Supramolecular Linear-Dendritic Nanoreactors: Synthesis and Catalytic Activity in “Green” Suzuki-Miyaura Reactions
Abstract
1. Introduction
2. Materials and Methods
2.1. Materials
2.2. Instrumentation
2.2.1. Size Exclusion Chromatography (SEC)
2.2.2. Matrix-Assisted Laser Desorption/Ionization—Time of Flight (MALDI-TOF)
2.2.3. Nuclear Magnetic Resonance (NMR)
2.2.4. Fluorescence Spectroscopy
2.2.5. Dynamic Light Scattering (DLS)
2.2.6. Transmission Electron Microscopy (TEM)
2.2.7. Inductively Coupled Plasma (ICP)
2.3. Methods
2.3.1. Synthesis of 2,2-Bis(Propargyl) Propionic Acid (Bis-PPA)
2.3.2. Synthesis of Bis-Alkyne PEGs
2.3.3. Synthesis of First-Generation Poly(Benzyl Ether) Dendron Bromide (G1-Br)
2.3.4. Synthesis of Second-Generation Poly(Benzyl Ether) Dendron Bromide (G2-Br)
2.3.5. Synthesis of G1-N3 and G2-N3
2.3.6. Synthesis of (G1)2-PEG5k-(G1)2, (G2)2-PEG5k-(G2)2, (G2)2-PEG11k-(G2)2
2.3.7. Critical Micelle Concentration (CMC)
2.3.8. Pd-Micelle Formation
2.3.9. Suzuki-Miyaura Catalysis
3. Results and Discussion
3.1. Synthesis of Linear Dendritic Block Copolymers
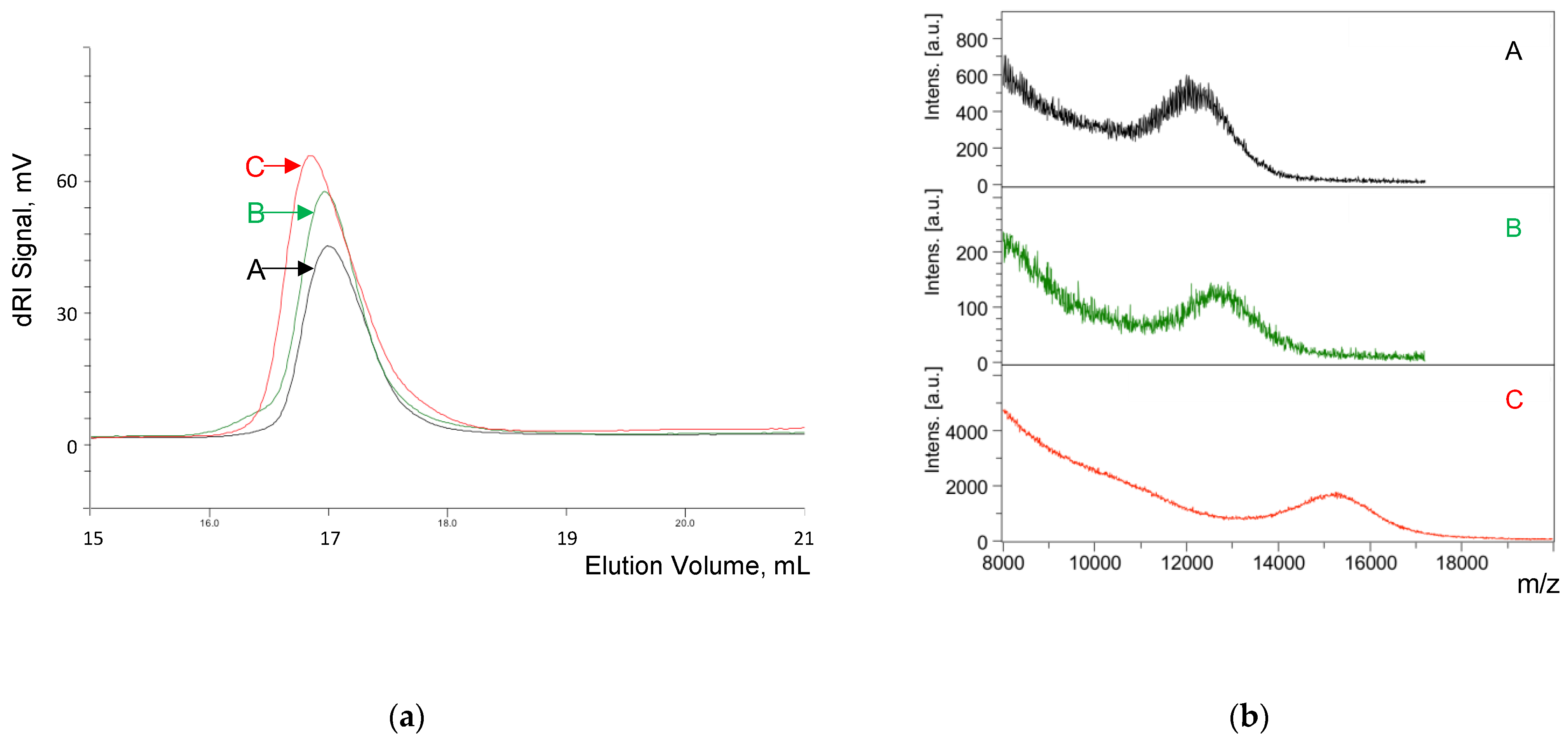
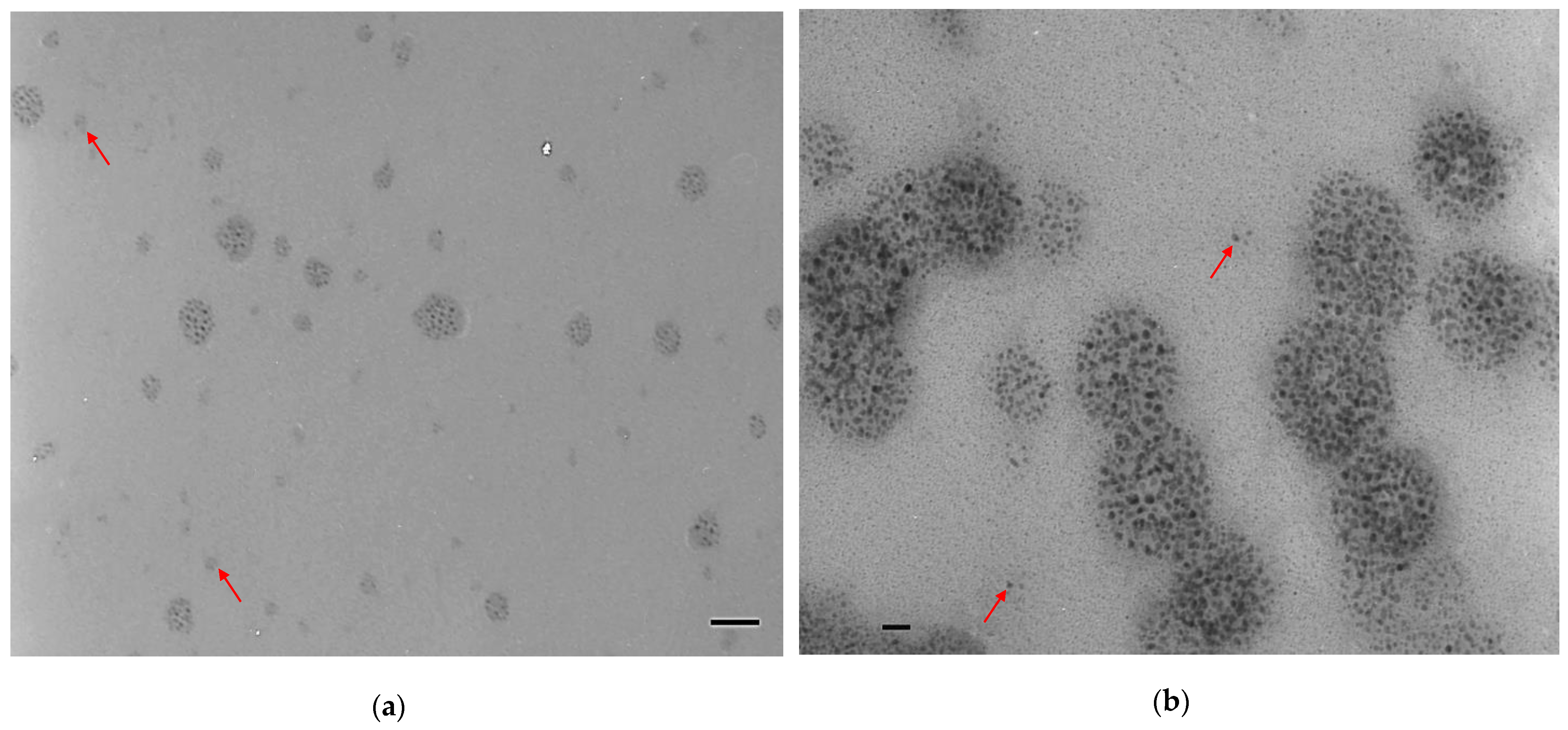
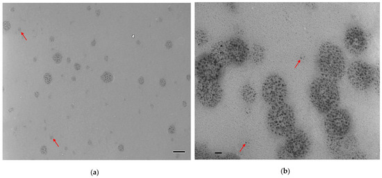
3.2. Self-Assembly of Linear Dendritic Block Copolymers
3.3. Evaluation of Catalytic Activity
4. Conclusions
Supplementary Materials
Author Contributions
Funding
Data Availability Statement
Acknowledgments
Conflicts of Interest
References
- Gitsov, I.; Fréchet, J.M.J. Solution and solid-state properties of hybrid linear-dendritic block copolymers. Macromolecules 1993, 26, 6536–6546. [Google Scholar] [CrossRef]
- van Hest, J.C.M.; Baars, M.W.P.L.; Elissen-Roman, C.; van Genderen, M.H.P.; Meijer, E.W. Acid-Functionalized Amphiphiles, Derived from Polystyrene-Poly(propylene imine) Dendrimers, with a pH-Dependent Aggregation. Macromolecules 1995, 28, 6689–6691. [Google Scholar] [CrossRef]
- Blasco, E.; Piñol, M.; Oriol, L. Responsive Linear-Dendritic Block Copolymers. Macromol. Rapid Commun. 2014, 35, 1090–1115. [Google Scholar] [CrossRef] [PubMed]
- Gitsov, I. Synthesis and Self-Assembly of Linear-Dendritic Hybrid Polymers. In Encyclopedia of Polymeric Nanomaterials; Kobayashi, S., Müllen, K., Eds.; Springer: Berlin/Heidelberg, Germany, 2015; pp. 2436–2446. [Google Scholar] [CrossRef]
- Liu, X.; Gitsov, I. Nonionic Amphiphilic Linear-Dendritic Block Copolymers. Solvent-Induced Self-Assembly and Morphology Tuning. Macromolecules 2019, 52, 5563–5573. [Google Scholar] [CrossRef]
- Gitsov, I.; Lambrych, K.R.; Remnant, V.A.; Pracitto, R. Micelles with highly branched nanoporous interior: Solution properties and binding capabilities of amphiphilic copolymers with linear dendritic architecture. J. Polym. Sci. Part A Polym. Chem. 2000, 38, 2711–2727. [Google Scholar] [CrossRef]
- Gitsov, I.; Lambrych, K.; Lu, P.; Nakas, J.; Ryan, J.; Tanenbaum, S.W. Nondestructive Regioselective Modification of Laccase by Linear-Dendritic Copolymers. Enhanced Oxidation of Benzo-α-Pyrene in Water. In Polymer Biocatalysis and Biomaterials; Cheng, H.N., Gross, R.A., Eds., ACS Symposium Series Vol. 900; American Chemical Society: Washington, DC, USA, 2005; pp. 80–94. [Google Scholar] [CrossRef]
- Simonyan, A.; Gitsov, I. Linear-dendritic supramolecular complexes as nano-scale reaction vessels for “Green” chemistry. Diels Alder reactions between fullerene C60 and polycyclic aromatic hydrocarbons in aqueous medium. Langmuir 2008, 24, 11431–11441. [Google Scholar] [CrossRef]
- Gitsov, I.; Simonyan, A.; Wang, L.; Krastanov, A.; Tanenbaum, S.W.; Kiemle, D. Polymer-assisted biocatalysis: Unprecedented enzymatic oxidation of fullerene in aqueous medium. J. Polym. Sci. Part A Polym. Chem. 2012, 50, 119–126. [Google Scholar] [CrossRef]
- Miyaura, N.; Suzuki, A. Stereoselective synthesis of arylated (E)-alkenes by the reaction of alk-1-enylboranes with aryl halides in the presence of palladium catalyst. J. Chem. Soc. Chem. Comm. 1979, 866–867. [Google Scholar] [CrossRef]
- Koshvandi, A.T.K.; Heravi, M.M.; Momeni, T. Current Applications of Suzuki–Miyaura Coupling Reaction in The Total Synthesis of Natural Products: An update. Appl. Organomet. Chem. 2018, 32, e4210. [Google Scholar] [CrossRef]
- Buskes, M.J.; Blanco, M.-J. Impact of Cross-Coupling Reactions in Drug Discovery and Development. Molecules 2020, 25, 3493. [Google Scholar] [CrossRef]
- Kadu, B.S. Suzuki–Miyaura cross coupling reaction: Recent advancements in catalysis and organic synthesis. Catal. Sci. Technol. 2021, 11, 1186. [Google Scholar] [CrossRef]
- Maluenda, I.; Navarro, O. Recent developments in the Suzuki–Miyaura reaction: 2010-2014. Molecules 2015, 20, 7528–7557. [Google Scholar] [CrossRef] [PubMed]
- Miyaura, N.; Suzuki, A. Palladium-catalyzed cross-coupling reactions of organoboron compounds. Chem. Rev. 1995, 95, 2457–2483. [Google Scholar] [CrossRef]
- Casalnuovo, A.L.; Calabrese, J.C. Palladium-Catalyzed Alkylations in Aqueous Media. J. Am. Chem. Soc. 1990, 112, 4324–4330. [Google Scholar] [CrossRef]
- Paetzold, E.; Oehme, G. Efficient two-phase Suzuki reaction catalyzed by palladium complexes with water-soluble phosphine ligands and detergents as phase transfer reagents. J. Mol. Catal. A Chem. 2000, 152, 69–76. [Google Scholar] [CrossRef]
- Lipshutz, B.H.; Taft, B.R.; Abela, A.R.; Ghorai, S.; Krasovskiy, A. Catalysis in the service of green chemistry: Nobel prize-winning palladium-catalysed cross-couplings, run in water at room temperature. Platinum Metals Rev. 2012, 56, 62–74. [Google Scholar] [CrossRef]
- Martina, K.; Manzoli, M.; Gaudino, E.C.; Cravotto, G. Eco-Friendly Physical Activation Methods for Suzuki-Miyaura Reactions. Catalysts 2017, 7, 98. [Google Scholar] [CrossRef]
- Astruc, D. Palladium catalysis using dendrimers: Molecular catalysts versus nanoparticles. Tetrahedron Assym. 2010, 21, 1041–1054. [Google Scholar] [CrossRef]
- Crooks, R.M.; Zhao, M.; Sun, L.; Chechik, V.; Yeung, L.K. Dendrimer-Encapsulated Metal Nanoparticles: Synthesis, Characterization and Applications to Catalysis. Acc. Chem. Res. 2001, 34, 181–190. [Google Scholar] [CrossRef]
- Diallo, A.; Ornelas, C.; Salmon, L.; Aranzaes, J.R.; Astruc, D. Homeopathic” Catalytic Activity and Atom-Leaching Mechanism in Miyaura–Suzuki Reactions under Ambient Conditions with Precise Dendrimer-Stabilized Pd Nanoparticles. Angew. Chem. Int. Ed. 2007, 46, 8644–8648. [Google Scholar] [CrossRef]
- Deraedt, C.; Salmon, L.; Etienne, L.; Ruiz, J.; Astruc, D. “Click” dendrimers as efficient nanoreactors in aqueous solvent: Pd nanoparticle stabilization for sub-ppm Pd catalysis of Suzuki-Miyaura reactions of aryl bromides. Chem. Commun. 2013, 49, 8169–8171. [Google Scholar] [CrossRef] [PubMed]
- Wang, L.; Kiemle, D.J.; Boyle, C.J.; Connors, E.L.; Gitsov, I. “Click” Synthesis of Intrinsically Hydrophilic Dendrons and Dendrimers Containing Metal Binding Moieties at Each Branching Unit. Macromolecules 2014, 47, 2199–2213. [Google Scholar] [CrossRef]
- Kametani, T.; Kano, S. Synthesis of papaverine derivatives. (9). A synthesis of 1-(3,5-dihydroxyphenyl)-3-methyl-6,7-methylenedioxyisoquinoline and the supplement on the synthesis of 1-(2,4-dihydroxyphenyl)isoquinoline derivative. J. Pharmac. Soc. Japan (Yakugaku Zasshi) 1962, 82, 1059–1062. [Google Scholar] [CrossRef] [PubMed]
- Reiman, E. Natürliche Stilbene. Synthese von Polyhydroxystilbenäthern durch Wittig-Reaktion. Chem. Ber. 1969, 102, 2881–3242. [Google Scholar] [CrossRef]
- Hawker, C.; Fréchet, J.M.J. A New Convergent Approach to Monodisperse Dendritic Macromolecules. J. Chem. Soc. Chem. Commun. 1990, 1010–1013. [Google Scholar] [CrossRef]
- Rostovtsev, V.V.; Green, L.G.; Fokin, V.V.; Sharpless, K.B. A Stepwise Huisgen Cycloaddition Process: A Copper(I)-Catalyzed Regioselective “Ligation” of Azides and Terminal Alkynes. Angew. Chem. Int. Ed. 2002, 41, 2596–2599. [Google Scholar] [CrossRef]
- Harnoy, A.J.; Rosenbaum, I.; Tirosh, E.; Ebenstein, Y.; Shaharabani, R.; Beck, R.; Amir, R.J. Enzyme-Responsive Amphiphilic PEG-Dendron Hybrids and Their Assembly into Smart Micellar Nanocarriers. J. Am. Chem. Soc. 2014, 136, 7531–7534. [Google Scholar] [CrossRef]










Disclaimer/Publisher’s Note: The statements, opinions and data contained in all publications are solely those of the individual author(s) and contributor(s) and not of MDPI and/or the editor(s). MDPI and/or the editor(s) disclaim responsibility for any injury to people or property resulting from any ideas, methods, instructions or products referred to in the content. |
© 2023 by the authors. Licensee MDPI, Basel, Switzerland. This article is an open access article distributed under the terms and conditions of the Creative Commons Attribution (CC BY) license (https://creativecommons.org/licenses/by/4.0/).
Share and Cite
Liu, X.; Yavitt, F.M.; Gitsov, I. Supramolecular Linear-Dendritic Nanoreactors: Synthesis and Catalytic Activity in “Green” Suzuki-Miyaura Reactions. Polymers 2023, 15, 1671. https://doi.org/10.3390/polym15071671
Liu X, Yavitt FM, Gitsov I. Supramolecular Linear-Dendritic Nanoreactors: Synthesis and Catalytic Activity in “Green” Suzuki-Miyaura Reactions. Polymers. 2023; 15(7):1671. https://doi.org/10.3390/polym15071671
Chicago/Turabian StyleLiu, Xin, F. Max Yavitt, and Ivan Gitsov. 2023. "Supramolecular Linear-Dendritic Nanoreactors: Synthesis and Catalytic Activity in “Green” Suzuki-Miyaura Reactions" Polymers 15, no. 7: 1671. https://doi.org/10.3390/polym15071671
APA StyleLiu, X., Yavitt, F. M., & Gitsov, I. (2023). Supramolecular Linear-Dendritic Nanoreactors: Synthesis and Catalytic Activity in “Green” Suzuki-Miyaura Reactions. Polymers, 15(7), 1671. https://doi.org/10.3390/polym15071671

