Noncovalent Complexation of Amphotericin B with Poly(β-Amino Ester) Derivates for Treatment of C. Neoformans Infection
Abstract
:1. Introduction
2. Materials and Methods
2.1. Reagents and Materials
2.2. Synthesis of MPEG-PLA-PAE Copolymers
2.3. Preparation and Characterization of AMB-Loaded Nanocomplexes
2.4. HPLC Analysis for the Quantification of AMB
2.5. Activity against C. Neoformans Cells In Vitro
2.6. Pharmacokinetic and Biodistribution Studies
2.7. In Vivo Antifungal Activity of the AMB Nanocomplex
3. Results and Discussion
3.1. Synthesis and Characterization of MPEG-PLA-PAE Copolymers
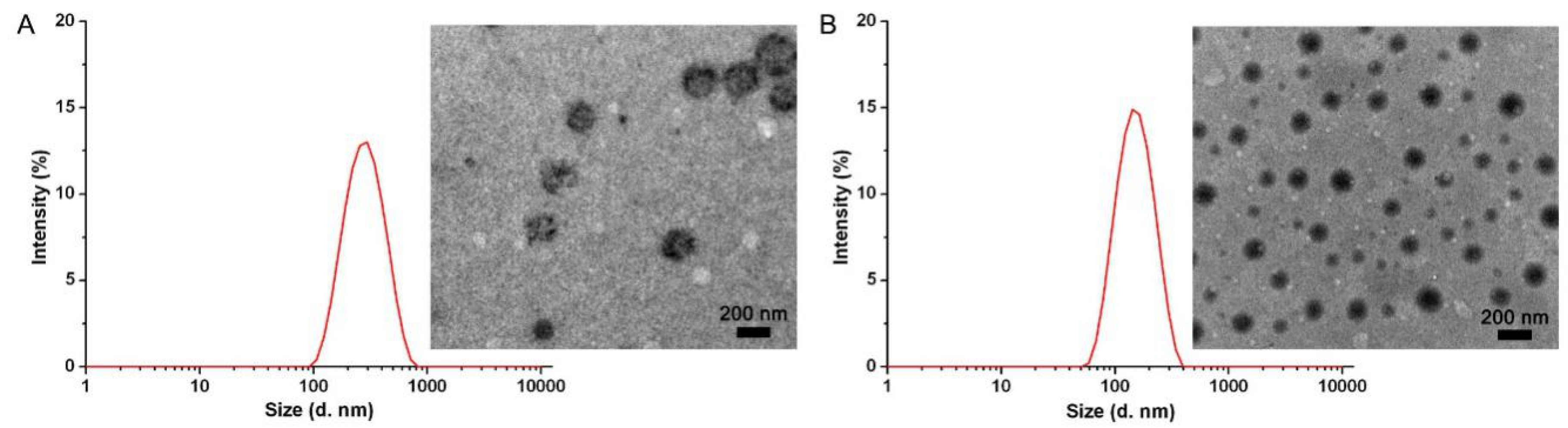
3.2. Characterization of AMB-Loaded Nanocomplexes
3.3. Activity against C. neoformans Cells In Vitro
3.4. Pharmacokinetic and Biodistribution Studies
3.5. In Vivo Antifungal Activity of AMB Nanocomplexes
4. Conclusions
Author Contributions
Funding
Conflicts of Interest
References
- Perfect, J.R.; Bicanic, T. Cryptococcosis diagnosis and treatment: What do we know now. Fungal Genet. Biol. 2015, 78, 49–54. [Google Scholar] [CrossRef] [PubMed]
- Desjardins, C.A.; Giamberardino, C.; Sykes, S.M.; Yu, C.; Tenor, J.L. Population genomics and the evolution of virulence in the fungal pathogen Cryptococcus neoformans. Genome Res. 2017, 27, 1207. [Google Scholar] [CrossRef] [PubMed]
- Huang, W.; Liao, G.; Baker, G.M.; Wang, Y.; Lau, R.; Paderu, P. Lipid Flippase Subunit Cdc50 Mediates Drug Resistance and Virulence in Cryptococcus neoformans. mBio 2016, 7, 16. [Google Scholar] [CrossRef]
- Aversa, F.; Busca, A.; Candoni, A.; Cesaro, S.; Girmenia, C.; Luppi, M. Liposomal amphotericin B (AmBisomeA®) at beginning of its third decade of clinical use. J. Antimicrob. Chemother. 2017, 29, 131–143. [Google Scholar] [CrossRef] [PubMed]
- Steimbach, L.M.; Tonin, F.S.; Virtuoso, S.; Borba, H.H.L.; Sanches, A.C.C. Efficacy and safety of amphotericin B lipid-based formulations-A systematic review and meta-analysis. Mycoses 2017, 60, 146–154. [Google Scholar] [CrossRef] [PubMed]
- Borba, H.H.L.; Steimbach, L.M.; Riveros, B.S.; Tonin, F.S.; Ferreira, V.L.; Bagatim, B.A.D.Q. Cost-effectiveness of amphotericin B formulations in the treatment of systemic fungal infections. Mycoses 2018, 61, 754–763. [Google Scholar] [CrossRef] [PubMed]
- Gupta, P.K.; Jaiswal, A.K.; Kumar, V.; Verma, A.; Dwivedi, P. Covalent Functionalized Self-Assembled Lipo-Polymerosome Bearing Amphotericin B for Better Management of Leishmaniasis and Its Toxicity Evaluation. Mol. Pharm. 2014, 11, 951–963. [Google Scholar] [CrossRef] [PubMed]
- Shao, K.; Huang, R.; Li, J.; Han, L.; Ye, L.; Lou, J.; Jiang, C. Angiopep-2 modified PE-PEG based polymeric micelles for amphotericin B delivery targeted to the brain. J. Control. Release 2010, 147, 118–126. [Google Scholar] [CrossRef]
- Ren, T.; Xu, N.; Cao, C.; Yuan, W.; Yu, X.; Chen, J.; Ren, J. Preparation and Therapeutic Efficacy of Polysorbate-80-Coated Amphotericin B/PLA-b-PEG Nanoparticles. J. Biomater. Sci. Polym. Ed. 2009, 20, 1369–1380. [Google Scholar] [CrossRef]
- Jain, J.P.; Kumar, N. Development of amphotericin B loaded polymersomes based on (PEG)3-PLA co-polymers: Factors affecting size and in vitro evaluation. Eur. J. Pharm. Sci. 2010, 40, 456–465. [Google Scholar] [CrossRef]
- Adams, M.L.; Kwon, G.S. Relative aggregation state and hemolytic activity of amphotericin B encapsulated by poly(ethylene oxide)-block–poly(N-hexyl-l-aspartamide)-acyl conjugate micelles: Effects of acyl chain length. J. Control. Release 2003, 87, 23–32. [Google Scholar] [CrossRef]
- Nahar, M.; Mishra, D.; Dubey, V.; Jain, N.K. Development, characterization, and toxicity evaluation of amphotericin B-loaded gelatin nanoparticles, Nanomedicine: Nanotechnology. Biol. Med. 2008, 4, 252–261. [Google Scholar]
- Mohamed-Ahmed, A.H.A.; Les, K.A.; Seifert, K.; Croft, S.L.; Brocchini, S. Noncovalent Complexation of Amphotericin-B with Poly(α-glutamic acid). Mol. Pharm. 2013, 10, 940–950. [Google Scholar] [CrossRef] [PubMed]
- Bastakoti, B.P.; Guragain, S.; Yokoyama, Y.; Yusa, S.; Nakashima, K. Incorporation and release behavior of amitriptylene in core–shell–corona type triblock copolymer micelles. Colloids Surf. B 2011, 88, 734–740. [Google Scholar] [CrossRef] [PubMed]
- Bastakoti, B.P.; Liao, S.; Inoue, M.; Yusa, S.; Imura, M.; Nakashima, K. pH-responsive polymeric micelles with core-shell-corona architectures as intracellular anti-cancer drug carriers. Sci. Technol. Adv. Mater. 2013, 14, 044402. [Google Scholar] [CrossRef] [PubMed]
- Li, Y.; Ikeda, S.; Nakashima, K.; Nakamura, H. Nanoaggregate formation of poly(ethylene oxide)-b-polymethacrylate copolymer induced by cationic anesthetics binding. Colloid Polym. Sci. 2003, 281, 562–568. [Google Scholar] [CrossRef]
- De Smedt, S.C.; Demeester, J.; Hennink, W.E. Cationic Polymer Based Gene Delivery Systems. Pharm. Res. 2000, 17, 113–126. [Google Scholar] [CrossRef]
- Ohno, S.; Ishihara, K.; Yusa, S. Formation of Polyion Complex (PIC) Micelles and Vesicles with Anionic pH-Responsive Unimer Micelles and Cationic Diblock Copolymers in Water. Langmuir 2016, 32, 3945–3953. [Google Scholar] [CrossRef]
- Hwang, S.J.; Kim, M.S.; Han, J.K.; Lee, D.S. pH-sensitivity control of PEG-poly(β-amino ester) block copolymer micelle. Macromol. Res. 2007, 15, 437–442. [Google Scholar] [CrossRef]
- Ko, J.; Park, K.; Kim, Y.; Kim, M.S.; Han, J.K.; Kim, K. Tumoral acidic extracellular pH targeting of pH-responsive MPEG-poly(β-amino ester) block copolymer micelles for cancer therapy. J. Control. Release 2007, 123, 109–115. [Google Scholar] [CrossRef]
- Min, K.H.; Kim, J.; Bae, S.M.; Shin, H.; Kim, M.S.; Park, S. Tumoral acidic pH-responsive MPEG-poly(β-amino ester) polymeric micelles for cancer targeting therapy. J. Control. Release 2010, 144, 259–266. [Google Scholar] [CrossRef] [PubMed]
- Yu, Y.; Zhang, X.; Qiu, L. The anti-tumor efficacy of curcumin when delivered by size/charge-changing multistage polymeric micelles based on amphiphilic poly(β-amino ester) derivates. Biomaterials 2014, 35, 3467–3479. [Google Scholar] [CrossRef] [PubMed]
- Gondal, J.A.; Swartz, R.P.; Rahman, A. Therapeutic evaluation of free and liposome-encapsulated amphotericin B in the treatment of systemic candidiasis in mice. Antimicrob. Agents Chemother. 1989, 33, 1544–1548. [Google Scholar] [CrossRef] [PubMed]
- Legrand, P.; Romero, E.A.; Cohen, B.E.; Bolard, J. Effects of aggregation and solvent on the toxicity of amphotericin B to human erythrocytes. Antimicrob. Agents Chemother. 1992, 36, 2518–2522. [Google Scholar] [CrossRef] [PubMed]
- Swenson, C.E.; Bolcsak, L.E.; Perkins, W.R.; Janoff, A.S. Lipid-based formulations of amphotericin B. J. Antimicrob. Chemother. 1995, 35, 709–713. [Google Scholar] [CrossRef]
- Espada, R.; Valdespina, S.; Alfonso, C.; Rivas, G. Effect of aggregation state on the toxicity of different amphotericin B preparations. Int. J. Pharm. 2008, 361, 64–69. [Google Scholar] [CrossRef] [PubMed]
- Sánchez-Brunete, J.A.; Dea, M.A.; Rama, S.; Bolás, F.; Alunda, J.M. Amphotericin B Molecular Organization as an Essential Factor to Improve Activity/Toxicity Ratio in the Treatment of Visceral Leishmaniasis. J. Drug Target. 2004, 12, 453–460. [Google Scholar] [CrossRef]
- Espada, R.; Valdespina, S.; Dea, M.A.; Molero, G.; Ballesteros, M.P. In vivo distribution and therapeutic efficacy of a novel amphotericin B poly-aggregated formulation. J. Antimicrob. Chemother. 2008, 61, 1125–1131. [Google Scholar] [CrossRef]
- Jee, J.; McCoy, A.; Mecozzi, S. Encapsulation and Release of Amphotericin B from an ABC Triblock Fluorous Copolymer. Pharm. Res. 2012, 29, 69–82. [Google Scholar] [CrossRef]
- Diezi, T.A.; Bae, Y.; Kwon, G.S. Enhanced stability of PEG-block-poly(N-hexyl stearate l-aspartamide) micelles in the presence of serum proteins. Mol. Pharm. 2010, 7, 1355–1360. [Google Scholar] [CrossRef]
- Yu, Y.; Qiu, L. Optimizing particle size of docetaxel-loaded micelles for enhanced treatment of oral epidermoid carcinoma, Nanomedicine: Nanotechnology. Biol. Med. 2016, 12, 1941–1949. [Google Scholar]
- Zia, Q.; Azhar, A.; Kamal, M.A.; Aliev, G. Super aggregated form of Amphotericin B: A novel way to increase its therapeutic index. Curr. Pharm. Des. 2016, 22, 792–803. [Google Scholar] [CrossRef] [PubMed]
- Barwicz, J.; Christian, S.; Gruda, I. Effects of the aggregation state of amphotericin B on its toxicity to mice. Antimicrob. Agents Chemother. 1992, 36, 2310–2315. [Google Scholar] [CrossRef] [PubMed]
- He, C.; Hu, Y.; Yin, L.; Tang, C.; Yin, C. Effects of particle size and surface charge on cellular uptake and biodistribution of polymeric nanoparticles. Biomaterials 2010, 31, 3657–3666. [Google Scholar] [CrossRef] [PubMed]
- Hirn, S.; Semmler-Behnke, M.; Schleh, C.; Wenk, A.; Lipka, J.; Schäffler, M. Particle size-dependent and surface charge-dependent biodistribution of gold nanoparticles after intravenous administration. Eur. J. Pharm. Biopharm. 2011, 77, 407–416. [Google Scholar] [CrossRef] [PubMed]
- Xiao, K.; Li, Y.; Luo, J.; Lee, J.S.; Xiao, W.; Gonik, A.M. The effect of surface charge on in vivo biodistribution of PEG-oligocholic acid based micellar nanoparticles. Biomaterials 2011, 32, 3435–3446. [Google Scholar] [CrossRef] [PubMed]
- Ogris, M.; Brunner, S.; Schüller, S.; Kircheis, R.; Wagner, E. PEGylated DNA/transferrin–PEI complexes: Reduced interaction with blood components, extended circulation in blood and potential for systemic gene delivery. Gene Ther. 1999, 6, 595. [Google Scholar] [CrossRef]
Sample | Encapsulation Efficiency (%) | I/IV | Size (nm) | Polydispersity Index (PDI) | Zeta Potential (mV) | MIC (μg/mL) |
---|---|---|---|---|---|---|
AMB | - | 4.0 | - | - | - | 0.5 |
MPEG-PLA | - | - | 20.4 ± 1.4 | 1.08 ± 0.02 | 2.8 ± 0.2 | - |
MPEG-PLA-PAE | - | - | 106.4 ± 2.9 | 1.13 ± 0.02 | 27.0 ± 0.6 | - |
AMB/MPEG-PLA | 71.2 ± 2.5 | 2.6 | 205.7 ± 3.5 | 1.12 ± 0.02 | 10.7 ± 0.8 | 0.5 |
AMB/MPEG-PLA-PAE | 95.6 ± 1.2 | 8.5 | 115.8 ± 2.8 | 1.22 ± 0.03 | 35.1 ± 1.2 | 0.5–1 |
AMB/DMSO | - | 0.3 | - | - | - | - |
Pharmacokinetic Parameter | Value for Formulation (mean ± SD) | ||
---|---|---|---|
AMB | AMB/MPEG-PLA | AMB/MPEG-PLA-PAE | |
AUC0–t (mg·h/L) | 3.47 ± 0.18 | 2.42 ± 0.19 | 1.59± 0.07 |
AUMC0–t (mg·h2/L) | 6.29 ± 0.51 | 5.46 ± 0.51 | 3.85 ± 0.18 |
t1/2z (h) | 4.02 ± 0.03 | 3.59 ± 0.06 | 3.57 ± 0.07 |
Vz (L/kg) | 1.41 ± 0.07 | 1.76 ± 0.12 | 2.74 ± 0.09 |
CLz (L/h/kg) | 0.24 ± 0.01 | 0.34 ± 0.03 | 0.53 ± 0.03 |
© 2019 by the authors. Licensee MDPI, Basel, Switzerland. This article is an open access article distributed under the terms and conditions of the Creative Commons Attribution (CC BY) license (http://creativecommons.org/licenses/by/4.0/).
Share and Cite
Yu, Y.; Peng, L.; Liao, G.; Chen, Z.; Li, C. Noncovalent Complexation of Amphotericin B with Poly(β-Amino Ester) Derivates for Treatment of C. Neoformans Infection. Polymers 2019, 11, 270. https://doi.org/10.3390/polym11020270
Yu Y, Peng L, Liao G, Chen Z, Li C. Noncovalent Complexation of Amphotericin B with Poly(β-Amino Ester) Derivates for Treatment of C. Neoformans Infection. Polymers. 2019; 11(2):270. https://doi.org/10.3390/polym11020270
Chicago/Turabian StyleYu, Yang, Li Peng, Guojian Liao, Zhangbao Chen, and Chong Li. 2019. "Noncovalent Complexation of Amphotericin B with Poly(β-Amino Ester) Derivates for Treatment of C. Neoformans Infection" Polymers 11, no. 2: 270. https://doi.org/10.3390/polym11020270
APA StyleYu, Y., Peng, L., Liao, G., Chen, Z., & Li, C. (2019). Noncovalent Complexation of Amphotericin B with Poly(β-Amino Ester) Derivates for Treatment of C. Neoformans Infection. Polymers, 11(2), 270. https://doi.org/10.3390/polym11020270