and further transforming competent E. coli cells with the resulting mixture. Bacterial colonies capable of growing on ampicillin and replicating the target plasmids were obtained.
Plasmid DNA isolation from E. coli Mach1™ T1® cells was performed using the Plasmid Miniprep Kit (Evrogen, Moscow, Russia) according to the manufacturer’s protocol. The absence of additional mutations, deletions, or insertions in the pelA и abfA genes was confirmed by sequencing in both directions according to Sanger et al. [25].

2.6. Preparation of Protoplasts and Transformation of the Recipient Strain

The transformation of the recipient strain of the P. verruculosum B1-537 fungus were carried out according to the method described in Ref. [26]. P. verruculosum B1-537 with a defect in the nitrate reductase gene (niaD), which was unable to metabolize nitrate nitrogen, was used as the recipient strain. The protoplasts for transformation were prepared as follows. The buffers used to obtain protoplasts or for transformation were sterilized by autoclaving at 0.5 atm for 30 min. Polyethylene glycol (PEG) buffer was sterilized by boiling in a water bath for 20 min.
The strain was inoculated by washing spores from a Petri dish into 100 mL of minimal medium (1.5 g/L KH2PO4, 0.5 g/L KCl, 0.5 g/L MgSO4×7H2O, 10 g/L glucose 1%, 50 mL/L trace element solution, 10 mM NH4CI). The cells were incubated in flasks for 12–14 h at 30 °C and 200–250 rpm. The grown mycelia were passed through a glass filter, resuspended in lysis buffer (pH 5.6–5.8) containing 15 mg/mL T. harzianum lysing enzyme preparation (Sigma-Aldrich) and 2.5 mg/mL BSA, and incubated for 2–3 h at 30 °C and 200 rpm. The hydrolysate obtained was transferred to a sterile centrifuge tube, layered with ST buffer with a sorbitol concentration of 0.6 M, and centrifuged, and a layer of protoplasts at the interface was picked and redissolved in buffer with a sorbitol concentration of 1.2 M (SCT).
The number of protoplasts obtained was measured with a Goryaev chamber using the following equation:
The number of protoplasts in 1 mL = X × 4 × 106,
where X is the number of protoplasts in a small cell of a Goryaev chamber.
Then, 3 × 107 protoplasts dissolved in 200 μL SCT buffer (1.2 M sorbitol, 10 mM Tris-HCl, 10 mM CaCl2, pH 7.5), 10 and 1 μg of target and cotransformation DNA (plasmid pSTA10 containing the nitrate reductase gene [27]), respectively, and 50 μL PCT buffer (50% PEG-4000, 10 mM Tris-HCl, 10 mM CaCl2, pH 7.5) were used for each transformation point. The mixture was incubated for 20 min on ice. Then, 500 µL of PCT buffer was added, incubated for 5 min at room temperature, and redissolved in 200 µL of 1.2 M sorbitol buffer.
Petri dishes with ‘bottom agar’ and test tubes with ‘top agar’ were used for seeding. The upper agar consisted of Agar–agar (0.7%), 1.2 M sorbitol, glucose (0.8%), and NaNO3 as a nitrogen source (selective medium) or NH4Cl (non-selective medium). The composition of the bottom agar differed by 2% agar concentration. The transformation mixture was added to tubes containing the top agar, previously melted in a water bath. The mixture was seeded on selective medium. As a control, protoplasts without exogenous DNA were seeded on selective and non-selective media. Petri dishes containing transformants and controls were placed in a thermostat at 30 °C for 5 days.

2.7. Primary Screening of Recombinant Strains in Flasks

Cultivation for the subsequent selection of the most successful transformants was carried out in 750 mL Erlenmeyer flasks in 100 mL fermentation medium with the following composition (g/L): KH2PO4, 10; K2HPO4, 1; (NH4)2SO4, 5; MgSO4×7H2O, 0.3; CaCl2·2H2O, 0.3; yeast extract, 10; cellulose (MCC 112), 40; and wheat bran, 10. After culturing for 144 h on a rocker at 220 rpm and 30 °C, the culture fluid was separated from the mycelium by centrifugation for 10 min at 10,000× g. The level of secreted target protein accumulation in the culture fluid samples was determined by SDS-PAAG electrophoresis.

2.8. Strain Cultivation in 3 L Fermenter

Cultivation was carried out in 3 L fermenters (Prointex, Russia) for 144 h. The medium composition was as follows (g/L): KH2PO4—7; (NH4)2SO4—5; CaCl2·2H2O—0.3; yeast extract—10; cellulose (MCC 112)—60; and wheat bran—10. This medium was sterilized at 121 °C (1 atm) for 1 h. The glucose solution (40 g in 100 mL of water) was sterilized by separate autoclaving at 0.5 atm for 30 min. The fermenter containing 700 mL of medium was inoculated with 100 mL of inoculum under sterile conditions.
Cultivation was carried out under the following conditions: air flow of 0.4 L/(min·L (culture medium)), 32 °C, a lower limit of pO2 of 30%, an initial stirrer speed of 300 rpm (during fermentation, the speed was automatically adjusted according to the values of the pO2 sensor), the pH of the medium not being lower than 4.5, and retitration carried out with 10% ammonia or 5% H2SO4 solutions. After 48 h of cultivation, the fermenter was replenished with 25 mL of 50% glucose solution every 8–12 h. Microcrystalline cellulose suspension (2.1 g per 25 mL of water) was added to the fermenter at 72, 96, and 120 h of cultivation.
The contents of the fermenter were transferred to centrifuge containers at the end of fermentation and centrifuged at 4000 rpm for 1 h in an Avanti J-26S centrifuge (Beckman, Brea, CA, USA). The supernatant obtained was microfiltered with a Millipore TFF Pellicon 2 system and used for spray drying with a B290 Buchi mini spray dryer (Buchi Labortechnik, Flawil, Switzerland).

2.9. Enzymatic Hydrolysis of BPC

The enzymatic hydrolysis of BPC was carried out under the action of the culture broth of recombinant strains under the following conditions: substrate concentration, 100 g/L; CF dosage, 0.1 mL/g substrate or 10 mL CF/L in the reaction mixture. During the hydrolysis of BPC in the presence of dry enzyme preparations, the substrate concentration was 100, 200, or 300 g/L, and the dosage of EPs obtained in the work was 0.001–0.03 g FP/g substrate or 0.1–3% of the dry weight of the substrate (wt%). The hydrolysis process was conducted in 50 mL plastic tubes (20 mL of the reaction mixture) in a shaker (Innova 40R, Eppendorf Inc., Framingham, MA, USA). The process was carried out over a duration of 48 h in the presence of 0.1 g/L ampicillin antibiotic (Belmedpreparaty, Minsk, Republic of Belarus) within a 0.1 M sodium acetate buffer solution with a pH of 5.0 at a temperature of 50 °C, with constant agitation at 150 RPM. The experiment was carried out in triplicate.
At certain time intervals after the beginning of the enzymatic reaction, aliquots (0.3 mL) were taken and centrifuged for 5 min at 14,000 rpm, the concentration of BC was determined by the Nelson–Somogyi method, and the composition of low-molecular-weight sugars was determined using the Agilent 1200 HPLC-PAD system (Agilent Inc., Santa Clara, CA, USA) with a CarboPac PA20 column (3 × 150 mm) (ThermoScientific, Waltham, MA, USA). The eluent used was 7.5 mM NaOH at an elution rate of 0.3 mL/min for 5 min, followed by a gradient to 100 mM in 20 min; the analyzed sample volumes were in the range of 1–5 μL. Rhamnose, xylose, arabinose, fructose, galactose, glucose, sucrose, cellobiose, galacturonic acid, and raffinose solutions were used as standards. The results of BPC hydrolysis were presented in the form of changes over time in the concentration of not only individual sugars, but also RS, since, during the hydrolysis of pectin by the endo-enzyme PelA, large oligosaccharides were formed that were not detected chromatographically.

2.10. A Study on the Compositional Characteristics of Enzyme Preparations

The fractionation of the EPs was performed using the Source 15Q anion-exchange resin following precipitation with (NH4)SO4, with further desalting with the BioGel P6 column. The desalted crude EP (10 mg protein) was loaded onto a Source 15Q column (volume 1 mL) equilibrated with 20 mM bis-tris-HCl buffer with pH 6.8. The proteins bound to the column were eluted in a linear NaCl gradient (from 0 to 0.4 M) at a flow rate of 1 mL/min. The obtained protein fractions were desalted on a Bio Gel P4 column. The activity of each protein fraction for a number of substrates was determined, as well as the protein content. SDS-PAGE was performed for each protein fraction obtained. The component composition of each fraction was identified on the basis of the specific activities and the mass-spectrometric data of the corresponding protein bands extracted from the gel [28].
Proteins with a purity greater than 90% in the corresponding fractions, as determined by SDS-PAGE and following MALDI-TOF MS, were identified as individual enzymes. The concentration of these enzymes in the initial crude multienzyme preparation was calculated as the ratio of the protein content in the respective fraction to the total protein content in all obtained fractions. Some protein fractions exhibited purity levels below 90%, as determined by SDS-PAGE. In this case, the weighted densitometry method was used. The initial estimation of the enzyme fraction was based on the intensity of its band on the electrophoretic gel. Subsequently, the protein content of the fraction was determined, and thus the content in the initial preparation was calculated in terms of its protein content.

2.11. Mass-Spectrometric Protein Identification

For the purpose of identifying the enzyme, pieces of protein bands, 1 × 1 mm in size, were excised from the electrophoretic gel and subjected to tryptic digestion in accordance with the established protocol [28], and the resulting peptide mixture was analyzed by MALDI-TOF mass spectrometry (MS) using an UltrafleXtreme MALDI-TOF/TOF mass spectrometer (Bruker Daltonik GmbH, Bremen, Germany). For the identification of peptides and proteins from mass spectrometry data, the online MASCOT service was used (http://www.matrixscience.com/, accessed on 1 January 1998).

3. Results

3.1. Specific Gene Isolation and Expression

Primers for the amplification of the pelA and abfA genes (5′–3′ orientation) were designed and synthesized as follows:
  • pelA pGA-PelA-LIC5:caa-cac-agc-cgg-cat-cat-gaa-gtt-cac-tgc-att-gat-tg and pGA-PelA-LIC3:gag-gag-aag-ccc-ggt-tac-agc-tta-ccc-tgg-cca-gcg-t.
  • abfA pCBH1-AbfA-LIC5:caa-aca-gaa-gca-acc-gac-aca-atg-tta-gcg-gaa-tat-ctt-ctt-ctg-cc and pCBH1-AbfA-LIC3:gag-gag-aag-ccc-ggt-cta-gtt-agt-cgt-aag-cac-agc-aac.
The amplification and isolation of fusion fragments of 1326 bp (pelA) and 2306 bp (abfA) were performed using P. canescens genomic DNA as a matrix and specific primer pairs. The sequences of pelA and abfA are provided in the Supplementary S1.
The plasmid constructs pUC-CBHI-PelA and pUC-CBHI-AβϕA, shown in Figure 1, were obtained using the ligase-free cloning technique described in the Materials and Methods section. The plasmids pCBHI-PelA and pCBHI-AbfA, which were obtained, were then used to transform the P. verruculosum B1-537 recipient strain. This was carried out in conjunction with the co-transforming plasmid pSTA10, which is responsible for ensuring the complementation of the niaD gene and the restoration of prototrophy in the B1-537 recipient strain.

3.2. Primary Screening of the Transformants Obtained

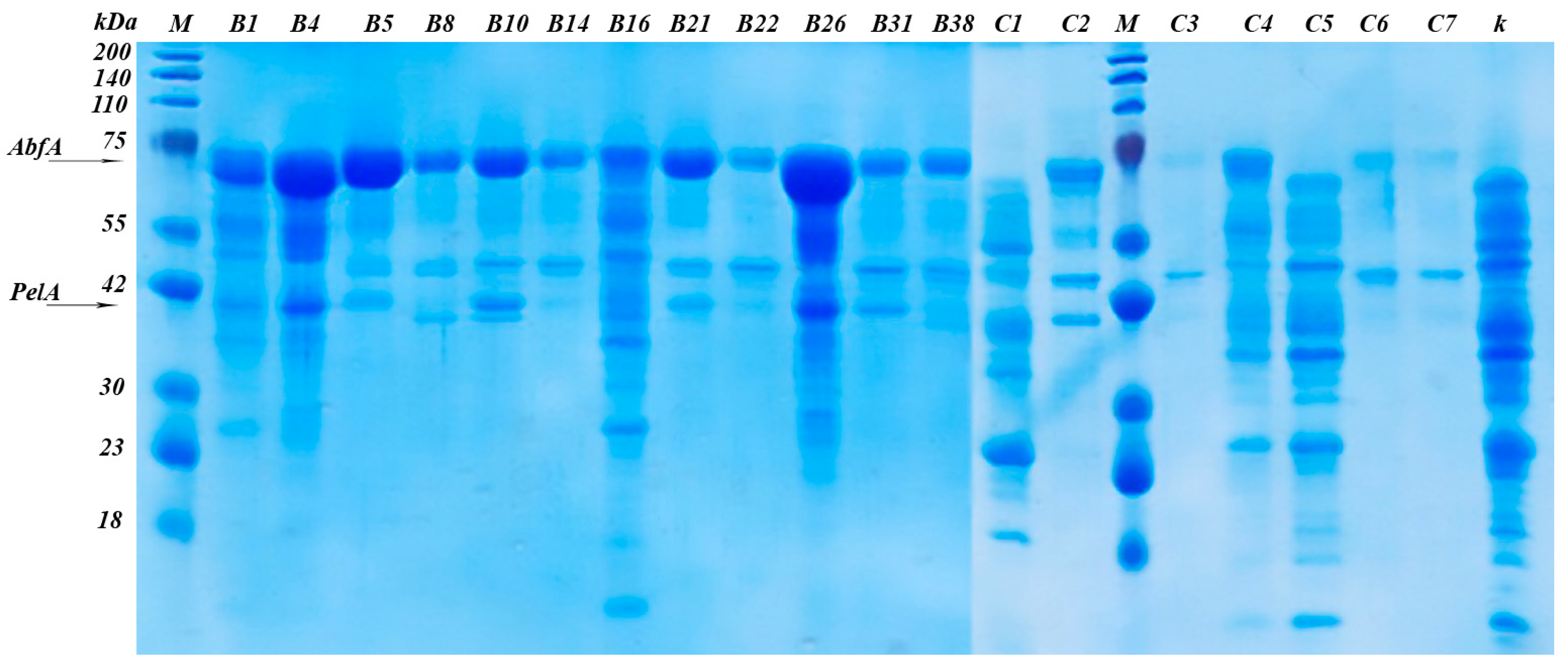
Following reseeding, recombinant clones were cultivated, submerged in Erlenmeyer flasks containing 100 mL of medium. The protein composition of the resulting cultural fluids (CFs) was analyzed by SDS-PAGE (Figure 2). As can be observed, bands corresponding to AbfA (70 kDa) and PelA (39 kDa) were identified in the majority of samples, which is consistent with the data reported in the literature [6,7].
Protein concentration and activity towards a number of substrates were determined in the obtained CFs (see Supplementary S2). The CFs of the B1, B4, B10, B16, B21, B26, B31, C2, and C5 transformants showed substantial pectin lyase activity (0.3–4.3 units/mL), which was consistent with the presence of the 39 kDa band observed in the corresponding electropherogram lanes. The CFs of the B1, B4, B5, B8, B10, B16, B21, B26, and B38 transformants showed activity towards pNPhA (1–30 units/mL) and arabinan (2–52 units/mL), as evidenced by the presence of a 70 kDa band on the corresponding electropherograms. It is also noteworthy that the CFs of the transformants exhibited targeted activities while retaining their own cellulase complex and showed high activities towards MCC, CMC, and xylan, as observed for the clones B1, B4, B16, and B26.
The enzymatic hydrolysis of BPC is carried out by the action of the culture fluids of transformants. The concentration values of reducing sugars and the quantitative composition of low-molecular-weight products (sugars) in the supernatant after 48 h of beet pulp hydrolysis, obtained using the culture fluids of selected transformants, are presented in Supplementary S2.
The highest concentration of RS was determined in the hydrolysates by the B4 and B26 transformants (35–36 g/L), and the concentration of both glucose (approximately 11 g/L) and arabinose (approximately 14 g/L) was simultaneously elevated. The B10, B21, and B31 transformants were notable for their high arabinose content (approximately 15 g/L) and relatively low glucose content (0.4–1.5 g/L).
The B4 transformant was selected for further cultivation in a 3 L fermenter on the basis of the above data. The CF of the selected clone displayed optimal activity ratios to pectin (2.6 units/mL), pNPhA (30.2 units/mL), arabinan (46.4 units/mL), MCC (0.67 units/mL), CMC (11.5 units/mL), and xylan (18.2 units/mL), thereby providing the efficient hydrolysis of BPC up to 36 g/L of RS, with a high yield of glucose (11 g/L) and arabinose (14 g/L), simultaneously. The protein concentration in the resulting culture fluid was determined as 8.6 mg/mL.
The trypsin hydrolysates of protein bands that were clearly visible in the electropherogram (Figure 2) in the 70 kDa and 40 kDa region and were absent in the control recipient strain were subjected to MALDI-TOF MS analysis [29]. This analysis identified the bands as AbfA and PelA of P. canescens, respectively (Figure 3), for the B4 transformant.

3.3. The Production of Enzyme Preparation in a Dry Form

The selected B4 transformant was cultivated in a 3-liter fermenter. Table 1 presents the dynamics of the accumulation of total protein and different types of activities. It can be observed that an increase in pectin lyase activity was noted up to 96 h, after which this activity was remained almost unchanged. The arabinase activity exhibited an increase up to 120 h of cultivation. An increase in protein concentration and cellulase activity was observed up to 144 h. Subsequently, following a period of 144 h, the CF was centrifuged, and the supernatant was spray-dried.

3.4. Substrate Specificity and Enzyme Composition of the Enzyme Preparations Obtained

The comparative characterization data of the B4 enzyme preparation in relation to the B1-537 derived from the recipient strain and used as a control are presented in Table 2. The EP derived from B4 demonstrated a markedly elevated level of activity towards arabinan (8800 units/g), which is 46 times higher than that observed for the B1-537 EP control. The pNPhA activity of B4 EP was 4200 U/g, which is more than 400 times higher than that of the control. The pectin lyase activity in B4 EP was found to be 170 units/g, whereas no such activity was observed in the control B1-537 preparation. The absolute activities towards cellulose substrates and xylan were found to be reduced by a factor of 1.5 to 7.5 in the B4 preparation compared to the recipient one.

3.5. The Component Composition of B4 Preparation Was Determined

This involved successive stages of EP precipitation with ammonium sulfate, desalting by gel filtration, and fractionation by anion-exchange chromatography (Supplementary S3, Figure S1). The protein concentration and specific activities were determined in the fractions obtained. The component composition of EP was calculated on the basis of the protein content in the fractions and specific enzyme activities (Table 2).
The analysis of the composition of the control preparation B1-537, derived from the original recipient strain, revealed that it predominantly contained cellulases, representing 75% of the total pool of secretory proteins. The composition of the new recombinant FP B4 indicated that, in addition to a relatively reduced amount of its own basic cellulolytic enzymes (CBH I-II, EG I-III), which constituted 40% of the total, the obtained preparation also contained introduced heterologously expressed AbfA (40%) and PelA (11%).

3.6. Selection of Optimal Conditions for Hydrolysis of BPC to Achieve Maximum Product Concentrations

The hydrolysis of BPC was conducted at an initial substrate concentration of 100 g/L and varying dosages of the preparation, namely, 0.001, 0.003, 0.01, and 0.03 g EP/g substrate or 0.1, 0.3, 1, and 3% of the substrate weight (weight %), in order to examine the hydrolytic activity of the obtained B4 preparation. The concentration of nonenzymatic extracted RS was 0.9 g/L (glucose and fructose in equal quantities), and the concentration of sucrose was 8.5 g/L. The yield of sugars was analyzed at 4, 24, and 48 h following the initiation of the enzymatic hydrolysis process (see Figure 4). A representative chromatogram of the BPC hydrolysis products is presented in Supplementary S3, Figure S2. The products were predominantly arabinose and glucose, with sucrose, cellobiose, raffinose, and galacturonic acid present in much lower concentrations. Minor concentrations of galactose and rhamnose were also detected.
After 48 h of hydrolysis, the dependence of the RS concentration on the FP B4 dose reached a plateau at 0.01 g EP/g of solids, when the RS concentration exceeded 38 g/L from 100 g/L slurry, with arabinose up to 15 g/L and glucose up to 22 g/L, which correlated with the results obtained during the hydrolysis of BPC with transformants. It should be noted that after 4 and 24 h of BPC hydrolysis, cellobiose (up to 2.3 g/L) was present among the products, which was completely converted to glucose by 48 h, indicating a sufficient amount of cellobiase (β-glucosidase) activity in B4 enzyme preparation. Enzyme preparations derived from the cellulose-degrading producer strain Penicillium verruculosum contain a residual cellulolytic complex. The inclusion of a sufficient quantity of β-glucosidase in the enzyme preparations serves to mitigate the inhibitory effect of cellobiose on cellobiohydrolase. Furthermore, the conversion of plant polysaccharides into simple sugars, in this case glucose, is more complete, thereby providing a carbon source at the stage of further microbial synthesis.

3.7. Hydrolysis of BPC at High Substrate Concentrations

The employment of elevated concentrations of sugars as a carbon source at the microbial biosynthesis stage yields favorable outcomes with respect to the economic efficiency and environmental friendliness of the process. The consumption of water is reduced, the concentration of the target product (e.g., alcohols, carboxylic or amino acids, or other possible products) is increased, the cost of isolation of the final product is reduced due to a reduction in energy consumption at the rectification stage, and the capital expenditure associated with the vessel equipment is also reduced. Consequently, experiments were conducted on the enzymatic hydrolysis of BPC at high initial concentrations with the objective of achieving a yield with a higher concentration of simple sugars. Additionally, the effect of high substrate and product concentrations on the degree of enzyme inhibition was determined.
The hydrolysis of BPC was carried out at solid concentrations of 100, 200, and 300 g/L using 1 wt.% of the B4 enzyme preparation, as this provided the optimal yield of arabinose and glucose by 48–72 h of hydrolysis. Once the liquefaction of the substrate had occurred and a liquid phase had appeared in the reaction medium, an aliquot was taken for the determination of the concentration of products, i.e., RSs and low-molecular-weight sugars. The results are illustrated in Figure 5.
The liquid phase was present from the outset of the preparation of reaction mixtures in the case of 100 g/L BPC, thereby simplifying the collection of aliquots during the hydrolysis process. Following a 48 h hydrolysis period, the reaction mixture had become a homogeneous liquid medium, containing residual traces of unhydrolyzed substrate. In general, the accumulation of sugars under the action of the selected dosage of B4 EP was found to correlate well with the results of previous experiments.
In the case of the hydrolysis of 200 g/L BPC, the liquefaction of the reaction mixture was observed after 24 h. After 72 h, the mixture had become a low-viscosity medium, with traces of unhydrolyzed substrate remaining. The maximum concentrations of RS, arabinose, and glucose were 75, 26, and 33 g/L, respectively.
In the case of the hydrolysis of 300 g/L BPC, the liquefaction of the reaction mixture was observed after 48 h. After 72 h, the mixture had become a medium-viscosity substance, comprising a small amount of unhydrolyzed substrate. The concentrations of RS, arabinose, and glucose were found to be 110, 40, and 41 g/L, respectively.
The obtained FP B4 was thus demonstrated to be effective in the hydrolysis of BPC at concentrations up to 300 g/L. The degree of BPC conversion (defined as the ratio of RS concentration to the initial substrate concentration) remained practically unchanged when the substrate concentration was increased from 100 to 300 g/L following an exhaustive enzymatic hydrolysis period of 48–72 h. The conversion rate was observed to be at the 37–38% level.
Figure 6 presents photographic images of the enzymatically treated BPC at varying initial solid concentrations. The liquefaction of BPC chip solids affected by B4 enzymatic preparation is clearly visible. Nevertheless, undissolved inclusions are evident, particularly in the sample with an initial beet pulp concentration of 300 g/L.

4. Discussion

In order to obtain monosaccharides, it is essential to undertake the comprehensive hydrolysis of a complex natural substrate containing polysaccharides and other structural components. To address this issue, it is essential to implement a multi-enzymatic complex that is optimally aligned with the compositional characteristics of the raw material. Dried BPC has a chip shape with a maximum thickness of 2 mm and a maximum moisture content of 8%. The primary sucrose yield is obtained from this material through a diffusion process. Following the extraction of sucrose, 18–23% of dry matter remains in the BPC, of which approximately 80% comprises polysaccharides. Of these, 22–24% are cellulose, 24–32% are hemicellulose (mainly arabinan), and 9–11% are pectin substances, with soluble pectin being the most prevalent. Additionally, the composition includes minor quantities of protein (8–11%), fats (1–2%), and some lignin (3–6%) [30]. The component composition of BPC reveals a high level of arabinose and glucose (up to 20–30% of dry matter) [9].
The enzymatic hydrolysis of BPC yields pentose and hexose sugars, which can be fermented by microorganisms to produce ethanol, lactic acid, and other products. In reference [31], a two-step conversion of hydrolysate BPC to ethanol by Saccharomyces cerevisiae glucose utilizing yeast was successfully demonstrated, followed by the production of lactic acid from pentoses in the presence of Lactobacillus plantarum. The complete utilization of glucose and hemicellulose was observed in this process, while the utilization of pectin sugars reached 44%. The use of individual cellulases, pectinases, or xylanases or mixtures of them resulted in the production of hydrolysates of BPC with a high monosaccharide content [6,9,12,32].
The comprehensive hydrolysis of BPC in the presence of enzymes with varying specificities, including cellulases, xylanases, arabinases, and pectinases, is elucidated in reference [17]. The degree of substrate conversion in the presence of an optimal mixture of purified enzymes reached 61–68%, whereas in the presence of a mixture of the corresponding EPs derived from P. canescens and P. verruculosum strains, the conversion of BPC polysaccharides was close to 100%.

5. Conclusions

The present study outlines the development of an enzyme complex with the capability to simultaneously hydrolyze cellulose, arabinose, and pectin from BPC, based on a single producer strain. It is important to note that no pretreatment procedures, which are typically applied to other lignocellulosic substrates such as straw or sawdust, were used to enhance the reactivity of BPC. Given the arabinan and cellulose content of BPC, which are 24–32% and 22–24%, respectively, the conversion of polysaccharides into monosaccharides under the action of this enzymatic complex was in excess of 50% and 80%, respectively, after 48–72 h of hydrolysis.
The common procedure for BPC conversion described in the scientific literature is to operate at a substrate concentration of 50–100 g/L, which results in a conversion rate to monosaccharides of 70–100% [4,9,12]. The hydrolysis of BPC was successfully carried out in a concentration range of 100–300 g/L, with minimal loss of conversion rate values. Therefore, the newly developed producer of pectin lyase, arabinofuranosidase, and cellulases complex can be employed in the production of biocatalysts for the bioconversion of sugar beet processing wastes and the generation of highly concentrated solutions of C6/C5 technical sugars. This will result in a reduction in water requirements and a decrease in the operational costs associated with the following microbial biosynthesis stage.

Supplementary Materials

The following supporting information can be downloaded at: https://www.mdpi.com/article/10.3390/agronomy15010101/s1, Supplementary S1. Sequences of the genes used. Supplementary S2. The activities and hydrolytic performance of the transformants evaluated during the screening process. Table S1. Target activities and protein concentrations in the cultural fluids of transformants after flask cultivation. Table S2. The concentrations of the main products (in grams per liter) determined after 48 h of the hydrolysis of BPC in the presence of the cultural fluids of the transformants. Supplementary S3. The chromatographic profiles Figure S1. The chromatogram of the B4 EP fractionation with Source 15Q. Figure S2. Chromatogram of the hydrolysis products of BPC after 48 h.

Author Contributions

Conceptualization, M.V.S. and A.P.S.; methodology, I.N.Z. and A.M.R.; cultivation, I.A.S. and A.D.S.; protein purification, M.I.K. and E.A.R.; investigation, M.I.K. and S.A.K.; cloning, P.V.V.; analysis I.N.Z. and M.V.S.; writing—original draft preparation, M.I.K., M.V.S. and I.N.Z.; writing—review and editing, M.V.S.; visualization, M.I.K. and M.V.S.; supervision, A.P.S.; project administration, A.M.R. and A.P.S. All authors have read and agreed to the published version of the manuscript.

Funding

This research was supported by the Ministry of Science and Higher Education of the Russian Federation (Agreement 075-15-2021-1071 of 28 September 2021).

Data Availability Statement

Data is contained within the article and Supplementary Material.

Conflicts of Interest

The authors declare no conflicts of interest.

References

  1. Available online: https://www.fao.org/land-water/databases-and-software/crop-information/sugarbeet/fr/ (accessed on 10 November 2024).
  2. Available online: https://www.fao.org/faostat/en/#data/QCL (accessed on 10 November 2024).
  3. Available online: http://rossahar.ru/press-center/news/novosti/v-rossii-zavershilas-pererabotka-sakharnoy-svekly-urozhaya-2023-goda/ (accessed on 12 November 2024).
  4. Hutnan, M.; Drtil, M.; Mrafkova, L. Anaerobic biodegradation of sugar beet pulp. Biodegradation 2000, 11, 203–211. [Google Scholar] [CrossRef] [PubMed]
  5. Tomaszeska, J.; Bielinski, D.; Binczarski, M.; Berlowska, J.; Dziugan, P.; Piotrowski, J.; Stanishevsky, A.; Witonska, I.A. Products of sugar beet processing as raw materials for chemicals and biodegradable polymers. RSC Adv. 2018, 8, 3161–3177. [Google Scholar] [CrossRef] [PubMed]
  6. Berlowska, J.; Cieciura-Wloch, W.; Kalinowska, H.; Kregiel, D.; Borowski, S.; Pawlikowska, E.; Binczarski, M.; Witonska, I. Enzymatic conversion of sugar beet pulp: A comparison of simultaneous saccharification and fermentation and separate hydrolysis and fermentation for lactic acid production. Food Technol. Biotechnol. 2018, 56, 188–196. [Google Scholar] [CrossRef] [PubMed]
  7. Usmani, Z.; Sharma, M.; Diwan, D.; Tripathi, M.; Whale, E.; Jayakody, L.N.; Moreau, B.; Thakur, V.K.; Tuohy, M.; Gupta, V.K. Valorization of sugar beet pulp to value-added products: A review. Bioresour. Technol. 2022, 346, 126580. [Google Scholar] [CrossRef] [PubMed]
  8. Leijdekkers, A.G.; Bink, J.P.; Geutjes, S.; Schols, H.A.; Gruppen, H. Enzymatic saccharification of sugar beet pulp for the production of galacturonic acid and arabinose; a study on the impact of the formation of recalcitrant oligosaccharides. Bioresour. Technol. 2013, 2013. 128, 518–525. [Google Scholar] [CrossRef]
  9. Micard, V.; Renard, C.M.G.C.; Thibault, J.-F. Enzymatic saccharification of sugar-beet pulp. Enzyme Microb. Technol. 1996, 19, 162–170. [Google Scholar] [CrossRef]
  10. Spagnuolo, M.; Crecchio, C.; Pizzigallo, M.D.R.; Ruggiero, P. Fractionation of sugar beet pulp into pectin, cellulose, and arabinose by arabinases combined with ultrafiltration. Biotechnol. Bioeng. 1999, 64, 685–691. [Google Scholar] [CrossRef]
  11. Westphal, Y.; Kuhnel, S.; de Waard, P.; Hinz, S.W.A.; Schols, H.A.; Voragen, G.J.; Gruppen, H. Branched arabino-oligosaccharides isolated from sugar beet arabinan. Carbohydr. Res. 2010, 345, 1180–1189. [Google Scholar] [CrossRef] [PubMed]
  12. Concha-Olmos, J.; Zuniga Hansen, M.E. Enzymatic depolymerization of sugar beet pulp: Production and characterization of pectin and pectic-oligosaccharides as a potential source for functional carbohydrates. Chem. Eng. J. 2012, 192, 29–36. [Google Scholar] [CrossRef]
  13. Spagnuolo, M.; Crecchio, C.; Pizzigallo, M.D.R.; Ruggiero, P. Synergistic effects of cellulolytic and pectinolytic enzymes in degrading sugar beet pulp. Bioresour. Technol. 1997, 60, 215–222. [Google Scholar] [CrossRef]
  14. Sinitsyna, O.A.; Fedorova, E.A.; Semenova, M.V.; Gusakov, A.V.; Sokolova, L.M.; Bubnova, T.M.; Okunev, O.N.; Chulkin, A.M.; Vavilova, E.A.; Vinetsky, Y.P.; et al. Isolation and characterization of extracellular pectin lyase from Penicillium canescens. Biochemistry 2007, 72, 699–706. [Google Scholar] [CrossRef]
  15. Semenova, M.V.; Kuryshkina, M.S.; Sinitsyn, A.P. The synergistic interaction of arabinases of different types of action in the bioconversion of sugar beet pulp and apple pomace. Appl. Biochem. Microbiol. 2023, 59, 182–190. [Google Scholar] [CrossRef]
  16. Rubtsova, E.A.; Bushina, E.V.; Rozhkova, A.M.; Korotkova, O.G.; Nemashkalov, V.A.; Koshelev, A.V.; Sinitsyn, A.P. Novel enzyme preparations with high pectinase and hemicellulase activity based on Penicillium canescens strains. Appl. Biochem. Microbiol. 2015, 51, 502–510. [Google Scholar] [CrossRef]
  17. Semenova, M.V.; Rozhkova, A.M.; Osipov, D.O.; Satrutdinov, A.D.; Rubtsova, E.A.; Kondrateva, E.G.; Sinitsyn, A.P. Selection of the optimal enzyme composition for sugar beet pulp conversion. Appl. Biochem. Microbiol. 2019, 55, 677–683. [Google Scholar] [CrossRef]
  18. Rozhkova, A.M.; Gusakov, A.V.; Dotsenko, A.S.; Sinitsyna, O.A.; Sinitsyn, A.P. Capabilities of the ascomycete fungus Penicillium verruculosum and its enzymes for conversion of cellulosic feedstock. In Liquid Biofuels: Bioethanol; Soccol, C.R., Pereira, G.A.G., Dussap, C.-G., Vandenberghe, L., Eds.; Series Biofuel and Biorefinery Technologies; Springer: Berlin/Heidelberg, Germany, 2022; pp. 243–266. [Google Scholar] [CrossRef]
  19. Sinitsyn, A.P.; Sinitsyna, O.A.; Zorov, I.N.; Rozhkova, A.M. Exploring the capabilities of the Penicillium verruculosum expression system for the development of producers of enzymes for the effective degradation of renewable plant biomass: A Review. Appl. Biochem. Microbiol. 2020, 56, 638–646. [Google Scholar] [CrossRef]
  20. Morozova, V.V.; Gusakov, A.V.; Andrianov, R.M.; Pravilnikov, A.G.; Osipov, D.O.; Sinitsyn, A.P. Cellulases of Penicillium verruculosum. Biotechnol. J. 2010, 5, 871–880. [Google Scholar] [CrossRef]
  21. Sinitsyn, A.P.; Gusakov, A.V.; Chernoglazov, V.M. Bioconversion of Lignocellulosic Materials: Textbook; Moscow State University: Moscow, Russia, 1995; 220p, ISBN 5-211-03050-8. (In Russian) [Google Scholar]
  22. Collmer, A.; Reid, J.L.; Mount, M.S. Assay methods for pectic enzymes. Methods Enzymol. 1988, 161, 329–335. [Google Scholar] [CrossRef]
  23. Somogyi, M. Notes on sugar determination. JBC 1952, 195, 19–23. [Google Scholar] [CrossRef]
  24. Hartree, E.F. Determination of protein: A modification of the Lowry method that gives a linear photometric response. Anal. Biochem. 1972, 48, 422–427. [Google Scholar] [CrossRef]
  25. Sanger, F.; Nicklen, S.; Coulson, A.R. DNA Sequencing with chain-terminating inhibitors. Proc. Natl. Acad. Sci. USA 1977, 74, 5463–5467. [Google Scholar] [CrossRef] [PubMed]
  26. Aleksenko, A.Y.; Makarova, N.A.; Nikolaev, I.V.; Clutterbuck, A.J. Integrative and replicative transformation of Penicillium canescens with a heterologous nitrate-reductase gene. Curr. Genet. 1995, 28, 474–477. [Google Scholar] [CrossRef]
  27. Unkles, S.E.; Campbell, E.I.; Punt, P.J.; Hawker, K.L.; Contreras, R.; Hawkins, A.R.; Van den Hondel, C.A.; Kinghorn, J.R. The Aspergillus niger niaD gene encoding nitrate reductase: Upstream nucleotide and amino acid sequence comparisons. Gene 1992, 111, 149–155. [Google Scholar] [CrossRef]
  28. Gusakov, A.V.; Semenova, M.V.; Sinitsyn, A.P. Mass spectrometry in the study of extracellular enzymes produced by filamentous fungi. J. Anal. Chem. 2010, 65, 1446–1461. [Google Scholar] [CrossRef]
  29. Protein Sequencing Protocols. Series: Methods in Molecular Biology; Smith, B.J., Ed.; Humana Press: Totowa, NJ, USA, 1997; Volume 64, 375p, ISBN 0-89603-353-8. [Google Scholar]
  30. San, R.; Hughes, S. Fractional extraction and physico-chemical characterization of hemicelluloses and cellulose from sugar beet pulp. Carbohydr. Polym. 1998, 36, 293–299. [Google Scholar] [CrossRef]
  31. Diaz, A.B.; Marzo, C.; Caro, I.; de Ory, I.; Blandino, A. Valorization of exhausted sugar beet cossettes by successive hydrolysis and two fermentations for the production of bio-products. Bioresour. Technol. 2017, 225, 225–233. [Google Scholar] [CrossRef] [PubMed]
  32. Semenova, M.V.; Gusakov, A.V.; Volkov, P.V.; Matys, V.Y.; Nemashkalov, V.A.; Telitsin, V.D.; Rozhkova, A.M.; Sinitsyn, A.P. Enhancement of the enzymatic cellulose saccharification by Penicillium verruculosum multienzyme cocktails containing homologously overexpressed lytic polysaccharide monooxygenase. Mol. Biol. Rep. 2019, 46, 2363. [Google Scholar] [CrossRef] [PubMed]
Figure 1. These schematics illustrate the expression plasmids with pelA (a) and abfA (b) genes, which are under the control of the inducible cbh1 promoter in P. verruculosum. These plasmids encode the P. canescens pectin lyase A (PelA) and arabinofuranosidase A (AbfA), respectively.
Figure 1. These schematics illustrate the expression plasmids with pelA (a) and abfA (b) genes, which are under the control of the inducible cbh1 promoter in P. verruculosum. These plasmids encode the P. canescens pectin lyase A (PelA) and arabinofuranosidase A (AbfA), respectively.
Agronomy 15 00101 g001
Figure 2. SDS-PAGE of recombinants. M—protein markers; in kDa, k—host strain.
Figure 2. SDS-PAGE of recombinants. M—protein markers; in kDa, k—host strain.
Agronomy 15 00101 g002
Figure 3. The results of mass spectrometric analysis for the trypsin hydrolysates of the 70 and 40 kDa protein bands from the SDS-PAGE of the B4 transformant CF. The peptides identified are marked in bold.
Figure 3. The results of mass spectrometric analysis for the trypsin hydrolysates of the 70 and 40 kDa protein bands from the SDS-PAGE of the B4 transformant CF. The peptides identified are marked in bold.
Agronomy 15 00101 g003
Figure 4. The effect of different doses of B4 preparation on the sugar yield from the hydrolysis of BPC (100 g/L) at 50 °C and pH 5 and a hydrolysis time of (a) 4 h, (b) 24 h, (c) 48 h. The experiment was carried out in triplicate.
Figure 4. The effect of different doses of B4 preparation on the sugar yield from the hydrolysis of BPC (100 g/L) at 50 °C and pH 5 and a hydrolysis time of (a) 4 h, (b) 24 h, (c) 48 h. The experiment was carried out in triplicate.
Agronomy 15 00101 g004
Figure 5. The profile of sugars in grams per liter during the hydrolysis of BPC of varying initial concentrations with the B4 EP (* the glucose and arabinose content of selected samples was analyzed following a 144 h hydrolysis period); (a) 100 g/L, (b) 200 g/L, (c) 300 g/L of BPC solids.
Figure 5. The profile of sugars in grams per liter during the hydrolysis of BPC of varying initial concentrations with the B4 EP (* the glucose and arabinose content of selected samples was analyzed following a 144 h hydrolysis period); (a) 100 g/L, (b) 200 g/L, (c) 300 g/L of BPC solids.
Agronomy 15 00101 g005aAgronomy 15 00101 g005b
Figure 6. Photographs of liquefied BPC hydrolysates: (A) 100 g/L initial BPC, 48 h of hydrolysis; (B) 200 g/L BPC, 72 h of hydrolysis; (C) 300 g/L BPC, 72 h of hydrolysis. The ruler is presented to show the size of the samples.
Figure 6. Photographs of liquefied BPC hydrolysates: (A) 100 g/L initial BPC, 48 h of hydrolysis; (B) 200 g/L BPC, 72 h of hydrolysis; (C) 300 g/L BPC, 72 h of hydrolysis. The ruler is presented to show the size of the samples.
Agronomy 15 00101 g006
Table 1. Protein concentration and activity profiles during the cultivation process of the B4 transformant.
Table 1. Protein concentration and activity profiles during the cultivation process of the B4 transformant.
Cultivation Time, hTotal Protein, g/LEnzymatic Activity on Different Substrates, U/mL
MCCCMCXylan (Beech-Wood)PectinArabinan
486.0 ± 0.41.4 ± 0.218 ± 222 ± 2.41.5 ± 0.1225 ± 2.7
7210 ± 1.12.1 ± 0.222 ± 280 ± 53.6 ± 0.2559 ± 2.3
9616 ± 1.53.0 ± 0.125 ± 2106 ± 94.4 ± 0.4126 ± 11
12026 ± 33.3 ± 0.225 ± 2116 ± 104.5 ± 0.5215 ± 18
14432 ± 13.9 ± 0.331 ± 3144 ± 64.9 ± 0.5235 ± 22
Table 2. Protein concentration, main activities, and content of major enzymes in the B4 and B1-537 (control) enzyme preparations.
Table 2. Protein concentration, main activities, and content of major enzymes in the B4 and B1-537 (control) enzyme preparations.
B4B1-537
Protein, mg/g690 ± 45950 ± 63
Enzymatic activity, U/g
MCC170 ± 12760 ± 56
CMC1380 ± 6910,400 ± 460
Xylan2760 ± 8016,000 ± 1200
pNPhG980 ± 581500 ± 80
Pectin170 ± 12 *0
Arabinan8800 ± 780190 ± 15
pNPhA4200 ± 25010 ± 0.7
Enzyme content, %
PelA11 ± 10
AbfA40 ± 40
Total cellulases40 ± 375 ± 3
Other enzymes9 ± 125 ± 3
* Heterologous pectin lyase and α-L-arabinofuranosidase activities and contents are marked in bold.
Disclaimer/Publisher’s Note: The statements, opinions and data contained in all publications are solely those of the individual author(s) and contributor(s) and not of MDPI and/or the editor(s). MDPI and/or the editor(s) disclaim responsibility for any injury to people or property resulting from any ideas, methods, instructions or products referred to in the content.

Share and Cite

MDPI and ACS Style

Komarova, M.I.; Semenova, M.V.; Volkov, P.V.; Shashkov, I.A.; Rozhkova, A.M.; Zorov, I.N.; Kurzeev, S.A.; Satrutdinov, A.D.; Rubtsova, E.A.; Sinitsyn, A.P. Efficient Hydrolysis of Sugar Beet Pulp Using Novel Enzyme Complexes. Agronomy 2025, 15, 101. https://doi.org/10.3390/agronomy15010101

AMA Style

Komarova MI, Semenova MV, Volkov PV, Shashkov IA, Rozhkova AM, Zorov IN, Kurzeev SA, Satrutdinov AD, Rubtsova EA, Sinitsyn AP. Efficient Hydrolysis of Sugar Beet Pulp Using Novel Enzyme Complexes. Agronomy. 2025; 15(1):101. https://doi.org/10.3390/agronomy15010101

Chicago/Turabian Style

Komarova, Maria I., Margarita V. Semenova, Pavel V. Volkov, Igor A. Shashkov, Alexandra M. Rozhkova, Ivan N. Zorov, Sergei A. Kurzeev, Aidar D. Satrutdinov, Ekaterina A. Rubtsova, and Arkady P. Sinitsyn. 2025. "Efficient Hydrolysis of Sugar Beet Pulp Using Novel Enzyme Complexes" Agronomy 15, no. 1: 101. https://doi.org/10.3390/agronomy15010101

APA Style

Komarova, M. I., Semenova, M. V., Volkov, P. V., Shashkov, I. A., Rozhkova, A. M., Zorov, I. N., Kurzeev, S. A., Satrutdinov, A. D., Rubtsova, E. A., & Sinitsyn, A. P. (2025). Efficient Hydrolysis of Sugar Beet Pulp Using Novel Enzyme Complexes. Agronomy, 15(1), 101. https://doi.org/10.3390/agronomy15010101

Note that from the first issue of 2016, this journal uses article numbers instead of page numbers. See further details here.

Article Metrics

Back to TopTop