A Preliminary Study on Grip-Induced Nerve Damage Caused by a Soft Pneumatic Elastomeric Gripper
Abstract
1. Introduction
2. Materials and Methods
2.1. Soft Hybrid Surgical Gripper
2.2. Rodents
2.3. Surgical Procedures
2.4. Gait Analysis
2.5. Histology
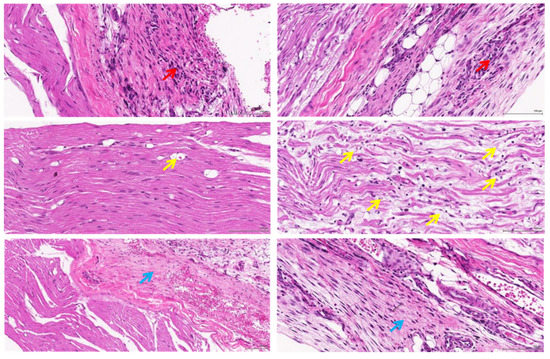
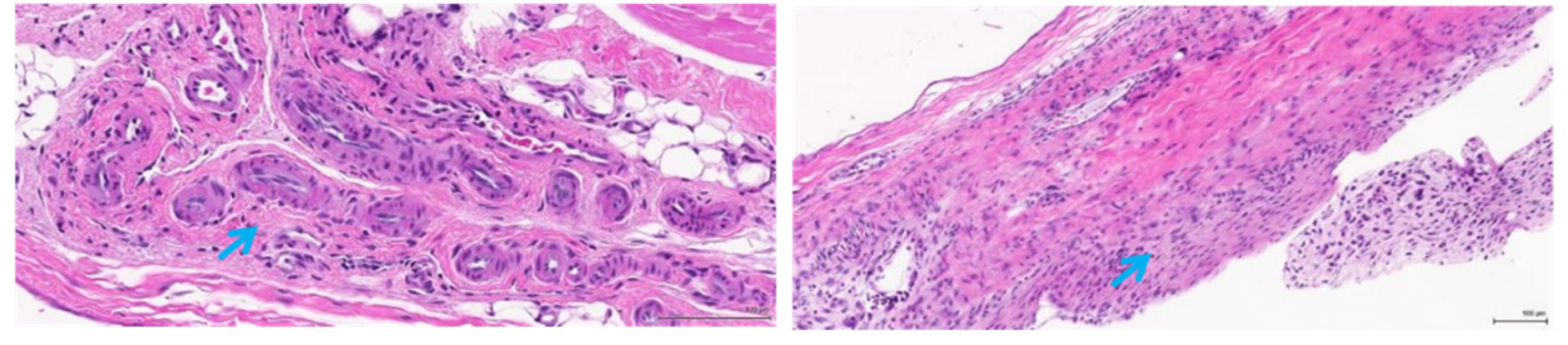
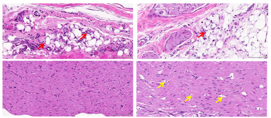
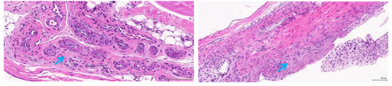
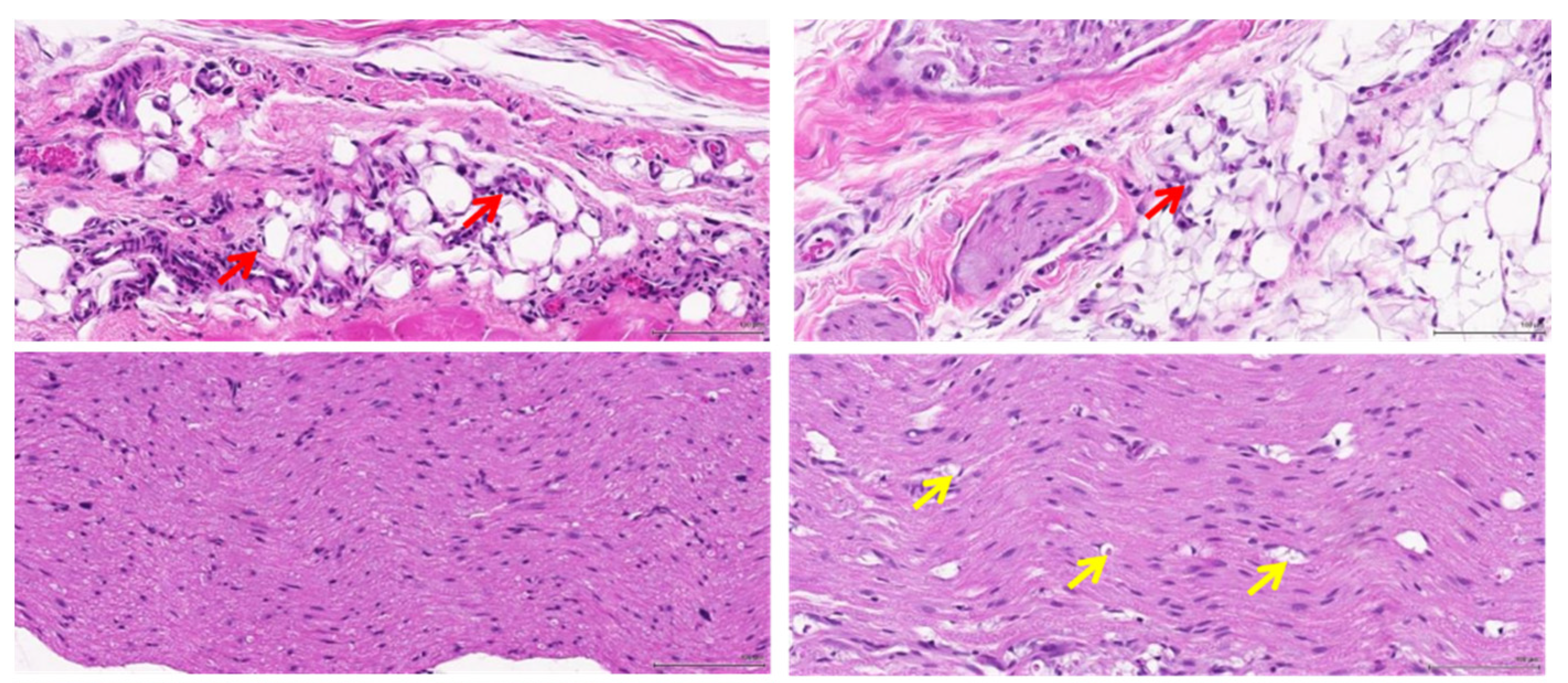
3. Results and Discussion
3.1. Gait Analysis
3.2. Histology
4. Conclusions
Author Contributions
Funding
Institutional Review Board Statement
Data Availability Statement
Acknowledgments
Conflicts of Interest
References
- Tang, B.; Hanna, G.B.; Cuschieri, A. Analysis of errors enacted by surgical trainees during skills training courses. Surgery 2005, 138, 14–20. [Google Scholar] [CrossRef]
- Maddahi, Y.; Huang, J.; Huang, J.; Gan, L.S.; Hoshyarmanesh, H.; Zareinia, K.; Sutherland, G.R. Real-time measurement of tool-tissue interaction forces in neurosurgery: Quantification and analysis. In Proceedings of the IEEE International Conference on Advanced Intelligent Mechatronics (AIM), Banff, AB, Canada, 12–15 July 2016; pp. 1405–1410. [Google Scholar]
- De, S.; Rosen, J.; Dagan, A.; Hannaford, B.; Swanson, P.; Sinanan, M. Assessment of tissue damage due to mechanical stresses. Int. J. Robot. Res. 2007, 26, 1159–1171. [Google Scholar] [CrossRef]
- Sugiyama, T.; Kama, S.; Gan, L.S.; Madahi, Y.; Zareinia, K.; Sutherland, G.R. Forces of tool-tissue interaction to assess surgical skill level. JAMA Surg. 2018, 153, 234–242. [Google Scholar] [CrossRef] [PubMed]
- Barrie, J.; Jayne, D.G.; Neville, A.; Hunter, L.; Hood, A.J.; Culmer, P.R. Real-time measurement of the tool-tissue interaction in minimally invasive abdominal surgery: The first step to developing the next generation of smart laparoscopic instruments. Surg. Innov. 2016, 23, 463–468. [Google Scholar] [CrossRef] [PubMed]
- Hammond, F.L.; Kramer, R.K.; Howe, R.D.; Wood, R.J. Soft tactile sensor arrays for micromanipulation. In Proceedings of the IEEE International Conference on Intelligent Robots and Systems, Vilamoura-Algarve, Portugal, 7–12 October 2012; pp. 25–32. [Google Scholar]
- Hammond, F.L.; Kramer, R.K.; Wan, Q.; Howe, R.D.; Wood, R.J. Soft Tactile Sensor Arrays for Force Feedback in Micromanipulation. IEEE Sens. J. 2014, 14, 1443–1452. [Google Scholar] [CrossRef]
- Herder, J.L.; Horward, M.J.; Sjoerdsma, W. A laparoscopic grasper with force perception. Minim. Invasive Ther. Allied Technol. 1997, 6, 279–286. [Google Scholar] [CrossRef]
- Puangmali, P.; Althoefer, K.; Seneviratne, L.D.; Murphy, D.; Dasgupta, P. State-of-the-art in force and tactile sensing for minimally invasive surgery. IEEE Sens. J. 2008, 8, 371–381. [Google Scholar] [CrossRef]
- Sűmer, B.; Őzin, M.C.; Koç, I.M. The undamaged tissue grasping in a laparoscopic surgical grasper via distributed pressure measurement. Tribol. Int. 2017, 113, 330–337. [Google Scholar] [CrossRef]
- Rukhlenko, I.D.; Farajikhah, S.; Lilley, C.; Georgis, A.; Large, M.; Fleming, S. Performance Optimization of Polymer Fibre Actuators for Soft Robotics. Polymers 2020, 12, 454. [Google Scholar] [CrossRef] [PubMed]
- Laschi, C.; Mazzolai, B.; Cianchetti, M. Soft robotics: Technologies and systems pushing the boundaries of robot abilities. Sci. Robot. 2016, 1, eaah3690. [Google Scholar] [CrossRef]
- Rus, D.; Tolley, M.T. Design, fabrication and control of soft robots. Nature 2015, 521, 467–475. [Google Scholar] [CrossRef] [PubMed]
- Martinez, R.V.; Glavan, A.C.; Keplinger, C.; Oyetibo, A.I.; Whitesides, G.M. Soft Actuators and Robots that Are Resistant to Mechanical Damage. Adv. Funct. Mater. 2014, 24, 3003–3010. [Google Scholar] [CrossRef]
- Cianchetti, M.; Ranzani, T.; Gerboni, G.; Nanayakkara, T.; Althoefer, K.; Dasgupta, P.; Menciassi, A. Soft Robotics Technologies to Address Shortcomings in Today’s Minimally Invasive Surgery: The STIFF-FLOP Approach. Soft Robot. 2014, 1, 122–131. [Google Scholar] [CrossRef]
- Zhao, S.; Wang, Z.; Lei, Y.; Zhang, J.; Li, Y.; Sun, Z.; Gong, Z. 3D-Printed Soft Pneumatic Robotic Digit Based on Parametric Kinematic Model for Finger Action Mimicking. Polymers 2022, 14, 2786. [Google Scholar] [CrossRef] [PubMed]
- Gorissen, B.; Reynaerts, D.; Konishi, S.; Yoshida, K.; Kim, J.W.; Volder, M.D. Elastic Inflatable Actuators for Soft Robotic Applications. Adv. Mater. 2017, 29, 1604977. [Google Scholar] [CrossRef] [PubMed]
- Cianchetti, M.; Laschi, C.; Menciassi, A.; Dario, P. Biomedical applications of soft robotics. Nat. Rev. Mater. 2018, 3, 143–153. [Google Scholar] [CrossRef]
- Qasaimeh, M.A.; Sokhanvar, S.; Dargahi, J.; Kahrizi, M. PVDF-based microfabricated tactile sensor for minimally invasive surgery. J. Microelectromech. Syst. 2009, 18, 195–207. [Google Scholar] [CrossRef]
- Kim, U.; Lee, D.; Yoon, W.J.; Hannaford, B.; Choi, H.R. Force sensor integrated surgical forceps for minimally invasive robotic surgery. IEEE Trans. Robot. 2015, 31, 1214–1224. [Google Scholar] [CrossRef]
- Hubschman, J.P.; Bourges, J.L.; Choi, W.; Mozayan, A.; Tsirbas, A.; Kim, C.J.; Schwartz, S.D. The ‘Microhand’: A new concept of micro-forceps for ocular robotic surgery. Eye 2010, 24, 364–367. [Google Scholar] [CrossRef] [PubMed]
- Lu, Y.W.; Kim, C.J. Microhand for biological applications. Appl. Phys. Lett. 2006, 89, 1641011–1641013. [Google Scholar] [CrossRef]
- Lu, Y.W.; An, Z.; Kim, C.J. A Microhand: Modeling, Manufacturing, and Demonstration. In Proceedings of the IEEE International Conference on Micro Electro Mechanical Systems, Miami Beach, FL, USA, 30 January–3 February 2005; pp. 650–653. [Google Scholar]
- Low, J.H.; Delgado-Martinez, I.; Yeow, C.H. Customizable Soft Pneumatic Chamber-Gripper Devices for Delicate Surgical Manipulation. J. Med. Devices 2014, 8, 044504. [Google Scholar] [CrossRef]
- Rateni, G.; Cianchetti, M.; Ciuti, G.; Menciassi, A.; Laschi, C. Design and development of a soft robotic gripper for manipulation in minimally invasive surgery: A proof of concept. Meccanica 2015, 50, 2855–2863. [Google Scholar] [CrossRef]
- Guo, J.; Low, J.H.; Liang, X.; Lee, J.S.; Wong, Y.; Yeow, C.H. A Hybrid Soft Robotic Surgical Gripper System for Delicate Nerve Manipulation in Digital Nerve Repair Surgery. IEEE/ASME Trans. Mechatron. 2019, 24, 1440–1451. [Google Scholar] [CrossRef]
- Gordon, T.; Borschel, G.H. The use of the rat as a model for studying peripheral nerve regeneration and sprouting after complete and partial nerve injuries. Exp. Neurol. 2017, 287, 331–347. [Google Scholar] [CrossRef] [PubMed]
- Varejão, A.S.P.; Cabrita, A.M.; Patrício, J.A.; Bulas-Cruz, J.; Gabriel, R.C.; Melo-Pinto, P.; Couto, P.A.; Meek, M.F. Functional Assessment of Peripheral Nerve Recovery in the Rat: Gait Kinematics. Microsurgery 2001, 21, 383–388. [Google Scholar] [CrossRef]
- Muheremu, A.; Ao, Q. Past, Present, and Future of Nerve Conduits in the Treatment of Peripheral Nerve Injury. BioMed Res. Int. 2015, 2015, 237507. [Google Scholar] [CrossRef]
- Ducic, I.; Hill, L.; Maher, P.; Al-Attar, A. Perioperative complications in patients undergoing peripheral nerve surgery. Ann. Plast. Surg. 2011, 66, 69–72. [Google Scholar] [CrossRef]
- Ecoflex™ 00-30, SMOOTH-ON. Available online: https://www.smooth-on.com/products/ecoflex-00-30/ (accessed on 12 July 2022).
- Steltz, E.; Mozeika, A.; Rodenberg, N.; Brown, E.; Jaeger, H.M. JSEL: Jamming Skin Enabled Locomotion. In Proceedings of the IEEE International Conference on Intelligent Robots and Systems, St. Louis, MO, USA, 11–15 October 2009; pp. 5672–5677. [Google Scholar]
- Free Walk Box, CleverSys. Available online: http://cleversysinc.com/CleverSysInc/csi_products/free-walk-box/#blank (accessed on 12 July 2022).
- Mann, P.C.; Vahle, J.; Keenan, C.M.; Baker, J.F.; Bradley, A.E.; Goodman, D.G.; Harada, T.; Herbert, R.; Kaufmann, W.; Kellner, R.; et al. International Harmonization of Toxicologic Pathology Nomenclature: An Overview and Review of Basic Principles. Toxicol. Pathol. 2012, 40 (Suppl. S4), 7S–13S. [Google Scholar] [CrossRef]
- Jacobs, B.Y.; Kloefkorn, H.E.; Allen, K.D. Gait Analysis Methods for Rodent Models of Osteoarthritis. Curr. Pain Headache Rep. 2014, 18, 456. [Google Scholar] [CrossRef]
- Meek, M.F.; Klok, F.; Van Der Werff, J.F.A.; Robinson, P.H.; Nicolai, J.-P.A.; Gramsbergen, A. Functional nerve recovery after bridging a 15 mm rat sciatic nerve gap with a biodegradable nerve guide. Scand. J. Plast. Reconstr. Surg. Hand Surg. 2003, 37, 258–265. [Google Scholar] [CrossRef]
- Yu, P.; Matloub, H.S.; Sanger, J.R.; Narini, P. Gait analysis in rats with peripheral nerve injury. Muscle Nerve 2001, 24, 231–239. [Google Scholar] [CrossRef]
- Walker, J.L.; Evans, J.M.; Meade, P.; Resig, P.; Sisken, B.F. Gait-stance duration as measure of injury and recovery in the rat sciatic nerve model. J. Neurosci. Methods 1994, 52, 47–52. [Google Scholar] [CrossRef]
- Vrinten, D.H.; Hamers, F.F. ‘CatWalk’ automated quantitative gait analysis as a novel method to assess mechanical allodynia in the rat; a comparison with von Frey testing. Pain 2003, 102, 203–209. [Google Scholar] [CrossRef]











| Post-Surgical Day | Gripper | Size | SEM | Pressure | SEM | Stance | SEM | Swing | SEM | Overlap | SEM | Stride | SEM |
|---|---|---|---|---|---|---|---|---|---|---|---|---|---|
| D3 | Soft | −0.164 | 0.089 | 0.025 | 0.026 | 0.339 | 0.291 | −0.386 | 0.167 | −0.039 | 0.260 | ||
| Rigid | −0.297 | 0.241 | −0.071 | 0.050 | −0.252 | 0.149 | 8.234 | 6.718 | 0.205 | 0.015 | |||
| D7 | Soft | 0.132 | 0.034 | 0.040 | 0.025 | 0.038 | 0.052 | −0.056 | 0.174 | 0.031 | 0.035 | −0.030 | 0.022 |
| Rigid | −0.202 | 0.164 | −0.019 | 0.040 | 0.007 | 0.006 | 0.127 | 0.063 | 0.099 | 0.134 | 0.054 | 0.030 | |
| D13 | Soft | −0.167 | 0.103 | −0.017 | 0.022 | −0.071 | 0.077 | 0.342 | 0.378 | −0.020 | 0.121 | −0.032 | 0.006 |
| Rigid | −0.298 | 0.117 | −0.090 | 0.020 | 0.027 | 0.054 | 0.219 | 0.298 | −0.049 | 0.082 | 0.012 | 0.008 |
Publisher’s Note: MDPI stays neutral with regard to jurisdictional claims in published maps and institutional affiliations. |
© 2022 by the authors. Licensee MDPI, Basel, Switzerland. This article is an open access article distributed under the terms and conditions of the Creative Commons Attribution (CC BY) license (https://creativecommons.org/licenses/by/4.0/).
Share and Cite
Guo, J.; Low, J.H.; Rajagopal Iyer, V.; Wong, P.; Ong, C.B.; Loh, W.L.; Yeow, C.H. A Preliminary Study on Grip-Induced Nerve Damage Caused by a Soft Pneumatic Elastomeric Gripper. Polymers 2022, 14, 4272. https://doi.org/10.3390/polym14204272
Guo J, Low JH, Rajagopal Iyer V, Wong P, Ong CB, Loh WL, Yeow CH. A Preliminary Study on Grip-Induced Nerve Damage Caused by a Soft Pneumatic Elastomeric Gripper. Polymers. 2022; 14(20):4272. https://doi.org/10.3390/polym14204272
Chicago/Turabian StyleGuo, Jin, Jin Huat Low, Vinaya Rajagopal Iyer, Peiyan Wong, Chee Bing Ong, Wen Lin Loh, and Chen Hua Yeow. 2022. "A Preliminary Study on Grip-Induced Nerve Damage Caused by a Soft Pneumatic Elastomeric Gripper" Polymers 14, no. 20: 4272. https://doi.org/10.3390/polym14204272
APA StyleGuo, J., Low, J. H., Rajagopal Iyer, V., Wong, P., Ong, C. B., Loh, W. L., & Yeow, C. H. (2022). A Preliminary Study on Grip-Induced Nerve Damage Caused by a Soft Pneumatic Elastomeric Gripper. Polymers, 14(20), 4272. https://doi.org/10.3390/polym14204272

