A Single Seed Protein Extraction Protocol for Characterizing Brassica Seed Storage Proteins
Abstract
1. Introduction
2. Materials and Methods
2.1. Seed Materials and Mutant Screening
2.2. Maceration of Seeds
2.3. Preparation of Protein Extracts and 1D-SDS-PAGE
2.4. Densitometric Analysis of Stained Gels
2.5. Western Blot Analysis
3. Results and Discussions
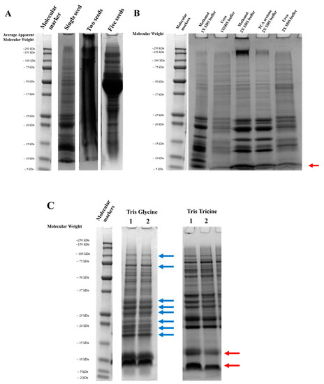
3.1. Optimization of the Extraction Method
3.2. Use of the Single-Seed Protein Extraction Method in Seeds of Other Brassica Species
3.3. Confirmation of the Identity of Napin and Cruciferin Proteins by Western Blotting
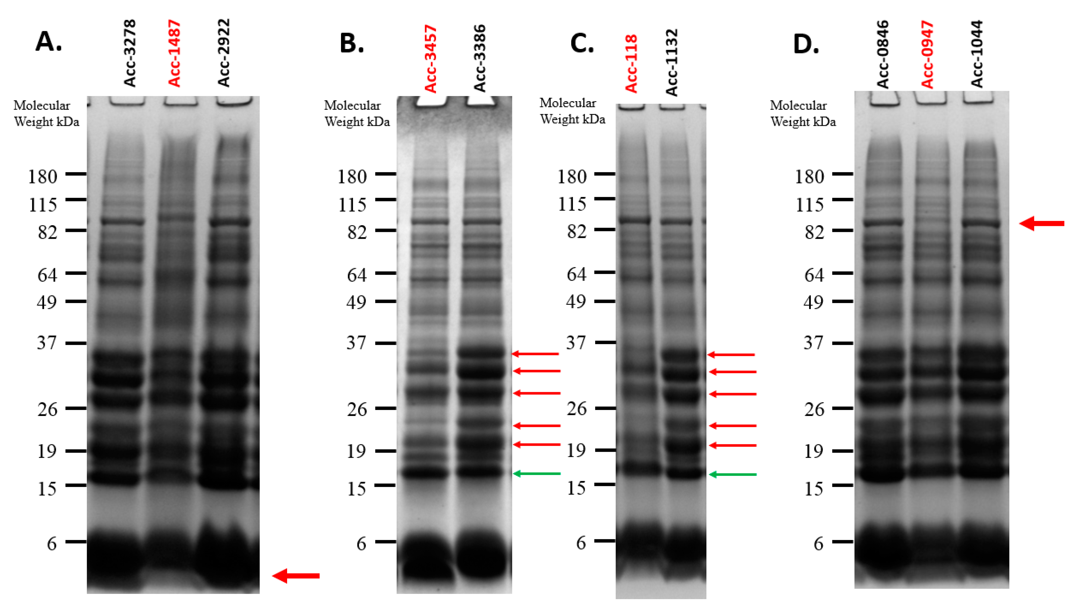
3.4. Application of Single-Seed Protein Extraction Method to Identify Seed Storage Protein Mutants in Brassica rapa
4. Conclusions
Author Contributions
Funding
Institutional Review Board Statement
Informed Consent Statement
Data Availability Statement
Acknowledgments
Conflicts of Interest
References
- Chmielewska, A.; Kozłowska, M.; Rachwał, D.; Wnukowski, P.; Amarowicz, R.; Nebesny, E.; Rosicka-Kaczmarek, J. Canola/rapeseed protein–nutritional value, functionality and food application: A review. Crit. Rev. Food Sci. Nutr. 2020, 1–21. [Google Scholar] [CrossRef] [PubMed]
- Raymer, P.L. Canola: An emerging oilseed crop. Trends New Crop. New Uses 2002, 1, 122–126. [Google Scholar]
- Lee, Y.-R.; Lim, C.-Y.; Lim, S.; Park, S.R.; Hong, J.-P.; Kim, J.; Lee, H.-E.; Ko, K.; Kim, D.-S. Expression of Colorectal Cancer Antigenic Protein Fused to IgM Fc in Chinese Cabbage (Brassica rapa). Plants 2020, 9, 1466. [Google Scholar] [CrossRef] [PubMed]
- Lu, K.; Wei, L.; Li, X.; Wang, Y.; Wu, J.; Liu, M.; Zhang, C.; Chen, Z.; Xiao, Z.; Jian, H. Whole-genome resequencing reveals Brassica napus origin and genetic loci involved in its improvement. Nat. Commun. 2019, 10, 1–12. [Google Scholar] [CrossRef] [PubMed]
- Park, C.H.; Bong, S.J.; Lim, C.J.; Kim, J.K.; Park, S.U. Transcriptome analysis and metabolic profiling of green and red mizuna (Brassica rapa L. var. japonica). Foods 2020, 9, 1079. [Google Scholar] [CrossRef] [PubMed]
- Rahman, M.; Khatun, A.; Liu, L.; Barkla, B.J. Brassicaceae mustards: Traditional and agronomic uses in Australia and New Zealand. Molecules 2018, 23, 231. [Google Scholar] [CrossRef]
- Aider, M.; Barbana, C. Canola proteins: Composition, extraction, functional properties, bioactivity, applications as a food ingredient and allergenicity–A practical and critical review. Trends Food Sci. Technol. 2011, 22, 21–39. [Google Scholar] [CrossRef]
- Bell, J.; Keith, M. A survey of variation in the chemical composition of commercial canola meal produced in Western Canadian crushing plants. Can. J. Anim. Sci. 1991, 71, 469–480. [Google Scholar] [CrossRef]
- Grala, W.; Verstegen, M.; Van Leeuwen, P.; Huisman, J.; Jansman, A.; Tamminga, S. Nitrogen balance of pigs as affected by feedstuffs causing different endogenous nitrogen flow at the terminal ileum. Livest. Prod. Sci. 1997, 48, 143–155. [Google Scholar] [CrossRef]
- Borpatragohain, P.; Rose, T.J.; Liu, L.; Barkla, B.J.; Raymond, C.A.; King, G.J. Remobilization and fate of sulphur in mustard. Ann. Bot. 2019, 124, 471–480. [Google Scholar] [CrossRef] [PubMed]
- Bos, C.; Airinei, G.; Mariotti, F.; Benamouzig, R.; Bérot, S.; Evrard, J.; Fénart, E.; Tomé, D.; Gaudichon, C. The poor digestibility of rapeseed protein is balanced by its very high metabolic utilization in humans. J. Nutr. 2007, 137, 594–600. [Google Scholar] [CrossRef] [PubMed]
- Tan, S.H.; Mailer, R.J.; Blanchard, C.L.; Agboola, S.O. Canola proteins for human consumption: Extraction, profile, and functional properties. J. Food Sci. 2011, 76, R16–R28. [Google Scholar] [CrossRef] [PubMed]
- Rahman, M. Characterising Brassica Seed Storage Protein Mutants to Enhance the Nutritional Value of the Seed; Submitted to Southern Cross Plant Science; Southern Cross University for the Confirmation of Candidature: Lismore, Australia, 2017. [Google Scholar]
- Rahman, M.; Liu, L.; King, G.J.; Barkla, B.J. Characterizing Brassica seed storage protein mutants to enhance the nutritional value of oilseed. In Proceedings of the Brassica Conference, Melbourne, Australia, 3–6 October 2016. [Google Scholar]
- Ohlson, R.; Anjou, K. Rapeseed protein products. J. Am. Oil Chem. Soc. 1979, 56, 431–437. [Google Scholar] [CrossRef] [PubMed]
- Fetzer, A.; Müller, K.; Schmid, M.; Eisner, P. Rapeseed proteins for technical applications: Processing, isolation, modification and functional properties–A review. Ind. Crop. Prod. 2020, 158, 112986. [Google Scholar] [CrossRef]
- Von Der Haar, D.; Müller, K.; Bader-Mittermaier, S.; Eisner, P. Rapeseed proteins–Production methods and possible application ranges. OCL 2014, 21, D104. [Google Scholar] [CrossRef]
- Fahs, A.; Louarn, G. Plant protein interactions studied using AFM force spectroscopy: Nanomechanical and adhesion properties. Phys. Chem. Chem. Phys. 2013, 15, 11339–11348. [Google Scholar] [CrossRef]
- Rahman, M. Identification, Molecular and Proteomic Characterisation of Brassica rapa Seed Storage Proteins with Allergenic and Antimicrobial Potential; Southern Cross University: Lismore, Australia, 2020; (Under review). [Google Scholar]
- Rahman, M.; Guo, Q.; Khartun, A.; Baten, A.; Mauleon, R.; Liu, L.; Barkla, B.J. Shotgun proteomics of Brassica rapa seed proteins identifies vicilin as a major seed storage protein in the mature seed. Submitted 2021. (Under review). [Google Scholar]
- Fiocchi, A.; Dahdah, L.; Riccardi, C.; Mazzina, O.; Fierro, V. Preacutionary labelling of cross-reactive foods: The case of rapeseed. Asthma Res. Pract. 2016, 2, 8. [Google Scholar] [CrossRef]
- Puumalainen, T.J.; Puustinen, A.; Poikonen, S.; Turjanmaa, K.; Palosuo, T.; Vaali, K. Proteomic identification of allergenic seed proteins, napin and cruciferin, from cold-pressed rapeseed oils. Food Chem. 2015, 175, 381–385. [Google Scholar] [CrossRef]
- Rahman, M.; Baten, A.; Mauleon, R.; King, G.J.; Liu, L.; Barkla, B.J. Identification, characterization and epitope mapping of proteins encoded by putative allergenic napin genes from Brassica rapa. Clin. Exp. Allergy 2020, 50, 848–868. [Google Scholar] [CrossRef]
- Kohno-Murase, J.; Murase, M.; Ichikawa, H.; Imamura, J. Effects of an antisense napin gene on seed storage compounds in transgenic Brassica napus seeds. Plant Mol. Biol. 1994, 26, 1115–1124. [Google Scholar] [CrossRef] [PubMed]
- Lochlainn, S.Ó.; Amoah, S.; Graham, N.S.; Alamer, K.; Rios, J.J.; Kurup, S.; Stoute, A.; Hammond, J.P.; Østergaard, L.; King, G.J.; et al. High Resolution Melt (HRM) analysis is an efficient tool to genotype EMS mutants in complex crop genomes. Plant Methods 2011, 7, 9. [Google Scholar] [CrossRef] [PubMed]
- Stephenson, P.; Baker, D.; Girin, T.; Perez, A.; Amoah, S.; King, G.J.; Østergaard, L. A rich TILLING resource for studying gene function in Brassica rapa. BMC Plant Biol. 2010, 10, 62. [Google Scholar] [CrossRef] [PubMed]
- Tadele, Z. Mutagenesis and TILLING to dissect gene function in plants. Curr. Genom. 2016, 17, 499–508. [Google Scholar] [CrossRef] [PubMed]
- Braatz, J.; Harloff, H.-J.; Mascher, M.; Stein, N.; Himmelbach, A.; Jung, C. CRISPR-Cas9 targeted mutagenesis leads to simultaneous modification of different homoeologous gene copies in polyploid oilseed rape (Brassica napus). Plant Physiol. 2017, 174, 935–942. [Google Scholar] [CrossRef] [PubMed]
- Arbelaez, J.D.; Tandayu, E.; Reveche, M.Y.; Jarana, A.; Van Rogen, P.; Sandager, L.; Stolt, P.; Ng, E.; Varshney, R.K.; Kretzschmar, T. Methodology: Ssb-MASS: A single seed-based sampling strategy for marker-assisted selection in rice. Plant Methods 2019, 15, 11. [Google Scholar] [CrossRef]
- Palomares, O.; Cuesta-Herranz, J.; Rodríguez, R.; Villalba, M. A recombinant precursor of the mustard allergen Sin a 1 retains the biochemical and immunological features of the heterodimeric native protein. Int. Arch. Allergy Immunol. 2005, 137, 18–26. [Google Scholar] [CrossRef]
- Palomares, O.; Cuesta-Herranz, J.; Vereda, A.; Sirvent, S.; Villalba, M.; Rodríguez, R. Isolation and identification of an 11S globulin as a new major allergen in mustard seeds. Ann. Allergyasthma Immunol. 2005, 94, 586–592. [Google Scholar] [CrossRef]
- Palomares, O.; Monsalve, R.I.; Rodríguez, R.; Villalba, M. Recombinant pronapin precursor produced in Pichia pastoris displays structural and immunologic equivalent properties to its mature product isolated from rapeseed. FEBS J. 2002, 269, 2538–2545. [Google Scholar]
- Palomares, O.; Vereda, A.; Cuesta-Herranz, J.; Villalba, M.; Rodríguez, R. Cloning, sequencing, and recombinant production of Sin a 2, an allergenic 11S globulin from yellow mustard seeds. J. Allergy Clin. Immunol. 2007, 119, 1189–1196. [Google Scholar] [CrossRef]
- Campbell, L.; Rempel, C.B.; Wanasundara, J.P. Canola/Rapeseed Protein: Future Opportunities and Directions—Workshop Proceedings of IRC 2015; Multidisciplinary Digital Publishing Institute: Basel, Switzerland, 2016. [Google Scholar]
- Han, C.; Yin, X.; He, D.; Yang, P. Analysis of proteome profile in germinating soybean seed, and its comparison with rice showing the styles of reserves mobilization in different crops. PLoS ONE 2013, 8, e56947. [Google Scholar] [CrossRef] [PubMed]
- Schatzki, J.; Ecke, W.; Becker, H.C.; Möllers, C. Mapping of QTL for the seed storage proteins cruciferin and napin in a winter oilseed rape doubled haploid population and their inheritance in relation to other seed traits. Theor. Appl. Genet. 2014, 127, 1213–1222. [Google Scholar] [CrossRef] [PubMed]
- Xiong, E.; Wu, X.; Yang, L.; Gong, F.; Tai, F.; Wang, W. Chloroform-Assisted Phenol Extraction Improving Proteome Profiling of Maize Embryos through Selective Depletion of High-Abundance Storage Proteins. PLoS ONE 2014, 9, e112724. [Google Scholar] [CrossRef] [PubMed][Green Version]
- Sidhu, H. Non-Destructive Analysis of Single Plant Canola (Brassica napus) Seeds Using Near Infra-Red Spectroscopy; American Society of Agricultural and Biological Engineers: Fargo, ND, USA, 2012. [Google Scholar]
- Downey, R.K.; Harvey, B.L. Methods of breeding for oil quality in rape. Can. J. Plant Sci. 1963, 43, 271–275. [Google Scholar] [CrossRef]
- Baten, A.; Mauleon, R.; King, G. Re-sequencing and comparative analysis of the Brassica rapa ssp.-trilocularis (R-o-18) genome. 2020. (in preparation). [Google Scholar]
- Barkla, B.J.; Vera-Estrella, R.; Pantoja, O.; Kirch, H.-H.; Bohnert, H.J. Aquaporin localization–how valid are the TIP and PIP labels? Trends Plant Sci. 1999, 4, 86–88. [Google Scholar] [CrossRef]
- Shimada, T.; Fuji, K.; Tamura, K.; Kondo, M.; Nishimura, M.; Hara-Nishimura, I. Vacuolar sorting receptor for seed storage proteins in Arabidopsis thaliana. Proc. Natl. Acad. Sci. USA 2003, 100, 16095–16100. [Google Scholar] [CrossRef]
- Shimada, T.; Yamada, K.; Kataoka, M.; Nakaune, S.; Koumoto, Y.; Kuroyanagi, M.; Tabata, S.; Kato, T.; Shinozaki, K.; Seki, M.; et al. Vacuolar processing enzymes are essential for proper processing of seed storage proteins in Arabidopsis thaliana. J. Biol. Chem. 2003, 278, 32292–32299. [Google Scholar] [CrossRef]
- Izli, N.; Unal, H.; Sincik, M. Physical and mechanical properties of rapeseed at different moisture content. Int. Agrophysics 2009, 23, 137–145. [Google Scholar]
- Stumpe, M.C.; Grubmüller, H. Interaction of urea with amino acids: Implications for urea-induced protein denaturation. J. Am. Chem. Soc. 2007, 129, 16126–16131. [Google Scholar] [CrossRef]
- Haider, S.R.; Sharp, B.L.; Reid, H.J. A comparison of Tris-glycine and Tris-tricine buffers for the electrophoretic separation of major serum proteins. J. Sep. Sci. 2011, 34, 2463–2467. [Google Scholar] [CrossRef]
- Nietzel, T.; Dudkina, N.V.; Haase, C.; Denolf, P.; Semchonok, D.A.; Boekema, E.J.; Braun, H.-P.; Sunderhaus, S. The native structure and composition of the cruciferin complex in Brassica napus. J. Biol. Chem. 2013, 288, 2238–2245. [Google Scholar] [CrossRef] [PubMed]
- Rolletschek, H.; Schwender, J.; König, C.; Chapman, K.D.; Romsdahl, T.; Lorenz, C.; Braun, H.-P.; Denolf, P.; Audenhove, K.v.; Munz, E.; et al. Cellular Plasticity in Response to Suppression of Storage Proteins in the Brassica napus Embryo. Plant Cell 2020. [Google Scholar] [CrossRef] [PubMed]
- Wan, L.; Ross, A.R.; Yang, J.; Hegedus, D.D.; Kermode, A.R. Phosphorylation of the 12 S globulin cruciferin in wild-type and abi1-1 mutant Arabidopsis thaliana (thale cress) seeds. Biochem. J. 2007, 404, 247–256. [Google Scholar] [CrossRef] [PubMed]
- Ericson, M.; Rödin, J.; Lenman, M.; Glimelius, K.; Josefsson, L.-G.; Rask, L. Structure of the rapeseed 1.7 S storage protein, napin, and its precursor. J. Biol. Chem. 1986, 261, 14576–14581. [Google Scholar] [CrossRef]
- Lin, Y.; Pajak, A.; Marsolais, F.; McCourt, P.; Riggs, C.D. Characterization of a cruciferin deficient mutant of Arabidopsis and its utility for overexpression of foreign proteins in plants. PLoS ONE 2013, 8, e64980. [Google Scholar] [CrossRef]
- Rödin, J.; Rask, L. The relationship between mature chains and their precursors of cruciferin, the 12S storage protein of Brassica napus. Plant Sci. 1990, 70, 57–63. [Google Scholar] [CrossRef]
- Frizzi, A.; Caldo, R.A.; Morrell, J.A.; Wang, M.; Lutfiyya, L.L.; Brown, W.E.; Malvar, T.M.; Huang, S. Compositional and transcriptional analyses of reduced zein kernels derived from the opaque2 mutation and RNAi suppression. Plant Mol. Biol. 2010, 73, 569–585. [Google Scholar] [CrossRef]
- Segal, G.; Song, R.; Messing, J. A new opaque variant of maize by a single dominant RNA-interference-inducing transgene. Genetics 2003, 165, 387–397. [Google Scholar]
- Lyzenga, W.J.; Harrington, M.; Bekkaoui, D.; Wigness, M.; Hegedus, D.D.; Rozwadowski, K.L. CRISPR/Cas9 editing of three CRUCIFERIN C homoeologues alters the seed protein profile in Camelina sativa. BMC Plant Biol. 2019, 19, 292. [Google Scholar] [CrossRef]
- Perera, S.P.; McIntosh, T.C.; Wanasundara, J.P. Structural properties of cruciferin and napin of Brassica napus (Canola) show distinct responses to changes in pH and temperature. Plants 2016, 5, 36. [Google Scholar] [CrossRef]
- Bérot, S.; Compoint, J.; Larré, C.; Malabat, C.; Guéguen, J. Large scale purification of rapeseed proteins (Brassica napus L.). J. Chromatogr. B 2005, 818, 35–42. [Google Scholar]
- Hansen, M.; Lange, M.; Friis, C.; Dionisio, G.; Holm, P.B.; Vincze, E. Antisense-mediated suppression of C-hordein biosynthesis in the barley grain results in correlated changes in the transcriptome, protein profile, and amino acid composition. J. Exp. Bot. 2007, 58, 3987–3995. [Google Scholar] [CrossRef] [PubMed]
- Wei, X.; Kim, W.-S.; Song, B.; Oehrle, N.W.; Liu, S.; Krishnan, H.B. Soybean Mutants Lacking Abundant Seed Storage Proteins Are Impaired in Mobilization of Storage Reserves and Germination. ACS Omega 2020, 5, 8065–8075. [Google Scholar] [CrossRef] [PubMed]
- Malabat, C.; Atterby, H.; Chaudhry, Q.; Renard, M.; Guéguen, J. Genetic variability of rapeseed protein composition. In Proceedings of the 11th International Rapeseed Congress; Royal Veterinary and Agricultural University: Frederiksberg, Denmark, 2003. [Google Scholar]
- Gacek, K.; Bartkowiak-Broda, I.; Batley, J. Genetic and Molecular Regulation of Seed Storage Proteins (SSPs) to Improve Protein Nutritional Value of Oilseed Rape (Brassica napus L.) Seeds. Front. Plant Sci. 2018, 9, 890. [Google Scholar] [CrossRef]
- Guerche, P.; Tire, C.; De Sa, F.G.; De Clercq, A.; Van Montagu, M.; Krebbers, E. Differential expression of the Arabidopsis 2S albumin genes and the effect of increasing gene family size. Plant Cell 1990, 2, 469–478. [Google Scholar] [CrossRef][Green Version]
- Kohno-Murase, J.; Murase, M.; Ichikawa, H.; Imamura, J. Improvement in the quality of seed storage protein by transformation of Brassica napus with an antisense gene for cruciferin. Theor. Appl. Genet. 1995, 91, 627–631. [Google Scholar] [CrossRef]
- Rahman, M.; Baten, A.; Khatun, A.; Mauleon, R.; Liu, L.; Barkla, B.J. Identification, characterization and epitope mapping of proteins encoded by putative allergenic 12S globulin like cruciferin proteins from Brassica rapa. Clin. Exp. Allergy 2021. (Under review). [Google Scholar]






Publisher’s Note: MDPI stays neutral with regard to jurisdictional claims in published maps and institutional affiliations. |
© 2021 by the authors. Licensee MDPI, Basel, Switzerland. This article is an open access article distributed under the terms and conditions of the Creative Commons Attribution (CC BY) license (http://creativecommons.org/licenses/by/4.0/).
Share and Cite
Rahman, M.; Liu, L.; Barkla, B.J. A Single Seed Protein Extraction Protocol for Characterizing Brassica Seed Storage Proteins. Agronomy 2021, 11, 107. https://doi.org/10.3390/agronomy11010107
Rahman M, Liu L, Barkla BJ. A Single Seed Protein Extraction Protocol for Characterizing Brassica Seed Storage Proteins. Agronomy. 2021; 11(1):107. https://doi.org/10.3390/agronomy11010107
Chicago/Turabian StyleRahman, Mahmudur, Lei Liu, and Bronwyn J. Barkla. 2021. "A Single Seed Protein Extraction Protocol for Characterizing Brassica Seed Storage Proteins" Agronomy 11, no. 1: 107. https://doi.org/10.3390/agronomy11010107
APA StyleRahman, M., Liu, L., & Barkla, B. J. (2021). A Single Seed Protein Extraction Protocol for Characterizing Brassica Seed Storage Proteins. Agronomy, 11(1), 107. https://doi.org/10.3390/agronomy11010107

