Aquaponics-Derived Tilapia Skin Collagen for Biomaterials Development
Abstract
:1. Introduction
2. Materials
3. Methods
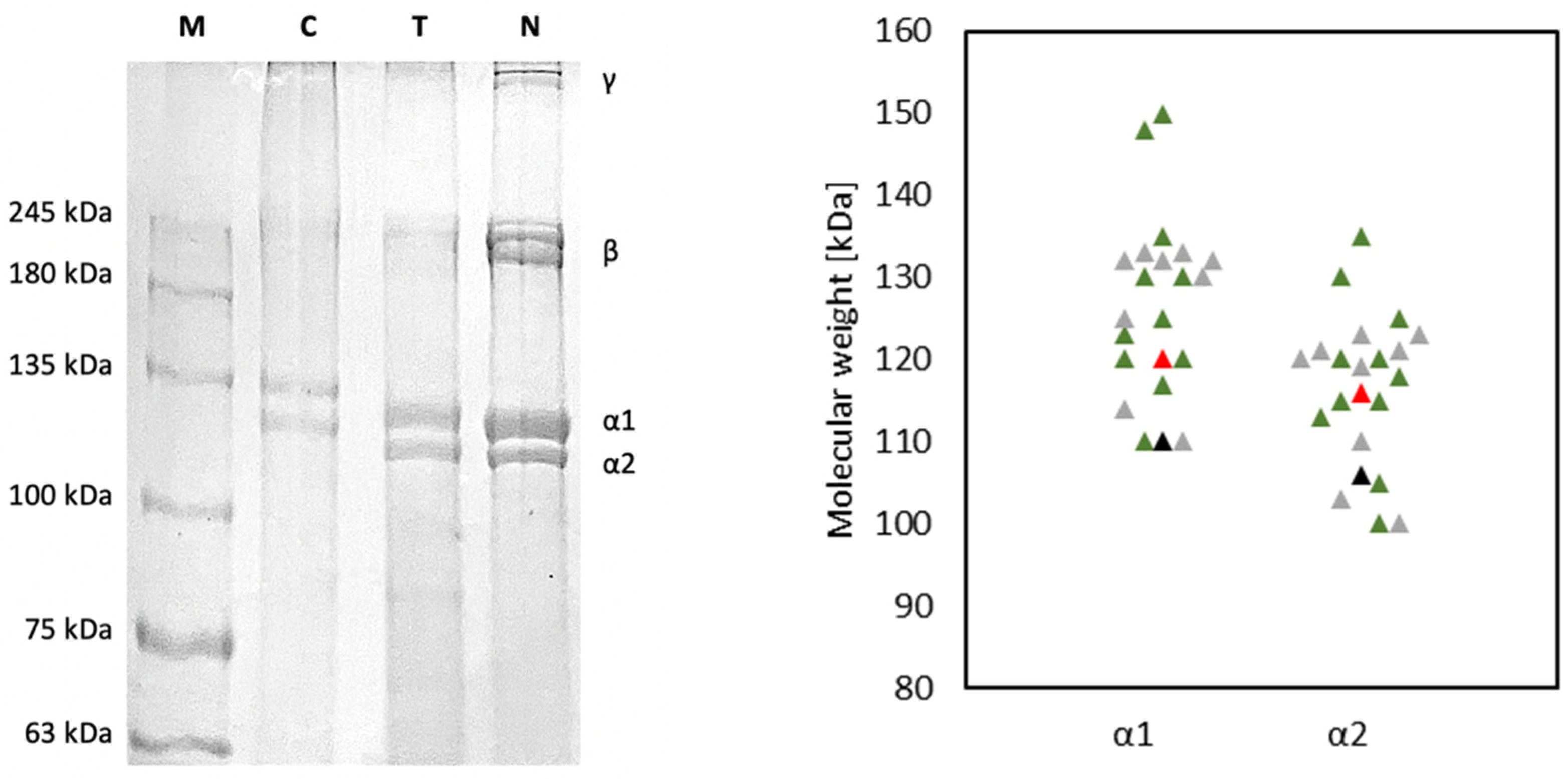
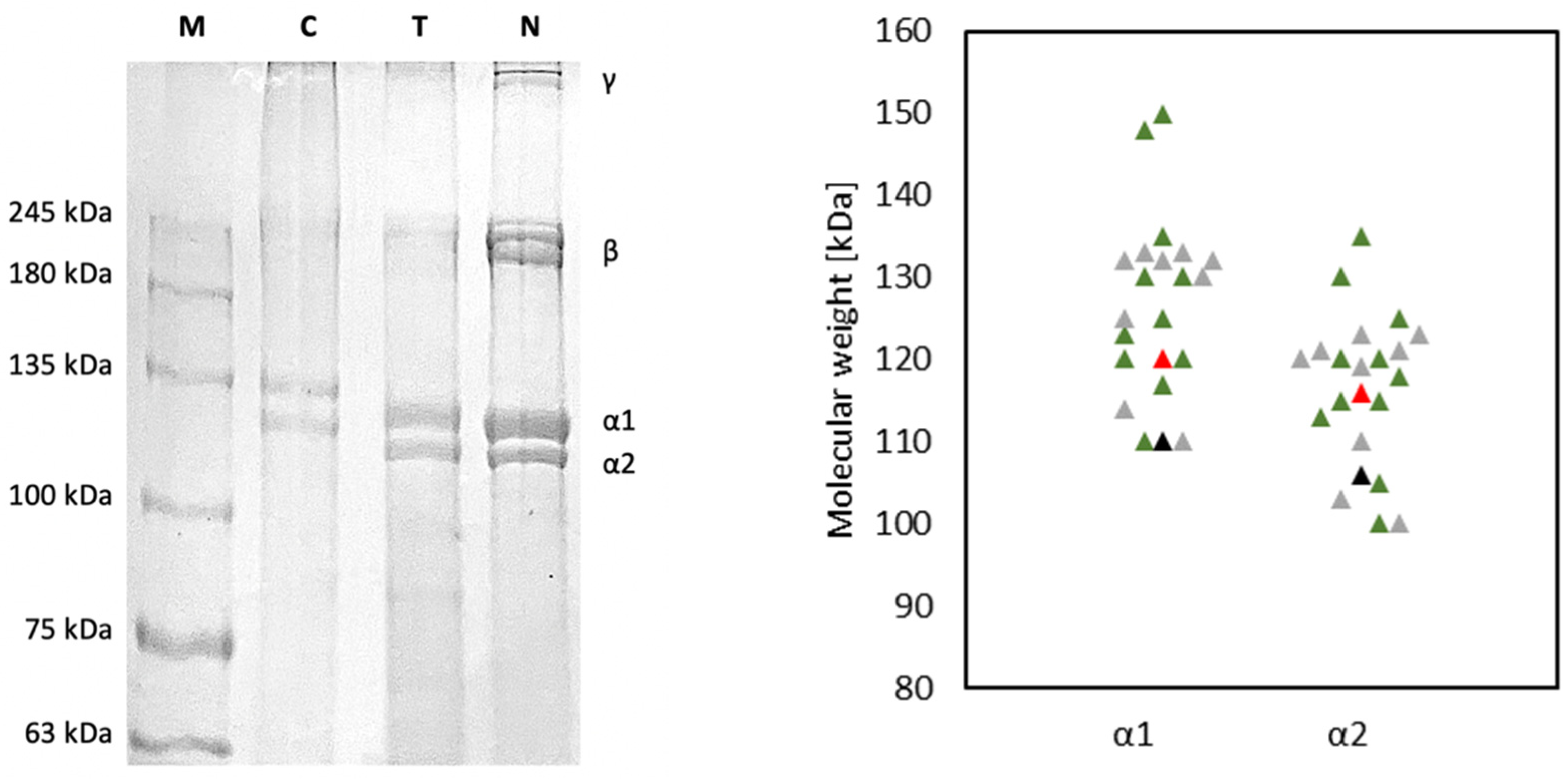
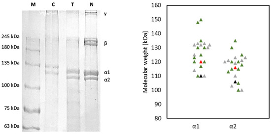
3.1. Extracts Purity and Integrity
3.2. Amino Acid Composition
3.3. Structural Analysis
3.4. X-rays Structural Analysis
3.5. Thermal Properties
3.6. Wettability
3.7. Mechanical Properties
3.8. Biocompatibility
3.9. Statistical Analysis
4. Results
4.1. Extracts Purity and Integrity
4.2. Amino Acid Composition
4.3. Structural Analysis
4.4. X-rays Structural Analysis
4.5. Thermal Properties
4.6. Wettability
4.7. Mechanical Properties
4.8. Biocompatibility
5. Discussion
6. Conclusions
Supplementary Materials
Author Contributions
Funding
Institutional Review Board Statement
Informed Consent Statement
Acknowledgments
Conflicts of Interest
References
- Gelse, K.; Pöschl, E.; Aigner, T. Collagens—Structure, function, and biosynthesis. Adv. Drug Deliv. Rev. 2003, 55, 1531–1546. [Google Scholar] [CrossRef] [PubMed] [Green Version]
- Salvatore, L.; Gallo, N.; Natali, M.L.; Terzi, A.; Sannino, A.; Madaghiele, M. Mimicking the Hierarchical Organization of Natural Collagen: Toward the Development of Ideal Scaffolding Material for Tissue Regeneration. Front. Bioeng. Biotechnol. 2021, 9, 644595. [Google Scholar] [CrossRef] [PubMed]
- Gallo, N.; Natali, M.L.; Sannino, A.; Salvatore, L. An overview of the use of equine collagen as emerging material for biomedical applications. J. Funct. Biomater. 2020, 11, 79. [Google Scholar] [CrossRef] [PubMed]
- Bianchini, P.; Parma, B. Immunological safety evaluation of a horse collagen haemostatic pad. Arzneim. Forsch./Drug Res. 2001, 51, 414–419. [Google Scholar] [CrossRef] [PubMed]
- Lynn, A.; Yannas, I.; Bonfield, W. Antigenicity and immunogenicity of collagen. J. Biomed. Mater. Res. Part B Appl. Biomater. 2004, 71, 343–354. [Google Scholar] [CrossRef]
- Delgado, L.M.; Bayon, Y.; Pandit, A.; Zeugolis, D.I. To Cross-Link or Not to Cross-Link? Cross-Linking Associated Foreign Body Response of Collagen-Based Devices. Tissue Eng. Part B Rev. 2015, 21, 298–313. [Google Scholar] [CrossRef] [Green Version]
- Delgado, L.M.; Shologu, N.; Fuller, K.; Zeugolis, D.I. Acetic acid and pepsin result in high yield, high purity and low macrophage response collagen for biomedical applications. Biomed. Mater. 2017, 12, 065009. [Google Scholar] [CrossRef] [Green Version]
- Silvipriya, K.S.; Kumar, K.K.; Bhat, A.R.; Kumar, B.D.; John, A.; Lakshmanan, P. Collagen: Animal sources and biomedical application. J. Appl. Pharm. Sci. 2015, 5, 123–127. [Google Scholar] [CrossRef] [Green Version]
- Salvatore, L.; Gallo, N.; Natali, M.L.; Campa, L.; Lunetti, P.; Madaghiele, M.; Blasi, F.S.; Corallo, A.; Capobianco, L.; Sannino, A. Marine collagen and its derivatives: Versatile and sustainable bio-resources for healthcare. Mater. Sci. Eng. C 2020, 113, 110963. [Google Scholar] [CrossRef]
- Felician, F.F.; Xia, C.; Qi, W.; Xu, H. Collagen from Marine Biological Sources and Medical Applications. Chem. Biodivers. 2018, 15, e1700557. [Google Scholar] [CrossRef]
- Berillis, P. Marine Collagen: Extraction and Applications. In Research Trends Biochemistry, Molecular Biology and Microbiology; SM Group Open Access eBook; SM Group: Kolkata, India, 2015; pp. 1–13. [Google Scholar]
- Valenzuela-Rojo, D.R.; López-Cervantes, J.; Sánchez-Machado, D.I. Tilapia (Oreochromis aureus) Collagen for Medical Biomaterials. Seaweed Biomater. 2018, 4, 48–66. [Google Scholar] [CrossRef] [Green Version]
- Zhang, J.; Wenhui, W.; Elango, J. Antigen Response Properties of Tilapia Skin Type I Collagen. Food Sci. (Biol. Eng.) 2015, 36, 79–83. [Google Scholar] [CrossRef]
- Lv, L.-C.; Huang, Q.-Y.; Ding, W.; Xiao, X.-H.; Zhang, H.-Y.; Xiong, L.-X. Fish gelatin: The novel potential applications. J. Funct. Foods 2019, 63, 103581. [Google Scholar] [CrossRef]
- Yoon, H.J.; Shin, S.R.; Cha, J.M.; Lee, S.-H.; Kim, J.-H.; Do, J.T.; Song, H.; Bae, H. Cold water fish gelatin methacryloyl hydrogel for tissue engineering application. PLoS ONE 2016, 11, e0163902. [Google Scholar] [CrossRef] [PubMed] [Green Version]
- Wang, Z.; Tian, Z.; Menard, F.; Kim, K. Comparative study of gelatin methacrylate hydrogels from different sources for biofabrication applications. Biofabrication 2017, 9, 044101. [Google Scholar] [CrossRef]
- León-López, A.; Morales-Peñaloza, A.; Martínez-Juárez, V.M.; Vargas-Torres, A.; Zeugolis, D.I.; Aguirre-Álvarez, G. Hydrolyzed collagen-sources and applications. Molecules 2019, 24, 4031. [Google Scholar] [CrossRef] [Green Version]
- Lim, Y.-S.; Ok, Y.-J.; Hwang, S.-Y.; Kwak, J.-Y.; Yoon, S. Marine Collagen as A Promising Biomaterial for Applications. Mar. Drugs 2019, 17, 467. [Google Scholar] [CrossRef] [Green Version]
- Pal, G.K.; Suresh, P. Sustainable valorisation of seafood by-products: Recovery of collagen and development of collagen-based novel functional food ingredients. Innov. Food Sci. Emerg. Technol. 2016, 37, 201–215. [Google Scholar] [CrossRef]
- Martins, M.E.O.; Sousa, J.R.; Claudino, R.L.; Lino, S.C.O.; Vale, D.A.D.; Silva, A.L.C.; Morais, J.P.S.; Filho, M.D.S.M.D.S.; De Souza, B.W.S. Thermal and Chemical Properties of Gelatin from Tilapia (Oreochromis niloticus) Scale. J. Aquat. Food Prod. Technol. 2018, 27, 1120–1133. [Google Scholar] [CrossRef]
- Ge, B.; Wang, H.; Li, J.; Liu, H.; Yin, Y.; Zhang, N.; Qin, S. Comprehensive Assessment of Nile Tilapia Skin (Oreochromis niloticus) Collagen Hydrogels for Wound Dressings. Mar. Drugs 2020, 18, 178. [Google Scholar] [CrossRef] [Green Version]
- Zeng, S.-K.; Zhang, C.-H.; Lin, H.; Yang, P.; Hong, P.-Z.; Jiang, Z. Isolation and characterisation of acid-solubilised collagen from the skin of Nile tilapia (Oreochromis niloticus). Food Chem. 2009, 116, 879–883. [Google Scholar] [CrossRef]
- Potaros, T.; Raksakulthai, N.; Runglerdkreangkrai, J.; Worawattanamateekul, W. Characteristics of collagen from nile tilapia (Oreochromis niloticus) skin isolated by two different methods. Kasetsart J. Nat. Sci. 2009, 43, 584–593. [Google Scholar]
- Sun, L.; Hou, H.; Li, B.; Zhang, Y. Characterization of acid- and pepsin-soluble collagen extracted from the skin of Nile tilapia (Oreochromis niloticus). Int. J. Biol. Macromol. 2017, 99, 8–14. [Google Scholar] [CrossRef] [PubMed]
- El-Sayed, A.F.M. Tilapia Culture; CABI: Wallingford, UK, 2006. [Google Scholar]
- LWang, L.; Jiang, Y.; Wang, X.; Zhou, J.; Cui, H.; Xu, W.; He, Y.; Ma, H.; Gao, R. Effect of oral administration of collagen hydrolysates from Nile tilapia on the chronologically aged skin. J. Funct. Foods 2018, 44, 112–117. [Google Scholar] [CrossRef]
- Barroso, R.M.; Pizarro Munoz, A.E.; Cai, J. Social and Economic Performance of Tilapia Farming in Brazil; FAO Fisheries and Aquaculture Circular: Rome, Italy, 2019. [Google Scholar]
- Yep, B.; Zheng, Y. Aquaponic trends and challenges—A review. J. Clean. Prod. 2019, 228, 1586–1599. [Google Scholar] [CrossRef]
- Liu, D.; Zhang, X.; Li, T.; Yang, H.; Zhang, H.; Regenstein, J.M.; Zhou, P. Extraction and characterization of acid- and pepsin-soluble collagens from the scales, skins and swim-bladders of grass carp (Ctenopharyngodon idella). Food Biosci. 2015, 9, 68–74. [Google Scholar] [CrossRef]
- Falini, G.; Fermani, S.; Foresti, E.; Parma, B.; Rubini, K.; Sidoti, M.C.; Roveri, N. Films of self-assembled purely helical type I collagen molecules. J. Mater. Chem. 2004, 14, 2297–2302. [Google Scholar] [CrossRef]
- Ruozi, B.; Tosi, G.; Leo, E.; Parma, B.; Vismara, S.; Forni, F.; Vandelli, M.A. Intact collagen and atelocollagen sponges: Characterization and ESEM observation. Mater. Sci. Eng. C 2007, 27, 802–810. [Google Scholar] [CrossRef]
- Terzi, A.; Gallo, N.; Bettini, S.; Sibillano, T.; Altamura, D.; Campa, L.; Natali, M.L.; Salvatore, L.; Madaghiele, M.; De Caro, L.; et al. Investigations of processing–induced structural changes in horse type-I collagen at sub and supramolecular levels. Front. Bioeng. Biotechnol. 2019, 7, 203. [Google Scholar] [CrossRef]
- Salvatore, L.; Gallo, N.; Aiello, D.; Lunetti, P.; Barca, A.; Blasi, L.; Madaghiele, M.; Bettini, S.; Giancane, G.; Hasan, M.; et al. An insight on type I collagen from horse tendon for the manufacture of implantable devices. Int. J. Biol. Macromol. 2020, 154, 291–306. [Google Scholar] [CrossRef]
- Gallo, N.; Natali, M.L.; Curci, C.; Picerno, A.; Gallone, A.; Vulpi, M.; Vitarelli, A.; Ditonno, P.; Cascione, M.; Sallustio, F.; et al. Analysis of the physico-chemical, mechanical and biological properties of crosslinked type-i collagen from horse tendon: Towards the development of ideal scaffolding material for urethral regeneration. Materials 2021, 14, 7648. [Google Scholar] [CrossRef] [PubMed]
- Lawrence, A.-M.; Besir, H. Staining of proteins in gels with Coomassie G-250 without organic solvent and acetic acid. J. Vis. Exp. 2009, 30, e1350. [Google Scholar] [CrossRef] [PubMed]
- Lunetti, P.; Damiano, F.; De Benedetto, G.; Siculella, L.; Pennetta, A.; Muto, L.; Paradies, E.; Marobbio, C.M.T.; Dolce, V.; Capobianco, L. Capobianco, Characterization of Human and Yeast Mitochondrial Glycine Carriers with Implications for Heme Biosynthesis and Anemia. J. Biol. Chem. 2016, 291, 19746–19759. [Google Scholar] [CrossRef] [PubMed] [Green Version]
- Fico, D.; Margapoti, E.; Pennetta, A.; De Benedetto, G.E. An enhanced GC/MS procedure for the identification of proteins in paint microsamples. J. Anal. Methods Chem. 2018, 2018, 6032084. [Google Scholar] [CrossRef] [Green Version]
- Shi, C.; Bi, C.; Ding, M.; Xie, J.; Xu, C.; Qiao, R.; Wang, X.; Zhong, J. Polymorphism and stability of nanostructures of three types of collagens from bovine flexor tendon, rat tail, and tilapia skin. Food Hydrocoll. 2019, 93, 253–260. [Google Scholar] [CrossRef]
- Terzi, A.; Storelli, E.; Bettini, S.; Sibillano, T.; Altamura, D.; Salvatore, L.; Madaghiele, M.; Romano, A.; Siliqi, D.; Ladisa, M.; et al. Effects of processing on structural, mechanical and biological properties of collagen-based substrates for regenerative medicine. Sci. Rep. 2018, 8, 1429. [Google Scholar] [CrossRef] [Green Version]
- Altamura, D.; Lassandro, R.; Vittoria, F.A.; Decaro, L.; Siliqi, D.; Ladisa, M.; Giannini, C. X-ray microimaging laboratory (XMI-LAB). J. Appl. Crystallogr. 2012, 45, 869–873. [Google Scholar] [CrossRef]
- Siliqi, D.; De Caro, L.; Ladisa, M.; Scattarella, F.; Mazzone, A.; Altamura, D.; Sibillano, T.; Giannini, C. SUNBIM: A package for X-ray imaging of nano- and biomaterials using SAXS, WAXS, GISAXS and GIWAXS techniques. J. Appl. Crystallogr. 2016, 49, 1107–1114. [Google Scholar] [CrossRef]
- Salvatore, L.; Calò, E.; Bonfrate, V.; Pedone, D.; Gallo, N.; Natali, M.L.; Sannino, A.; Madaghiele, M. Exploring the effects of the crosslink density on the physicochemical properties of collagen-based scaffolds. Polym. Test. 2021, 93, 106966. [Google Scholar] [CrossRef]
- Kodre, K.; Attarde, S.; Yendhe, P.; Patil, R.; Barge, V. Differential Scanning Calorimetry: A Review. Res. Rev. J. Pharm. Anal. 2014, 3, 11–22. [Google Scholar]
- Bao, Z.; Sun, Y.; Rai, K.; Peng, X.; Wang, S.; Nian, R.; Xian, M. The promising indicators of the thermal and mechanical properties of collagen from bass and tilapia: Synergistic effects of hydroxyproline and cysteine. Biomater. Sci. 2018, 6, 3042–3052. [Google Scholar] [CrossRef] [PubMed]
- Song, W.-K.; Liu, D.; Sun, L.-L.; Li, B.-F.; Hou, H. Physicochemical and Biocompatibility Properties of Type I Collagen from the Skin of Nile Tilapia (Oreochromis niloticus) for Biomedical Applications. Mar. Drugs 2019, 17, 137. [Google Scholar] [CrossRef] [PubMed] [Green Version]
- Pan, B.-Q.; Su, W.-J.; Cao, M.-J.; Cai, Q.-F.; Weng, W.-Y.; Liu, G.-M. IgE reactivity to type i collagen and its subunits from tilapia (Tilapia zillii). Food Chem. 2012, 130, 127–133. [Google Scholar] [CrossRef]
- Tang, J.; Saito, T. Biocompatibility of Novel Type i Collagen Purified from Tilapia Fish Scale: An in Vitro Comparative Study. BioMed Res. Int. 2015, 2015, 139476. [Google Scholar] [CrossRef] [Green Version]
- Yan, M.; Li, B.; Zhao, X.; Qin, S. Effect of concentration, pH and ionic strength on the kinetic self-assembly of acid-soluble collagen from walleye pollock (Theragra chalcogramma) skin. Food Hydrocoll. 2012, 29, 199–204. [Google Scholar] [CrossRef]
- Zhang, Q.; Wang, Q.; Lv, S.; Lu, J.; Jiang, S.; Regenstein, J.M.; Lin, L. Comparison of collagen and gelatin extracted from the skins of Nile tilapia (Oreochromis niloticus) and channel catfish (Ictalurus punctatus). Food Biosci. 2016, 13, 41–48. [Google Scholar] [CrossRef]
- Chen, J.; Li, L.; Yi, R.; Xu, N.; Gao, R.; Hong, B. Extraction and characterization of acid-soluble collagen from scales and skin of tilapia (Oreochromis niloticus). LWT Food Sci. Technol. 2016, 66, 453–459. [Google Scholar] [CrossRef]
- Zhou, T.; Wang, N.; Xue, Y.; Ding, T.; Liu, X.; Mo, X.; Sun, J. Development of biomimetic tilapia collagen nanofibers for skin regeneration through inducing keratinocytes differentiation and collagen synthesis of dermal fibroblasts. ACS Appl. Mater. Interfaces 2015, 7, 3253–3262. [Google Scholar] [CrossRef]
- Li, J.; Wang, M.; Qiao, Y.; Tian, Y.; Liu, J.; Qin, S.; Wu, W. Extraction and characterization of type I collagen from skin of tilapia (Oreochromis niloticus) and its potential application in biomedical scaffold material for tissue engineering. Process Biochem. 2018, 74, 156–163. [Google Scholar] [CrossRef]
- Bi, C.; Li, X.; Xin, Q.; Han, W.; Shi, C.; Guo, R.; Shi, W.; Qiao, R.; Wang, X.; Zhong, J. Effect of extraction methods on the preparation of electrospun/electrosprayed microstructures of tilapia skin collagen. J. Biosci. Bioeng. 2019, 128, 234–240. [Google Scholar] [CrossRef]
- Tang, L.; Chen, S.; Su, W.; Weng, W.; Osako, K.; Tanaka, M. Physicochemical properties and film-forming ability of fish skin collagen extracted from different freshwater species. Process Biochem. 2015, 50, 148–155. [Google Scholar] [CrossRef]
- Yan, M.; Qin, S.; Li, J. Study on the self-assembly property of type I collagen prepared from tilapia (Oreochromis niloticus) skin by different extraction methods. Int. J. Food Sci. Technol. 2015, 50, 2088–2096. [Google Scholar] [CrossRef]
- Thuanthong, M.; Sirinupong, N.; Youravong, W. Triple helical structure of acid-soluble collagen derived from Nile tilapia skin as affected by extraction temperature. J. Sci. Food Agric. 2016, 96, 3795–3800. [Google Scholar] [CrossRef] [PubMed]
- Liao, W.; Guanghua, X.; Li, Y.; Shen, X.R.; Li, C. Comparison of characteristics and fibril-forming ability of skin collagen from barramundi (Lates calcarifer) and tilapia (Oreochromis niloticus). Int. J. Biol. Macromol. 2018, 107, 549–559. [Google Scholar] [CrossRef] [PubMed]
- Le, T.M.T.; Nguyen, V.M.; Tran, T.T.; Takahashi, K.; Osako, K. Comparison of acid-soluble collagen characteristic from three important freshwater fish skins in Mekong Delta Region, Vietnam. J. Food Biochem. 2020, 44, e13397. [Google Scholar] [CrossRef] [PubMed]
- Song, Z.; Liu, H.; Chen, L.; Chen, L.; Zhou, C.; Hong, P.; Deng, C. Characterization and comparison of collagen extracted from the skin of the Nile tilapia by fermentation and chemical pretreatment. Food Chem. 2021, 340, 128139. [Google Scholar] [CrossRef] [PubMed]
- Fujii, K.K.; Taga, Y.; Takagi, Y.K.; Masuda, R.; Hattori, S.; Koide, T. The Thermal Stability of the Collagen Triple Helix Is Tuned According to the Environmental Temperature. Int. J. Mol. Sci. 2022, 23, 2040. [Google Scholar] [CrossRef]
- Gallo, N.; Lunetti, P.; Bettini, S.; Barca, A.; Madaghiele, M.; Valli, L.; Capobianco, L.; Sannino, A.; Salvatore, L. Assessment of physico-chemical and biological properties of sericin-collagen substrates for PNS regeneration. Int. J. Polym. Mater. Polym. Biomater. 2021, 70, 403–413. [Google Scholar] [CrossRef]
- Masullo, U.; Cavallo, A.; Greco, M.R.; Reshkin, S.J.; Mastrodonato, M.; Gallo, N.; Salvatore, L.; Verri, T.; Sannino, A.; Cardone, R.A.; et al. Semi-interpenetrating polymer network cryogels based on poly(ethylene glycol) diacrylate and collagen as potential off-the-shelf platforms for cancer cell research. J. Biomed. Mater. Res. Part B Appl. Biomater. 2021, 109, 1313–1326. [Google Scholar] [CrossRef]
- Tian, H.; Ren, Z.; Shi, L.; Hao, G.; Chen, J.; Weng, W. Self-assembly characterization of tilapia skin collagen in simulated body fluid with different salt concentrations. Process Biochem. 2021, 108, 153–160. [Google Scholar] [CrossRef]
- Yan, M.; Wang, X. Study on the kinetic self-assembly of type I collagen from tilapia (Oreochromis niloticus) skin using the fluorescence probe thioflavin T. Spectrochim. Acta Part A Mol. Biomol. Spectrosc. 2018, 203, 342–347. [Google Scholar] [CrossRef] [PubMed]
- Terzi, A.; Gallo, N.; Bettini, S.; Sibillano, T.; Altamura, D.; Madaghiele, M.; De Caro, L.; Valli, L.; Salvatore, L.; Sannino, A.; et al. Sub- and Supramolecular X-Ray Characterization of Engineered Tissues from Equine Tendon, Bovine Dermis and Fish Skin Type-I Collagen. Macromol. Biosci. 2020, 20, 2000017. [Google Scholar] [CrossRef] [PubMed]
- Yamamoto, K.; Igawa, K.; Sugimoto, K.; Yoshizawa, Y.; Yanagiguchi, K.; Ikeda, T.; Yamada, S.; Hayashi, Y. Biological safety of fish (tilapia) collagen. BioMed Res. Int. 2014, 2014, 630757. [Google Scholar] [CrossRef] [PubMed] [Green Version]
- Oliveira, V.D.M.; Assis, C.R.D.; Costa, B.D.A.M.; Neri, R.C.D.A.; Monte, F.T.D.; Freitas, H.M.S.D.C.V.; França, R.C.P.; Santos, J.F.; Bezerra, R.D.S.; Porto, A.L.F. Physical, biochemical, densitometric and spectroscopic techniques for characterization collagen from alternative sources: A review based on the sustainable valorization of aquatic by-products. J. Mol. Struct. 2021, 1224, 129023. [Google Scholar] [CrossRef]
- Välimaa, A.-L.; Mäkinen, S.; Mattila, P.; Marnila, P.; Pihlanto, A.; Mäki, M.; Hiidenhovi, J. Fish and fish side streams are valuable sources of high-value components. Food Qual. Saf. 2019, 3, 209–226. [Google Scholar] [CrossRef] [Green Version]
- Rodrigues Menezes, M.d.L.L.; Ribeiro, H.L.; da Silva Abreu, F.d.O.M.; de Andrade Feitosa, J.P.; de Souza Filho, M.d.S.M. Optimization of the collagen extraction from Nile tilapia skin (Oreochromis niloticus) and its hydrogel with hyaluronic acid. Colloids Surf. B: Biointerfaces 2020, 189, 110852. [Google Scholar] [CrossRef]
- Meyer, M. Processing of collagen based biomaterials and the resulting materials properties. BioMedical Eng. Online 2019, 18, 24. [Google Scholar] [CrossRef] [Green Version]
- Bose, S.; Narayan, R.; Bandyopadhyay, A. Biomaterials Science: Processing, Properties and Applications III; John Wiley & Sons, Inc.: Hoboken, NJ, USA, 2013. [Google Scholar]
- Plant, A.L.; Bhadriraju, K.; Spurlin, T.A.; Elliott, J.T. Cell response to matrix mechanics: Focus on collagen. Biochim. Biophys. Acta Mol. Cell Res. 2009, 1793, 893–902. [Google Scholar] [CrossRef] [Green Version]
- Cai, S.; Wu, C.; Yang, W.; Liang, W.; Yu, H.; Liu, L. Recent advance in surface modification for regulating cell adhesion and behaviors. Nanotechnol. Rev. 2020, 9, 971–989. [Google Scholar] [CrossRef]
- Kanta, J. Collagen matrix as a tool in studying fibroblastic cell behavior. Cell Adhes. Migr. 2015, 9, 308–316. [Google Scholar] [CrossRef] [Green Version]
- Lee, C.H.; Singla, A.; Lee, Y. Biomedical applications of collagen. Int. J. Pharm. 2001, 221, 1–22. [Google Scholar] [CrossRef]
- Masci, V.L.; Taddei, A.R.; Gambellini, G.; Giorgi, F.; Fausto, A.M. Ultrastructural investigation on fibroblast interaction with collagen scaffold. J. Biomed. Mater. Res. Part A 2016, 104, 272–282. [Google Scholar] [CrossRef] [PubMed]
- Croce, M.A.; Silvestri, C.; Guerra, D.; Carnevali, E.; Boraldi, F.; Tiozzo, R.; Parma, B. Adhesion and Proliferation of Human Dermal Fibroblasts on Collagen Matrix. J. Biomater. Appl. 2004, 18, 209–222. [Google Scholar] [CrossRef] [PubMed]
- Böhm, S.; Strauß, C.; Stoiber, S.; Kasper, C.; Charwat, V. Charwat, Impact of Source and Manufacturing of Collagen Matrices on Fibroblast Cell Growth and Platelet Aggregation. Materials 2017, 10, 1086. [Google Scholar] [CrossRef] [PubMed] [Green Version]
- Subhan, F.; Ikram, M.; Shehzad, A.; Ghafoor, A. Marine Collagen: An Emerging Player in Biomedical applications. J. Food Sci. Technol. 2015, 52, 4703–4707. [Google Scholar] [CrossRef] [Green Version]
- Dokukina, I.V.; Gracheva, M.E. A model of fibroblast motility on substrates with different rigidities. Biophys. J. 2010, 98, 2794–2803. [Google Scholar] [CrossRef] [Green Version]
- Lo, C.-M.; Wang, H.-B.; Dembo, M.; Wang, Y.-L. Cell movement is guided by the rigidity of the substrate. Biophys. J. 2000, 79, 144–152. [Google Scholar] [CrossRef] [Green Version]











| Amino Acids | T | N | ASC | PSC | |||||||||||||||
|---|---|---|---|---|---|---|---|---|---|---|---|---|---|---|---|---|---|---|---|
| [22] | [54] | [50] | [23] | [24] | [52] | [45] | [58] | [59] | [59] | [23] | [51] | [24] | [52] | [57] | [45] | [44] | |||
| Alanine | 123 | 142 | 119 | 122 | 141 | 104 | 126 | 171 | 87 | 98 | 123 | 127 | 104 | 118 | 124 | 180 | 124 | 85 | 98 |
| Glycine | 325 | 345 | 356 | 333 | 287 | 252 | 338 | 230 | 322 | 332 | 354 | 360 | 256 | 319 | 333 | 230 | 343 | 343 | 216 |
| Valine | 20 | 18 | 17 | 26 | 33 | 19 | 21 | 20 | 22 | 26 | 19 | 18 | 17 | 16 | 19 | 20 | 18 | 25 | 23 |
| Leucine | 23 | 19 | 20 | 26 | 24 | 27 | 24 | 20 | 22 | 22 | 23 | 22 | 23 | 2 | 23 | 20 | 21 | 20 | 28 |
| Isoleucine | 10 | 8 | 8 | 16 | 11 | 13 | 10 | 10 | 11 | 7 | 9 | 9 | 9 | 8 | 10 | 10 | 9 | 16 | 14 |
| Proline | 112 | 127 | 128 | 115 | 127 | 110 | 110 | 120 | 106 | 112 | 132 | 136 | 111 | 113 | 119 | 121 | 125 | 115 | 122 |
| Methionine | 2 | 1 | 5 | 23 | 14 | 14 | 3 | 8 | 9 | 34 | 10 | 9 | 15 | 6 | 2 | 7 | 6 | 10 | 4 |
| Serine | 32 | 32 | 32 | 32 | 19 | 31 | 35 | 21 | 31 | 32 | 35 | 35 | 26 | 33 | 35 | 20 | 31 | 28 | 32 |
| Threonine | 18 | 25 | 22 | 24 | 27 | 26 | 23 | 20 | 15 | 24 | 25 | 25 | 28 | 24 | 23 | 20 | 23 | 17 | 23 |
| Phenylalanine | 16 | 11 | 13 | 20 | 18 | 18 | 14 | 11 | 10 | 16 | 13 | 12 | 12 | 12 | 14 | 11 | 12 | 16 | 23 |
| Aspartate | 61 | 56 | 42 | 44 | 56 | 60 | 47 | 50 | 40 | 47 | 45 | 45 | 60 | 41 | 46 | 50 | 42 | 37 | 51 |
| Glutamate | 72 | 69 | 69 | 67 | 51 | 96 | 78 | 91 | 98 | 71 | 71 | 69 | 97 | 68 | 76 | 91 | 70 | 93 | 93 |
| Lysine | 29 | 28 | 20 | 26 | 52 | 35 | 24 | 41 | 32 | 28 | 25 | 25 | 37 | 24 | 23 | 31 | 23 | 22 | 34 |
| Histidine | 1 | 0 | 6 | 3 | 14 | 8 | 8 | 10 | 10 | 7 | 6 | 5 | 6 | 5 | 8 | 10 | 6 | 12 | 12 |
| Tyrosine | 4 | 1 | 3 | 3 | 5 | 5 | 4 | 3 | 9 | 1 | 4 | 2 | 2 | 2 | 3 | 4 | 3 | 6 | 6 |
| Cysteine | 0 | 0 | 0 | 4 | 1 | 0 | 2 | 0 | 0 | 2 | 0 | 0 | 0 | 0 | 3 | 0 | 0 | 0 | 9 |
| Hydroxyproline | 56 | 57 | 82 | 62 | 70 | 84 | 79 | 80 | 86 | 83 | 50 | 49 | 85 | 77 | 86 | 70 | 86 | 70 | 134 |
| Arginine | 27 | 35 | 58 | 51 | 41 | 82 | 55 | 40 | 90 | 52 | 53 | 52 | 96 | 52 | 51 | 40 | 58 | 85 | 78 |
| Imino acids | 168 | 184 | 210 | 177 | 197 | 194 | 189 | 200 | 192 | 195 | 182 | 185 | 196 | 190 | 205 | 191 | 211 | 185 | 256 |
| Tot. | 1000 | 1000 | 1000 | 1000 | 1000 | 1000 | 1000 | 1000 | 1000 | 1000 | 1000 | 1000 | 1000 | 1000 | 1000 | 1000 | 1000 | 1000 | 1000 |
| Collagen | β-Sheet 1610–1642 cm−1 | Random Coil 1642–1650 cm−1 | α-Helix 1650–1660 cm−1 | β-Turn 1660–1680 cm−1 | β-Antiparallel 1680–1700 cm−1 |
|---|---|---|---|---|---|
| T | 7 | 36 | 35 | 16 | 5 |
| N | 4 | 19 | 54 | 19 | 4 |
| [55] ASC | 30 | 25 | 24 | 21 | - |
| [55] PSC | 26 | 26 | 30 | 17 | - |
| [38] ASC | 24 | 14 | 20 | 33 | 9 |
| [53] ASC | 52 | 16 | 14 | 13 | 5 |
| Sample | Reciprocal Space (Å−1) | Direct Space (Å) | ||
|---|---|---|---|---|
| q2 Equatorial | FWHM | d2 Equatorial | Cristalline Domain | |
| T | 0.55 ± 0.03 | 0.169 ± 0.002 | 11 | 37 ± 3 |
| N | 0.57 ± 0.03 | 0.120 ± 0.001 | 11 | 52 ± 6 |
Publisher’s Note: MDPI stays neutral with regard to jurisdictional claims in published maps and institutional affiliations. |
© 2022 by the authors. Licensee MDPI, Basel, Switzerland. This article is an open access article distributed under the terms and conditions of the Creative Commons Attribution (CC BY) license (https://creativecommons.org/licenses/by/4.0/).
Share and Cite
Gallo, N.; Natali, M.L.; Quarta, A.; Gaballo, A.; Terzi, A.; Sibillano, T.; Giannini, C.; De Benedetto, G.E.; Lunetti, P.; Capobianco, L.; et al. Aquaponics-Derived Tilapia Skin Collagen for Biomaterials Development. Polymers 2022, 14, 1865. https://doi.org/10.3390/polym14091865
Gallo N, Natali ML, Quarta A, Gaballo A, Terzi A, Sibillano T, Giannini C, De Benedetto GE, Lunetti P, Capobianco L, et al. Aquaponics-Derived Tilapia Skin Collagen for Biomaterials Development. Polymers. 2022; 14(9):1865. https://doi.org/10.3390/polym14091865
Chicago/Turabian StyleGallo, Nunzia, Maria Lucia Natali, Alessandra Quarta, Antonio Gaballo, Alberta Terzi, Teresa Sibillano, Cinzia Giannini, Giuseppe Egidio De Benedetto, Paola Lunetti, Loredana Capobianco, and et al. 2022. "Aquaponics-Derived Tilapia Skin Collagen for Biomaterials Development" Polymers 14, no. 9: 1865. https://doi.org/10.3390/polym14091865
APA StyleGallo, N., Natali, M. L., Quarta, A., Gaballo, A., Terzi, A., Sibillano, T., Giannini, C., De Benedetto, G. E., Lunetti, P., Capobianco, L., Blasi, F. S., Sicuro, A., Corallo, A., Sannino, A., & Salvatore, L. (2022). Aquaponics-Derived Tilapia Skin Collagen for Biomaterials Development. Polymers, 14(9), 1865. https://doi.org/10.3390/polym14091865

