Microanatomical Properties of Energy Willow (Salix spp.) Leaves after Exposure to Potentially Toxic Elements from Wastewater Solids and Wood Ash
Abstract
1. Introduction
2. Materials and Methods
2.1. Long-Term Open-Field Experiment with Willow
2.2. Soil Sampling
2.3. Plant Sampling
2.4. Element Analysis of Soil and Plant Samples
2.5. Microanatomical Investigations of Leaves
2.6. Statistical Analysis of Data
3. Results and Discussion
3.1. PTEs in Experimental Soil
3.2. PTEs in Willow Leaves
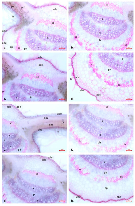
3.3. General Microanatomical Characteristics of the Leaf Blade
3.4. Characteristic Alterations in the Microanatomical Properties of the Leaf
4. Conclusions
Supplementary Materials
Author Contributions
Funding
Data Availability Statement
Acknowledgments
Conflicts of Interest
References
- Smart, L.B.; Cameron, K.D. Shrub willow. In Handbook of Bioenergy Crop Plants; Kole, C., Joshi, C.P., Shonnard, D.R., Eds.; CRC Press: Boca Raton, FL, USA; London, UK; New York, NY, USA, 2012; pp. 687–708. [Google Scholar]
- Simon, L.; Uri, Z.; Vigh, S.; Irinyiné Oláh, K.; Makádi, M.; Vincze, G. Phytoextraction of potentially toxic elements from wastewater solids and willow ash—Experiences with energy willow (Salix triandra × S. viminalis ’Inger’). In Bioenergy Crops: A Sustainable Means of Phytoremediation, 1st ed.; Puthur, J.T., Dhankher, O.P., Eds.; CRC Press/Taylor & Francis Group: Boca Raton, FL, USA, 2022; Chapter 13; pp. 227–245. ISBN 9781003043522. [Google Scholar] [CrossRef]
- Pulford, I.D.; Riddell-Black, D.; Stewart, C. Heavy metal uptake by willow clones from sewage sludge-treated soil: The potential for phytoremediation. Int. J. Phytoremediat. 2002, 4, 59–72. [Google Scholar] [CrossRef]
- Park, B.B.; Yanai, R.D.; Sahm, J.M.; Lee, D.K.; Abrahamson, L.P. Wood ash effects on plant and soil in a willow bioenergy plantation. Biomass Bioenerg. 2005, 28, 355–365. [Google Scholar] [CrossRef]
- Dimitriou, I.; Eriksson, J.; Adler, A.; Aronsson, P.; Verwijst, T. Fate of heavy metals after application of sewage sludge and wood-ash mixtures to short-rotation willow coppice. Environ. Pollut. 2006, 142, 160–169. [Google Scholar] [CrossRef] [PubMed]
- Hytönen, J. Wood ash fertilisation increases biomass production and improves nutrient concentrations in birches and willows on two cutaway peats. Balt. For. 2016, 22, 98–106. [Google Scholar]
- Saletnik, B.; Puchalski, C. Suitability of biochar and biomass ash in basket willow (Salix viminalis L.) cultivation. Agronomy 2019, 9, 577. [Google Scholar] [CrossRef]
- Gyuricza, C.; Nagy, L.; Ujj, A.; Mikó, P.; Alexa, L. The impact of composts on the heavy metal content of the soil and plants in energy willow plantations (Salix spp.). Cereal Res. Commun. 2008, 36, 279–282. [Google Scholar]
- Maxted, A.P.; Black, C.R.; West, H.M.; Crout, N.M.J.; McGrath, S.P.; Young, S.D. Phytoextraction of cadmium and zinc by Salix from soil historically amended with sewage sludge. Plant Soil. 2007, 290, 157–172. [Google Scholar] [CrossRef]
- Jama, A.; Nowak, W. Willow (Salix viminalis L.) in purifying sewage sludge treated soils. Pol. J. Agron. 2012, 9, 3–6. [Google Scholar]
- Simon, L.; Szabó, B.; Szabó, M.; Vincze, G.; Varga, C.; Uri, Z.; Koncz, J. Effect of various soil amendments on the mineral nutrition of Salix viminalis and Arundo donax energy crops. Eur. Chem. Bull. 2013, 2, 18–21. [Google Scholar] [CrossRef]
- Saletnik, B.; Zaguła, G.; Saletnik, A.; Bajcar, M.; Puchalski, C. Biochar and ash fertilization alter the chemical properties of basket willow (Salix viminalis L.). Agronomy 2020, 10, 660. [Google Scholar] [CrossRef]
- Wójcik, M.; Stachowicz, F.; Masłoń, F. The use of wood biomass ash in sewage sludge treatment in terms of its agricultural utilization. Waste Biomass Valori. 2020, 11, 753–768. [Google Scholar] [CrossRef]
- Vysloužilová, M.; Tlustoš, P.; Száková, P. Cadmium and zinc phytoextraction of seven clones of Salix spp. planted on heavy metal contaminated soils. Plant Soil Environ. 2003, 49, 542–547. [Google Scholar]
- Berndes, F.; Fredrikson, F.; Börjesson, P. Cadmium accumulation and Salix-based phytoextraction on arable land in Sweden. Agr. Ecosyst. Environ. 2004, 103, 207–223. [Google Scholar] [CrossRef]
- Dickinson, N.M.; Pulford, I.D. Cadmium phytoextraction using short-rotation coppice Salix: The evidence trail. Environ. Int. 2005, 31, 609–613. [Google Scholar] [CrossRef] [PubMed]
- Simon, L.; Makádi, M.; Uri, Z.; Vigh, S.; Irinyiné Oláh, K.; Vincze, G.; Tóth, C. Phytoextraction of toxic elements and chlorophyll fluorescence in the leaves of energy willow (Salix spp.), treated with wastewater solids and wood ash. Agrokem Talajtan. Agrochem. Soil Sci. 2022, 71, 77–99. [Google Scholar] [CrossRef]
- Meers, E.; Vandecasteele, B.A.; Ruttens, J. Vangronsveld and F.M.G. Tack. Potential of five willow species (Salix spp.) for phytoextraction of heavy metals. Environ. Exp. Bot. 2007, 60, 57–68. [Google Scholar] [CrossRef]
- Mleczek, M.; Gąsecka, M.; Drzewiecka, K.; Goliński, P.; Magdziak, Z.; Chadzinikolau, T. Copper phytoextraction with willow (Salix viminalis L.) under various Ca/Mg ratios. Part 1. Copper accumulation and plant morphology changes. Acta Physiol. Plant 2013, 35, 3251–3259. [Google Scholar] [CrossRef]
- Vandecasteele, B.; Quataert, P.; Piesschaert, F.; Lettens, S.; De Vos, B.; DuLaing, G. Translocation of Cd and Mn from bark to leaves in willows on contaminated sediments: Delayed budburst is related to high Mn concentrations. Land 2015, 4, 255–280. [Google Scholar] [CrossRef]
- Tőzsér, D.; Harangi, S.; Baranyai, E.; Lakatos, G.; Fülöp, Z.; Tóthmérész, B.; Simon, E. Phytoextraction with Salix viminalis in a moderately to strongly contaminated area. Environ. Sci. Pollut. R. 2018, 25, 3275–3290. [Google Scholar] [CrossRef]
- Tlustoš, P.; Száková, J.; Vysloužilová, M.; Pavlíková, D.; Weger, J.; Javorská, H. Variation in the uptake of arsenic, cadmium, lead, and zinc by different species of willows Salix spp. grown in contaminated soils. Cent. Eur. J. Biol. 2007, 2, 254–275. [Google Scholar] [CrossRef]
- Salam, M.M.A.; Mohsin, M.; Kaipiainen, E.; Villa, A.; Kuittinen, S.; Pulkkinen, P.; Pelkonen, P.; Pappinen, A. Biomass growth variation and phytoextraction potential of four Salix varieties grown in contaminated soil amended with lime and wood ash. Int. J. Phytoremediat. 2019, 21, 1522–6514. [Google Scholar] [CrossRef] [PubMed]
- Labrecque, M.; Hu, Y.; Vincent, G.; Shang, K. The use of willow microcuttings for phytoremediation in a copper, zinc and lead contaminated field trial in Shanghai, China. Int. J. Phytoremediat. 2020, 22, 1331–1337. [Google Scholar] [CrossRef] [PubMed]
- Greger, M.; Landberg, T. Use of willow in phytoextraction. Int. J. Phytoremediat. 1999, 1, 115–123. [Google Scholar] [CrossRef]
- Pulford, I.D.; Watson, C. Phytoremediation of heavy metal contaminated land by trees—A review. Environ. Int. 2003, 29, 529–540. [Google Scholar] [CrossRef] [PubMed]
- Marschner, H. Mineral Nutrition of Higher Plants; Academic Press: Cambridge, MA, USA; Harcourt Brace and Company Publishers: London, UK, 1995. [Google Scholar]
- Binns, W.W.; Blunden, G. Comparative anatomy of Salix species and hybrids. Bot. J. Linn. Soc. 2008, 81, 205–214. [Google Scholar] [CrossRef]
- Guo, Z.; Gao, Y.; Yuan, X.; Yuan, M.; Huang, L.; Wang, S.; Liu, C.; Duan, C. Effects of Heavy Metals on Stomata in Plants: A Review. Int. J. Mol. Sci. 2023, 24, 9302. [Google Scholar] [CrossRef] [PubMed]
- Almotairy, H. Heavy Metal Contamination in Soil: Implications for Crop Resilience and Abiotic Stress Management [Internet]. In Abiotic Stress in Crop Plants—Ecophysiological Responses and Molecular Approaches; IntechOpen: Rijeka, Croatia, 2024. [Google Scholar] [CrossRef]
- El-Khatib, A.A.; El-Shanawany, A.A.; El-Amery, E.M. Tree leaf as bio-indicator for air pollution around superphosphate fertilizers plant. Egypt J. Ecol. Health Environ. 2016, 4, 95–101. [Google Scholar] [CrossRef]
- Khalili, Z.; Maassoumi, A.A.; Ghahremaninejad, F.; Mirzaie-Nodoushan, H. Foliar anatomy of some Salix species (Salicaceae) in Iran. Iran. J. Bot. 2010, 16, 293–302. [Google Scholar]
- Hermle, S.; Vollenweider, P.; Günthardt-Goerg, M.S.; McQuattie, C.J.; Matyssek, R. Leaf responsiveness of Populus tremula and Salix viminalis to soil contaminated with heavy metals and acidic rainwater. Tree Physiol. 2007, 27, 1517–1531. [Google Scholar] [CrossRef] [PubMed]
- André, O.; Vollenweider, P.; Günthardt-Goerg, M.S. Foliage response to heavy metal contamination in Sycamore Maple (Acer pseudoplatanus L.). For. Snow Landsc. Res. 2006, 80, 275–288. [Google Scholar]
- Vollenweider, P.; Cosio, C.; Günthardt-Goerg, M.S.; Keller, C. Localization and effects of cadmium in leaves of cadmium-tolerant willow (Salix viminalis L.) Part II Microcolonization and cellular effects of cadmium. Environ. Exp. Bot. 2006, 58, 25–40. [Google Scholar] [CrossRef]
- Nikolić, N.; Zorić, L.; Cvetković, I.; Pajević, S.; Borišev, M.; Orlović, S.; Pilipović, A. Assessment of cadmium tolerance and phytoextraction ability in young Populus deltoides L. and Populus × euramericana plants through morpho-anatomical and physiological responses to growth in cadmium enriched soil. iForest 2017, 10, 635–644. [Google Scholar] [CrossRef]
- Di Baccio, D.; Minnocci, A.; Sebastiani, L. Leaf structural modifications in Populus × euramericana subjected to Zn excess. Biol. Plant. 2010, 54, 502–508. [Google Scholar] [CrossRef]
- Luković, J.; Merkulov, L.; Pajević, S.; Zorić, L.; Nikolić, N.; Borišev, M.; Karanović, D. Quantitative assessment of effects of cadmium on the histological structure of poplar and willow leaves. Water Air Soil Pollut. 2012, 223, 2979–2993. [Google Scholar] [CrossRef]
- Shi, G.R.; Cai, Q.S. Photosynthetic and anatomic responses of peanut leaves to cadmium stress. Photosynthetica 2008, 46, 627–630. [Google Scholar] [CrossRef]
- Stoláriková-Vaculíková, M.; Romeo, S.; Minnocci, A.; Luxová, M.; Vaculík, M.; Sebastiani, L. Anatomical, biochemical and morphological responses of poplar Populus deltoides clone Lux to Zn excess. Environ. Exp. Bot. 2015, 109, 235–243. [Google Scholar] [CrossRef]
- Al Afas, N.; Marron, N.; Ceulemans, R. Variability in Populus leaf anatomy and morphology in relation to canopy position, biomass production, and varietal taxon. Ann. For. Sci. 2007, 64, 521–532. [Google Scholar] [CrossRef]
- Bini, C.; Wahsha, M.; Fontana, S.; Maleci, L. Effects of heavy metals on morphological characteristics of Taraxacum officinale Web. growing on mine soils in NE Italy. J. Geochem. Explor. 2012, 123, 101–108. [Google Scholar] [CrossRef]
- da Silva de Jesus, D.; Martins, F.M.; de Azevedo Neto, A.D. Structural changes in leaves and roots are anatomical markers of aluminum sensitivity in sunflower. Pesq. Agropec. Trop. Goiânia 2016, 46, 383–390. [Google Scholar] [CrossRef]
- Simon, L.; Makádi, M.; Vincze, G.; Uri, Z.; Irinyiné Oláh, K.; Zsombik, L.; Vígh, S.; Szabó, B. Long-term field fertilization experiment with energy willow (Salix spp.)—Elemental composition and chlorophyll fluorescence in the leaves. Agrokem Talajt. 2018, 67, 91–103. [Google Scholar] [CrossRef]
- MSZ 21470-50; Environmental Testing of Soils. Determination of Total and Soluble Toxic Element, Heavy Metal and Chromium(VI) Content. Hungarian Standards Board: Budapest, Hungary, 2006. (In Hungarian)
- Hungarian Kvvm-Eüm-Fvm Joint Decree No. 6/2009. (IV. 14.) of the Ministry of Environment and Water Management, Ministry of Health, Ministry of Agriculture on the Threshold Limits and Measurement of Pollutants Necessary to Protect the Geological Medium and Groundwater against Pollution. Available online: https://net.jogtar.hu/jogszabaly?docid=a0900006.kvv (accessed on 23 July 2024). (In Hungarian).
- Barykina, R.P. Guide on Botanical Microtechique; Base and Methods; MSU: Moscow, Russia, 2004; p. 312. [Google Scholar]
- Tóth, C.; Simon, L.; Tóth, B. Microanatomical changes in the leaves of Arundo donax (L.) caused by potentially toxic elements from municipal sewage sediment. Plants 2024, 13, 740. [Google Scholar] [CrossRef] [PubMed]
- Hilu, K.W.; Randall, J.L. Convenient method for studying grass leaf epidermis. Taxon 1984, 33, 413–415. [Google Scholar] [CrossRef]
- Gardner, S.D.L.; Taylor, G.; Bosac, C. Leaf growth of hybrid poplar following exposure to elevated CO2. New Phytol. 1995, 131, 81–90. [Google Scholar] [CrossRef] [PubMed]
- Elagöz, V.; Han, S.S.; Manning, W.J. Acquired changes in stomatal characteristics in response to ozone during plant growth and leaf development of bush beans (Phaseolus vulgaris L.) indicate phenotypic plasticity. Environ. Poll. 2006, 140, 395–405. [Google Scholar] [CrossRef] [PubMed]
- Ceulemans, R.; Impens, I.; Steenackers, V. Variations in photosynthetic, anatomical, and enzymatic leaf traits and correlations with growth in recently selected Populus hybrids. Can. J. For. Res. 1987, 17, 273–283. [Google Scholar] [CrossRef]
- Tóth, C.; Irinyiné-Oláh, K.; Simon, L. The effect of sewage sediment containing toxic elements on the microanatomy of the leaf of Sorghum species. In International Multidisciplinary Conference, 14th ed.; Páy, G.L., Ed.; University of Nyíregyháza: Nyíregyháza, Hungary, 2022; pp. 124–133. [Google Scholar]
- Tóth, C.; Vincze, G.; Irinyiné-Oláh, K.; Uri, Z.; Vigh, S.; Simon, L. The effect of toxic elements on the microanatomy of the leaves of the Salix alba L. Rev. Agricult. Rural Develop. 2022, 11, 139–145. [Google Scholar] [CrossRef]
- García-Gutiérrez, E.; Ortega-Escalona, F.; Angeles, G. A novel, rapid technique for clearing leaf tissues. Appl. Plant Sci. 2020, 8, e11391. [Google Scholar] [CrossRef] [PubMed]
- Sass, J.E. Botanical Microtechnique, 2nd ed.; Iowa State College Press: Ames, IA, USA, 1951. [Google Scholar]
- Kabata-Peendias, A. Trace Elements in Soils and Plants, 4th ed.; CRC Press: Boca Raton, FL, USA; Taylor & Francis Group: Boca Raton, FL, USA, 2011. [Google Scholar]
- Simon, L. Potentially harmful elements in agricultural soils. In PHEs, Environment and Human Health. Potentially Harmful Elements in the Environment and the Impact on Human Health; Bini, C., Bech, J., Eds.; Springer: Dordrecht, The Netherlands; Heidelberg, Germany; New York, NY, USA; London, UK, 2014; pp. 85–137, 142–150. [Google Scholar]
- Cooper, R.L.; Cass, D.D. A comparative epidermis study of the Athabasca sand dune willows (Salix; Salicaceae) and their putative progenitors. Can. J. Bot. 2003, 81, 749–754. [Google Scholar] [CrossRef]
- Ghahremaninejad, F.; Khalili, Z.; Maassoumi, A.A.; Mirzaie-Nodoushan, H.; Riahi, M. Leaf epidermal features of Salix species (Salicaceae) and their systematic significance. Am. J. Bot. 2012, 99, 769–777. [Google Scholar] [CrossRef]
- Fontana, M.; Labrecque, M.; Collin, A.; Bélanger, N. Stomatal distribution patterns change according to leaf development and leaf water status in Salix miyabeana. Plant Growth Regul. 2017, 81. [Google Scholar] [CrossRef]
- Krzesłowska, M.; Mleczek, M.; Luboński, A.; Weręża, K.; Woźny, A.; Goliński, P.; Samardakiewicz, S. Alterations in the anatomy and ultrastructure of leaf blade in norway maple (Acer platanoides L.) growing on mining sludge: Prospects of using this tree species for phytoremediation. Plants 2024, 13, 1295. [Google Scholar] [CrossRef] [PubMed]
- Gomes, P.; de Sá e Melo Marques, T.C.L.L.; de Oliveira Gonçalves Nogueira, M.; de Castro, E.M.; Soares, A.M. Ecophysiological and anatomical changes due to uptake and accumulation of heavy metal in Brachiaria decumbens. Marcelo Sci. Agric. 2011, 68, 566–573. [Google Scholar] [CrossRef]
- Guidi Nissim, W.; Pitre, F.E.; Teodorescu, T.I.; Labrecque, M. Long-term biomass productivity of willow bioenergy plantations maintained in southern Quebec, Canada. Biomass Bioenerg. 2013, 56, 361–369. [Google Scholar] [CrossRef]
- Labrecque, M.; Teodorescu, I.T. Field performance and biomass production of 12 willow and poplar clones in short-rotation coppice in southern Quebec (Canada). Biomass Bioenerg. 2005, 29, 1–9. [Google Scholar] [CrossRef]
- Wuytack, T.; Verheyen, K.; Wuyts, K.; Kardel, F.; Adriaenssens, S.; Samson, R. The potential of biomonitoring of air quality using leaf characteristics of white willow (Salix alba L.). Environ. Monit Assess 2010, 171, 197–204. [Google Scholar] [CrossRef] [PubMed]
- Pataky, S. Comparison of the leaf epidermis of Salix alba L. in different regions of the leafy crown. Acta Biol. Szeged 1969, 15, 29–36. [Google Scholar]
- Baryla, A.; Carrier, P.; Franck, F.; Coulomb, C.; Sahut, C.; Havaux, M. Leaf cloroses in oilseed rape plants (Brassica napus) grown o cadmiumpolluted soil: Causes and consequences for photosynthesis and growth. Planta 2001, 212, 696–709. [Google Scholar] [CrossRef] [PubMed]
- Chardonnens, A.N.; Ten Bookum, W.M.; Kuijper, D.J.; Verkleij, J.A.C.; Ernst, W.H.O. Distribution of cadmium in leaves of cadmium tolerant and sensitive ecotypes of Silene vulgaris. Physiol. Plant. 1998, 104, 75–80. [Google Scholar] [CrossRef]
- Melo, H.C.; Castro, E.M.; Soares, A.M.; Melo, L.A.; Alves, J.D. Anatomical and physiological alterations in Setaria anceps Stapf ex Massey and Paspalum paniculatum L. under water deficit conditions. Hoehnea 2007, 34, 145–153, (In Portuguese, with Abstract in English). [Google Scholar] [CrossRef]







| Parameter | Soil (2011) | MSSC (2016) | WA (2016) | MSS (2018) | WA (2018) |
|---|---|---|---|---|---|
| pH-H2O | 8.10 | 5.93 | 10.9 | 7.11 | - |
| pH-KCl | 7.52 | 5.91 | 10.7 | - | - |
| Total salt (m m−1 %) | <0.02 | 3.34 | 1.17 | - | - |
| Water-soluble salt content (m m−1 %) | - | - | - | 1.80 | - |
| CaCO3 (m m−1 %) | 4.80 | 0 | - | - | - |
| CEC (cmolc kg−1) | 10.4 | - | - | - | - |
| Humus (m m−1 %) | 1.51 | - | - | - | - |
| Total C (m m−1 %) | - | 10.4 | - | - | - |
| Total N (m m−1 %) | - | 1.84 | - | 12,371 | - |
| NH4-N (mg kg−1) | - | 169 | 0 | 357 | - |
| NO3-N (mg kg−1) | - | 42.3 | 0 | 34.4 | - |
| P (mg kg−1) | 621 | 18,876 | 6472 | 4695 | 25,403 |
| K (mg kg−1) | 2918 | 3424 | 16,508 | 3077 | 54,248 |
| Ca (mg kg−1) | 16,307 | 39,294 | 43,074 | 34,724 | 187,550 |
| Mg (mg kg−1) | 4603 | 4479 | 7991 | 7049 | 35,348 |
| As (mg kg−1) | 9.60 | 12.2 | 10.2 | 31.0 | 18.5 |
| Ba (mg kg−1) | 57.5 | 212 | 267 | 596 | 403 |
| Cd (mg kg−1) | 0.21 | 0.55 | 2.38 | 1.23 | 0.60 |
| Cr (mg kg−1) | 13.7 | 19.3 | 9.66 | 1142 | 9.10 |
| Cu (mg kg−1) | 9.18 | 79.0 | 133 | 198 | 130 |
| Mn (mg kg−1) | 372 | 318 | 553 | 520 | 670 |
| Ni (mg kg−1) | 14.0 | 15.1 | 10.9 | 62.8 | 14.2 |
| Pb (mg kg−1) | 9.89 | 22.0 | 12.1 | 278 | 26.7 |
| Zn (mg kg−1) | 35.5 | 357 | 1757 | 978 | 1853 |
| PTE * mg kg−1 | Soil Treatments (2011, 2013, and 2016) | |||
|---|---|---|---|---|
| Control | MSSC | WA | MSSC + WA | |
| Soil depth 0–25 cm (sampling June 2018) | ||||
| As | 8.45 a | 22.3 d | 13.4 b | 19.8 c |
| Ba | 97.8 a | 130 c | 117 b | 127 c |
| Cd | 0.291 a | 0.805 d | 0.470 b | 0.642 c |
| Cr | 9.51 a | 18.0 c | 9.58 a | 12.0 b |
| Cu | 11.3 a | 15.5 d | 12.4 b | 13.7 c |
| Mn | 263 a | 429 b | 481 d | 454 c |
| Ni | 11.3 a | 14.9 d | 12.6 b | 13.9 c |
| Pb | 15.4 a | 35.3 d | 16.6 b | 23.1 c |
| Zn | 40.3 a | 51.4 b | 55.6 d | 54.0 c |
| Soil Treatment (2018) | ||||
| Control | MSS | WA | MSS + WA | |
| Soil depth 0–30 cm (sampling September 2020) | ||||
| As | 9.19 a | 35.6 d | 27.3 b | 30.4 c |
| Ba | 56.0 a | 67.3 d | 59.6 b | 63.5 c |
| Cd | 0.214 a | 0.625 d | 0.391 b | 0.494 c |
| Cr | 12.6 a | 17.5 c | 13.1 a | 15.8 b |
| Cu | 9.47 a | 12.0 d | 10.1 b | 11.2 c |
| Mn | 368 a | 482 b | 529 b | 500 b |
| Ni | 13.5 a | 14.1 b | 14.9 c | 14.7 c |
| Pb | 10.1 a | 13.7 d | 11.4 b | 12.4 c |
| Zn | 35.3 a | 40.2 b | 43.2 b | 41.9 b |
| PTE * (μg g−1) | Soil Treatments (2011, 2013, 2016, and 2018) | |||
|---|---|---|---|---|
| Control | MSSC + MSS | WA | MSSC + MSS + WA | |
| Willow leaves (June 2019) | ||||
| As | 0.176 a | 0.295 d | 0.200 b | 0.243 c |
| Ba | 4.66 b | 4.22 a | 6.89 d | 5.47 c |
| Cd | 0.847 b | 0.913 d | 0.792 a | 0.883 c |
| Cr | 0.266 a | 0.543 d | 0.348 b | 0.461 c |
| Cu | 8.04 a | 8.99 c | 8.40 b | 8.54 b |
| Mn | 35.8 a | 34.3 a | 41.1 c | 37.9 b |
| Ni | 1.06 b | 1.57 d | 0.97 c | 1.21 c |
| Pb | 0.097 a | 0.308 c | 0.114 a | 0.220 b |
| Zn | 79.7 c | 67.9 a | 79.9 c | 73.0 b |
| Control | MSSC + MSS | WA | MSSC + MSS + WA | |
|---|---|---|---|---|
| Lamina thickness (µm) | 160.37 ± 4.41 d | 108.3 ± 2.17 a | 129.14 ± 1.63 c | 115.93 ± 2.25 b |
| Mesophyll thickness (µm) | 138.54 ± 3.031 d | 89.01 ± 1.14 a | 108.58 ± 1.21 c | 102.62 ± 1.69 b |
| Adaxial epidermis (µm) | 8.62 ± 0.36 c | 6.43 ± 0.52 a | 7.53 ± 0.23 b | 10.27 ± 0.55 d |
| Abaxial epidermis (µm) | 7.73 ± 0.45 d | 5.82 ± 0.53 c | 4.07 ± 0.24 b | 3.24 ± 0.46 a |
| Adaxial cuticule (µm) | 2.67 ± 0.23 c | 1.67 ± 0.30 a | 2.11 ± 0.03 b | 1.60 ± 0.05 a |
| Abaxial cuticule (µm) | 2.53 ± 0.16 d | 0.79 ± 0.18 a | 2.01 ± 0.07 c | 1.07.06 b |
| Palisade mesophyll (µm) | 108.34 ± 4.17 c | 62.27 ± 1.96 a | 72.12 ± 2.99 b | 71.75 ± 3.33 b |
| Spongy mesophyll (µm) | 26.01 ± 1.98 a | 25.49 ± 1.76 a | 35.76 ± 3.13 b | 47.19 ± 1.53 c |
| Midrib height (µm) | 904.82 ± 2.91 d | 775.11 ± 11.88 a | 828.3 ± 3.30 b | 883.40 ± 7.76 c |
| Midrib width (µm) | 952.26 ± 0.71 b | 893.31 ± 4.39 a | 995.60 ± 9.85 c | 1032.01 ± 15.53 d |
| Midrib extent (µm2) | 632,852.38 ± 87.47 c | 514,054.48 ± 40.88 a | 599,965.83 ± 103.18 b | 638,752.14 ± 66.71 d |
| Vascular bundle height (µm) | 402.85 ± 1.52 d | 312.11 ± 1.99 a | 364.26 ± 4.39 b | 371.77 ± 2.12 c |
| Vascular bundle width (µm) | 604.72 ± 1.47 c | 546.06 ± 4.16 a | 581.12 ± 1.57 b | 578.88 ± 1.83 b |
| Vascular bundle extent (µm2) | 187,072.23 ± 34.89 d | 153,676.29 ± 33.63 a | 184,343.58 ± 226.64 c | 17,7624.96 ± 35.36 b |
| Adaxial sclerenchyma thickness (µm) | 16,465.33 ± 68.25 d | 6812.55 ± 26.22 a | 11,118.63 ± 18.76 b | 11,379.74 ± 21.03 c |
| Abaxial sclerenchyma thickness (µm) | 32,067.16 ± 24.33 c | 3176.68 ± 11.40 a | 16,218.54 ± 16.95 b | 41,974.58 ± 54.26 d |
| Adaxial collenchyma thickness (µm) | 26,203.77 ± 35.91 c | 17,548.54 ± 11.64 a | 17,832.75 ± 28.88 b | 38,359.65 ± 30.90 d |
| Abaxial collenchyma thickness (µm) | 67,517.32 ± 94.92 b | 46,571.19 ± 19.62 a | 53,397.95 ± 16.31 b | 58,152.39 ± 35.01 c |
| Stomatal density (no./mm2) | 167.4 ± 3.20 a | 327.9 ± 13.4 d | 203.1 ± 6.45 b | 222.4 ± 6.47 c |
| Width of stomatal complexes (µm) | 18.59 ± 0.1 d | 12.25 ± 0.25 a | 15.48 ± 0.09 c | 14.25 ± 0.13 b |
| Length of stomatal complexes (µm) | 28.25 ± 0.18 cd | 21.91 ± 0.89 a | 27.78 ± 0.25 c | 24.87 ± 0.47 b |
Disclaimer/Publisher’s Note: The statements, opinions and data contained in all publications are solely those of the individual author(s) and contributor(s) and not of MDPI and/or the editor(s). MDPI and/or the editor(s) disclaim responsibility for any injury to people or property resulting from any ideas, methods, instructions or products referred to in the content. |
© 2024 by the authors. Licensee MDPI, Basel, Switzerland. This article is an open access article distributed under the terms and conditions of the Creative Commons Attribution (CC BY) license (https://creativecommons.org/licenses/by/4.0/).
Share and Cite
Tóth, C.; Simon, L.; Tóth, B. Microanatomical Properties of Energy Willow (Salix spp.) Leaves after Exposure to Potentially Toxic Elements from Wastewater Solids and Wood Ash. Agronomy 2024, 14, 1625. https://doi.org/10.3390/agronomy14081625
Tóth C, Simon L, Tóth B. Microanatomical Properties of Energy Willow (Salix spp.) Leaves after Exposure to Potentially Toxic Elements from Wastewater Solids and Wood Ash. Agronomy. 2024; 14(8):1625. https://doi.org/10.3390/agronomy14081625
Chicago/Turabian StyleTóth, Csilla, László Simon, and Brigitta Tóth. 2024. "Microanatomical Properties of Energy Willow (Salix spp.) Leaves after Exposure to Potentially Toxic Elements from Wastewater Solids and Wood Ash" Agronomy 14, no. 8: 1625. https://doi.org/10.3390/agronomy14081625
APA StyleTóth, C., Simon, L., & Tóth, B. (2024). Microanatomical Properties of Energy Willow (Salix spp.) Leaves after Exposure to Potentially Toxic Elements from Wastewater Solids and Wood Ash. Agronomy, 14(8), 1625. https://doi.org/10.3390/agronomy14081625

