Next Article in Journal
Morphological and Transcriptome Analysis of Flooding Mitigation of the Damage Induced by Low-Temperature Stress on Direct-Seeded Early Indica Rice at the Seedling Stage
Previous Article in Journal
Genetic Diversity and Population Structure in Solanum nigrum Based on Single-Nucleotide Polymorphism (SNP) Markers
 
 
Font Type:
Arial Georgia Verdana
Font Size:
Aa Aa Aa
Line Spacing:
Column Width:
Background:
Article

Development of a Multiplex RT-PCR Assay for Simultaneous Detection of Ten Major Viral Pathogens of Wheat

1
Department of Agronomy, Purdue University, 915 West State Street, West Lafayette, IN 47907-2054, USA
2
USDA-Agricultural Research Service, Crop Production and Pest Control Research, West Lafayette, IN 47907-2054, USA
*
Author to whom correspondence should be addressed.
Agronomy 2023, 13(3), 833; https://doi.org/10.3390/agronomy13030833
Submission received: 7 February 2023 / Revised: 2 March 2023 / Accepted: 9 March 2023 / Published: 13 March 2023
(This article belongs to the Section Pest and Disease Management)

Abstract

Triticum mosaic virus (TriMV) and High plains virus (HPV), identified recently, have been considered among the major viruses that affect wheat. Carried by the same vector, wheat curl mite, both of these viruses cause yellowing and stunting of plants which are very similar to many other viruses attacking wheat. This makes it difficult to detect these viruses in different wheat lines, posing a major problem in the yield. This paper highlights the addition of these two viruses to a multiplex RT-PCR based method which already detected the presence of barley and cereal yellow dwarf viruses (B/CYDVs), soil-borne wheat mosaic virus (SBWMV), wheat spindle streak mosaic virus (WSSMV), and wheat streak mosaic virus (WSMV). The method uses specific sets of primers that detect the target viruses TriMV and HPV at 560 bp and 490 bp, respectively, in the presence of other distinct viruses such as B/CYDVs -PAV, -MAV, -SGV, -RPV, -RMV, WSSMV, SBWMV, and WSMV at 295, 175, 237, 400, 365, 154, 219, and 193 bp, respectively. The forward primer for each specific virus was fluorescently tagged to detect it in a higher throughput manner in capillary electrophoresis. All ten viruses may be viewed as peaks in an electropherogram from the capillary electrophoresis corresponding to their product sizes in base pairs. This advancement in the protocol allows detection of all ten wheat viruses in a single test, thus improving the diagnostic capability with only a slight increase in cost.

1. Introduction

Viral diseases in cereals have gained importance during the last few decades. Several viruses belonging to different families have been found to infect wheat (Triticum aestivum L.) at different levels, causing significant yield losses across the United States. They can be grossly distinguished in terms of being soil borne or insect transmitted. While the soil-borne Polymyxa graminis transmits the wheat spindle streak mosaic virus (WSSMV) and soil-borne wheat mosaic virus (SBWMV), some other viruses such as barley and cereal yellow dwarf virus (B/CYDV) and wheat streak mosaic virus (WSMV) are transmitted by aphids and wheat curl mite, respectively. Two more viruses transmitted by mites have been identified as High Plains virus (HPV) [1,2] and Triticum mosaic virus (TriMV) [3] to cause High Plains disease. The growing importance of detecting and controlling HPV and TriMV has led us to include these in the previously developed multiplex diagnostic test which detects the B/CYDVs, WSSMV, SBWMV, and WSMV [4].
Identified as an unknown pathogen infecting corn in 1993 [5,6], HPV has been a growing concern in different states of the High Plains in the United States [6]. High Plains disease has been characterized by the development of chlorotic spots evolving into stunting and eventually leading to the death of the plant. With environmental conditions playing a major role, several other factors such as host susceptibility, plant stage at the time of infection, and combinations of other infecting viruses contribute towards the intensity of the infection by this virus. Immunogold labeling experiments demonstrated thread-like particles from infected maize leaves under an electron microscope as a potential pathogen on the High Plains [7]. On further analysis of the nucleic acid complement from infected leaf tissue, a putative viral coat protein of ~32 kDa associated with this virus was identified by SDS-PAGE [8] and the sequence from the encoded protein was then submitted to the GenBank database (accession no. U60141) [9]. Study of the variability in five different HPV isolates revealed an 18-amino acid sequence at the N-terminus of the 32 kDa nucleoprotein indicating that the current sequence in GenBank may be incomplete [10] A disease survey on different infecting viruses in the state of Kansas has identified the cause of yield loss as “wheat streak complex”, with HPV being one of the major viruses, designated with a new name of wheat mosaic virus (WMoV) [1]). For this publication, however, we will designate WMoV with its former name of High Plains virus (HPV).
Among several different families of viruses infecting wheat (T. aestivum L.), wheat streak mosaic virus (WSMV) has always been economically important in the Great Plains and other parts of the United States. However, in the spring of 2006, temperature-sensitive WSMV-resistant wheat was infected with a virus identified as Triticum mosaic virus (TriMV) [10]. Not geographically localized, the diseased wheat plants were found in different locations in Kansas and displayed similar symptoms caused by infection with WSMV and High Plains virus (HPV). Data from different purifications on sodium dodecyl sulfate polyacrylamide gel electrophoresis with cesium chloride density gradients, electron microscopy, and sequencing of the nucleotide and amino acid sequence were examined to identify TriMV as a new member of the genus Potyviridae. Reported to be transmitted by the wheat curl mite Aceria tosichella Keifer, just like WSMV, [10], TriMV could be placed in the genus Tritimovirus. However, it was found to be significantly divergent with only 23.2% similarity to the complete genome sequence of WSMV in contrast to 47–65% sequence identity to the available sequences of mature proteins of sugarcane streak mosaic virus (SCSMV) strain AP [10]. Complete nucleotide sequencing results of TriMV have reinforced this close relation to SCMV [11]. However, with SCSMV not being a part of any genera of the family Potyviridae [12,13] a new genus called Susmovirus has been proposed for SCSMV [11,14] and TriMV has been suggested to be placed in the same. Other results showed an unusually long 5′ nontranslated region (NTR) with 739 nucleotides in TriMV suggesting a new genus Poacevirus in the family of Potyviridae.
Under current field conditions, it has become extremely important to determine the incidence of HPV and TriMV and the methods to control them. Regulations on these viruses require an effective detection method. ELISA and Western blot as reliable indexing methods have been developed to identify HPV in association with WSMV [15]. The study included the common vector wheat curl mite and two detection methods of indirect protein A sandwich (PAS-ELISA) and Western blot were employed where the latter was found to be more sensitive in detecting the viruses and discriminating between WSMV and HPV in single and mixed infections. The partial sequence of the RNA3 from the GenBank database for HPV, however, helped in developing an RT-PCR method as a detection method to test seeds infected with HPV in New Zealand [16] and was recommended for quarantine purposes in seeds. When identifying the wheat curl mite (Aceria tosichella Keifer) acting as the vector for Triticum mosaic virus, a similar indirect ELISA method was conducted as a detection method [3,10]. Until recently, conventional methods such as ELISA were used as a diagnostic method to differentiate in between WSMV and TriMV in infected wheat samples. Extending this to real-time PCR, a new multiplex method has been developed which detects both these viruses in a single sample with a primer/probe combination using Taqman [17]. To advance the study of detection of these viruses in a more ecological and epidemiological way, this study reports the first multiplex RT-PCR method to precisely diagnose TriMV and HPV in association with other wheat viruses in a wheat sample with multiple infections. The method described in this paper assigns specific primers to detect both single and mixed infections from TriMV and HPV, providing a feasible method to demonstrate as well as control the spread of these viruses.

2. Materials and Methods

2.1. Plant Materials

Wheat leaf tissue infected with TriMV was kindly sent by Dr. Jeff Ackerman from Kentucky State University. Mr. Jordan Eggers from state of Oregon, at Harmiston Agriculture Research and Extension Center, provided us with the nucleic acid samples containing High Plains virus. Healthy corn seeds and the ones infected with HPV were sent from Colorado State University and were planted and harvested at the two-leaf stage to be used as controls. Leaf tissue infected with different isolates of HPV was received from North Dakota and Ohio. B/CYDV isolates were provided by Dr. Stewart M. Gray, Ithaca, NY in the form of infected wheat tissue. Other control samples for WSSMV, SBWMV, and WSMV came from different parts of the country. Leaf tissue samples with mixed infections from different fields across the country were also received and processed to determine the efficiency of our detection system.

2.2. Plant RNA Extraction and Reverse Transcription

A TRIzol-based (Invitrogen Life Technologies, Carlsbad, CA, USA) method was used to extract total plant RNA from infected leaf tissue. Leaf tissue was frozen in liquid nitrogen and ground in a DNase- and RNase-free mortar and pestle. RNA was extracted from approximately 250 mg of this frozen ground tissue using TRIzol, following the manufacturer’s protocol. The RNA pellet was re-suspended in 50 µL of diethyl pyrocarbonate-treated (Sigma-Aldrich Corp. St. Louis, MO, USA) water and quantified using an ND-1000 spectrophotometer (NanoDrop Technologies, Wilmington, DE, USA). The RT protocol was adapted from Bio-Rad (Hercules, CA, USA) using their iScript cDNA synthesis kit. Then, 2 µg of the total RNA was used to synthesize cDNA using random primers from this kit in a 20 µL reaction following the manufacturer’s protocol. The cDNAs were further diluted 10-fold with sterile distilled water for using them in the multiplex PCR reaction.

2.3. Design of Virus-Specific Primers

The most important aspect of a multiplex PCR reaction is the empirical choice of oligo primers and the utilization of hot start-based PCR methodology. To facilitate the automation, it is important to design primers with similar melting temperatures (Tm). To achieve uniform amplification of all ten viruses in a single reaction, it was necessary to make sure that the primers were compatible with each other, avoiding any kind of false positive and formation of primer dimers. Different isolates found in the NCBI database (http://www.ncbi.nlm.nih.gov/) (accessed on 9 December 2022). for both TriMV and HPV were aligned using ClustalW (http://www.ebi.ac.uk/Tools/sequence.html) (accessed on 9 December 2022) separately. To maximize the ability of the primers to detect these viruses despite sequence variation, the primers were designed to target the most conserved coat protein region between the isolates for each virus. Table 1 lists the primers used previously for B/CYDVs, WSSMV, SBWMV, and WSMV [4] along with the TriMV and HPV. The primers were predicted to be free of any self-secondary structure, dimers, and hair-pin loops. No heteroduplexes were predicted after primer duplex analysis. The candidate primer pairs specific to these viruses were tested extensively against the other existent primer pairs in the multiplex in all different combinations for false positives. The forward primer from each primer pair for each virus was 5′ end-labeled with commercially available fluorescent dye FAM (MWG Biotech, High Point, NC, USA) for use in capillary electrophoresis.

2.4. Multiplex Polymerase Chain Reaction

Multiplex PCR is a demanding technique that requires various optimizations with the concentrations of the PCR reagents such as 10X polymerase buffer, MgCl2, dNTPs, and primers. Cycling conditions for the reaction were also optimized with the appropriate cycles, annealing temperature, and extension time to produce comparable yields from each set of primer pairs. Once the conditions were optimized for each virus, each PCR reaction included approximately 60 ng of cDNA, 2.2 mM MgCl2 (Promega, Madison, WI, USA), 3.0 mM of a dNTP mixture with each dNTP at 100 mM (Invitrogen Life Technologies, Carlsbad, CA), 10× Polymerase Buffer (Promega, Madison, WI), and 0.11 U of hot-start Taq polymerase (Qiagen Inc., Valencia, CA, USA) and the primers. To multiplex for all ten viruses, 0.3 µM for each of the forward and reverse primer from each primer set was added as the final concentration in the PCR mix. The samples were amplified in a PTC-100 Peltier Thermal Cycler (Bio-Rad, Hercules, CA). For fast and efficient amplification for each virus set, a touchdown PCR was performed. Hot-start Taq polymerase was activated at 95 °C (10 min) followed by denaturation at 95 °C (30 s), annealing at 60 °C (30 s) with the annealing temperature decreasing by 1 °C in each successive step, and extension at 72 °C (60 s) up to the first 10 cycles. This was followed by 30 cycles of 95 °C (30 s), 55 °C (1 min), 72 °C (30 s), then final extension at 72 °C for 10 min.

2.5. Detection of Amplified Products

The PCR products amplified were analyzed by gel electrophoresis on a 2% metaphor-agarose gel in a ratio of 1:1 with normal agarose. Sodium boric acid electrophoresis buffer was used to cast and run the gel. The gel was stained with ethidium bromide to view the target product. The PCR products were visualized using UV light using a gel imaging system (GelDoc, UVP Inc., Upland, CA, USA). HyperLadder IV (BioLine, Taunton, MA, USA) was used as a molecular DNA marker on the agarose gel to determine the sizes of the amplified products.

2.6. Cloning and Sequencing

The multiplexed PCR products were cloned into the vector pCR TOPO-4 (Invitrogen Life Technologies, Carlsbad, CA) for sequencing. Colony PCR helped to select the clones containing the different amplified inserts specific to each virus and were sent for sequencing to the Genomics Facility (Purdue University, West Lafayette, IN, USA) to confirm their identity. The sequencing data were then verified with the nucleotide database by a BLAST search (http://www.ncbi.nlm.nih.gov/blast) (accessed on 9 December 2022).

2.7. Capillary Electrophoresis

Forward primers for each set of virus-specific primers were labeled at the 5′ end with 6-FAM (MWG Biotech, High Point, NC). The labeled forward and unlabeled reverse primers for the ten sets of primers were used for the multiplex reaction for the samples to be subjected to capillary electrophoresis. A 1 µL aliquot of a 50-fold diluted PCR product in deionized sterile water was then added to 9 µL of hi-diformamide (Applied Biosystems, Foster City, CA, USA). The mixture also contained a 100-fold dilution of Genescan 500 LIZ size standard (Applied Biosystems, Foster City, CA, USA). The LIZ standard acted as a fluorescent size standard to determine the size of the amplicons when run on a 3130xl Genetic Analyzer instrument (Applied Biosystems, Foster City, CA, USA). The results were analyzed using the GeneMarker v1.5 software (SoftGenetics LLC, State College, PA, USA).
Mention of trade names or commercial products in this article is only for the purpose of providing specific information and does not imply recommendation or endorsement by the U.S. Department of Agriculture.

3. Results

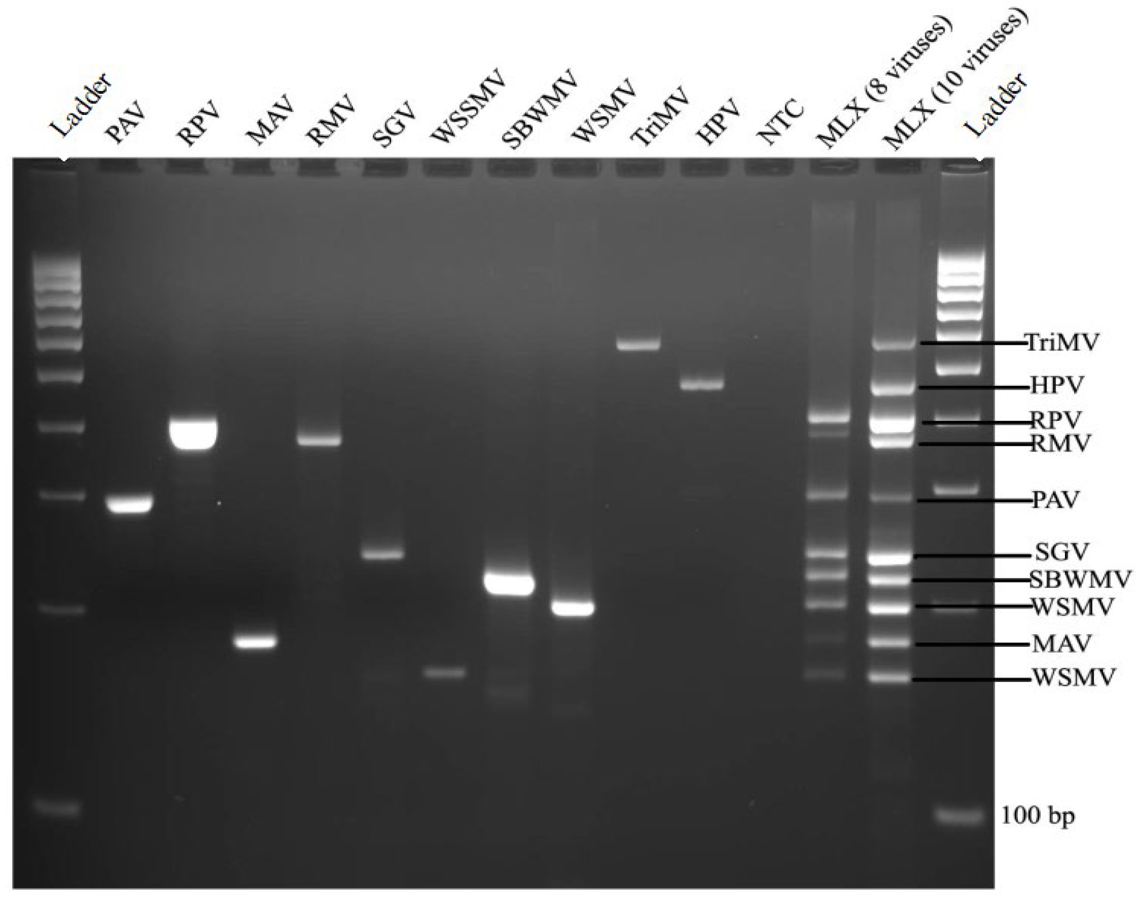
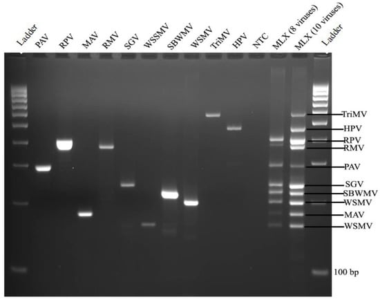
Two new viruses, Triticum mosaic virus (TriMV) and High Plains virus (HPV), were successfully added for detection to the multiplex RT-PCR assay which already identified the five YDV strains, WSSMV, SBWMV, and WSMV. Individual PCR reactions for each of these viruses produced the expected single amplicon at a particular base pair with their respective primers (Figure 1, Lanes 2–11). In the presence of all ten primer pairs, the cDNAs representing each virus except TriMV and HPV were pooled together and identified as the earlier published multiplex ladder with eight viruses [4] (Figure 1, Lane 13). However, upon adding the corresponding template for these two viruses, it identified TriMV and HPV at designated sizes in the existing multiplex RT-PCR amplifying all ten viruses in a single lane (Figure 1, Lane 14). Table 1 summarizes the product sizes for each of these ten viruses detected in the new multiplex RT-PCR including five strains of B/CYDVs (-PAV, -RPV, -MAV, -RMV, and -SGV), WSSMV, SBWMV, WSMV, TriMV, and HPV. The demanding nature of this multiplex PCR technique to amplify several products in a single reaction required extensive optimization to ensure noninterference from primer dimers and other nonspecific products. The first step in optimizing was to determine the set of cycling conditions that produced comparable yields from each specific primer pair. A touchdown PCR was designed in developing this protocol where, for a certain number of cycles, the annealing temperature decreases with each cycle and then stays steady for the rest of the PCR. The mechanism of touchdown was helpful in making sure each primer pair annealed to its specific target to avoid any nonspecific products and was further optimized in terms of annealing temperature and the number of cycles for simultaneous amplification (data not shown). Once the conditions were determined, multiplex PCR was attempted with a series of reactions that varied the different PCR components such as MgCl2, dNTPs, primers, and hot-start DNA polymerase (data not shown). Optimizations substantially improved the PCR performance and were standardized for subsequent experiments.
Several field samples were collected from different parts of the country and were tested with the new multiplex PCR. The main target of the test was to try to detect the new viruses, Triticum mosaic virus and High Plains virus, added to the eight virus multiplex systems in naturally infected samples from the High Plains area. Series of samples were tested of which a subset is shown (Figure 2). The amplified product at 560 bp was found in most of the isolates from Kansas (FS 1, Lane 2), Texas (FS 3, Lane 4), Oklahoma (FS 4 and 5, Lanes 5 and 6), and North Dakota (FS 7, Lane 8), identified as Triticum mosaic virus. Similarly, a 490 bp amplicon showed the presence of High Plains virus in FS 2 from North Dakota (Lane 3) and faintly in FS 4 (Lane 5) but brightly in FS 5 (Lane 6), both from Oklahoma. This multiplex RT-PCR also detected co-infecting viruses such as RPV (FS 3 and FS 6, Lanes 4 and 7), RMV (FS 1, 2, and 7, Lanes 2, 3, and 8), SGV in most lanes (Lane 1, 2 3, 4, 5, and 7), and other wheat viruses. Among all the field samples collected, FS 6 from Missouri showed the presence of other wheat viruses than the TriMV and HPV. No discernible difference between the sizes of each virus obtained from the naturally infected samples indicated the universal nature of the primers for each virus. To assess the specificity of the amplicons, all the amplifications from simplex as well as multiplex from the field samples were purified, cloned, and sequenced. Sequences of the amplified products showed 98–100% identity to the original sequences from NCBI.
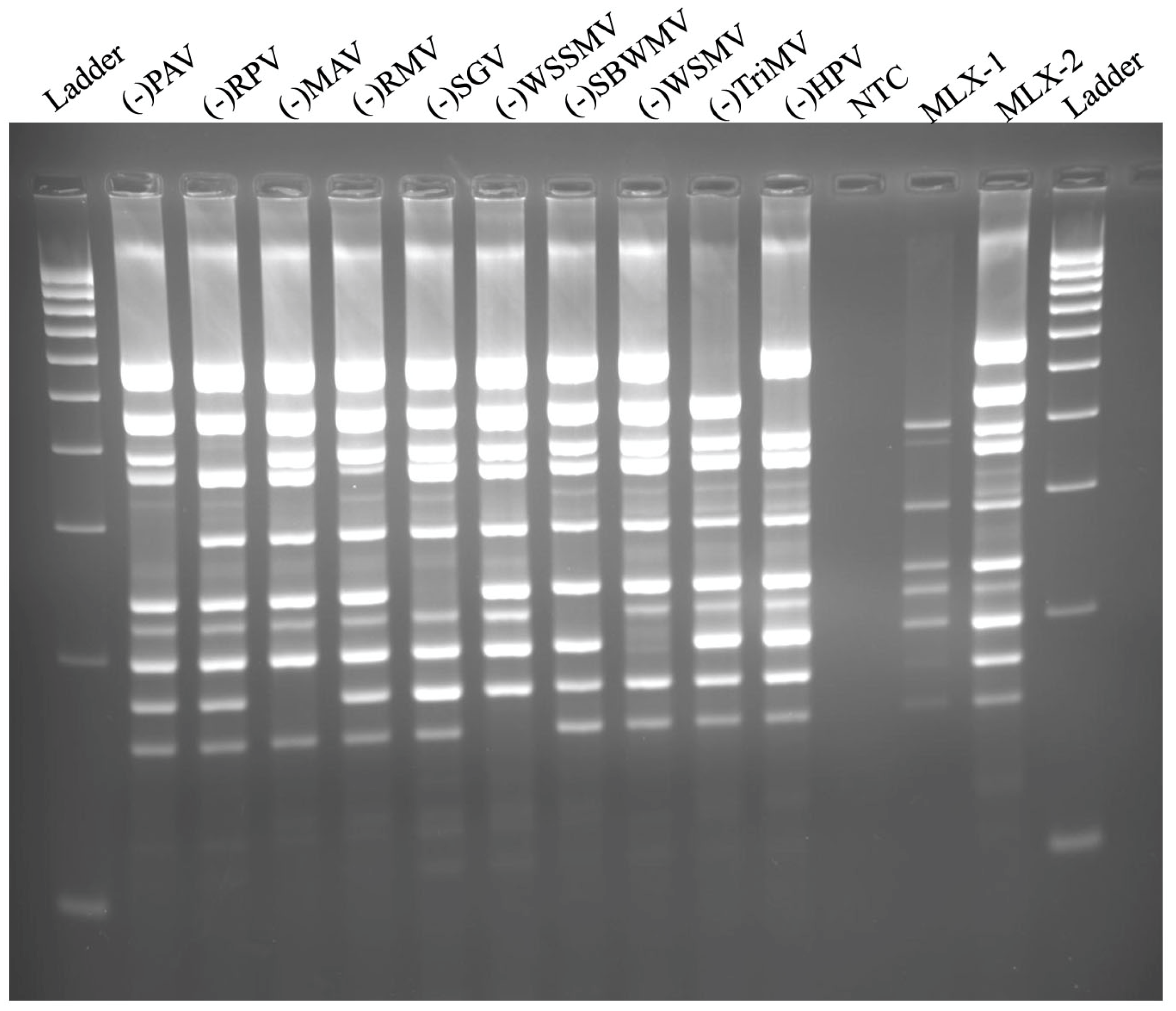
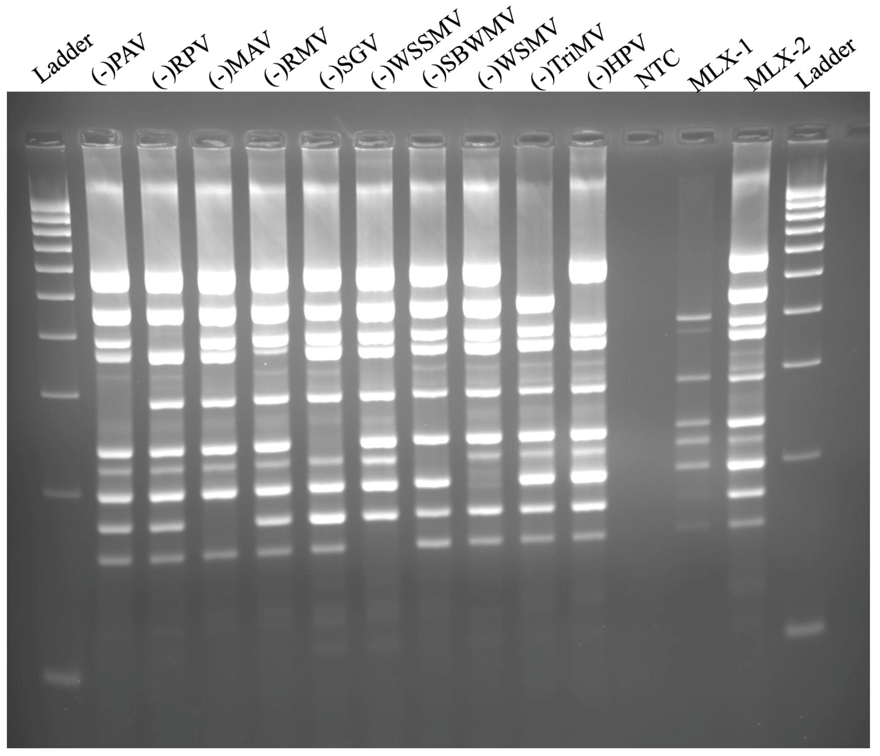
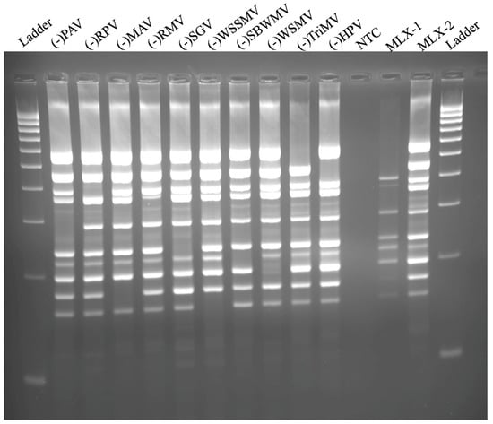
To evaluate the robustness of the system, it was important to verify the specificity of the primer pairs. A similar “drop-out” experiment to a previous publication [4] was performed where, in a series of multiplex RT-PCRs, each set of the primer pairs was absent at a time with all pooled virus samples to analyze the specificity of the primers. It was clearly noticed that the BYDV-PAV band in the gel was absent in the absence of its respective primers (Figure 3, Lane 2) while the TriMV band at 560 bp had disappeared in the absence of its respective primers (Figure 3, Lane 10). In a similar fashion, the band at 490 bp for HPV is not visible when the reaction does not have its specific primer pair (Figure 3, Lane 11). In comparison to the amplification of all ten viruses in the control multiplex RT-PCR with all primer pairs (Figure 3, Lane 14), the rest of the viruses were found to act similarly (Figure 3, Lanes 2–11) in the drop-out experiment. This experiment was very successful in determining the specificity of each primer pair, ruling out the possibility of cross reaction to produce false positives.
Capillary electrophoresis was employed in this technique with the potential of being a high-throughput detection system. Individual PCRs for each of these viruses with the 5′-labeled forward primer were conducted using capillary electrophoresis (Figure 4) followed by the multiplex reaction (data not shown) that detected all ten wheat viruses as peaks at expected product sizes. Blue peaks in the electropherogram (Figure 4) for each virus corresponded to their product sizes in base pairs when viewed in an agarose gel. The LIZ-labeled marker in red (Figure 4) acted as a molecular weight standard to determine the size of the amplicons. It is very conspicuous that the peaks for each virus were very close to the targeted amplicon size as listed in Table 1. The specificity and robustness of the method were tested in capillary electrophoresis with the same field samples that had mixed infection and were run in an agarose gel, to compare the data (data not shown). Results from the gel and the capillary electrophoresis for the field samples matched well to confirm the benefits of the high-throughput capillary electrophoresis method.

4. Discussion

In view of the considerable increase in yield loss with the emerging diseases caused by various wheat viruses, an improved multiplex PCR diagnostic test that can detect and differentiate between them will be very useful. The study involved diagnosing five yellow dwarf viruses (BYDV-PAV, BYDV-MAV, BYDV-SGV, BYDV-RMV, and CYDV-RPV), wheat spindle streak mosaic virus, soil-borne wheat mosaic virus, wheat streak mosaic virus, Triticum mosaic virus, and High Plains virus. The tool uses specific primer pairs for each of these viruses in a multiplex RT-PCR to distinguish them in a single reaction.
Availability of the sequences of different viruses and the variations in the isolates have led to adoption of RT-PCR methods and reduced use of the traditional ELISA method as a detection method. Exploiting the differences in the sequences of the viruses as well as the conserved domains among the various isolates, it has been easier to multiplex them to lower the cost while increasing the sensitivity at the same time. With the possibility of mixed infection being the most common in fields, multiplex PCR has been gaining importance in simultaneous detection for different plant viruses. Several articles report the use of techniques as rapid and reliable methods [18,19,20] with some being quantitative enough with the advantage of monitoring in real time [20,21,22,23]. Screening with different sets of specific primers in a multiplex PCR poses a bigger challenge with the increase in the number of viruses to be detected in one test. However, with the advantage of being cost effective, several systems have been developed for the detection of couples of viruses [24,25,26,27,28,29,30]. There have been studies that have reported methods to detect multiple viruses, with three [31,32] or more in a single detection system [33,34,35,36]. There have been fewer reports on detecting a larger number, with seven or eight viruses in a single test 4 [37]. To our knowledge, in this paper, we are the first to report an RT-PCR-based diagnostic test for up to ten wheat viruses.
Degenerate primer design based on the sequences of the respective virus isolates [10] available from GenBank was used for robust detection of the different viruses by simplex and multiplex RT-PCR. The extent of homology between the targets and the primers, primer length, GC content of the primers, the melting temperatures, and the possibility of any secondary structures were studied to develop this protocol to act as a universal diagnostic tool. Troubleshooting with several pairs of primers for TriMV and HPV was performed to check their compatibility with the other eight viruses in the multiplex RT-PCR. It was important to amplify the new viruses with a certain pre-decided product size to fit into the existent multiplex ladder of eight viruses to be readily identify them. Choosing the right primers for TriMV and HPV was a challenge, but it resulted in ten different well-spaced fragments in the range from 154 bp to 560 bp, specific to each virus. The consistent results of the multiplex RT-PCR were always compared with simplex PCR for detection of each virus pathogen. This sensitive and simultaneous detection of the viruses using the multiplex RT-PCR decreases the risk of contamination, requires less time, and reduces the cost compared to other conventional methods such as ELISA.
Results of false positives can be a problem in the conventional multiplex RT-PCR. Multiple primer pairs in various combinations in a reaction may interfere in the amplification of the target sequence. To ensure the reliability of this diagnosis, each primer pair for a specific virus was tested in simplex PCR with all other viruses and their isolates. It was important for the primers to be very specific so that they did not cross react with the other sets to give false positives. The “drop-out” experiment was intuitive enough to show the specificity of each primer pair even in the presence of all viruses.
In conclusion, this multiplex RT-PCR method is a simple, specific, rapid, reliable, yet sensitive and cost-effective, diagnostic tool for multiple wheat viruses. The method can be successfully utilized for in detecting all ten viruses individually as well as in multiple infections from the same plant. Plant improvement programs can also greatly benefit from this tool in reference to different breeding techniques in creating resistant varieties.

Author Contributions

Conceptualization M.D., J.M.A. and S.R.S., Conducting experiments M.D. Interpretation M.D., J.M.A. and S.R.S. Writing manuscript M.D., J.M.A. and S.R.S. All authors have read and agreed to the published version of the manuscript.

Funding

This work was supported by USDA-ARS project #5020-221220-014-00D.

Data Availability Statement

Data is contained within this article.

Conflicts of Interest

The authors declare no conflict of interest associated with the work described in this manuscript. The USDA is an equal opportunity provider and employer.

Abbreviations

High Plains virus (HPV), Triticum mosaic virus (TriMV) cereal yellow dwarf virus (CYDV), barley yellow dwarf virus (BYDV), soil-borne wheat mosaic virus (SBWMV), wheat streak mosaic virus (WSMV), wheat spindle streak mosaic virus (WSSMV), multiplex reverse transcriptase PCR (M-RT-PCR), capillary electrophoresis (CE).

References

  1. Burrows, M.; Franc, G.; Rush, C.; Blunt, T.; Kinzer, K.; Olson, J.; O’Mara, J.; Price, J.; Tande, C.; Ziems, A.; et al. Occurrence of viruses in wheat in the Great Plains Region, 2008. Plant Health Progress 2009, 10, 14. [Google Scholar] [CrossRef]
  2. Seifers, D.L.; Harvey, T.L.; Martin, T.J.; Jensen, S.G. Identification of the Wheat Curl Mite as the Vector of the High Plains Virus of corn and wheat. Plant Dis. 1997, 81, 1161–1166. [Google Scholar] [CrossRef]
  3. Seifers, D.L.; Martin, T.J.; Harvey, T.L.; Fellers, J.P.; Michaud, J.P. Identification of the Wheat Curl Mite as the Vector of Triticum mosaic virus. Plant Dis. 2009, 93, 25–29. [Google Scholar] [CrossRef]
  4. Deb, M.; Anderson, J.M. Development of a multiplexed PCR detection method for Barley and Cereal yellow dwarf viruses, Wheat spindle streak virus, Wheat streak mosaic virus and Soil-borne wheat mosaic virus. J. Virol. Methods 2008, 148, 17–24. [Google Scholar] [CrossRef]
  5. Jensen, S.G.; Lane, L.C. A new viral disease of corn and wheat in the high plains. Phytopathology 1994, 84, 1158. [Google Scholar]
  6. Jensen, S.G.; Hall, J.S. Molecular characterization of a viral pathogen infecting maize and wheat in the high plains (Abstr). Phytopathology 1995, 85, 1211. [Google Scholar]
  7. Ahn, K.K.; Kim, K.S.; Gergerich, R.C.; Jensen, S.G. High plains disease of corn and wheat: Ultrastructural ans serological aspects. J. Submicrosc.Cytol. Pathol. 1998, 30, 563–571. [Google Scholar]
  8. Jensen, S.G.; Lane, L.C.; Seifers, D.L. A new disease of maize and wheat in the high plains. Plant Dis. 1996, 80, 1387–1390. [Google Scholar] [CrossRef]
  9. Jensen, S.G.; Fithian, W.A.; Berry, J.A.; Ball, E.M.; Hall, J.S. The High Plains virus, representative of a new viral group with possible worldwide distribution. Int. Congr. Plant Pathol. 1998, 47, 237–239. [Google Scholar]
  10. Seifers, D.L.; Martin, T.J.; Harvey, T.L.; Haber, S.; Krokhin, O.; Spicer, V.; Ying, S.; Standing, K.G. Identification of Variants of the High Plains virus Infecting Wheat in Kansas. Plant Dis. 2009, 93, 1265–1274. [Google Scholar] [CrossRef]
  11. Fellers, J.P.; Seifers, D.; Ryba-White, M.; Martin, J. The complete genome sequence of Triticum mosaic virus, a new wheat-infecting virus of the High Plains. Arch. Virol. 2009, 154, 1511–1515. [Google Scholar] [CrossRef]
  12. Hema, M.; Joseph, J.; Gopinath, K.; Sreenivasulu, P.; Savithri, H.S. Molecular characterization and interviral relationships of a flexuous filamentous virus causing mosaic disease of sugarcane (Cassharum officinarum L.) in India. Arch. Virol. 1999, 144, 479–490. [Google Scholar] [CrossRef]
  13. Hema, M.; Sreenivasulu, P.; Savithri, H.S. Taxonomic position of Sugarcane streak mosaic virus in the family Potyviridae. Arch. Virol. 2002, 147, 1997–2007. [Google Scholar] [CrossRef]
  14. Viswanathan, R.; Balamuralikrishnan, M.; Karuppaiah, R. Characterization and genetic diversity of Sugarcane streak mosaic virus causing mosaic in sugarcane. Virus Genes 2008, 36, 553–564. [Google Scholar] [CrossRef]
  15. Mahmood, T.; Hein, G.L.; Jensen, S.G. Mixed infection of hard red winter wheat with High Plains virus and wheat streak mosaic virus from wheat curl mites in Nebraska. Plant Dis. 1998, 82, 311–315. [Google Scholar] [CrossRef]
  16. Lebas, B.S.M.; Ochoa-Corona, F.M.; Elliott, D.R.; Tang, Z.; Alexander, B.J.R. Development of an RT-PCR for High Plains virus indexing scheme in New Zealand post entry quarantine. Plant Dis. 2005, 89, 1103–1108. [Google Scholar] [CrossRef]
  17. Price, J.A.; Smith, J.; Simmons, A.; Fellers, J.; Rush, C.M. Multiplex real-time RT-PCR for detection of Wheat streak mosaic virus and Triticum mosaic virus. J. Virol. Methods 2010, 165, 198–201. [Google Scholar] [CrossRef]
  18. Hu, W.C.; Huang, C.H.; Lee, S.C.; Wu, C.I.; Chang, Y.C. Detection of four calla potyviruses by multiplex RT-PCR using nad5 mRNA as an internal control. Eur. J. Plant Pathol. 2009, 126, 43–52. [Google Scholar] [CrossRef]
  19. Wei, T.; Lu, G.; Clover, G.R.G. A multiplex RT-PCR for the detection of Potato yellow vein virus, Tobacco rattle virus and Tomato infectious chlorosis virus in potato with a plant internal amplification control. Plant Pathol. 2009, 58, 203–209. [Google Scholar] [CrossRef]
  20. Alfaro-Fernandez, A.; Angel Sanchez-Navarro, J.; del Carmen Cebrian, M.; del Carmen Cordoba-Selles, M.; Pallas, V.; Jorda, C. Simultaneous detection and identification of Pepino mosaic virus (PepMV) isolates by multiplex one-step RT-PCR. Eur. J. Plant Pathol. 2009, 125, 143–158. [Google Scholar] [CrossRef]
  21. Ling, K.S.; Wechter, W.P.; Jordan, R. Development of a one-step immunocapture real-time TaqMan RT-PCR assay for the broad spectrum detection of Pepino mosaic virus. J. Vir. Methods 2007, 144, 65–72. [Google Scholar] [CrossRef]
  22. Mortimer-Jones, S.M.; Jones, M.G.K.; Jones, R.A.C.; Thomson, G.; Dwyer, G.I. A single tube, quantitative real-time RT-PCR assay that detects four potato viruses simultaneously. J. Vir. Methods 2009, 161, 289–296. [Google Scholar] [CrossRef]
  23. Pallas, V.; Sanchez-Navarro, J.; Varga, A.; Aparicio, F.; James, D. Multiplex Polymerase Chain Reaction (PCR) and Real-Time Multiplex PCR for the Simultaneous Detection of Plant Viruses. Methods Mol. Biol. 2009, 508, 193–208. [Google Scholar]
  24. Nemichov, L.; Hadidi, A.; Candresse, T.; Foster, J.A.; Verderevskaya, T. Sensitive detection of apple chlorotic leaf spot virus from infected apple or peach tissue using RT-PCR, IC-RT-PCR or multiplex RT-PCR. Acta Hort. 1995, 386, 51–62. [Google Scholar]
  25. Singh, R.P.; Kurz, J.; Boiteau, G. Detection of stylet borne and circulative potato viruses in aphids by duplex reverse transcription polymerase chain reaction. J. Virol Methods. 1996, 59, 189–196. [Google Scholar] [CrossRef]
  26. Jacobi, V.; Bachand, G.D.; Hamelin, R.C.; Castello, J.D. Development of multiplex immunocapture RT-PCR assay for detection and differentiation of tomato and tobacco mosaic tobamoviruses. J. Virol. Methods 1998, 74, 167–178. [Google Scholar] [CrossRef]
  27. Grieco, K.; Gallitelli, D. Multiplex reverse transcriptase chain reaction applied to virus detection in globe artichoke. J. Phytopathol. 1999, 147, 183–185. [Google Scholar] [CrossRef]
  28. James, D. A simple and reliable protocol for the detection of apple stem grooving virus by RT-PCR and in a multiplex PCR assay. J. Virol Methods. 1999, 83, 1–9. [Google Scholar] [CrossRef]
  29. Russo, P.; Miller, L.; Singh, R.P.; Slack, S.A. Comparison of PLRV and PVY detection in potato seed samples tested by Florida winter field inspection and RT-PCR. Am. J. Potato. Res. 1999, 76, 313–316. [Google Scholar] [CrossRef]
  30. Sharman, M.; Thomas, J.; Dietzgen, R.G. Development a multiplex immunocapture PCR with colorimetric detection for viruses of banana. J. Virol. Methods. 2000, 89, 75–88. [Google Scholar] [CrossRef]
  31. Bariana, H.S.; Shannon, A.L.; Chu, P.W.G.; Waterhouse, P.M. Detection of 5 seed-borne legume viruses in one sensitive multiplex polymerase chain-reaction test. Phytopathology 1994, 84, 1201–1205. [Google Scholar] [CrossRef]
  32. Nie, X.H.; Singh, R.P. Detection of multiple potato viruses using an oligo(dT) as a common cDNA primer in multiplex RT-PCR. J. Virol. Methods 2000, 86, 179–185. [Google Scholar] [CrossRef]
  33. Bertolini, E.; Olmos, A.; Martinez, M.C.; Gorris, M.T.; Cambra, M. Single step multiplex RT-PCR for simultaneous and colorimetric detection of six RNA viruses in olive trees. J. Virol. Methods 2001, 96, 33–41. [Google Scholar] [CrossRef]
  34. Ito, T.; Icki, H.; Ozaki, K. Simultaneous detection of six citrus viriods and apple stem grooving virus from citrus plants by multiplex reverse transcription polymerase chain reaction. J. Virol. Methods 2002, 106, 235–239. [Google Scholar] [CrossRef]
  35. Roy, A.; Fayad, A.; Barthe, G.; Brlansky, R.H. A multiplex polymerase chain reaction method for reliable, sensitive and simultaneous detection of multiple viruses in citrus trees. J. Virol. Methods 2005, 129, 47–55. [Google Scholar] [CrossRef]
  36. Du, Z.Y.; Chen, J.S.; Hiruki, C. Optimization and application of a multiplex RT-PCR system for simultaneous detection of five potato viruses using 18S rRNA as an internal control. Plant Dis. 2006, 90, 185–189. [Google Scholar] [CrossRef]
  37. Ragozzino, E.; Faggioli, F.; Barba, M. Development of a one tube one step RT-PCR protocol for the detection of seven viriods in four genera: Apscaviriod, Hostuviriod, Pelamoviriod and Pospiviriod. J. Virol. Methods 2004, 121, 25–29. [Google Scholar] [CrossRef]
Figure 1. Multiplex RT-PCR with 10 wheat viruses. Lanes 2–11 show individual PCRs amplifying the two newly added viruses TriMV (Lane 10) and HPV (Lane 11) in addition to the YDV strains PAV, RPV, MAV, RMV, SGV (Lanes 2–6) and other wheat viruses WSSMV, SBWMV, and WSMV (Lanes 7–9) with a no template control (Lane 12). The M-RT-PCR identifying all these ten viruses in a multiplex (Lane 14) shows these added viruses as two new gel bands on the top in comparison to the previously developed multiplex PCR with eight viruses (Lane 13). Lanes 1 and 14 have 100 bp molecular marker as a reference.
Figure 1. Multiplex RT-PCR with 10 wheat viruses. Lanes 2–11 show individual PCRs amplifying the two newly added viruses TriMV (Lane 10) and HPV (Lane 11) in addition to the YDV strains PAV, RPV, MAV, RMV, SGV (Lanes 2–6) and other wheat viruses WSSMV, SBWMV, and WSMV (Lanes 7–9) with a no template control (Lane 12). The M-RT-PCR identifying all these ten viruses in a multiplex (Lane 14) shows these added viruses as two new gel bands on the top in comparison to the previously developed multiplex PCR with eight viruses (Lane 13). Lanes 1 and 14 have 100 bp molecular marker as a reference.
Agronomy 13 00833 g001
Figure 2. Simultaneous detection of TriMV, HPV, and other wheat viruses from field plant samples using M-RT-PCR. A subset of isolates is shown here: (1) FS 1–2 were received from the state of Texas, (2) FS 3 from Missouri, (3) FS 4 from Oklahoma, (4) FS 5 from Kansas, (5) FS 6 from Oklahoma, and (6) FS 7 from North Dakota. A positive control M-RT-PCR of all ten viruses simultaneously amplified with multiple primer pairs provides a reference ladder (Lane 10). There is lack of amplification of total nucleic acid from healthy wheat sample using all ten primer sets (Lane 9).
Figure 2. Simultaneous detection of TriMV, HPV, and other wheat viruses from field plant samples using M-RT-PCR. A subset of isolates is shown here: (1) FS 1–2 were received from the state of Texas, (2) FS 3 from Missouri, (3) FS 4 from Oklahoma, (4) FS 5 from Kansas, (5) FS 6 from Oklahoma, and (6) FS 7 from North Dakota. A positive control M-RT-PCR of all ten viruses simultaneously amplified with multiple primer pairs provides a reference ladder (Lane 10). There is lack of amplification of total nucleic acid from healthy wheat sample using all ten primer sets (Lane 9).
Agronomy 13 00833 g002
Figure 3. Specificity of the primers. Multiplex RT-PCRs (MLX) were carried out with a pool of control virus samples. A set of virus-specific primers were sequentially deleted from each M-RT-PCR (Lanes 2–11). M-RT-PCR without the TriMV-specific primers shows no band for TriMV (Lane 10) and amplification without HPV primers did not give HPV band (Lane 11). This can be visually compared with the control eight- and ten-virus multiplex (Lane 13 and 14, respectively). Lanes 1 and 15 contain a 100 bp molecular marker ladder for reference.
Figure 3. Specificity of the primers. Multiplex RT-PCRs (MLX) were carried out with a pool of control virus samples. A set of virus-specific primers were sequentially deleted from each M-RT-PCR (Lanes 2–11). M-RT-PCR without the TriMV-specific primers shows no band for TriMV (Lane 10) and amplification without HPV primers did not give HPV band (Lane 11). This can be visually compared with the control eight- and ten-virus multiplex (Lane 13 and 14, respectively). Lanes 1 and 15 contain a 100 bp molecular marker ladder for reference.
Agronomy 13 00833 g003
Figure 4. Electropherogram for each of the ten viruses. Individual RT-PCRs with each set of virus-specific primers were run on capillary electrophoresis using an ABI 3130xl. Each separate capillary contained the sample from an individual PCR (blue peak) and the GeneScan 500 LIZ standards (red peak) in deionized formamide. The first panel on the left (1) shows the results for the viruses PAV, RPV, MAV, and RMV, (2) identifies the other 4 viruses SGV, WSSMV, SBWMV, and WSMV, while (3) shows the additional two new viruses in the assay, TriMV and HPV. All these ten viruses were identified by separate peaks (blue) very close to the amplicon size identified in an agarose gel.
Figure 4. Electropherogram for each of the ten viruses. Individual RT-PCRs with each set of virus-specific primers were run on capillary electrophoresis using an ABI 3130xl. Each separate capillary contained the sample from an individual PCR (blue peak) and the GeneScan 500 LIZ standards (red peak) in deionized formamide. The first panel on the left (1) shows the results for the viruses PAV, RPV, MAV, and RMV, (2) identifies the other 4 viruses SGV, WSSMV, SBWMV, and WSMV, while (3) shows the additional two new viruses in the assay, TriMV and HPV. All these ten viruses were identified by separate peaks (blue) very close to the amplicon size identified in an agarose gel.
Agronomy 13 00833 g004
Table 1. Primers specific to each virus in the multiplex detection assay.
Table 1. Primers specific to each virus in the multiplex detection assay.
Target VirusPrimersSequenceTm
(°C)
NCBI AccessionAmplicon
Size (bp)
TriMVTMV-FATCCTGTGAACAACCCTTCG55.1NC_012799.1560
TMV-RGACATCCATCAAACCAGCCT55.1
HPVHPV-FTGAAAAGCCAGACTTATCGT51.5U60141490
HPV-RATAGCAATTACCTCAGCAGG54.5
BYDV-PAVPAV L1AGAGGAGGGGCAAATCCTGT59.4D11032295
PAV R1ATTGTGAAGGAATTAATGTA47.1
BYDV-MAVMAV L1CAACGCTTAACGCAGATGAA55.3D11028175
MAV R1AGGACTCTGCAGCACCATCT59.4
BYDV-SGVSGV L2ACCAGATCTTAGCCGGGTTT57.3AY541039.1237
SGV R2CTGGACGTCGACCATTTCTT57.3
BYDV-RMVRMV L1GACGAGGACGACGACCAAGTGGA65.9L12757.1365
RMV RGCCATACTCCACCTCCGATT59.4
CYDV-RPVRPV LATGTTGTACCGCTTGATCCAC57.9AF235168.2400
RPV RGCGAACCATTGCCATTG52.8
WSSMVWSSMV L1GCAACCCTTAGCGAAGTCAG59.4X73883154
WSSMV R1GAGGCTCCGTGTCTCATAGC61.4
WSMVWSMV L2CGACAATCAGCAAGAGACCA57.3NC_001886193
WSMV R2TGAGGATCGCTGTGTTTCAG57.3
SBWMVSBMV L2CCTATGGCGTCCTAACGTGT59.4NC_002042219
SBMV R2CACAATCTGCAGGAAGACGA57.3
Disclaimer/Publisher’s Note: The statements, opinions and data contained in all publications are solely those of the individual author(s) and contributor(s) and not of MDPI and/or the editor(s). MDPI and/or the editor(s) disclaim responsibility for any injury to people or property resulting from any ideas, methods, instructions or products referred to in the content.

Share and Cite

MDPI and ACS Style

Deb, M.; Anderson, J.M.; Scofield, S.R. Development of a Multiplex RT-PCR Assay for Simultaneous Detection of Ten Major Viral Pathogens of Wheat. Agronomy 2023, 13, 833. https://doi.org/10.3390/agronomy13030833

AMA Style

Deb M, Anderson JM, Scofield SR. Development of a Multiplex RT-PCR Assay for Simultaneous Detection of Ten Major Viral Pathogens of Wheat. Agronomy. 2023; 13(3):833. https://doi.org/10.3390/agronomy13030833

Chicago/Turabian Style

Deb, Mahua, Joseph M. Anderson, and Steven R. Scofield. 2023. "Development of a Multiplex RT-PCR Assay for Simultaneous Detection of Ten Major Viral Pathogens of Wheat" Agronomy 13, no. 3: 833. https://doi.org/10.3390/agronomy13030833

APA Style

Deb, M., Anderson, J. M., & Scofield, S. R. (2023). Development of a Multiplex RT-PCR Assay for Simultaneous Detection of Ten Major Viral Pathogens of Wheat. Agronomy, 13(3), 833. https://doi.org/10.3390/agronomy13030833

Note that from the first issue of 2016, this journal uses article numbers instead of page numbers. See further details here.

Article Metrics

Back to TopTop