Next Article in Journal
Maintenance of Photosynthesis as Leaves Age Improves Whole Plant Water Use Efficiency in an Australian Wheat Cultivar
Previous Article in Journal
Development of A Nested-MultiLocus Sequence Typing Approach for A Highly Sensitive and Specific Identification of Xylella fastidiosa Subspecies Directly from Plant Samples
 
 
Font Type:
Arial Georgia Verdana
Font Size:
Aa Aa Aa
Line Spacing:
Column Width:
Background:
Article

Effects of Biochar and Ground Magnesium Limestone Application, with or without Bio-Fertilizer Addition, on Biochemical Properties of an Acid Sulfate Soil and Rice Yield

by
Qurban Ali Panhwar
1,2,
Umme Aminun Naher
1,3,
Jusop Shamshuddin
1,4,* and
Mohd Razi Ismail
1
1
Institute of Tropical Agriculture and Food Security (ITAFoS), Universiti Putra Malaysia, Serdang 43400 UPM, Selangor, Malaysia
2
Soil & Environmental Sciences Division, Nuclear Institute of Agriculture (NIA), Tandojam 70060, Sindh, Pakistan
3
Soil Science Division, Bangladesh Rice Research Institute, Gazipur 1701, Bangladesh
4
Department of Land Management, Faculty of Agriculture, Universiti Putra Malaysia, Serdang 43400 UPM, Selangor, Malaysia
*
Author to whom correspondence should be addressed.
Agronomy 2020, 10(8), 1100; https://doi.org/10.3390/agronomy10081100
Submission received: 5 May 2020 / Revised: 6 June 2020 / Accepted: 10 June 2020 / Published: 30 July 2020

Abstract

A study was conducted to evaluate the effects of applying rice husk biochar (RHB) or ground magnesium limestone (GML) in combination with bio-fertilizer on soil biochemical properties and the yield of rice planted on an acid sulfate soil. The RHB or GML plus bio-fertilizer were applied each at the rate of 4 t ha−1. Applying the amendments increased soil pH (>5.0) and improved soil biochemical properties with a concomitant reduction of Al and Fe that resulted in enhanced rice growth. Applying GML plus bio-fertilizer resulted in increased soil N content (0.20%), available P (34.38 mg kg−1), exchangeable Ca (2.97 cmolc kg−1) and exchangeable Mg (2.45 cmolc kg−1); all these enhanced rice nutrient uptake. The highest bacterial population of 8.34 log10 CFU g−1 soil was found in the same treatment. Applying GML and RHB alone, or in combination with bio-fertilizer, was found to enhance rice growth and the yield. The highest plant height (90.33 cm), leaf chlorophyll content (38.05), plant tiller numbers (16), filled grains (86%), number of panicles per plant (18), lengths of panicles (24.40 cm), grain (5.24 t ha−1), straw yield (10.20 t ha−1) and harvest index (0.51) were determined in the GML plus bio-fertilizer, followed by RHB plus bio-fertilizer treatment. Thus, GML applied in combination with bio-fertilizer is considered as a promising agronomic package to sustain the production of rice planted on acid sulfate soils.

1. Introduction

The recent proliferation of world population and the increased demand for food force farmers to utilize the available marginal soil/land for rice production such as acid sulfate soils found in the tropics. This is because more and more fertile land normally allocated for rice cultivation is converted to other land uses, e.g., urbanization and industrial production. Acid sulfate soils, mostly classified as sulfaquents and/or sulfaquepts, are sporadically distributed in the coastal regions of Southeast Asia. In Peninsular Malaysia, the area covered by acid sulfate soils is estimated by the Department of Agriculture to be about 0.4 million ha [1]; however, the area is much bigger in the Bangkok Plains (Thailand) or Mekong Delta (Vietnam).
The soils are characterized by the presence of pyrite (FeS2), which was mineralized when the coastal regions of Southeast Asia was inundated by sea water some 4300 years ago. When the waterlogged land is opened up or drained for rice cultivation, the pyrite is oxidized with a concomitant release of high acidity. Soil pH can be as low as 3.5 in some areas. A new mineral called jarosite [KFe3(SO4)2(OH)6] is finally formed in the soils. The environment makes it possible for the generation of Al3+ and Fe2+, which affect rice growth and/or production negatively if present at a high concentration. Besides, the available P in the soils is often insufficient for rice requirement [2]. Acid sulfate soils have the potential to be utilized for sustainable rice production provided that their low fertility is alleviated via agronomic means
Standing water in the rice fields of acid sulfate soil areas in Peninsular Malaysia contains a high concentration of Al3+ (exceeding 800 µM in some areas), which has an adverse impact on rice growth. The low pH stress and Al3+ and/or Fe2+ toxicity can be alleviated by lime application at the appropriate rate [3]. Applying ground magnesium limestone or ground basalt in combination with bio-fertilizer to improve the fertility acid sulfate soils is another viable agronomic option [4]. Note that the critical exchangeable Ca for rice healthy growth is 2 cmolc kg−1 [5], while that of Mg is 1 cmolc kg−1 [6]. Based on these criteria, acid sulfate soils in Peninsular Malaysia do not have a sufficient amount of Ca and Mg for rice requirement.
It is therefore imperative to apply ground magnesium limestone (GML) to increase Ca and Mg contents in the soils to the level sufficient for rice growth/production. Past studies in Malaysia have shown that the low fertility acid sulfate soils can be alleviated by applying GML [7], organic residues [8], or even bio-fertilizer [4]. GML increases soil pH which deactivates Al3+ and Fe2+, thus their toxicity is reduced [9]. GML, applied in combination with bio-fertilizer, is known to produce a rice yield up to 7.5 t ha−1 [10].
Another way of overcoming the low fertility problem of acid sulfate soils is by the application of suitable organic matter [11,12]. Anwari et al. [13] found that rice straw and rice husk found in abundance in many countries were able to enhance the growth of rice significantly. This finding is consistent with the result of an earlier study conducted by Sitio et al. [14] and Karmakar et al. [15] Additionally, rice husk biochar (RHB) has been found to enhance soil physical properties; besides, it increases soil pH, organic carbon and plant nutrients, but reduce heavy metals in the soil [16].
Nowadays, the use of biochar from rice husk biomass via pyrolysis is a common agronomic practice to enhance soil aggregation, increase water holding capacity, soil organic carbon, soil pH and CEC [17]. This is consistent with Novak et al. [18]’s study, which reported that biochar application could upsurge soil pH, soil organic matter or Ca content. Biochar also increases soil biological activities such as nitrogen fixation by Phaseolus vulgaris [19] and microbial biomass in many soils [20]. Biochar made from rice husk pyrolyzed at the temperature of 500 °C with high pH, and high water retention capacity is able to improve soil quality [21]. It is known that the application of biochar at the rate of 15 t ha−1 not only increase soil water holding capacity, but also enhance plant growth. It means that due to biochar application water use efficiency for crop production is improved [22,23]. Furthermore, biochar has been known to increase the yield of cowpea [24], soybean [25], maize [26] and upland rice [27]. With the mentioned positive attributes, biochar is expected to be a popular soil amendment for rice production in the future.
The presence of organic materials in flooded acid sulfate soils can rapidly enhance the reduction process [8] that eventually releases toxic Fe2+ to the environment [28]. Notwithstanding, this reaction may have a negative impact on rice plants [29]. Bio-fertilizer that contains phosphate-solubilizing microbes can transmute plant nutrients, especially P, in the soils into their available forms.
The inoculation of beneficial microbes has been known to increase soil fertility and plant growth in the less fertile soils. Microbial growth is enhanced when soils are amended with organic matter. Furthermore, additions of these sources with beneficial microbial inoculation increase nutrient uptake and crop productivity [19]. Many of the beneficial bacteria in bio-fertilizer can fix atmospheric N2 and make it accessible to rice plants for their vegetative growth [30,31]. Nitrogenous fertilizer application is a major cost to sustain and/or increase rice yield. So, adding bio-fertilizer not only increases rice growth and eventually its yield, but the application of inorganic N-fertilizers can also be minimized [32]. In addition, the use of various composts and biochars for crop production would have the potential to store a high amount of C in the soils on a long-term basis; in this way, environment pollution is curtailed [33].
It is hypothesized that (i) the application of RHB or GML will increase soil pH with a concomitant reduction of Al3+ and Fe2+ concentration in the water. Additionally, GML application will provide extra Ca and Mg needed to sustain the growth of rice planted on acid sulfate soils; and (ii) Bio-fertilizer fortified with beneficial bacteria will increase bioavailable P, N and increase soil organic matter. Its application in combination with GML or RHB would increase the yield of rice. The current study was undertaken to determine the effects of applying ground magnesium limestone or rice husk biochar, with or without bio-fertilizer addition, on the improvement of soil bio-chemical properties and the yield of rice planted on an acid sulfate soil in Peninsular Malaysia.

2. Materials and Methods

2.1. Location and Experimental Details

The trial was conducted at a rice field in Semerak, Kelantan, which is located in the northeastern part of Peninsular Malaysia. The study area was at the latitude of 5°52′208″−N and longitude of 102°28′501″−E, while the altitude was about 5 m sea level. The texture of the soil in the experimental plots was silty clay loam (Table 1). The soil was classified as Typic Sulfaquept according to the Soil Survey Staff [34]. Soil pH was <4.0, while the exchangeable Al and extractable Fe were very high. The subsoil was characterized by the sulfuric diagnostic horizon, evidenced by the presence of yellowish jarosite within the top 50 cm of the soil profile. Detailed information on the physical properties of the soil is given in Table 1.
In this trial, 21-day-old rice seedlings (MR 219) were transplanted in each of the experimental plots with a size of 4 × 4 m2. Ground magnesium limestone (GML) and rice husk biochar (RHB) with or without bio-fertilizer were applied each at the rate of 4 t ha−1. The treated soils in the plots were thoroughly mixed 15 days before transplanting. Water was regularly pumped in to maintain submerged condition throughout the growing period. Urea (N), triple super phosphate (P) and potassium chloride (K) were applied (broadcast) at 120, 30 and 60 kg ha−1, respectively. Intercultural operations such as weeding and pest management were carried out. The experiment was laid out in randomized complete block design (RCB), with four replications. During the trial period, the average day temperature in the area was 28–32 °C, whereas night temprature was 22–24 °C throughout the year. Notwithstanding, the maximum (9 h) sunshine was in the month of April, while the minimum (4.23 h) took place in November.

2.2. Analysis of the Soil and Amendments

Soil pH was determined in water (1:2.5 soil: water) using a PHM210 Standard pH meter, while electrical conductivity (EC) was measured by an EC meter [35]. Exchangeable Ca, Mg and K as well as cation exchange capacity (CEC) were determined using ammonium acetate buffered at a pH of 7 [31]. Exchangeable Al was extracted by 1 M KCl [36] and the Al in the solution was analyzed by inductively coupled plasma optical emission spectrometry (ICP-OES). Total N was determined by the Kjeldahl−digestion method [37]. Available P was determined by the method of Bray and Kurtz [38], with the extracted P measured using an auto analyzer (AA). Extractable Fe and Cu were determined by the DTPA method [35]. The determined chemical properties of the soil under study are given in the Table 2.

2.3. Characterization of RHB, GML and Bio-Fertilizer

2.3.1. Rice Husk Biochar

The rice husk biochar used for the trial was collected from Tanjung Karang (BERNAS), Malaysia. The feedstock of rice husk was pyrolysis at 500 °C for 60 min and the biochar so produced was taken after 3 h of cooling [39,40]. The pH of the RHB was 10.01, while its EC was 1.48 dS m−1. This biochar contained C (27.34%), N (0.54%), P (0.13%), K (3.55%), Ca (0.12%) and Mg (0.08%) (Table 3).
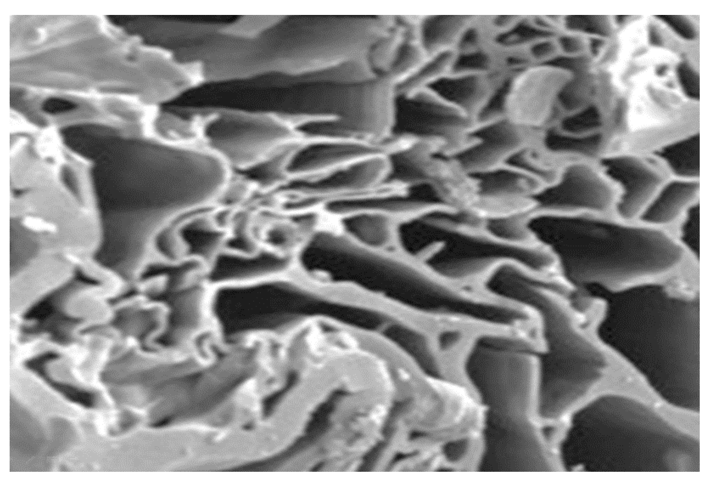
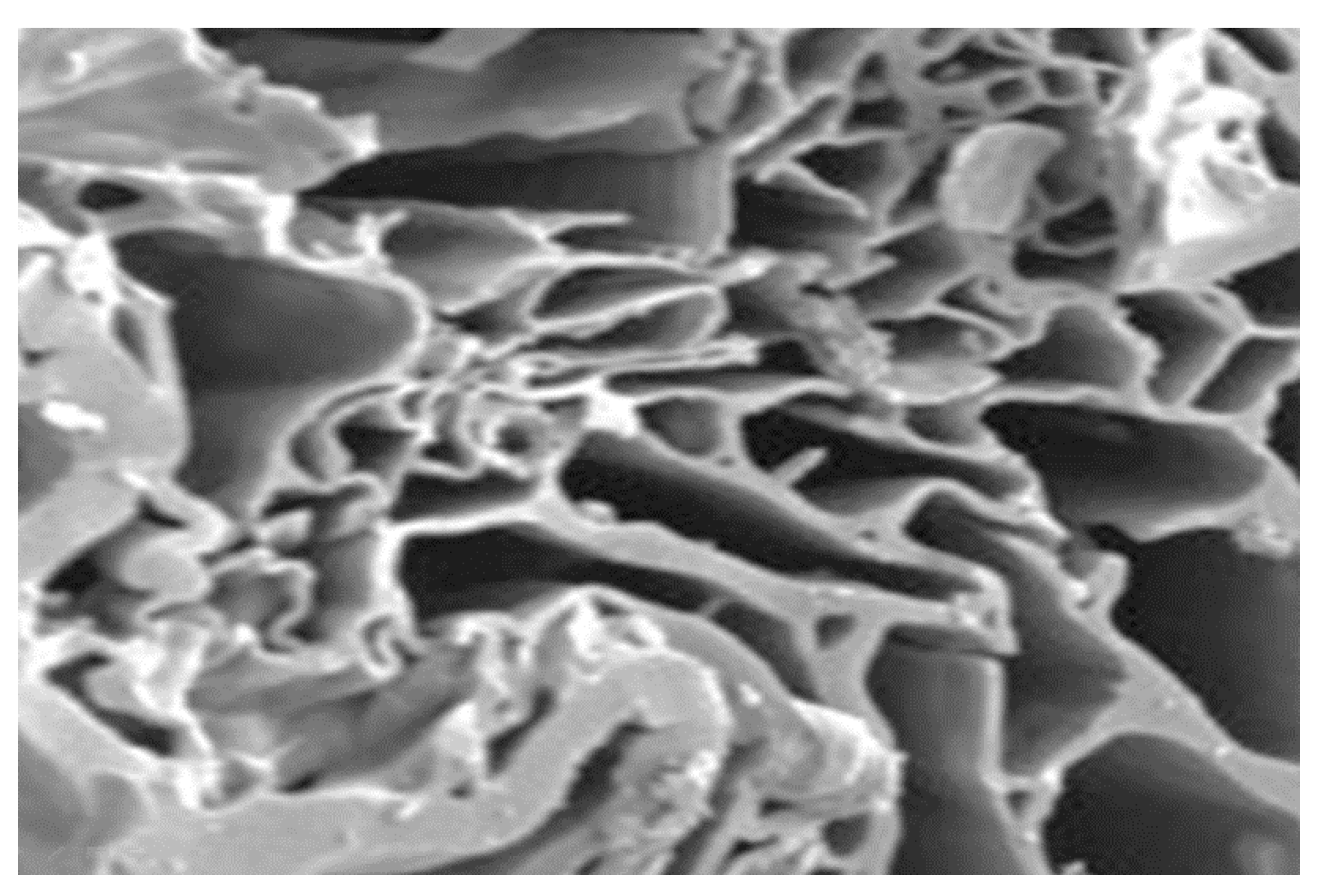
The surface structure of the RHB was observed under a field emission scanning electron microscope (FESEM). It was honeycomb-shaped with a cylindrical porosity of different sizes (Figure 1). Brunauer Emmet and Teller (BET) surface area of the RHB was estimated using the Micrometrics ASAP2020, TRISTAR II 3020 Kr, USA single point method. The BET surface area of the RHB was found to be 3.8661 m2/g. The RHB had the pore volume of 0.0090 cm3 g−1, pore size of 93.904 Å and average pore diameter of 3.295 nm. The samples were degassed at 100 °C under continuous nitrogen flow for 24 h prior to the analysis. The rice husk biochar under study contained two functional groups (minerals silica and alkynes), which were identified using Perkin Elmer FTIR spectrum 400, USA.

2.3.2. Ground Magnesium Limestone

The GML for the trial was bought from an authorized dealer in Malaysia. The GML was composed of 1.70% P, 19.50% Ca and 6.70% Mg (Table 3).

2.3.3. Bio-Fertilizer

The bio-fertilizer containing 48% C was formulated (prepared), using organic-based carrier materials that included oil palm empty fruit bunch (70%) and peat soil (30%) (Table 3). The carrier materials were invigorated with N2- fixing and phosphate-solubilizing bacterial strains at 1 × 10−8 CFU of the population [41].

2.4. Yield Parameters and Plant Nutrient Analysis

Rice in the experimental plots was reaped on maturity to determine the grain and straw yields. The filled−grains were separated from the unfilled ones [42]. Leaf chlorophyll content, shoot and root length, tillers, number of panicle plant−1 and plant nutrients uptake were also determined [6]. Total N in the plant was analysed by the Kjeldahl method [37] and other elements were determined by wet−ashing method [43]. Rice grain protein contents were determined using Jones’ factor: protein % = N × 5.95, which was modified from Merrill and Watt [44].

2.5. Statistical Analysis

All data obtained from the trial were subjected to an analysis of variances (ANOVA) and Tukey’s test for mean comparison, using SAS-version 9.3 (SAS: Institute, Inc., Cary, NC, USA). All diagrams in this paper were drawn using Microsoft Excel.

3. Results

3.1. Effects of Applying Amendments on Soil pH

Based on soil pH of the untreated samples and other criteria, the soil in the trial area was classified as an acid sulfate soil. Initially, the soil had the low pH of 3.89, with low N, K, Ca and Mg, but high in exchangeable Al, even in the topsoil, having a value of 4.89 cmolc kg−1 (Table 2). The results of the trial showed that the application of the amendments increased soil pH significantly (Table 3). The application of GML in combination with bio-fertilizer produced the highest soil pH of 5.66 30 days after sowing (DAS), and it remained high (5.43) until rice harvest (Table 4). Application of RHB plus bio-fertilizer increased soil pH up to 60 DAS; after that, it decreased. The application of GML alone resulted in higher pH (5.39) compared to that of the RHB (5.18). The application of RHB alone did not change the pH of the acid sulfate soil much. The highest soil pH at harvest (5.43) was achieved by the GML plus bio-fertilizer treatment.

3.2. Effects of Applying Amendments on Nutrients in the Soil

The application of the amendments influenced nutrient contents of the studied soil positively (Table 5). The highest N content of 0.20% was found in the GML plus bio-fertilizer treatment, although it was statistically similar to that of the RHB plus bio-fertilizer or RHB alone treatment. Available P was highest in the soil treated with GML plus bio-fertilizer (34.38 mg kg−1), followed by that of the RHB with bio-fertilizer (32.43 mg kg−1) treatment. The highest K (0.37 cmolc kg−1) was observed in the RHB plus bio-fertilizer treatment, which was followed by RHB or GML plus bio-fertilizer treatment. Significantly lowest exchangeable Al (0.75 cmolc kg−1) was observed in the GML plus bio-fertilizer treatment, followed by the RHB plus bio-fertilizer (0.86 cmolc kg−1) treatment. The highest exchangeable Al of 5.12 cmolc kg−1 was noted in the control treatment. This Al was reduced to a low level after the soil was treated with the amendments, either applied singly, or in combination with bio-fertilizer. For the control treatment, the extractable Fe was high with the value of 178 mg kg−1; however, the concentration was reduced to 61 mg kg−1 due to treatment with GML plus bio-fertilizer. The application of RHB plus bio-fertilizer produced the second lowest Fe concentration (69 mg kg−1). The application of GML in combination with bio-fertilizer significantly increased the exchangeable Ca and Mg, with the respective values of 2.97 and 2.45 cmolc kg−1.

3.3. Effects of Applying Amendments on Bacterial Population in the Soil

The application of GML or RHB in combination with bio-fertilizer increased the total bacterial population (Figure 2). A significantly (p < 0.05) higher bacterial population of 8.34 log10 CFU g−1 soil was found in the GML plus bio-fertilizer treatment, followed by the RHB plus bio-fertilizer (7.23 log10 CFU g−1 soil). Single application of RHB gave superior bacterial population (6.70 log10 CFU g−1 soil) over that of the GML treatment (6.0 log10 CFU g−1 soil). The bacterial population in the control treatment was much lower (5.0 log10 CFU g−1 Soil) compared to that of the treated soil, which was probably due to the adverse conditions occurring in the acid sulfate soil.

3.4. Relationship between pH with Al, Fe, Ca or Mg

Soil pH was found to be negatively correlated with either exchangeable Al or extractable Fe (Figure 3). This means that the higher the exchangeable Al in the soil, the lower the soil pH was, and so was the trend for the extractable Fe. The amount of the two acid metals in the soil under study were very high, with the concentration far exceeding that of the normal soils found in the upland areas of Peninsular Malaysia. This study concluded that it required a high amount of GML or RHB to raise soil pH to the level above 5, at which Al and Fe will be precipitated and thus deactivated. Note that the critical water pH in the rice field for healthy rice growth is about 6 [11].
The relationship between soil pH and exchangeable Al is given by Y = −0.302x + 5.580, while that of soil pH and extractable Fe is Y = −0.011x + 6.075 (Figure 3a,b). On the other hand, there were positive linear correlations between soil pH and exchangeable Ca (Y = 0.429x + 4.400) or exchangeable Mg (Y = 0.607x + 4.210) (Figure 3c,d). This study seemed to indicate that the application of GML or RHB in combination with bio-fertilizer at the proposed rates was able to raise soil pH close to 6. Besides, exchangeable Ca and Mg in the soil can be raised to the level sufficient for rice requirement by amendments application.

3.5. Effects of Applying Amendments on Rice Growth

The application of GML or RHB in combination with bio-fertilizer enhanced the physiological characters of the rice plants (Table 6). Significantly (p < 0.05), the highest plant height of 90.33 cm was obtained by the GML plus bio-fertilizer treatment. Note that it was statistically similar with the GML alone (90.83 cm) or RHB plus bio-fertilizer (89.50 cm) treatment. The highest number of tillers (17) was found in the GML plus bio-fertilizer treatment. Single application of RHB and GML or RHB plus bio-fertilizer produced a statistically similar number of tillers. Application GML or RHB in combination with bio-fertilizer produced the highest leaf chlorophyll content (38.05), followed by a single application of either BML or RHB. The lowest plant height, plant tiller number and leaf chlorophyll content was observed in the control treatment (the untreated plot).

3.6. Effects of Applying Amendments on Rice Yield and Yield Contributing Characters

The application of GML or RHB in combination with bio-fertilizer significantly affected rice yield and yield contributing characters. It seemed that the highest rice grain yield was observed in the GML plus bio-fertilizer (5.24 t ha−1) treated plots, followed by the RHB plus bio-fertilizer (5.0 t ha−1) treatment. The application of RHB alone produced 4.54 t ha−1 of grain yield, which was statistically higher than that of the GML (4.04 t ha−1). As expected, the lowest grain yield was obtained in the control treatment. The highest number of filled grain per panicle (86), number of panicles per plant (18), length of panicles (24.40 cm) and harvest index (0.51) were observed in the GML plus bio-fertilizer treatment, followed by the RHB plus bio-fertilizer treatment (Table 7). The application of either GML or RHB alone produced a statistically similar length of panicle, number of panicle per plant and number of filled grain per panicle. The lowest grain yield and other yield contributing characters were obtained in the untreated treatments.

3.7. Effects of Applying Amendments on Plant Nutrient Uptake

The NPK contents in the rice grain and straw were significantly affected by the application of various amendments (Table 8). Significantly highest N content was found in the rice grain and straw due the application of GML or RHB in combination with bio-fertilizer treatment. Plant N uptake was also higher in these treatments compared to that of the others. There was no statistical difference found in the N content in the GML or RHB alone treatment; however, plant N uptake (126 kg ha−1) was higher in the RHB compared to that of the GML treatment. The combined application of bio-fertilizer with GML or RHB increased P content in the rice grain and straw. Of these treatments, plant P uptake (19.88 kg ha−1) was higher in the GML treatment. Potassium content in the rice grain (1.56%) and straw (0.32%), as well as total plant K uptake (171.81 kg ha−1), was highest in the RHB plus bio-fertilizer treatment. However, there was no significant difference in tissue K content and total plant K among RHB or GML plus bio-fertilizer treatments. Note that the highest protein content of 6.42% was recorded in the RHB in combination with bio-fertilizer treatment.

4. Discussion

Soil in the trial area was an acid sulfate soil, evidenced by the presence of sulfuric diagnostic horizon occurring within the top 50 cm of the soil profile. This was further confirmed by its low soil pH (±4.0) and the occurrence of yellowish jarosite mottles in that zone. Under normal circumstances, the acid sulfate soil where the current trial was conducted contained high amounts of Al and Fe that have been found to affect the growth of rice and/or its grain yield production negatively.
Soil acidity is one of the most important factors that severely influences the growth and yield production of rice planted on acid sulfate soils, which are widespread in the tropics. Thus, their low fertility has to be alleviated via agronomic means to sustain rice production in the long run [45]. In this study, GML and RHB were applied alone or in combination with bio-fertilizer. The main reason was to alleviate the problems of low pH stress as well as Al3+ and/or Fe2+ toxicity that had been found to affect rice growth and yield severely. The results of the study clearly indicated that RHG or GML applied in combination with bio-fertilizer were able to enhance rice growth and its yield significantly. The increase in pH of the soil to the level above 5 was due to the application of the afore-mentioned amendments. Under this environment, the toxic Al3+ and Fe2+ ions present in the water of the experimental plots were precipitated as inert Al-hydroxides and FeOOH, respectively.
In the event where no RHB or GML is applied to raise soil pH to the level above 5, rice is able to slightly defend itself against Al3+ and Fe2+ toxicity [46]. The mechanism of defend is as follows. Al3+ and Fe2+ in the water of the rice field will be attracted to the negatively-charged root surfaces. Once the ions are on the root surfaces, rice plants excrete organic acids that in the end chelate the acidic metals, rendering them no longer toxic to rice plants. However, the concentration of Al or Fe in the water of the untreated acid sulfate soil under study was too high.
The productivity of acid sulfate soils is also limited by the lack of P [47]. As such, acid sulfate soils have to undergo proper agronomic management so that rice production on the soils can be sustained in the long run [45]. The application of GML or RHB in combination with bio-fertilizer is an excellent agronomic practice to enhance nutrient availability and plant uptake. The treatments will also increase microbial activities in the soils that affect rice growth positively [12,13].
Bio-fertilizer is known to improve the biochemical properties of acid sulfate soils. The presence of GML or RHB further enhanced bacterial activities. GML or RHB treatment has a positive impact on soil microbial activities via increasing C and supplying significant plant nutrients [48]. The application of the amendments improved soil physico-chemical properties, which in turn, increased soil microbial biota by 0.5%. Without treatment, the growth of the bacterial population was probably hindered by the presence of a high Al3+ concentration [49].
The addition of RHB increases soil pH, CEC, water holding capacity and structure [50]. This notion is consistent with the results of our study in which the application of RHB increased soil pH (due ash presence) as well as nutrient contents. This is in line with the results of Abebe et al. [17]’s study, which found that the alkaline biochar (pH > 9) contained high C (52%), with the high CEC of 63.23 cmolc kg−1. The increase in soil pH can also be due to the decomposition of organic residues, leading to the reduction of oxygen that helps the metabolic alteration of sulfates to sulfides by anaerobes [51].
The presence of micropores in the RHB could have enhanced the suitable habitat of the microbes in the treated soil, which in turn, increased microbial populations and subsequently added bioavailable P and N to the rice growing in the field. This phenomenon was reflected by the increase of nutrient uptake by the rice plants in this study. The highest rice growth was in the GML plus bio-fertilizer treatment. The applied GML supplied sufficient Ca and Mg that provided a suitable environment for the bacteria present in the bio-fertilizer [16].
In this study, we found that the application of the amendments affected various plant physiological characteristics and rice grain yield positively. The affirmative effects on rice yield were due to the modification of soil bio-chemical properties with a reduction in soil acidity and increased soil nutrient availability [16]. This notion is consistent with the findings of the previous study conducted by Anwari et al. [52] The microbes present in the bio-fertilizer helped increase P and enhanced the production of phytohormones (indoleacetic−acid), which in turn, improved root growth and increased nutrient uptake [53,54]. Both of these phenomena have been translated into increased rice yield. In addition, the application of RHB or GML in combination with bio-fertilizer was found to increase rice grain protein content. In the RHB treated acid sulfate soil, rice grain yield was increased by 13.4%. This is due to the enhanced soil quality by way of increasing the nutrient contents and the reduction of Al3+ toxicity [55,56].
Combined application of the soil amendments has the potential of improving soil nutrient availability, with concomitant reduction of nutrient leaching loss. Other studies conducted elsewhere in the world came out with almost similar findings [13,57,58]. Of particular interest to the agronomists in Malaysia is the fact that RHB applied on acid sulfate soil in combination with bio-fertilizer fortified with beneficial bacteria can increase plant nutrient uptake and subsequently enhance the grain yield production of rice as well as its quality [59,60].

5. Conclusions

The study clearly showed that rice husk biochar or ground magnesium limestone applied in combination with bio-fertilizer fortified with beneficial bacteria had done a good job of alleviating the problems of low pH stress and Al3+ and/or Fe2+ toxicity. These soil attributes were found to negatively affect the growth/production of rice planted on acid sulfate soils in Peninsular Malaysia. The treatments enhanced soil fertility significantly by way of increasing soil pH to the level above 5 that subsequently precipitated the toxic metals as inert hydroxides. Thus, the application of RHB or GML in combination with bio-fertilizer is an excellent agronomic practice to sustain the production of rice planted on acid sulfate soils in Peninsular Malaysia in the long run.

Author Contributions

Concept, Q.A.P., U.A.N. and J.S.; Data Collection, Analysis and Methodology, Q.A.P. and U.A.N.; Supervision, J.S., Writing—Original Draft, Q.A.P. and U.A.N. Writing, Review and Editing, Q.A.P., J.S. and M.R.I. All authors have read and agreed to the published version of the manuscript.

Funding

The research was funded by the Ministry of Higher Education, Malaysia (under the Long-term Research Grant Scheme) and Universiti Putra Malaysia.

Acknowledgments

The authors wish to acknowledge Universiti Putra Malaysia (UPM) for providing the necessary technical support during the study, and the Ministry of Higher Education Malaysia for granting the research grant under the Long-term Research Grant Scheme (LRGS) Climate Ready for Rice Food Security in Malaysia to finance the research and to obtain the data for writing this paper.

Conflicts of Interest

The authors declare no conflict of interest.

References

  1. Shamshuddin, J.; Panhwar, Q.A.; Alia, F.J.; Shazana, M.A.R.S.; Radziah, O.; Fauziah, C.I. Formation and Utilization of Acid Sulfate Soils in Southeast Asia for Sustainable Rice Cultivation (Review paper). Pertanika J. Trop. Agric. Sci. 2017, 40, 225–246. [Google Scholar]
  2. Moore, P.A.; Attanandana, T.; Patrick, W.H. Factors affecting rice growth on acid sulfate soils. Soil Sci. Soc. Am. J. 1990, 54, 1651–1656. [Google Scholar] [CrossRef]
  3. Brown, T.T.; Koenig, R.T.; Hoegin, D.R.; Harsh, J.B.; Rosi, R.E. Lime effect on acidity, crop yield, and Aluminum chemistry in direct-seeded cropping system. Soil Sci. Soc. Am. J. 2008, 72, 634–640. [Google Scholar] [CrossRef]
  4. Panhwar, Q.A.; Shamshuddin, J.; Naher, U.A.; Radziah, O.; Mohd Razi, I. Changes in the chemical properties of an acid sulfate soil and the growth of rice as affected by bio-fertilizer, ground magnesium limestone and basalt application. Pedosphere 2014, 24, 827–835. [Google Scholar] [CrossRef]
  5. Palhares, M. Recommendation for fertilizer application for soils via qualitative reasoning. J. Agric. Syst. 2000, 67, 21–30. [Google Scholar] [CrossRef]
  6. Dobermamn, A.; Fairhurst, T. Rice: Nutrient Disorders and Nutrient Management; Handbook Series; Potash and Phosphate Institute, Phosphate Institute of Canada and International Rice Research Institute: Los Banos, Philippines, 2000. [Google Scholar]
  7. Rosilawati, A.K.; Shamshuddin, J.; Fauziah, C.I. Effects of incubating an acid sulfate soil treated with various liming materials under submerged and moist conditions on pH, Al and Fe. Afr. J. Agric. Res. 2014, 9, 94–112. [Google Scholar] [CrossRef]
  8. Muhrizal, S.; Shamshuddin, J.; Fauziah, C.I.; Husni, M.H.A. Alleviation of aluminum toxicity using organic materials. Commun. Soil Sci. Plant Anal. 2003, 34, 2999–3017. [Google Scholar] [CrossRef]
  9. Shamshuddin, J.; Elisa, A.; Shazana, M.A.R.S.; Fauziah, C.I.; Panhwar, Q.A.; Naher, U.A. Properties and management of acid sulfate soils in Southeast Asia for sustainable cultivation of rice, oil palm and cocoa. Adv. Agron. 2014, 124, 91–142. [Google Scholar]
  10. Suswanto, T.; Shamshuddin, J.; Syed Omar, S.R.; Peli, M.; Teh, C.B.S. Alleviating an acid sulfate soil cultivated to rice (Oryza sativa) using ground magnesium limestone and organic fertilizer. J. Soil Environ. 2007, 9, 1–9. [Google Scholar] [CrossRef]
  11. Alia, F.J.; Shamshuddin, J.; Fauziah, C.I.; Husni, M.H.A.; Panhwar, Q.A. Effects of aluminum, iron and/or low pH on rice seedlings grown in solution culture. Int. J. Agric. Biol. 2015, 17, 702–710. [Google Scholar] [CrossRef]
  12. Shamshuddin, J.; Muhrizal, S.; Fauziah, I.; Husni, M.H.A. Effects of adding organic materials to an acid sulfate soil on the growth of cocoa (Theobroma cacao L.) seedlings. Sci. Total Environ. 2004, 323, 33–45. [Google Scholar] [CrossRef] [PubMed]
  13. Anwari, G.A.; Mandozai, A.; Feng, J. Effects of Biochar Amendment on Soils Problems and Improving Rice Production under Salinity Conditions. Adv. J. Grad. Res. 2020, 7, 45–63. [Google Scholar] [CrossRef]
  14. Sitio, J.; Widodo; Barchia, F. The use of EM 4 and rice husk ash to improve the growth and yield of rice in peat soil. J. Akta Agrosia 2007, 7, 36–40. (In Indonesian) [Google Scholar]
  15. Karkamar, S.; Mitra, B.N.; Gosh, B.C. Influence of industrial solid waste on soil-plant interaction in rice under acid Lateritic soils. In Proceedings of the World of Coal Ash (WOCA) Conference, Lexington, KY, USA, 4–7 May 2009. [Google Scholar]
  16. Oladele, S.O.; Adeyemo, A.J.; Awodun, M.A. Influence of rice husk biochar and inorganic fertilizer on soil nutrients availability and rain-fed rice yield in two contrasting soils. Geoderma 2019, 336, 1–11. [Google Scholar] [CrossRef]
  17. Abebe, N.; Endalkachew, K.; Mastawesha, M.; Gebermedihin, A. Effect of biochar application on soil properties and nutrient uptake of lettuces (Lactuca sativa) grown in chromium polluted soils. Am.-Eurasian J. Agric. Environ. Sci. 2012, 12, 369–376. [Google Scholar]
  18. Novak, J.M.; Busscher, W.J.; Laird, D.L.; Ahmedna, M.; Watts, D.W.; Niandou, M.A.S. Impact of biochar amendment on fertility of a Southeastern Coastal Plain. Soil. Soil Sci. 2009, 174, 105–112. [Google Scholar] [CrossRef]
  19. Rondon, M.A.; Lehmann, J.; Ramirez, J.; Hurtado, M. Biological nitrogen fixation by common beans (Phaseolus vulgaris L.) increases with bio-char additions. Biol. Fert. Soils 2007, 43, 699–708. [Google Scholar] [CrossRef]
  20. Chan, K.Y.; Van Zwieten, B.L.; Meszaros, I.; Downie, D.; Joseph, S. Using poultry litter amendments. Aust. J. Soil Res. 2008, 46, 437–444. [Google Scholar] [CrossRef]
  21. Campos, P.; Miller, A.Z.; Knicker, H.; Pereira, M.F.C.; Merino, A.; Rosa, J.M.D. Chemical, physical and morphological properties of biochars produced from agricultural residues: Implications for their use as soil amendment. Waste Manag. 2020, 105, 256–267. [Google Scholar] [CrossRef]
  22. Paneque, M.; Rosa, J.M.D.; Franco-Navarro, J.D.; Colmenero-Flores, J.M.; Knicker, H. Effect of biochar amendment on morphology, productivity and water relations of sunflower plants under non-irrigation conditions. Catena 2016, 147, 280–287. [Google Scholar] [CrossRef]
  23. Paneque, M.; Knicker, H.; Kern, J.; De la Rosa, J.M. Hydrothermal Carbonization and Pyrolysis of Sewage Sludge: Effects on Lolium perenne Germination and Growth. Agronomy 2019, 9, 363. [Google Scholar] [CrossRef]
  24. Yamato, M.; Okimori, Y.; Wibowo, I.F.; Anshori, S.; Ogawa, M. Effects of the application of charred bark of acacia mangium on the yield of maize, cowpea and peanut, and soil chemical properties in South Sumatra, Indonesia. J. Soil Sci. Plant Nutr. 2006, 52, 489–495. [Google Scholar] [CrossRef]
  25. Tagoe, S.O.; Takatsugu Horiuchi, T.; Matsui, T. Effects of carbonized and dried chicken manures on the growth, yield, and N content of soybean. Plant Soil 2008, 306, 211–220. [Google Scholar] [CrossRef]
  26. Rodríguez, L.; Salazar, P.; Preston, T.R. Effect of biochar and biodigester effluent on growth of maize in acid soils. Livest. Res. Rural Dev. 2009, 21, 110. [Google Scholar]
  27. Asai, H.; Samson, B.K.; Stephan, H.M.; Songyikhangsuthor, K.; Homma, K.; Kiyono, Y.; Inoue, Y.; Shiraiwa, T.; Horie, T. Biochar amendment techniques for upland rice production in Northern Laos 1. Soil physical properties, leaf SPAD and grain yield. Field Crops Res. 2009, 111, 81–84. [Google Scholar] [CrossRef]
  28. Muhrizal, S.; Shamshuddin, J.; Fauziah, C.I.; Husni, M.H.A. Changes in iron-poor acid sulfate soil upon submergence. Geoderma 2006, 131, 110–122. [Google Scholar] [CrossRef]
  29. Tran, K.T.; Vo, T.G. Effects of mixed organic and inorganic fertilizers on rice yield and soil chemistry of the 8th crop on heavy acid sulfate soil (Hydraquentic Sulfaquepts) in the Mekong Delta of Vietnam. In Proceedings of the 6th International Symposium on Plant-Soil at Low pH, Sendai, Japan, 1–5 August 2004. [Google Scholar]
  30. Naher, U.A.; Panhwar, Q.A.; Radziah, O.; Mohd Razi, I.; Zulkarami, B. Biofertilizer as a Supplement of Chemical Fertilizer for Yield Maximization of Rice. J. Agric. Food Dev. 2016, 2, 16–22. [Google Scholar] [CrossRef]
  31. Naher, U.A.; Panhwar, Q.A.; Radziah, O.; Shamshuddin, J.; Mohd Razi, I.; Zhou, E. Role of microbes for growth promoting of aerobic rice cultivar MR219-9 as revealed by proteomic approach. Pak. J. Bot. 2018, 50, 1843–1852. [Google Scholar]
  32. Álvarez, José, M.; Claudio, P.; Rattan, L.; Núñez, L.; Rafael, N.L.; Martínez, F.; Manuel, F.M. A biotic strategy to sequester carbon in the ornamental containerized bedding plant production: A review. Span. J. Agric. Res. 2018, 16, e03R01. [Google Scholar]
  33. Tran, U.T.; Okadome, H.; Murata, M.; Homma, S.O.K. Comparison of Vietnamese and Japanese rice cultivars in terms of physicochemical properties. Food Sci. Technol. Res. 2001, 7, 323–330. [Google Scholar] [CrossRef]
  34. Soil Survey Staff. Keys to Soil Taxonomy; United States Department of Agriculture: Washington, DC, USA, 2014.
  35. Benton, J., Jr. Laboratory Guide for Conducting Soil Tests and Plant Analysis; CRC Press LLC: New York, NY, USA, 2001. [Google Scholar]
  36. Barnhisel, R.; Bertsch, P.M. Aluminum. In Analyses, Part 2. Chemical and Mineralogical Properties; Page, A.L., Miller, R.H., Keeney, D.R., Eds.; American Society of Soil Science Society of America Inc: Madison, WI, USA, 1982; pp. 275–300. [Google Scholar]
  37. Bremner, J.M.; Mulvaney, C.S. Nitrogen-total. In Methods of Soil Analysis. Part 2: Chemical and Microbiological Properties, Agronomy No. 9, 2nd ed.; Page, A.L., Miller, R.H., Eds.; ASA and SSSA: Madison, WI, USA, 1982; pp. 595–624. [Google Scholar]
  38. Bray, R.; Kurtz, L.T. Determination of total, organic, and available forms of phosphorus in soils. Soil Sci. 1945, 59, 39–46. [Google Scholar] [CrossRef]
  39. Mahmoud, D.K.; Salleh, M.A.M.; Karim, W.A.; Idris, A.; Abidin, Z.Z. Batch adsorption of basic dye using acid treated kenaf fibre char: Equilibrium, kinetic and thermodynamic studies. Chem. Eng. J. 2012, 181, 449–457. [Google Scholar] [CrossRef]
  40. Windeatt, J.H.; Ross, A.B.; Williams, P.T.; Forster, P.M.; Nahil, M.A.; Singh, S. Characteristics of biochars from crop residues: Potential for carbon sequestration and soil amendment. J. Environ. Manag. 2014, 146, 189–197. [Google Scholar] [CrossRef] [PubMed]
  41. Panhwar, Q.A.; Shamshuddin, J.; Naher, U.A.; Radziah, O.; Mohd Razi, I. Eliminating Aluminum Toxicity in an Acid Sulfate Soil for Rice Cultivation using Plant Growth Promoting Bacteria. Molecules 2015, 20, 3628–3646. [Google Scholar] [CrossRef]
  42. Seizo, M. Easy diagnosis of rice cultivation. In Rice Cultivation for the Million; Japan Scientific Societies Press: Tokyo, Japan, 1980; pp. 30–31. [Google Scholar]
  43. Ryan, J.; Estefen, G.; Rashid, A. Soil and Plant Analysis Laboratory Manual, 2nd ed.; ICARDA Press: Aleppo, Syria, 2001. [Google Scholar]
  44. Merrill, A.L.; Watt, B.K. Energy Value of Foods: Basis and Derivation, Revised. U.S. Department of Agriculture. Agric. Handb. 1973, 74, 1–109. [Google Scholar]
  45. Dhanya, K.R.; Gladis, R. Acid sulfate soils—Its characteristics and nutrient dynamics. Asian J. Soil Sci. 2017, 12, 221–227. [Google Scholar] [CrossRef]
  46. Shazana, M.A.R.S.; Shamshuddin, J.; Fauziah, C.I.; Syed Omar, S.R. Alleviating the fertility of an acid sulfate soil using ground basalt with or without lime and organic fertilizer under submerged conditions. Land Degrad. Dev. 2013, 24, 129–140. [Google Scholar] [CrossRef]
  47. Behera, S.K.; Shukla, A.K. Spatial distribution ofsurface soil acidity, electrical conductivity, soil organic carboncontent and exchangeable potassium, calcium and magnesiumin some cropped acid soils of India. Land Degrad. Dev. 2015, 26, 71–79. [Google Scholar] [CrossRef]
  48. Rillig, M.C.; Wagner, M.; Salem, M.; Antunes, P.M.; George, C.; Ramke, H.G.; Titirici, M.M.; Antonietti, M. Material derived from hydrothermal carbonization: Effects on plant growth and arbuscular mycorrhiza. Appl. Soil Ecol. 2010, 45, 238–242. [Google Scholar] [CrossRef]
  49. Rutigliano, F.A.; Romano, M.; Marzaioli, R.; Baglivo, I.; Baronti, S.; Miglietta, F.; Castaldi, S. Effect of biochar addition on soil microbial community in a wheat crop. Eur. J. Soil Biol. 2014, 60, 9–15. [Google Scholar] [CrossRef]
  50. Manickam, T.; Cornelissen, G.; Bachmann, R.T.; Ibrahim, I.Z.; Mulder, J.; Hale, S.E. Biochar Application in Malaysian Sandy and Acid Sulfate Soils: Soil Amelioration Effects and Improved Crop Production over Two Cropping Seasons. Sustainability 2015, 7, 16756–16770. [Google Scholar] [CrossRef]
  51. Michael, P.S.; Fitzpatrick, R.; Reid, R. The role oforganic matter in ameliorating acid sulfate soils with sulfurichorizons. Geoderma 2015, 225, 42–49. [Google Scholar] [CrossRef]
  52. Anwari, G.A.; Xiaoxuan, H.; Yiming, Z.; Tianxu, Y.; Wenan, W.; Bowen, Z.; Xin, W.; Qingtian, L.; Xiwen, S.; Moussa, A.A.; et al. Effects of rice-husk biochar and aluminum sulfate application on rice grain quality in saline-sodic soil of paddy-field. Int. J. Biosci. 2019, 15, 325–333. [Google Scholar]
  53. Naher, U.A.; Radziah, O.; Panhwar, Q.A. Beneficial Effects of Mycorrhizal Association for Crop Production in the Tropics—A Review. Int. J. Agric. Biol. 2013, 15, 1021–1028. [Google Scholar]
  54. Panhwar, Q.A.; Naher, U.A.; Radziah, O.; Shamshuddin, J.; Mohd Razi, I.; Dipti, S.S.; Karbalaei Aghamolki, M.T. Applying Zn, Cu and Mo in to riverine alluvial soils in Malaysia: Their effects on the quality of rice and its antioxidant activities. S. Afr. J. Bot. 2015, 98, 77–83. [Google Scholar] [CrossRef]
  55. Feng, J.; Cheng, R.; Qul, A.A.; Yan, Q.G.; Li, Y.G.; Jian, B.L.; Dong, H.; Xian, Q.Z.; Xu, L.; Xi, W.S. Effects of biochar on sodium ion accumulation, yield and quality of rice in saline-sodic soil of the west of Songnen plain, northeast China. Plant Soil Environ. 2018, 64, 612–618. [Google Scholar]
  56. Panhwar, Q.A.; Shamshuddin, J.; Naher, U.A.; Radziah, O.; Mohd Razi, I. Biochemical and molecular characterization of potential phosphate-solubilizing bacteria in acid sulfate soils and their beneficial effects on rice production. PLoS ONE 2014, 9, e97241. [Google Scholar] [CrossRef]
  57. Ran, C.; Gulaqa, A.; Zhu, J.; Wang, X.; Zhang, S.; Geng, Y.; Guo, L.; Jin, F.; Shao, X. Benefits of Biochar for Improving Ion Contents, Cell Membrane Permeability, Leaf Water Status and Yield of Rice under Saline–Sodic Paddy Field Condition. J. Plant Growth Regul. 2020, 39, 370–377. [Google Scholar] [CrossRef]
  58. Zhou, M.; Liu, X.; Meng, Q.; Zeng, X.; Zhang, J.; Li, D.; Wang, J.; Du, W.; Ma, X. Additional application of aluminum sulfate with different fertilizers ameliorates saline-sodic soil of Songnen Plain in Northeast China. J. Soils Sediments 2019, 19, 3521–3533. [Google Scholar] [CrossRef]
  59. Win, K.T.; Okazaki, K.; Ookawa, T.; Yokoyama, T.; Ohwaki, Y. Influence of rice-husk biochar and Bacillus pumilus strain TUAT-1 on yield, biomass production, and nutrient uptake in two forage rice genotypes. PLoS ONE 2019, 14, e0220236. [Google Scholar] [CrossRef]
  60. Panhwar, Q.A.; Naher, U.A.; Shamshuddin, J.; Radziah, O.; Mohd Razi, I. Applying Limestone or Basalt in Combination with Bio-Fertilizer to Sustain Rice Production on an Acid Sulfate Soil in Malaysia. Sustainability 2016, 8, 700. [Google Scholar] [CrossRef]
Figure 1. SEM image of the studied rice husk biochar.
Figure 1. SEM image of the studied rice husk biochar.
Agronomy 10 01100 g001
Figure 2. Effects of applying amendments on bacterial population in the soil.
Figure 2. Effects of applying amendments on bacterial population in the soil.
Agronomy 10 01100 g002
Figure 3. Relationship between soil pH and exchangeable Al (a), soil pH and extractable Fe (b), soil pH and exchangeable Ca (c) and soil pH and exchangeable Mg (d).
Figure 3. Relationship between soil pH and exchangeable Al (a), soil pH and extractable Fe (b), soil pH and exchangeable Ca (c) and soil pH and exchangeable Mg (d).
Agronomy 10 01100 g003aAgronomy 10 01100 g003b
Table 1. Particle-size distribution of the soil in the experimental plots.
Table 1. Particle-size distribution of the soil in the experimental plots.
Soil TypeParticle-Size Distribution (Microns)Soil Texture
ClaySiltSand(USDA *)
<22–50>50
Acid sulfate soil32.1257.779.99Silty clay loam
* USDA: United States Department of Agriculture.
Table 2. Chemical characteristics of the soil in the experimental plots.
Table 2. Chemical characteristics of the soil in the experimental plots.
Soil pH ECCECSoil OC Total−N Avail. P Exchangeable−Cations
K AlCaMg
(dS m−1) (cmolc kg−1) (%)(%)(mg kg−1) (cmolc kg−1)
3.89 0.376.522.15 0.11 19.34 0.04 4.89 0.540.65
CEC = Cation exchange capacity, OC = organic carbon.
Table 3. Physico-chemical characteristics of the rice husk biochar, ground magnesium limestone and bio-fertilizer.
Table 3. Physico-chemical characteristics of the rice husk biochar, ground magnesium limestone and bio-fertilizer.
SourcesAppearanceMineralpHECTotal C N PKCaMgCu
(dS m−1) (%)
RHBBlackCuprite10.011.4827.340.540.133.550.120.080.0013
GMLWhite powderDolomite and calcite9.74-38.34-1.700.3219.428.70-
Bio-fertilizerBlackish brown-7.803.6448.001.20.130.65---
RHB: rice husk biochar, GML: ground magnesium limestone.
Table 4. Effects of applying amendments on pH of the acid sulfate soil.
Table 4. Effects of applying amendments on pH of the acid sulfate soil.
TreatmentsSoil pH
30 DAS60 DAS90 DASAt Harvest
Control4.01 d4.07 d4.12 c4.04 c
GML5.39 b5.35 b5.31 b5.25 b
RHB 5.18 c5.23 c5.26 b5.17 b
GML + bio-fertilizer5.66 a5.59 a5.56 a5.43 a
RHB + bio-fertilizer5.40 b5.45 b5.49 a5.36 a
Initial soil pH3.89
DAS: days after sowing, RHB: rice husk biochar, GML: ground magnesium limestone. Means within the same column followed by the same letters are not significantly different at (p < 0.05).
Table 5. Effects of applying amendments on nutrients of the acid sulfate soil.
Table 5. Effects of applying amendments on nutrients of the acid sulfate soil.
TreatmentsTotal NAv. PKAlCaMgFe
(%)(mg kg−1)(cmolc−kg−1)(mg−kg−1)
Control0.10 c16.23 d0.16 d5.12 a0.65 e0.64 e178 a
GML0.13 b17.45 c0.18 c0.96 c1.21 c1.21 c73 c
RHB0.18 a18.38 c0.34 b1.09 b0.97 d1.07 d85 b
GML + biofertilizer0.20 a34.38 a0.35 b0.75 e2.92 a2.45 a61 e
RHB + biofertilizer0.19 a32.43 b0.37 a0.86 d1.82 b1.53 b69 d
RHB: rice husk biochar, GML: ground magnesium limestone. Means within the same column followed by the same letters are not significantly different (p < 0.05).
Table 6. Effects of applying amendments on plant height, number of tillers and leaf chlorophyll content.
Table 6. Effects of applying amendments on plant height, number of tillers and leaf chlorophyll content.
TreatmentsPlant Height (cm)Number of Tillers (Plant−1)Chlorophyll (SPAD Value)
Control77.27 c15 c31.61 c
GML90.83 a16 b35.77 b
RHB85.83 b16 b35.62 b
GML + biofertilizer90.33 a17 a38.05 a
RHB + biofertilizer89.50 a16 b37.26 a
RHB: rice husk biochar, GML: ground magnesium limestone. Means within the same column followed by the same letters are not significantly different (p < 0.05).
Table 7. Effects of applying amendments on rice yield and yield-contributing characters.
Table 7. Effects of applying amendments on rice yield and yield-contributing characters.
TreatmentsNumber of Filled Grains Panicle−1 Number of Panicle Plant−1Length of Panicle −1 (cm)Grain Yield (t ha−1)Straw Yield (ha−1)Harvest Index
Control76 d11 c20.03 d3.20 e8.24 d0.38 d
GML82 c15 b21.61 c4.04 d8.70 c0.46 c
RHB 83 c16 b22.00 c4.54 c9.38 b0.48 b
GML + bio-fertilizer86 a18 a24.40 a5.24 a10.20 a0.51 a
RHB + bio-fertilizer84 b17 a23.11 b5.04 b9.98 a0.50 a
RHB: rice husk biochar, GML: ground magnesium limestone. Means within the same column followed by the same letters are not significantly different (p < 0.05).
Table 8. Effects of applying amendments on NPK uptake and protein content in rice grain.
Table 8. Effects of applying amendments on NPK uptake and protein content in rice grain.
TreatmentsN-Content (%)Total N Uptake (kg ha−1)P-Content (%)Total P Uptake (kg ha−1)K-Content (%)Total K Uptake (kg ha−1)Protein Content in Grain (%)
StrawGrainStrawGrainStrawGrain
Control0.41 c0.91 c32.50 e0.10 c0.11 c11.76 d1.19 e0.20 d104.45 e5.41 e
GML0.60 b0.96 b90.98 d0.12 a0.24 b11.41 d1.38 d0.24 c129.75 d5.71 d
RHB0.63 b0.99 b104.04 c0.13 a0.23 b13.24 c1.51 b0.27 b153.89 c5.89 c
GML + biofertilizer0.69 a1.07 a126.45 a0.18 b0.29 a19.88 a1.46 c0.26 b162.54 b6.36 b
RHB + biofertilizer0.68 a1.08 a122.30 b0.15 a0.32 a16.58 b1.56 a0.32 a171.81 a6.42 a
RHB: rice husk biochar, GML: ground magnesium limestone. Means-within the same column followed by the same letters are not significantly different at (p < 0.05).

Share and Cite

MDPI and ACS Style

Panhwar, Q.A.; Naher, U.A.; Shamshuddin, J.; Ismail, M.R. Effects of Biochar and Ground Magnesium Limestone Application, with or without Bio-Fertilizer Addition, on Biochemical Properties of an Acid Sulfate Soil and Rice Yield. Agronomy 2020, 10, 1100. https://doi.org/10.3390/agronomy10081100

AMA Style

Panhwar QA, Naher UA, Shamshuddin J, Ismail MR. Effects of Biochar and Ground Magnesium Limestone Application, with or without Bio-Fertilizer Addition, on Biochemical Properties of an Acid Sulfate Soil and Rice Yield. Agronomy. 2020; 10(8):1100. https://doi.org/10.3390/agronomy10081100

Chicago/Turabian Style

Panhwar, Qurban Ali, Umme Aminun Naher, Jusop Shamshuddin, and Mohd Razi Ismail. 2020. "Effects of Biochar and Ground Magnesium Limestone Application, with or without Bio-Fertilizer Addition, on Biochemical Properties of an Acid Sulfate Soil and Rice Yield" Agronomy 10, no. 8: 1100. https://doi.org/10.3390/agronomy10081100

APA Style

Panhwar, Q. A., Naher, U. A., Shamshuddin, J., & Ismail, M. R. (2020). Effects of Biochar and Ground Magnesium Limestone Application, with or without Bio-Fertilizer Addition, on Biochemical Properties of an Acid Sulfate Soil and Rice Yield. Agronomy, 10(8), 1100. https://doi.org/10.3390/agronomy10081100

Note that from the first issue of 2016, this journal uses article numbers instead of page numbers. See further details here.

Article Metrics

Back to TopTop