Abstract
Pd nanoparticles (NPs) supported on amine-functionalized layered double hydroxides (LDHs) (Pd/NH2-LDH-NS) were successfully obtained by implanting aminopropyltriethoxysilane (APTS) on MgAl LDH nanosheets (LDH-NS), followed by impregnating [Pd(NH3)4]Cl2 and reduction with NaBH4. The physicochemical characteristics of the obtained Pd/NH2-LDH-NS were characterized by X-ray diffraction (XRD), Fourier transform infrared (FT-IR),, N2 adsorption–desorption, inductive coupled plasma (ICP), transmission electron microscopy (TEM) and X-ray photoelectron spectroscopy(XPS), and their catalytic performance was tested in the selective oxidation of benzyl alcohol with molecular oxygen under solvent-free and base-free conditions. The results showed that the implanted –NH2 groups can promote the dispersion of the supported Pd NPs via complexation of the implanted –NH2 groups to Pd NPs, and they can increase the surface basicity of the catalysts, thus enhancing the catalytic activity and selectivity to benzylaldehyde. Pd/NH2-LDH-NS exhibited enhanced catalytic activity (31.6%) and selectivity (>98%) compared to the corresponding Pd/LDH-NS, Pd/LDH, Pd/SiO2, and Pd/Al2O3. Moreover, Pd/NH2-LDH-NS was remarkably stable and could be reused at least four times without a significant loss in activity and selectivity.
1. Introduction
Liquid-phase selective oxidation of alcohols to the corresponding aldehydes or ketones is an important fundamental transformation in industry for the manufacture of fine chemicals and highly valuable intermediates [1,2,3]. Generally, the transformation involves using stoichiometric oxidants (e.g., chromate and permanganate), organic solvents, or base additives [4,5,6,7,8], which inevitably cause serious environmental problems. Therefore, from the viewpoint of green and sustainable chemistry, the development of heterogeneous catalytic processes, using molecular oxygen as the only oxidant and operating at atmospheric pressure in the absence of any solvent or additives, is very attractive. Noble metal-based catalysts, due to their very high catalytic activities in alcohol oxidation, are potential catalysts for implementing aerobic oxidation of alcohol under mild reaction conditions in the absence of solvents [9,10,11]. Among the various noble metal-based catalysts, Pd-based catalysts outperform other noble metal-based catalysts in the selective oxidation of alcohol with molecular oxygen [12,13]. For Pd-based catalysts, their catalytic properties are highly dependent on the size of the supported Pd nanoparticles (Pd NPs), and small-sized Pd NPs with a high dispersion usually lead to a high activity [14,15,16,17]. The nature of the supports and the interaction between the supported Pd NPs and the supports have great influence on the size of the supported Pd NPs [18,19,20]. The appropriate supports should have high surface areas, as well as strong interactions with the supported Pd NPs, to reduce their mobility or aggregation. In addition, the surface acidic/basic properties of the supports are also an important factor affecting the catalytic performance of Pd-based catalyst in aerobic oxidation of alcohol. For example, Xu et al. [18] supported Pd NPs on mesoporous carbon nitride and found that the nitrogen-containing basic sites on the support not only dispersed the Pd NPs well, but also facilitated the activation of the alcohol substrate. Hutchings et al. [19,20] demonstrated that basic supports can switch off the disproportionation of benzyl alcohol (2 mol of benzyl alcohol into an equimolar mixture of benzaldehyde and toluene), thereby enhancing the selectivity to benzaldehyde during aerobic oxidation of benzyl alcohol. Consequently, for aerobic oxidation of alcohol, the ideal supports for supporting Pd NPs should not only have high surface areas and strong interactions with the supported Pd NPs, but also have appropriate acidic/basic properties.
Layered double hydroxides (LDHs) receive considerable attention due to their positively charged two-dimensional mixed hydroxide nanosheets, interlayer exchangeable anions, and adjustable surface basicity [21]. MgAl LDHs supporting Ru, Pd, and Au NPs presented good efficiencies for oxidation of alcohols without basic additives [22]. However, improvements to these catalysts are still needed, especially in the selective solvent-free oxidation of alcohols with molecular oxygen. In order to improve the catalytic efficiencies of the prepared LDH-supported catalysts in aerobic alcohol oxidation, tuning the LDH support’s basicity to facilitate the activation of alcohol molecules and decreasing the particle size of the supported NPs are two important strategies. Implanting amine groups on LDHs is an efficient way to improve the basicity of LDHs, and amine-modified LDHs showed high CO2 adsorption capacity [23]. Additionally, the amine groups also show stable and strong complexation ability with Pd NPs, which also promotes the dispersion of Pd NPs and the structural stability of the catalyst system [24]. Nevertheless, it is difficult to implant amine groups on LDHs synthesized via the traditional method due to their low specific area [25]. Exfoliation of LDHs is an efficient method to solve this problem. LDH nanosheets, obtained via delamination, have large surface areas, and they can offer adequate surface hydroxyl groups for implanting amine groups. However, the exfoliation of LDHs usually requires insertion of an anion into the interlayers in a suitable dispersant medium [26] because of the high charge density and the strong interlayer interactions [26,27,28]. The complicated exfoliation procedures limit the application of LDH nanosheets. In recent years, a novel and efficient method, called AMOST (aqueous miscible organic solvent treatment), was applied to prepare the highly porous dispersed and delaminated LDH powders [27]. This method is advantageous for preparing amine-functionalized LDHs.
Inspired by the present work, NH2-LDH-NS, obtained via implanting 3-aminopropyl triethoxysilane (APTS) on LDH nanosheets obtained using the AMOST method, were applied as the support for Pd loading. The effects of the –NH2 groups on the physical–chemical properties of the prepared Pd/NH2-LDH-NS were investigated by XRD, FT-IR, N2 adsorption–desorption, ICP, TEM, and XPS, and their catalytic performance was tested in the selective oxidation of benzyl alcohol with molecular oxygen under solvent-free and base-free conditions.
2. Results and Discussion
2.1. Characterization of LDH-NS and NH2-LDH-NS
The successful synthesis of LDH-NS and NH2-LDH-NS could be supported via XRD, SEM, N2 adsorption, FT-IR, and elemental analysis. No Bragg reflections of LDHs were found in the XRD pattern of LDH-NS; nevertheless, a series of LDH Bragg diffraction peaks were shown by treating LDH-NS with Na2CO3 aqueous solution (LDH-CO3) (Figure S1, Supplementary Materials). Upon implanting APTS on LDH-NS, the obtained NH2-LDH-NS showed similar reflections to LDH-NS (Figure S1, Supplementary Materials). The results revealed that LDH-NS was completely exfoliated into nanosheets, and the implanting APTS had little influence on the structure of the prepared LDH nanosheets. SEM images (Figure S2, Supplementary Materials) showed that LDH synthesized by co-precipitation consisted of thick and large sheets, while LDH-NS exhibited a rose-petal morphology, and NH2-LDH-NS showed a cabbage morphology consisting of nanosheets. LDH-NS showed a much larger surface area than LDH (Table S1, Supplementary Materials), further confirming that the obtained sample was fully exfoliated. Moreover, NH2-LDH-NS gave a higher surface area and pore volume than LDH-NS (Table S1, Supplementary Materials). This is because implanting APTS can enhance the hydrophobicity of LDH-NS and decrease the level of aggregation among LDH-NS. Successful implantation of APTS on LDH-NS could be further verified by FT-IR (Figure S3, Supplementary Materials) and elemental analysis (Table 1). The bands at 2923 and 2856 cm−1 were attributed to the C–H stretching vibration of –CH2 groups in APTS [29,30]. The band at 1572 cm−1, assigned to the bending vibration of –NH2 [31], could be unambiguously found in the FT-IR spectrum of NH2-LDH-NS, whereas those bands were absent in the FT-IR spectrum of LDH-NS. The bands at 1374 and 1382 cm−1 were ascribed to the vibration of carbonate anion and nitrate anion. ICP analysis also showed that the implanted APTS amount could be modulated in a certain range. The implanted APTS can enhance the basicity of the LDH support, and the basicity increased with the APTS amount, which was confirmed by the CO2 adsorption results reported in our previous work [32].
Table 1.
Physicochemical properties of the samples.
2.2. Characterization of Pd-Supported Catalysts
The XRD patterns of the diverse supported Pd samples are shown in Figure 1. Upon supporting Pd NPs, the XRD patterns of Pd/LDH-NS and Pd/NH2-LDH-NS showed weak characteristic reflections attributed to LDHs, implying that the prepared LDH nanosheets restacked together in the process of loading Pd NPs, and the APTS implanted on LDH-NS could not completely prevent the restack of the LDH nanosheets. Notably, the diffractions associated with Pd were not found, which might be related to the low Pd loading or the ultra-small size of Pd NPs on the supports.
Figure 1.
XRD patterns of the different Pd-supported samples.
Table 1 gives the physicochemical properties of the diverse Pd-supported samples. From Table 1, it can be observed that Pd/LDH showed a similar specific area to LDH, but the surface areas of Pd/LDH-NS and Pd/NH2-LDH-NS were much lower than their corresponding supports. This is mainly due to the restacking of LDH sheets in the process of loading Pd NPs, which was in agreement with the XRD results.
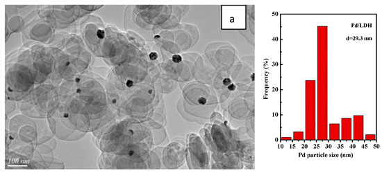
Figure 2 shows the TEM images of the different Pd-supported samples. Pd/LDH exhibited a wide Pd particle distribution scattered around 29.3 nm. The standard deviation (σ) was 14.0 nm. In comparison, Pd/LDH-NS presented narrow size distribution centered at 15.2 nm (σ = 6.4 nm), and Pd/NH2-LDH-NS displayed highly dispersed Pd NPs with a mean size of only 4.1 nm (σ = 9.0 nm). It was obvious that the properties of the supports greatly influenced the dispersion of the supported Pd NPs. Compared with LDH-NS, the lower surface area of LDH greatly limited the dispersion of the supported Pd NPs, thereby resulting in Pd NPs with larger particle size. In the case of Pd/NH2-LDH-NS, the high dispersion of the supported Pd NPs could be attributed to not only the large specific surface area of NH2-LDH-NS, but also the strong complexation ability of the implanted –NH2 groups to Pd NPs, which promoted the dispersion of Pd NPs.

Figure 2.
TEM images of Pd/LDH (a), Pd/LDH-NS (b), and Pd/NH2-LDH-NS (c).
XPS analysis was used to investigate the surface properties of the prepared Pd-supported catalysts. The related result is displayed in Figure 3. The binding energies of Pd 3d5/2 (3d3/2) were found to be 336.2 eV (341.5 eV) for Pd/LDH and Pd/LDH-NS. In contrast, a lower binding energy of 335.8 eV (341.1 eV) was observed on Pd/NH2-LDH-NS, which is indicative of electron transfer from N to Pd [33,34,35].
Figure 3.
XPS spectra of Pd/LDH (a), Pd/LDH-NS (b), and Pd/NH2-LDH-NS (c).
2.3. Solvent-Free Selective Oxidation of Benzyl Alcohol
2.3.1. Catalytic Performance of the Prepared Different Catalysts
Table 2 lists the catalytic results of the various Pd catalysts in solvent-free selective oxidation of benzyl alcohol to benzaldehyde with molecular oxygen at atmospheric pressure without basic additives. Pristine LDH, LDH-NS, and NH2-LDH-NS showed a trace conversion for benzyl alcohol. In contrast, the various prepared Pd catalysts gave obvious conversions with benzaldehyde as the main product, indicating that the supported Pd NPs were the active sites for the alcohol oxidation. However, it was unexpected that Pd/LDH-NS gave a lower conversion than Pd/LDH, even if it had a higher Pd content and dispersion than the latter. This result can be attributed to the location and the accessibility of the supported Pd NPs. In Pd/LDH, the Pd NPs were located on the surface of LDH, whereas, in Pd/LDH-NS, some of the Pd NPs would have been embedded in the interlayers of the restacked LDH, thereby decreasing the accessibility of these Pd NPs to act as reactants. The turn over number (TON) values of Pd/LDH and Pd/LDH-NS were 5989 and 2511, respectively. Pd/NH2-LDH-NS displayed the best catalytic activity with a conversion of 31.6% and TON of 14,827, which was 2.5 times higher than Pd/LDH and 4.4 times higher than Pd/LDH-NS. Moreover, Pd/NH2-LDH-NS exhibited the highest selectivity toward benzaldehyde (98.5%). Many studies showed that, for metal-supported catalysts, the particle size of metal NPs and the basicity of the supports are two determining factors in alcohol oxidation with molecular oxygen [16,17,18,19,20]. The metal NPs with a small size hold more coordinatively unsaturated metal atoms, which are highly catalytic active [16,17], while the enhancement of the basicity of the support can generally facilitate the activation of alcohol molecules and, thus, increase the reaction activity [18,20]. Therefore, the superior catalytic performance of Pd/NH2-LDH-NS to Pd/LDH and Pd/LDH-NS can be ascribed to its smaller particle size of Pd NPs and enhanced basicity. In addition, although NH2-LDH-NS nanosheets were also restacked in the process of loading Pd NPs, the restacking degree was not heavy as that of unfunctionalized LDH nanosheets due to the inhibitory effects of the implanted silane, which can be evidenced by the weaker XRD reflection intensity of Pd/NH2-LDH-NS than Pd/LDH-NS. Therefore, compared to Pd/LDH-NS, more Pd NPs in Pd/NH2-LDH-NS were exposed and accessible to reactants. Apart from the higher activity, Pd/NH2-LDH-NS also exhibited higher selectivity to benzaldehyde (98.6%) than Pd/LDH-NS (90.9%).
Table 2.
Catalytic results of diverse samples in aerobic oxidation of benzyl alcohol.
2.3.2. Effect of the Implanted APTS
Pd/NH2-LDH-NS catalysts with various amine contents were obtained by adjusting the APTS amount of the toluene solution in the implanting process, and their catalytic performance was also investigated. As shown in Table 3, the catalytic activity of the prepared Pd/NH2-LDH-NS catalysts enhanced with the increase in APTS amount, and then basically no longer enhanced until the implanted APTS amount was up to 0.44 mmol/g.
Table 3.
Effects of the implanted amount of APTS on catalytic performance of the prepared catalysts.
2.3.3. Effect of Pd Loading Amount
Table 4 lists the catalytic results of catalysts with different Pd loading amounts. It is clear that, under the same reaction conditions, almost no conversion of benzyl alcohol occurred over NH2-LDH-NS (Entry 1) alone. For Pd/NH2-LDH-NS catalysts, the benzyl alcohol conversion monotonically increased to 16.4% with a 0.25% Pd loading amount and to 31.6% with a 0.55% Pd loading amount. However, upon further increasing Pd loading amount to 1.0% Pd, the conversion (37.1%) did not increase sharply. This was probably due to the agglomeration of partial Pd NPs under high loading amount [18].
Table 4.
Catalytic results over Pd/NH2-LDH-NS catalysts with the different Pd loadings.
2.3.4. Effect of Reaction Time
Figure 4 shows the effect of reaction time on the activity and selectivity of Pd/NH2-LDH-NS. As shown in Figure 4, the conversion of benzyl alcohol increased with the prolonged time, and the conversion reached 51.7% after 10 h. The selectivity to benzaldehyde almost remained at 98% within 4 h, but gradually decreased after 4 h. After 10 h, the selectivity to benzaldehyde was only 88.7%. This was caused by the further oxidation of benzaldehyde into benzoic acid.
Figure 4.
Effect of reaction time on the conversion of benzyl alcohol and product selectivity.
2.3.5. Effect of Supports
Table 5 compares the catalytic performance of the Pd supported on different supports. Apparently, Pd/NH2-LDH-NS showed higher activity and selectivity in benzyl alcohol oxidation than Pd/Al2O3 and Pd/SiO2. In particular, more toluene byproduct in the reaction products was detected for Pd/Al2O3, which might have resulted from the acidity of the Al2O3 support [18]. Pd/SiO2 also showed a lower reaction activity and benzaldehyde selectivity.
Table 5.
Effect of the supports on the catalytic performance of the Pd-supported catalysts in benzyl alcohol oxidation.
2.3.6. Reusability
The catalytic stability is always an important factor that we have to take into consideration. Thus, the reusability of the Pd/NH2-LDH-NS was tested. The catalyst was recovered after each reaction run by centrifugation, and then it was washed, dried, and reused for the next run under identical reaction conditions. As shown in Figure 5, it is noteworthy that the conversion of benzyl alcohol still remained high on the fourth run, while the selectivity toward benzaldehyde slightly decreased, confirming that Pd/NH2-LDH-NS was relatively stable in such a heterogeneous system. It was verified whether the catalyst really acted as heterogeneous catalysts using a hot filtration experiment. After a reaction time of 2 h, by instant filtration, the Pd/NH2-LDH-NS catalyst was immediately separated from the reaction mixture, while the filtrate continued to proceed for another 4 h. The result showed that the conversion of benzyl alcohol had no appreciable increase, further revealing that no observable leaching of Pd from the catalyst occurred. In addition, the ICP measurement showed that the Pd content after four reaction cycles was almost the same as that of the fresh catalyst.
Figure 5.
Reusability of Pd/NH2-LDH-NS.
2.4. Plausible Mechanism of Enhancement
The catalytic mechanism of selective oxidation of benzyl alcohol catalyzed by Pd or other noble metal species generally involves the following steps: (I) the oxygen adsorption onto the Pd surface to form surface oxygen, which reacts with the alcohol proton, yielding alkoxy species; (II) β-H elimination of the alkoxy intermediates and transformation into aldehyde; step (II) is regarded as the rate-determining step in the overall catalytic oxidation of alcohol [36,37]. For Pd/NH2-LDH-NS catalyst, benzyl alcohol can be adsorbed onto basic sites (MgOH) on the LDH surface which is beneficial to the formation of alkoxy intermediates [38], while the –NH2 groups implanted on LDH nanosheets can strength the basicity of the catalysts, which is in favor of the β-H elimination of the alkoxy intermediates, thereby greatly promoting the activity of supported Pd NPs. On the other hand, the –NH2 groups can serve as anchoring sites for Pd NPs, resulting in a higher distribution and smaller size of Pd NPs, as well as good stability. Therefore, the high activity, selectivity, and stability exhibited by the obtained Pd/NH2-LDH-NS catalysts can be attributed to contributions from small supported Pd NPs and the basicity from MgAl LDH nanosheets and implanted –NH2 groups.
3. Materials and Methods
3.1. Materials
SiO2 and Al2O3 were purchased from the Nankai University Catalyst limited company. Aminopropyltriethoxysilane (APTS) was obtained from Alfa Aesar (Shanghai, China). Other chemical reagents were purchased from Sinopharm Chemical Reagent limited company (Shanghai, China). The purchased reagents were used without any purification.
3.2. Preparation of the Catalyst
3.2.1. Preparation of the Amine-Functionalized MgAl LDH Nanosheets
With the AMOST method, the MgAl LDH nanosheets (LDH-NS) and the MgAl amine-functionalized LDH nanosheets (NH2-LDH-NS) were synthesized [27,28,29] (see Supplementary Materials). According to the amount of implanted APTS (0.436, 0.136, 0.250, and 0.702 mmol), the obtained samples were denoted as NH2-LDH-NS and NH2-LDH-NS-x (x = 1, 2, and 3), respectively.
3.2.2. Supporting Pd NPs on NH2-LDH-NS
Pd NPs were supported on NH2-LDH-NS using the impregnation and reduction method. Typically, 1.00 g of NH2-LDH-NS was added to 20 mL of aqueous solution containing a certain amount of [Pd(NH3)4]Cl2. After the mixture was stirred at room temperature for 14 h, NaBH4 aqueous solution (0.1 M) was added into the mixture (NaBH4/metal (mol) = 5) at room temperature and stirred for 2 h. After centrifugation, washing, and drying under vacuum, Pd/NH2-LDH-NS catalyst was obtained. For comparison, Pd NPs supported on LDH, LDH-NS, commercial SiO2, and Al2O3 were also prepared according to the same method, and the obtained catalysts were denoted as Pd/LDH, Pd/LDH-NS, Pd/NH2-LDH-NS, Pd/SiO2, and Pd/Al2O3, respectively.
3.3. Characterizations
Powder X-ray diffraction (XRD) patterns were performed on a Shimazu XRD-6000 diffractometer using Cu Kα radiation over a 2θ range from 2° to 65°. Fourier-transform infrared (FT-IR) spectra were collected by a SHIMADZU FT-IR Affinity-1 spectrometer using the conventional KBr pellet method. TEM images were obtained on a GG314-JEM-2100F instrument. Physisorption of N2 was performed at 77 K using a Quantachrone Nova 1200e. Before the measurement, the samples were degassed at 423 K for 3 h. The surface area was calculated by the BET method. Inductively coupled plasma (ICP) was used to analysis the APTS implantation amounts of NH2-LDH-NS via the Si quantities. An ICPA6300 inductively coupled plasma (ICP) atomic emission spectrometer was used to measure the Pd contents of the samples. X-ray photoelectron spectroscopy (XPS) spectra were obtained on a Thermo Scientific ESCALAB250Xi spectrometer.
3.4. Catalytic Evaluation
The solvent-free aerobic oxidation of benzyl alcohol was performed using a 25-mL two-necked glass flask with a reflux condenser under magnetic stirring. Firstly, 48.5 mmol (5 mL) of benzyl alcohol was added into the flask pre-charged with 0.02 g of catalyst. The oxygen was bubbled through the reaction mixture with a flow rate of 20 mL/min, and the flask was heated at 140 °C for 4 h. After the reaction, the catalyst was separated by centrifugation, and the liquid phase was analyzed using a SHIMADZU GC-2014 equipped with an FID detector and an RTX-1 capillary column. Dodecane was used as the internal standard to calculate benzyl alcohol conversion and benzaldehyde selectivity. The TON was calculated, where TON = the number of molecules of the substrate transformed in the reaction/the number of active sites of the catalyst involved in the reaction.
4. Conclusions
Pd NPs supported on amine-functionalized LDHs were synthesized by implanting APTS on MgAl LDH nanosheets followed by impregnating [Pd(NH3)4]Cl2 and reduction with NaBH4. The implanted –NH2 groups can promote the dispersion of the supported Pd NPs via the complexation ability of the implanted –NH2 groups to Pd NPs, and they can increase the surface basicity of the catalyst. Pd/NH2-LDH-NS exhibited enhanced catalytic activity and selectivity compared to the corresponding Pd/LDH-NS, Pd/LDH, Pd/SiO2, and Pd/Al2O3. Moreover, Pd/NH2-LDH-NS was remarkably stable and could be reused at least four times without a significant loss in activity and selectivity.
Supplementary Materials
The following are available online at https://www.mdpi.com/2073-4344/9/12/1038/s1: Figure S1. XRD patterns of LDH, LDH-NS, and NH2-LDH-NS; Figure S2. SEM images of the synthesized LDH (A), LDH-NS (B), and NH2-LDH-NS (C); Figure S3. FT-IR spectra of the prepared LDH, LDH-NS, and NH2-LDH-NS; Table S1. Textural properties of the prepared LDH, LDH-NS, and NH2-LDH-NS.
Author Contributions
Conceptualization and proposed methodology, X.S. and W.G.; investigation, W.G. and H.Z.; writing—original draft, X.S. and W.G.; writing—review and editing, X.S., B.X., B.F., and R.L.
Funding
This research was funded by the Natural Science Foundation of China (Grant No. 21576177), the Shanxi Provincial Key Innovative Research Team in Science and Technology (Grant No. 2014131006), the Shanxi Province Science Foundation for Youth (Grant No. 201701D221044), the Scientific and Technological Innovation Program of Higher Education Institutions in Shanxi (Grant No. 2017127), the China Scholarship Council (Grant No. 201608140194), and the Youth Science Foundation of TYUT (Grant No. 2017QN21).
Acknowledgments
The authors are grateful for the financial support from the Natural Science Foundation of China (Grant No. 21576177), the Shanxi Provincial Key Innovative Research Team in Science and Technology (Grant No. 2014131006), the Shanxi Province Science Foundation for Youth (Grant No. 201701D221044), the Scientific and Technological Innovation Program of Higher Education Institutions in Shanxi (Grant No. 2017127), the China Scholarship Council (Grant No. 201608140194), and the Youth Science Foundation of TYUT (Grant No. 2017QN21).
Conflicts of Interest
The authors declare no conflicts of interest.
References
- Sheldon, R.A.; Arends, I.; Dijksman, A. New developments in catalytic alcohol oxidations for fine chemicals synthesis. Catal. Today 2000, 57, 157–166. [Google Scholar] [CrossRef]
- Sheldon, R.A.; Kochi, J.K. Metal-catalyzed oxidations of organic compounds in the liquid phase: A mechanistic approach. Adv. Catal. 1976, 25, 272–413. [Google Scholar]
- Davis, S.E.; Ide, M.S.; Davis, R.J. Selective oxidation of alcohols and aldehydes over supported metal nanoparticles. Green Chem. 2013, 15, 17–45. [Google Scholar] [CrossRef]
- Guo, Z.; Liu, B.; Zhang, Q.; Deng, W.; Wang, Y.; Yang, Y. Recent advances in heterogeneous selective oxidation catalysis for sustainable chemistry. Chem. Soc. Rev. 2014, 43, 3480–3524. [Google Scholar] [CrossRef]
- Naik, R.; Nizam, A.; Siddekha, A.; Pasha, M. An efficient sonochemical oxidation of benzyl alcohols into benzaldehydes by FeCl3/HNO3 in acetone. Ultrason. Sonochem. 2011, 18, 1124–1127. [Google Scholar] [CrossRef]
- Rahimi, R.; Gholamrezapor, E.; Naimi-jamal, M.R. Oxidation of benzyl alcohols to the corresponding carbonyl compounds catalyzed by copper (II) meso-tetra phenyl porphyrin as cytochrome P-450 model reaction. Inorg. Chem. Commun. 2011, 14, 1561–1568. [Google Scholar] [CrossRef]
- Schultz, M.J.; Sigman, M.S. Recent advances in homogeneous transition metal-catalyzed aerobic alcohol oxidations. Tetrahedron 2006, 35, 8227–8241. [Google Scholar] [CrossRef]
- Zheng, N.; Stucky, G.D. Promoting gold nanocatalysts in solvent-free selective aerobic oxidation of alcohols. Chem. Commun. 2007, 37, 3862–3864. [Google Scholar] [CrossRef]
- Tan, H.T.; Chen, Y.T.; Zhou, C.M.; Jia, X.L.; Zhu, J.X.; Chen, J.; Rui, X.H.; Yan, Q.Y.; Yang, Y.H. Palladium nanoparticles supported on manganese oxide-CNT composites for solvent-free aerobic oxidation of alcohols: Tuning the properties of Pd active sites using MnOx. APPL. Catal. B Environ. 2012, 119-120, 166–174. [Google Scholar] [CrossRef]
- Dimitratos, N.; Lopezsanchez, J.A.; Morgan, D.; Carley, A.F.; Tiruvalam, R.; Kiely, C.J.; Bethell, D.; Hutchings, G.J. Solvent-free oxidation of benzyl alcohol using Au-Pd catalysts prepared by sol immobilization. Phys. Chem. Chem. Phys. 2009, 11, 5142–5153. [Google Scholar] [CrossRef]
- Wang, L.C.; Liu, Y.M.; Chen, M.; Cao, Y.; He, H.Y.; Fan, K.N. MnO2 nanorod supported gold nanoparticles with enhanced activity for solvent-free aerobic alcohol oxidation. J. Phys. Chem. C 2008, 112, 6981–6987. [Google Scholar] [CrossRef]
- Chen, J.; Zhang, Q.; Wang, Y.; Wan, H. Size-dependent catalytic cctivity of supported palladium nanoparticles for aerobic oxidation of alcohols. Adv. Synth. Catal. 2008, 350, 453–464. [Google Scholar] [CrossRef]
- Choi, K.M.; Akita, T.; Mizugaki, T.; Ebitani, K.; Kaneda, K. Highly selective oxidation of allylic alcohols catalysed by monodispersed 8-shell Pd nanoclusters in the presence of molecular oxygen. New J. Chem. 2003, 27, 324–328. [Google Scholar] [CrossRef]
- Hu, Z.; Zhou, G.; Xu, L.; Yang, J.; Zhang, B.; Xiang, X. Preparation of ternary Pd/CeO2-nitrogen doped graphene composites as recyclable catalysts for solvent-free aerobic oxidation of benzyl alcohol. Appl. Surf. Sci. 2019, 471, 852–861. [Google Scholar] [CrossRef]
- Ma, C.; Du, Y.; Feng, J.; Cao, X.; Yang, J.; Li, D. Fabrication of supported Pd Au nanoflower catalyst for partial hydrogenation of acetylene. J. Catal. 2014, 317, 263–271. [Google Scholar] [CrossRef]
- Meher, S.; Rana, R.K. A rational design of a Pd-based catalyst with a metal–metal oxide interface influencing molecular oxygen in the aerobic oxidation of alcohols. Green Chem. 2019, 21, 2494–2503. [Google Scholar] [CrossRef]
- Wang, X.; Wu, G.; Guan, N.; Li, L. Supported Pd catalysts for solvent-free benzyl alcohol selective oxidation: Effects of calcination pretreatments and reconstruction of Pd sites. Appl. Catal. B-Environ. 2012, 115, 7–15. [Google Scholar] [CrossRef]
- Xu, J.; Shang, J.K.; Chen, Y.; Wang, Y.; Li, Y.X. Palladium nanoparticles supported on mesoporous carbon nitride for efficiently selective oxidation of benzyl alcohol with molecular oxygen. Appl. Catal. A-Gen. 2017, 542, 380–388. [Google Scholar] [CrossRef]
- Cao, E.; Sankar, M.; Nowicka, E.; He, Q.; Morad, M.; Miedziak, P.J.; Taylor, S.H.; Knight, D.W.; Bethell, D.; Kiely, C.J.; et al. Selective suppression of disproportionation reaction in solvent-less benzyl alcohol oxidation catalysed by supported Au–Pd nanoparticles. Catal. Today 2013, 203, 146–152. [Google Scholar] [CrossRef]
- Sankar, M.; Nowicka, E.; Tiruvalam, R.; He, Q.; Taylor, S.H.; Kiely, C.J.; Bethell, D.; Knight, D.W.; Hutchings, G.J. Controlling the duality of the mechanism in liquid-phase oxidation of benzyl alcohol catalysed by supported Au–Pd nanoparticles. Chem. Eur. J. 2011, 17, 6524–6532. [Google Scholar] [CrossRef]
- Fan, G.; Li, F.; Evans, D.G.; Duan, X. Catalytic applications of layered double hydroxides: Recent advances and perspectives. Chem. Soc. Rev. 2014, 43, 7040–7066. [Google Scholar] [CrossRef] [PubMed]
- Feng, J.; He, Y.; Liu, Y.; Du, Y.; Li, D. Supported catalysts based on layered double hydroxides for catalytic oxidation and hydrogenation: General functionality and promising application prospects. Chem. Soc. Rev. 2015, 44, 5291–5319. [Google Scholar] [CrossRef] [PubMed]
- Stevens, L.; Williams, K.; Han, W.Y.; Drage, T.; Snape, C.; Wood, J.; Wang, J. Preparation and CO2 adsorption of diamine modified montmorillonite via exfoliation grafting route. Chem. Eng. J. 2013, 215, 699–708. [Google Scholar] [CrossRef]
- Guo, M.; Li, C.; Yang, Q. Accelerated catalytic activity of Pd NPs supported on amine-rich silica hollow nanospheres for quinoline hydrogenation. Catal. Rev.-Sci. Eng. 2017, 7, 2221–2227. [Google Scholar]
- Park, A.Y.; Kwon, H.; Woo, A.J.; Kim, S.J. Layered double hydroxide surface modified with (3-aminopropyl) triethoxysilane by covalent bonding. Adv. Mater. 2005, 17, 106–109. [Google Scholar] [CrossRef]
- Wang, Q.; O’Hare, D. Recent advances in the synthesis and application of layered double hydroxide (LDH) nanosheets. Chem. Rev. 2012, 112, 4124–4155. [Google Scholar] [CrossRef]
- Wang, Q.; O’Hare, D. Large-scale synthesis of highly dispersed layered double hydroxide powders containing delaminated single layer nanosheets. Chem. Commun. 2013, 49, 6301–6303. [Google Scholar] [CrossRef]
- Yang, L.; Fan, B.; Cui, X.; Shi, X.; Li, R. Solvent-free aerobic oxidation of ethylbenzene over Mn-containing silylated MgAl layered double hydroxides. J. Ind. Eng. Chem. 2015, 21, 689–695. [Google Scholar] [CrossRef]
- Chai, H.; Lin, Y.; Evans, D.G.; Li, D. Synthesis and UV absorption properties of 2-naphthylamine-1, 5-disulfonic acid intercalated Zn−Al layered double hydroxides. Ind. Eng. Chem. Res. 2008, 47, 2855–2860. [Google Scholar] [CrossRef]
- Tao, Q.; He, H.; Li, T.; Frost, R.L.; Zhang, D.; He, Z. Tailoring surface properties and structure of layered double hydroxides using silanes with different number of functional groups. J. Solid State Chem. 2014, 213, 176–181. [Google Scholar] [CrossRef]
- Tao, Q.; Zhu, J.; Wellard, R.M.; Bostrom, T.E.; Frost, R.L.; Yuan, P.; He, H. Silylation of layered double hydroxides via an induced hydrolysis method. J. Mater. Chem. 2011, 21, 10711–10719. [Google Scholar] [CrossRef]
- Jia, H.; Zhao, Y.; Niu, P.; Lu, N.; Fan, B.; Li, R. Amine-functionalized MgAl LDH nanosheets as efficient solid base catalysts for Knoevenagel condensation. Mol. Catal. 2018, 449, 31–37. [Google Scholar] [CrossRef]
- Wang, Z.; Song, Y.; Zou, J.; Li, L.; Yu, Y.; Wu, L. The cooperation effect in the Au–Pd/LDH for promoting photocatalytic selective oxidation of benzyl alcohol. Catal. Sci. Technol. 2018, 8, 268–275. [Google Scholar] [CrossRef]
- Singha, S.; Sahoo, M.; Parida, K.M. Highly active Pd nanoparticles dispersed on amine functionalized layered double hydroxide for Suzuki coupling reaction. Dalton Trans. 2011, 40, 7130–7132. [Google Scholar] [CrossRef] [PubMed]
- Guadix-Montero, S.; Alshammari, H.; Dalebout, R.; Nowicka, E.; Morgan, D.J.; Shaw, G.; He, Q.; Sankar, M. Deactivation studies of bimetallic AuPd nanoparticles supported on MgO during selective aerobic oxidation of alcohols. Appl. Catal. A-Gen. 2017, 546, 58–66. [Google Scholar] [CrossRef]
- Lackmann, A.; Mahr, C.; Schowalter, M.; Fitzek, L.; Weissmüller, J.; Rosenauer, A.; Wittstock, A. A comparative study of alcohol oxidation over nanoporous gold in gas and liquid phase. J. Catal. 2017, 353, 99–106. [Google Scholar] [CrossRef]
- Savara, A.; Chan-Thaw, C.E.; Sutton, J.E.; Wang, D.; Prati, L.; Villa, A. Molecular origin of the selectivity differences between palladium and gold–palladium in benzyl alcohol oxidation: Different oxygen adsorption properties. ChemCatChem 2017, 9, 253–257. [Google Scholar] [CrossRef]
- Feng, J.T.; Ma, C.; Miedziak, P.J.; Edwards, J.K.; Brett, G.L.; Li, D.Q.; Du, Y.Y.; Morgan, D.J.; Hutchings, G.J. Au–Pd nanoalloys supported on Mg–Al mixed metal oxides as a multifunctional catalyst for solvent-free oxidation of benzyl alcohol. Dalton Trans. 2013, 42, 14498–14508. [Google Scholar] [CrossRef]
© 2019 by the authors. Licensee MDPI, Basel, Switzerland. This article is an open access article distributed under the terms and conditions of the Creative Commons Attribution (CC BY) license (http://creativecommons.org/licenses/by/4.0/).