In Vitro Microrhizome Production, Genetic Homogeneity Assessment, and Field Performance Evaluation in Ginger
Abstract
1. Introduction
2. Materials and Methods
2.1. Plant Materials
2.2. Microrhizome Induction
2.3. Water Loss Rate Analysis and Sprouting Tests
2.4. Increasing the Fresh Weight of Microrhizomes
2.5. Plant Establishment for the Field Experiment
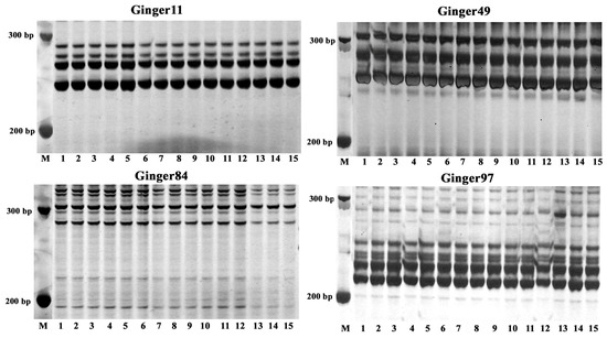
2.6. Genetic Homogeneity Assessment
2.7. Field Performance Evaluation
2.8. Statistical Analysis
3. Results
3.1. Effects of Different Culture Condition Combinations on Microrhizome Induction
3.2. Validation Experiment
3.3. Effects of Various Sizes and Air-Drying Duration on Water Loss Rate and Sprouting Percentage in Microrhizomes
3.4. Effects of Culture Duration and Sucrose Concentration on Microrhizome Fresh Weight
3.5. Genetic Homogeneity Assessment of the Established Plants by Flow Cytometry and SSR Marker Analysis
3.6. Field Performance Evaluation of the Three Types of Plants
4. Discussion
5. Conclusions
Supplementary Materials
Author Contributions
Funding
Data Availability Statement
Conflicts of Interest
References
- Mustafa, I.; Chin, N.L. Antioxidant properties of dried ginger (Zingiber officinale Roscoe) var. Bentong. Foods 2023, 12, 178. [Google Scholar] [CrossRef]
- Garza-Cadena, C.; Ortega-Rivera, D.M.; Machorro-García, G.; Gonzalez-Zermeño, E.M.; Homma-Dueñas, D.; Plata-Gryl, M.; Castro-Muñoz, R. A comprehensive review on Ginger (Zingiber officinale) as a potential source of nutraceuticals for food formulations: Towards the polishing of gingerol and other present biomolecules. Food Chem. 2023, 413, 135629. [Google Scholar] [CrossRef]
- Subbarayudu, S.; Shankar Naik, B.; Sunitibala Devi, H.; Bhau, B.S.; Shaik Sha Valli Khan, P. Microsporogenesis and pollen formation in Zingiber officinale Roscoe. Plant Syst. Evol. 2014, 300, 619–632. [Google Scholar] [CrossRef]
- Guji, M.J.; Yetayew, H.T.; Kidanu, E.D. Yield loss of ginger (Zingiber officinale) due to bacterial wilt (Ralstonia solanacearum) in different wilt management systems in Ethiopia. Agric. Food Secur. 2019, 8, 5. [Google Scholar] [CrossRef]
- Zhou, J.; Liu, X.; Sun, C.; Li, G.; Yang, P.; Jia, Q.; Cai, X.; Zhu, Y.; Yin, J.; Liu, Y. Silica nanoparticles enhance the disease resistance of ginger to rhizome rot during postharvest storage. Nanomaterials 2022, 12, 1418. [Google Scholar] [CrossRef]
- Salokhe, S. Development of an efficient protocol for production of healthy sugarcane seed cane through Meristem culture. J. Agric. Food Res. 2021, 4, 100126. [Google Scholar] [CrossRef]
- Kim, S.H.; Zebro, M.; Jang, D.C.; Sim, J.E.; Park, H.K.; Kim, K.Y.; Bae, H.M.; Tilahun, S.; Park, S.M. Optimization of plant growth regulators for in vitro mass propagation of a disease-free ‘Shine Muscat’ grapevine cultivar. Curr. Issues Mol. Biol. 2023, 45, 7721–7733. [Google Scholar] [CrossRef]
- Sharma, T.R.; Singh, B.M. High-frequency in vitro multiplication of disease-free Zingiber officinale Rosc. Plant Cell Rep. 1997, 17, 68–72. [Google Scholar] [CrossRef]
- Zhao, X.; Yu, S.; Wang, Y.; Jiang, D.; Zhang, Y.; Hu, L.; Zhu, Y.; Jia, Q.; Yin, J.; Liu, Y.; et al. Field performance of disease-free plants of ginger produced by tissue culture and agronomic, cytological, and molecular characterization of the morphological variants. Agronomy 2022, 13, 74. [Google Scholar] [CrossRef]
- Lincy, A.K.; Jayarajan, K.; Sasikumar, B. Relationship between vegetative and rhizome characters and final rhizome yield in micropropagated ginger plants (Zingiber officinale Rosc.) over two generations. Sci. Hortic. 2008, 118, 70–73. [Google Scholar] [CrossRef]
- Asayesh, Z.M.; Vahdati, K.; Aliniaeifard, S. Investigation of physiological components involved in low water conservation capacity of in vitro walnut plants. Sci. Hortic. 2017, 224, 1–7. [Google Scholar] [CrossRef]
- Duan, J.X.; Duan, Q.X.; Zhang, S.F.; Cao, Y.M.; Cai, X.D. Morphological, physiological, anatomical and histochemical responses of micropropagated plants of Trichosanthes kirilowii to hydroponic and soil conditions during acclimatization. Plant Cell Tissue Organ Cult. 2020, 142, 177–186. [Google Scholar] [CrossRef]
- Osório, M.L.; Gonçalves, S.; Coelho, N.; Osório, J.; Romano, A. Morphological, physiological and oxidative stress markers during acclimatization and field transfer of micropropagated Tuberaria major plants. Plant Cell Tissue Organ Cult. 2013, 115, 85–97. [Google Scholar] [CrossRef]
- Nayak, S. In vitro multiplication and microrhizome induction in Curcuma aromatica Salisb. Plant Growth Regul. 2000, 32, 41–47. [Google Scholar] [CrossRef]
- Ho, N.T.H.; Thien, P.T.; Nhat, Q.H.; Hoang, A.N.; Ngoc, T.L.T.; Bao, L.N.D.; Minh, N.N.T.; Bich, P.T.T. Microrhizome induction and curcumin accumulation in Curcuma aromatica Salisb. Acta Agrobot. 2023, 75, 7511. [Google Scholar]
- Anjum, A.; Quraishi, A. Enhanced epicurzerenone production via in vitro elicitation of microrhizomes of Curcuma caesia Roxb. In Vitro Cell. Dev. Biol. Plant 2023, 59, 825–838. [Google Scholar] [CrossRef]
- Labrooy, C.; Abdullah, T.L.; Stanslas, J. Influence of N6-benzyladenine and sucrose on in vitro direct regeneration and microrhizome induction of Kaempferia parviflora Wall. Ex Baker, an important ethnomedicinal herb of Asia. Trop. Life Sci. Res. 2020, 31, 123–139. [Google Scholar] [CrossRef]
- Shirgurkar, M.V.; John, C.K.; Nadgauda, R.S. Factors affecting in vitro microrhizome production in turmeric. Plant Cell Tissue Organ Cult. 2001, 64, 5–11. [Google Scholar] [CrossRef]
- Devi, N.S.; Kishor, R.; Sharma, G.J. Microrhizome induction in Acorus calamus Linn.—An important medicinal and aromatic plant. Hort. Environ. Biotechnol. 2012, 53, 410–414. [Google Scholar] [CrossRef]
- Brijesh, H.; Ajjappala, B. Micropropagation strategies in medicinally important turmeric (Curcuma sp.): Current research and future challenges. J. Appl. Biol. Biotechnol. 2023, 11, 1–8. [Google Scholar] [CrossRef]
- Quraishi, A.; Mehar, S.; Sahu, D.; Jadhav, S.K. In vitro mid-term conservation of Acorus calamus L. via cold storage of encapsulated microrhizome. Braz. Arch. Biol. Technol. 2017, 60, e17160378. [Google Scholar] [CrossRef]
- Rani, M.; Shylaja, M.R.; Mathew, D.; Girija, D.; Shankar, M.A.; Sureshkumar, P.; Beena, C. Potential of microrhizomes for in vitro gingerol and shogaol synthesis in ginger (Zingiber officinale Rosc.). Proc. Natl. Acad. Sci. USA 2022, 92, 121–129. [Google Scholar] [CrossRef]
- Rout, G.R.; Palai, S.K.; Samantaray, S.; Das, P. Effect of growth regulator and culture conditions on shoot multiplication and rhizome formation in ginger (Zingiber officinale Rosc.) in vitro. In Vitro Cell. Dev. Biol. Plant 2001, 37, 814–819. [Google Scholar] [CrossRef]
- Zheng, Y.; Liu, Y.; Ma, M.; Xu, K. Increasing in vitro microrhizome production of ginger (Zingiber officinale Roscoe). Acta Physiol. Plant 2008, 30, 513–519. [Google Scholar] [CrossRef]
- David, D.; Chuwan, L.E.; Gansau, J.A. Optimizing sucrose and BAP concentrations for in vitro microrhizome induction of Zingiber officinale Rosc. ‘Tambunan’. Malays. Appl. Biol. 2018, 47, 47–52. [Google Scholar]
- Zahid, N.A.; Jaafar, H.Z.E.; Hakiman, M. Alterations in microrhizome induction, shoot multiplication and rooting of ginger (Zingiber officinale Roscoe) var. Bentong with regards to sucrose and plant growth regulators application. Agronomy 2021, 11, 320. [Google Scholar] [CrossRef]
- Thingbaijam, D.S.; Huidrom, D.S. High frequency plant regeneration system from transverse thin cell layer section of in vitro derived ‘Nadia’ ginger microrhizome. Not. Sci. Biol. 2014, 6, 85–91. [Google Scholar] [CrossRef]
- An, N.H.; Chien, T.T.M.; Nhi, H.T.H.; Nga, N.T.M.; Phuc, T.T.; Thuy, L.T.N.; Thanh, T.V.B.; Nguyen, P.T.T.; Phuong, T.T.B. The effects of sucrose, silver nitrate, plant growth regulators, and ammonium nitrate on microrhizome induction in perennially-cultivated ginger (Zingiber officinale Roscoe) from Hue, Vietnam. Acta Agrobot. 2020, 73, 7329. [Google Scholar] [CrossRef]
- Abbas, M.; Aly, U.; Taha, H.; Gaber, E.S. In vitro production of microrhizomes in ginger (Zingiber officinale Rosco). J. Microbiol. Biotech. Food Sci. 2014, 4, 142–148. [Google Scholar] [CrossRef]
- Singh, T.D.; Chakpram, L.; Devi, H.S. Induction of in vitro microrhizomes using silver nitrate in Zingiber officinale Rosc. var. Baishey and Nadia. Indian J. Biotechnol. 2014, 13, 256–262. [Google Scholar]
- Mehaboob, V.M.; Faizal, K.; Shamsudheen, K.M.; Raja, P.; Thiagu, G.; Shajahan, A. Direct organogenesis and microrhizome production in ginger (Zingiber officinale Rosc.). J. Pharmacogn. Phytochem. 2019, 8, 2880–2883. [Google Scholar]
- Swarnathilaka, D.B.R.; Kottearachchi, N.S.; Weerakkody, W.J.S.K. Factors affecting on induction of microrhizomes in ginger (Zingiber officinale Rosc.), cultivar local from Sri Lanka. Br. Biotechnol. J. 2016, 12, 1–7. [Google Scholar] [CrossRef]
- Monthony, A.S.; Page, S.R.; Hesami, M.; Jones, A.M.P. The past, present and future of Cannabis sativa Tissue culture. Plants 2021, 10, 185. [Google Scholar] [CrossRef] [PubMed]
- Ahmad, Z.; Yadav, V.; Shahzad, A.; Emamverdian, A.; Ramakrishnan, M.; Ding, Y. Micropropagation, encapsulation, physiological, and genetic homogeneity assessment in Casuarina equisetifolia. Front. Plant Sci. 2022, 13, 905444. [Google Scholar] [CrossRef] [PubMed]
- Zhang, Y.; Zhang, J.; Yin, J.; Liu, Y.; Cai, X. Plant regeneration via organogenesis in Jerusalem artichokes and comparative analysis of endogenous hormones and antioxidant enzymes in typical and atypical shoots. Plants 2023, 12, 3789. [Google Scholar] [CrossRef] [PubMed]
- Nayak, S.; Naik, P.K. Factors effecting in vitro microrhizome formation and growth in Curcuma longa L. and improved field performance of micropropagated plants. Sci. Asia 2006, 32, 31–37. [Google Scholar] [CrossRef]
- Murashige, T.; Skoog, F. A revised medium for rapid growth and bioassays with tobacco tissue cultures. Physiol. Plant. 1962, 15, 473–497. [Google Scholar] [CrossRef]
- Qu, C.L.; Lin, S.M.; Potiyaraj, P.; Meng, L.; Wu, C.S.; Yuan, L.; Luo, X.; Ge, F.F.; Tsou, C.H. Polymer packaging through the blending of biowaste oyster shell and low-density polyethylene: A sustainable approach for enhanced food preservation. Polymers 2023, 15, 3977. [Google Scholar] [CrossRef]
- Zhang, Y.S.; Chen, J.J.; Cao, Y.M.; Duan, J.X.; Cai, X.D. Induction of tetraploids in ‘Red Flash’ caladium using colchicine and oryzalin: Morphological, cytological, photosynthetic and chilling tolerance analysis. Sci. Hortic. 2020, 272, 109524. [Google Scholar] [CrossRef]
- Fulton, T.M.; Chunwongse, J.; Tanksley, S.D. Microprep protocol for extraction of DNA from tomato and other herbaceous plants. Plant Mol. Biol. Rep. 1995, 13, 207–209. [Google Scholar] [CrossRef]
- Yu, S.; Zhao, X.; Wang, Y.; Jiang, D.; Zhang, Y.; Hu, L.; Liu, Y.; Cai, X. Morphological, cytological, and molecular-based genetic stability analysis of in vitro-propagated plants from newly induced aneuploids in caladium. Agriculture 2022, 12, 1708. [Google Scholar] [CrossRef]
- Zambrano Blanco, E.; Baldin Pinheiro, J. Agronomic evaluation and clonal selection of ginger genotypes (Zingiber officinale Roscoe) in Brazil. Agron. Colomb. 2017, 35, 275–284. [Google Scholar] [CrossRef]
- Hussein, S.A.; Noori, A.M.; Kanber, H.S. Stratification period with different agricultural media roll on seeds germination ratio and humic acid fertilization on apricot seedlings Prunus armeniaca L. growth. Plant Cell Biotech. Mol. Biol. 2020, 21, 23–29. [Google Scholar]
- Ascough, G.D.; van Staden, J.; Erwin, J.E. In vitro storage organ formation of ornamental geophytes. Hortic. Rev. 2008, 34, 417–445. [Google Scholar] [CrossRef]
- Wu, L.; Li, H.; Jiang, Y.; Sun, C.; Zou, Y.; Liu, Y. Effect of waxing on postharvest quality and storability of ginger (Zingiber officinal Roscoe). Pak. J. Bot. 2020, 52, 147–153. [Google Scholar] [CrossRef] [PubMed]
- Olakunle, O.J.; Olusoga, S.; Batola, L.A.; Atanda, T.T. Effects of pre-storage treatments on sprouting and nutritional quality of ginger (Zingiber officinale Rosc.) rhizomes in different storage periods. Int. J. Agric. 2016, 1, 41–50. [Google Scholar]
- Krishna, H.; Alizadeh, M.; Singh, D.; Singh, U.; Chauhan, N.; Eftekhari, M.; Sadh, R.K. Somaclonal variations and their applications in horticultural crops improvement. 3 Biotech 2016, 6, 54. [Google Scholar] [CrossRef]
- Abd El-Hameid, A.R.; Abo El-kheir, Z.A.; Abdel-Hady, M.S.; Helmy, W.A. Identification of DNA variation in callus derived from Zingiber officinale and anticoagulation activities of ginger rhizome and callus. Bull. Natl. Res. Cent. 2020, 44, 28. [Google Scholar] [CrossRef][Green Version]
- Mahender, B.; Reddy, P.S.S.; Sivaram, G.T.; Balakrishna, M.; Prathap, B. Effect of seed rhizome size and plant spacing on growth, yield and quality of ginger (Zingiber officinale Rosc.) under coconut cropping system. Plant Arch. 2015, 15, 769–774. [Google Scholar]








| Treatments | Factors | No. of Induced Microrhizomes per Explant | Average Microrhizome Fresh Weight (mg) | ||
|---|---|---|---|---|---|
| (A) BAP (mg·L−1) | (B) Sucrose (g·L−1) | (C) Photoperiod (h) | |||
| T1 | 1 (1.0) | 1 (60) | 1 (12) | 0.46 ± 0.07 | 29.8 ± 8.0 |
| T2 | 1 (1.0) | 2 (80) | 2 (16) | 1.63 ± 0.22 | 50.9 ± 0.6 |
| T3 | 1 (1.0) | 3 (100) | 3 (20) | 3.02 ± 0.76 | 83.4 ± 9.4 |
| T4 | 2 (2.0) | 1 (60) | 2 (16) | 1.21 ± 0.33 | 157.6 ± 26.7 |
| T5 | 2 (2.0) | 2 (80) | 3 (20) | 1.98 ± 0.45 | 183.5 ± 13.8 |
| T6 | 2 (2.0) | 3 (100) | 1 (12) | 7.88 ± 1.54 | 130.8 ± 20.3 |
| T7 | 3 (3.0) | 1 (60) | 3 (20) | 5.07 ± 0.81 | 134.2 ± 13.1 |
| T8 | 3 (3.0) | 2 (80) | 1 (12) | 8.31 ± 1.69 | 159.6 ± 27.7 |
| T9 | 3 (3.0) | 3 (100) | 2 (16) | 11.42 ± 1.16 | 100.8 ± 12.0 |
| Analysis Parameters | No. of Induced Microrhizomes per Explant | Microrhizome Fresh Weight (mg) | ||||
|---|---|---|---|---|---|---|
| (A) BAP | (B) Sucrose | (C) Photoperiod | (A) BAP | (B) Sucrose | (C) Photoperiod | |
| k1 | 1.70 | 2.25 | 5.55 | 54.71 | 107.21 | 106.74 |
| k2 | 3.69 | 3.97 | 4.76 | 157.27 | 131.34 | 103.09 |
| k3 | 8.27 | 7.44 | 3.36 | 131.55 | 104.98 | 133.69 |
| Range | 6.56 | 5.19 | 2.19 | 102.56 | 26.36 | 30.60 |
| The sorting | A > B > C | A > C > B | ||||
| Optimal level | A3 | B3 | C1 | A2 | B2 | C3 |
| Characters | TC | MR | FMR |
|---|---|---|---|
| Plant height (cm) | 63.3 ± 10.3 b | 83.7 ± 10.6 a | 70.3 ± 4.2 ab |
| No. of tillers per plant | 13.7 ± 2.5 ab | 17.1 ± 1.9 a | 11.4 ± 2.7 b |
| Main tiller diameter (mm) | 6.3 ± 1.3 a | 7.8 ± 0.4 a | 8.0 ± 0.5 a |
| Leaf SPAD value | 41.1 ± 2.3 a | 43.7 ± 1.7 a | 44.3 ± 1.7 a |
| No. of leaves on the main tiller | 16.8 ± 4.0 a | 20.2 ± 0.2 a | 15.8 ± 0.3 a |
| Leaf length (cm) | 16.7 ± 1.5 a | 19.3 ± 1.4 a | 19.9 ± 1.9 a |
| Leaf width (cm) | 1.9 ± 0.3 b | 2.3 ± 0.2 ab | 2.5 ± 0.3 a |
| Leaf length/width ratio | 8.8 ± 0.8 a | 8.6 ± 0.5 a | 7.9 ± 0.4 a |
| Rhizome length (cm) | 12.8 ± 0.5 ab | 15.1 ± 2.3 a | 9.8 ± 1.8 b |
| Rhizome width (cm) | 3.8 ± 0.3 b | 5.3 ± 0.9 a | 4.7 ± 0.7 ab |
| Rhizome fresh weight per plant (g) | 97.2 ± 11.2 b | 206.1 ± 38.0 a | 121.8 ± 16.4 b |
| No. of rhizome fingers per plant | 16.3 ± 4.3 ab | 18.5 ± 2.0 a | 12.9 ± 1.6 b |
| Fresh weight per rhizome finger (g) | 6.1 ± 1.4 b | 11.9 ± 2.1 a | 11.5 ± 3.1 a |
| Volume per rhizome finger (cm2) | 5.5 ± 0.9 b | 10.5 ± 1.5 a | 10.2 ± 0.7 a |
| Aboveground biomass per plant (g) | 94.2 ± 9.3 b | 157.1 ± 41.4 a | 89.1 ± 20.1 b |
| Root fresh weight per plant (g) | 22.0 ± 5.2 b | 38.4 ± 9.1 a | 25.0 ± 3.2 b |
| Root/shoot ratio | 0.24 ± 0.07 a | 0.25 ± 0.04 a | 0.29 ± 0.05 a |
| Dry matter percentage (%) | 16.0 ± 2.2 a | 16.5 ± 3.2 a | 15.7 ± 1.2 a |
Disclaimer/Publisher’s Note: The statements, opinions and data contained in all publications are solely those of the individual author(s) and contributor(s) and not of MDPI and/or the editor(s). MDPI and/or the editor(s) disclaim responsibility for any injury to people or property resulting from any ideas, methods, instructions or products referred to in the content. |
© 2024 by the authors. Licensee MDPI, Basel, Switzerland. This article is an open access article distributed under the terms and conditions of the Creative Commons Attribution (CC BY) license (https://creativecommons.org/licenses/by/4.0/).
Share and Cite
Yu, S.; Hu, L.; Liu, Y.; Cai, X. In Vitro Microrhizome Production, Genetic Homogeneity Assessment, and Field Performance Evaluation in Ginger. Agronomy 2024, 14, 747. https://doi.org/10.3390/agronomy14040747
Yu S, Hu L, Liu Y, Cai X. In Vitro Microrhizome Production, Genetic Homogeneity Assessment, and Field Performance Evaluation in Ginger. Agronomy. 2024; 14(4):747. https://doi.org/10.3390/agronomy14040747
Chicago/Turabian StyleYu, Shuangying, Liu Hu, Yiqing Liu, and Xiaodong Cai. 2024. "In Vitro Microrhizome Production, Genetic Homogeneity Assessment, and Field Performance Evaluation in Ginger" Agronomy 14, no. 4: 747. https://doi.org/10.3390/agronomy14040747
APA StyleYu, S., Hu, L., Liu, Y., & Cai, X. (2024). In Vitro Microrhizome Production, Genetic Homogeneity Assessment, and Field Performance Evaluation in Ginger. Agronomy, 14(4), 747. https://doi.org/10.3390/agronomy14040747

