Abstract
Genetically modified (GM) crops tolerant to glyphosate have delivered significant economic benefits in farm management. However, the evolution of glyphosate resistance in weeds due to prolonged intensive use of glyphosate poses a serious threat to this weed management system. It is highly desirable in China to deploy dual herbicide-tolerant corn at the very beginning of GM corn release to delay the development of weed resistance to herbicides. Here, we report the creation and characterization of a herbicide-tolerant corn event SCB-29 that expresses both cp4 epsps and bar genes. This transgenic maize is tolerant to glyphosate up to 3600 g a.e. ha−1 and glufosinate up to 3600 g a.i. ha−1, which are quadruple the recommended rates for the two herbicides, respectively. SCB-29 is an event with only a single copy of T-DNA inserted into chromosome 10 of the maize genome. An event-specific PCR detection method was established and three generations of SCB-29 were detected by event-specific PCR suggesting that the transgenes are stably integrated into the maize genome. Analysis of the expression levels of the transgenes among plants of multiple generations by enzyme-linked immunosorbent assays suggested that the expressions are stable over different generations. Moreover, the major agronomic performances of SCB-29 appear to be similar to those of non-transgenic maize, suggesting that SCB-29 is not likely to have yield drag. Therefore, SCB-29 is an excellent herbicide-tolerant candidate to be developed into a commercial herbicide tolerance transgenic event.
1. Introduction
Maize (Zea mays L.) is an ideal cereal crop for its use as a staple food and feed [1,2]. However, weeds are one of the most important limiting factors for corn yields, resulting in yield decreases of up to 70% [3,4,5]. As a result, controlling weeds becomes important in ensuring crops have a high and stable yield. In small cultivated fields, traditional weed management techniques, such as hand-removing weeds, plowing, harrowing, and crop rotation, are particularly effective. However, because these methods require a lot of labor and time, it is challenging to control weed infestation in large agricultural regions when utilizing these traditional approaches [6]. Compared with hand weeding, herbicides are the most effective, economical, and labor-saving tool to manage weeds [7]. The majority of post-emergence herbicides on the market are non-selective, and some herbicides can cause significant crop damage when sprayed directly. Therefore, one of the most important tools in the modern integrated weed management system is the development of genetically modified crops for herbicide tolerance. With fewer and more flexible herbicide applications, the herbicide tolerance trait benefits farmers by increasing yield and simplifying weed control management. By the year 2019, 190.4 million hectares of genetically modified crops were planted throughout the world, including 81.5 million hectares of herbicide-tolerant crops [8].
Glyphosate was first discovered by Monsanto as a weed killer in the 1970s and brought to market in 1974 [9]. It inhibits enzyme 5-enolpyruvylshikimate-3-phosphate synthase (EPSPS) of the shikimate pathway, which is necessary for plants’ biosynthesis of aromatic amino acids and kills the plant [10,11]. Glyphosate is a low-cost, broad-spectrum, post-emergence herbicide capable of controlling various kinds of annual and perennial weed populations [12]. It has been generally accepted by the public and is most extensively used worldwide. However, until the glyphosate-tolerant crops were developed, glyphosate was only ever used to manage existing vegetation before crops were sown and in situations where glyphosate could be kept out of contact with crops. It may now be used in glyphosate-tolerant crops as a post-emergence herbicide. The commercial release of glyphosate-tolerant maize made it possible for glyphosate application in corn weed control. Different genes have been introduced into maize to obtain glyphosate tolerance, for instance, AM79 aroA [13], G2-EPSPS [14], gat4621 [15], mepsps [16], 2mepsps [17], cp4 epsps [18], and G10-EPSPS [19]. Currently, 148 glyphosate-tolerant maize events have been approved for food direct or processing, feed direct or processing, or cultivation use [20].
Glufosinate-ammonium (GLA), also known as Basta, is another non-selective herbicide with excellent performance, which inhibits glutamine synthetase (GS), an enzyme catalyzing glutamine synthesis from glutamate and ammonia [21,22,23]. The suppression of GS leads to a fast augmentation of ammonia and plant death. The glufosinate tolerance gene bar from Streptomyces hygroscopicus [24] and pat from Streptomyces viridochromogenes [25] both encode phosphinothricin acetyltransferase (PAT) which detoxifies phosphinothricin, the active gradient of glufosinate [26]. The two genes have been employed in developing transgenic maize for glufosinate tolerance [17,27,28,29,30].
The development of resistance among weeds to glyphosate is a major challenge. Since the introduction of genetically modified crops expressing glyphosate tolerant traits, a significant level of pressure was placed on the weed population due to the frequent and heavy use of glyphosate and the lack of diversified weed management methods. There are currently 56 species of glyphosate-resistant weeds globally, of which 19 species are found in corn fields, such as Eleusine indica, Echinochloa colona, Cynodon hirsutus, Amaranthus palmeri, Conyza bonariensis, and Digitaria insularis [31]. Glufosinate has not been used significantly for corn weed control. Although it has been used for more than 30 years, there is no report yet that weeds evolved resistance to glutamine synthase inhibitors in cornfields [31]. Applying the two herbicides in the same growing season or subsequent growing seasons, will thus likely minimize the selective pressure on individual target sites [32]. Obviously, the development of transgenic maize tolerant to the two herbicides is highly desirable to control the development of weed resistance. China is now marching toward the adoption of transgenic corn technology, and it is preferable to deploy GM corn with tolerance to at least two herbicides with different modes of action.
However, it is not easy to obtain an excellent dual herbicide-tolerant transgenic event. It is known that recombinant protein contents may vary with transgenic event, plant age, and tissue type [33,34,35]. It is generally expected that both target genes are expressed at relatively high levels in an excellent transgenic event. For a herbicide-tolerant transgenic event, the relatively high expression levels allow transgenic plant tolerance several times higher than the minimum recommended rate of the two herbicides, respectively. In addition to having high tolerance to both herbicides, a good transformant may have desired molecular characteristics, such as an ideal T-DNA insertion site and copy number. Because T-DNA inserts randomly into the plant genome, it may disrupt a gene or regulatory element important for plant growth, development, or productivity [36]. In addition, although single-copy T-DNA insertion is expected, multi-copy insertions are frequently observed. Therefore, transgenic events used for breeding are generally selected from hundreds or even thousands of transformants. Finding the candidate transformants is a time-consuming and laborious task.
In this study, we report the development of a maize event named SCB-29 that confers high tolerance to both glyphosate and glufosinate by co-expression of CP4 EPSPS and Bar. The molecular characteristics, herbicide tolerance, and agronomic performances of this event were evaluated. We conclude that SCB-29 is an excellent candidate as a commercial event for glyphosate and glufosinate tolerance.
2. Materials and Methods
2.1. Maize Transformation and Production of Event SCB-29 Corn
An elite corn cultivar Hi-II was selected as the receptor in Agrobacterium-mediated transformation. The binary vector (Figure 1) containing both cp4 epsps and bar genes was introduced into Agrobacterium tumefaciens strain LBA4404 and the resulting Agrobacterium cells were used for maize transformation. Maize transformation was carried out using the method described by Frame et al. [37], except that the selection agent bialaphos was replaced by glyphosate (Sigma-Aldrich, St. Louis, MO, USA). Putative transgenic maize plants were transferred to the greenhouse for further analysis and propagation. These transgenic events were treated with glyphosate at the dosage of 1350 g a.e. ha−1 (1.5× of recommended dosage) and the surviving events were subjected to enzyme-linked immunosorbent assay (ELISA). Transgenic event SCB-29 was chosen as the lead commercial candidate and received more field research and development. The seed for field trials in this study was a hybrid containing event SCB-29. Event SCB-29 was made by transforming the inbred corn line Hi-II. The SCB-29 hybrid was obtained according to the process presented in Figure 2. A non-transgenic hybrid was formed from the inbred Ruifeng-1 and PH4CV.
Figure 1.
Diagram of T-DNA for expressing cp4 epsps and bar genes. LB, the left border of T-DNA. 35S promoter, CaMV35S promoter. bar, glufosinate-tolerant gene. 35S terminator, CaMV35S terminator. SUbi promoter, sorghum bicolor polyubiquitin promoter. OsCTP, Rice EPSPS CTP. cp4 epsps, glyphosate-tolerant gene. NOS terminator, nopaline synthase terminator. RB, the right border of T-DNA.
Figure 2.
Pedigree diagram of event SCB-29 and control seed materials.
2.2. Amplification of the Unknown Flanking Sequences of T-DNA
Utilizing the CTAB approach, fresh leaf tissues were used to extract corn genomic DNA (gDNA) [38]. According to Liu et al., the flanking sequences of T-DNA were isolated using high-efficiency thermal asymmetric interlaced polymerase chain reaction (hiTAIL-PCR) [39]. The PCR products were sequenced and the obtained sequences were analyzed at the maize genetics and genomics database (MaizeGDB), and the integration site of T-DNA was found by comparing the obtained sequences with the B73 reference genome (Zm-B73-REFERENCE-NAM-5.0).
2.3. Establishment of Event-Specific PCR for SCB-29
The nucleotide sequence of the junction sequence between the maize genome and the integrated event were used for designing the primers (LB-MG and LB-TDNA, RB-TDNA and RB-MG, Table 1). Double distilled water, the gDNA from non-transgenic maize and SCB-29, and a mixture of gDNA from transgenic maize Ruifeng125, Zheda Ruifeng 8, and nCX-1 were used as DNA templates for PCR detection. The maize zSSIIb gene was used as a reference gene to test the credibility of the PCR system and its primer sequences are listed in Table 1. PCR was conducted with 100 ng of corn genomic DNA, 10 µL of Premix LA Taq (Takara, Kusatsu, Japan), 1 µL each of primers (10 µM), and sterile distilled water. The PCR procedures were 98 °C for 3 min, then 30 cycles of 98 °C for 10 s, 57 °C for 30 s, 72 °C for 30 s, and finally 72 °C for 5 min.
Table 1.
Primers for PCR analysis.
2.4. Southern Blot Analysis
Southern blot analysis was conducted with a DIG-labeled nonradioactive detection system to determine the copy number of T-DNA insertion in transgenic maize. Genomic DNA was extracted from transgenic and non-transgenic maize by the CTAB method. About 1 ng transformation vector SCB and 300 µg maize genomic DNA were digested with a restriction enzyme. The digested DNA was separated on 0.8% agarose gel at 20 V for 18 h, and after that, it was transferred onto a Hybond-N+ nylon membrane (GE Healthcare, Chicago, IL, USA) with 20 × SSC by capillary action for 20–24 h. After that, genomic DNA was fixed on the membrane by baking the nylon membrane at 120 °C for 30 min. The DNA fragments amplified with primer pairs CP4-PF (5′-ATGGCGGCGACCATGGCGTCCAACG-3′)/CP4-PR(5′-TCAAGCGGCCTTCGTGTCAGACAGTTC-3′) or Bar-PF (5′-ATGAGCCCAGAACGACGCCCGG-3′)/Bar-PR (5′-TCAAATCTCGGTGACGGGCAGGAC-3′) were used as the templates to prepare the DIG-labeled probes. Following the manufacturer’s recommendations (DIG High Prime DNA Labeling and Detection Starter KitII, Roche, Mannheim, Germany), hybridization and immunology were completed.
2.5. Western Blot Analysis
Western blot analysis was performed to detect the expression of the CP4 EPSPS and Bar in the root, stem, leaf, pollen, silk, and seed of transgenic maize. About 100 mg of each tissue sample was powdered and then suspended in 400 µL protein extraction buffer, and the suspensions were centrifuged at 12,000× g for 10 min. Extracted proteins were denatured at 95 °C for 10 min with 1/5 volume of 5× sodium dodecyl sulfate loading buffer (containing 5% β-mercaptoethanol) and detached on 4–20% SurePAGE gels (GenScript, Nanjing, China). After that, proteins were transferred onto a PVDF membrane (Merck KGaA, Darmstadt, Germany) using the eBlot L1 unit (GenScript, Nanjing, China) for high-efficiency wet protein transfer. Subsequently, the membrane was blocked for 1 h at room temperature with 5% (w/v) skimmed milk powder in a TBST (tris buffered saline tween) buffer. The membrane was then incubated in sequence with the primary rabbit anti-CP4 EPSPS or anti-Bar polyclonal antibody and the horseradish peroxidase (HRP)-conjugated goat anti-rabbit IgG (MULTI SCIENCES(LIANKE), Hangzhou, China). In the end, the protein bands were visualized by M5 Hiper ECL Western HRP Substrate (Mei5bio, Beijing, China).
2.6. Stability Analysis of Transgenes
2.6.1. Gene-Specific and Event-Specific PCR Analysis
The primer pairs (CP4-GF/GR and Bar-GF/GR, Table 1) were used for gene-specific PCR. Each 50 µL reaction mixture contained 100 ng of gDNA, 25 µL of 2×PrimeSTAR GC Buffer (Takara, Kusatsu, Japan), 4 µL of dNTP Mixture, 0.5 µL of PrimeSTAR HS DNA Polymerase, 1 µL each of primers (10 µM), and sterile distilled water. The PCR procedure was conducted as follows: one cycle of 98 °C for 3 min, 33 cycles of 98 °C for 15 s, 58 °C for 15 s, 72 °C for 30 s, and a final extension at 72 °C for 10 min.
Event-specific PCR was performed with the event-specific primers (LB-MG and LB-TDNA, Table 1). The PCR reaction solutions and conditions refer to Section 2.3.
2.6.2. Protein Quantification of CP4 EPSPS and Bar
Using the enzyme-linked immunosorbent assay (ELISA), the expression levels of CP4 EPSPS and Bar in transgenic maize were measured. Leaf, stem, and root were all collected at the 12-leaf stage, and pollen, silk, and seed were collected at VT, R1, and R6 stages, respectively. The ELISA kit for CP4 EPSPS and Bar were both purchased from YouLong Biotech (Shanghai, China). All treatments were performed following the specifications offered in the kit.
2.7. Target Trait Detection
For herbicide tolerance detection, glyphosate and glufosinate were sprayed onto the maize plants when they had grown four to five leaves. The four dosages of glyphosate were 0, 900, 1800, and 3600 g a.e. ha−1. The four dosages of glufosinate were 0, 900, 1800, and 3600 g a.i. ha−1. The term “tolerant plant” was used to describe the plants that grew normally, whereas the term “sensitive plant” applied to the plants whose leaves turned yellow and perished. Seven days after the herbicide was applied, the plant herbicide tolerance was examined.
2.8. Agronomic Performances of Transgenic Maize with Different Herbicide Treatments
Experimental corn hybrid SCB-29 and non-transgenic maize were planted on June 1, 2022, at Deqing, Zhejiang, China (30°34′32″ N longitude, 119°55′53″ E latitude). The experiment was designed as a randomized complete block with 3 replications. Each plot was 4 corn rows wide and 5 m long. Maize rows were spaced 60 cm apart and maize plants were spaced 25 cm apart. Treatments included: T1, SCB-29 with glyphosate at 900 g a.e. ha−1; T2, SCB-29 with glyphosate at 1800 g a.e. ha−1; T3, SCB-29 with glyphosate at 3600 g a.e. ha−1; T4, SCB-29 with glufosinate at 900 g a.i. ha−1; T5, SCB-29 with glufosinate at 1800 g a.i. ha−1; T6, SCB-29 with glufosinate at 3600 g a.i. ha−1; T7, SCB-29 with manual weeding; and T8, non-transgenic maize with manual weeding. Herbicides were applied at the 4–5 leaf stage of maize with a motorized knapsack sprayer to deliver 600 L/ha of spray solution. The major agronomic performance (plant height, ear height, ear length, and 100-grain weight) of the plants treated with herbicide and manual weeding were evaluated, and five plants were randomly selected from the middle two rows of each plot at the maturity stage. Plant height is the height from the ground to the apex of the tassel. Ear height is the height from the ground to the upper ear. Ear length is the length including the portion of the hollow kernels away from the shank. One-way ANOVA was used for significant difference analysis.
2.9. Weed Control Efficiency
SCB-29 hybrid was planted on June 1, 2022, at Deqing, Zhejiang, China (30°34′32″ N longitude, 119°55′53″ E latitude). Five treatments and three replications in a completely randomized plot made up the experiment’s design. Each plot measured 5 m long and 4 corn rows wide. The distance between maize plants was 25 cm, and the rows were 60 cm apart. Treatments included SCB-29 with glyphosate at 900 g a.e. ha−1, SCB-29 with glufosinate at 900 g a.i. ha−1, SCB-29 with glyphosate at 900 g a.e. ha−1 followed glufosinate at 900 g a.i. ha−1 (7 days after glyphosate application), SCB-29 with glufosinate at 900 g a.i. ha−1 followed glyphosate at 900 g a.e. ha−1 (7 days after glufosinate application), and SCB-29 with no herbicide spraying and no manual weeding. A motorized knapsack sprayer was used to apply herbicides to maize at the 3–4 leaf stage, dispensing 600 L/ha of spray solution. The weed control efficiency of different herbicide treatments was evaluated by measuring the fresh weight of the overground weed 30 days after the first application of herbicide. Each plot investigated 3 areas of 0.25 m2. The maize yields of different herbicide treatments were estimated by harvesting the ear from the middle two rows of each plot during the mature period. The maize yields were adjusted to a 14% moisture level. One-way ANOVA was used for significant difference analysis.
3. Results
3.1. Flanking Sequences Analysis and Event-Specific Detection for Event SCB-29
The T-DNA flanking sequences from transgenic maize SCB-29 were isolated using hiTAIL-PCR. The amplified sequence from the right border or left border was aligned with the T-DNA sequence and the B73 reference genome (Zm-B73-REFERENCE-NAM-5.0). With the obtained 553 bp sequence from the right border, there was 143 bp showing 100% identity to the SCB vector sequence. The remaining 410 bp sequence showed 95.59% identity to the sequence of corn line B73 chromosome 10. The flanking sequence from the left border was identified with the same technique, showing 95.31% identity with a sequence to B73 chromosome 10. The results suggested that the T-DNA insertion site was located on chromosome 10, and this location was 5.35 kb away from the upstream protein coding sequence (LOC100194321) and 0.27 kb away from the downstream protein coding sequence (LOC103642120) (Figure 3a).
Figure 3.
T-DNA integration site and event-specific PCR analysis. (a) The integration features of T-DNA in SCB-29. (b) PCR amplification using the primer pair LB-MG/LB-TDNA. (c) PCR amplification using the primer pair RB-TDNA and RB-MG. (d) PCR amplification of the reference gene zSSIIb. M, DL 5000 DNA Marker. 1, double distilled H2O. 2, non-transgenic maize. 3, DNA mixture of transgenic maize (Ruifeng125, Zheda Ruifeng 8 and nCX-1). 4, SCB-29.
Based on the flanking genomic sequences and T-DNA border sequences, event-specific primers (Table 1) were designed and utilized to establish a specific PCR detection method for event SCB-29. As expected, the primer pairs LB-MG/LB-TDNA and RB-TDNA and RB-MG generated amplicons of 478 bp and 416 bp from SCB-29, and no band was obtained from control samples with the same primers (Figure 3b,c). To assure the reliability of the PCR system, a maize endogenous gene zSSIIb was chosen as the reference gene. A 151 bp band was amplified from all samples except double distilled H2O with the primer pair zSSIIb-F/R (Figure 3d). The above results indicated that this event-specific detection method is effective for the identification of SCB-29.
3.2. Analysis of T-DNA Copy Number in Transgenic Maize SCB-29
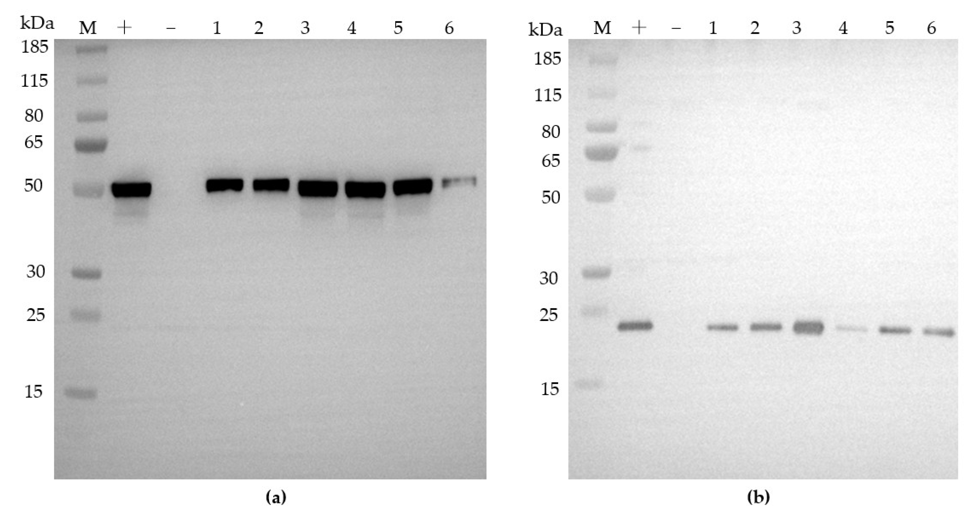
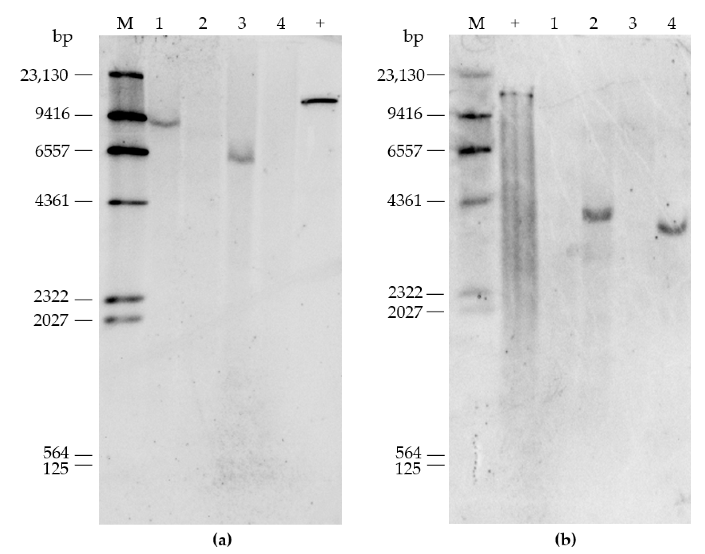
To determine the copy number of T-DNA insertion in the maize genome, Southern blot analysis was carried out. The maize genomic DNA was digested with Kpn I and EcoR V, respectively, and then hybridized with the cp4 epsps probe. Similarly, the digested DNA fragments were hybridized with the bar probe after digestion with BamH I and Bgl II, respectively. The results showed that transgenic maize SCB-29 contained a single copy of T-DNA (Figure 4). Separately, we observed that the segregation ratios of transgenes from backcross of the hemizygous plants were close to 1.0, which is in agreement with the notion of a single insertion event.
Figure 4.
Southern blot analysis of SCB-29. (a) Hybridization with DIG-labeled cp4 epsps probe. M, DNA Molecular Weight Marker II, DIG-labeled. 1, gDNA of SCB-29 digested with Kpn I. 2, gDNA of non-transgenic maize digested with Kpn I. 3, gDNA of SCB-29 digested with EcoR V. 4, gDNA of non-transgenic maize digested with EcoR V. +, transformation vector digested with Kpn I. (b) Hybridization with DIG-labeled bar probe. M, DNA Molecular Weight Marker II, DIG-labeled. +, transformation vector digested with Kpn I. 1, gDNA of non-transgenic maize digested with BamH I. 2, gDNA of SCB-29 digested with BamH I. 3, gDNA of non-transgenic maize digested with Bgl II. 4, gDNA of SCB-29 digested with Bgl II.
3.3. Expression of CP4 EPSPS and Bar in SCB-29
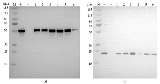
Western blot analysis was performed to confirm the expression of CP4 EPSPS and Bar in different tissues of SCB-29. Six tissues were collected from SCB-29 and used for the detection of heterologous proteins. The results suggested that both CP4 EPSPS and Bar were detected in all tissues (Figure 5).
Figure 5.
Western blot analysis of CP4 EPSPS and Bar in transgenic maize SCB-29. (a) Western blot analysis of CP4 EPSPS in SCB-29. M, PageRuler Plus Prestained Protein Ladder. +, CP4 EPSPS protein expressed in E. coli. − leaf of non-transgenic maize. 1–6, root, stem, leaf, pollen, silk, and seed of SCB-29, respectively. (b) Western blot analysis of Bar in SCB-29. M, PageRuler Plus Prestained Protein Ladder. +, Bar protein expressed in E. coli. −, leaf of non-transgenic maize. 1–6, root, stem, leaf, pollen, silk, and seed of SCB-29, respectively.
3.4. Genetic Stability of SCB-29 Corn over Three Generations
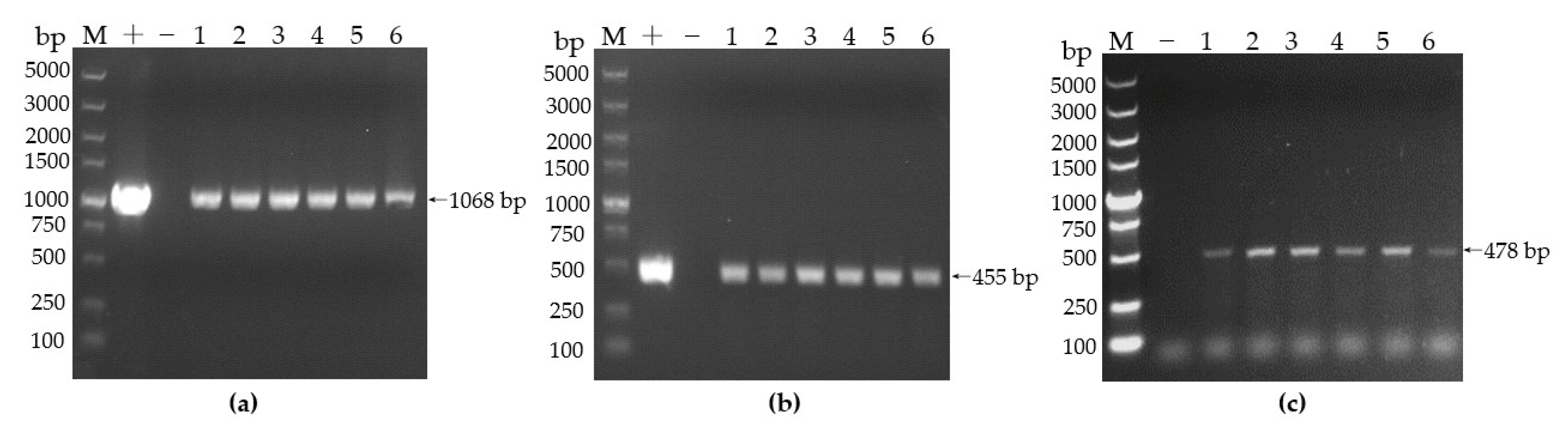
To detect whether the two transgenes were stably integrated into maize, gene-specific PCR and event-specific PCR were conducted using genomic DNA extracted from three generations of SCB-29 as the template. When using the gene-specific primers (CP4-GF/GR, Bar-GF/GR, Table 1), a presumptive 1068 bp fragment for cp4 epsps gene and a 455 bp fragment for bar gene were produced in all three generations of transgenic maize, whereas no PCR band was detected in the non-transgenic maize (Figure 6a,b). A 478 bp fragment was produced in all transgenic plants with the event-specific primers (LB-MG/LB-TDNA), but no PCR product was obtained from the non-transgenic maize (Figure 6c). The results demonstrated that both transgenes were stably integrated into the genome of SCB-29.

Figure 6.
PCR analysis of transgenes in three generations of SCB-29. (a) PCR products for cp4 epsps in three generations of SCB-29. (b) PCR products for bar in three generations of SCB-29. (c) Event-specific PCR analysis of three generations of SCB-29. (d) Protein expression levels of CP4 EPSPS in different tissues of three generations of transgenic maize SCB-29. (e) Protein expression levels of Bar in different tissues of three generations of transgenic maize SCB-29. M, DL 5000 DNA Marker. +, plasmid DNA. −, non-transgenic maize. 1–2, BC2F1 generation of transgenic maize SCB-29. 3–4, BC3F1 generation of transgenic maize SCB-29. 5–6, BC4F1 generation of transgenic maize SCB-29.
The protein expression levels in various tissues of SCB-29 in different generations were determined by ELISA. The CP4 EPSPS was expressed at an average of 13.41–14.11, 7.17–9.50, 53.01–58.37, 37.77–38.40, 19.28–21.26, and 4.49–6.81 µg/g fresh weight in root, stem, leaf, pollen, silk, and seed, respectively (Figure 6d). The average expression levels of Bar in root, stem, leaf, pollen, silk, and seed were 5.68–6.51, 10.06–11.64, 34.33–35.68, 1.82–2.03, 8.84–9.03 and 9.21–9.48 µg/g fresh weight, respectively (Figure 6e). The results showed that the protein CP4 EPSPS and Bar expressed stably over multiple generations of transgenic maize SCB-29.
3.5. Herbicide Tolerance Analysis of SCB-29
To determine the herbicide tolerance of SCB-29, transgenic maize SCB-29 and its non-transgenic control maize (CK) were planted in the field and sprayed with glyphosate at the dosages of 0, 900, 1800, and 3600 g a.e. ha−1 (the recommended dosage is 900 g a.e. ha−1) or glufosinate at the dosages of 0, 900, 1800, and 3600 g a.i. ha−1 (the recommended dosage is 900 g a.i. ha−1). Herbicide spray experiment results showed that SCB-29 is highly tolerant to glyphosate and glufosinate and grows normally after being treated with all three dosages, whereas all of the leaves of non-transgenic maize turned yellow and perished seven days after exposure (Figure 7a,b).

Figure 7.
Herbicide tolerance analysis of transgenic maize SCB-29. (a) Spraying glyphosate at 0 g a.e. ha−1, 900 g a.e. ha−1, 1800 g a.e. ha−1, and 3600 g a.e. ha−1. (b) Spraying glufosinate at 0 g a.i. ha−1, 900 g a.i. ha−1, 1800 g a.i. ha−1, and 3600 g a.i. ha−1.
3.6. Agronomic Performances of Transgenic Maize SCB-29 with Different Herbicide Treatments
In 2022, the agronomic performances of SCB-29 were compared with those of non-transgenic maize of the same cultivar. Although some differences were found in the plant height between different treatments, no significant differences in the ear height, ear length, and 100-grain weight were observed, and comparable to its non-transgenic maize (Figure 8), suggesting that SCB-29 is not likely to have yield drag.

Figure 8.
Agronomic performances of transgenic maize SCB-29 between different treatments. (a) Plant height. (b) Ear height. (c) Ear length. (d) 100-grain weight. T1, SCB-29 with glyphosate at 900 g a.e. ha−1. T2, SCB-29 with glyphosate at 1800 g a.e. ha−1. T3, SCB-29 with glyphosate at 3600 g a.e. ha−1. T4, SCB-29 with glufosinate at 900 g a.e. ha−1. T5, SCB-29 with glufosinate at 1800 g a.e. ha−1. T6, SCB-29 with glufosinate at 3600 g a.e. ha−1. T7, SCB-29 with manual weeding. T8, non-transgenic maize with manual weeding. The difference between treatments has been shown as * p < 0.05, ** p < 0.01 and *** p < 0.001.
3.7. Weed Control Efficiency and Maize Yield between Different Treatments
In 2022, weed control efficiency was determined when glyphosate and glufosinate were applied alone or sequentially. The results showed that the predominant weed species in this experimental maize field were Eleusine indica, Acalypha australis, Chenopodium album, Alternanthera philoxeroides, Convolvulus arvensis, and Setaria viridis. The sequential applications of glyphosate (at the 900 g a.e. ha−1 rate) and glufosinate (at the 900 g a.i. ha−1 rate), regardless of initial application of glyphosate or glufosinate, showed over 95% efficiency, which was more effective than glyphosate at 900 g a.e. ha−1 or glufosinate at 900 g a.i. ha−1 alone in weed control (Table 2). The glyphosate had a lower weed control efficiency than glufosinate because it was not effective in controlling E. indica, which is one of the glyphosate-resistant weeds that have been reported in corn fields. Although there were some differences in the weed control efficiency between different herbicide treatments, differences in corn yields were not statistically significant, suggesting that the weeds that emerged after the glyphosate or glufosinate application alone did not reduce corn yields substantially (Table 2).
Table 2.
Effect of different treatments on weed control efficiency and maize yield.
4. Discussions
The current transgenic corn weed control system benefits farmers greatly for its simplicity and economics [40,41]. It is of critical importance to manage the weed resistance to herbicides to preserve this weed control system. To combat the problem of herbicide-resistant weeds, rotating, sequential, or mixing different herbicides is the currently recommended practice [32,42,43]. Thus, the deployment of transgenic corn conferring tolerance to two or more herbicides with different modes of action is one of the effective ways to delay the development of weed resistance to herbicides. Experience in the USA and other places suggested that China should adopt dual herbicide tolerance corn at the very beginning of transgenic corn commercial release to better manage weed resistance to herbicides [44,45,46]. Transgenic corn events tolerant to multiple herbicides are developed by multiple groups. For instance, a double herbicide tolerant maize event MZHG0JG that contained 2mepsps and pat was developed by Syngenta [17]. A double herbicide-tolerant transgenic maize DBN9858 was developed by expressing epsps (derived from Arthrobacter globiformis) and pat gene [47]. MON87429 developed by Monsanto is tolerant to four herbicides by expressing four genes (pat, dmo, ft_t, and cp4 epsps) [48].
Here, SCB-29 maize was developed by the introduction of two gene cassettes that express CP4 EPSPS and Bar. The effectiveness of target traits is the basis for the application of transgenic plants. Field trials suggested that SCB-29 is tolerant to glyphosate up to 3600 g a.e. ha−1, and glufosinate up to 3600 g a.i. ha−1, which are fourfold the recommended rates for the two herbicides, respectively.
The stability of transgene expression is also an important requisite for the application of transgenic plants. Transgene copy number significantly influences the genetic stability of the target gene [49]. For the breeding objectives, the ideal transgenic plant should have a single copy of the T-DNA insertion into a non-functional region of the plant genome, with no other DNA alterations to the host plant. SCB-29 was selected from over 200 events generated from our study based on herbicide tolerance levels, T-DNA copy number, insertion site, and agronomic performance. SCB-29 is a single copy T-DNA insertion event with an intact T-DNA fragment inserted into chromosome 10. Bioinformatic analysis of the T-DNA flanking sequence based on known corn genome sequence suggested that the insertion site does not code for a known gene or a putative gene, and does not create any new open reading frames (ORFs) and thus no novel chimeric protein is generated. The establishment of an event-specific PCR detection method for transgenic breeding and environmental safety is crucial [50]. In our research, an event-specific PCR method for the SCB-29 transgenic maize was established, and three generations of SCB-29 transgenic maize were detected by event-specific PCR. Our field trials observed that the major agronomic performances of SCB-29 appear to be similar to those of non-transgenic maize, supporting the notion that the T-DNA insertion does not likely disrupt any important functional genes.
Stability of herbicide tolerance is critical for the commercial application of GM crops [45]. Analysis of the expression of the transgenes by ELISA demonstrated that the expressions of the transgenes were stable among different generations. Stable performance of the herbicide tolerance was also observed among SCB-29 plants of different generations.
Glyphosate and glufosinate have historically been employed as nonselective herbicides. Because of developments in biotechnology, these herbicides have been used for weed control for tolerant crops without causing crop damage. Glyphosate was widely produced after glyphosate’s patent rights expired in 2000, and then followed by a decrease in glyphosate’s price and an increase in the use of the herbicide in crops that can tolerate it [51]. Glyphosate-resistant weeds have already emerged and are likely due to the continuous reliance on glyphosate. Fortunately, glufosinate controls a wide range of weed species, and it is effective against some species that are challenging to control with glyphosate. The effectiveness of applying glyphosate and glufosinate alone or in sequence on weeds was measured in this study. The results showed that the sequential applications of glyphosate (at the 900 g a.e. ha−1 rate) and glufosinate (at the 900 g a.i. ha−1 rate), regardless of initial application of glyphosate or glufosinate, showed over 95% efficiency, which was more effective than glyphosate at 900 g a.e. ha−1 rate (59.16% efficiency) or glufosinate at 900 g a.i. ha−1 rate (79.14% efficiency) alone in weed control. Glyphosate exhibited a lower weed control efficiency than glufosinate because it was not effective in controlling E. indica. The differences in maize yields between different herbicide treatments were not significant, but higher compared to no herbicide application and no manual weeding. Therefore, we recommended applying glyphosate and glufosinate in sequence in the same growing season or glyphosate and glufosinate rotations across growing seasons for the best weed control efficacy. This may also delay glyphosate resistance because of the rarity of cross-resistance in weeds between glyphosate and glufosinate. Glyphosate and glufosinate have no limits on carryover to the following planted crops because glyphosate and glufosinate are rapidly degraded in the soil [52,53,54], and thus it is quite flexible for various crop rotations.
SCB-29 is not only an excellent event for stacking with insect-resistant events for its tolerance to glyphosate and glufosinate, but can also serve as a refuge corn for insect-resistant maize. Planting a small portion of non-Bt corn (e.g., conventional corn or herbicide-tolerant corn) as pest refuge is an important strategy for pest resistance management [55].
5. Conclusions
The results in this study suggested that the SCB-29 transgenic maize is a single copy T-DNA insertion event with an intact T-DNA fragment inserted into chromosome 10 and the transgenes were expressed stably in SCB-29. It provides ample tolerance to both glyphosate and glufosinate with no significant yield drag. This transgenic event is an excellent herbicide-tolerant candidate for possible commercial release in China in the coming years.
Author Contributions
Y.Z., X.Y., C.L. and Z.S. designed the research; X.Y. and Y.S. performed the research; Y.Z. and X.Y. analyzed the data; X.Y. wrote the manuscript; Y.Z., C.L., P.W. and Z.S. read and gave suggestions on the manuscript. All authors have read and agreed to the published version of the manuscript.
Funding
This research was funded by the Major project of breeding new genetically modified organisms (2018ZX08003-02B).
Data Availability Statement
Not applicable.
Conflicts of Interest
The authors declare no conflict of interest.
References
- Awika, J.M. Major cereal grains production and use around the world. In Advances in Cereal Science: Implications to Food Processing and Health Promotion; ACS Symposium Series; American Chemical Society: Washington, DC, USA, 2011; Volume 1089, pp. 1–13. [Google Scholar]
- Orhun, G.E. Maize for life. Int. J. Food Sci. Nutr. 2013, 3, 13–16. [Google Scholar]
- Oerke, E.-C. Crop losses to pests. J. Agric. Sci. 2006, 144, 31–43. [Google Scholar] [CrossRef]
- Soltani, N.; Dille, A.J.; Burke, I.C.; Everman, W.J.; Vangessel, M.J.; Davis, V.M.; Sikkema, P.H. Potential corn yield losses due to weeds in North America. Weed Technol. 2016, 30, 979–984. [Google Scholar] [CrossRef]
- Kannan, S.; Chinnagounder, C. Evaluation of weed control options for herbicide resistant transgenic stacked (TC 1507 X NK603) and conventional maize hybrids for higher productivity. Am. J. Plant Sci. 2013, 4, 1713–1720. [Google Scholar] [CrossRef]
- Zhang, Z.P. Development of chemical weed control and integrated weed management in China. Weed Biol. Manag. 2010, 3, 197–203. [Google Scholar] [CrossRef]
- Rodenburg, J.; Saito, K.; Irakiza, R.; Makokha, D.W.; Onyuka, E.A.; Senthilkumar, K. Labor-saving weed technologies for lowland rice farmers in sub-Saharan Africa. Weed Technol. 2015, 29, 751–757. [Google Scholar] [CrossRef]
- ISAAA. Global Status of Commercialized Biotech/GM Crops in 2019: Biotech Crops Drive Socio-Economic Development and Sustainable Environment in the New Frontier. In ISAAA Brief No. 55; Cornell University Ithaca: New York, NY, USA, 2019. [Google Scholar]
- Duke, S.O.; Powles, S.B. Glyphosate: A once-in-a-century herbicide. Pest Manag. Sci. 2010, 64, 319–325. [Google Scholar] [CrossRef]
- Steinrücken, H.C.; Amrhein, N. The herbicide glyphosate is a potent inhibitor of 5-enolpyruvyl-shikimic acid-3-phosphate synthase. Biochem. Biophys. Res. Commun. 1980, 94, 1207–1212. [Google Scholar] [CrossRef]
- Funke, T.; Han, H.; Healy-Fried, M.L.; Fischer, M.; Schoenbrunn, E. Molecular basis for the herbicide resistance of Roundup Ready crops. PNAS 2006, 103, 13010–13015. [Google Scholar] [CrossRef]
- Williams, G.M.; Kroes, R.; Munro, I.C. Safety evaluation and risk assessment of the herbicide Roundup and its active ingredient, glyphosate, for humans. Regul. Toxicol. Pharm. 2000, 31, 117–165. [Google Scholar] [CrossRef]
- Ren, Z.J.; Cao, G.Y.; Zhang, Y.W.; Liu, Y.; Liu, Y.J. Overexpression of a modified AM79 aroA gene in transgenic maize confers high tolerance to glyphosate. J. Integr. Agric. 2015, 14, 414–422. [Google Scholar] [CrossRef]
- Liu, Y.J.; Zhang, Y.W.; Liu, Y.; Lu, W.; Wang, G.Y. Metabolic effects of glyphosate on transgenic maize expressing a G2-EPSPS gene from Pseudomonas fluorescens. J. Plant Biochem. Biot. 2015, 24, 233–241. [Google Scholar] [CrossRef]
- Jerry, M.G.; Theresa, H.; Pagano, M.A.; Andreassi, J.L., II; Gutteridge, S.A. Response of 98,140 corn with Gat4621 and hra transgenes to glyphosate and ALS-Inhibiting herbicides. Weed Sci. 2009, 57, 142–148. [Google Scholar]
- Hernández, M.; Esteve, T.; Prat, S.; Pla, M. Development of real-time PCR systems based on SYBR Green I, Amplifluor and TaqMan technologies for specific quantitative detection of the transgenic maize event GA21. J. Cereal Sci. 2004, 39, 99–107. [Google Scholar] [CrossRef]
- Matthews, B.A.; Launis, K.L.; Bauman, P.A.; Juba, N.C. Double-mutated 5-Enol Pyruvylshikimate-3-phosphate synthase protein expressed in MZHG0JG Corn (Zea mays L.) has no impact on toxicological safety and nutritional composition. J. Agric. Food Chem. 2017, 65, 8459–8465. [Google Scholar] [CrossRef]
- Mesnage, R.; Agapito-Tenfen, S.Z.; Vilperte, V.; Renney, G.; Ward, M.; Séralini, G.; Nodari, R.O.; Antoniou, M.N. An integrated multi-omics analysis of the NK603 Roundup-tolerant GM maize reveals metabolism disturbances caused by the transformation process. Sci. Rep. 2016, 6, 37855. [Google Scholar] [CrossRef]
- Liu, M.M.; Zhang, X.J.; Gao, Y.; Shen, Z.C.; Lin, C.Y. Molecular characterization and efficacy evaluation of a transgenic corn event for insect resistance and glyphosate tolerance. J. Zhejiang Univ.- SC B 2018, 19, 610–619. [Google Scholar] [CrossRef]
- International Service for the Acquisition of Agri-biotech Applications (ISAAA). 2022. Available online: www.isaaa.org (accessed on 9 November 2022).
- Eelen, G.; Dubois, C.; Cantelmo, A.R.; Goveia, J.; Carmeliet, P. Role of glutamine synthetase in angiogenesis beyond glutamine synthesis. Nature 2018, 561, 63–69. [Google Scholar] [CrossRef]
- Liu, X.J.; Huan, Z.Y.; Zhang, Q.F.; Zhong, M.Q.; Du, H. Glutamine Synthetase (GS): A key enzyme for nitrogen assimilation in macroalga Gracilariopsis lemaneiformis (Rhodophyta). J. Phycol. 2019, 55, 1059–1070. [Google Scholar] [CrossRef]
- Kutlesa, N.J.; Caveney, S. Insecticidal activity of glufosinate through glutamine depletion in a caterpillar. Pest Manag. Sci. 2015, 57, 25–32. [Google Scholar] [CrossRef]
- Thompson, C.J.; Movva, N.R.; Tizard, R.; Crameri, R.; Botterman, J. Characterization of the herbicide-resistance gene bar from Streptomyces hygroscopicus. Embo J. 1987, 6, 2519–2523. [Google Scholar] [CrossRef]
- Wohlleben, W.; Arnold, W.; Broer, I.; Hillemann, D.; Strauch, E.; Pühler, A. Nucleotide sequence of phosphinothricin-N-acetyl-transferase gene from Streptomyces viridochromogenes Tue H 94 and its expression in Nicotiane tabacum. Gene 1988, 70, 25–37. [Google Scholar] [CrossRef] [PubMed]
- Lutz, K.A.; Maliga, K.P. Expression of bar in the plastid genome confers herbicide resistance. Plant Physiol. 2001, 125, 1585–1590. [Google Scholar] [CrossRef] [PubMed]
- Florian, W.; Cristina, B.; Claudia, P.; Maddalena, Q.; Simon, K.; Marc, D.B.; Guy, V.D.E. Real-time polymerase chain reaction-based approach for quantification of the pat gene in the T25 Zea mays event. J. Aoac. Int. 2004, 87, 1342–1355. [Google Scholar]
- Milcamps, A.; Rabe, S.; Cade, R.; De Framond, A.J.; Henriksson, P.; Kramer, V.; Lisboa, D.; Pastor-Benito, S.; Willits, M.G.; Lawrence, D. Validity assessment of the detection method of maize event Bt10 through investigation of its molecular structure. J. Agric. Food Chem. 2009, 57, 3156–3163. [Google Scholar] [CrossRef]
- Windels, P.; Bertrand, S.; Depicker, A.; Moens, W.; Bockstaele, E.V.; Loose, M. Qualitative and event-specific PCR real-time detection methods for StarLink maize. Eur. Food Res. Technol. 2003, 216, 259–263. [Google Scholar] [CrossRef]
- Herman, R.A.; Phillips, A.M.; Collins, R.A.; Tagliani, L.A.; Prochaska, L.M. Compositional equivalency of Cry1F corn event TC6275 and conventional corn (Zea mays L.). J. Agric. Food Chem. 2004, 52, 2726. [Google Scholar] [CrossRef]
- Heap. I. The International Herbicide-Resistant Weed Database. 2022. Available online: www.weedscience.org (accessed on 9 November 2022).
- Beckie, H.J. Herbicide-resistant weeds: Management tactics and practices. Weed Technol. 2006, 20, 793–814. [Google Scholar] [CrossRef]
- Shih, M.H.; Doran, P.M. Foreign protein production using plant cell and organ cultures: Advantages and limitations. Biotechnol. Adv. 2009, 27, 1036–1042. [Google Scholar] [CrossRef]
- Fearing, P.L.; Brown, D.; Valchos, D.; Meghji, M.; Privalle, L. Quantitative analysis of Cry1A(b) expression in Bt maize plants, tissues, and silage and stability of expression over successive generations. Mol. Breed. 1997, 3, 169–176. [Google Scholar] [CrossRef]
- Nguyen, H.T.; Jehle, J.A. Quantitative analysis of the seasonal and tissue-specific expression of Cry1Ab in transgenic maize Mon810. J. Plant Dis. Protect 2007, 114, 82–87. [Google Scholar] [CrossRef]
- Gelvin, S.B. Integration of Agrobacterium T-DNA into the plant genome. Annu. Rev. Genet. 2017, 51, 195–217. [Google Scholar] [CrossRef]
- Frame, B.R.; Shou, H.; Chikwamba, R.K.; Zhang, Z.; Xiang, C.; Fonger, T.M.; Pegg, S.; Li, B.; Dan, S.N.; Wang, P.K. Agrobacterium tumefaciens-mediated transformation of maize embryos using a standard binary vector system. Plant Physiol. 2002, 129, 13–22. [Google Scholar] [CrossRef]
- Murray, M.G.; Thompson, W.F. Rapid isolation of high molecular weight plant DNA. Nucl. Acids Res. 1980, 8, 4321–4326. [Google Scholar] [CrossRef]
- Liu, Y.G.; Chen, Y. High-efficiency thermal asymmetric interlaced PCR for amplification of unknown flanking sequences. Biotechniques 2007, 43, 649–656. [Google Scholar] [CrossRef]
- Gianessi, L.P. Economic and herbicide use impacts of glyphosate-resistant crops. Pest Manag. Sci. 2005, 61, 241–245. [Google Scholar] [CrossRef]
- Gianessi, L.P. Economic impacts of glyphosate-resistant crops. Pest Manag. Sci. 2008, 64, 346–352. [Google Scholar] [CrossRef]
- Owen, M.D. Diverse approaches to herbicide-resistant weed management. Weed Sci. 2016, 64, 570–584. [Google Scholar] [CrossRef]
- Beckie, H.J. Herbicide-resistant weed management: Focus on glyphosate. Pest Manag. Sci. 2011, 67, 1037–1048. [Google Scholar] [CrossRef]
- Dhirendra, F.; Aakrati, A.; Donald, J.; Bhabesh, B.; Babu, R.; Vijay, S.; Agrawal, P.K.; Murali, A.; Reddy, M.K. Developing dual herbicide tolerant transgenic rice plants for sustainable weed management. Sci. Rep. 2018, 8, 11598. [Google Scholar]
- Bhat, S.; Chopra, V. Choice of technology for herbicide-resistant transgenic crops in India: Examination of issues. Curr. Sci. 2006, 91, 435–438. [Google Scholar]
- Bonny, S. Genetically modified herbicide-tolerant crops, weeds, and herbicides: Overview and impact. Environ. Manag. 2016, 57, 31–48. [Google Scholar] [CrossRef] [PubMed]
- Kang, Y.J.; Guo, M.X.; Liu, H.L.; Zhang, C.W.; Ding, D.R.; Jiao, G.W.; Wei, X.S.; Tang, B.; Xia, Z.L.; Xiong, G.J.; et al. Herbicide-tolerant Maize Plant DBN9858, and Nucleotide Sequence and Method for Detecting Same. 2016. Available online: https://patentscope.wipo.int/search/en/detail.jsf?docId=WO2016173508 (accessed on 9 November 2022).
- Ellis, C.M.; Goley, M.E.; Huang, J.; Klingaman, T.E.; Larue, C.T.; Qi, Y.; Sparks, O.C.; Van Scoyoc, B.M.; Yang, H. Maize event MON87429 and Methods of Use Thereof. U.S. Patent No. 10,920,239, 16 February 2021. [Google Scholar]
- Mehrotra, S.; Goyal, V. Evaluation of designer crops for biosafety-A scientist’s perspective. Gene 2012, 515, 241–248. [Google Scholar] [CrossRef] [PubMed]
- Dong, Y.F.; Jin, X.; Tang, Q.L.; Zhang, X.; Yang, J.T.; Liu, X.J.; Cai, J.F.; Zhang, X.B.; Wang, X.J.; Wang, Z.X. Development and event-specific detection of trasngenic glyphosate-resistant rice expressing the G2-EPSPS gene. Front. Plant Sci. 2017, 8, 885. [Google Scholar] [CrossRef]
- Koger, C.H.; Price, A.J.; Faircloth, J.C.; Wilcut, J.W.; Nichols, S.P. Effect of residual herbicides used in the last post-directed application on weed control and cotton yield in glyphosate- and glufosinate-resistant cotton. Weed Technol. 2007, 21, 378–383. [Google Scholar] [CrossRef]
- Smith, A.E. Persistence and transformation of the herbicide [14C] glufosinate-ammonium in prairie soils under laboratory conditions. J. Agric. Food Chem. 1988, 36, 393–397. [Google Scholar] [CrossRef]
- Tebbe, C.C.; Reber, H.H. Degradation of [14C] phosphinothricin (glufosinate) in soil under laboratory conditions: Effects of concentration and soil amendments on 14CO2 production. Biol. Fertil. Soils 1991, 11, 62–67. [Google Scholar] [CrossRef]
- Torstensson, N.T.L.; Aamisepp, A. Detoxification of glyphosate in soil. Weed Res. 1977, 17, 209–212. [Google Scholar] [CrossRef]
- Komarlingam, M.S. Refuge-in-bag for Bt cotton. Curr. Sci. 2018, 114, 726–727. [Google Scholar]
Disclaimer/Publisher’s Note: The statements, opinions and data contained in all publications are solely those of the individual author(s) and contributor(s) and not of MDPI and/or the editor(s). MDPI and/or the editor(s) disclaim responsibility for any injury to people or property resulting from any ideas, methods, instructions or products referred to in the content. |
© 2023 by the authors. Licensee MDPI, Basel, Switzerland. This article is an open access article distributed under the terms and conditions of the Creative Commons Attribution (CC BY) license (https://creativecommons.org/licenses/by/4.0/).










