Cloning of Cold-Adapted Dextranase and Preparation of High Degree Polymerization Isomaltooligosaccharide
Abstract
:1. Introduction
2. Results
2.1. Sequence Analysis of PsDex1711 Protein
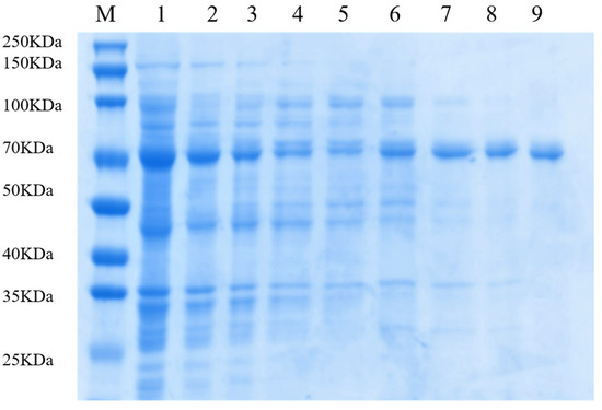
2.2. Cloning, Expression, and Purification of the PsDex1711 Gene
2.3. Enzymatic Properties of PsDex1711
2.4. PsDex1711 Hydrolysate
2.5. Analysis of Antioxidant Activity of the PsDex1711 Hydrolysate
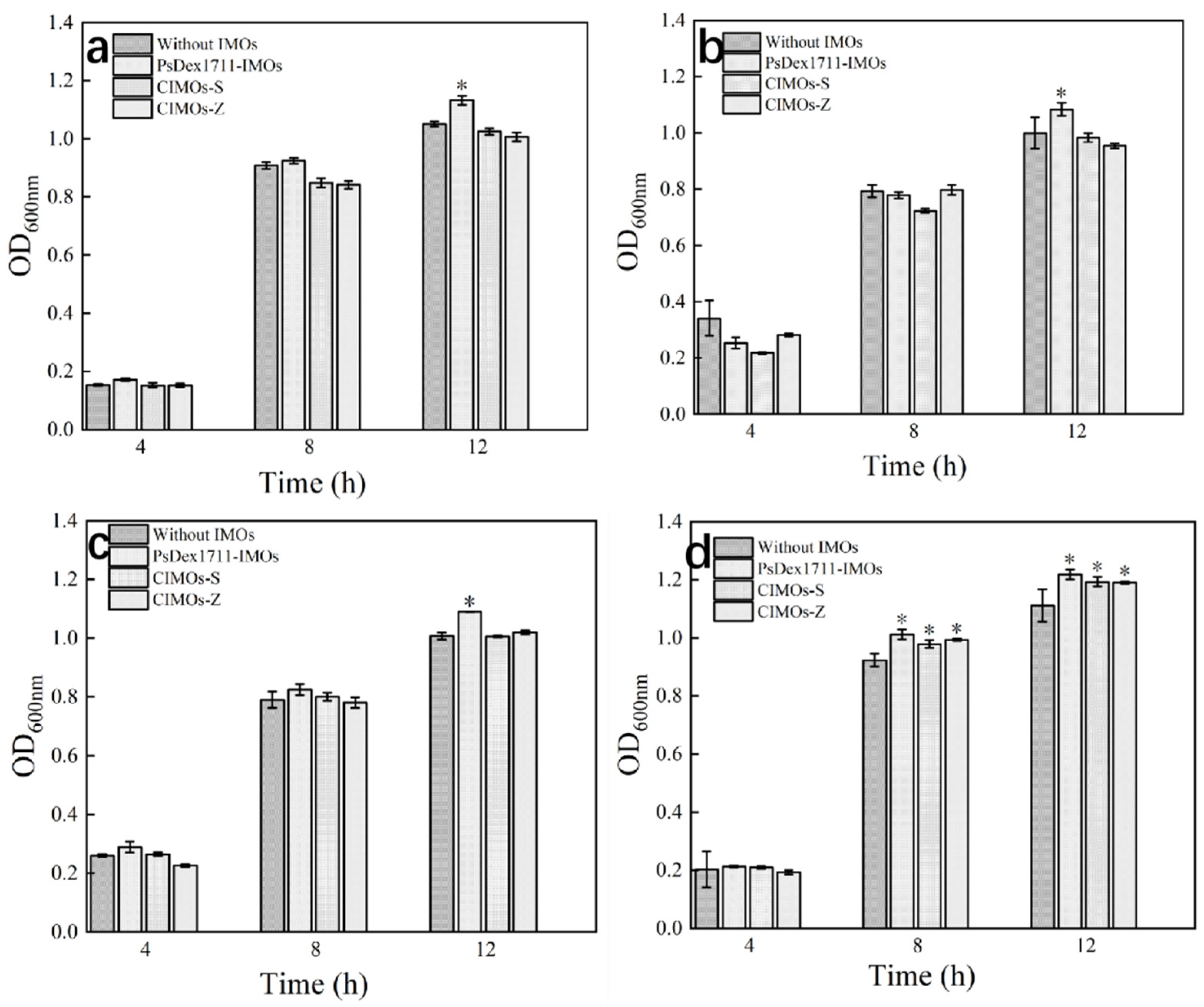
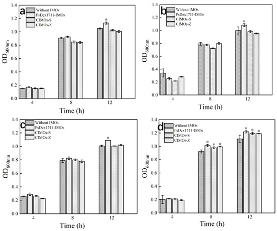
2.6. Effects of IMOs on the Growth of Probiotics
2.7. Promoting Effect of IMOs on Probiotic Biofilm Formation
3. Discussion
4. Materials and Methods
4.1. Material
4.2. Culture Conditions
4.3. Bioinformatics Analysis and Homology Modeling of the PsDex1711 Gene Sequence
4.4. PCR Amplification and Cloning Vector Construction
4.5. Expression and Purification of Recombinant Plasmid
4.6. Determination of Enzyme Activity by the DNS Method
4.7. Enzymatic Properties of PsDex1711
4.7.1. PsDex1711 Optimum Catalytic Substrate
4.7.2. Optimum Catalytic Temperature and Temperature Stability of PsDex1711
4.7.3. PsDex1711 Optimum Catalytic pH and pH Stability
4.7.4. Determination of Enzyme Kinetic Constants of PsDex1711
4.8. Component Analysis of PsDex1711 Hydrolysate
4.9. Component Analysis of PsDex1711 Hydrolysate
4.9.1. DPPH Radical Scavenging Rate
4.9.2. Hydroxyl Radical Scavenging Activity
4.9.3. Superoxide Anion Scavenging Activity
4.9.4. Determination of Reducing Power
4.10. Effects of IMOs on the Growth of Probiotics
4.11. Effects of IMOs on the Formation of Probiotic Biofilms
4.12. Scanning Electron Microscopy for Observing the Effect of IMOs on Probiotic Biofilm Formation
5. Conclusions
Supplementary Materials
Author Contributions
Funding
Institutional Review Board Statement
Data Availability Statement
Conflicts of Interest
References
- Marla, C.; Gabriel, V.; Dimitris, C.; Sarah, L.; Ellen, S.M.; Roberta, G. Applying probiotics and prebiotics in new delivery formats—Is the clinical evidence transferable? Trends Food Sci. Technol. 2021, 112, 495–506. [Google Scholar]
- Kong, C.; Gao, R.; Yan, X.; Huang, L.; Qin, H. Probiotics improve gut microbiota dysbiosis in obese mice fed a high-fat or high-sucrose diet. Nutrition 2019, 60, 175–184. [Google Scholar] [CrossRef] [PubMed]
- Yang, Z.D.; Guo, Y.S.; Huang, J.S.; Gao, Y.F.; Peng, F.; Xu, R.Y.; Su, H.H.; Zhang, P.J. Isomaltulose Exhibits Prebiotic Activity, and Modulates Gut Microbiota, the Production of Short Chain Fatty Acids, and Secondary Bile Acids in Rats. Molecules 2021, 26, 2464. [Google Scholar] [CrossRef] [PubMed]
- Hendy, W.; Kuncoro, F.; Ami, S.; Hevi, W.; Yudy, T. The effect of supplementation of Isomaltooligosaccharide and emulsified medium-chain triglycerides on blood glucose, β-hydroxybutyrate and calorie intake in male Wistar rats. Clin. Nutr. 2021, 37, 35–46. [Google Scholar]
- Sorndech, W.; Nakorn, K.N.; Tongta, S.; Blennow, A. Isomalto-oligosaccharides: Recent insights in production technology and their use for food and medical applications. LWT 2018, 95, 135–142. [Google Scholar] [CrossRef]
- Niu, D.; Qiao, J.; Li, P.; Tian, K.; Liu, X.; Singh, S.; Lu, F. Highly efficient enzymatic preparation of isomalto-oligosaccharides from starch using an enzyme cocktail. Electron. J. Biotechnol. 2017, 26, 46–51. [Google Scholar] [CrossRef]
- Dobruchowska, J.M.; Gerwig, G.J.; Kralj, S.; Grijpstra, P.; Leemhuis, H.; Dijkhuizen, L.; Kamerling, J.P. Structural characterization of linear isomalto-/malto-oligomer products synthesized by the novel GTFB 4,6-α-glucanotransferase enzyme from Lactobacillus reuteri 121. Glycobiology 2012, 22, 517–528. [Google Scholar] [CrossRef] [Green Version]
- Sorndech, W.; Sagnelli, D.; Blennow, A.; Tongta, S. Combination of amylase and transferase catalysis to improve IMO compositions and productivity. LWT 2017, 79, 479–486. [Google Scholar] [CrossRef]
- Volkov, P.V.; Gusakov, A.V.; Rubtsova, E.A.; Rozhkova, A.M.; Matys, V.Y.; Nemashkalov, V.A.; Sinitsyn, A.P. Properties of a recombinant GH49 family dextranase heterologously expressed in two recipient strains of Penicillium species. Biochimie 2019, 157, 123–130. [Google Scholar] [CrossRef]
- Ren, W.; Liu, L.; Gu, L.; Yan, W.; Feng, Y.L.; Dong, D.; Wang, S.; Lyu, M.; Wang, C. Crystal Structure of GH49 Dextranase from Arthrobacter oxidans KQ11: Identification of Catalytic Base and Improvement of Thermostability Using Semirational Design Based on B-Factors. J. Agric. Food Chem. 2019, 67, 4355–4366. [Google Scholar] [CrossRef]
- Shahid, F.; Aman, A.; Nawaz, M.A.; Karim, A.; Ul Qader, S.A. Chitosan hydrogel microspheres: An effective covalent matrix for crosslinking of soluble dextranase to increase stability and recycling efficiency. Bioprocess Biosyst. Eng. 2017, 40, 451–461. [Google Scholar] [CrossRef]
- Ha, L.J.; Hee, N.S.; Joung, P.H.; Min, K.Y.; Nahyun, K.; Ghahyun, K.; Seong, S.E.; Soo, K.S.; Doman, K. Biochemical characterization of dextranase from Arthrobacter oxydans and its cloning and expression in Escherichia coli. FSB 2010, 19, 757–762. [Google Scholar]
- Cristina, T.B.M.; Ricardo, S.C.; Rigon, S.M.; Nelson, L.J.; Luciana, P.d.S.V. Potential application of dextranase produced by Penicillium aculeatum in solid-state fermentation from brewer’s spent grain in sugarcane process factories. Biocatal. Agric. Biotechnol. 2021, 35, 102086. [Google Scholar]
- Khalikova, E.; Susi, P.; Usanov, N.; Korpela, T. Purification and properties of extracellular dextranase from a Bacillus sp. J. Chromatogr. B Analyt. Technol. Biomed. Life Sci. 2003, 796, 315–326. [Google Scholar] [CrossRef] [PubMed]
- Covacevich, M.T.; Richards, G.N. Purification of intracellular dextranases and D-glucosidases from pseudomonas UQM 733. Carbohydr. Res. 1978, 64, 169–180. [Google Scholar] [CrossRef]
- Deng, T.; Feng, Y.; Xu, L.; Tian, X.; Lai, X.; Lyu, M.; Wang, S. Expression, purification and characterization of a cold-adapted dextranase from marine bacteria and its ability to remove dental plaque. Protein Expr. Purif. 2020, 174, 105678. [Google Scholar] [CrossRef]
- Dong, D.; Wang, X.; Deng, T.; Ning, Z.; Tian, X.; Zu, H.; Ding, Y.; Wang, C.; Wang, S.; Lyu, M. A novel dextranase gene from the marine bacterium Bacillus aquimaris S5 and its expression and characteristics. FEMS Microbiol. Lett. 2021, 368, fnab007. [Google Scholar] [CrossRef]
- Zhang, Z.; Yang, J.; Barford, D. Recombinant expression and reconstitution of multiprotein complexes by the USER cloning method in the insect cell-baculovirus expression system. Methods 2016, 95, 13–25. [Google Scholar] [CrossRef]
- Ling, P.; Jianfei, S.; Hongyu, L.; Beiping, T.; Xiaohui, D.; Qihui, Y.; Shuyan, C.; Shuang, Z. Molecular cloning and characterization of GLUT2 from pompano (Trachinotus ovatus), and its gene expression in response to exogenous enzymes supplementation in high carbohydrate diet. Aquacult. Rep. 2022, 22, 100999. [Google Scholar]
- Huang, R.; Zhong, L.; Xie, F.; Wei, L.; Gan, L.; Wang, X.; Liao, A. Purification, Characterization and Degradation Performance of a Novel Dextranase from Penicillium cyclopium CICC-4022. Int. J. Mol. Sci. 2019, 20, 1360. [Google Scholar] [CrossRef] [Green Version]
- Yang, L.; Zhou, N.; Tian, Y. Purification, characterization, and biocatalytic potential of a novel dextranase from Chaetomium globosum. Biotechnol. Lett. 2018, 40, 1407–1418. [Google Scholar] [CrossRef] [PubMed]
- Zannini, E.; Waters, D.M.; Coffey, A.; Arendt, E.K. Production, properties, and industrial food application of lactic acid bacteria-derived exopolysaccharides. Appl. Microbiol. Biotechnol. 2016, 100, 1121–1135. [Google Scholar] [CrossRef] [PubMed]
- Kim, Y.M.; Shimizu, R.; Nakai, H.; Mori, H.; Okuyama, M.; Kang, M.S.; Fujimoto, Z.; Funane, K.; Kim, D.; Kimura, A. Truncation of N- and C-terminal regions of Streptococcus mutans dextranase enhances catalytic activity. Appl. Microbiol. Biotechnol. 2011, 91, 329–339. [Google Scholar] [CrossRef] [PubMed] [Green Version]
- Chen, S.; Pan, L.; Liu, S.; Pan, L.; Li, X.; Wang, B. Recombinant expression and surface display of a zearalenone lactonohydrolase from Trichoderma aggressivum in Escherichia coli. Protein Expr. Purif. 2021, 187, 105933. [Google Scholar] [CrossRef]
- Virgen-Ortíz, J.J.; Ibarra-Junquera, V.; Escalante-Minakata, P.; Ornelas-Paz, J.d.J.; Osuna-Castro, J.A.; González-Potes, A. Kinetics and thermodynamic of the purified dextranase from Chaetomium erraticum. J. Mol. Catal. B Enzym. 2015, 122, 80–86. [Google Scholar] [CrossRef]
- Chen, F.; Ye, J.; Sista Kameshwar, A.K.; Wu, X.; Ren, J.; Qin, W.; Li, D.W. A Novel Cold-Adaptive Endo-1,4-β-Glucanase From Burkholderia pyrrocinia JK-SH007: Gene Expression and Characterization of the Enzyme and Mode of Action. Front. Microbiol. 2019, 10, 3137. [Google Scholar] [CrossRef]
- Gumulya, Y.; Reetz, M.T. Enhancing the thermal robustness of an enzyme by directed evolution: Least favorable starting points and inferior mutants can map superior evolutionary pathways. Chembiochem. Eur. J. Chem. Biol. 2011, 12, 2502–2510. [Google Scholar] [CrossRef]
- Moraïs, S.; Stern, J.; Kahn, A.; Galanopoulou, A.P.; Yoav, S.; Shamshoum, M.; Smith, M.A.; Hatzinikolaou, D.G.; Arnold, F.H.; Bayer, E.A. Enhancement of cellulosome-mediated deconstruction of cellulose by improving enzyme thermostability. Biotechnol. Biofuels 2016, 9, 164. [Google Scholar] [CrossRef] [Green Version]
- Fujimori, A.; Arai, S.; Soutome, Y.; Hashimoto, M. Improvement of thermal stability of enzyme via immobilization on Langmuir–Blodgett films of organo-modified aluminosilicate with high coverage. Colloid. Surf. A 2014, 448, 45–52. [Google Scholar] [CrossRef]
- Widyarman, A.S.; Udawatte, N.S.; Theodorea, C.F.; Apriani, A.; Richi, M.; Astoeti, T.E.; Seneviratne, C.J. Casein phosphopeptide-amorphous calcium phosphate fluoride treatment enriches the symbiotic dental plaque microbiome in children. J. Dent. 2021, 106, 103582. [Google Scholar] [CrossRef]
- Ding, Y.; Zhang, H.; Wang, X.; Zu, H.; Wang, C.; Dong, D.; Lyu, M.; Wang, S. Immobilization of Dextranase on Nano-Hydroxyapatite as a Recyclable Catalyst. Materials 2020, 14, 130. [Google Scholar] [CrossRef] [PubMed]
- Yi, J.; Li, X.; Wang, S.; Wu, T.; Liu, P. Steam explosion pretreatment of Achyranthis bidentatae radix: Modified polysaccharide and its antioxidant activities. Food Chem. 2022, 375, 131746. [Google Scholar] [CrossRef] [PubMed]
- Xue, N.; Svensson, B.; Bai, Y. Structure, function and enzymatic synthesis of glucosaccharides assembled mainly by α1→6 linkages—A review. Carbohydr. Polym. 2022, 275, 118705. [Google Scholar] [CrossRef] [PubMed]
- Park, B.R.; Park, J.Y.; Lee, S.H.; Hong, S.J.; Jeong, J.H.; Choi, J.H.; Park, S.Y.; Park, C.S.; Lee, H.N.; Kim, Y.M. Synthesis of improved long-chain isomaltooligosaccharide, using a novel glucosyltransferase derived from Thermoanaerobacter thermocopriae, with maltodextrin. Enzym. Microb. Technol. 2021, 147, 109788. [Google Scholar] [CrossRef]
- Zhu, Y.; Liu, L.; Sun, Z.; Ji, Y.; Wang, D.; Mei, L.; Shen, P.; Li, Z.; Tang, S.; Zhang, H.; et al. Fucoidan as a marine-origin prebiotic modulates the growth and antibacterial ability of Lactobacillus rhamnosus. Int. J. Biol. Macromol. 2021, 180, 599–607. [Google Scholar] [CrossRef]
- Costa, G.M.; Paula, M.M.; Barão, C.E.; Klososki, S.J.; Bonafé, E.G.; Visentainer, J.V.; Cruz, A.G.; Pimentel, T.C. Yoghurt added with Lactobacillus casei and sweetened with natural sweeteners and/or prebiotics: Implications on quality parameters and probiotic survival. Int. Dairy J. 2019, 97, 139–148. [Google Scholar] [CrossRef]
- Kotzamanidis, C.; Kourelis, A.; Litopoulou-Tzanetaki, E.; Tzanetakis, N.; Yiangou, M. Evaluation of adhesion capacity, cell surface traits and immunomodulatory activity of presumptive probiotic Lactobacillus strains. Int. J. Food Microbiol. 2010, 140, 154–163. [Google Scholar] [CrossRef]
- Piotrowski, M.; Wultańska, D.; Pituch, H. The prebiotic effect of human milk oligosaccharides 3’- and 6’-sialyllactose on adhesion and biofilm formation by Clostridioides difficile-pilot study. Microbes Infect. 2021, 24, 104929. [Google Scholar] [CrossRef]
- Subhan, F.B.; Hashemi, Z.; Herrera, M.C.A.; Turner, K.; Windeler, S.; Gänzle, M.G.; Chan, C.B. Ingestion of isomalto-oligosaccharides stimulates insulin and incretin hormone secretion in healthy adults. J. Funct. Foods 2019, 65, 103730. [Google Scholar] [CrossRef]
- Kaulpiboon, J.; Rudeekulthamrong, P.; Watanasatitarpa, S.; Ito, K.; Pongsawasdi, P. Synthesis of long-chain isomaltooligosaccharides from tapioca starch and an in vitro investigation of their prebiotic properties. J. Mol. Catal. B Enzym. 2015, 120, 127–135. [Google Scholar] [CrossRef]
- Hu, Y.; Winter, V.; Gänzle, M. In vitro digestibility of commercial and experimental isomalto-oligosaccharides. Food Res. Int. 2020, 134, 109250. [Google Scholar] [CrossRef] [PubMed]
- Netsopa, S.; Niamsanit, S.; Araki, T.; Kongkeitkajorn, M.B.; Milintawisamai, N. Purification and Characterization Including Dextran Hydrolysis of Dextranase from Aspergillus allahabadii X26. Sugar Tech. 2019, 21, 329–340. [Google Scholar] [CrossRef]
- Wang, J.; Zhang, Q.; Zhang, Z.; Li, Z. Antioxidant activity of sulfated polysaccharide fractions extracted from Laminaria japonica. Int. J. Biol. Macromol. 2008, 42, 127–132. [Google Scholar] [CrossRef]
- Shen, S.; Chen, D.; Li, X.; Li, T.; Yuan, M.; Zhou, Y.; Ding, C. Optimization of extraction process and antioxidant activity of polysaccharides from leaves of Paris polyphylla. Carbohydr. Polym. 2014, 104, 80–86. [Google Scholar] [CrossRef] [PubMed]
- Du, R.; Qiao, X.; Zhao, F.; Song, Q.; Zhou, Q.; Wang, Y.; Pan, L.; Han, Y.; Zhou, Z. Purification, characterization and antioxidant activity of dextran produced by Leuconostoc pseudomesenteroides from homemade wine. Carbohydr. Polym. 2018, 198, 529–536. [Google Scholar] [CrossRef] [PubMed]
- Liu, X.; Feng, Y.; Lai, X.; Deng, T.; Liu, X.; Lyu, M.; Wang, S. Virgibacillus halodenitrificans ST-1 for fermentation of shrimp paste and hydrolysates of its protease. Food Sci. Nutr. 2020, 8, 5352–5361. [Google Scholar] [CrossRef]
- Cardoso Sá, N.; Cavalcante, T.T.; Araújo, A.X.; dos Santos, H.S.; Albuquerque, M.R.; Bandeira, P.N.; da Cunha, R.M.; Cavada, B.S.; Teixeira, E.H. Antimicrobial and antibiofilm action of Casbane Diterpene from Croton nepetaefolius against oral bacteria. Arch. Oral Biol. 2012, 57, 550. [Google Scholar] [CrossRef] [Green Version]







| Substrate | Main Linkages | Relative Activity (%) |
|---|---|---|
| Dextran T20 | α-1,6 | 74.60 ± 2.68 |
| Dextran T40 | α-1,6 | 79.32 ± 1.33 |
| Dextran T70 | α-1,6 | 80.12 ± 3.09 |
| Dextran T500 | α-1,6 | 100 ± 2.31 |
| Chitosan | β-1,4 | 0 |
| Soluble starch | α-1,4, α-1,6 | 0 |
| Pullulan | α-1,4, α-1,6 | 0 |
| Duration of Hydrolysis | Proportion of Hydrolysates (%) | |||
|---|---|---|---|---|
| IMO3 | IMO4 | IMO5 | IMO6 | |
| 30 min | 33.45% | 66.55% | 0 | 0 |
| 60 min | 35.72% | 64.28% | 0 | 0 |
| 120 min | 22.34% | 37.16% | 40.50% | 0 |
| 180 min | 26.32% | 24.50% | 49.18% | 0 |
| 240 min | 12.50% | 11.63% | 19.05% | 56.90% |
| Add the Type of IMOs | Biofilm Promotion Rate (%) |
|---|---|
| Control (0) | 0 |
| Add 1 g/L PsDex hydrolysate | 58.82 ± 0.20 |
| Add 1 g/L CIMO-S | 50.05 ± 0.26 |
| Add 1 g/L CIMO-Z | 50.20 ± 0.68 |
Publisher’s Note: MDPI stays neutral with regard to jurisdictional claims in published maps and institutional affiliations. |
© 2022 by the authors. Licensee MDPI, Basel, Switzerland. This article is an open access article distributed under the terms and conditions of the Creative Commons Attribution (CC BY) license (https://creativecommons.org/licenses/by/4.0/).
Share and Cite
Wang, H.; Lin, Q.; Dong, D.; Xu, Y.; Liu, M.; Lu, J.; Lyu, M.; Wang, S. Cloning of Cold-Adapted Dextranase and Preparation of High Degree Polymerization Isomaltooligosaccharide. Catalysts 2022, 12, 784. https://doi.org/10.3390/catal12070784
Wang H, Lin Q, Dong D, Xu Y, Liu M, Lu J, Lyu M, Wang S. Cloning of Cold-Adapted Dextranase and Preparation of High Degree Polymerization Isomaltooligosaccharide. Catalysts. 2022; 12(7):784. https://doi.org/10.3390/catal12070784
Chicago/Turabian StyleWang, Huanyu, Qianru Lin, Dongxue Dong, Yingying Xu, Mingwang Liu, Jing Lu, Mingsheng Lyu, and Shujun Wang. 2022. "Cloning of Cold-Adapted Dextranase and Preparation of High Degree Polymerization Isomaltooligosaccharide" Catalysts 12, no. 7: 784. https://doi.org/10.3390/catal12070784
APA StyleWang, H., Lin, Q., Dong, D., Xu, Y., Liu, M., Lu, J., Lyu, M., & Wang, S. (2022). Cloning of Cold-Adapted Dextranase and Preparation of High Degree Polymerization Isomaltooligosaccharide. Catalysts, 12(7), 784. https://doi.org/10.3390/catal12070784

